JavaScript is disabled in your browser. Please enable JavaScript to view this website.
AB239828

Anti-APC antibody [EP701Y] - BSA and Azide free

Be the first to review this product! Submit a review

|

(4 Publications)

Rabbit Recombinant Monoclonal APC antibody. Carrier free. Suitable for IHC-P, ICC/IF, IP, WB, Flow Cyt (Intra) and reacts with Mouse, Rat, Human samples. Cited in 4 publications.

View Alternative Names

DP2.5, APC, Adenomatous polyposis coli protein, Protein APC, Deleted in polyposis 2.5

9 Images
Immunocytochemistry/ Immunofluorescence - Anti-APC antibody [EP701Y] - BSA and Azide free (AB239828)
  • ICC/IF

Unknown

Immunocytochemistry/ Immunofluorescence - Anti-APC antibody [EP701Y] - BSA and Azide free (AB239828)

Immunocytochemistry/ Immunofluorescence analysis of HEK-293 (Human embryonic kidney epithelial cell) cells labeling APC with Purified ab40778 at 1 : 100 dilution (10 μg/mL). Cells were fixed in 4% Paraformaldehyde. Cells were counterstained with ab195889 Anti-alpha Tubulin antibody [DM1A] - Microtubule Marker (Alexa Fluor® 594) 1 : 200 (2.5 μg/mL). Goat anti rabbit IgG (Alexa Fluor® 488, ab150077) was used as the secondary antibody at 1 : 1000 (2 μg/ml) dilution. DAPI (blue) was used as nuclear counterstain. PBS instead of the primary antibody was used as the secondary antibody only control.

This data was developed using the same antibody clone in a different buffer formulation containing PBS, BSA, glycerol, and sodium azide (ab40778).

Immunohistochemistry (Formalin/PFA-fixed paraffin-embedded sections) - Anti-APC antibody [EP701Y] - BSA and Azide free (AB239828)
  • IHC-P

Unknown

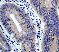
Immunohistochemistry (Formalin/PFA-fixed paraffin-embedded sections) - Anti-APC antibody [EP701Y] - BSA and Azide free (AB239828)

ab40778 (1 : 50), unpurified, staining human colon carcinoma by immunohistochemistry, paraffin-embedded tissue. Heat mediated antigen retrieval was performed with citrate buffer pH 6 before commencing with IHC staining protocol.

This data was developed using the same antibody clone in a different buffer formulation containing PBS, BSA, glycerol, and sodium azide (ab40778).

Flow Cytometry (Intracellular) - Anti-APC antibody [EP701Y] - BSA and Azide free (AB239828)
  • Flow Cyt (Intra)

Unknown

Flow Cytometry (Intracellular) - Anti-APC antibody [EP701Y] - BSA and Azide free (AB239828)

Purified ab40778 staining APC in the human cell line 293 (human embryonic kidney) by intracellular flow cytometry. Cells were fixed with 4% paraformaldehyde, permabilised with 90% methanol and the sample was incubated with the primary antibody at a dilution of 1/150. A goat anti rabbit IgG (Alexa Fluor® 488) at a dilution of 1/2000 was used as the secondary antibody.

Isoytype control : Rabbit monoclonal IgG (Black)

Unlabelled control : Cell without incubation with primary antibody and secondary antibody (Blue)

This data was developed using the same antibody clone in a different buffer formulation containing PBS, BSA, glycerol, and sodium azide (ab40778).

