JavaScript is disabled in your browser. Please enable JavaScript to view this website.
AB189474

Anti-APE1 antibody [EPR18378-45] - ChIP Grade

Be the first to review this product! Submit a review

|

(8 Publications)

Rabbit Recombinant Monoclonal APE1 antibody. Suitable for ChIP, WB, ICC/IF, Flow Cyt (Intra), IHC-P and reacts with Human, Mouse, Rat samples. Cited in 8 publications.

View Alternative Names

APE, APE1, APEX, APX, HAP1, REF1, APEX1, DNA repair nuclease/redox regulator APEX1, APEX nuclease, Apurinic-apyrimidinic endonuclease 1, DNA-(apurinic or apyrimidinic site) endonuclease, Redox factor-1, APEN, AP endonuclease 1, APE-1, REF-1

11 Images
Immunohistochemistry (Formalin/PFA-fixed paraffin-embedded sections) - Anti-APE1 antibody [EPR18378-45] - ChIP Grade (AB189474)
  • IHC-P

Supplier Data

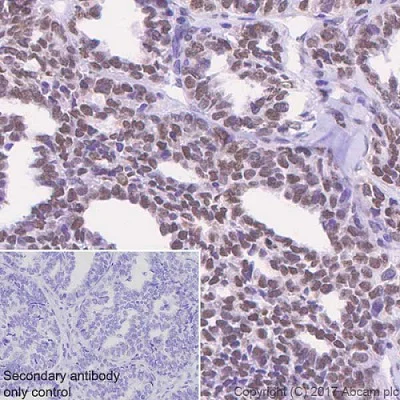
Immunohistochemistry (Formalin/PFA-fixed paraffin-embedded sections) - Anti-APE1 antibody [EPR18378-45] - ChIP Grade (AB189474)

Immunohistochemical analysis of paraffin-embedded human ovarian cancer tissue labeling APE1 with ab189474 at 1/2000 dilution, followed by Goat Anti-Rabbit IgG H&L (HRP) ready to use. Nuclear staining on tumor cells of human ovarian carcinoma (PMID : 20087352) is observed. Counter stained with hematoxylin.

Secondary antibody only control : Used PBS instead of primary antibody, secondary antibody is Goat Anti-Rabbit IgG H&L (HRP) ready to use.

Perform heat mediated antigen retrieval with Tris/EDTA buffer pH 9.0 before commencing with IHC staining protocol.

Immunocytochemistry/ Immunofluorescence - Anti-APE1 antibody [EPR18378-45] - ChIP Grade (AB189474)
  • ICC/IF

Unknown

Immunocytochemistry/ Immunofluorescence - Anti-APE1 antibody [EPR18378-45] - ChIP Grade (AB189474)

Immunofluorescent analysis of 4% paraformaldehyde-fixed, 0.1% Triton X-100 permeabilized HCT 116 (human colorectal carcinoma cell line) cells labeling APE1 with ab189474 at 1/250 dilution, followed by Goat Anti-Rabbit IgG H&L (Alexa Fluor® 488) (ab150077) secondary antibody at 1/1000 dilution (green). Confocal image showing nuclear staining on HCT 116 cell line.

The nuclear counter stain is DAPI (blue). Tubulin is detected with Anti-alpha Tubulin antibody [DM1A] - Microtubule Marker (Alexa Fluor® 594) (ab195889) at 1/200 dilution.

-ve control : PBS, followed by Goat Anti-Rabbit IgG H&L (Alexa Fluor® 488) (ab150077) secondary antibody at 1/1000 dilution

Immunohistochemistry (Formalin/PFA-fixed paraffin-embedded sections) - Anti-APE1 antibody [EPR18378-45] - ChIP Grade (AB189474)
  • IHC-P

Supplier Data

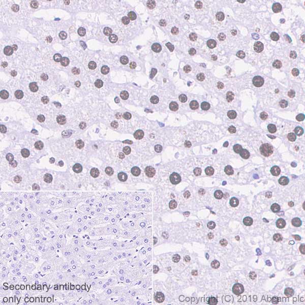
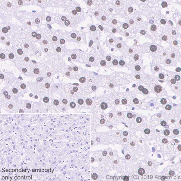
Immunohistochemistry (Formalin/PFA-fixed paraffin-embedded sections) - Anti-APE1 antibody [EPR18378-45] - ChIP Grade (AB189474)

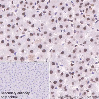
Immunohistochemical analysis of paraffin-embedded mouse liver tissue labeling APE1 with ab189474 at 1/2000 dilution, followed by Goat Anti-Rabbit IgG H&L (HRP) ready to use.

