JavaScript is disabled in your browser. Please enable JavaScript to view this website.
AB76904

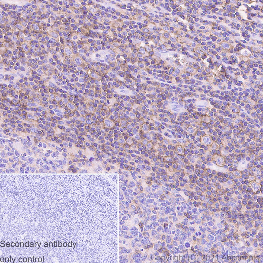
APC Anti-CD48 antibody [MEM-102]

Be the first to review this product! Submit a review

|

(1 Publication)

Mouse Monoclonal CD48 antibody - conjugated to APC. Suitable for IP, Flow Cyt, WB, IHC-P and reacts with Human samples. Cited in 1 publication. Immunogen corresponding to Cell preparation containing CD48 protein.

View Alternative Names

CD48, BCM1, BLAST1, CD48 antigen, B-lymphocyte activation marker BLAST-1, BCM1 surface antigen, Leukocyte antigen MEM-102, SLAM family member 2, Signaling lymphocytic activation molecule 2, TCT.1, SLAMF2

Key facts

Host species

Mouse

Clonality

Monoclonal

Clone number

MEM-102

Isotype

IgG1

Conjugation

APC

Excitation/Emission

Ex: 650nm, Em: 660nm

Carrier free

No

Reacts with

Human

Applications

IP, Flow Cyt, IHC-P, WB

applications

Immunogen

Cell preparation containing CD48 protein. The exact immunogen used to generate this antibody is proprietary information.

P09326

Specificity

ab76904 reaacts with CD48 widely expressed on hematopoietic cells; it is negative on granulocytes, platelets and erythrocytes.

Reactivity data

{ "title": "Reactivity Data", "filters": { "stats": ["", "Species", "Dilution Info", "Notes"], "tabs": { "all-applications": {"fullname" : "All Applications", "shortname": "All Applications"}, "IP" : {"fullname" : "Immunoprecipitation", "shortname":"IP"}, "FlowCyt" : {"fullname" : "Flow Cytometry", "shortname":"Flow Cyt"}, "WB" : {"fullname" : "Western blot", "shortname":"WB"}, "IHCP" : {"fullname" : "Immunohistochemistry (Formalin/PFA-fixed paraffin-embedded sections)", "shortname":"IHC-P"} }, "product-promise": { "all": "all", "testedAndGuaranteed": "tested", "guaranteed": "expected", "predicted": "predicted", "notRecommended": "not-recommended" } }, "values": { "Human": { "IP-species-checked": "guaranteed", "IP-species-dilution-info": "", "IP-species-notes": "<p></p>", "FlowCyt-species-checked": "guaranteed", "FlowCyt-species-dilution-info": "", "FlowCyt-species-notes": "<p><a href='/en-us/products/primary-antibodies/apc-mouse-fab2-igg1-kappa-monoclonal-15h6-isotype-control-ab37391'>ab37391</a> - Mouse monoclonal IgG1, is suitable for use as an isotype control with this antibody.</p>", "WB-species-checked": "guaranteed", "WB-species-dilution-info": "", "WB-species-notes": "<p></p>", "IHCP-species-checked": "guaranteed", "IHCP-species-dilution-info": "", "IHCP-species-notes": "<p></p>" }, "Primates": { "IP-species-checked": "predicted", "IP-species-dilution-info": "", "IP-species-notes": "", "FlowCyt-species-checked": "predicted", "FlowCyt-species-dilution-info": "", "FlowCyt-species-notes": "", "WB-species-checked": "predicted", "WB-species-dilution-info": "", "WB-species-notes": "", "IHCP-species-checked": "predicted", "IHCP-species-dilution-info": "", "IHCP-species-notes": "" } } }

Product details

The purified antibody is conjugated with cross-linked Allophycocyanin (APC) under optimum conditions. The conjugate is purified by size-exclusion chromatography and adjusted for direct use. No reconstitution is necessary.

Properties and storage information

Form
Liquid
Purification technique
Size-exclusion chromatography
Storage buffer
pH: 7.4 Preservative: 0.097% Sodium azide Constituents: PBS, 0.2% BSA
Shipped at conditions
Blue Ice
Appropriate short-term storage conditions
+4°C
Appropriate long-term storage conditions
+4°C

Supplementary information

This supplementary information is collated from multiple sources and compiled automatically.

CD48 also known as SLAMF2 or B-lymphocyte activation marker BLAST-1 is a glycosylphosphatidylinositol (GPI)-anchored protein with a molecular mass approximately 45-70 kDa depending on glycosylation. It is expressed on the surface of various immune cells like T cells B cells and natural killer (NK) cells. CD48 does not possess an intracellular signaling domain but engages in extracellular interactions with other proteins affecting immune cell activities.
Biological function summary

CD48 serves as a co-stimulatory molecule involved in immune response modulation. It interacts with 2B4 (CD244) a member of the signaling lymphocyte activation molecule (SLAM) family to form a receptor-ligand complex. This interaction can result in enhanced T cell and NK cell responses. CD48's presence on activated hematopoietic and non-hematopoietic cells highlights its role in cell-to-cell communication.

Pathways

CD48 participates in SLAM family receptor signaling and natural killer cell-mediated cytotoxicity. In the SLAM pathway CD48 enhances communication and regulation between T cells and NK cells. This communication also relates to the roles of CD244 linking it to downstream signaling pathways that influence immune cell function. These pathways illustrate the critical network CD48 is part of which impacts various immune responses.

CD48 is involved in autoimmune conditions like rheumatoid arthritis and immunological cancers such as lymphoma. In rheumatoid arthritis CD48 along with CD244 modulates immune responses which can exacerbate inflammation. In lymphoma abnormal CD48 expression can contribute to tumor progression and immune evasion indicating its potential as a therapeutic target.

Product protocols

For this product, it's our understanding that no specific protocols are required. You can visit:

Target data

Glycosylphosphatidylinositol (GPI)-anchored cell surface glycoprotein that interacts via its N-terminal immunoglobulin domain with cell surface receptors including CD244/2B4 or CD2 to regulate immune cell function and activation (PubMed : 12007789, PubMed : 19494291, PubMed : 27249817, PubMed : 9841922). Participates in T-cell signaling transduction by associating with CD2 and efficiently bringing the Src family protein kinase LCK and LAT to the TCR/CD3 complex (PubMed : 19494291). In turn, promotes LCK phosphorylation and subsequent activation (PubMed : 12007789). Induces the phosphorylation of the cytoplasmic immunoreceptortyrosine switch motifs (ITSMs) of CD244 initiating a series of signaling events that leads to the generation of the immunological synapse and the directed release of cytolytic granules containing perforin and granzymes by T-lymphocytes and NK-cells (PubMed : 27249817).
See full target information CD48

Publications (1)

Recent publications for all applications. Explore the full list and refine your search

The Journal of biological chemistry 272:19242-7 PubMed9235917

1997

Signal transduction via glycosyl phosphatidylinositol-anchored proteins in T cells is inhibited by lowering cellular cholesterol.

Applications

Unspecified application

Species

Unspecified reactive species

T M Stulnig,M Berger,T Sigmund,H Stockinger,V Horejsí,W Waldhäusl
View all publications

Product promise

We are committed to supporting your work with high-quality reagents, and we're here for you every step of the way. In the unlikely event that one of our products does not perform as expected, you're protected by our Product Promise.
For full details, please see our Terms & Conditions

Please note: All products are 'FOR RESEARCH USE ONLY. NOT FOR USE IN DIAGNOSTIC OR THERAPEUTIC PROCEDURES'.

For licensing inquiries, please contact partnerships@abcam.com