JavaScript is disabled in your browser. Please enable JavaScript to view this website.
AB291070

Anti-APLP1 antibody [EPR25737-10]

  • BOND RX™ Validated
  • 20ul selling size
  • RabMAb
  • Recombinant
  • What is this?

Be the first to review this product! Submit a review

|

(0 Publication)

Rabbit Recombinant Monoclonal APLP1 antibody. Suitable for WB, IHC-P, Flow Cyt, IP and reacts with Human, Mouse, Rat samples.

View Alternative Names

Amyloid beta precursor like protein 1, Amyloid beta (A4) precursor-like protein 1, Amyloid-like protein 1, APLP, APLP-1, APLP1

6 Images
Immunohistochemistry (Formalin/PFA-fixed paraffin-embedded sections) - Anti-APLP1 antibody [EPR25737-10] (AB291070)
  • IHC-P

Supplier Data

Immunohistochemistry (Formalin/PFA-fixed paraffin-embedded sections) - Anti-APLP1 antibody [EPR25737-10] (AB291070)

Immunohistochemical analysis of paraffin-embedded Human cerebrum tissue labeling APLP1 with ab291070 at 1/5000 (0.209 ug/ml) followed by a ready to use LeicaDS9800 (Bond™ Polymer Refine Detection) was used. Positive staining on human cerebrum (PMID : 9444352). The section was incubated with ab291070 for 10 mins at room temperature.The immunostaining was performed on a Leica Biosystems BOND® RX instrument Counterstained with Hematoxylin. Secondary antibody only control : Secondary antibody is a ready to use LeicaDS9800 (Bond™ Polymer Refine Detection) was used. Heat mediated antigen retrieval with Tris-EDTA buffer (pH 9.0, epitope retrieval solution2) for 20 mins

Immunohistochemistry (Formalin/PFA-fixed paraffin-embedded sections) - Anti-APLP1 antibody [EPR25737-10] (AB291070)
  • IHC-P

Supplier Data

Immunohistochemistry (Formalin/PFA-fixed paraffin-embedded sections) - Anti-APLP1 antibody [EPR25737-10] (AB291070)

Immunohistochemical analysis of paraffin-embedded Rat cerebrum tissue labeling APLP1 with ab291070 at 1/5000 (0.209 ug/ml) followed by a ready to use LeicaDS9800 (Bond™ Polymer Refine Detection) was used. Positive staining on rat cerebrum. The section was incubated with ab291070 for 10 mins at room temperature.The immunostaining was performed on a Leica Biosystems BOND® RX instrument Counterstained with Hematoxylin. Secondary antibody only control : Secondary antibody is a ready to use LeicaDS9800 (Bond™ Polymer Refine Detection) was used. Heat mediated antigen retrieval with Tris-EDTA buffer (pH 9.0, epitope retrieval solution2) for 20 mins

Immunohistochemistry (Formalin/PFA-fixed paraffin-embedded sections) - Anti-APLP1 antibody [EPR25737-10] (AB291070)
  • IHC-P

Supplier Data

Immunohistochemistry (Formalin/PFA-fixed paraffin-embedded sections) - Anti-APLP1 antibody [EPR25737-10] (AB291070)

Immunohistochemical analysis of paraffin-embedded Mouse cerebrum tissue labeling APLP1 with ab291070 at 1/5000 (0.209 ug/ml) followed by a ready to use LeicaDS9800 (Bond™ Polymer Refine Detection) was used. Positive staining on mouse cerebrum. The section was incubated with ab291070 for 10 mins at room temperature.The immunostaining was performed on a Leica Biosystems BOND® RX instrument Counterstained with Hematoxylin. Secondary antibody only control : Secondary antibody is a ready to use LeicaDS9800 (Bond™ Polymer Refine Detection) was used. Heat mediated antigen retrieval with Tris-EDTA buffer (pH 9.0, epitope retrieval solution2) for 20 mins

