JavaScript is disabled in your browser. Please enable JavaScript to view this website.
AB268193

Anti-APE1 antibody [CPTC-APEX1-2] - BSA and Azide free

Be the first to review this product! Submit a review

|

(1 Publication)

Mouse Monoclonal APE1 antibody. Carrier free. Suitable for Flow Cyt, WB, Protein Array, ICC/IF, IHC-P and reacts with Human, Recombinant full length protein - Human samples. Cited in 1 publication. Immunogen corresponding to Recombinant Full Length Protein corresponding to Human APEX1.

View Alternative Names

APE, APE1, APEX, APX, HAP1, REF1, APEX1, DNA repair nuclease/redox regulator APEX1, APEX nuclease, Apurinic-apyrimidinic endonuclease 1, DNA-(apurinic or apyrimidinic site) endonuclease, Redox factor-1, APEN, AP endonuclease 1, APE-1, REF-1

6 Images
Immunocytochemistry/ Immunofluorescence - Anti-APE1 antibody [CPTC-APEX1-2] - BSA and Azide free (AB268193)
  • ICC/IF

Unknown

Immunocytochemistry/ Immunofluorescence - Anti-APE1 antibody [CPTC-APEX1-2] - BSA and Azide free (AB268193)

Immunofluorescence staining of HeLa (Human epithelial cell line from cervix adenocarcinoma) cells labeling APE1 with ab268072 at 2 μg/ml followed by Goat anti-Mouse IgG-CF488 (Green). Phalloidin CF640 stains the membrane red.

This data was developed using the same antibody clone in a different buffer formulation containing PBS, BSA and Sodium azide (ab268072)

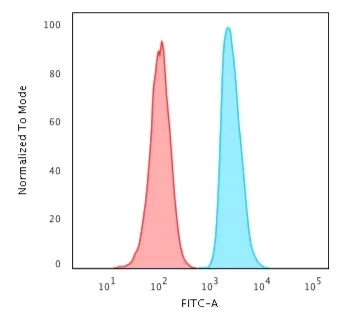
Flow Cytometry - Anti-APE1 antibody [CPTC-APEX1-2] - BSA and Azide free (AB268193)
  • Flow Cyt

Unknown

Flow Cytometry - Anti-APE1 antibody [CPTC-APEX1-2] - BSA and Azide free (AB268193)

Flow Cytometryetric analysis of HeLa (Human epithelial cell line from cervix adenocarcinoma) cells stained for APE1 using ab268072. Goat anti-Mouse IgG-CF488 (Blue); Isotype Control (Red).

This data was developed using the same antibody clone in a different buffer formulation containing PBS, BSA and Sodium azide (ab268072)

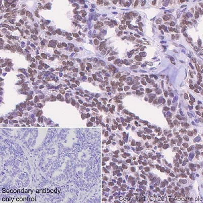
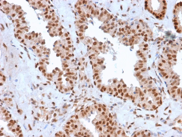
Immunohistochemistry (Formalin/PFA-fixed paraffin-embedded sections) - Anti-APE1 antibody [CPTC-APEX1-2] - BSA and Azide free (AB268193)
  • IHC-P

Unknown

Immunohistochemistry (Formalin/PFA-fixed paraffin-embedded sections) - Anti-APE1 antibody [CPTC-APEX1-2] - BSA and Azide free (AB268193)

Formalin-fixed, paraffin-embedded human prostate carcinoma tissue stained for APE1 using ab268072 at 2 μg/ml in immunohistochemical analysis

This data was developed using the same antibody clone in a different buffer formulation containing PBS, BSA and Sodium azide (ab268072)

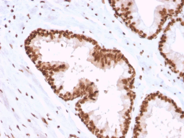
Immunohistochemistry (Formalin/PFA-fixed paraffin-embedded sections) - Anti-APE1 antibody [CPTC-APEX1-2] - BSA and Azide free (AB268193)
  • IHC-P

Unknown

Immunohistochemistry (Formalin/PFA-fixed paraffin-embedded sections) - Anti-APE1 antibody [CPTC-APEX1-2] - BSA and Azide free (AB268193)

Formalin-fixed, paraffin-embedded human prostate carcinoma tissue stained for APE1 using ab268072 at 2 μg/ml in immunohistochemical analysis.

