JavaScript is disabled in your browser. Please enable JavaScript to view this website.
AB214805

Anti-APE1 antibody [EPR4022] - BSA and Azide free

  • BOND RX™ Validated
  • RabMAb
  • Recombinant
  • KO Validated
  • What is this?

Be the first to review this product! Submit a review

|

(1 Publication)

Rabbit Recombinant Monoclonal APE1 antibody. Carrier free. Suitable for IHC-P, WB and reacts with Human, Mouse, Rat samples. Cited in 1 publication.

View Alternative Names

APE, APE1, APEX, APX, HAP1, REF1, APEX1, DNA repair nuclease/redox regulator APEX1, APEX nuclease, Apurinic-apyrimidinic endonuclease 1, DNA-(apurinic or apyrimidinic site) endonuclease, Redox factor-1, APEN, AP endonuclease 1, APE-1, REF-1

8 Images
Immunohistochemistry (Formalin/PFA-fixed paraffin-embedded sections) - Anti-APE1 antibody [EPR4022] - BSA and Azide free (AB214805)
  • IHC-P

Unknown

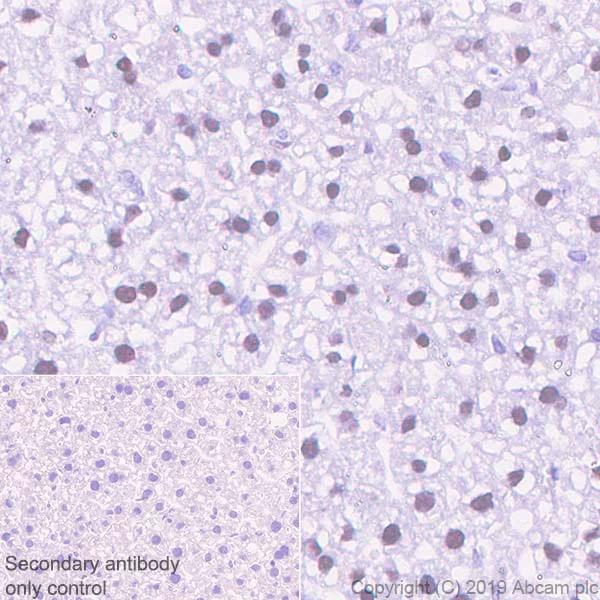
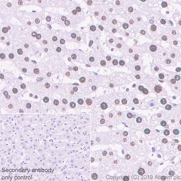
Immunohistochemistry (Formalin/PFA-fixed paraffin-embedded sections) - Anti-APE1 antibody [EPR4022] - BSA and Azide free (AB214805)

Immunohistochemistry (Formalin/PFA-fixed paraffin-embedded sections) analysis of human liver tissue sections labeling APE1 with purified ab92744 at 1/4000 dilution (0.12 μg/ml). Heat mediated antigen retrieval using Bond™ Epitope Retrieval Solution 2 (pH 9.0). Rabbit specific IHC polymer detection kit HRP/DAB (ab209101) was used as the secondary antibody. Negative control : PBS instead of the primary antibody. Hematoxylin was used as a counterstain.

This data was developed using the same antibody clone in a different buffer formulation containing PBS, BSA, glycerol, and sodium azide (ab92744).

Immunohistochemistry (Formalin/PFA-fixed paraffin-embedded sections) - Anti-APE1 antibody [EPR4022] - BSA and Azide free (AB214805)
  • IHC-P

Unknown

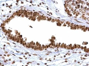
Immunohistochemistry (Formalin/PFA-fixed paraffin-embedded sections) - Anti-APE1 antibody [EPR4022] - BSA and Azide free (AB214805)

ab92744, at a 1/100 dilution, staining APE1 in formalin fixed, paraffin embedded (1) Human tonsil tissue and (2)Human kidney tissue by Immunohistochemistry. Detection : DAB staining.

This data was developed using the same antibody clone in a different buffer formulation containing PBS, BSA, glycerol, and sodium azide (ab92744).

Perform heat mediated antigen retrieval via the pressure cooker method before commencing with IHC staining protocol.