Immunohistochemical analysis of paraffin-embedded human ovarian cancer tissue labeling APE1 with ab189474 at 1/2000 dilution, followed by Goat Anti-Rabbit IgG H&L (HRP) ready to use. Nuclear staining on tumor cells of human ovarian carcinoma (PMID : 20087352) is observed. Counter stained with hematoxylin.

Secondary antibody only control : Used PBS instead of primary antibody, secondary antibody is Goat Anti-Rabbit IgG H&L (HRP) ready to use.

is observed. Counter stained with hematoxylin.

Secondary antibody only control : Used PBS instead of primary antibody, secondary antibody is Goat Anti-Rabbit IgG H&L (HRP) ready to use.

Perform heat mediated antigen retrieval with Tris/EDTA buffer pH 9.0 before commencing with IHC staining protocol.

ChIP - Anti-APE1 antibody [EPR18378-45] - ChIP Grade (AB189474)
  • ChIP

Supplier Data

ChIP - Anti-APE1 antibody [EPR18378-45] - ChIP Grade (AB189474)

Chromatin was prepared from HCT 116 cells according to the Abcam X-ChIP protocol. Cells were fixed with formaldehyde for 10 minutes. The ChIP was performed with 25μg of chromatin, 5μg of ab189474 (blue), and 20μl of Protein A/G sepharose beads slurry (10μl of sepharose A beads + 10μl of sepharose G beads). 5μg of rabbit normal IgG was added to the beads control (yellow). The immunoprecipitated DNA was quantified by real time PCR (SYBR green approach).

ChIP was performed according to the literature (PMID : 23874636).

Immunohistochemistry (Formalin/PFA-fixed paraffin-embedded sections) - Anti-APE1 antibody [EPR18378-45] - ChIP Grade (AB189474)
  • IHC-P

Supplier Data

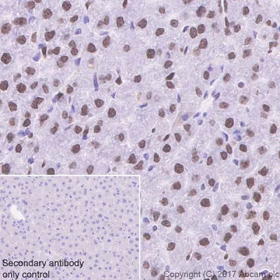
Immunohistochemistry (Formalin/PFA-fixed paraffin-embedded sections) - Anti-APE1 antibody [EPR18378-45] - ChIP Grade (AB189474)

Immunohistochemical analysis of paraffin-embedded rat liver tissue labeling APE1 with ab189474 at 1/2000 dilution, followed by Goat Anti-Rabbit IgG H&L (HRP) ready to use. Mainly nuclear staining on hepatocytes of rat liver (PMID : 10643898) is observed. Counter stained with hematoxylin.

Secondary antibody only control : Used PBS instead of primary antibody, secondary antibody is Goat Anti-Rabbit IgG H&L (HRP) ready to use.

Perform heat mediated antigen retrieval with Tris/EDTA buffer pH 9.0 before commencing with IHC staining protocol.

Flow Cytometry (Intracellular) - Anti-APE1 antibody [EPR18378-45] - ChIP Grade (AB189474)
  • Flow Cyt (Intra)

Supplier Data

Flow Cytometry (Intracellular) - Anti-APE1 antibody [EPR18378-45] - ChIP Grade (AB189474)

Intracellular flow cytometric analysis of4% pasraformaldehyde-fixed, 90% methanol-permeabilized NIH/3T3 (mouse embryo fibroblast cell line) cell line labeling APE1 with ab189474 at 1/500 dilution (red) compared with a Isotype control details (ab172730) (black) and an unlabelled control (cells without incubation with primary antibody and secondary antibody) (blue).

Goat Anti-Rabbit IgG H&L (Alexa Fluor® 488) (ab150077), at 1/2000 dilution was used as the secondary antibody.

