JavaScript is disabled in your browser. Please enable JavaScript to view this website.
AB16794

Anti-APC antibody [CC-1]

4

(5 Reviews)

|

(166 Publications)

Anti-APC antibody [CC-1] (ab16794) is a mouse monoclonal antibody detecting APC in Flow Cytometry, IHC-P, ICC/IF. Suitable for Human.

- Over 130 publications
- Trusted since 2005

View Alternative Names

DP2.5, APC, Adenomatous polyposis coli protein, Protein APC, Deleted in polyposis 2.5

3 Images
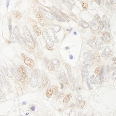
Immunohistochemistry (Formalin/PFA-fixed paraffin-embedded sections) - Anti-APC antibody [CC-1] (AB16794)
  • IHC-P

Unknown

Immunohistochemistry (Formalin/PFA-fixed paraffin-embedded sections) - Anti-APC antibody [CC-1] (AB16794)

IHC analysis of formalin-fixed, paraffin embedded human cerebellum with ab16794.

Antibody was used at a concentration of 2.5 µg/ml and sections were pretreated with heat using a pressure cooker prior to staining. Detection with DAB and hematoxylin as a counterstain.

This image was generated using the ascites version of the product.

Immunocytochemistry/ Immunofluorescence - Anti-APC antibody [CC-1] (AB16794)
  • ICC/IF

Unknown

Immunocytochemistry/ Immunofluorescence - Anti-APC antibody [CC-1] (AB16794)

ICC/IF image of ab16794 stained HeLa cells. The cells were 4% PFA fixed (10 min) and then incubated in 1% BSA / 10% normal goat serum / 0.3M glycine in 0.1% PBS-Tween for 1h to permeabilise the cells and block non-specific protein-protein interactions. The cells were then incubated with the antibody (ab16794, 1μg/ml) overnight at +4°C. The secondary antibody (green) was Alexa Fluor® 488 goat anti-mouse IgG (H+L) used at a 1/1000 dilution for 1h. Alexa Fluor® 594 WGA was used to label plasma membranes (red) at a 1/200 dilution for 1h. DAPI was used to stain the cell nuclei (blue) at a concentration of 1.43μM.

This image was generated using the ascites version of the product.

Flow Cytometry - Anti-APC antibody [CC-1] (AB16794)
  • Flow Cyt

Unknown

Flow Cytometry - Anti-APC antibody [CC-1] (AB16794)

Overlay histogram showing HCT116 cells stained with ab16794 (red line). The cells were fixed with 4% paraformaldehyde (10 min) and then permeabilized with 0.1% PBS-Tween for 20 min. The cells were then incubated in 1x PBS / 10% normal goat serum / 0.3M glycine to block non-specific protein-protein interactions followed by the antibody (ab16794, 1μg/1x106 cells) for 30 min at 22°C. The secondary antibody used was DyLight® 488 goat anti-mouse IgG (H+L) (ab96879) at 1/500 dilution for 30 min at 22°C. Isotype control antibody (black line) was mouse IgG2b [PLPV219] (ab91366, 2μg/1x106 cells) used under the same conditions. Acquisition of >5,000 events was performed. This antibody gave a positive signal in HCT116 cells fixed with 80% methanol (5 min)/permeabilized with 0.1% PBS-Tween for 20 min used under the same conditions.

This image was generated using the ascites version of the product.

Key facts

Host species

Mouse

Clonality

Monoclonal

Clone number

CC-1

Isotype

IgG2b

Carrier free

No

Reacts with

Human

Applications

IHC-P, ICC/IF, Flow Cyt

applications

Immunogen

Synthetic Peptide within Human APC aa 1-250. The exact immunogen used to generate this antibody is proprietary information.

P25054

Epitope

Epitope is within amino acid residues 1 - 226 of APC.

Reactivity data

{ "title": "Reactivity Data", "filters": { "stats": ["", "Species", "Dilution Info", "Notes"], "tabs": { "all-applications": {"fullname" : "All Applications", "shortname": "All Applications"}, "IHCP" : {"fullname" : "Immunohistochemistry (Formalin/PFA-fixed paraffin-embedded sections)", "shortname":"IHC-P"}, "FlowCyt" : {"fullname" : "Flow Cytometry", "shortname":"Flow Cyt"}, "ICCIF" : {"fullname" : "Immunocytochemistry/ Immunofluorescence", "shortname":"ICC/IF"} }, "product-promise": { "all": "all", "testedAndGuaranteed": "tested", "guaranteed": "expected", "predicted": "predicted", "notRecommended": "not-recommended" } }, "values": { "Human": { "IHCP-species-checked": "testedAndGuaranteed", "IHCP-species-dilution-info": "", "IHCP-species-notes": "<p></p> Perform heat-mediated antigen retrieval via the pressure cooker method before commencing with IHC staining protocol.", "FlowCyt-species-checked": "testedAndGuaranteed", "FlowCyt-species-dilution-info": "", "FlowCyt-species-notes": "<p><a href='/en-us/products/primary-antibodies/mouse-igg2b-kappa-monoclonal-7e10g10-isotype-control-ab170192'>ab170192</a> - Mouse monoclonal IgG2b, is suitable for use as an isotype control with this antibody.</p>", "ICCIF-species-checked": "testedAndGuaranteed", "ICCIF-species-dilution-info": "", "ICCIF-species-notes": "<p></p>" } } }