Immunohistochemistry (Formalin/PFA-fixed paraffin-embedded sections) - Anti-APE1 antibody [EPR4022] - BSA and Azide free (AB214805)
  • IHC-P

Unknown

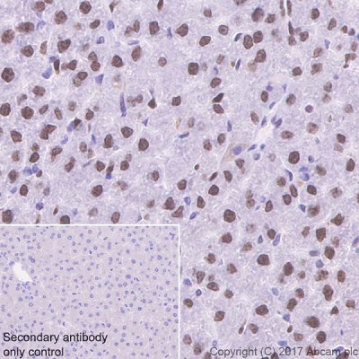
Immunohistochemistry (Formalin/PFA-fixed paraffin-embedded sections) - Anti-APE1 antibody [EPR4022] - BSA and Azide free (AB214805)

Immunohistochemistry (Formalin/PFA-fixed paraffin-embedded sections) analysis of mouse liver tissue sections labeling APE1 with purified ab92744 at 1/4000 dilution (0.12 μg/ml). Heat mediated antigen retrieval using Bond™ Epitope Retrieval Solution 2 (pH 9.0). Rabbit specific IHC polymer detection kit HRP/DAB (ab209101) was used as the secondary antibody. Negative control : PBS instead of the primary antibody. Hematoxylin was used as a counterstain.

This data was developed using the same antibody clone in a different buffer formulation containing PBS, BSA, glycerol, and sodium azide (ab92744).

Western blot - Anti-APE1 antibody [EPR4022] - BSA and Azide free (AB214805)
  • WB

Lab

Western blot - Anti-APE1 antibody [EPR4022] - BSA and Azide free (AB214805)

Blocking/diluting buffer and concentration :
5% NFDM /TBST 5% NFDM /TBST

This data was developed using the same antibody clone in a different buffer formulation containing PBS, BSA, glycerol, and sodium azide (ab92744).

All lanes:

Western blot - Anti-APE1 antibody [EPR4022] (<a href='/en-us/products/primary-antibodies/ape1-antibody-epr4022-ab92744'>ab92744</a>) at 0.51 µg

Lane 1:

C6 (Rat glial tumor glial cell) whole cell lysate at 20 µg

Lane 2:

Raw264.7 (Mouse Abelson murine leukemia virus-induced tumor macrophage) whole cell lysate at 20 µg

Lane 3:

PC-12 (Rat adrenal gland pheochromocytoma) whole cell lysate at 20 µg

Lane 4:

NIH/3T3 (Mouse embryonic fibroblast) whole cell lysate at 20 µg

Secondary

All lanes:

Western blot - Goat Anti-Rabbit IgG H&L (HRP) (<a href='/en-us/products/secondary-antibodies/goat-rabbit-igg-h-l-hrp-ab97051'>ab97051</a>) at 0.05 µg/mL

Predicted band size: 35 kDa

false

Western blot - Anti-APE1 antibody [EPR4022] - BSA and Azide free (AB214805)
  • WB

Lab

Western blot - Anti-APE1 antibody [EPR4022] - BSA and Azide free (AB214805)

Blocking/diluting buffer and concentration :
5% NFDM /TBST 5% NFDM /TBST

This data was developed using the same antibody clone in a different buffer formulation containing PBS, BSA, glycerol, and sodium azide (ab92744).

All lanes:

Western blot - Anti-APE1 antibody [EPR4022] (<a href='/en-us/products/primary-antibodies/ape1-antibody-epr4022-ab92744'>ab92744</a>) at 0.51 µg/mL

Lane 1:

Mouse brain lysate at 20 µg

Lane 2:

Mouse heart lysate at 20 µg

Lane 3:

Mouse kidney lysate at 20 µg

Lane 4:

Mouse spleen lysate at 20 µg

Secondary

All lanes:

Western blot - Goat Anti-Rabbit IgG H&L (HRP) (<a href='/en-us/products/secondary-antibodies/goat-rabbit-igg-h-l-hrp-ab97051'>ab97051</a>) at 0.05 µg/mL

Predicted band size: 35 kDa

Observed band size: 36 kDa

false

Immunohistochemistry (Formalin/PFA-fixed paraffin-embedded sections) - Anti-APE1 antibody [EPR4022] - BSA and Azide free (AB214805)
  • IHC-P

