JavaScript is disabled in your browser. Please enable JavaScript to view this website.
AB250509

Anti-Apc6 antibody [EPR16889] - BSA and Azide free

Be the first to review this product! Submit a review

|

(1 Publication)

Rabbit Recombinant Monoclonal Apc6 antibody. Carrier free. Suitable for IP, WB and reacts with Human, Mouse, Rat samples. Cited in 1 publication.

View Alternative Names

ANAPC6, CDC16, Cell division cycle protein 16 homolog, Anaphase-promoting complex subunit 6, CDC16 homolog, Cyclosome subunit 6, APC6, CDC16Hs

4 Images
Immunoprecipitation - Anti-Apc6 antibody [EPR16889] - BSA and Azide free (AB250509)
  • IP

Supplier Data

Immunoprecipitation - Anti-Apc6 antibody [EPR16889] - BSA and Azide free (AB250509)

This data was developed using ab181567, the same antibody clone in a different buffer formulation.

APC6 Protein was immunoprecipitated from 1mg of HeLa (Human epithelial cells from cervix adenocarcinoma) whole cell extract with ab181567 at 1/30 dilution. Western blot was performed from the immunoprecipitate using ab181567 at 1/1000 dilution. Anti-Rabbit IgG (HRP), specific to the non-reduced form of IgG, was used as secondary antibody at 1/1500 dilution. Lane 1 : HeLa whole cell extract. Lane 2 : PBS instead of HeLa whole cell extract.

Blocking and dilution buffer and concentration : 5% NFDM/TBST.

All lanes:

Immunoprecipitation - Anti-Apc6 antibody [EPR16889] (<a href='/en-us/products/primary-antibodies/apc6-antibody-epr16889-ab181567'>ab181567</a>)

Predicted band size: 71 kDa

false

Western blot - Anti-Apc6 antibody [EPR16889] - BSA and Azide free (AB250509)
  • WB

Supplier Data

Western blot - Anti-Apc6 antibody [EPR16889] - BSA and Azide free (AB250509)

This data was developed using ab181567, the same antibody clone in a different buffer formulation.

Blocking and dilution buffer : 5% NFDM/TBST.

All lanes:

Western blot - Anti-Apc6 antibody [EPR16889] (<a href='/en-us/products/primary-antibodies/apc6-antibody-epr16889-ab181567'>ab181567</a>) at 1/5000 dilution

Lane 1:

L-929 (Mouse connective tissue fibroblast cells) whole cell lysate at 20 µg

Lane 2:

HeLa (Human epithelial cells from cervix adenocarcinoma) whole cell lysate at 20 µg

Lane 3:

HepG2 (Human liver hepatocellular carcinoma) whole cell lysate at 20 µg

Lane 4:

HT1080 (Human fibrosarcoma cells) whole cell lysate at 10 µg

Secondary

All lanes:

Goat Anti-Rabbit IgG (H+L), Peroxidase conjugated at 1/1000 dilution

Predicted band size: 71 kDa

Observed band size: 71 kDa

false

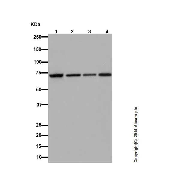
Western blot - Anti-Apc6 antibody [EPR16889] - BSA and Azide free (AB250509)
  • WB

Supplier Data

Western blot - Anti-Apc6 antibody [EPR16889] - BSA and Azide free (AB250509)

This data was developed using ab181567, the same antibody clone in a different buffer formulation.

Blocking and dilution buffer : 5% NFDM/TBST.

All lanes:

Western blot - Anti-Apc6 antibody [EPR16889] (<a href='/en-us/products/primary-antibodies/apc6-antibody-epr16889-ab181567'>ab181567</a>) at 1/1000 dilution

Lane 1:

Human fetal liver tissue lysate at 10 µg

Lane 2:

Mouse liver tissue lysate at 10 µg

Secondary

All lanes:

Goat Anti-Rabbit IgG, (H+L),Peroxidase conjugated at 1/1000 dilution

Predicted band size: 71 kDa

Observed band size: 71 kDa

false

Western blot - Anti-Apc6 antibody [EPR16889] - BSA and Azide free (AB250509)
  • WB

Supplier Data

Western blot - Anti-Apc6 antibody [EPR16889] - BSA and Azide free (AB250509)

This data was developed using ab181567, the same antibody clone in a different buffer formulation.

