JavaScript is disabled in your browser. Please enable JavaScript to view this website.
AB157205

Anti-APOBEC2 antibody [EPR11285(B)]

Be the first to review this product! Submit a review

|

(2 Publications)

Rabbit Recombinant Monoclonal APOBEC2 antibody. Suitable for IHC-P, WB and reacts with Human, Mouse, Rat samples. Cited in 2 publications.

View Alternative Names

C->U-editing enzyme APOBEC-2, mRNA(cytosine(6666)) deaminase 2, APOBEC2

5 Images
Immunohistochemistry (Formalin/PFA-fixed paraffin-embedded sections) - Anti-APOBEC2 antibody [EPR11285(B)] (AB157205)
  • IHC-P

Unknown

Immunohistochemistry (Formalin/PFA-fixed paraffin-embedded sections) - Anti-APOBEC2 antibody [EPR11285(B)] (AB157205)

ab157205 showing -ve staining in Human normal brain.

Perform heat mediated antigen retrieval with citrate buffer pH 6 before commencing with IHC staining protocol.

Immunohistochemistry (Formalin/PFA-fixed paraffin-embedded sections) - Anti-APOBEC2 antibody [EPR11285(B)] (AB157205)
  • IHC-P

Unknown

Immunohistochemistry (Formalin/PFA-fixed paraffin-embedded sections) - Anti-APOBEC2 antibody [EPR11285(B)] (AB157205)

Immunohistochemical analysis of formalin-fixed paraffin-embedded Human skeletal muscle tissue labeling APOBEC2 using ab157205 at a 1/100 dilution.

Perform heat mediated antigen retrieval with citrate buffer pH 6 before commencing with IHC staining protocol.

Immunohistochemistry (Formalin/PFA-fixed paraffin-embedded sections) - Anti-APOBEC2 antibody [EPR11285(B)] (AB157205)
  • IHC-P

Unknown

Immunohistochemistry (Formalin/PFA-fixed paraffin-embedded sections) - Anti-APOBEC2 antibody [EPR11285(B)] (AB157205)

ab157205 showing -ve staining in Human normal uterus.

Perform heat mediated antigen retrieval with citrate buffer pH 6 before commencing with IHC staining protocol.

Immunohistochemistry (Formalin/PFA-fixed paraffin-embedded sections) - Anti-APOBEC2 antibody [EPR11285(B)] (AB157205)
  • IHC-P

Unknown

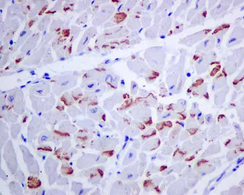
Immunohistochemistry (Formalin/PFA-fixed paraffin-embedded sections) - Anti-APOBEC2 antibody [EPR11285(B)] (AB157205)

ab157205 showing +ve staining in Human heart.

Perform heat mediated antigen retrieval with citrate buffer pH 6 before commencing with IHC staining protocol.

Western blot - Anti-APOBEC2 antibody [EPR11285(B)] (AB157205)
  • WB

Unknown

Western blot - Anti-APOBEC2 antibody [EPR11285(B)] (AB157205)

All lanes:

Western blot - Anti-APOBEC2 antibody [EPR11285(B)] (ab157205) at 1/10000 dilution

Lane 1:

Fetal human muscle tissue lysate at 10 µg

Lane 2:

Rat muscle tissue lysate at 10 µg

Lane 3:

Mouse muscle tissue lysate at 10 µg

Lane 4:

Fetal human heart tissue lysate at 10 µg

Predicted band size: 26 kDa

false

  • Carrier free

    Anti-APOBEC2 antibody [EPR11285(B)] - BSA and Azide free

Key facts

Host species

Rabbit

Clonality

Monoclonal

Clone number

EPR11285(B)

Isotype

IgG

Carrier free

No

Reacts with

Mouse, Rat, Human

Applications

WB, IHC-P

applications

Immunogen

The exact immunogen used to generate this antibody is proprietary information.

Reactivity data

{ "title": "Reactivity Data", "filters": { "stats": ["", "Species", "Dilution Info", "Notes"], "tabs": { "all-applications": {"fullname" : "All Applications", "shortname": "All Applications"}, "IHCP" : {"fullname" : "Immunohistochemistry (Formalin/PFA-fixed paraffin-embedded sections)", "shortname":"IHC-P"}, "IP" : {"fullname" : "Immunoprecipitation", "shortname":"IP"}, "WB" : {"fullname" : "Western blot", "shortname":"WB"} }, "product-promise": { "all": "all", "testedAndGuaranteed": "tested", "guaranteed": "expected", "predicted": "predicted", "notRecommended": "not-recommended" } }, "values": { "Human": { "IHCP-species-checked": "testedAndGuaranteed", "IHCP-species-dilution-info": "1/100 - 1/250", "IHCP-species-notes": "<p></p>", "IP-species-checked": "notRecommended", "IP-species-dilution-info": "", "IP-species-notes": "<p></p>", "WB-species-checked": "testedAndGuaranteed", "WB-species-dilution-info": "1/10000 - 1/50000", "WB-species-notes": "<p></p>" }, "Mouse": { "IHCP-species-checked": "guaranteed", "IHCP-species-dilution-info": "", "IHCP-species-notes": "", "IP-species-checked": "notRecommended", "IP-species-dilution-info": "", "IP-species-notes": "<p></p>", "WB-species-checked": "testedAndGuaranteed", "WB-species-dilution-info": "1/10000 - 1/50000", "WB-species-notes": "<p></p>" }, "Rat": { "IHCP-species-checked": "guaranteed", "IHCP-species-dilution-info": "", "IHCP-species-notes": "", "IP-species-checked": "notRecommended", "IP-species-dilution-info": "", "IP-species-notes": "<p></p>", "WB-species-checked": "testedAndGuaranteed", "WB-species-dilution-info": "1/10000 - 1/50000", "WB-species-notes": "<p></p>" } } }