Flow Cytometry (Intracellular) - Anti-APLP1 antibody [EPR25737-10] (AB291070)
  • Flow Cyt (Intra)

Supplier Data

Flow Cytometry (Intracellular) - Anti-APLP1 antibody [EPR25737-10] (AB291070)

Flow cytometric analysis of Mouse primary neuron cell cells labelling APLP1 with ab291070 at 1/50 dilution (1ug)/ Right compared with a Rabbit monoclonal IgG (ab172730) / Left isotype control and an unlabelled control (cells without incubation with primary antibody and secondary antibody) (Blue). Goat Anti-Rabbit IgG (Alexa Fluor® 488, ab150081) at 1/2000 dilution was used as the secondary antibody. Gated on viable cells.

Western blot - Anti-APLP1 antibody [EPR25737-10] (AB291070)
  • WB

Supplier Data

Western blot - Anti-APLP1 antibody [EPR25737-10] (AB291070)

Blocking and diluting buffer and concentration : 5% NFDM/TBST Samples are non-boiled as boiling may cause protein aggregates. The expression profile/molecular weight observed is consistent with that described in the literature (PMID : 7494461; PMID : 18430897). Low expression : Liver, small intestine, colon cancer (PMID : 18430897).

All lanes:

Western blot - Anti-APLP1 antibody [EPR25737-10] (ab291070) at 1/1000 dilution

Lane 1:

Human cerebellum tissue lysate

Lane 2:

Human liver tissue lysate

Lane 3:

Human small intestine tissue lysate

Lane 4:

Human colon cancer tissue lysate

Secondary

All lanes:

Western blot - Goat Anti-Rabbit IgG H&L (HRP) (<a href='/en-us/products/secondary-antibodies/goat-rabbit-igg-h-l-hrp-ab97051'>ab97051</a>) at 1/100000 dilution

Observed band size: 97 kDa

false

Exposure time: 26s

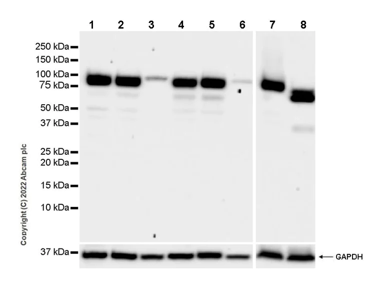
Western blot - Anti-APLP1 antibody [EPR25737-10] (AB291070)
  • WB

Supplier Data

Western blot - Anti-APLP1 antibody [EPR25737-10] (AB291070)

Blocking and diluting buffer and concentration : 5% NFDM/TBST Samples are non-boiled as boiling may cause protein aggregates. The expression profile/molecular weight observed is consistent with that described in the literature (PMID : 7494461; PMID : 18430897). Low expression : Liver (PMID : 18430897 ).

All lanes:

Western blot - Anti-APLP1 antibody [EPR25737-10] (ab291070) at 1/1000 dilution

Lanes 1 and 7:

Mouse brain tissue lysate 20 µg

Lane 2:

Mouse cerebral cortex tissue lysate 20 µg

Lane 3:

Mouse liver tissue lysate 20 µg

Lane 4:

Rat brain tissue lysate 20 µg

Lane 5:

Rat cerebral cortex tissue lysate 20 µg

Lane 6:

Rat liver tissue lysate 20 µg

Lane 8:

Mouse brain tissue lysate treated with PNGase F 20 µg

Secondary

All lanes:

Western blot - Goat Anti-Rabbit IgG H&L (HRP) (<a href='/en-us/products/secondary-antibodies/goat-rabbit-igg-h-l-hrp-ab97051'>ab97051</a>) at 1/100000 dilution

Observed band size: 72 kDa,97 kDa,95 kDa

false

Exposure time: 26s

  • Carrier free

    Anti-APLP1 antibody [EPR25737-10] (BSA and Azide free)

Key facts

Host species

Rabbit

Clonality

Monoclonal

Clone number

EPR25737-10

Isotype

IgG

Carrier free

No

Reacts with

Human, Mouse, Rat

Applications

Flow Cyt, IHC-P, WB, IP

applications

Immunogen

The exact immunogen used to generate this antibody is proprietary information.