Blocking and dilution buffer : 5% NFDM/TBST.

All lanes:

Western blot - Anti-Apc6 antibody [EPR16889] (<a href='/en-us/products/primary-antibodies/apc6-antibody-epr16889-ab181567'>ab181567</a>) at 1/5000 dilution

Lane 1:

C6 (Rat glial tumor cells) whole cell lysates at 10 µg

Lane 2:

RAW 264.7 (Mouse macrophage cells transformed with Abelson murine leukemia virus) whole cell lysates at 10 µg

Lane 3:

PC-12 (Rat adrenal gland pheochromocytoma) whole cell lysates at 10 µg

Lane 4:

NIH/3T3 (Mouse embyro fibroblast cells) whole cell lysates at 10 µg

Secondary

All lanes:

Goat Anti-Rabbit IgG, (H+L),Peroxidase conjugated at 1/1000 dilution

Predicted band size: 71 kDa

Observed band size: 71 kDa

false

Key facts

Host species

Rabbit

Clonality

Monoclonal

Clone number

EPR16889

Isotype

IgG

Carrier free

Yes

Reacts with

Mouse, Rat, Human

Applications

IP, WB

applications

Immunogen

The exact immunogen used to generate this antibody is proprietary information.

Reactivity data

{ "title": "Reactivity Data", "filters": { "stats": ["", "Species", "Dilution Info", "Notes"], "tabs": { "all-applications": {"fullname" : "All Applications", "shortname": "All Applications"}, "IP" : {"fullname" : "Immunoprecipitation", "shortname":"IP"}, "WB" : {"fullname" : "Western blot", "shortname":"WB"} }, "product-promise": { "all": "all", "testedAndGuaranteed": "tested", "guaranteed": "expected", "predicted": "predicted", "notRecommended": "not-recommended" } }, "values": { "Human": { "IP-species-checked": "testedAndGuaranteed", "IP-species-dilution-info": "", "IP-species-notes": "<p></p>", "WB-species-checked": "testedAndGuaranteed", "WB-species-dilution-info": "", "WB-species-notes": "<p></p>" }, "Mouse": { "IP-species-checked": "guaranteed", "IP-species-dilution-info": "", "IP-species-notes": "", "WB-species-checked": "testedAndGuaranteed", "WB-species-dilution-info": "", "WB-species-notes": "<p></p>" }, "Rat": { "IP-species-checked": "guaranteed", "IP-species-dilution-info": "", "IP-species-notes": "", "WB-species-checked": "testedAndGuaranteed", "WB-species-dilution-info": "", "WB-species-notes": "<p></p>" } } }

Product details

ab250509 is the carrier-free version of ab181567.

Patented technology
Our RabMAb® technology is a patented hybridoma-based technology for making rabbit monoclonal antibodies. For details on our patents, please refer to RabMAb® patents.

What are the advantages of a recombinant monoclonal antibody?
This product is a recombinant monoclonal antibody, which offers several advantages including:

  • - High batch-to-batch consistency and reproducibility
  • - Improved sensitivity and specificity
  • - Long-term security of supply
  • - Animal-free batch production

For more information, read more on recombinant antibodies.

Conjugation ready
Our carrier-free antibodies are typically supplied in a PBS-only formulation, purified and free of BSA, sodium azide and glycerol. This conjugation-ready format is designed for use with fluorochromes, metal isotopes, oligonucleotides, and enzymes, which makes them ideal for antibody labelling, functional and cell-based assays, flow-based assays (e.g. mass cytometry) and Multiplex Imaging applications.

Use our conjugation kits for antibody conjugates that are ready-to-use in as little as 20 minutes with 1 minute hands-on-time and 100% antibody recovery: available for fluorescent dyes, HRP, biotin and gold.

