JavaScript is disabled in your browser. Please enable JavaScript to view this website.
AB154869

Anti-APOL3 antibody [EPR8238(2)]

Be the first to review this product! Submit a review

|

(3 Publications)

Rabbit Recombinant Monoclonal APOL3 antibody. Suitable for IHC-P, WB and reacts with Human samples. Cited in 3 publications.

View Alternative Names

Apolipoprotein L3, Apolipoprotein L-III, TNF-inducible protein CG12-1, ApoL-III, CG12_1, APOL3

3 Images
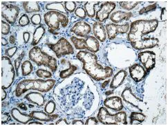
Immunohistochemistry (Formalin/PFA-fixed paraffin-embedded sections) - Anti-APOL3 antibody [EPR8238(2)] (AB154869)
  • IHC-P

Unknown

Immunohistochemistry (Formalin/PFA-fixed paraffin-embedded sections) - Anti-APOL3 antibody [EPR8238(2)] (AB154869)

Immunohistochemical analysis of paraffin-embedded Human kidney tissue labeling APOL3 with ab154869 at 1/100 dilution.

Perform heat mediated antigen retrieval with citrate buffer pH 6 before commencing with IHC staining protocol.

Immunohistochemistry (Formalin/PFA-fixed paraffin-embedded sections) - Anti-APOL3 antibody [EPR8238(2)] (AB154869)
  • IHC-P

Unknown

Immunohistochemistry (Formalin/PFA-fixed paraffin-embedded sections) - Anti-APOL3 antibody [EPR8238(2)] (AB154869)

Immunohistochemical analysis of paraffin-embedded Human colon tissue labeling APOL3 with ab154869 at 1/100 dilution.

Perform heat mediated antigen retrieval with citrate buffer pH 6 before commencing with IHC staining protocol.

Western blot - Anti-APOL3 antibody [EPR8238(2)] (AB154869)
  • WB

Unknown

Western blot - Anti-APOL3 antibody [EPR8238(2)] (AB154869)

All lanes:

Western blot - Anti-APOL3 antibody [EPR8238(2)] (ab154869) at 1/1000 dilution

Lane 1:

Fetal kidney tissue lysate at 10 µg

Lane 2:

Jurkat cell lysate at 10 µg

Lane 3:

Daudi cell lysate at 10 µg

Secondary

All lanes:

Goat anti-rabbit HRP at 1/2000 dilution

Predicted band size: 44 kDa

false

  • Carrier free

    Anti-APOL3 antibody [EPR8238(2)] - BSA and Azide free

Key facts

Host species

Rabbit

Clonality

Monoclonal

Clone number

EPR8238(2)

Isotype

IgG

Carrier free

No

Reacts with

Human

Applications

WB, IHC-P

applications

Immunogen

The exact immunogen used to generate this antibody is proprietary information.

