JavaScript is disabled in your browser. Please enable JavaScript to view this website.
AB273469

Anti-APLP1 antibody [AP1] - BSA and Azide free

Be the first to review this product! Submit a review

|

(0 Publication)

Mouse Recombinant Monoclonal APLP1 antibody. Carrier free. Suitable for IHC-P, WB and reacts with Mouse, Rat, Human samples.

View Alternative Names

Amyloid beta precursor like protein 1, Amyloid beta (A4) precursor-like protein 1, Amyloid-like protein 1, APLP, APLP-1, APLP1

5 Images
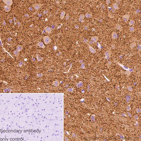
Immunohistochemistry (Formalin/PFA-fixed paraffin-embedded sections) - Anti-APLP1 antibody [AP1] - BSA and Azide free (AB273469)
  • IHC-P

Lab

Immunohistochemistry (Formalin/PFA-fixed paraffin-embedded sections) - Anti-APLP1 antibody [AP1] - BSA and Azide free (AB273469)

This data was developed using ab273448, the same antibody clone in a different buffer formulation.

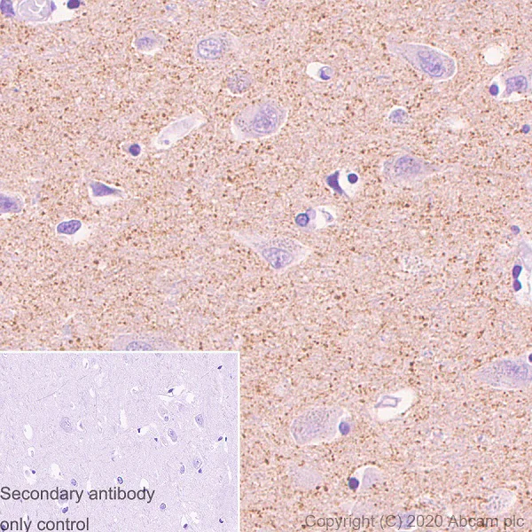
Immunohistochemical analysis of paraffin-embedded human cerebrum with Alzheimer's disease tissue labeling APLP1 with ab273448 at 1/500 dilution followed by a ready to use secondary. Positive staining on human cerebrum with Alzheimer's disease is observed. The section was incubated with ab273448 for 30 mins at room temperature. The immunostaining was performed on a Leica Biosystems BOND® RX instrument. Counterstained with Hematoxylin.
Secondary antibody only control : Secondary antibody is a ready to use secondary.
Heat mediated antigen retrieval with Tris-EDTA buffer (pH 9.0, epitope retrieval solution2) for 20 mins.

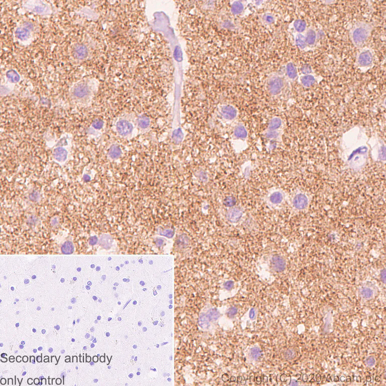
Immunohistochemistry (Formalin/PFA-fixed paraffin-embedded sections) - Anti-APLP1 antibody [AP1] - BSA and Azide free (AB273469)
  • IHC-P

Lab

Immunohistochemistry (Formalin/PFA-fixed paraffin-embedded sections) - Anti-APLP1 antibody [AP1] - BSA and Azide free (AB273469)

This data was developed using ab273448, the same antibody clone in a different buffer formulation.

Immunohistochemical analysis of paraffin-embedded human cerebrum tissue labeling APLP1 with ab273448 at 1/500 dilution followed by a ready to use secondary. Positive staining on human cerebrum is observed. The section was incubated with ab273448 for 30 mins at room temperature. The immunostaining was performed on a Leica Biosystems BOND® RX instrument. Counterstained with Hematoxylin.
Secondary antibody only control : Secondary antibody is a ready to use secondary.
Heat mediated antigen retrieval with Tris-EDTA buffer (pH 9.0, epitope retrieval solution2) for 20 mins.

