JavaScript is disabled in your browser. Please enable JavaScript to view this website.
AB109727

Anti-APOBEC3G/A3G antibody

Be the first to review this product! Submit a review

|

(2 Publications)

Goat Polyclonal APOBEC3G/A3G antibody. Suitable for WB, IHC-P and reacts with Human samples. Cited in 2 publications. Immunogen corresponding to Synthetic Peptide within Human APOBEC3G aa 350 to C-terminus.

View Alternative Names

MDS019, APOBEC3G, DNA dC->dU-editing enzyme APOBEC-3G, APOBEC-related cytidine deaminase, APOBEC-related protein 9, CEM-15, Deoxycytidine deaminase, APOBEC-related protein, ARCD, ARP-9, CEM15, A3G

3 Images
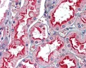
Immunohistochemistry (Formalin/PFA-fixed paraffin-embedded sections) - Anti-APOBEC3G/A3G antibody (AB109727)
  • IHC-P

Unknown

Immunohistochemistry (Formalin/PFA-fixed paraffin-embedded sections) - Anti-APOBEC3G/A3G antibody (AB109727)

ab109727 at a concentration of 2.5 μg/ml staining APOBEC3G/A3G in Human Kidney, Formalin-Fixed, Paraffin-Embedded section.

Western blot - Anti-APOBEC3G/A3G antibody (AB109727)
  • WB

Unknown

Western blot - Anti-APOBEC3G/A3G antibody (AB109727)

Primary incubation was 1 hour

All lanes:

Western blot - Anti-APOBEC3G/A3G antibody (ab109727) at 0.5 µg/mL

All lanes:

Daudi cell lysate (in RIPA buffer) at 35 µg/mL

Predicted band size: 46 kDa

true

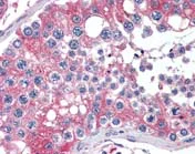
Immunohistochemistry (Formalin/PFA-fixed paraffin-embedded sections) - Anti-APOBEC3G/A3G antibody (AB109727)
  • IHC-P

Unknown

Immunohistochemistry (Formalin/PFA-fixed paraffin-embedded sections) - Anti-APOBEC3G/A3G antibody (AB109727)

ab109727 at a concentration of 2.5 μg/ml staining APOBEC3G/A3G in Human Testis, Formalin-Fixed, Paraffin-Embedded section.

Key facts

Host species

Goat

Clonality

Polyclonal

Isotype

IgG

Carrier free

No

Reacts with

Human

Applications

WB, IHC-P

applications

Immunogen

Synthetic Peptide within Human APOBEC3G aa 350 to C-terminus. The exact immunogen used to generate this antibody is proprietary information.

Q9HC16

Reactivity data

{ "title": "Reactivity Data", "filters": { "stats": ["", "Species", "Dilution Info", "Notes"], "tabs": { "all-applications": {"fullname" : "All Applications", "shortname": "All Applications"}, "WB" : {"fullname" : "Western blot", "shortname":"WB"}, "IHCP" : {"fullname" : "Immunohistochemistry (Formalin/PFA-fixed paraffin-embedded sections)", "shortname":"IHC-P"} }, "product-promise": { "all": "all", "testedAndGuaranteed": "tested", "guaranteed": "expected", "predicted": "predicted", "notRecommended": "not-recommended" } }, "values": { "Human": { "WB-species-checked": "testedAndGuaranteed", "WB-species-dilution-info": "0.5-1.5 µg/mL", "WB-species-notes": "<p></p>", "IHCP-species-checked": "testedAndGuaranteed", "IHCP-species-dilution-info": "2.5 µg/mL", "IHCP-species-notes": "<p></p>" }, "Cynomolgus monkey": { "WB-species-checked": "predicted", "WB-species-dilution-info": "", "WB-species-notes": "", "IHCP-species-checked": "predicted", "IHCP-species-dilution-info": "", "IHCP-species-notes": "" } } }

Properties and storage information

Form
Liquid
Purification technique
Affinity purification Immunogen
Storage buffer
pH: 7.3 Preservative: 0.02% Sodium azide Constituents: Tris buffered saline, 0.5% BSA
Shipped at conditions
Blue Ice
Appropriate short-term storage conditions
+4°C
Appropriate long-term storage conditions
-20°C
Aliquoting information
Upon delivery aliquot
Storage information
Avoid freeze / thaw cycle

Supplementary information

This supplementary information is collated from multiple sources and compiled automatically.

APOBEC3G also known as A3G is an enzyme that belongs to the APOBEC family of cytidine deaminases. It has a molecular mass of approximately 46 kDa. This protein is expressed in various tissues including immune cells like lymphocytes and macrophages. A3G plays a mechanical role in catalyzing the deamination of cytidine to uridine on single-stranded DNA which impacts the genetic material of retroviruses.
Biological function summary

APOBEC3G acts as a host defense mechanism against retroviral infections particularly HIV-1. It incorporates into budding virions where it exerts its antiviral effect. A3G functions within the APOBEC protein family complex that participates in innate immunity. This antiviral activity helps to inhibit viral replication by inducing lethal mutations in the viral genome.