This data was developed using the same antibody clone in a different buffer formulation containing PBS, BSA and Sodium azide (ab268072)

Western blot - Anti-APE1 antibody [CPTC-APEX1-2] - BSA and Azide free (AB268193)
  • WB

Unknown

Western blot - Anti-APE1 antibody [CPTC-APEX1-2] - BSA and Azide free (AB268193)

This data was developed using the same antibody clone in a different buffer formulation containing PBS, BSA and Sodium azide (ab268072)

All lanes:

Western blot - Anti-APE1 antibody [CPTC-APEX1-2] (<a href='/en-us/products/primary-antibodies/ape1-antibody-cptc-apex1-2-ab268072'>ab268072</a>) at 2 µg/mL

Lane 1:

A431 (Human epidermoid carcinoma cell line) cell lysate

Lane 2:

A549 (Human lung carcinoma cell line) cell lysate

Lane 3:

PC3 (Human prostate adenocarcinoma cell line) cell lysate

Lane 4:

HAP1 (Human cell line) cell lysate

Lane 5:

HepG2 (Human liver hepatocellular carcinoma cell line) cell lysate

Predicted band size: 35 kDa

false

Protein Array - Anti-APE1 antibody [CPTC-APEX1-2] - BSA and Azide free (AB268193)
  • Protein Array

Unknown

Protein Array - Anti-APE1 antibody [CPTC-APEX1-2] - BSA and Azide free (AB268193)

Protein Array containing more than 19,000 full-length human proteins using ab268072.

Z- and S- Score : The Z-score represents the strength of a signal that a monoclonal antibody (MAb) (in combination with a fluorescently-tagged anti-IgG secondary antibody) produces when binding to a particular protein on the HuProtTM array. Z-scores are described in units of standard deviations (SD's) above the mean value of all signals generated on that array. If targets on HuProtTM are arranged in descending order of the Z-score, the S-score is the difference (also in units of SD's) between the Z-score. S-score therefore represents the relative target specificity of a MAb to its intended target. A MAb is considered to specific to its intended target, if the MAb has an S-score of at least 2.5. For example, if a MAb binds to protein X with a Z-score of 43 and to protein Y with a Z-score of 14, then the S-score for the binding of that MAb to protein X is equal to 29.

This data was developed using the same antibody clone in a different buffer formulation containing PBS, BSA and Sodium azide (ab268072)

Key facts

Host species

Mouse

Clonality

Monoclonal

Clone number

CPTC-APEX1-2

Isotype

IgG1

Light chain type

kappa

Carrier free

Yes

Reacts with

Human

Applications

ICC/IF, Protein Array, Flow Cyt, IHC-P, WB

applications

Immunogen

Recombinant Full Length Protein corresponding to Human APEX1.