Product details

Anti-APC antibody [CC-1] (ab16794) is a House Mouse Monoclonal antibody and is validated for use in Flow Cyt, ICC/IF, IHC-P in human samples.

Anti-APC antibody [CC-1] (ab16794) has been cited over 130 times in peer reviewed journals and is trusted by the scientific community.

Abcams high quality validation processes ensure Anti-APC antibody [CC-1] (ab16794) has high sensitivity and specificity.

Anti-APC antibody [CC-1] (ab16794) has 5 independent reviews from customers.

Anti-APC antibody [CC-1] (ab16794) specifically detects APC (UniProt ID: P25054; Molecular weight: 312kDa) and is sold in 50 ug selling sizes.

APC (Adenomatous Polyposis Coli) is a crucial tumor suppressor gene involved in regulating cell growth, adhesion, and division. APC protein interacts with beta-catenin, controlling its levels to prevent uncontrolled cell growth.

APC is well suited for immunohistochemical and immunofluorescence studies of oligodendrocytes and optic nerves due to the antibody's staining of the cell body as opposed to the myelinated processes.

Although we list several publications demonstrating mouse reactivity, we have also received conflicting data from researchers demonstrating a lack of mouse reactivity. Therefore, we have removed mouse from our list of reactive species and no longer guarantee the product for this species.

This product was changed from ascites to tissue culture supernatant on 17 May 2019. Please note that the dilutions may need to be adjusted accordingly. If you have any questions, please do not hesitate to contact our scientific support team.

Properties and storage information

Form
Liquid
Purification technique
Affinity purification Protein G
Purification notes
Purified from TCS.
Storage buffer
Preservative: 0.05% Sodium azide Constituents: 1.902% Tris glycine, 0.8766% Sodium chloride
Shipped at conditions
Blue Ice
Appropriate short-term storage conditions
+4°C
Appropriate long-term storage conditions
+4°C
Aliquoting information
Upon delivery aliquot

Product protocols

For this product, it's our understanding that no specific protocols are required. You can visit:

Target data

Tumor suppressor. Promotes rapid degradation of CTNNB1 and participates in Wnt signaling as a negative regulator. APC activity is correlated with its phosphorylation state. Activates the GEF activity of SPATA13 and ARHGEF4. Plays a role in hepatocyte growth factor (HGF)-induced cell migration. Required for MMP9 up-regulation via the JNK signaling pathway in colorectal tumor cells. Associates with both microtubules and actin filaments, components of the cytoskeleton (PubMed : 17293347). Plays a role in mediating the organization of F-actin into ordered bundles (PubMed : 17293347). Functions downstream of Rho GTPases and DIAPH1 to selectively stabilize microtubules (By similarity). Acts as a mediator of ERBB2-dependent stabilization of microtubules at the cell cortex. It is required for the localization of MACF1 to the cell membrane and this localization of MACF1 is critical for its function in microtubule stabilization.
See full target information APC

Publications (166)

Recent publications for all applications. Explore the full list and refine your search

Journal of neuroinflammation 22:197 PubMed40750890

2025

Dihydroartemisinin enhances remyelination by switching microglia to the reparative phenotype.

Applications

Unspecified application

Species

Unspecified reactive species

Li Liu,Lina Yang,Xinke Du,Xiaoxi Kan,Qingsen Ran,Yang Zhang,Manjing Li,Qingwu Liu,Yujie Li,Qing Yang,Ying Chen,Keshan Dong,Xiaoxin Zhu,Qi Li

Fluids and barriers of the CNS 22:76 PubMed40671131

2025

Imatinib prevents blood-spinal cord barrier disruption by inhibiting PDGFR-mediated JMJD3 expression and activation after spinal cord injury.

Applications

Unspecified application

Species

Unspecified reactive species

Chan Sol Park,Jee Youn Lee,Tae Young Yune

CNS neuroscience & therapeutics 31:e70471 PubMed40485011

2025

Targeting HDAC3 Suppresses Ferroptosis and Demyelination in White Matter Injury by Restoring PDK4-Mediated Iron Homeostasis.