Immunohistochemistry (Formalin/PFA-fixed paraffin-embedded sections) - Anti-APC antibody [EP701Y] - BSA and Azide free (AB239828)
  • IHC-P

Unknown

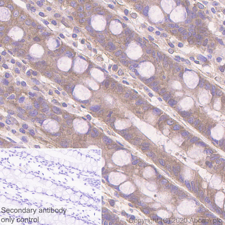
Immunohistochemistry (Formalin/PFA-fixed paraffin-embedded sections) - Anti-APC antibody [EP701Y] - BSA and Azide free (AB239828)

Immunohistochemistry (Formalin/PFA-fixed paraffin-embedded sections) analysis of human colon tissue sections labeling APC with purified ab40778 at 1/1000 dilution (1.383 μg/mL). Heat mediated antigen retrieval was performed using Bond™ Epitope Retrieval Solution 2 (pH 9.0). Rabbit specific IHC polymer detection kit HRP/DAB (ab209101) was used as the secondary antibody. Negative control : PBS instead of the primary antibody. Hematoxylin was used as a counterstain.
The immunostaining was performed on a Leica Biosystems BOND® RX instrument.

This data was developed using the same antibody clone in a different buffer formulation containing PBS, BSA, glycerol, and sodium azide (ab40778).

Immunoprecipitation - Anti-APC antibody [EP701Y] - BSA and Azide free (AB239828)
  • IP

Unknown

Immunoprecipitation - Anti-APC antibody [EP701Y] - BSA and Azide free (AB239828)

Purified ab40778 at 1 : 70 dilution (2μg) immunoprecipitating APC in HEK-293 whole cell lysate.
Lane 1 (input) : HEK-293 (Human embryonic kidney epithelial cell) whole cell lysate 10μg
Lane 2 (+) : ab40778 + HEK-293 whole cell lysate.
Lane 3 (-) : Rabbit monoclonal IgG (ab172730) instead of ab40778 in HEK-293 whole cell lysate.
Blocking Buffer and concentration : 5% NFDM/TBST.
Diluting buffer and concentration : 5% NFDM/TBST.
Observed band size : 160 kDa

This data was developed using the same antibody clone in a different buffer formulation containing PBS, BSA, glycerol, and sodium azide (ab40778).

All lanes:

Immunoprecipitation - Anti-APC antibody [EP701Y] (<a href='/en-us/products/primary-antibodies/apc-antibody-ep701y-ab40778'>ab40778</a>)

Predicted band size: 312 kDa

false

Immunoprecipitation - Anti-APC antibody [EP701Y] - BSA and Azide free (AB239828)
  • IP

Unknown

Immunoprecipitation - Anti-APC antibody [EP701Y] - BSA and Azide free (AB239828)

Unpurified ab40778 at 1/70 dilution (2μg) immunoprecipitating APC in HEK-293 whole cell lysate.
Lane 1 (input) : HEK-293 (Human embryonic kidney epithelial cell) whole cell lysate 10μg
Lane 2 (+) : ab40778 + HEK-293 whole cell lysate.
Lane 3 (-) : Rabbit monoclonal IgG (ab172730) instead of ab40778 in HEK-293 whole cell lysate.
VeriBlot for IP Detection Reagent (HRP) (ab131366) (1/1000 dilution) was used for Western blotting.
Blocking Buffer and concentration : 5% NFDM/TBST.
Diluting buffer and concentration : 5% NFDM/TBST.
Observed band size : 160 kDa
This data was developed using the same antibody clone in a different buffer formulation containing PBS, BSA, glycerol, and sodium azide (ab40778).

All lanes:

Immunoprecipitation - Anti-APC antibody [EP701Y] - BSA and Azide free (ab239828)

Predicted band size: 312 kDa

false

Immunohistochemistry (Formalin/PFA-fixed paraffin-embedded sections) - Anti-APC antibody [EP701Y] - BSA and Azide free (AB239828)
  • IHC-P

Unknown

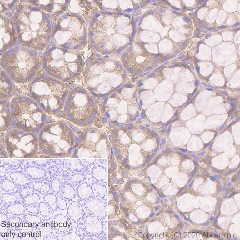
Immunohistochemistry (Formalin/PFA-fixed paraffin-embedded sections) - Anti-APC antibody [EP701Y] - BSA and Azide free (AB239828)

Immunohistochemistry (Formalin/PFA-fixed paraffin-embedded sections) analysis of mouse colon tissue sections labeling APC with purified ab40778 at 1/1000 dilution (1.383 μg/mL). Heat mediated antigen retrieval was performed using Bond™ Epitope Retrieval Solution 2 (pH 9.0). Rabbit specific IHC polymer detection kit HRP/DAB (ab209101) was used as the secondary antibody. Negative control : PBS instead of the primary antibody. Hematoxylin was used as a counterstain.
The immunostaining was performed on a Leica Biosystems BOND® RX instrument.

