JavaScript is disabled in your browser. Please enable JavaScript to view this website.
AB109490

Anti-APG5L/ATG5 antibody [EPR4797]

  • 20ul selling size
  • RabMAb
  • Recombinant
  • KO Validated
  • What is this?

Be the first to review this product! Submit a review

|

(42 Publications)

Knockout Tested Rabbit Recombinant Monoclonal APG5L/ATG5 antibody. Suitable for IHC-P, WB, Flow Cyt (Intra) and reacts with Human, Mouse samples. Cited in 42 publications.

View Alternative Names

APG5L, ASP, ATG5, Autophagy protein 5, APG5-like, Apoptosis-specific protein

7 Images
Flow Cytometry (Intracellular) - Anti-APG5L/ATG5 antibody [EPR4797] (AB109490)
  • Flow Cyt (Intra)

Unknown

Flow Cytometry (Intracellular) - Anti-APG5L/ATG5 antibody [EPR4797] (AB109490)

Intracellular Flow Cytometry analysis of HeLa (human cervix adenocarcinoma) cells labeling APG5L/ATG5 with purified ab109490 at 1/250 dilution (10ug/mL) (red). Cells were fixed with 4% paraformaldehyde and permeabilised with 90% methanol. A Goat anti rabbit IgG (Alexa Fluorr®488) (1/2000 dilution) was used as the secondary antibody. Rabbit monoclonal IgG (Black) was used as the isotype control, cells without incubation with primary antibody and secondary antibody (Blue) were used as the unlabeled control.

Immunohistochemistry (Formalin/PFA-fixed paraffin-embedded sections) - Anti-APG5L/ATG5 antibody [EPR4797] (AB109490)
  • IHC-P

Unknown

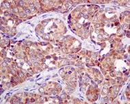
Immunohistochemistry (Formalin/PFA-fixed paraffin-embedded sections) - Anti-APG5L/ATG5 antibody [EPR4797] (AB109490)

ab109490, at 1/100 dilution, staining APG5L/ATG5 in paraffin-embedded Human breast carcinoma by Immunohistochemistry.

Perform heat mediated antigen retrieval with citrate buffer pH 6 before commencing with IHC staining protocol.

Immunohistochemistry (Formalin/PFA-fixed paraffin-embedded sections) - Anti-APG5L/ATG5 antibody [EPR4797] (AB109490)
  • IHC-P

Unknown

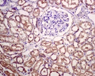
Immunohistochemistry (Formalin/PFA-fixed paraffin-embedded sections) - Anti-APG5L/ATG5 antibody [EPR4797] (AB109490)

ab109490, at 1/100 dilution, staining APG5L/ATG5 in paraffin-embedded Human kidney by Immunohistochemistry.

Perform heat mediated antigen retrieval with citrate buffer pH 6 before commencing with IHC staining protocol.

Western blot - Anti-APG5L/ATG5 antibody [EPR4797] (AB109490)
  • WB

Lab

Western blot - Anti-APG5L/ATG5 antibody [EPR4797] (AB109490)

Lane 1 : Wild-type HAP1 cell lysate (20 μg)
Lane 2 : APG5L/ATG5 knockout HAP1 cell lysate (20 μg)
Lane 3 : Raji cell lysate (20 μg)
Lane 4 : Jeg-3 cell lysate (20 μg)
Lanes 1 - 4 : Merged signal (red and green). Green - ab109490 observed at 52 kDa. Red - loading control, ab8245, observed at 37 kDa.
ab109490 was shown to specifically react with APG5L/ATG5 when APG5L/ATG5 knockout samples were used. Wild-type and APG5L/ATG5 knockout samples were subjected to SDS-PAGE. ab109490 and ab8245 (loading control to GAPDH) were diluted 1/1000 and 1/2000 respectively and incubated overnight at 4°C. Blots were developed with Goat anti-Rabbit IgG H&L (IRDye® 800CW) preadsorbed (ab216773) and Goat anti-Mouse IgG H&L (IRDye® 680RD) preadsorbed (ab216776) secondary antibodies at 1/10 000 dilution for 1 h at room temperature before imaging.