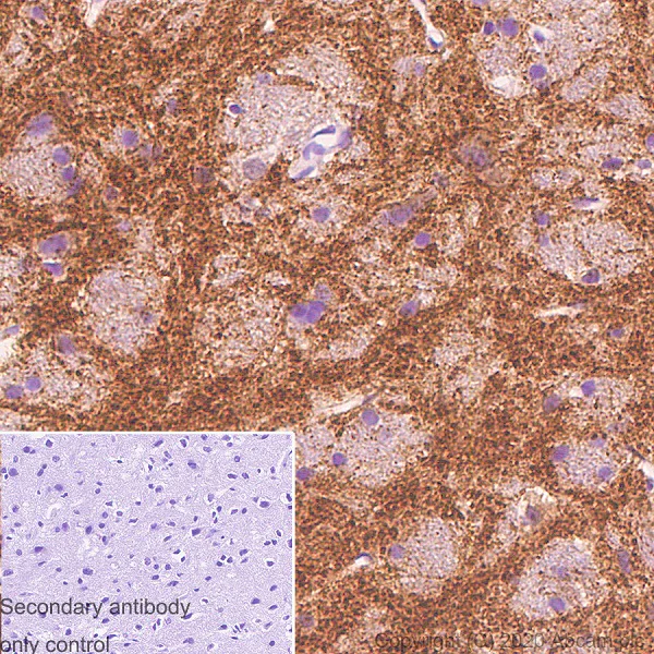
Immunohistochemistry (Formalin/PFA-fixed paraffin-embedded sections) - Anti-APLP1 antibody [AP1] - BSA and Azide free (AB273469)
  • IHC-P

Lab

Immunohistochemistry (Formalin/PFA-fixed paraffin-embedded sections) - Anti-APLP1 antibody [AP1] - BSA and Azide free (AB273469)

This data was developed using ab273448, the same antibody clone in a different buffer formulation.

Immunohistochemical analysis of paraffin-embedded mouse cerebrum tissue labeling APLP1 with ab273448 at 1/500 dilution followed by a ready to use secondary. Positive staining on mouse cerebrum is observed. The section was incubated with ab273448 for 30 mins at room temperature. The immunostaining was performed on a Leica Biosystems BOND® RX instrument. Counterstained with Hematoxylin.
Secondary antibody only control : Secondary antibody is a ready to use secondary.
Heat mediated antigen retrieval with citrate buffer (pH 6.0, epitope retrieval solution 1) for 20 mins.

Immunohistochemistry (Formalin/PFA-fixed paraffin-embedded sections) - Anti-APLP1 antibody [AP1] - BSA and Azide free (AB273469)
  • IHC-P

Lab

Immunohistochemistry (Formalin/PFA-fixed paraffin-embedded sections) - Anti-APLP1 antibody [AP1] - BSA and Azide free (AB273469)

This data was developed using ab273448, the same antibody clone in a different buffer formulation.

Immunohistochemical analysis of paraffin-embedded rat cerebrum tissue labeling APLP1 with ab273448 at 1/500 dilution followed by a ready to use secondary. Positive staining on rat cerebrum is observed. The section was incubated with ab273448 for 30 mins at room temperature. The immunostaining was performed on a Leica Biosystems BOND® RX instrument. Counterstained with Hematoxylin.
Secondary antibody only control : Secondary antibody is a ready to use secondary.
Heat mediated antigen retrieval with citrate buffer (pH 6.0, epitope retrieval solution 1) for 20 mins.

