JavaScript is disabled in your browser. Please enable JavaScript to view this website.
AB196771

Anti-APOL2 antibody

Be the first to review this product! Submit a review

|

(1 Publication)

Rabbit Polyclonal APOL2 antibody. Suitable for WB, IHC-P, ICC/IF and reacts with Human samples. Cited in 1 publication. Immunogen corresponding to Synthetic Peptide within Human APOL2.

View Alternative Names

Apolipoprotein L2, Apolipoprotein L-II, ApoL-II, APOL2

3 Images
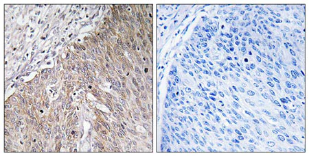
Immunohistochemistry (Formalin/PFA-fixed paraffin-embedded sections) - Anti-APOL2 antibody (AB196771)
  • IHC-P

Supplier Data

Immunohistochemistry (Formalin/PFA-fixed paraffin-embedded sections) - Anti-APOL2 antibody (AB196771)

Immunohistochemical analysis of paraffin-embedded Human cervix carcinoma tissue labeling APOL2 with ab196771 at 1/50 dilution. The image on the right is treated with the synthesized peptide.

Immunocytochemistry/ Immunofluorescence - Anti-APOL2 antibody (AB196771)
  • ICC/IF

Supplier Data

Immunocytochemistry/ Immunofluorescence - Anti-APOL2 antibody (AB196771)

Immunofluorescent analysis of MCF7 cells labeling APOL2 with ab196771 at 1/100 dilution. The image on the right is treated with the synthesized peptide.

Western blot - Anti-APOL2 antibody (AB196771)
  • WB

Supplier Data

Western blot - Anti-APOL2 antibody (AB196771)

All lanes:

Western blot - Anti-APOL2 antibody (ab196771) at 1/500 dilution

Lane 1:

COLO cell extracts

Lane 2:

HUVEC cell extracts

Lane 3:

HUVEC cell extracts with synthesized peptide

Predicted band size: 37 kDa

false

Key facts

Host species

Rabbit

Clonality

Polyclonal

Isotype

IgG

Carrier free

No

Reacts with

Human

Applications

IHC-P, ICC/IF, WB

applications

Immunogen

Synthetic Peptide within Human APOL2. The exact immunogen used to generate this antibody is proprietary information.

Q9BQE5

Reactivity data

{ "title": "Reactivity Data", "filters": { "stats": ["", "Species", "Dilution Info", "Notes"], "tabs": { "all-applications": {"fullname" : "All Applications", "shortname": "All Applications"}, "WB" : {"fullname" : "Western blot", "shortname":"WB"}, "IHCP" : {"fullname" : "Immunohistochemistry (Formalin/PFA-fixed paraffin-embedded sections)", "shortname":"IHC-P"}, "ICCIF" : {"fullname" : "Immunocytochemistry/ Immunofluorescence", "shortname":"ICC/IF"} }, "product-promise": { "all": "all", "testedAndGuaranteed": "tested", "guaranteed": "expected", "predicted": "predicted", "notRecommended": "not-recommended" } }, "values": { "Human": { "WB-species-checked": "testedAndGuaranteed", "WB-species-dilution-info": "1/500 - 1/3000", "WB-species-notes": "<p></p>", "IHCP-species-checked": "testedAndGuaranteed", "IHCP-species-dilution-info": "1/50 - 1/100", "IHCP-species-notes": "<p></p>", "ICCIF-species-checked": "testedAndGuaranteed", "ICCIF-species-dilution-info": "1/100 - 1/500", "ICCIF-species-notes": "<p></p>" } } }

Properties and storage information

Form
Liquid
Purification technique
Affinity purification Immunogen
Storage buffer
pH: 7.4 Preservative: 0.02% Sodium azide Constituents: PBS, 50% Glycerol (glycerin, glycerine), 0.87% Sodium chloride
Shipped at conditions
Blue Ice
Appropriate short-term storage duration
1-2 weeks
Appropriate short-term storage conditions
+4°C
Appropriate long-term storage conditions
-20°C
Aliquoting information
Upon delivery aliquot
Storage information
Avoid freeze / thaw cycle

Supplementary information

This supplementary information is collated from multiple sources and compiled automatically.

APOL2 also known as Apolipoprotein L2 is a protein with molecular mass about 38 kDa. This protein belongs to the apolipoprotein L family and shows expression in various tissues including the pancreas lung and placenta. APOL2 contains lipid-binding domains that enable it to interact with lipids in cellular membranes. It involves in lipid metabolism by aiding the transport of lipids through intracellular compartments.
Biological function summary

APOL2 contributes to lipid trafficking and cellular lipid homeostasis. It plays a role in the formation of lipid droplets within cells significant for energy storage and regulation. APOL2 does not function alone but often acts in coordination with other proteins involved in lipid metabolism including members of its own family. This association through protein complexes allows for efficient regulation of lipid movement and storage in cells.

Pathways

Several important pathways intersect with APOL2's functions. It participates in the lipid metabolism pathway which affects energy balance within cells. Another pathway where APOL2 plays a role is the inflammatory response pathway as its expression can influence the response to inflammatory signals. APOL2 shows functional connections with other apolipoprotein family members such as APOL1 through these pathways helping to maintain cellular biochemical equilibrium.

APOL2 relates to cancer and cardiovascular diseases. Aberrant expression of APOL2 can potentially influence cancer progression by impacting cellular lipid metabolism contributing to tumor growth. In cardiovascular diseases its role in lipid metabolism correlates with the regulation of blood lipid levels affecting cardiovascular health. Notably APOL2's function in cardiovascular diseases may interact with APOL1 which has known links to kidney-related disorders and cardiovascular risk factors.

Product protocols

For this product, it's our understanding that no specific protocols are required. You can visit:

Target data

May affect the movement of lipids in the cytoplasm or allow the binding of lipids to organelles.
See full target information APOL2

Publications (1)

Recent publications for all applications. Explore the full list and refine your search

International journal of oncology 53:266-274 PubMed29749468

2018

Inhibition of CD9 expression reduces the metastatic capacity of human hepatocellular carcinoma cell line MHCC97-H.

Applications

Unspecified application

Species

Unspecified reactive species

Qing Lin,Shifang Peng,Yixuan Yang
View all publications

Product promise

We are committed to supporting your work with high-quality reagents, and we're here for you every step of the way. In the unlikely event that one of our products does not perform as expected, you're protected by our Product Promise.
For full details, please see our Terms & Conditions

Please note: All products are 'FOR RESEARCH USE ONLY. NOT FOR USE IN DIAGNOSTIC OR THERAPEUTIC PROCEDURES'.

For licensing inquiries, please contact partnerships@abcam.com