Applications

Unspecified application

Species

Unspecified reactive species

Ting Xu,Lisha Ye,Wenfeng Li,Fangming Liu,Tianjiao Wei,Wenhui Gu,Lihua Xu,Mingde Fang,Qianqian Luo,Chuanjie Wu,Guohua Wang

PLoS biology 23:e3003073 PubMed40233100

2025

Monocyte-secreted Wnt reduces the efficiency of central nervous system remyelination.

Applications

Unspecified application

Species

Unspecified reactive species

Bianca M Hill,Rebecca K Holloway,Lindsey H Forbes,Claire L Davies,Jonathan K Monteiro,Christina M Brown,Jamie Rose,Neva Fudge,Pamela J Plant,Ayisha Mahmood,Koroboshka Brand-Arzamendi,Sarah A Kent,Irene Molina-Gonzalez,Stefka Gyoneva,Richard M Ransohoff,Brian Wipke,Josef Priller,Raphael Schneider,Craig S Moore,Veronique E Miron

Redox biology 82:103611 PubMed40184642

2025

Absence of astrocytic ceruloplasmin reverses the senescence process with aging of learning and memory abilities.

Applications

Unspecified application

Species

Unspecified reactive species

Zhong-Da Li,Shaomeng Kang,Haiyan Li,Peng Yu,Ruikun Xie,Chenchen Li,Qi Jing,Zhengzheng Gong,Li Li,Zhengning Li,Mengyu Geng,Zihan Zhang,Yang Li,Yan-Zhong Chang

Glia 73:1452-1466 PubMed40105030

2025

The X-Linked Intellectual Disability Gene, ZDHHC9 , Is Important for Oligodendrocyte Subtype Determination and Myelination.

Applications

Unspecified application

Species

Unspecified reactive species

Rocio B White,Angela R Wild,Timothy P O'Leary,Andrew J Thompson,Stephane Flibotte,Angie Peng,Jason C Rogalski,Mila Mair,Neeki Derhami,Shernaz X Bamji

Nature communications 16:2283 PubMed40055369

2025

Senescent-like microglia limit remyelination through the senescence associated secretory phenotype.

Applications

Unspecified application

Species

Unspecified reactive species

Phillip S Gross,Violeta Durán-Laforet,Lana T Ho,George S Melchor,Sameera Zia,Zeeba Manavi,William E Barclay,Sung Hyun Lee,Nataliia Shults,Sean Selva,Enrique Alvarez,Jason R Plemel,Meng-Meng Fu,Dorothy P Schafer,Jeffrey K Huang

International journal of molecular sciences 26: PubMed39859289

2025

Mice with 16p11.2 Deletion and Duplication Show Alterations in Biological Processes Associated with White Matter.

Applications

Unspecified application

Species

Unspecified reactive species

Tianqi Wang,Megan Sharp,Ilaria Morella,Francesco Bedogni,Vladimir Trajkovski,Riccardo Brambilla,Yasir Ahmed Syed

Frontiers in immunology 15:1500697 PubMed39742273

2025

The phytohormone abscisic acid enhances remyelination in mouse models of multiple sclerosis.

Applications

Unspecified application

Species

Unspecified reactive species

Femke Van Gaever,Fleur Mingneau,Sam Vanherle,Yasmine Driege,Mira Haegman,Elien Van Wonterghem,Junhua Xie,Roosmarijn E Vandenbroucke,Jerome J A Hendriks,Rudi Beyaert,Jens Staal

Scientific reports 14:31500 PubMed39733145

2024

Histological effects of combined therapy involving scar resection, decellularized scaffolds, and human iPSC-NS/PCs transplantation in chronic complete spinal cord injury.

Applications

Unspecified application

Species

Unspecified reactive species

Keitaro Ito,Munehisa Shinozaki,Shogo Hashimoto,Yusuke Saijo,Yu Suematsu,Tomoharu Tanaka,Kotaro Nishi,Hiroshi Yagi,Shinsuke Shibata,Yuko Kitagawa,Masaya Nakamura,Hideyuki Okano,Jun Kohyama,Narihito Nagoshi
View all publications

Product promise

We are committed to supporting your work with high-quality reagents, and we're here for you every step of the way. In the unlikely event that one of our products does not perform as expected, you're protected by our Product Promise.
For full details, please see our Terms & Conditions

Please note: All products are 'FOR RESEARCH USE ONLY. NOT FOR USE IN DIAGNOSTIC OR THERAPEUTIC PROCEDURES'.

For licensing inquiries, please contact partnerships@abcam.com