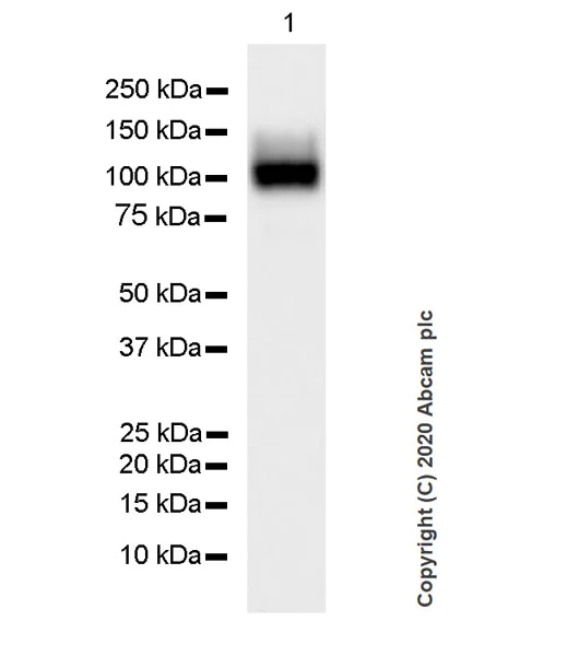
Western blot - Anti-APLP1 antibody [AP1] - BSA and Azide free (AB273469)
  • WB

Lab

Western blot - Anti-APLP1 antibody [AP1] - BSA and Azide free (AB273469)

This data was developed using ab273448, the same antibody clone in a different buffer formulation.

Blocking/Dilution buffer : 5% NFDM/TBST.

All lanes:

Western blot - Anti-APLP1 antibody [AP1] (<a href='/en-us/products/primary-antibodies/aplp1-antibody-ap1-ab273448'>ab273448</a>) at 1/1000 dilution

All lanes:

Mouse brain cortex tissue lysate at 20 µg

Secondary

All lanes:

Peroxidase-Conjugated Goat anti-Mouse IgG (H+L) at 1/10000 dilution

Predicted band size: 72 kDa

Observed band size: 97 kDa

false

Exposure time: 37s

Key facts

Host species

Mouse

Clonality

Monoclonal

Clone number

AP1

Isotype

IgG1

Carrier free

Yes

Reacts with

Mouse, Rat, Human

Applications

IHC-P, WB

applications

Immunogen

The exact immunogen used to generate this antibody is proprietary information.

Reactivity data

{ "title": "Reactivity Data", "filters": { "stats": ["", "Species", "Dilution Info", "Notes"], "tabs": { "all-applications": {"fullname" : "All Applications", "shortname": "All Applications"}, "IHCP" : {"fullname" : "Immunohistochemistry (Formalin/PFA-fixed paraffin-embedded sections)", "shortname":"IHC-P"}, "WB" : {"fullname" : "Western blot", "shortname":"WB"}, "IHCFr" : {"fullname" : "Immunohistochemistry (Frozen sections)", "shortname":"IHC-Fr"} }, "product-promise": { "all": "all", "testedAndGuaranteed": "tested", "guaranteed": "expected", "predicted": "predicted", "notRecommended": "not-recommended" } }, "values": { "Human": { "IHCP-species-checked": "testedAndGuaranteed", "IHCP-species-dilution-info": "", "IHCP-species-notes": "<p></p>", "WB-species-checked": "notRecommended", "WB-species-dilution-info": "", "WB-species-notes": "<p></p>", "IHCFr-species-checked": "notRecommended", "IHCFr-species-dilution-info": "", "IHCFr-species-notes": "<p></p>" }, "Mouse": { "IHCP-species-checked": "testedAndGuaranteed", "IHCP-species-dilution-info": "", "IHCP-species-notes": "<p></p>", "WB-species-checked": "testedAndGuaranteed", "WB-species-dilution-info": "", "WB-species-notes": "<p></p>", "IHCFr-species-checked": "notRecommended", "IHCFr-species-dilution-info": "", "IHCFr-species-notes": "<p></p>" }, "Rat": { "IHCP-species-checked": "testedAndGuaranteed", "IHCP-species-dilution-info": "", "IHCP-species-notes": "<p></p>", "WB-species-checked": "notRecommended", "WB-species-dilution-info": "", "WB-species-notes": "<p></p>", "IHCFr-species-checked": "notRecommended", "IHCFr-species-dilution-info": "", "IHCFr-species-notes": "<p></p>" } } }

Product details

ab273469 is the carrier-free version of ab273448.