Immunocytochemistry/ Immunofluorescence - Anti-APE1 antibody [EPR18378-45] - ChIP Grade (AB189474)
  • ICC/IF

Supplier Data

Immunocytochemistry/ Immunofluorescence - Anti-APE1 antibody [EPR18378-45] - ChIP Grade (AB189474)

Immunofluorescent analysis of 4% paraformaldehyde-fixed, 0.1% Triton X-100 permeabilized NIH/3T3 (mouse embryo fibroblast cell line) cells labeling APE1 with ab189474 at 1/250 dilution, followed by Goat Anti-Rabbit IgG H&L (Alexa Fluor® 488) (ab150077) secondary antibody at 1/1000 dilution (green). Confocal image showing nuclear staining on NIH/3T3 cell line.

The nuclear counter stain is DAPI (blue). Tubulin is detected with Anti-alpha Tubulin antibody [DM1A] - Microtubule Marker (Alexa Fluor® 594) (ab195889) at 1/200 dilution.

-ve control : PBS, followed by Goat Anti-Rabbit IgG H&L (Alexa Fluor® 488) (ab150077) secondary antibody at 1/1000 dilution

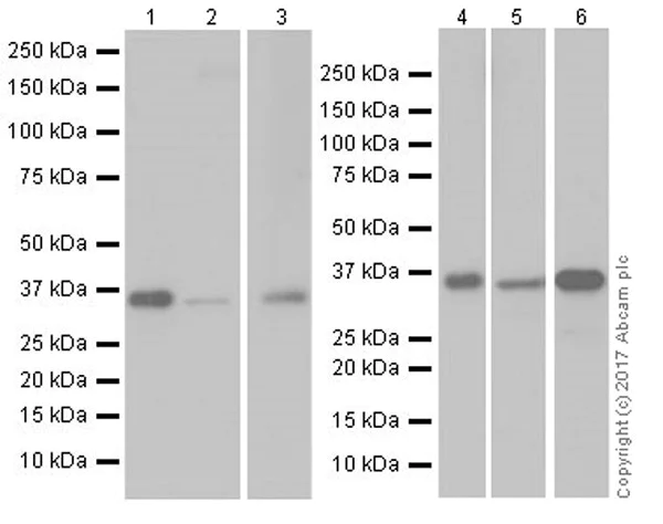
Western blot - Anti-APE1 antibody [EPR18378-45] - ChIP Grade (AB189474)
  • WB

Supplier Data

Western blot - Anti-APE1 antibody [EPR18378-45] - ChIP Grade (AB189474)

Blocking and dilution buffer : 5% NFDM/TBST

Exposure times :

Lanes 1 & 2 : 1 second

Lane 3 : 5 seconds

Lane 4 : 3 seconds

All lanes:

Western blot - Anti-APE1 antibody [EPR18378-45] - ChIP Grade (ab189474) at 1/5000 dilution

Lane 1:

HCT 116 (human colorectal carcinoma cell line) whole cell lysate at 10 µg

Lane 2:

HeLa(human epithelial cell line from cervix adenocarcinoma) whole cell lysate at 10 µg

Lane 3:

NIH/3T3 (mouse embryo fibroblast cell line) whole cell lysate at 10 µg

Lane 4:

C6 (rat brain glioma cell line) whole cell lysate at 10 µg

Secondary

All lanes:

Western blot - Goat Anti-Rabbit IgG H&L (HRP) (<a href='/en-us/products/secondary-antibodies/goat-rabbit-igg-h-l-hrp-ab97051'>ab97051</a>) at 1/100000 dilution

Predicted band size: 35 kDa

Observed band size: 35 kDa

true

Western blot - Anti-APE1 antibody [EPR18378-45] - ChIP Grade (AB189474)
  • WB

Supplier Data

Western blot - Anti-APE1 antibody [EPR18378-45] - ChIP Grade (AB189474)

Blocking and dilution buffer : 5% NFDM/TBST

Exposure times :

Lanes 1-3 : 1 second

Lane 4 : 4 seconds

All lanes:

Western blot - Anti-APE1 antibody [EPR18378-45] - ChIP Grade (ab189474) at 1/1000 dilution

Lane 1:

Human fetal brain lysate at 10 µg

Lane 2:

Human fetal heart lysate at 10 µg

Lane 3:

Human fetal kidney lysate at 10 µg

Lane 4:

Human fetal spleen lysate at 10 µg

Secondary

All lanes:

Western blot - VeriBlot for IP Detection Reagent (HRP) (<a href='/en-us/products/reagents/veriblot-for-ip-detection-reagent-hrp-ab131366'>ab131366</a>) at 1/2000 dilution

Predicted band size: 35 kDa

Observed band size: 35 kDa

true

Western blot - Anti-APE1 antibody [EPR18378-45] - ChIP Grade (AB189474)
  • WB

Lab

Western blot - Anti-APE1 antibody [EPR18378-45] - ChIP Grade (AB189474)

Lanes 1 - 4 : Merged signal (red and green). Green - ab189474 observed at 37 kDa. Red - loading control, ab7291 (Mouse anti-Alpha Tubulin [DM1A] observed at 55kDa.

ab189474 was shown to react with APEX1 in HAP1 wild-type cells in Western blot. Loss of signal was observed when APEX1 knockout sample was used. HAP1 wild-type and APEX1 knockout cell lysates were subjected to SDS-PAGE. Membranes were blocked in 3% Milk in TBS-T (0.1% Tween®) before incubation with ab189474 and ab7291 (Mouse anti-Alpha Tubulin [DM1A] overnight at 4°C at a 1 in 1000 dilution and a 1 in 20000 dilution respectively. Blots were developed with Goat anti-Rabbit IgG H&L (IRDye® 800CW) preabsorbed (ab216773) and Goat anti-Mouse IgG H&L (IRDye® 680RD) preabsorbed (ab216776) secondary antibodies at 1 in 20000 dilution for 1 hour at room temperature before imaging.

All lanes:

Western blot - Anti-APE1 antibody [EPR18378-45] - ChIP Grade (ab189474) at 1/1000 dilution

Lane 1:

Wild-type HAP1 whole cell lysate at 20 µg

Lane 2:

APEX1 knockout HAP1 whole cell lysate at 20 µg

Lane 3:

HepG2 whole cell lysate at 20 µg

Lane 4:

HEK293 whole cell lysate at 20 µg

Predicted band size: 35 kDa

Observed band size: 37 kDa

false

Western blot - Anti-APE1 antibody [EPR18378-45] - ChIP Grade (AB189474)
  • WB

Supplier Data

Western blot - Anti-APE1 antibody [EPR18378-45] - ChIP Grade (AB189474)

Blocking and dilution buffer : 5% NFDM/TBST

Exposure times :

Lanes 1-5 : 8 seconds

Lane 6 : 4 seconds

All lanes:

Western blot - Anti-APE1 antibody [EPR18378-45] - ChIP Grade (ab189474) at 1/1000 dilution

Lane 1:

Mouse brain lysate at 10 µg

Lane 2:

Mouse heart lysate at 10 µg

Lane 3:

Mouse liver lysate at 10 µg

Lane 4:

Rat brain lysate at 10 µg

Lane 5:

Rat liver lysate at 10 µg

Lane 6:

Rat spleen lysate at 10 µg

Secondary

All lanes:

Western blot - Goat Anti-Rabbit IgG H&L (HRP) (<a href='/en-us/products/secondary-antibodies/goat-rabbit-igg-h-l-hrp-ab97051'>ab97051</a>) at 1/100000 dilution

Predicted band size: 35 kDa

Observed band size: 35 kDa

true

Key facts

Host species

Rabbit

Clonality

Monoclonal

Clone number

EPR18378-45

Isotype

IgG

Carrier free

No

Reacts with

Mouse, Rat, Human

Applications

IHC-P, WB, ICC/IF, Flow Cyt (Intra), ChIP

applications

Immunogen

The exact immunogen used to generate this antibody is proprietary information.