Reactivity data

{ "title": "Reactivity Data", "filters": { "stats": ["", "Species", "Dilution Info", "Notes"], "tabs": { "all-applications": {"fullname" : "All Applications", "shortname": "All Applications"}, "WB" : {"fullname" : "Western blot", "shortname":"WB"}, "IHCP" : {"fullname" : "Immunohistochemistry (Formalin/PFA-fixed paraffin-embedded sections)", "shortname":"IHC-P"}, "IHCFr" : {"fullname" : "Immunohistochemistry (Frozen sections)", "shortname":"IHC-Fr"}, "ICCIF" : {"fullname" : "Immunocytochemistry/ Immunofluorescence", "shortname":"ICC/IF"}, "FlowCyt" : {"fullname" : "Flow Cytometry", "shortname":"Flow Cyt"}, "IP" : {"fullname" : "Immunoprecipitation", "shortname":"IP"} }, "product-promise": { "all": "all", "testedAndGuaranteed": "tested", "guaranteed": "expected", "predicted": "predicted", "notRecommended": "not-recommended" } }, "values": { "Human": { "WB-species-checked": "testedAndGuaranteed", "WB-species-dilution-info": "1/1000", "WB-species-notes": "<p></p>", "IHCP-species-checked": "testedAndGuaranteed", "IHCP-species-dilution-info": "1/5000", "IHCP-species-notes": "<p></p> Perform heat-mediated antigen retrieval with Tris/EDTA buffer pH 9.0 before commencing with IHC staining protocol.", "IHCFr-species-checked": "notRecommended", "IHCFr-species-dilution-info": "", "IHCFr-species-notes": "", "ICCIF-species-checked": "notRecommended", "ICCIF-species-dilution-info": "", "ICCIF-species-notes": "<p></p>", "FlowCyt-species-checked": "notRecommended", "FlowCyt-species-dilution-info": "1/50", "FlowCyt-species-notes": "<p></p>", "IP-species-checked": "testedAndGuaranteed", "IP-species-dilution-info": "1/30", "IP-species-notes": "<p></p>" }, "Mouse": { "WB-species-checked": "testedAndGuaranteed", "WB-species-dilution-info": "1/1000", "WB-species-notes": "<p></p>", "IHCP-species-checked": "testedAndGuaranteed", "IHCP-species-dilution-info": "1/5000", "IHCP-species-notes": "<p></p> Perform heat-mediated antigen retrieval with Tris/EDTA buffer pH 9.0 before commencing with IHC staining protocol.", "IHCFr-species-checked": "notRecommended", "IHCFr-species-dilution-info": "", "IHCFr-species-notes": "<p></p>", "ICCIF-species-checked": "notRecommended", "ICCIF-species-dilution-info": "", "ICCIF-species-notes": "<p></p>", "FlowCyt-species-checked": "testedAndGuaranteed", "FlowCyt-species-dilution-info": "1/50", "FlowCyt-species-notes": "<p></p>", "IP-species-checked": "testedAndGuaranteed", "IP-species-dilution-info": "1/30", "IP-species-notes": "<p></p>" }, "Rat": { "WB-species-checked": "testedAndGuaranteed", "WB-species-dilution-info": "1/1000", "WB-species-notes": "<p></p>", "IHCP-species-checked": "testedAndGuaranteed", "IHCP-species-dilution-info": "1/5000", "IHCP-species-notes": "<p></p> Perform heat-mediated antigen retrieval with Tris/EDTA buffer pH 9.0 before commencing with IHC staining protocol.", "IHCFr-species-checked": "notRecommended", "IHCFr-species-dilution-info": "", "IHCFr-species-notes": "<p></p>", "ICCIF-species-checked": "notRecommended", "ICCIF-species-dilution-info": "", "ICCIF-species-notes": "", "FlowCyt-species-checked": "guaranteed", "FlowCyt-species-dilution-info": "", "FlowCyt-species-notes": "", "IP-species-checked": "guaranteed", "IP-species-dilution-info": "", "IP-species-notes": "" } } }

