JavaScript is disabled in your browser. Please enable JavaScript to view this website.
AB307843

Anti-APG5L/ATG5 antibody [EPR1755(2)] - Mouse IgG1 (Chimeric) - BSA and Azide free

Be the first to review this product! Submit a review

|

(1 Publication)

Knockout Tested Mouse Recombinant Monoclonal APG5L/ATG5 antibody. Carrier free. Suitable for WB, IHC-P and reacts with Human, Mouse, Rat samples. Cited in 1 publication.

View Alternative Names

APG5L, ASP, ATG5, Autophagy protein 5, APG5-like, Apoptosis-specific protein

6 Images
Immunohistochemistry (Formalin/PFA-fixed paraffin-embedded sections) - Anti-APG5L/ATG5 antibody [EPR1755(2)] - Mouse IgG1 (Chimeric) - BSA and Azide free (AB307843)
  • IHC-P

Supplier Data

Immunohistochemistry (Formalin/PFA-fixed paraffin-embedded sections) - Anti-APG5L/ATG5 antibody [EPR1755(2)] - Mouse IgG1 (Chimeric) - BSA and Azide free (AB307843)

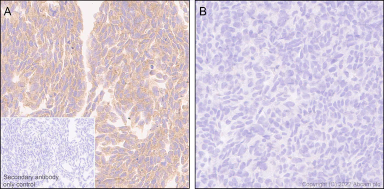
This data was developed using ab307842, the same antibody clone in a different buffer formulation. Immunohistochemical analysis of paraffin-embedded (A) Parental HAP1 (h tissue labeling APG5L/ATG5 with ab307842 at 1/2000 (0.415 ug/ml) followed by a ready to use LeicaDS9800 (Bond™ Polymer Refine Detection) was used. Cytoplasmic staining on (A) parental HAP1 (human chronic myelogenous leukemia near-haploid cell) cell pellet, no staining on (B) APG5L/ATG5 knockout HAP1 (HO010083) cell pellet.The section was incubated with ab307842 for 30 mins at room temperature, followed by anti-mouse IgG1 antibody (ab125913) for 8 mins during the LeicaDS9800 kit staining procedure.The immunostaining was performed on a Leica Biosystems BOND® RX instrument Counterstained with Hematoxylin. Secondary antibody only control : Secondary antibody is a ready to use LeicaDS9800 (Bond™ Polymer Refine Detection) was used. Heat mediated antigen retrieval was performed with Tris-EDTA buffer (pH 9.0, Epitope Retrieval Solution2) for 20 mins

Immunohistochemistry (Formalin/PFA-fixed paraffin-embedded sections) - Anti-APG5L/ATG5 antibody [EPR1755(2)] - Mouse IgG1 (Chimeric) - BSA and Azide free (AB307843)
  • IHC-P

Supplier Data

Immunohistochemistry (Formalin/PFA-fixed paraffin-embedded sections) - Anti-APG5L/ATG5 antibody [EPR1755(2)] - Mouse IgG1 (Chimeric) - BSA and Azide free (AB307843)