This data was developed using the same antibody clone in a different buffer formulation containing PBS, BSA, glycerol, and sodium azide (ab40778).

Immunohistochemistry (Formalin/PFA-fixed paraffin-embedded sections) - Anti-APC antibody [EP701Y] - BSA and Azide free (AB239828)
  • IHC-P

Unknown

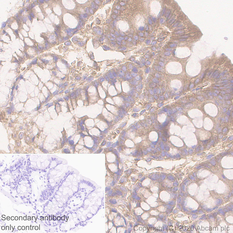
Immunohistochemistry (Formalin/PFA-fixed paraffin-embedded sections) - Anti-APC antibody [EP701Y] - BSA and Azide free (AB239828)

Immunohistochemistry (Formalin/PFA-fixed paraffin-embedded sections) analysis of rat colon tissue sections labeling APC with purified ab40778 at 1/1000 dilution (1.383 μg/mL). Heat mediated antigen retrieval was performed using Bond™ Epitope Retrieval Solution 2 (pH 9.0). Rabbit specific IHC polymer detection kit HRP/DAB (ab209101) was used as the secondary antibody. Negative control : PBS instead of the primary antibody. Hematoxylin was used as a counterstain.
The immunostaining was performed on a Leica Biosystems BOND® RX instrument.

This data was developed using the same antibody clone in a different buffer formulation containing PBS, BSA, glycerol, and sodium azide (ab40778).

Western blot - Anti-APC antibody [EP701Y] - BSA and Azide free (AB239828)
  • WB

Unknown

Western blot - Anti-APC antibody [EP701Y] - BSA and Azide free (AB239828)

The molecular weight observed represents the truncated APC as described in PMID : 17595655.

Blocking/Diluting buffer : 5% NFDM/TBST

This data was developed using the same antibody clone in a different buffer formulation containing PBS, BSA, glycerol, and sodium azide (ab40778).

All lanes:

Western blot - Anti-APC antibody [EP701Y] (<a href='/en-us/products/primary-antibodies/apc-antibody-ep701y-ab40778'>ab40778</a>) at 1/5000 dilution

Lane 1:

HEK-293 (Human embryonic kidney epithelial cell) whole cell lysate at 15 µg

Lane 2:

C2C12 (Mouse myoblasts myoblast) whole cell lysate at 15 µg

Lane 3:

C6 (Rat glial tumor glial cell) whole cell lysate at 15 µg

Secondary

All lanes:

Western blot - Goat Anti-Rabbit IgG H&L (HRP) (<a href='/en-us/products/secondary-antibodies/goat-rabbit-igg-h-l-hrp-ab97051'>ab97051</a>) at 1/20000 dilution

Predicted band size: 312 kDa

Observed band size: 160 kDa

false

Key facts

Host species

Rabbit

Clonality

Monoclonal

Clone number

EP701Y

Isotype

IgG

Carrier free

Yes

Reacts with

Mouse, Rat, Human

Applications

WB, IHC-P, IP, Flow Cyt (Intra), ICC/IF

applications

Immunogen

The exact immunogen used to generate this antibody is proprietary information.

Specificity

This antibody is predicted to detect isoform 2 (short) of APC based on sequence analysis.