Product details

Patented technology
Our RabMAb® technology is a patented hybridoma-based technology for making rabbit monoclonal antibodies. For details on our patents, please refer to RabMAb® patents.

What are the advantages of a recombinant monoclonal antibody?
This product is a recombinant monoclonal antibody, which offers several advantages including:

  • - High batch-to-batch consistency and reproducibility
  • - Improved sensitivity and specificity
  • - Long-term security of supply
  • - Animal-free batch production

For more information, read more on recombinant antibodies.

Properties and storage information

Form
Liquid
Purification technique
Affinity purification Protein A
Storage buffer
pH: 7.2 - 7.4 Preservative: 0.01% Sodium azide Constituents: PBS, 40% Glycerol (glycerin, glycerine), 0.05% BSA
Shipped at conditions
Blue Ice
Appropriate short-term storage duration
1-2 weeks
Appropriate short-term storage conditions
+4°C
Appropriate long-term storage conditions
-20°C
Aliquoting information
Upon delivery aliquot
Storage information
Avoid freeze / thaw cycle

Supplementary information

This supplementary information is collated from multiple sources and compiled automatically.

APLP1 also known as amyloid precursor-like protein 1 is a protein with a molecular mass of approximately 91 kDa. Researchers have observed its expression in the brain particularly in regions like the cortex and hippocampus. This protein shares structural similarities with the Amyloid Precursor Protein (APP) family and plays important roles in cellular functions through its protein domains and motifs.
Biological function summary

APLP1 functions by contributing to cell-cell adhesion and synaptic formation impacting neuronal development. It forms part of a larger protein complex that modulates these processes interacting with other proteins to maintain cellular communication. This protein's activity supports the stability and plasticity of synapses which is essential for proper neural network function.

Pathways

Proteins related to APLP1 participate notably in the Notch signaling and MAPK pathways. These pathways influence cell fate decisions growth and survival. APLP1 interacts with proteins such as APP and APLP2 both of which also engage in similar signaling pathways. This interconnectedness highlights APLP1's role in neurobiological processes essential for normal brain operation.

Researchers link APLP1 to neurodegenerative disorders like Alzheimer's disease and autism spectrum disorders. Changes in APLP1 expression or function can affect amyloidogenic processing connecting it to APP and potentially leading to plaque formation a hallmark of Alzheimer's disease. Additionally this protein's relationship with synaptic function may contribute to the pathophysiology observed in autism spectrum disorders where alterations in synaptic communication are common.

Product protocols

For this product, it's our understanding that no specific protocols are required. You can visit:

Target data

May play a role in postsynaptic function. The C-terminal gamma-secretase processed fragment, ALID1, activates transcription activation through APBB1 (Fe65) binding (By similarity). Couples to JIP signal transduction through C-terminal binding. May interact with cellular G-protein signaling pathways. Can regulate neurite outgrowth through binding to components of the extracellular matrix such as heparin and collagen I.. The gamma-CTF peptide, C30, is a potent enhancer of neuronal apoptosis.
See full target information APLP1

Product promise

We are committed to supporting your work with high-quality reagents, and we're here for you every step of the way. In the unlikely event that one of our products does not perform as expected, you're protected by our Product Promise.
For full details, please see our Terms & Conditions

Please note: All products are 'FOR RESEARCH USE ONLY. NOT FOR USE IN DIAGNOSTIC OR THERAPEUTIC PROCEDURES'.

For licensing inquiries, please contact partnerships@abcam.com