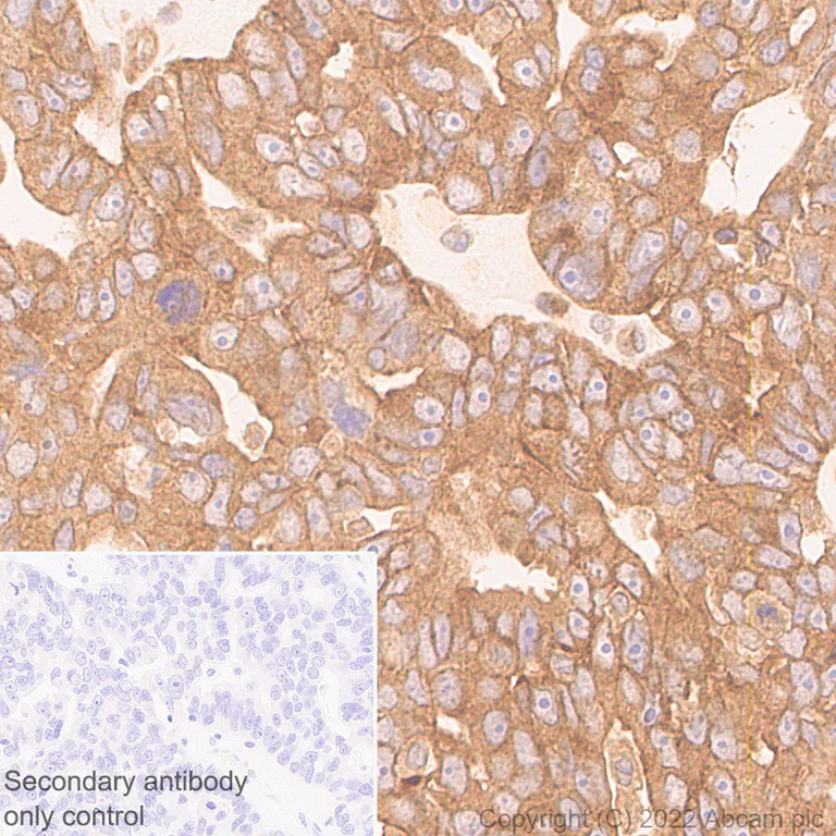
This data was developed using ab307842, the same antibody clone in a different buffer formulation. Immunohistochemical analysis of paraffin-embedded Human ovarian cancer tissue labeling APG5L/ATG5 with ab307842 at 1/500 (1.66 ug/ml) followed by a ready to use LeicaDS9800 (Bond™ Polymer Refine Detection) was used. Cytoplasmic staining on human ovarian cancer.The section was incubated with ab307842 for 30 mins at room temperature, followed by anti-mouse IgG1 antibody (ab125913) for 8 mins during the LeicaDS9800 kit staining procedure.The immunostaining was performed on a Leica Biosystems BOND® RX instrument Counterstained with Hematoxylin. Secondary antibody only control : Secondary antibody is a ready to use LeicaDS9800 (Bond™ Polymer Refine Detection) was used. Heat mediated antigen retrieval was performed with Tris-EDTA buffer (pH 9.0, Epitope Retrieval Solution2) for 20 mins

Immunohistochemistry (Formalin/PFA-fixed paraffin-embedded sections) - Anti-APG5L/ATG5 antibody [EPR1755(2)] - Mouse IgG1 (Chimeric) - BSA and Azide free (AB307843)
  • IHC-P

Supplier Data

Immunohistochemistry (Formalin/PFA-fixed paraffin-embedded sections) - Anti-APG5L/ATG5 antibody [EPR1755(2)] - Mouse IgG1 (Chimeric) - BSA and Azide free (AB307843)

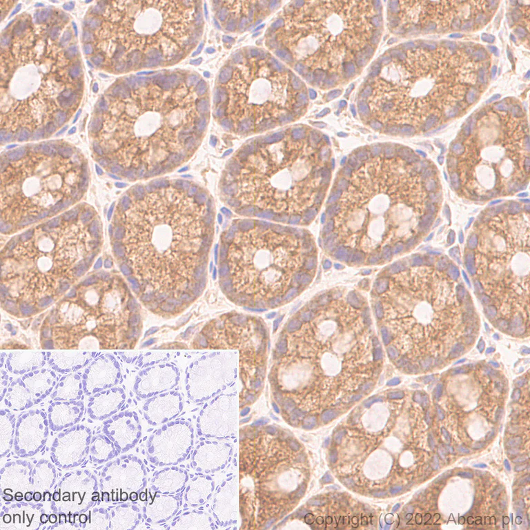
This data was developed using ab307842, the same antibody clone in a different buffer formulation. Immunohistochemical analysis of paraffin-embedded Mouse colon tissue labeling APG5L/ATG5 with ab307842 at 1/500 (1.66 ug/ml) followed by a ready to use LeicaDS9800 (Bond™ Polymer Refine Detection) was used. Cytoplasmic staining on mouse colon.The section was incubated with ab307842 for 30 mins at room temperature, followed by anti-mouse IgG1 antibody (ab125913) for 8 mins during the LeicaDS9800 kit staining procedure.The immunostaining was performed on a Leica Biosystems BOND® RX instrument Counterstained with Hematoxylin. Secondary antibody only control : Secondary antibody is a ready to use LeicaDS9800 (Bond™ Polymer Refine Detection) was used. Heat mediated antigen retrieval was performed with Tris-EDTA buffer (pH 9.0, Epitope Retrieval Solution2) for 20 mins