P27695

Reactivity data

{ "title": "Reactivity Data", "filters": { "stats": ["", "Species", "Dilution Info", "Notes"], "tabs": { "all-applications": {"fullname" : "All Applications", "shortname": "All Applications"}, "FlowCyt" : {"fullname" : "Flow Cytometry", "shortname":"Flow Cyt"}, "WB" : {"fullname" : "Western blot", "shortname":"WB"}, "ProteinArray" : {"fullname" : "Protein Array", "shortname":"Protein Array"}, "ICCIF" : {"fullname" : "Immunocytochemistry/ Immunofluorescence", "shortname":"ICC/IF"}, "IHCP" : {"fullname" : "Immunohistochemistry (Formalin/PFA-fixed paraffin-embedded sections)", "shortname":"IHC-P"} }, "product-promise": { "all": "all", "testedAndGuaranteed": "tested", "guaranteed": "expected", "predicted": "predicted", "notRecommended": "not-recommended" } }, "values": { "Human": { "FlowCyt-species-checked": "testedAndGuaranteed", "FlowCyt-species-dilution-info": "1-2 µg for 10^6 Cells", "FlowCyt-species-notes": "<p></p>", "WB-species-checked": "testedAndGuaranteed", "WB-species-dilution-info": "1-2 µg/mL", "WB-species-notes": "<p></p>", "ProteinArray-species-checked": "guaranteed", "ProteinArray-species-dilution-info": "", "ProteinArray-species-notes": "", "ICCIF-species-checked": "testedAndGuaranteed", "ICCIF-species-dilution-info": "1-2 µg/mL", "ICCIF-species-notes": "<p></p>", "IHCP-species-checked": "testedAndGuaranteed", "IHCP-species-dilution-info": "1-2 µg/mL", "IHCP-species-notes": "<p></p>" }, "Recombinant full length protein - Human": { "FlowCyt-species-checked": "notRecommended", "FlowCyt-species-dilution-info": "", "FlowCyt-species-notes": "", "WB-species-checked": "notRecommended", "WB-species-dilution-info": "", "WB-species-notes": "", "ProteinArray-species-checked": "testedAndGuaranteed", "ProteinArray-species-dilution-info": "", "ProteinArray-species-notes": "<p></p>", "ICCIF-species-checked": "notRecommended", "ICCIF-species-dilution-info": "", "ICCIF-species-notes": "", "IHCP-species-checked": "notRecommended", "IHCP-species-dilution-info": "", "IHCP-species-notes": "" } } }

Product details

ab268193 is the carrier-free version of ab268072.

Conjugation ready
Our carrier-free antibodies are typically supplied in a PBS-only formulation, purified and free of BSA, sodium azide and glycerol. This conjugation-ready format is designed for use with fluorochromes, metal isotopes, oligonucleotides, and enzymes, which makes them ideal for antibody labelling, functional and cell-based assays, flow-based assays (e.g. mass cytometry) and Multiplex Imaging applications.

Use our conjugation kits for antibody conjugates that are ready-to-use in as little as 20 minutes with 1 minute hands-on-time and 100% antibody recovery: available for fluorescent dyes, HRP, biotin and gold.

Properties and storage information

Form
Liquid
Purification technique
Affinity purification Protein A/G
Purification notes
Purified from bioreactor concentrate.
Storage buffer
pH: 7.2 - 7.4 Constituents: PBS
Shipped at conditions
Blue Ice
Appropriate short-term storage duration
1-2 weeks
Appropriate short-term storage conditions
+4°C
Appropriate long-term storage conditions
-20°C
Aliquoting information
Upon delivery aliquot
Storage information
Avoid freeze / thaw cycle

Supplementary information

This supplementary information is collated from multiple sources and compiled automatically.

APE1 also known as APEX1 or apurinic/apyrimidinic endonuclease 1 functions as an important DNA repair enzyme. It plays a pivotal role in the base excision repair (BER) pathway where it recognizes and processes apurinic/apyrimidinic sites in DNA. APE1 has a molecular mass of about 37 kDa. It is expressed primarily in the nucleus with detectable levels in the cytoplasm. The expression of APE1 spans across various tissue types indicating its essential role in maintaining genomic stability.
Biological function summary

APE1 enzymatically cleaves the phosphodiester bond at abasic sites creating a nick in the DNA backbone for further repair steps. This action prevents mutations and maintains DNA integrity. APE1 also functions as a redox factor regulating the transcriptional activity of several transcription factors. It is not part of a larger complex but interacts with various BER pathway proteins such as DNA polymerase beta and XRCC1. This interaction is important for the effective repair of damaged DNA and cellular response to oxidative stress.

Pathways

APE1 is integrated within the base excision repair and redox signaling pathways. These pathways are fundamental for repairing single-strand breaks and modulating the cellular oxidative stress response. APE1 coordinates closely with other proteins like PNKP and OGG1 in the BER pathway ensuring precise and effective DNA repair. Through its redox activity APE1 influences pathways involving NF-kB and AP-1 demonstrating its multifaceted roles in cellular processes.