Reactivity data

{ "title": "Reactivity Data", "filters": { "stats": ["", "Species", "Dilution Info", "Notes"], "tabs": { "all-applications": {"fullname" : "All Applications", "shortname": "All Applications"}, "ChIP" : {"fullname" : "ChIP", "shortname":"ChIP"}, "WB" : {"fullname" : "Western blot", "shortname":"WB"}, "ICCIF" : {"fullname" : "Immunocytochemistry/ Immunofluorescence", "shortname":"ICC/IF"}, "FlowCytIntra" : {"fullname" : "Flow Cytometry (Intracellular)", "shortname":"Flow Cyt (Intra)"}, "IHCP" : {"fullname" : "Immunohistochemistry (Formalin/PFA-fixed paraffin-embedded sections)", "shortname":"IHC-P"} }, "product-promise": { "all": "all", "testedAndGuaranteed": "tested", "guaranteed": "expected", "predicted": "predicted", "notRecommended": "not-recommended" } }, "values": { "Human": { "ChIP-species-checked": "testedAndGuaranteed", "ChIP-species-dilution-info": "5 µg for 25 µg chromatin", "ChIP-species-notes": "<p></p>", "WB-species-checked": "testedAndGuaranteed", "WB-species-dilution-info": "1/1000", "WB-species-notes": "<p></p>", "ICCIF-species-checked": "testedAndGuaranteed", "ICCIF-species-dilution-info": "1/250", "ICCIF-species-notes": "<p></p>", "FlowCytIntra-species-checked": "guaranteed", "FlowCytIntra-species-dilution-info": "", "FlowCytIntra-species-notes": "", "IHCP-species-checked": "testedAndGuaranteed", "IHCP-species-dilution-info": "1/2000", "IHCP-species-notes": "<p></p> Perform heat-mediated antigen retrieval with Tris/EDTA buffer pH 9.0 before commencing with IHC staining protocol." }, "Mouse": { "ChIP-species-checked": "guaranteed", "ChIP-species-dilution-info": "", "ChIP-species-notes": "", "WB-species-checked": "testedAndGuaranteed", "WB-species-dilution-info": "1/1000", "WB-species-notes": "<p></p>", "ICCIF-species-checked": "testedAndGuaranteed", "ICCIF-species-dilution-info": "1/250", "ICCIF-species-notes": "<p></p>", "FlowCytIntra-species-checked": "testedAndGuaranteed", "FlowCytIntra-species-dilution-info": "1/500", "FlowCytIntra-species-notes": "<p></p>", "IHCP-species-checked": "testedAndGuaranteed", "IHCP-species-dilution-info": "1/2000", "IHCP-species-notes": "<p></p> Perform heat-mediated antigen retrieval with Tris/EDTA buffer pH 9.0 before commencing with IHC staining protocol." }, "Rat": { "ChIP-species-checked": "guaranteed", "ChIP-species-dilution-info": "", "ChIP-species-notes": "", "WB-species-checked": "testedAndGuaranteed", "WB-species-dilution-info": "1/1000", "WB-species-notes": "<p></p>", "ICCIF-species-checked": "guaranteed", "ICCIF-species-dilution-info": "", "ICCIF-species-notes": "", "FlowCytIntra-species-checked": "guaranteed", "FlowCytIntra-species-dilution-info": "", "FlowCytIntra-species-notes": "", "IHCP-species-checked": "testedAndGuaranteed", "IHCP-species-dilution-info": "1/2000", "IHCP-species-notes": "<p></p> Perform heat-mediated antigen retrieval with Tris/EDTA buffer pH 9.0 before commencing with IHC staining protocol." } } }

Product details

Patented technology
Our RabMAb® technology is a patented hybridoma-based technology for making rabbit monoclonal antibodies. For details on our patents, please refer to RabMAb® patents.

What are the advantages of a recombinant monoclonal antibody?
This product is a recombinant monoclonal antibody, which offers several advantages including:

  • - High batch-to-batch consistency and reproducibility
  • - Improved sensitivity and specificity
  • - Long-term security of supply
  • - Animal-free batch production

For more information, read more on recombinant antibodies.

Properties and storage information

Form
Liquid
Purification technique
Affinity purification Protein A
Storage buffer
pH: 7.2 - 7.4 Preservative: 0.01% Sodium azide Constituents: PBS, 40% Glycerol (glycerin, glycerine), 0.05% BSA
Shipped at conditions
Blue Ice
Appropriate short-term storage duration
1-2 weeks
Appropriate short-term storage conditions
+4°C
Appropriate long-term storage conditions
-20°C
Aliquoting information
Upon delivery aliquot
Storage information
Avoid freeze / thaw cycle

Supplementary information

This supplementary information is collated from multiple sources and compiled automatically.