Immunohistochemistry (Formalin/PFA-fixed paraffin-embedded sections) - Anti-APG5L/ATG5 antibody [EPR1755(2)] - Mouse IgG1 (Chimeric) - BSA and Azide free (AB307843)
  • IHC-P

Supplier Data

Immunohistochemistry (Formalin/PFA-fixed paraffin-embedded sections) - Anti-APG5L/ATG5 antibody [EPR1755(2)] - Mouse IgG1 (Chimeric) - BSA and Azide free (AB307843)

This data was developed using ab307842, the same antibody clone in a different buffer formulation. Immunohistochemical analysis of paraffin-embedded Rat colon tissue labeling APG5L/ATG5 with ab307842 at 1/500 (1.66 ug/ml) followed by a ready to use LeicaDS9800 (Bond™ Polymer Refine Detection) was used. Cytoplasmic staining on rat colon.The section was incubated with ab307842 for 30 mins at room temperature, followed by anti-mouse IgG1 antibody (ab125913) for 8 mins during the LeicaDS9800 kit staining procedure.The immunostaining was performed on a Leica Biosystems BOND® RX instrument Counterstained with Hematoxylin. Secondary antibody only control : Secondary antibody is a ready to use LeicaDS9800 (Bond™ Polymer Refine Detection) was used. Heat mediated antigen retrieval was performed with Tris-EDTA buffer (pH 9.0, Epitope Retrieval Solution2) for 20 mins

Western blot - Anti-APG5L/ATG5 antibody [EPR1755(2)] - Mouse IgG1 (Chimeric) - BSA and Azide free (AB307843)
  • WB

Supplier Data

Western blot - Anti-APG5L/ATG5 antibody [EPR1755(2)] - Mouse IgG1 (Chimeric) - BSA and Azide free (AB307843)

This data was developed using ab307842, the same antibody clone in a different buffer formulation. Blocking and diluting buffer and concentration : False colour image of Western blot : Anti-APG5L/ATG5 antibody [EEPR1755(2)] (ab307842) staining at 1/1000 dilution, shown in green; Rabbit anti-GAPDH antibody [16891] (ab181602) loading control staining at 1/20000 dilution, shown in red. In Western blot, ab307842 was shown to bind specifically to APG5L/ATG5 . A band was observed at 55 kDa in wild-type HAP1 cell lysates with no signal observed at this size in APG5L/ATG5 knockout cell line. To generate this image, wild-type and APG5L/ATG5 knockout HAP1 cell lysates were analysed. First, samples were run on an SDS-PAGE gel then transferred onto a nitrocellulose membrane. Membranes were blocked in 3 % milk in TBS-0.1 % Tween® 20 (TBS-T) before incubation with primary antibodies overnight at 4 °C. Blots were washed four times in TBS-T, incubated with secondary antibodies for 1 h at room temperature, washed again four times then imaged. Secondary antibodies used were Goat Anti-Mouse IgG H&L (IRDye® 800CW) (ab216772) and Goat Anti-Rabbit IgG H&L (IRDye® 680RD) (ab216777) at 1/10000 dilution. Exposure time :

All lanes:

Western blot - Anti-APG5L/ATG5 antibody [EPR1755(2)] - Mouse IgG1 (Chimeric) (<a href='/en-us/products/primary-antibodies/apg5l-atg5-antibody-epr17552-mouse-igg1-chimeric-ab307842'>ab307842</a>) at 1/1000 dilution