Unknown

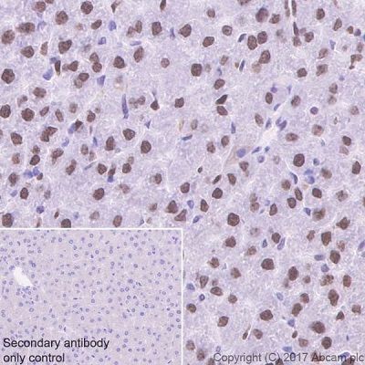
Immunohistochemistry (Formalin/PFA-fixed paraffin-embedded sections) - Anti-APE1 antibody [EPR4022] - BSA and Azide free (AB214805)

Immunohistochemistry (Formalin/PFA-fixed paraffin-embedded sections) analysis of rat spleen tissue sections labeling APE1 with purified ab92744 at 1/4000 dilution (0.12 μg/ml). Heat mediated antigen retrieval using Bond™ Epitope Retrieval Solution 2 (pH 9.0). Rabbit specific IHC polymer detection kit HRP/DAB (ab209101) was used as the secondary antibody. Negative control : PBS instead of the primary antibody. Hematoxylin was used as a counterstain.

This data was developed using the same antibody clone in a different buffer formulation containing PBS, BSA, glycerol, and sodium azide (ab92744).

Western blot - Anti-APE1 antibody [EPR4022] - BSA and Azide free (AB214805)
  • WB

Lab

Western blot - Anti-APE1 antibody [EPR4022] - BSA and Azide free (AB214805)

Blocking/diluting buffer and concentration :
5% NFDM /TBST 5% NFDM /TBST

This data was developed using the same antibody clone in a different buffer formulation containing PBS, BSA, glycerol, and sodium azide (ab92744).

All lanes:

Western blot - Anti-APE1 antibody [EPR4022] (<a href='/en-us/products/primary-antibodies/ape1-antibody-epr4022-ab92744'>ab92744</a>) at 0.51 µg/mL

Lane 1:

Rat brain lysate at 20 µg

Lane 2:

Rat heart lysate at 20 µg

Lane 3:

Rat liver lysate at 20 µg

Lane 4:

Rat spleen lysate at 20 µg

Secondary

All lanes:

Western blot - Goat Anti-Rabbit IgG H&L (HRP) (<a href='/en-us/products/secondary-antibodies/goat-rabbit-igg-h-l-hrp-ab97051'>ab97051</a>) at 0.05 µg/mL

Predicted band size: 35 kDa

Observed band size: 36 kDa

false

Western blot - Anti-APE1 antibody [EPR4022] - BSA and Azide free (AB214805)
  • WB

Lab

Western blot - Anti-APE1 antibody [EPR4022] - BSA and Azide free (AB214805)

This data was developed using the same antibody clone in a different buffer formulation (ab92744).

Lanes 1 - 4 : Merged signal (red and green). Green - ab92744 observed at 37 kDa. Red - loading control, ab7291 (Mouse anti-Alpha Tubulin [DM1A] observed at 55kDa.

ab92744 was shown to react with APEX1 in HAP1 wild-type cells in Western blot. Loss of signal was observed when APEX1 knockout sample was used. HAP1 wild-type and APEX1 knockout cell lysates were subjected to SDS-PAGE. Membranes were blocked in 3% Milk in TBS-T (0.1% Tween®) before incubation with ab92744 and ab7291 (Mouse anti-Alpha Tubulin [DM1A] overnight at 4°C at a 1 in 10000 dilution and a 1 in 20000 dilution respectively. Blots were developed with Goat anti-Rabbit IgG H&L (IRDye® 800CW) preabsorbed (ab216773) and Goat anti-Mouse IgG H&L (IRDye® 680RD) preabsorbed (ab216776) secondary antibodies at 1 in 20000 dilution for 1 hour at room temperature before imaging.

All lanes:

Western blot - Anti-APE1 antibody [EPR4022] (<a href='/en-us/products/primary-antibodies/ape1-antibody-epr4022-ab92744'>ab92744</a>) at 1/10000 dilution

Lane 1:

Wild-type HAP1 whole cell lysate at 20 µg

Lane 2:

APEX1 knockout HAP1 whole cell lysate at 20 µg

Lane 3:

HepG2 whole cell lysate at 20 µg

Lane 4:

HEK293 whole cell lysate at 20 µg

Predicted band size: 35 kDa

Observed band size: 37 kDa

false

Key facts

Host species

Rabbit

Clonality

Monoclonal

Clone number

EPR4022

Isotype

IgG

Carrier free

Yes

Reacts with

Mouse, Rat, Human

Applications

WB, IHC-P

applications

Immunogen

The exact immunogen used to generate this antibody is proprietary information.