All lanes:

Western blot - Anti-APG5L/ATG5 antibody [EPR4797] (ab109490)

Predicted band size: 32 kDa

false

Western blot - Anti-APG5L/ATG5 antibody [EPR4797] (AB109490)
  • WB

Unknown

Western blot - Anti-APG5L/ATG5 antibody [EPR4797] (AB109490)

Upper band shows APG5L/ATG5 conjugated to ATG12.

All lanes:

Western blot - Anti-APG5L/ATG5 antibody [EPR4797] (ab109490) at 1/1000 dilution

All lanes:

Human fetal kidney lysate at 10 µg

Predicted band size: 32 kDa

false

Western blot - Anti-APG5L/ATG5 antibody [EPR4797] (AB109490)
  • WB

Lab

Western blot - Anti-APG5L/ATG5 antibody [EPR4797] (AB109490)

False colour image of Western blot : Anti-APG5L/ATG5 antibody [EPR4797] staining at 1/1000 dilution, shown in green; Mouse anti-Alpha Tubulin [DM1A] (ab7291) loading control staining at 1/20000 dilution, shown in red. In Western blot, ab109490 was shown to bind specifically to APG5L/ATG5. A band was observed at 50 kDa in wild-type THP-1 cell lysates with no signal observed at this size in ATG5 knockout cell line ab277835 (knockout cell lysate ab290722). To generate this image, wild-type and ATG5 knockout THP-1 cell lysates were analysed. First, samples were run on an SDS-PAGE gel then transferred onto a nitrocellulose membrane. Membranes were blocked in 5 % milk in TBS-0.1 % Tween® 20 (TBS-T) before incubation with primary antibodies overnight at 4 °C. Blots were washed four times in TBS-T, incubated with secondary antibodies for 1 h at room temperature, washed again four times then imaged. Secondary antibodies used were Goat anti-Rabbit IgG H&L 800CW and Goat anti-Mouse IgG H&L 680RD at 1/20000 dilution.

All lanes:

Western blot - Anti-APG5L/ATG5 antibody [EPR4797] (ab109490) at 1/1000 dilution

Lane 1:

Wild-type THP-1 cell lysate at 20 µg

Lane 2:

ATG5 knockout THP-1 cell lysate at 20 µg

Lane 3:

U-87 MG cell lysate at 20 µg

Lane 4:

HeLa cell lysate at 20 µg

Secondary

Lanes 1 - 4:

Goat anti-Rabbit IgG H&L 800CW at 1/20000 dilution

Lanes 1 - 4:

Goat anti-Mouse IgG H&L 680RD at 1/20000 dilution

Observed band size: 50 kDa

false

Western blot - Anti-APG5L/ATG5 antibody [EPR4797] (AB109490)
  • WB

Unknown

Western blot - Anti-APG5L/ATG5 antibody [EPR4797] (AB109490)

All lanes:

Western blot - Anti-APG5L/ATG5 antibody [EPR4797] (ab109490) at 1/1000 dilution

Lane 1:

THP1 cell lysate at 10 µg

Lane 2:

Raji cell lysate at 10 µg

Lane 3:

HeLa cell lysate at 10 µg

Lane 4:

HT1080 cell lysate at 10 µg

Predicted band size: 32 kDa

false

  • 565 Alexa Fluor® 555

    Alexa Fluor® 555 Anti-APG5L/ATG5 antibody [EPR4797]

  • Carrier free

    Anti-APG5L/ATG5 antibody [EPR4797] - BSA and Azide free

Key facts

Host species

Rabbit

Clonality

Monoclonal

Clone number

EPR4797

Isotype

IgG

Carrier free

No

Reacts with

Mouse, Human

Applications

WB, Flow Cyt (Intra), IHC-P

applications

Immunogen

The exact immunogen used to generate this antibody is proprietary information.