Lane 1:

Wild-type HAP1 whole cell lysate at 20 µg

Lane 2:

APG5L/ATG5 knockout HAP1 whole cell lysate at 20 µg

Lane 3:

Raji (human Burkitts lymphoma B lymphocyte)whole cell lysate at 20 µg

Lane 4:

NIH/3T3 (mouse embryonic fibroblast)whole cell lysate at 20 µg

Secondary

Lanes 1 - 4:

Western blot - Goat anti-Mouse IgG H&L (IRDye® 800CW) preadsorbed (<a href='/en-us/products/secondary-antibodies/goat-mouse-igg-h-l-irdye-800cw-preadsorbed-ab216772'>ab216772</a>) at 1/10000 dilution

Lanes 1 - 4:

Western blot - Goat Anti-Rabbit IgG H&L (IRDye® 680RD) preadsorbed (<a href='/en-us/products/secondary-antibodies/goat-rabbit-igg-h-l-irdye-680rd-preadsorbed-ab216777'>ab216777</a>) at 1/10000 dilution

Observed band size: 55 kDa

false

Western blot - Anti-APG5L/ATG5 antibody [EPR1755(2)] - Mouse IgG1 (Chimeric) - BSA and Azide free (AB307843)
  • WB

Supplier Data

Western blot - Anti-APG5L/ATG5 antibody [EPR1755(2)] - Mouse IgG1 (Chimeric) - BSA and Azide free (AB307843)

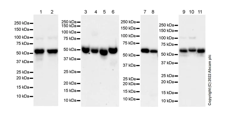
This data was developed using ab307842, the same antibody clone in a different buffer formulation. Blocking and diluting buffer and concentration : Lanes 1-3 : 48 seconds;Lanes 4-9 : 92 seconds;Lanes 10-13 : 37 seconds Exposure time :

All lanes:

Western blot - Anti-APG5L/ATG5 antibody [EPR1755(2)] - Mouse IgG1 (Chimeric) (<a href='/en-us/products/primary-antibodies/apg5l-atg5-antibody-epr17552-mouse-igg1-chimeric-ab307842'>ab307842</a>) at 1/1000 dilution

Lane 1:

HT-1080 (human fibrosarcoma epithelial cell)whole cell lysate at 20 µg

Lane 2:

HeLa (human cervix adenocarcinoma epithelial cell)whole cell lysate at 20 µg

Lane 3:

Mouse brain tissue lysate at 10 µg

Lane 4:

Mouse heart tissue lysate at 10 µg

Lane 5:

Mouse kidney tissue lysate at 10 µg

Lane 6:

Mouse spleen tissue lysate at 10 µg

Lane 7:

Rat brain tissue lysate at 10 µg

Lane 8:

Rat heart tissue lysate at 10 µg

Lane 9:

C6 (rat glial tumor glial cell)whole cell lysate at 10 µg

Lane 10:

RAW264.7 (mouse Abelson murine leukemia virus-induced tumor macrophage)whole cell lysate at 10 µg

Lane 11:

PC-12 (rat adrenal gland pheochromocytoma)whole cell lysate at 10 µg

Secondary

All lanes:

Western blot - Goat Anti-Mouse IgG Fc (HRP) preadsorbed (<a href='/en-us/products/secondary-antibodies/goat-mouse-igg-fc-hrp-preadsorbed-ab98717'>ab98717</a>) at 1/20000 dilution

Observed band size: 55 kDa

false

Exposure time: 48s

Key facts

Host species

Mouse

Clonality

Monoclonal

Clone number

EPR1755(2)

Isotype

IgG1

Carrier free

Yes

Reacts with

Human, Mouse, Rat

Applications

IHC-P, WB

applications

Immunogen

The exact immunogen used to generate this antibody is proprietary information.