Compatibility
This product is compatible with the Maxpar® Antibody Labeling Kit from Fluidigm, without the need for antibody preparation. Maxpar® is a trademark of Fluidigm Canada Inc.

Properties and storage information

Form
Liquid
Purification technique
Affinity purification Protein A
Storage buffer
pH: 7.2 - 7.4 Constituents: PBS
Shipped at conditions
Blue Ice
Appropriate short-term storage conditions
+4°C
Appropriate long-term storage conditions
+4°C
Storage information
Do Not Freeze

Supplementary information

This supplementary information is collated from multiple sources and compiled automatically.

Apc6 also known as Anaphase Promoting Complex subunit 6 is essential in cell cycle regulation. It has a molecular mass of approximately 92 kDa. Apc6 is mainly observed in eukaryotic cells reflecting its significant role across diverse organisms. The protein functions as an important player in the Anaphase Promoting Complex/Cyclosome (APC/C) a critical ubiquitin ligase that targets cell cycle regulators for degradation.
Biological function summary

As part of the APC/C complex Apc6 contributes to the ubiquitination and proteasomal degradation of key proteins therefore controlling the cell cycle's transition phases. This regulation ensures orderly progression from metaphase to anaphase by targeting specific cell cycle proteins such as cyclins and securin. The precise role of Apc6 within this complex highlights its importance in maintaining genomic stability especially during the division process.

Pathways

Apc6's involvement in the ubiquitin-proteasome pathway highlights its regulatory action in cell cycle progression. This protein intricately interplays with others like Cdc20 and Cdh1 which serve as activators of the APC/C at different phases of the cycle. Apc6 also aligns itself with the spindle assembly checkpoint pathway providing a surveillance mechanism to prevent premature separation of chromosomes which is critical for preventing aneuploidy.

The malfunction of Apc6 is associated with various forms of cancer highlighting its pivotal role in cell division. Abnormal Apc6 function can lead to uncontrolled cell proliferation and genomic instability conditions often seen in tumor development. Furthermore alterations in Apc6 may connect to neurodegenerative diseases like Alzheimer's possibly due to its regulatory influence over protein degradation processes in neurons.

Product protocols

For this product, it's our understanding that no specific protocols are required. You can visit:

Target data

Component of the anaphase promoting complex/cyclosome (APC/C), a cell cycle-regulated E3 ubiquitin ligase that controls progression through mitosis and the G1 phase of the cell cycle (PubMed : 18485873). The APC/C complex acts by mediating ubiquitination and subsequent degradation of target proteins : it mainly mediates the formation of 'Lys-11'-linked polyubiquitin chains and, to a lower extent, the formation of 'Lys-48'- and 'Lys-63'-linked polyubiquitin chains (PubMed : 18485873). The APC/C complex catalyzes assembly of branched 'Lys-11'-/'Lys-48'-linked branched ubiquitin chains on target proteins (PubMed : 29033132).
See full target information CDC16

Publications (1)

Recent publications for all applications. Explore the full list and refine your search

Scientific reports 14:15564 PubMed38971897

2024

LILRB4 knockdown inhibits aortic dissection development by regulating pyroptosis and the JAK2/STAT3 signaling pathway.

Applications

Unspecified application

Species

Unspecified reactive species

Jianxian Xiong,Jiayuan Ling,Jie Yan,Yanyu Duan,Junjian Yu,Wentong Li,Wenbo Yu,Jianfeng Gao,Dilin Xie,Ziyou Liu,Yongzhi Deng,Yongling Liao
View all publications

Product promise

We are committed to supporting your work with high-quality reagents, and we're here for you every step of the way. In the unlikely event that one of our products does not perform as expected, you're protected by our Product Promise.
For full details, please see our Terms & Conditions

Please note: All products are 'FOR RESEARCH USE ONLY. NOT FOR USE IN DIAGNOSTIC OR THERAPEUTIC PROCEDURES'.

For licensing inquiries, please contact partnerships@abcam.com