JavaScript is disabled in your browser. Please enable JavaScript to view this website.
AB233753

Anti-APC2 antibody [3A2G2]

Be the first to review this product! Submit a review

|

(4 Publications)

Mouse Monoclonal APC2 antibody. Suitable for Flow Cyt, WB, IHC-P, ICC/IF and reacts with Human samples. Cited in 4 publications. Immunogen corresponding to Recombinant Fragment Protein within Human APC2 aa 2000-2200.

View Alternative Names

APCL, APC2, Adenomatous polyposis coli protein 2, Adenomatous polyposis coli protein-like, APC-like

6 Images
Immunocytochemistry/ Immunofluorescence - Anti-APC2 antibody [3A2G2] (AB233753)
  • ICC/IF

Supplier Data

Immunocytochemistry/ Immunofluorescence - Anti-APC2 antibody [3A2G2] (AB233753)

HeLa (human prostate adenocarcinoma cell line) cells stained for APC2 (green) using ab233753 at 1/200 dilution in ICC/IF.

Blue : DRAQ5 fluorescent DNA dye. Red : Actin filaments have been labeled with Alexa Fluor- 555 phalloidin.

Flow Cytometry - Anti-APC2 antibody [3A2G2] (AB233753)
  • Flow Cyt

Supplier Data

Flow Cytometry - Anti-APC2 antibody [3A2G2] (AB233753)

Flow cytometric analysis of HeLa (human epithelial cell line from cervix adenocarcinoma) cell line labelling APC2 with ab233753 at 1/200 dilution (green) compared with a negative control (red).

Immunohistochemistry (Formalin/PFA-fixed paraffin-embedded sections) - Anti-APC2 antibody [3A2G2] (AB233753)
  • IHC-P

Supplier Data

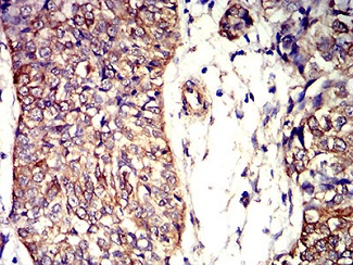
Immunohistochemistry (Formalin/PFA-fixed paraffin-embedded sections) - Anti-APC2 antibody [3A2G2] (AB233753)

Paraffin-embedded human ovarian cancer tissue stained for APC2 using ab233753 at 1/200 dilution in immunohistochemical analysis. DAB staining.

Immunohistochemistry (Formalin/PFA-fixed paraffin-embedded sections) - Anti-APC2 antibody [3A2G2] (AB233753)
  • IHC-P

Supplier Data

Immunohistochemistry (Formalin/PFA-fixed paraffin-embedded sections) - Anti-APC2 antibody [3A2G2] (AB233753)

Paraffin-embedded human bladder cancer tissue stained for APC2 using ab233753 at 1/200 dilution in immunohistochemical analysis. DAB staining.

Western blot - Anti-APC2 antibody [3A2G2] (AB233753)
  • WB

Supplier Data

Western blot - Anti-APC2 antibody [3A2G2] (AB233753)

Lanes 1 - 2:

Western blot - Anti-APC2 antibody [3A2G2] (ab233753) at 1/500 dilution

Lanes 1 - 2:

Western blot - Anti-AS160 antibody [8A11A2] (<a href='/en-us/products/primary-antibodies/as160-antibody-8a11a2-ab233784'>ab233784</a>) at 1/500 dilution

Lane 1:

HEK-293 (human epithelial cell line from embryonic kidney) whole cell lysate

Lane 2:

AS160 (AA: 574-712)-hIgGFc transfected HEK-293 whole cell lysate

Predicted band size: 146 kDa,244 kDa

true

Western blot - Anti-APC2 antibody [3A2G2] (AB233753)
  • WB

Supplier Data

Western blot - Anti-APC2 antibody [3A2G2] (AB233753)

Expected MW is 40.9 kDa.

All lanes:

Western blot - Anti-APC2 antibody [3A2G2] (ab233753) at 1/500 dilution

All lanes:

Human APC2 (aa 2041-2181) recombinant protein

Predicted band size: 244 kDa

false

Key facts

Host species

Mouse

Clonality

Monoclonal

Clone number

3A2G2

Isotype

IgG1

Carrier free

No

Reacts with

Human

Applications

WB, Flow Cyt, ICC/IF, IHC-P

applications

Immunogen

Recombinant Fragment Protein within Human APC2 aa 2000-2200. The exact immunogen used to generate this antibody is proprietary information.

O95996

Reactivity data

{ "title": "Reactivity Data", "filters": { "stats": ["", "Species", "Dilution Info", "Notes"], "tabs": { "all-applications": {"fullname" : "All Applications", "shortname": "All Applications"}, "FlowCyt" : {"fullname" : "Flow Cytometry", "shortname":"Flow Cyt"}, "WB" : {"fullname" : "Western blot", "shortname":"WB"}, "IHCP" : {"fullname" : "Immunohistochemistry (Formalin/PFA-fixed paraffin-embedded sections)", "shortname":"IHC-P"}, "ICCIF" : {"fullname" : "Immunocytochemistry/ Immunofluorescence", "shortname":"ICC/IF"} }, "product-promise": { "all": "all", "testedAndGuaranteed": "tested", "guaranteed": "expected", "predicted": "predicted", "notRecommended": "not-recommended" } }, "values": { "Human": { "FlowCyt-species-checked": "testedAndGuaranteed", "FlowCyt-species-dilution-info": "1/200 - 1/400", "FlowCyt-species-notes": "<p></p>", "WB-species-checked": "testedAndGuaranteed", "WB-species-dilution-info": "1/500 - 1/2000", "WB-species-notes": "<p></p>", "IHCP-species-checked": "testedAndGuaranteed", "IHCP-species-dilution-info": "1/200 - 1/1000", "IHCP-species-notes": "<p></p>", "ICCIF-species-checked": "testedAndGuaranteed", "ICCIF-species-dilution-info": "1/200 - 1/1000", "ICCIF-species-notes": "<p></p>" } } }