Reactivity data

{ "title": "Reactivity Data", "filters": { "stats": ["", "Species", "Dilution Info", "Notes"], "tabs": { "all-applications": {"fullname" : "All Applications", "shortname": "All Applications"}, "WB" : {"fullname" : "Western blot", "shortname":"WB"}, "IHCP" : {"fullname" : "Immunohistochemistry (Formalin/PFA-fixed paraffin-embedded sections)", "shortname":"IHC-P"}, "ICCIF" : {"fullname" : "Immunocytochemistry/ Immunofluorescence", "shortname":"ICC/IF"} }, "product-promise": { "all": "all", "testedAndGuaranteed": "tested", "guaranteed": "expected", "predicted": "predicted", "notRecommended": "not-recommended" } }, "values": { "Human": { "WB-species-checked": "testedAndGuaranteed", "WB-species-dilution-info": "", "WB-species-notes": "<p></p>", "IHCP-species-checked": "testedAndGuaranteed", "IHCP-species-dilution-info": "", "IHCP-species-notes": "<p></p>", "ICCIF-species-checked": "notRecommended", "ICCIF-species-dilution-info": "", "ICCIF-species-notes": "<p></p>" }, "Mouse": { "WB-species-checked": "testedAndGuaranteed", "WB-species-dilution-info": "", "WB-species-notes": "<p></p>", "IHCP-species-checked": "testedAndGuaranteed", "IHCP-species-dilution-info": "", "IHCP-species-notes": "<p></p>", "ICCIF-species-checked": "notRecommended", "ICCIF-species-dilution-info": "", "ICCIF-species-notes": "<p></p>" }, "Rat": { "WB-species-checked": "testedAndGuaranteed", "WB-species-dilution-info": "", "WB-species-notes": "<p></p>", "IHCP-species-checked": "testedAndGuaranteed", "IHCP-species-dilution-info": "", "IHCP-species-notes": "<p></p>", "ICCIF-species-checked": "notRecommended", "ICCIF-species-dilution-info": "", "ICCIF-species-notes": "<p></p>" } } }

Product details

This mouse monoclonal chimeric antibody (ab307843) is the carrier-free version of ab307842.

Want a custom formulation?
This antibody clone is manufactured by Abcam. If you require a custom buffer formulation or conjugation for your experiments, please contact orders@abcam.com

What are the advantages of a recombinant monoclonal antibody?
This product is a recombinant monoclonal antibody, which offers several advantages including:

  • - High batch-to-batch consistency and reproducibility
  • - Improved sensitivity and specificity
  • - Long-term security of supply
  • - Animal-free batch production

For more information, read more on recombinant antibodies.

Conjugation ready
Our carrier-free antibodies are typically supplied in a PBS-only formulation, purified and free of BSA, sodium azide and glycerol. This conjugation-ready format is designed for use with fluorochromes, metal isotopes, oligonucleotides, and enzymes, which makes them ideal for antibody labelling, functional and cell-based assays, flow-based assays (e.g. mass cytometry) and Multiplex Imaging applications.

Use our conjugation kits for antibody conjugates that are ready-to-use in as little as 20 minutes with 1 minute hands-on-time and 100% antibody recovery: available for fluorescent dyes, HRP, biotin and gold.

Compatibility
This product is compatible with the Maxpar® Antibody Labeling Kit from Fluidigm, without the need for antibody preparation. Maxpar® is a trademark of Fluidigm Canada Inc.

Properties and storage information

Form
Liquid
Purification technique
Affinity purification Protein A
Storage buffer
pH: 7.2 - 7.4 Constituents: PBS
Shipped at conditions
Blue Ice
Appropriate short-term storage conditions
+4°C
Appropriate long-term storage conditions
+4°C

Supplementary information

This supplementary information is collated from multiple sources and compiled automatically.