Pathways

APOBEC3G is vital in the HIV-1 life cycle disruption pathway. It interacts with other cellular factors such as the viral protein Vif which counters APOBEC3G’s activity by targeting it for proteasomal degradation. The protein is also involved in the regulation of gene expression pathways linked to innate immune responses.

APOBEC3G is associated with HIV-1 infection. Elevated levels of APOBEC3G can lead to the hypermutation of viral DNA potentially reducing viral loads in host cells. The protein’s interaction with HIV-1 Vif protein is critical as Vif facilitates the degradation of A3G allowing the virus to escape its antiviral activity. Additionally researchers investigate a possible connection between A3G and cancer due to its mutation-inducing capability in DNA.

Product protocols

For this product, it's our understanding that no specific protocols are required. You can visit:

Target data

DNA deaminase (cytidine deaminase) which acts as an inhibitor of retrovirus replication and retrotransposon mobility via deaminase-dependent and -independent mechanisms (PubMed : 12808465, PubMed : 16527742, PubMed : 17121840, PubMed : 18288108, PubMed : 18849968, PubMed : 19153609, PubMed : 21123384, PubMed : 22791714, PubMed : 25542899). Exhibits potent antiviral activity against Vif-deficient HIV-1 (PubMed : 12167863, PubMed : 12859895, PubMed : 14557625, PubMed : 20219927, PubMed : 21835787, PubMed : 22807680, PubMed : 22915799, PubMed : 23097438, PubMed : 23152537, PubMed : 31397674). After the penetration of retroviral nucleocapsids into target cells of infection and the initiation of reverse transcription, it can induce the conversion of cytosine to uracil in the minus-sense single-strand viral DNA, leading to G-to-A hypermutations in the subsequent plus-strand viral DNA (PubMed : 12808465, PubMed : 12808466, PubMed : 12809610, PubMed : 12970355, PubMed : 14528300, PubMed : 22807680). The resultant detrimental levels of mutations in the proviral genome, along with a deamination-independent mechanism that works prior to the proviral integration, together exert efficient antiretroviral effects in infected target cells (PubMed : 12808465, PubMed : 12808466, PubMed : 12809610, PubMed : 12970355, PubMed : 14528300). Selectively targets single-stranded DNA and does not deaminate double-stranded DNA or single- or double-stranded RNA (PubMed : 12808465, PubMed : 12809610, PubMed : 12970355, PubMed : 14528300). Exhibits antiviral activity also against simian immunodeficiency viruses (SIVs), hepatitis B virus (HBV), equine infectious anemia virus (EIAV), xenotropic MuLV-related virus (XMRV) and simian foamy virus (SFV) (PubMed : 15031497, PubMed : 16378963, PubMed : 18448976, PubMed : 19458006, PubMed : 20335265). May inhibit the mobility of LTR and non-LTR retrotransposons (PubMed : 16527742).
See full target information APOBEC3G

Publications (2)

Recent publications for all applications. Explore the full list and refine your search

The European respiratory journal 60: PubMed35086840

2022

Pulmonary infection by SARS-CoV-2 induces senescence accompanied by an inflammatory phenotype in severe COVID-19: possible implications for viral mutagenesis.

Applications

Unspecified application

Species

Unspecified reactive species

Konstantinos Evangelou,Dimitris Veroutis,Koralia Paschalaki,Periklis G Foukas,Nefeli Lagopati,Marios Dimitriou,Angelos Papaspyropoulos,Bindu Konda,Orsalia Hazapis,Aikaterini Polyzou,Sophia Havaki,Athanassios Kotsinas,Christos Kittas,Athanasios G Tzioufas,Laurence de Leval,Demetris Vassilakos,Sotirios Tsiodras,Barry R Stripp,Argyris Papantonis,Giovanni Blandino,Ioannis Karakasiliotis,Peter J Barnes,Vassilis G Gorgoulis

Nature 545:48-53 PubMed28445462

2017

Cell diversity and network dynamics in photosensitive human brain organoids.

Applications

Unspecified application

Species

Unspecified reactive species

Giorgia Quadrato,Tuan Nguyen,Evan Z Macosko,John L Sherwood,Sung Min Yang,Daniel R Berger,Natalie Maria,Jorg Scholvin,Melissa Goldman,Justin P Kinney,Edward S Boyden,Jeff W Lichtman,Ziv M Williams,Steven A McCarroll,Paola Arlotta
View all publications

Product promise

We are committed to supporting your work with high-quality reagents, and we're here for you every step of the way. In the unlikely event that one of our products does not perform as expected, you're protected by our Product Promise.
For full details, please see our Terms & Conditions

Please note: All products are 'FOR RESEARCH USE ONLY. NOT FOR USE IN DIAGNOSTIC OR THERAPEUTIC PROCEDURES'.

For licensing inquiries, please contact partnerships@abcam.com