Reactivity data

{ "title": "Reactivity Data", "filters": { "stats": ["", "Species", "Dilution Info", "Notes"], "tabs": { "all-applications": {"fullname" : "All Applications", "shortname": "All Applications"}, "IHCP" : {"fullname" : "Immunohistochemistry (Formalin/PFA-fixed paraffin-embedded sections)", "shortname":"IHC-P"}, "IP" : {"fullname" : "Immunoprecipitation", "shortname":"IP"}, "WB" : {"fullname" : "Western blot", "shortname":"WB"}, "FlowCytIntra" : {"fullname" : "Flow Cytometry (Intracellular)", "shortname":"Flow Cyt (Intra)"} }, "product-promise": { "all": "all", "testedAndGuaranteed": "tested", "guaranteed": "expected", "predicted": "predicted", "notRecommended": "not-recommended" } }, "values": { "Human": { "IHCP-species-checked": "testedAndGuaranteed", "IHCP-species-dilution-info": "1/100 - 1/250", "IHCP-species-notes": "<p></p>", "IP-species-checked": "notRecommended", "IP-species-dilution-info": "", "IP-species-notes": "<p></p>", "WB-species-checked": "testedAndGuaranteed", "WB-species-dilution-info": "1/1000 - 1/10000", "WB-species-notes": "<p></p>", "FlowCytIntra-species-checked": "testedAndGuaranteed", "FlowCytIntra-species-dilution-info": "1/250", "FlowCytIntra-species-notes": "<p><a href='/en-us/products/primary-antibodies/rabbit-igg-monoclonal-epr25a-isotype-control-ab172730'>ab172730</a> - Rabbit monoclonal IgG, is suitable for use as an isotype control with this antibody.</p>" }, "Mouse": { "IHCP-species-checked": "testedAndGuaranteed", "IHCP-species-dilution-info": "1/100 - 1/250", "IHCP-species-notes": "<p></p>", "IP-species-checked": "notRecommended", "IP-species-dilution-info": "", "IP-species-notes": "<p></p>", "WB-species-checked": "testedAndGuaranteed", "WB-species-dilution-info": "1/1000 - 1/10000", "WB-species-notes": "<p></p>", "FlowCytIntra-species-checked": "guaranteed", "FlowCytIntra-species-dilution-info": "", "FlowCytIntra-species-notes": "" }, "Rat": { "IHCP-species-checked": "predicted", "IHCP-species-dilution-info": "", "IHCP-species-notes": "", "IP-species-checked": "notRecommended", "IP-species-dilution-info": "", "IP-species-notes": "", "WB-species-checked": "predicted", "WB-species-dilution-info": "", "WB-species-notes": "", "FlowCytIntra-species-checked": "predicted", "FlowCytIntra-species-dilution-info": "", "FlowCytIntra-species-notes": "" } } }

Product details

Patented technology
Our RabMAb® technology is a patented hybridoma-based technology for making rabbit monoclonal antibodies. For details on our patents, please refer to RabMAb® patents.

What are the advantages of a recombinant monoclonal antibody?
This product is a recombinant monoclonal antibody, which offers several advantages including:

  • - High batch-to-batch consistency and reproducibility
  • - Improved sensitivity and specificity
  • - Long-term security of supply
  • - Animal-free batch production

For more information, read more on recombinant antibodies.

Properties and storage information

Form
Liquid
Purity
Tissue culture supernatant
Storage buffer
pH: 7.2 - 7.4 Preservative: 0.05% Sodium azide Constituents: 50% Tissue culture supernatant, 40% Glycerol (glycerin, glycerine), 9.85% Tris glycine, 0.1% BSA
Shipped at conditions
Blue Ice
Appropriate short-term storage duration
1-2 weeks
Appropriate short-term storage conditions
+4°C
Appropriate long-term storage conditions
-20°C
Aliquoting information
Upon delivery aliquot
Storage information
Avoid freeze / thaw cycle

Supplementary information

This supplementary information is collated from multiple sources and compiled automatically.