Reactivity data

{ "title": "Reactivity Data", "filters": { "stats": ["", "Species", "Dilution Info", "Notes"], "tabs": { "all-applications": {"fullname" : "All Applications", "shortname": "All Applications"}, "IHCP" : {"fullname" : "Immunohistochemistry (Formalin/PFA-fixed paraffin-embedded sections)", "shortname":"IHC-P"}, "ICCIF" : {"fullname" : "Immunocytochemistry/ Immunofluorescence", "shortname":"ICC/IF"}, "IP" : {"fullname" : "Immunoprecipitation", "shortname":"IP"}, "WB" : {"fullname" : "Western blot", "shortname":"WB"}, "FlowCytIntra" : {"fullname" : "Flow Cytometry (Intracellular)", "shortname":"Flow Cyt (Intra)"} }, "product-promise": { "all": "all", "testedAndGuaranteed": "tested", "guaranteed": "expected", "predicted": "predicted", "notRecommended": "not-recommended" } }, "values": { "Human": { "IHCP-species-checked": "testedAndGuaranteed", "IHCP-species-dilution-info": "", "IHCP-species-notes": "<p></p>", "ICCIF-species-checked": "testedAndGuaranteed", "ICCIF-species-dilution-info": "", "ICCIF-species-notes": "<p></p>", "IP-species-checked": "testedAndGuaranteed", "IP-species-dilution-info": "", "IP-species-notes": "<p></p>", "WB-species-checked": "testedAndGuaranteed", "WB-species-dilution-info": "", "WB-species-notes": "<p></p>", "FlowCytIntra-species-checked": "testedAndGuaranteed", "FlowCytIntra-species-dilution-info": "", "FlowCytIntra-species-notes": "<p></p>" }, "Mouse": { "IHCP-species-checked": "testedAndGuaranteed", "IHCP-species-dilution-info": "", "IHCP-species-notes": "<p></p>", "ICCIF-species-checked": "guaranteed", "ICCIF-species-dilution-info": "", "ICCIF-species-notes": "", "IP-species-checked": "guaranteed", "IP-species-dilution-info": "", "IP-species-notes": "", "WB-species-checked": "testedAndGuaranteed", "WB-species-dilution-info": "", "WB-species-notes": "<p></p>", "FlowCytIntra-species-checked": "guaranteed", "FlowCytIntra-species-dilution-info": "", "FlowCytIntra-species-notes": "" }, "Rat": { "IHCP-species-checked": "testedAndGuaranteed", "IHCP-species-dilution-info": "", "IHCP-species-notes": "<p></p>", "ICCIF-species-checked": "guaranteed", "ICCIF-species-dilution-info": "", "ICCIF-species-notes": "", "IP-species-checked": "guaranteed", "IP-species-dilution-info": "", "IP-species-notes": "", "WB-species-checked": "testedAndGuaranteed", "WB-species-dilution-info": "", "WB-species-notes": "<p></p>", "FlowCytIntra-species-checked": "guaranteed", "FlowCytIntra-species-dilution-info": "", "FlowCytIntra-species-notes": "" } } }

Product details

ab239828 is the carrier-free version of ab40778.

Patented technology
Our RabMAb® technology is a patented hybridoma-based technology for making rabbit monoclonal antibodies. For details on our patents, please refer to RabMAb® patents.

What are the advantages of a recombinant monoclonal antibody?
This product is a recombinant monoclonal antibody, which offers several advantages including:

  • - High batch-to-batch consistency and reproducibility
  • - Improved sensitivity and specificity
  • - Long-term security of supply
  • - Animal-free batch production

For more information, read more on recombinant antibodies.

Conjugation ready
Our carrier-free antibodies are typically supplied in a PBS-only formulation, purified and free of BSA, sodium azide and glycerol. This conjugation-ready format is designed for use with fluorochromes, metal isotopes, oligonucleotides, and enzymes, which makes them ideal for antibody labelling, functional and cell-based assays, flow-based assays (e.g. mass cytometry) and Multiplex Imaging applications.