Reactivity data

{ "title": "Reactivity Data", "filters": { "stats": ["", "Species", "Dilution Info", "Notes"], "tabs": { "all-applications": {"fullname" : "All Applications", "shortname": "All Applications"}, "IHCP" : {"fullname" : "Immunohistochemistry (Formalin/PFA-fixed paraffin-embedded sections)", "shortname":"IHC-P"}, "WB" : {"fullname" : "Western blot", "shortname":"WB"} }, "product-promise": { "all": "all", "testedAndGuaranteed": "tested", "guaranteed": "expected", "predicted": "predicted", "notRecommended": "not-recommended" } }, "values": { "Human": { "IHCP-species-checked": "testedAndGuaranteed", "IHCP-species-dilution-info": "", "IHCP-species-notes": "<p></p>", "WB-species-checked": "testedAndGuaranteed", "WB-species-dilution-info": "", "WB-species-notes": "<p></p>" }, "Mouse": { "IHCP-species-checked": "testedAndGuaranteed", "IHCP-species-dilution-info": "", "IHCP-species-notes": "<p></p>", "WB-species-checked": "testedAndGuaranteed", "WB-species-dilution-info": "", "WB-species-notes": "<p></p>" }, "Rat": { "IHCP-species-checked": "testedAndGuaranteed", "IHCP-species-dilution-info": "", "IHCP-species-notes": "<p></p>", "WB-species-checked": "testedAndGuaranteed", "WB-species-dilution-info": "", "WB-species-notes": "<p></p>" } } }

Product details

ab214805 is the carrier-free version of ab92744.

Patented technology
Our RabMAb® technology is a patented hybridoma-based technology for making rabbit monoclonal antibodies. For details on our patents, please refer to RabMAb® patents.

What are the advantages of a recombinant monoclonal antibody?
This product is a recombinant monoclonal antibody, which offers several advantages including:

  • - High batch-to-batch consistency and reproducibility
  • - Improved sensitivity and specificity
  • - Long-term security of supply
  • - Animal-free batch production

For more information, read more on recombinant antibodies.

Conjugation ready
Our carrier-free antibodies are typically supplied in a PBS-only formulation, purified and free of BSA, sodium azide and glycerol. This conjugation-ready format is designed for use with fluorochromes, metal isotopes, oligonucleotides, and enzymes, which makes them ideal for antibody labelling, functional and cell-based assays, flow-based assays (e.g. mass cytometry) and Multiplex Imaging applications.

Use our conjugation kits for antibody conjugates that are ready-to-use in as little as 20 minutes with 1 minute hands-on-time and 100% antibody recovery: available for fluorescent dyes, HRP, biotin and gold.

Compatibility
This product is compatible with the Maxpar® Antibody Labeling Kit from Fluidigm, without the need for antibody preparation. Maxpar® is a trademark of Fluidigm Canada Inc.

Properties and storage information

Form
Liquid
Purification technique
Affinity purification Protein A
Storage buffer
pH: 7.2 - 7.4 Constituents: PBS
Shipped at conditions
Blue Ice
Appropriate short-term storage conditions
+4°C
Appropriate long-term storage conditions
+4°C
Storage information
Do Not Freeze

Supplementary information

This supplementary information is collated from multiple sources and compiled automatically.

APE1 also known as APEX1 or apurinic/apyrimidinic endonuclease 1 functions as an important DNA repair enzyme. It plays a pivotal role in the base excision repair (BER) pathway where it recognizes and processes apurinic/apyrimidinic sites in DNA. APE1 has a molecular mass of about 37 kDa. It is expressed primarily in the nucleus with detectable levels in the cytoplasm. The expression of APE1 spans across various tissue types indicating its essential role in maintaining genomic stability.
Biological function summary

APE1 enzymatically cleaves the phosphodiester bond at abasic sites creating a nick in the DNA backbone for further repair steps. This action prevents mutations and maintains DNA integrity. APE1 also functions as a redox factor regulating the transcriptional activity of several transcription factors. It is not part of a larger complex but interacts with various BER pathway proteins such as DNA polymerase beta and XRCC1. This interaction is important for the effective repair of damaged DNA and cellular response to oxidative stress.