Alterations in APE1 function associate with cancer progression and neurodegenerative diseases. Overexpression or mutations in APE1 correlate with increased tumor resistance to chemotherapy in several cancers including lung and ovarian cancer. APE1's interaction with proteins like p53 and HMGB1 connects it to the etiology and progression of these malignancies. Furthermore impaired APE1 activity links to neurodegenerative disorders such as Alzheimer's disease where DNA repair deficiency contributes to neuronal damage and cognitive decline.

Product protocols

For this product, it's our understanding that no specific protocols are required. You can visit:

Target data

Multifunctional protein that plays a central role in the cellular response to oxidative stress. The two major activities of APEX1 are DNA repair and redox regulation of transcriptional factors. Functions as an apurinic/apyrimidinic (AP) endodeoxyribonuclease in the DNA base excision repair (BER) pathway of DNA lesions induced by oxidative and alkylating agents. Initiates repair of AP sites in DNA by catalyzing hydrolytic incision of the phosphodiester backbone immediately adjacent to the damage, generating a single-strand break with 5'-deoxyribose phosphate and 3'-hydroxyl ends. Also incises at AP sites in the DNA strand of DNA/RNA hybrids, single-stranded DNA regions of R-loop structures, and single-stranded RNA molecules. Has 3'-5' exoribonuclease activity on mismatched deoxyribonucleotides at the 3' termini of nicked or gapped DNA molecules during short-patch BER. Possesses DNA 3' phosphodiesterase activity capable of removing lesions (such as phosphoglycolate) blocking the 3' side of DNA strand breaks. May also play a role in the epigenetic regulation of gene expression by participating in DNA demethylation. Acts as a loading factor for POLB onto non-incised AP sites in DNA and stimulates the 5'-terminal deoxyribose 5'-phosphate (dRp) excision activity of POLB. Plays a role in protection from granzyme-mediated cellular repair leading to cell death. Also involved in the DNA cleavage step of class switch recombination (CSR). On the other hand, APEX1 also exerts reversible nuclear redox activity to regulate DNA binding affinity and transcriptional activity of transcriptional factors by controlling the redox status of their DNA-binding domain, such as the FOS/JUN AP-1 complex after exposure to IR. Involved in calcium-dependent down-regulation of parathyroid hormone (PTH) expression by binding to negative calcium response elements (nCaREs). Together with HNRNPL or the dimer XRCC5/XRCC6, associates with nCaRE, acting as an activator of transcriptional repression. Stimulates the YBX1-mediated MDR1 promoter activity, when acetylated at Lys-6 and Lys-7, leading to drug resistance. Acts also as an endoribonuclease involved in the control of single-stranded RNA metabolism. Plays a role in regulating MYC mRNA turnover by preferentially cleaving in between UA and CA dinucleotides of the MYC coding region determinant (CRD). In association with NMD1, plays a role in the rRNA quality control process during cell cycle progression. Associates, together with YBX1, on the MDR1 promoter. Together with NPM1, associates with rRNA. Binds DNA and RNA.
See full target information APEX1

Publications (1)

Recent publications for all applications. Explore the full list and refine your search

Journal for immunotherapy of cancer 11: PubMed37072348

2023

Intratumoral tertiary lymphoid structure (TLS) maturation is influenced by draining lymph nodes of lung cancer.

Applications

Unspecified application

Species

Unspecified reactive species

Miao He,Qihua He,Xiuyu Cai,Jun Liu,Hongshen Deng,Feng Li,Ran Zhong,Yi Lu,Haoxin Peng,Xiangrong Wu,Zisheng Chen,Shen Lao,Caichen Li,Jianfu Li,Jianxing He,Wenhua Liang
View all publications

Product promise

We are committed to supporting your work with high-quality reagents, and we're here for you every step of the way. In the unlikely event that one of our products does not perform as expected, you're protected by our Product Promise.
For full details, please see our Terms & Conditions

Please note: All products are 'FOR RESEARCH USE ONLY. NOT FOR USE IN DIAGNOSTIC OR THERAPEUTIC PROCEDURES'.

For licensing inquiries, please contact partnerships@abcam.com