JavaScript is disabled in your browser. Please enable JavaScript to view this website.
AB133397

Anti-Apc1 antibody

5

(1 Review)

|

(4 Publications)

Rabbit Polyclonal APC1 antibody. Suitable for WB, IHC-P and reacts with Human samples. Cited in 4 publications. Immunogen corresponding to Synthetic Peptide within Human ANAPC1.

View Alternative Names

TSG24, ANAPC1, Anaphase-promoting complex subunit 1, APC1, Cyclosome subunit 1, Mitotic checkpoint regulator, Testis-specific gene 24 protein

2 Images
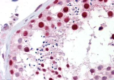
Immunohistochemistry (Formalin/PFA-fixed paraffin-embedded sections) - Anti-Apc1 antibody (AB133397)
  • IHC-P

Unknown

Immunohistochemistry (Formalin/PFA-fixed paraffin-embedded sections) - Anti-Apc1 antibody (AB133397)

Immunohistochemical analysis of formalin-fixed, paraffin-embedded Human testis tissue labelling Apc1 with ab133397 at 5 µg/ml, using a biotinylated goat anti-rabbit IgG secondary antibody, alkaline phosphatase-streptavidin and chromogen.

Western blot - Anti-Apc1 antibody (AB133397)
  • WB

Unknown

Western blot - Anti-Apc1 antibody (AB133397)

Lane 1:

Western blot - Anti-Apc1 antibody (ab133397) at 1 µg/mL

Lane 2:

Western blot - Anti-Apc1 antibody (ab133397) at 2 µg/mL

All lanes:

SK-N-SH cell lysate

Predicted band size: 216 kDa

false

Key facts

Host species

Rabbit

Clonality

Polyclonal

Isotype

IgG

Carrier free

No

Reacts with

Human

Applications

WB, IHC-P

applications

Immunogen

Synthetic Peptide within Human ANAPC1. The exact immunogen used to generate this antibody is proprietary information.

Q9H1A4

Reactivity data

{ "title": "Reactivity Data", "filters": { "stats": ["", "Species", "Dilution Info", "Notes"], "tabs": { "all-applications": {"fullname" : "All Applications", "shortname": "All Applications"}, "WB" : {"fullname" : "Western blot", "shortname":"WB"}, "IHCP" : {"fullname" : "Immunohistochemistry (Formalin/PFA-fixed paraffin-embedded sections)", "shortname":"IHC-P"} }, "product-promise": { "all": "all", "testedAndGuaranteed": "tested", "guaranteed": "expected", "predicted": "predicted", "notRecommended": "not-recommended" } }, "values": { "Human": { "WB-species-checked": "testedAndGuaranteed", "WB-species-dilution-info": "1-2 µg/mL", "WB-species-notes": "<p></p>", "IHCP-species-checked": "testedAndGuaranteed", "IHCP-species-dilution-info": "5 µg/mL", "IHCP-species-notes": "<p></p>" }, "Mouse": { "WB-species-checked": "predicted", "WB-species-dilution-info": "", "WB-species-notes": "", "IHCP-species-checked": "predicted", "IHCP-species-dilution-info": "", "IHCP-species-notes": "" } } }

Properties and storage information

Form
Liquid
Purification technique
Affinity purification Immunogen
Storage buffer
pH: 7.4 Preservative: 0.02% Sodium azide Constituents: PBS
Shipped at conditions
Blue Ice
Appropriate short-term storage duration
1-2 weeks
Appropriate short-term storage conditions
+4°C
Appropriate long-term storage conditions
-20°C
Aliquoting information
Upon delivery aliquot

Supplementary information

This supplementary information is collated from multiple sources and compiled automatically.

The Apc1 protein also known as Anaphase Promoting Complex subunit 1 is a core component of the Anaphase Promoting Complex/Cyclosome (APC/C). With a molecular mass of approximately 215 kDa Apc1 functions within the cell cycle particularly in regulating progression. It is expressed in the nucleus of eukaryotic cells and plays a significant role in governing the ubiquitination and degradation of cell cycle regulators which helps ensure orderly cell division.
Biological function summary

The Anaphase Promoting Complex subunit Apc1 is vital in executing the degradation of securin and cyclin B during the cell cycle. This activity is integral to the transition from metaphase to anaphase during mitosis. Apc1 participates as a structural core within the APC/C complex—a multi-subunit E3 ubiquitin ligase complex. The APC/C complex controls protein ligation marking them for proteasomal degradation and thereby contributing to accurate mitosis and meiosis.

