JavaScript is disabled in your browser. Please enable JavaScript to view this website.
AB115215

Anti-Apo-H antibody

Be the first to review this product! Submit a review

|

(1 Publication)

Goat Polyclonal Apo-H antibody. Suitable for IHC-P and reacts with Human samples. Cited in 1 publication. Immunogen corresponding to Native Full Length Protein corresponding to Human APOH.

View Alternative Names

B2G1, APOH, Beta-2-glycoprotein 1, APC inhibitor, Activated protein C-binding protein, Anticardiolipin cofactor, Apolipoprotein H, Beta-2-glycoprotein I, Apo-H, B2GPI, Beta(2)GPI

1 Images
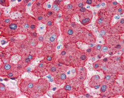
Immunohistochemistry (Formalin/PFA-fixed paraffin-embedded sections) - Anti-Apo-H antibody (AB115215)
  • IHC-P

Unknown

Immunohistochemistry (Formalin/PFA-fixed paraffin-embedded sections) - Anti-Apo-H antibody (AB115215)

Human liver (formalin fixed, paraffin embedded) stained with ab115215 at 2.5 ug/ml followed by biotinylated anti Goat IgG secondary antibody, alkaline phosphatase streptavidin and chromogen.

Key facts

Host species

Goat

Clonality

Polyclonal

Isotype

IgG

Carrier free

No

Reacts with

Human

Applications

IHC-P

applications

Immunogen

Native Full Length Protein corresponding to Human APOH.

P02749

Specificity

Recognizes human Apo-H. A single precipitin arc is observed with normal plasma. No arc was seen with Apo-H deficient plasma.

Reactivity data

{ "title": "Reactivity Data", "filters": { "stats": ["", "Species", "Dilution Info", "Notes"], "tabs": { "all-applications": {"fullname" : "All Applications", "shortname": "All Applications"}, "IHCP" : {"fullname" : "Immunohistochemistry (Formalin/PFA-fixed paraffin-embedded sections)", "shortname":"IHC-P"} }, "product-promise": { "all": "all", "testedAndGuaranteed": "tested", "guaranteed": "expected", "predicted": "predicted", "notRecommended": "not-recommended" } }, "values": { "Human": { "IHCP-species-checked": "testedAndGuaranteed", "IHCP-species-dilution-info": "2.5 µg/mL", "IHCP-species-notes": "<p></p>" }, "Mouse": { "IHCP-species-checked": "predicted", "IHCP-species-dilution-info": "", "IHCP-species-notes": "" }, "Rat": { "IHCP-species-checked": "predicted", "IHCP-species-dilution-info": "", "IHCP-species-notes": "" }, "Dog": { "IHCP-species-checked": "predicted", "IHCP-species-dilution-info": "", "IHCP-species-notes": "" }, "Pig": { "IHCP-species-checked": "predicted", "IHCP-species-dilution-info": "", "IHCP-species-notes": "" }, "Rabbit": { "IHCP-species-checked": "predicted", "IHCP-species-dilution-info": "", "IHCP-species-notes": "" } } }

Properties and storage information

Form
Liquid
Purification technique
Affinity purification Immunogen
Storage buffer
pH: 7.4 Constituents: 50% Glycerol (glycerin, glycerine), 0.88% Sodium chloride, 0.24% HEPES
Shipped at conditions
Blue Ice
Appropriate short-term storage conditions
+4°C
Appropriate long-term storage conditions
-20°C
Aliquoting information
Upon delivery aliquot
Storage information
Avoid freeze / thaw cycle

Supplementary information

This supplementary information is collated from multiple sources and compiled automatically.

Apolipoprotein H (Apo-H) also known as β2-glycoprotein I functions mechanically as a plasma protein. It has a molecular weight of approximately 50 kDa and it is mostly expressed in the liver. Apo-H plays a role in the body's immune and coagulation systems binding to anionic surfaces such as phospholipids and preventing blood coagulation. Its ability to interact with negatively charged molecules makes it important in the modulation of the coagulation cascade helping maintain balance between bleeding and clotting.
Biological function summary

Apo-H acts as an anticoagulant and participates in the modulation of immune response. It forms complexes with lipid-bound proteins facilitating the clearance of these complexes from the bloodstream. This interaction is key in processes like platelet aggregation and stabilization of membranes. Apo-H also influences the removal of oxidized proteins and lipids reducing cellular stress and preventing tissue damage.

Pathways

Apo-H plays a critical role in the coagulation cascade and lipid metabolism. It interacts with proteins such as prothrombin and fibrinogen influencing blood coagulation pathways. Apo-H's involvement in the clearance of apoptotic cells integrates into the lipid metabolic pathway highlighting its relationship with apolipoproteins and other lipid-related proteins. These interactions illustrate the multi-functional aspects of Apo-H within these pathways.

Apo-H associates with antiphospholipid syndrome and cardiovascular diseases. These conditions arise from its role in coagulation and immune response where disruptions can lead to increased risk of thrombosis. The protein's interaction with other apolipoproteins such as Apo-A1 highlights possible implications in lipid metabolism disorders which in turn can exacerbate cardiovascular risk. Understanding these associations provides insights into potential therapeutic targets for treating these diseases.

Product protocols

For this product, it's our understanding that no specific protocols are required. You can visit:

Target data

Binds to various kinds of negatively charged substances such as heparin, phospholipids, and dextran sulfate. May prevent activation of the intrinsic blood coagulation cascade by binding to phospholipids on the surface of damaged cells.
See full target information APOH

Publications (1)

Recent publications for all applications. Explore the full list and refine your search

Virulence 9:588-603 PubMed29338543

2018

Lucidone suppresses dengue viral replication through the induction of heme oxygenase-1.

Applications

Unspecified application

Species

Unspecified reactive species

Wei-Chun Chen,Chin-Kai Tseng,Chun-Kuang Lin,Shen-Nien Wang,Wen-Hung Wang,Shih-Hsien Hsu,Yu-Hsuan Wu,Ling-Chien Hung,Yen-Hsu Chen,Jin-Ching Lee
View all publications

Product promise

We are committed to supporting your work with high-quality reagents, and we're here for you every step of the way. In the unlikely event that one of our products does not perform as expected, you're protected by our Product Promise.
For full details, please see our Terms & Conditions

Please note: All products are 'FOR RESEARCH USE ONLY. NOT FOR USE IN DIAGNOSTIC OR THERAPEUTIC PROCEDURES'.

For licensing inquiries, please contact partnerships@abcam.com