JavaScript is disabled in your browser. Please enable JavaScript to view this website.
AB199130

Anti-APOA1BP antibody

Be the first to review this product! Submit a review

|

(2 Publications)

Rabbit Polyclonal APOA1BP antibody. Suitable for IHC-P and reacts with Human samples. Cited in 2 publications. Immunogen corresponding to Synthetic Peptide within Human NAXE.

View Alternative Names

AIBP, APOA1BP, YJEFN1, NAXE, NAD(P)H-hydrate epimerase, Apolipoprotein A-I-binding protein, NAD(P)HX epimerase, YjeF N-terminal domain-containing protein 1, AI-BP, YjeF_N1

2 Images
Immunohistochemistry (Formalin/PFA-fixed paraffin-embedded sections) - Anti-APOA1BP antibody (AB199130)
  • IHC-P

Supplier Data

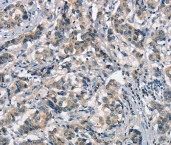
Immunohistochemistry (Formalin/PFA-fixed paraffin-embedded sections) - Anti-APOA1BP antibody (AB199130)

Immunohistochemical analysis of paraffin embedded Human thyroid cancer tissue labeling APOA1BP with ab199130 at 1/15 dilution.

Immunohistochemistry (Formalin/PFA-fixed paraffin-embedded sections) - Anti-APOA1BP antibody (AB199130)
  • IHC-P

Supplier Data

Immunohistochemistry (Formalin/PFA-fixed paraffin-embedded sections) - Anti-APOA1BP antibody (AB199130)

Immunohistochemical analysis of paraffin-embedded Human breast cancer tissue labeling APOA1BP with ab199130 at 1/15 dilution.

Key facts

Host species

Rabbit

Clonality

Polyclonal

Isotype

IgG

Carrier free

No

Reacts with

Human

Applications

IHC-P

applications

Immunogen

Synthetic Peptide within Human NAXE. The exact immunogen used to generate this antibody is proprietary information.

Q8NCW5

Reactivity data

{ "title": "Reactivity Data", "filters": { "stats": ["", "Species", "Dilution Info", "Notes"], "tabs": { "all-applications": {"fullname" : "All Applications", "shortname": "All Applications"}, "IHCP" : {"fullname" : "Immunohistochemistry (Formalin/PFA-fixed paraffin-embedded sections)", "shortname":"IHC-P"} }, "product-promise": { "all": "all", "testedAndGuaranteed": "tested", "guaranteed": "expected", "predicted": "predicted", "notRecommended": "not-recommended" } }, "values": { "Human": { "IHCP-species-checked": "testedAndGuaranteed", "IHCP-species-dilution-info": "1/15 - 1/50", "IHCP-species-notes": "<p></p>" }, "Mouse": { "IHCP-species-checked": "predicted", "IHCP-species-dilution-info": "", "IHCP-species-notes": "" }, "Rat": { "IHCP-species-checked": "predicted", "IHCP-species-dilution-info": "", "IHCP-species-notes": "" } } }

Properties and storage information

Form
Liquid
Purification technique
Affinity purification Immunogen
Storage buffer
pH: 7.4 Preservative: 0.05% Sodium azide Constituents: PBS, 50% Glycerol (glycerin, glycerine)
Shipped at conditions
Blue Ice
Appropriate short-term storage duration
1-2 weeks
Appropriate short-term storage conditions
+4°C
Appropriate long-term storage conditions
-20°C
Aliquoting information
Upon delivery aliquot
Storage information
Avoid freeze / thaw cycle

Supplementary information

This supplementary information is collated from multiple sources and compiled automatically.

APOA1BP also known as apolipoprotein A1 binding protein plays important roles in cellular lipid homeostasis and metabolism. This protein weighs approximately 28 kDa. APOA1BP is present in various tissues prominently in the mitochondria within liver and kidney cells. It displays binding affinity with apolipoprotein A1 which is an essential component of high-density lipoprotein (HDL).
Biological function summary

APOA1BP aids in stabilizing cellular processes that regulate lipid transport and cholesterol efflux. It works in close association with apolipoprotein A1 forming a functional complex that helps maintain lipid balance within cells. This interaction supports numerous cellular functions that are significant for normal metabolic activity.

Pathways

APOA1BP integrates into the reverse cholesterol transport pathway which is vital for recycling cholesterol from peripheral tissues back to the liver for excretion. It influences interactions with significant proteins such as HDL and other apolipoproteins contributing to cholesterol metabolism. Another related pathway involves lipid absorption where APOA1BP functions to facilitate efficient lipid distribution.

APOA1BP connects to cardiovascular disease due to its role in cholesterol metabolism and lipid transport. Disorders like atherosclerosis can occur when this protein's function in cholesterol efflux is impaired. Additionally APOA1BP links to inherited lipid disorders where its connection with apolipoprotein A1 and HDL becomes important in managing cholesterol levels and preventing disease progression.

Product protocols

For this product, it's our understanding that no specific protocols are required. You can visit:

Target data

Catalyzes the epimerization of the S- and R-forms of NAD(P)HX, a damaged form of NAD(P)H that is a result of enzymatic or heat-dependent hydration (By similarity) (PubMed : 27616477). This is a prerequisite for the S-specific NAD(P)H-hydrate dehydratase to allow the repair of both epimers of NAD(P)HX (By similarity). Accelerates cholesterol efflux from endothelial cells to high-density lipoprotein (HDL) and thereby regulates angiogenesis (PubMed : 23719382).
See full target information NAXE

Publications (2)

Recent publications for all applications. Explore the full list and refine your search

Journal for immunotherapy of cancer 11: PubMed37072348

2023

Intratumoral tertiary lymphoid structure (TLS) maturation is influenced by draining lymph nodes of lung cancer.

Applications

Unspecified application

Species

Unspecified reactive species

Miao He,Qihua He,Xiuyu Cai,Jun Liu,Hongshen Deng,Feng Li,Ran Zhong,Yi Lu,Haoxin Peng,Xiangrong Wu,Zisheng Chen,Shen Lao,Caichen Li,Jianfu Li,Jianxing He,Wenhua Liang

EBioMedicine 74:103714 PubMed34818622

2021

Proteomic profiling identifies signatures associated with progression of precancerous gastric lesions and risk of early gastric cancer.

Applications

Unspecified application

Species

Unspecified reactive species

Xue Li,Nai-Ren Zheng,Lin-Heng Wang,Zhong-Wu Li,Zong-Chao Liu,Hua Fan,Yi Wang,Jin Dai,Xiao-Tian Ni,Xin Wei,Ming-Wei Liu,Kai Li,Zhe-Xuan Li,Tong Zhou,Yang Zhang,Jing-Ying Zhang,Gaohaer Kadeerhan,Sha Huang,Wen-Hui Wu,Wei-Dong Liu,Xiu-Zhen Wu,Lan-Fu Zhang,Jian-Ming Xu,Markus Gerhard,Wei-Cheng You,Kai-Feng Pan,Wen-Qing Li,Jun Qin
View all publications

Product promise

We are committed to supporting your work with high-quality reagents, and we're here for you every step of the way. In the unlikely event that one of our products does not perform as expected, you're protected by our Product Promise.
For full details, please see our Terms & Conditions

Please note: All products are 'FOR RESEARCH USE ONLY. NOT FOR USE IN DIAGNOSTIC OR THERAPEUTIC PROCEDURES'.

For licensing inquiries, please contact partnerships@abcam.com