Use our conjugation kits for antibody conjugates that are ready-to-use in as little as 20 minutes with 1 minute hands-on-time and 100% antibody recovery: available for fluorescent dyes, HRP, biotin and gold.

Compatibility
This product is compatible with the Maxpar® Antibody Labeling Kit from Fluidigm, without the need for antibody preparation. Maxpar® is a trademark of Fluidigm Canada Inc.

Properties and storage information

Form
Liquid
Purification technique
Affinity purification Protein A
Storage buffer
pH: 7.2 - 7.4 Constituents: PBS
Shipped at conditions
Blue Ice
Appropriate short-term storage conditions
+4°C
Appropriate long-term storage conditions
+4°C
Storage information
Do Not Freeze

Product protocols

For this product, it's our understanding that no specific protocols are required. You can visit:

Target data

Tumor suppressor. Promotes rapid degradation of CTNNB1 and participates in Wnt signaling as a negative regulator. APC activity is correlated with its phosphorylation state. Activates the GEF activity of SPATA13 and ARHGEF4. Plays a role in hepatocyte growth factor (HGF)-induced cell migration. Required for MMP9 up-regulation via the JNK signaling pathway in colorectal tumor cells. Associates with both microtubules and actin filaments, components of the cytoskeleton (PubMed : 17293347). Plays a role in mediating the organization of F-actin into ordered bundles (PubMed : 17293347). Functions downstream of Rho GTPases and DIAPH1 to selectively stabilize microtubules (By similarity). Acts as a mediator of ERBB2-dependent stabilization of microtubules at the cell cortex. It is required for the localization of MACF1 to the cell membrane and this localization of MACF1 is critical for its function in microtubule stabilization.
See full target information APC

Publications (4)

Recent publications for all applications. Explore the full list and refine your search

Antioxidants (Basel, Switzerland) 14: PubMed40563324

2025

Dynamic Transcriptomic and Cellular Remodeling Underlie Cuprizone-Induced Demyelination and Endogenous Repair in the CNS.

Applications

Unspecified application

Species

Unspecified reactive species

Yantuanjin Ma,Tianyi Liu,Zhipeng Li,Wei Wei,Qiting Zhao,Shufen Wang

Journal of cerebral blood flow and metabolism : official journal of the International Society of Cerebral Blood Flow and Metabolism 44:1145-1162 PubMed38235747

2024

The role of serum/glucocorticoid-regulated kinase 1 in brain function following cerebral ischemia.

Applications

Unspecified application

Species

Unspecified reactive species

Celeste Yin-Chieh Wu,Yulan Zhang,Li Xu,Zhihai Huang,Peibin Zou,Garrett A Clemons,Chun Li,Cristiane T Citadin,Quanguang Zhang,Reggie Hui-Chao Lee

Oncology reports 48: PubMed36177903

2022

OTX1 promotes tumorigenesis and progression of cervical cancer by regulating the Wnt signaling pathway.

Applications

Unspecified application

Species

Unspecified reactive species

Limin Zhou,Hongying Li,Dunlan Zhang,Lu Chen,Hong Dong,Yuqin Yuan,Tinghui Wang

iScience 25:104980 PubMed36093051

2022

Multiplexed protein profiling reveals spatial subcellular signaling networks.

Applications

Unspecified application

Species

Unspecified reactive species

Shuangyi Cai,Thomas Hu,Mythreye Venkatesan,Mayar Allam,Frank Schneider,Suresh S Ramalingam,Shi-Yong Sun,Ahmet F Coskun
View all publications

Product promise

We are committed to supporting your work with high-quality reagents, and we're here for you every step of the way. In the unlikely event that one of our products does not perform as expected, you're protected by our Product Promise.
For full details, please see our Terms & Conditions

Please note: All products are 'FOR RESEARCH USE ONLY. NOT FOR USE IN DIAGNOSTIC OR THERAPEUTIC PROCEDURES'.

For licensing inquiries, please contact partnerships@abcam.com