APG5L commonly known as ATG5 or ATG5 protein plays a significant role in autophagy. This molecular component has a molecular weight of approximately 32 kDa. ATG5 is expressed in multiple tissue types with a higher expression profile in immune-related cells. The protein is essential for the formation of the autophagosome as it conjugates with ATG12 to form a complex that is critical for autophagosome membrane elongation.
Biological function summary

ATG5 plays an important part in the cellular process of autophagy affecting the degradation and recycling of cellular components. It is a part of a complex with ATG12 and ATG16L1 which facilitates the membrane building of the autophagosome. This protein is important for maintaining cellular homeostasis allowing the removal of damaged proteins and organelles and is involved in responses to stress and starvation.

Pathways

ATG5 is an important component in the autophagy pathway and is involved in cellular maintenance processes. This pathway is vital for the regulation of cell growth and metabolism. ATG5 works closely with other autophagy-related proteins such as LC3. The ATG5-ATG12 complex helps in the lipidation of LC3 which is critical for autophagosome maturation connecting its function to the mTOR signaling pathway that regulates many cellular processes.

Disruption in ATG5 function is linked to neurodegenerative diseases and cancer. For instance dysregulation of autophagy due to ATG5 dysfunction may result in the progression of neurodegenerative disorders like Alzheimer's disease. Additionally in certain cancers altered autophagy can influence the survival of cancer cells. The interplay between ATG5 and other proteins like p53 and Bcl-2 is under investigation to understand its role in these diseases.

Product protocols

For this product, it's our understanding that no specific protocols are required. You can visit:

Target data

Involved in autophagic vesicle formation. Conjugation with ATG12, through a ubiquitin-like conjugating system involving ATG7 as an E1-like activating enzyme and ATG10 as an E2-like conjugating enzyme, is essential for its function. The ATG12-ATG5 conjugate acts as an E3-like enzyme which is required for lipidation of ATG8 family proteins and their association to the vesicle membranes. Involved in mitochondrial quality control after oxidative damage, and in subsequent cellular longevity. Plays a critical role in multiple aspects of lymphocyte development and is essential for both B and T lymphocyte survival and proliferation. Required for optimal processing and presentation of antigens for MHC II. Involved in the maintenance of axon morphology and membrane structures, as well as in normal adipocyte differentiation. Promotes primary ciliogenesis through removal of OFD1 from centriolar satellites and degradation of IFT20 via the autophagic pathway. As part of the ATG8 conjugation system with ATG12 and ATG16L1, required for recruitment of LRRK2 to stressed lysosomes and induction of LRRK2 kinase activity in response to lysosomal stress (By similarity).. May play an important role in the apoptotic process, possibly within the modified cytoskeleton. Its expression is a relatively late event in the apoptotic process, occurring downstream of caspase activity. Plays a crucial role in IFN-gamma-induced autophagic cell death by interacting with FADD.. (Microbial infection) May act as a proviral factor. In association with ATG12, negatively regulates the innate antiviral immune response by impairing the type I IFN production pathway upon vesicular stomatitis virus (VSV) infection (PubMed : 17709747). Required for the translation of incoming hepatitis C virus (HCV) RNA and, thereby, for initiation of HCV replication, but not required once infection is established (PubMed : 19666601).
See full target information ATG5

Publications (42)

Recent publications for all applications. Explore the full list and refine your search

PeerJ 12:e17263 PubMed38784395

2024

PTX3 mediates PI3K/AKT/mTOR signaling to downregulate apoptosis and autophagy to attenuate myocardial injury in sepsis.

Applications

Unspecified application

Species

Unspecified reactive species

Na Cui,Zhi Chen,Zhanbiao Yu,Xiaowei Lv,Zhenjie Hu

Endokrynologia Polska 73:837-845 PubMed36621906

2023

The KLF4-p62 axis prevents vascular endothelial cell injury via the mTOR/S6K pathway and autophagy in diabetic kidney disease.

Applications

Unspecified application

Species

Unspecified reactive species

Xinxing Wang,Wei Su,Mingze Ma,Lichao Zhu,Ruxin Gao,Chuan Qin,Shuai Shao,Dexuan Gao,Junlin Gao,Zhenhai Zhang

Folia histochemica et cytobiologica 60:323-334 PubMed36504133

2022

Astragaloside IV - mediated endothelial progenitor cell exosomes promote autophagy and inhibit apoptosis in hyperglycemic damaged endothelial cells via miR-21/PTEN axis.