APE1 also known as APEX1 or apurinic/apyrimidinic endonuclease 1 functions as an important DNA repair enzyme. It plays a pivotal role in the base excision repair (BER) pathway where it recognizes and processes apurinic/apyrimidinic sites in DNA. APE1 has a molecular mass of about 37 kDa. It is expressed primarily in the nucleus with detectable levels in the cytoplasm. The expression of APE1 spans across various tissue types indicating its essential role in maintaining genomic stability.
Biological function summary

APE1 enzymatically cleaves the phosphodiester bond at abasic sites creating a nick in the DNA backbone for further repair steps. This action prevents mutations and maintains DNA integrity. APE1 also functions as a redox factor regulating the transcriptional activity of several transcription factors. It is not part of a larger complex but interacts with various BER pathway proteins such as DNA polymerase beta and XRCC1. This interaction is important for the effective repair of damaged DNA and cellular response to oxidative stress.

Pathways

APE1 is integrated within the base excision repair and redox signaling pathways. These pathways are fundamental for repairing single-strand breaks and modulating the cellular oxidative stress response. APE1 coordinates closely with other proteins like PNKP and OGG1 in the BER pathway ensuring precise and effective DNA repair. Through its redox activity APE1 influences pathways involving NF-kB and AP-1 demonstrating its multifaceted roles in cellular processes.

Alterations in APE1 function associate with cancer progression and neurodegenerative diseases. Overexpression or mutations in APE1 correlate with increased tumor resistance to chemotherapy in several cancers including lung and ovarian cancer. APE1's interaction with proteins like p53 and HMGB1 connects it to the etiology and progression of these malignancies. Furthermore impaired APE1 activity links to neurodegenerative disorders such as Alzheimer's disease where DNA repair deficiency contributes to neuronal damage and cognitive decline.

Product protocols

For this product, it's our understanding that no specific protocols are required. You can visit:

Target data

Multifunctional protein that plays a central role in the cellular response to oxidative stress. The two major activities of APEX1 are DNA repair and redox regulation of transcriptional factors. Functions as an apurinic/apyrimidinic (AP) endodeoxyribonuclease in the DNA base excision repair (BER) pathway of DNA lesions induced by oxidative and alkylating agents. Initiates repair of AP sites in DNA by catalyzing hydrolytic incision of the phosphodiester backbone immediately adjacent to the damage, generating a single-strand break with 5'-deoxyribose phosphate and 3'-hydroxyl ends. Also incises at AP sites in the DNA strand of DNA/RNA hybrids, single-stranded DNA regions of R-loop structures, and single-stranded RNA molecules. Has 3'-5' exoribonuclease activity on mismatched deoxyribonucleotides at the 3' termini of nicked or gapped DNA molecules during short-patch BER. Possesses DNA 3' phosphodiesterase activity capable of removing lesions (such as phosphoglycolate) blocking the 3' side of DNA strand breaks. May also play a role in the epigenetic regulation of gene expression by participating in DNA demethylation. Acts as a loading factor for POLB onto non-incised AP sites in DNA and stimulates the 5'-terminal deoxyribose 5'-phosphate (dRp) excision activity of POLB. Plays a role in protection from granzyme-mediated cellular repair leading to cell death. Also involved in the DNA cleavage step of class switch recombination (CSR). On the other hand, APEX1 also exerts reversible nuclear redox activity to regulate DNA binding affinity and transcriptional activity of transcriptional factors by controlling the redox status of their DNA-binding domain, such as the FOS/JUN AP-1 complex after exposure to IR. Involved in calcium-dependent down-regulation of parathyroid hormone (PTH) expression by binding to negative calcium response elements (nCaREs). Together with HNRNPL or the dimer XRCC5/XRCC6, associates with nCaRE, acting as an activator of transcriptional repression. Stimulates the YBX1-mediated MDR1 promoter activity, when acetylated at Lys-6 and Lys-7, leading to drug resistance. Acts also as an endoribonuclease involved in the control of single-stranded RNA metabolism. Plays a role in regulating MYC mRNA turnover by preferentially cleaving in between UA and CA dinucleotides of the MYC coding region determinant (CRD). In association with NMD1, plays a role in the rRNA quality control process during cell cycle progression. Associates, together with YBX1, on the MDR1 promoter. Together with NPM1, associates with rRNA. Binds DNA and RNA.
See full target information APEX1

Publications (8)

Recent publications for all applications. Explore the full list and refine your search

Breast cancer research : BCR 27:138 PubMed40713647

2025

Short-term consumption of the modified standard American diet perturbed the metabolic balance and altered DNA damage in MMTV-PyMT transgenic mice.