Reactivity data

{ "title": "Reactivity Data", "filters": { "stats": ["", "Species", "Dilution Info", "Notes"], "tabs": { "all-applications": {"fullname" : "All Applications", "shortname": "All Applications"}, "IHCP" : {"fullname" : "Immunohistochemistry (Formalin/PFA-fixed paraffin-embedded sections)", "shortname":"IHC-P"}, "ICCIF" : {"fullname" : "Immunocytochemistry/ Immunofluorescence", "shortname":"ICC/IF"}, "IP" : {"fullname" : "Immunoprecipitation", "shortname":"IP"}, "WB" : {"fullname" : "Western blot", "shortname":"WB"} }, "product-promise": { "all": "all", "testedAndGuaranteed": "tested", "guaranteed": "expected", "predicted": "predicted", "notRecommended": "not-recommended" } }, "values": { "Human": { "IHCP-species-checked": "testedAndGuaranteed", "IHCP-species-dilution-info": "1/100 - 1/250", "IHCP-species-notes": "<p></p> Perform heat-mediated antigen retrieval with citrate buffer pH 6 before commencing with IHC staining protocol.", "ICCIF-species-checked": "notRecommended", "ICCIF-species-dilution-info": "", "ICCIF-species-notes": "<p></p>", "IP-species-checked": "notRecommended", "IP-species-dilution-info": "", "IP-species-notes": "<p></p>", "WB-species-checked": "testedAndGuaranteed", "WB-species-dilution-info": "1/1000 - 1/10000", "WB-species-notes": "<p></p>" }, "Mouse": { "IHCP-species-checked": "predicted", "IHCP-species-dilution-info": "", "IHCP-species-notes": "", "ICCIF-species-checked": "notRecommended", "ICCIF-species-dilution-info": "", "ICCIF-species-notes": "", "IP-species-checked": "notRecommended", "IP-species-dilution-info": "", "IP-species-notes": "", "WB-species-checked": "predicted", "WB-species-dilution-info": "", "WB-species-notes": "" }, "Rat": { "IHCP-species-checked": "predicted", "IHCP-species-dilution-info": "", "IHCP-species-notes": "", "ICCIF-species-checked": "notRecommended", "ICCIF-species-dilution-info": "", "ICCIF-species-notes": "", "IP-species-checked": "notRecommended", "IP-species-dilution-info": "", "IP-species-notes": "", "WB-species-checked": "predicted", "WB-species-dilution-info": "", "WB-species-notes": "" } } }

Product details

Patented technology
Our RabMAb® technology is a patented hybridoma-based technology for making rabbit monoclonal antibodies. For details on our patents, please refer to RabMAb® patents.

What are the advantages of a recombinant monoclonal antibody?
This product is a recombinant monoclonal antibody, which offers several advantages including:

  • - High batch-to-batch consistency and reproducibility
  • - Improved sensitivity and specificity
  • - Long-term security of supply
  • - Animal-free batch production

For more information, read more on recombinant antibodies.

Properties and storage information

Form
Liquid
Purification technique
Affinity purification Protein A
Storage buffer
pH: 7.2 - 7.4 Preservative: 0.01% Sodium azide Constituents: PBS, 40% Glycerol (glycerin, glycerine), 0.05% BSA
Shipped at conditions
Blue Ice
Appropriate short-term storage conditions
+4°C
Appropriate long-term storage conditions
-20°C

Supplementary information

This supplementary information is collated from multiple sources and compiled automatically.

APOL3 also known as Apolipoprotein L3 is a protein with a mass of approximately 40 kDa. It belongs to the apolipoprotein family which plays a role in lipid metabolism. APOL3 is expressed mainly in vascular tissues and immune system cells. Its primary mechanical function involves lipid transportation and regulation within cellular compartments contributing to maintaining cellular lipid homeostasis.
Biological function summary

APOL3 operates as part of a complex involved in cellular lipid transport processes. This protein participates in trafficking lipids within cellular membranes and organelles impacting cell membrane dynamics. APOL3 gene expression varies in different tissues influencing how cells manage and utilize lipid molecules. It associates with cellular stress responses especially during pathogen invasions aiding immune system efficiency.

Pathways

APOL3 plays a role in lipid metabolism pathways and immune regulatory pathways. The protein interacts with components of these pathways such as apolipoprotein L family members and enzymes involved in lipid processing. Its activity in these pathways modulates lipid transport and immune responses interacting with components like cholesterol transport proteins and immune receptors. APOL3 contributes to maintaining lipid balance and promoting cellular defense mechanisms.

APOL3 shows a connection to cardiovascular diseases and autoimmune disorders. Abnormalities in its expression can contribute to the lipid dysfunctions associated with atherosclerosis. It also relates to the immune dysregulation observed in certain autoimmune conditions. APOL3 interacts with other apolipoproteins and immune regulatory proteins influencing disease progression and severity. Understanding its role in these contexts can guide therapeutic strategies targeting lipid and immune system abnormalities.