Applications

Unspecified application

Species

Unspecified reactive species

Wu Xiong,Xin-Ling Huang,Cheng-Yu Li,Xiao-Liang Wang,Hong-Wei Lan,Ting-Ting Wang,Zi-Lin Chen,Qian-Pei Yang,Ai-Lin Hu,Yi-Fei Xia,Fu-Rong Zhu,Zhong-Zhi Zhou

Nature communications 13:680 PubMed35115539

2022

Dendritic autophagy degrades postsynaptic proteins and is required for long-term synaptic depression in mice.

Applications

Unspecified application

Species

Unspecified reactive species

Emmanouela Kallergi,Akrivi-Dimitra Daskalaki,Angeliki Kolaxi,Come Camus,Evangelia Ioannou,Valentina Mercaldo,Per Haberkant,Frank Stein,Kyriaki Sidiropoulou,Yannis Dalezios,Mikhail M Savitski,Claudia Bagni,Daniel Choquet,Eric Hosy,Vassiliki Nikoletopoulou

Frontiers in cell and developmental biology 9:742049 PubMed34805151

2021

ERK5 Inhibition Induces Autophagy-Mediated Cancer Cell Death by Activating ER Stress.

Applications

Unspecified application

Species

Unspecified reactive species

Andrés Gámez-García,Idoia Bolinaga-Ayala,Guillermo Yoldi,Sergio Espinosa-Gil,Nora Diéguez-Martínez,Elisabet Megías-Roda,Pau Muñoz-Guardiola,Jose M Lizcano

International journal of molecular sciences 22: PubMed34769258

2021

Cathepsin B Regulates Mice Granulosa Cells' Apoptosis and Proliferation In Vitro.

Applications

Unspecified application

Species

Unspecified reactive species

Chao Chen,Muhammad Jamil Ahmad,Tingzhu Ye,Chao Du,Xinxin Zhang,Aixin Liang,Liguo Yang

Bioengineered 13:1791-1801 PubMed34699311

2021

MicroRNA-335-5p alleviates inflammatory response, airway fibrosis, and autophagy in childhood asthma through targeted regulation of autophagy related 5.

Applications

Unspecified application

Species

Unspecified reactive species

Qingbin Liang,Jingjing He,Qian Yang,Qinghua Zhang,Yingjun Xu

Oxidative medicine and cellular longevity 2021:8963987 PubMed34712388

2021

Effect and Mechanism of LRP6 on Cardiac Myocyte Ferroptosis in Myocardial Infarction.

Applications

Unspecified application

Species

Unspecified reactive species

Rui-Lin Li,Cheng-Hui Fan,Shi-Yu Gong,Sheng Kang

Drug development research 83:389-396 PubMed34402084

2021

Naringenin inhibits autophagy and epithelial-mesenchymal transition of human lens epithelial cells by regulating the Smad2/3 pathway.

Applications

Unspecified application

Species

Unspecified reactive species

Qingnan Li,Shuang Liu,Guang Yang,Mingming Li,Peng Qiao,Qiang Xue

Aging 13:20229-20245 PubMed34483138

2021

Autophagic flux in cancer cells at the invasive front in the tumor-stroma border.

Applications

Unspecified application

Species

Unspecified reactive species

Fei Yan,Xuexi Zhang,Rongying Tan,Mingchen Li,Zengtuan Xiao,Hao Wang,Zhenfa Zhang,Zhenyi Ma,Zhe Liu
View all publications

Product promise

We are committed to supporting your work with high-quality reagents, and we're here for you every step of the way. In the unlikely event that one of our products does not perform as expected, you're protected by our Product Promise.
For full details, please see our Terms & Conditions

Please note: All products are 'FOR RESEARCH USE ONLY. NOT FOR USE IN DIAGNOSTIC OR THERAPEUTIC PROCEDURES'.

For licensing inquiries, please contact partnerships@abcam.com