Product details

Patented technology
Our RabMAb® technology is a patented hybridoma-based technology for making rabbit monoclonal antibodies. For details on our patents, please refer to RabMAb® patents.

What are the advantages of a recombinant monoclonal antibody?
This product is a recombinant monoclonal antibody, which offers several advantages including:

  • - High batch-to-batch consistency and reproducibility
  • - Improved sensitivity and specificity
  • - Long-term security of supply
  • - Animal-free batch production

For more information, read more on recombinant antibodies.

Properties and storage information

Form
Liquid
Purity
Tissue culture supernatant
Storage buffer
pH: 7.2 - 7.4 Preservative: 0.01% Sodium azide Constituents: PBS, 50% Tissue culture supernatant, 40% Glycerol (glycerin, glycerine), 0.05% BSA
Shipped at conditions
Blue Ice
Appropriate short-term storage conditions
+4°C
Appropriate long-term storage conditions
-20°C

Supplementary information

This supplementary information is collated from multiple sources and compiled automatically.

APOBEC2 short for Apolipoprotein B mRNA Editing Catalytic Polypeptide-like 2 functionally operates as a C to U RNA-editing enzyme. It belongs to the APOBEC family and has a molecular mass of approximately 26 kDa. Expression of APOBEC2 is mainly in heart and skeletal muscle tissues. Its sequence shares homology with other members of the deaminase family suggesting common ancestral functions.
Biological function summary

APOBEC2 influences muscle differentiation by contributing to RNA editing processes. This protein does not act as part of any known large multiprotein complex but interacts with other cellular components to perform its tasks. By changing specific RNA sequences APOBEC2 can affect the proteins generated in muscle cells influencing muscle fiber formation and maintenance.

Pathways

APOBEC2 plays a role in muscle-related pathways such as myogenesis where it is known to regulate muscle-specific gene expression. The involvement of APOBEC2 in the RNA processing pathway links it with activities concerning the RNA life cycle. It interacts with other members of the APOBEC family such as APOBEC1 which have roles in maintaining genomic integrity and modifying RNA to regulate gene expression.

APOBEC2 shows connection primarily to muscle-related pathologies. Deficiencies or dysfunctions in APOBEC2 can relate to myopathies disorders where muscle fibers do not function properly leading to muscle weakness. The protein is also investigated in the context of muscular dystrophy where its role in muscle maintenance suggests potential implications. In these contexts alterations in APOBEC2 can influence interactions with other muscle-related proteins impacting muscle health and disease outcomes.

Product protocols

For this product, it's our understanding that no specific protocols are required. You can visit:

Target data

Probable C to U editing enzyme whose physiological substrate is not yet known. Does not display detectable apoB mRNA editing. Has a low intrinsic cytidine deaminase activity. May play a role in the epigenetic regulation of gene expression through the process of active DNA demethylation.
See full target information APOBEC2

Publications (2)

Recent publications for all applications. Explore the full list and refine your search

Scientific reports 15:10769 PubMed40155684

2025

Transcriptional signature of rapidly responding NK cells reveals S1P5 and CXCR4 as anti-tumor response disruptors.

Applications

Unspecified application

Species

Unspecified reactive species

Marta Puig-Gámez,Martijn Van Attekum,Theodor Theis,Alec Dick,John E Park

Frontiers in pharmacology 11:955 PubMed32670069

2020

Simiao Decoction Alleviates Gouty Arthritis by Modulating Proinflammatory Cytokines and the Gut Ecosystem.

Applications

Unspecified application

Species

Unspecified reactive species

Xiaoying Lin,Tiejuan Shao,Lin Huang,Xianghui Wen,Mingzhu Wang,Chengping Wen,Zhixing He
View all publications

Product promise

We are committed to supporting your work with high-quality reagents, and we're here for you every step of the way. In the unlikely event that one of our products does not perform as expected, you're protected by our Product Promise.
For full details, please see our Terms & Conditions

Please note: All products are 'FOR RESEARCH USE ONLY. NOT FOR USE IN DIAGNOSTIC OR THERAPEUTIC PROCEDURES'.

For licensing inquiries, please contact partnerships@abcam.com