What are the advantages of a recombinant monoclonal antibody?
This product is a recombinant monoclonal antibody, which offers several advantages including:

  • - High batch-to-batch consistency and reproducibility
  • - Improved sensitivity and specificity
  • - Long-term security of supply
  • - Animal-free batch production

For more information, read more on recombinant antibodies.

Want a custom formulation?
This antibody clone is manufactured by Abcam. If you require a custom buffer formulation or conjugation for your experiments, please contact orders@abcam.com

Conjugation ready
Our carrier-free antibodies are typically supplied in a PBS-only formulation, purified and free of BSA, sodium azide and glycerol. This conjugation-ready format is designed for use with fluorochromes, metal isotopes, oligonucleotides, and enzymes, which makes them ideal for antibody labelling, functional and cell-based assays, flow-based assays (e.g. mass cytometry) and Multiplex Imaging applications.

Use our conjugation kits for antibody conjugates that are ready-to-use in as little as 20 minutes with 1 minute hands-on-time and 100% antibody recovery: available for fluorescent dyes, HRP, biotin and gold.

Compatibility
This product is compatible with the Maxpar® Antibody Labeling Kit from Fluidigm, without the need for antibody preparation. Maxpar® is a trademark of Fluidigm Canada Inc.

Properties and storage information

Form
Liquid
Purification technique
Affinity purification Protein A
Storage buffer
Constituents: PBS
Shipped at conditions
Blue Ice
Appropriate short-term storage conditions
+4°C
Appropriate long-term storage conditions
+4°C
Storage information
Do Not Freeze

Supplementary information

This supplementary information is collated from multiple sources and compiled automatically.

APLP1 also known as amyloid precursor-like protein 1 is a protein with a molecular mass of approximately 91 kDa. Researchers have observed its expression in the brain particularly in regions like the cortex and hippocampus. This protein shares structural similarities with the Amyloid Precursor Protein (APP) family and plays important roles in cellular functions through its protein domains and motifs.
Biological function summary

APLP1 functions by contributing to cell-cell adhesion and synaptic formation impacting neuronal development. It forms part of a larger protein complex that modulates these processes interacting with other proteins to maintain cellular communication. This protein's activity supports the stability and plasticity of synapses which is essential for proper neural network function.

Pathways

Proteins related to APLP1 participate notably in the Notch signaling and MAPK pathways. These pathways influence cell fate decisions growth and survival. APLP1 interacts with proteins such as APP and APLP2 both of which also engage in similar signaling pathways. This interconnectedness highlights APLP1's role in neurobiological processes essential for normal brain operation.

Researchers link APLP1 to neurodegenerative disorders like Alzheimer's disease and autism spectrum disorders. Changes in APLP1 expression or function can affect amyloidogenic processing connecting it to APP and potentially leading to plaque formation a hallmark of Alzheimer's disease. Additionally this protein's relationship with synaptic function may contribute to the pathophysiology observed in autism spectrum disorders where alterations in synaptic communication are common.

Product protocols

For this product, it's our understanding that no specific protocols are required. You can visit:

Target data

May play a role in postsynaptic function. The C-terminal gamma-secretase processed fragment, ALID1, activates transcription activation through APBB1 (Fe65) binding (By similarity). Couples to JIP signal transduction through C-terminal binding. May interact with cellular G-protein signaling pathways. Can regulate neurite outgrowth through binding to components of the extracellular matrix such as heparin and collagen I.. The gamma-CTF peptide, C30, is a potent enhancer of neuronal apoptosis.
See full target information APLP1

Product promise

We are committed to supporting your work with high-quality reagents, and we're here for you every step of the way. In the unlikely event that one of our products does not perform as expected, you're protected by our Product Promise.
For full details, please see our Terms & Conditions

Please note: All products are 'FOR RESEARCH USE ONLY. NOT FOR USE IN DIAGNOSTIC OR THERAPEUTIC PROCEDURES'.

For licensing inquiries, please contact partnerships@abcam.com