Applications

Unspecified application

Species

Unspecified reactive species

Arlet Hernandez,Alekhya Puppala,Jenna Hedlich-Dwyer,Nayonika Mukherjee,Guihua Zhai,Valeria L Dal Zotto,Bohan Ning,Hua Guo,Ritu Aneja,Natalie R Gassman

Molecular medicine reports 32: PubMed40709402

2025

Oxymatrine attenuates pulmonary fibrosis via APE1‑mediated regulation of the PINK1/Parkin pathway.

Applications

Unspecified application

Species

Unspecified reactive species

Wenya Xu,Tian Xie,Bingli Zhang,Jie Zhao,Lei Zhang,Yamei Zheng,Yipeng Ding

Journal of translational medicine 21:183 PubMed36894994

2023

APE1 promotes non-homologous end joining by initiating DNA double-strand break formation and decreasing ubiquitination of artemis following oxidative genotoxic stress.

Applications

Unspecified application

Species

Unspecified reactive species

Qin Zhang,Lujie Yang,Han Gao,Xunjie Kuang,He Xiao,Chen Yang,Yi Cheng,Lei Zhang,Xin Guo,Yong Zhong,Mengxia Li

Experimental and therapeutic medicine 25:88 PubMed36684652

2023

NEDD4 attenuates oxidized low‑density lipoprotein‑induced inflammation and dysfunction in vascular endothelial cells via regulating APEX1 expression.

Applications

Unspecified application

Species

Unspecified reactive species

Huiyu Xu,Lijuan Tan,Qiaofang Qu,Wutang Zhang

European journal of pharmacology 883:173308 PubMed32603697

2020

Nanoformulated quinacrine regulates NECTIN-4 domain specific functions in cervical cancer stem cells.

Applications

Unspecified application

Species

Unspecified reactive species

Subhajit Chatterjee,Chanakya Nath Kundu

BMC complementary medicine and therapies 20:196 PubMed32586310

2020

Jianpi-yangwei decoction inhibits DNA damage repair in the drug resistance of gastric cancer by reducing FEN1 expression.

Applications

Unspecified application

Species

Unspecified reactive species

Wenjie Huang,Huijuan Tang,Fang Wen,Xiaona Lu,Qingpei Li,Peng Shu

Cell cycle (Georgetown, Tex.) 18:1660-1669 PubMed31204563

2019

miR-520g and miR-520h overcome bortezomib resistance in multiple myeloma via suppressing APE1.

Applications

Unspecified application

Species

Unspecified reactive species

Xiaoli Yuan,Rongjun Ma,Shiwei Yang,Li Jiang,Zhen Wang,Zunmin Zhu,Hongwei Li

Oxidative medicine and cellular longevity 2018:1874985 PubMed29854076

2018

-Acetylcysteine Reduces ROS-Mediated Oxidative DNA Damage and PI3K/Akt Pathway Activation Induced by Infection.

Applications

Unspecified application

Species

Unspecified reactive species

Chuan Xie,Jian Yi,Jing Lu,Muwen Nie,Meifang Huang,Jianfang Rong,Zhenhua Zhu,Jiang Chen,Xiaoliang Zhou,Bimin Li,Haiming Chen,Nonghua Lu,Xu Shu
View all publications

Product promise

We are committed to supporting your work with high-quality reagents, and we're here for you every step of the way. In the unlikely event that one of our products does not perform as expected, you're protected by our Product Promise.
For full details, please see our Terms & Conditions

Please note: All products are 'FOR RESEARCH USE ONLY. NOT FOR USE IN DIAGNOSTIC OR THERAPEUTIC PROCEDURES'.

For licensing inquiries, please contact partnerships@abcam.com