APG5L commonly known as ATG5 or ATG5 protein plays a significant role in autophagy. This molecular component has a molecular weight of approximately 32 kDa. ATG5 is expressed in multiple tissue types with a higher expression profile in immune-related cells. The protein is essential for the formation of the autophagosome as it conjugates with ATG12 to form a complex that is critical for autophagosome membrane elongation.
Biological function summary

ATG5 plays an important part in the cellular process of autophagy affecting the degradation and recycling of cellular components. It is a part of a complex with ATG12 and ATG16L1 which facilitates the membrane building of the autophagosome. This protein is important for maintaining cellular homeostasis allowing the removal of damaged proteins and organelles and is involved in responses to stress and starvation.

Pathways

ATG5 is an important component in the autophagy pathway and is involved in cellular maintenance processes. This pathway is vital for the regulation of cell growth and metabolism. ATG5 works closely with other autophagy-related proteins such as LC3. The ATG5-ATG12 complex helps in the lipidation of LC3 which is critical for autophagosome maturation connecting its function to the mTOR signaling pathway that regulates many cellular processes.

Disruption in ATG5 function is linked to neurodegenerative diseases and cancer. For instance dysregulation of autophagy due to ATG5 dysfunction may result in the progression of neurodegenerative disorders like Alzheimer's disease. Additionally in certain cancers altered autophagy can influence the survival of cancer cells. The interplay between ATG5 and other proteins like p53 and Bcl-2 is under investigation to understand its role in these diseases.

Product protocols

For this product, it's our understanding that no specific protocols are required. You can visit:

Target data

Involved in autophagic vesicle formation. Conjugation with ATG12, through a ubiquitin-like conjugating system involving ATG7 as an E1-like activating enzyme and ATG10 as an E2-like conjugating enzyme, is essential for its function. The ATG12-ATG5 conjugate acts as an E3-like enzyme which is required for lipidation of ATG8 family proteins and their association to the vesicle membranes. Involved in mitochondrial quality control after oxidative damage, and in subsequent cellular longevity. Plays a critical role in multiple aspects of lymphocyte development and is essential for both B and T lymphocyte survival and proliferation. Required for optimal processing and presentation of antigens for MHC II. Involved in the maintenance of axon morphology and membrane structures, as well as in normal adipocyte differentiation. Promotes primary ciliogenesis through removal of OFD1 from centriolar satellites and degradation of IFT20 via the autophagic pathway. As part of the ATG8 conjugation system with ATG12 and ATG16L1, required for recruitment of LRRK2 to stressed lysosomes and induction of LRRK2 kinase activity in response to lysosomal stress (By similarity).. May play an important role in the apoptotic process, possibly within the modified cytoskeleton. Its expression is a relatively late event in the apoptotic process, occurring downstream of caspase activity. Plays a crucial role in IFN-gamma-induced autophagic cell death by interacting with FADD.. (Microbial infection) May act as a proviral factor. In association with ATG12, negatively regulates the innate antiviral immune response by impairing the type I IFN production pathway upon vesicular stomatitis virus (VSV) infection (PubMed : 17709747). Required for the translation of incoming hepatitis C virus (HCV) RNA and, thereby, for initiation of HCV replication, but not required once infection is established (PubMed : 19666601).
See full target information ATG5

Publications (1)

Recent publications for all applications. Explore the full list and refine your search

Pharmaceuticals (Basel, Switzerland) 16: PubMed37631096

2023

Protective Role of Betulinic Acid against Cisplatin-Induced Nephrotoxicity and Its Antibacterial Potential toward Uropathogenic Bacteria.

Applications

Unspecified application

Species

Unspecified reactive species

Fatemah A Alherz,Engy Elekhnawy,Hend Mostafa Selim,Thanaa A El-Masry,Aya H El-Kadem,Ismail A Hussein,Walaa A Negm
View all publications

Product promise

We are committed to supporting your work with high-quality reagents, and we're here for you every step of the way. In the unlikely event that one of our products does not perform as expected, you're protected by our Product Promise.
For full details, please see our Terms & Conditions

Please note: All products are 'FOR RESEARCH USE ONLY. NOT FOR USE IN DIAGNOSTIC OR THERAPEUTIC PROCEDURES'.

For licensing inquiries, please contact partnerships@abcam.com