Properties and storage information

Form
Liquid
Purification technique
Affinity purification Protein G
Purification notes
Purified from tissue culture supernatant.
Storage buffer
Preservative: 0.05% Sodium azide Constituents: PBS
Shipped at conditions
Blue Ice
Appropriate short-term storage duration
1-2 weeks
Appropriate short-term storage conditions
+4°C
Appropriate long-term storage conditions
-20°C
Aliquoting information
Upon delivery aliquot
Storage information
Avoid freeze / thaw cycle

Supplementary information

This supplementary information is collated from multiple sources and compiled automatically.

APC2 also known as Adenomatous Polyposis Coli 2 is a critical regulator of cell function primarily involved in the cell cycle and stability of beta-catenin. This protein has a molecular mass of approximately 260 kDa and is mainly expressed in neural tissue and embryonic development stages. APC2 shares structural similarities with APC1 including the presence of armadillo repeats which facilitate protein-protein interactions necessary for its function.
Biological function summary

APC2 interacts with cytoskeletal networks and contributes to cellular architecture and mobility. It is a component of the WNT signaling cascade mainly directing the degradation of beta-catenin which prevents irregular cell proliferation. APC2 forms part of the destruction complex working alongside proteins like Axin and GSK3β to regulate beta-catenin levels within cells.

Pathways

APC2 plays a significant role in the WNT signaling pathway important for cellular growth and communication. Through this pathway APC2 interacts with various proteins such as beta-catenin and GSK3β controlling their activity and stability. Its function in this pathway impacts gene expression which is critical for processes like embryonic development and adult tissue homeostasis.

Mutations or dysregulation of APC2 have been associated with colorectal cancer and neural developmental anomalies. These conditions often involve aberrations in the WNT signaling pathway where APC2 fails to regulate beta-catenin adequately. Research has linked APC2 with APC1 where both proteins contribute to oncogenic processes when their regulatory roles in beta-catenin degradation are compromised.

Product protocols

For this product, it's our understanding that no specific protocols are required. You can visit:

Target data

Stabilizes microtubules and may regulate actin fiber dynamics through the activation of Rho family GTPases (PubMed : 25753423). May also function in Wnt signaling by promoting the rapid degradation of CTNNB1 (PubMed : 10021369, PubMed : 11691822, PubMed : 9823329).
See full target information APC2

Publications (4)

Recent publications for all applications. Explore the full list and refine your search

International journal of molecular medicine 52: PubMed37449511

2023

E74‑like ETS transcription factor 5 facilitates cell proliferation through regulating the expression of adenomatous polyposis coli 2 in non‑small cell lung cancer.

Applications

Unspecified application

Species

Unspecified reactive species

Jing Wen,Genggeng Qin,Zhaojing Jiang,Zixun Lin,Ruixin Zhou,Hui Dai,Zhanfa Xu,Weiguo Chen,Qiancheng Song

Frontiers in oncology 12:816760 PubMed36033440

2022

Comprehensive Analysis of the Prognostic Value and Immune Infiltration of Butyrophilin Subfamily 2/3 (BTN2/3) Members in Pan-Glioma.

Applications

Unspecified application

Species

Unspecified reactive species

Dong He,Zhen Qin,Zihao Liu,Xiaoshuai Ji,Jiajia Gao,Hua Guo,Fan Yang,Haitao Fan,Yanbang Wei,Zixiao Wang,Qian Liu,Qi Pang

Frontiers in cell and developmental biology 9:659731 PubMed34631691

2021

FOXO4 Inhibits the Migration and Metastasis of Colorectal Cancer by Regulating the /β-Catenin Axis.

Applications

Unspecified application

Species

Unspecified reactive species

Yan Sun,Lin Wang,Xuehu Xu,Puqing Han,Jinghao Wu,Xuan Tian,Mingsong Li

Molecular pain 12: PubMed27184142

2016

Downregulation of Cdh1 signalling in spinal dorsal horn contributes to the maintenance of mechanical allodynia after nerve injury in rats.

Applications

Unspecified application

Species

Unspecified reactive species

Rong Hu,Li Li,Dajia Li,Wei Tan,Li Wan,Chang Zhu,Yue Zhang,Chuanhan Zhang,Wenlong Yao
View all publications

Product promise

We are committed to supporting your work with high-quality reagents, and we're here for you every step of the way. In the unlikely event that one of our products does not perform as expected, you're protected by our Product Promise.
For full details, please see our Terms & Conditions

Please note: All products are 'FOR RESEARCH USE ONLY. NOT FOR USE IN DIAGNOSTIC OR THERAPEUTIC PROCEDURES'.

For licensing inquiries, please contact partnerships@abcam.com