Pathways

APE1 is integrated within the base excision repair and redox signaling pathways. These pathways are fundamental for repairing single-strand breaks and modulating the cellular oxidative stress response. APE1 coordinates closely with other proteins like PNKP and OGG1 in the BER pathway ensuring precise and effective DNA repair. Through its redox activity APE1 influences pathways involving NF-kB and AP-1 demonstrating its multifaceted roles in cellular processes.

Alterations in APE1 function associate with cancer progression and neurodegenerative diseases. Overexpression or mutations in APE1 correlate with increased tumor resistance to chemotherapy in several cancers including lung and ovarian cancer. APE1's interaction with proteins like p53 and HMGB1 connects it to the etiology and progression of these malignancies. Furthermore impaired APE1 activity links to neurodegenerative disorders such as Alzheimer's disease where DNA repair deficiency contributes to neuronal damage and cognitive decline.

Product protocols

For this product, it's our understanding that no specific protocols are required. You can visit:

Target data

Multifunctional protein that plays a central role in the cellular response to oxidative stress. The two major activities of APEX1 are DNA repair and redox regulation of transcriptional factors. Functions as an apurinic/apyrimidinic (AP) endodeoxyribonuclease in the DNA base excision repair (BER) pathway of DNA lesions induced by oxidative and alkylating agents. Initiates repair of AP sites in DNA by catalyzing hydrolytic incision of the phosphodiester backbone immediately adjacent to the damage, generating a single-strand break with 5'-deoxyribose phosphate and 3'-hydroxyl ends. Also incises at AP sites in the DNA strand of DNA/RNA hybrids, single-stranded DNA regions of R-loop structures, and single-stranded RNA molecules. Has 3'-5' exoribonuclease activity on mismatched deoxyribonucleotides at the 3' termini of nicked or gapped DNA molecules during short-patch BER. Possesses DNA 3' phosphodiesterase activity capable of removing lesions (such as phosphoglycolate) blocking the 3' side of DNA strand breaks. May also play a role in the epigenetic regulation of gene expression by participating in DNA demethylation. Acts as a loading factor for POLB onto non-incised AP sites in DNA and stimulates the 5'-terminal deoxyribose 5'-phosphate (dRp) excision activity of POLB. Plays a role in protection from granzyme-mediated cellular repair leading to cell death. Also involved in the DNA cleavage step of class switch recombination (CSR). On the other hand, APEX1 also exerts reversible nuclear redox activity to regulate DNA binding affinity and transcriptional activity of transcriptional factors by controlling the redox status of their DNA-binding domain, such as the FOS/JUN AP-1 complex after exposure to IR. Involved in calcium-dependent down-regulation of parathyroid hormone (PTH) expression by binding to negative calcium response elements (nCaREs). Together with HNRNPL or the dimer XRCC5/XRCC6, associates with nCaRE, acting as an activator of transcriptional repression. Stimulates the YBX1-mediated MDR1 promoter activity, when acetylated at Lys-6 and Lys-7, leading to drug resistance. Acts also as an endoribonuclease involved in the control of single-stranded RNA metabolism. Plays a role in regulating MYC mRNA turnover by preferentially cleaving in between UA and CA dinucleotides of the MYC coding region determinant (CRD). In association with NMD1, plays a role in the rRNA quality control process during cell cycle progression. Associates, together with YBX1, on the MDR1 promoter. Together with NPM1, associates with rRNA. Binds DNA and RNA.
See full target information APEX1

Publications (1)

Recent publications for all applications. Explore the full list and refine your search

Biochemistry 51:3919-32 PubMed22497302

2012

The nucleotide sequence, DNA damage location, and protein stoichiometry influence the base excision repair outcome at CAG/CTG repeats.

Applications

WB

Species

Unspecified reactive species

Agathi-Vasiliki Goula,Christopher E Pearson,Julie Della Maria,Yvon Trottier,Alan E Tomkinson,David M Wilson,Karine Merienne
View all publications

Product promise

We are committed to supporting your work with high-quality reagents, and we're here for you every step of the way. In the unlikely event that one of our products does not perform as expected, you're protected by our Product Promise.
For full details, please see our Terms & Conditions

Please note: All products are 'FOR RESEARCH USE ONLY. NOT FOR USE IN DIAGNOSTIC OR THERAPEUTIC PROCEDURES'.

For licensing inquiries, please contact partnerships@abcam.com