Product protocols

For this product, it's our understanding that no specific protocols are required. You can visit:

Target data

May affect the movement of lipids in the cytoplasm or allow the binding of lipids to organelles.
See full target information Apolipoprotein L3

Publications (3)

Recent publications for all applications. Explore the full list and refine your search

Journal of Cancer 15:4623-4635 PubMed39006089

2024

Apolipoprotein L3 inhibits breast cancer proliferation and modulates cell cycle via the P53 pathway.

Applications

Unspecified application

Species

Unspecified reactive species

Hao Yu,Siyan Li,Xing Li,Yanbiao Liu,Zhaobu Wang,Mengyao Cui,Feng Jin,Xinmiao Yu

BMC cancer 23:611 PubMed37400785

2023

Upregulation of hsa_circ_0002003 promotes hepatocellular carcinoma progression.

Applications

Unspecified application

Species

Unspecified reactive species

Lisha Zhou,Qianwen Wang,Jun Hou,Xiangwei Wu,Lianghai Wang,Xueling Chen

Cell 186:621-645.e33 PubMed36736301

2023

Human IRF1 governs macrophagic IFN-γ immunity to mycobacteria.

Applications

Unspecified application

Species

Unspecified reactive species

Jérémie Rosain,Anna-Lena Neehus,Jérémy Manry,Rui Yang,Jérémie Le Pen,Wassim Daher,Zhiyong Liu,Yi-Hao Chan,Natalia Tahuil,Özden Türel,Mathieu Bourgey,Masato Ogishi,Jean-Marc Doisne,Helena M Izquierdo,Takayoshi Shirasaki,Tom Le Voyer,Antoine Guérin,Paul Bastard,Marcela Moncada-Vélez,Ji Eun Han,Taushif Khan,Franck Rapaport,Seon-Hui Hong,Andrew Cheung,Kathrin Haake,Barbara C Mindt,Laura Pérez,Quentin Philippot,Danyel Lee,Peng Zhang,Darawan Rinchai,Fatima Al Ali,Manar Mahmoud Ahmad Ata,Mahbuba Rahman,Jessica N Peel,Søren Heissel,Henrik Molina,Yasemin Kendir-Demirkol,Rasheed Bailey,Shuxiang Zhao,Jonathan Bohlen,Mathieu Mancini,Yoann Seeleuthner,Marie Roelens,Lazaro Lorenzo,Camille Soudée,María Elvira Josefina Paz,María Laura González,Mohamed Jeljeli,Jean Soulier,Serge Romana,Anne-Sophie L'Honneur,Marie Materna,Rubén Martínez-Barricarte,Mathieu Pochon,Carmen Oleaga-Quintas,Alexandre Michev,Mélanie Migaud,Romain Lévy,Marie-Alexandra Alyanakian,Flore Rozenberg,Carys A Croft,Guillaume Vogt,Jean-François Emile,Laurent Kremer,Cindy S Ma,Jörg H Fritz,Stanley M Lemon,András N Spaan,Nicolas Manel,Laurent Abel,Margaret R MacDonald,Stéphanie Boisson-Dupuis,Nico Marr,Stuart G Tangye,James P Di Santo,Qian Zhang,Shen-Ying Zhang,Charles M Rice,Vivien Béziat,Nico Lachmann,David Langlais,Jean-Laurent Casanova,Philippe Gros,Jacinta Bustamante
View all publications

Product promise

We are committed to supporting your work with high-quality reagents, and we're here for you every step of the way. In the unlikely event that one of our products does not perform as expected, you're protected by our Product Promise.
For full details, please see our Terms & Conditions

Please note: All products are 'FOR RESEARCH USE ONLY. NOT FOR USE IN DIAGNOSTIC OR THERAPEUTIC PROCEDURES'.

For licensing inquiries, please contact partnerships@abcam.com