Pathways

Apc1 operates within the cell cycle and ubiquitin-proteasome system pathways. It plays a pivotal part in regulating the metaphase-anaphase transition and exits from mitosis. The protein associates with key cell cycle proteins such as CDC20 and CDH1 which serve as activators for the APC/C complex modulating its activity across different phases of the cell cycle.

The misregulation of Apc1 associates with cancer and certain chromosomal instability syndromes. Aberrant APC/C activity can result in uncontrolled cell proliferation observed in various cancer types including colorectal cancer wherein Apc1 may connect to other proteins like p53 a critical tumor suppressor mutated in many cancers. Altered Apc1 function and consequent cell cycle errors implicate genetic instability which can underlie chromosomal instability syndromes.

Product protocols

For this product, it's our understanding that no specific protocols are required. You can visit:

Target data

Component of the anaphase promoting complex/cyclosome (APC/C), a cell cycle-regulated E3 ubiquitin ligase that controls progression through mitosis and the G1 phase of the cell cycle (PubMed : 18485873). The APC/C complex acts by mediating ubiquitination and subsequent degradation of target proteins : it mainly mediates the formation of 'Lys-11'-linked polyubiquitin chains and, to a lower extent, the formation of 'Lys-48'- and 'Lys-63'-linked polyubiquitin chains (PubMed : 18485873). The APC/C complex catalyzes assembly of branched 'Lys-11'-/'Lys-48'-linked branched ubiquitin chains on target proteins (PubMed : 29033132).
See full target information ANAPC1

Publications (4)

Recent publications for all applications. Explore the full list and refine your search

Journal of virology 95:e0097120 PubMed34011540

2021

Human Immunodeficiency Virus Type 1 Vpr Mediates Degradation of APC1, a Scaffolding Component of the Anaphase-Promoting Complex/Cyclosome.

Applications

Unspecified application

Species

Unspecified reactive species

Jérémy A Ferreira Barbosa,Samantha Sparapani,Jonathan Boulais,Robert Lodge,Éric A Cohen

Technology in cancer research & treatment 18:1533033819875166 PubMed31769345

2019

Targeted Inhibitory Effect of Nasopharyngeal Carcinoma Cells by Hre.Grp78 Chimeric Promoter Regulating Fusion Gene .

Applications

Unspecified application

Species

Unspecified reactive species

Jin-Yun Li,Wen-Xiao Huang,Jie Chen,Su-Ping Zhao,Yao-Yun Tang

Bioscience reports 39: PubMed30808715

2019

gene suppresses intracranial aneurysm formation and rupture through inhibiting the NF-κB signaling pathway mediated inflammatory response.

Applications

Unspecified application

Species

Unspecified reactive species

Xian-Liang Lai,Zhi-Feng Deng,Xin-Gen Zhu,Zhi-Hua Chen

Nature communications 5:3667 PubMed24770399

2014

Emi2 mediates meiotic MII arrest by competitively inhibiting the binding of Ube2S to the APC/C.

Applications

Unspecified application

Species

Unspecified reactive species

Kosuke Sako,Kazuhiro Suzuki,Michitaka Isoda,Satomi Yoshikai,Chiharu Senoo,Nobushige Nakajo,Munemichi Ohe,Noriyuki Sagata
View all publications

Product promise

We are committed to supporting your work with high-quality reagents, and we're here for you every step of the way. In the unlikely event that one of our products does not perform as expected, you're protected by our Product Promise.
For full details, please see our Terms & Conditions

Please note: All products are 'FOR RESEARCH USE ONLY. NOT FOR USE IN DIAGNOSTIC OR THERAPEUTIC PROCEDURES'.

For licensing inquiries, please contact partnerships@abcam.com