JavaScript is disabled in your browser. Please enable JavaScript to view this website.
AB249168

Anti-APOL3 antibody [EPR8238(2)] - BSA and Azide free

Be the first to review this product! Submit a review

|

(0 Publication)

Rabbit Recombinant Monoclonal APOL3 antibody. Carrier free. Suitable for IHC-P, WB and reacts with Human samples.

View Alternative Names

Apolipoprotein L3, Apolipoprotein L-III, TNF-inducible protein CG12-1, ApoL-III, CG12_1, APOL3

3 Images
Western blot - Anti-APOL3 antibody [EPR8238(2)] - BSA and Azide free (AB249168)
  • WB

Unknown

Western blot - Anti-APOL3 antibody [EPR8238(2)] - BSA and Azide free (AB249168)

This data was developed using ab154869, the same antibody clone in a different buffer formulation.

All lanes:

Western blot - Anti-APOL3 antibody [EPR8238(2)] (<a href='/en-us/products/primary-antibodies/apol3-antibody-epr82382-ab154869'>ab154869</a>) at 1/1000 dilution

Lane 1:

Fetal kidney tissue lysate at 10 µg

Lane 2:

Jurkat cell lysate at 10 µg

Lane 3:

Daudi cell lysate at 10 µg

Secondary

All lanes:

Goat anti-rabbit HRP at 1/2000 dilution

Predicted band size: 44 kDa

false

Immunohistochemistry (Formalin/PFA-fixed paraffin-embedded sections) - Anti-APOL3 antibody [EPR8238(2)] - BSA and Azide free (AB249168)
  • IHC-P

Unknown

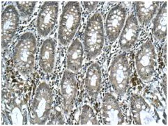
Immunohistochemistry (Formalin/PFA-fixed paraffin-embedded sections) - Anti-APOL3 antibody [EPR8238(2)] - BSA and Azide free (AB249168)

This data was developed using ab154869, the same antibody clone in a different buffer formulation.

Immunohistochemical analysis of paraffin-embedded Human colon tissue labeling APOL3 with ab154869 at 1/100 dilution.

Perform heat mediated antigen retrieval with citrate buffer pH 6 before commencing with IHC staining protocol.

Immunohistochemistry (Formalin/PFA-fixed paraffin-embedded sections) - Anti-APOL3 antibody [EPR8238(2)] - BSA and Azide free (AB249168)
  • IHC-P

Unknown

Immunohistochemistry (Formalin/PFA-fixed paraffin-embedded sections) - Anti-APOL3 antibody [EPR8238(2)] - BSA and Azide free (AB249168)

This data was developed using ab154869, the same antibody clone in a different buffer formulation.

Immunohistochemical analysis of paraffin-embedded Human kidney tissue labeling APOL3 with ab154869 at 1/100 dilution.

Perform heat mediated antigen retrieval with citrate buffer pH 6 before commencing with IHC staining protocol.

Key facts

Host species

Rabbit

Clonality

Monoclonal

Clone number

EPR8238(2)

Isotype

IgG

Carrier free

Yes

Reacts with

Human

Applications

WB, IHC-P

applications

Immunogen

The exact immunogen used to generate this antibody is proprietary information.

Reactivity data

{ "title": "Reactivity Data", "filters": { "stats": ["", "Species", "Dilution Info", "Notes"], "tabs": { "all-applications": {"fullname" : "All Applications", "shortname": "All Applications"}, "IHCP" : {"fullname" : "Immunohistochemistry (Formalin/PFA-fixed paraffin-embedded sections)", "shortname":"IHC-P"}, "ICCIF" : {"fullname" : "Immunocytochemistry/ Immunofluorescence", "shortname":"ICC/IF"}, "IP" : {"fullname" : "Immunoprecipitation", "shortname":"IP"}, "WB" : {"fullname" : "Western blot", "shortname":"WB"} }, "product-promise": { "all": "all", "testedAndGuaranteed": "tested", "guaranteed": "expected", "predicted": "predicted", "notRecommended": "not-recommended" } }, "values": { "Human": { "IHCP-species-checked": "testedAndGuaranteed", "IHCP-species-dilution-info": "", "IHCP-species-notes": "<p></p> Perform heat-mediated antigen retrieval with citrate buffer pH 6 before commencing with IHC staining protocol.", "ICCIF-species-checked": "notRecommended", "ICCIF-species-dilution-info": "", "ICCIF-species-notes": "<p></p>", "IP-species-checked": "notRecommended", "IP-species-dilution-info": "", "IP-species-notes": "<p></p>", "WB-species-checked": "testedAndGuaranteed", "WB-species-dilution-info": "", "WB-species-notes": "<p></p>" }, "Mouse": { "IHCP-species-checked": "predicted", "IHCP-species-dilution-info": "", "IHCP-species-notes": "", "ICCIF-species-checked": "notRecommended", "ICCIF-species-dilution-info": "", "ICCIF-species-notes": "", "IP-species-checked": "notRecommended", "IP-species-dilution-info": "", "IP-species-notes": "", "WB-species-checked": "predicted", "WB-species-dilution-info": "", "WB-species-notes": "" }, "Rat": { "IHCP-species-checked": "predicted", "IHCP-species-dilution-info": "", "IHCP-species-notes": "", "ICCIF-species-checked": "notRecommended", "ICCIF-species-dilution-info": "", "ICCIF-species-notes": "", "IP-species-checked": "notRecommended", "IP-species-dilution-info": "", "IP-species-notes": "", "WB-species-checked": "predicted", "WB-species-dilution-info": "", "WB-species-notes": "" } } }

Product details

ab249168 is the carrier-free version of ab154869.

Conjugation ready
Our carrier-free antibodies are typically supplied in a PBS-only formulation, purified and free of BSA, sodium azide and glycerol. This conjugation-ready format is designed for use with fluorochromes, metal isotopes, oligonucleotides, and enzymes, which makes them ideal for antibody labelling, functional and cell-based assays, flow-based assays (e.g. mass cytometry) and Multiplex Imaging applications.

Use our conjugation kits for antibody conjugates that are ready-to-use in as little as 20 minutes with 1 minute hands-on-time and 100% antibody recovery: available for fluorescent dyes, HRP, biotin and gold.

Compatibility
This product is compatible with the Maxpar® Antibody Labeling Kit from Fluidigm, without the need for antibody preparation. Maxpar® is a trademark of Fluidigm Canada Inc.

Properties and storage information

Form
Liquid
Purification technique
Affinity purification Protein A
Storage buffer
pH: 7.2 - 7.4 Constituents: PBS
Shipped at conditions
Blue Ice
Appropriate short-term storage conditions
+4°C
Appropriate long-term storage conditions
+4°C
Storage information
Do Not Freeze

Supplementary information

This supplementary information is collated from multiple sources and compiled automatically.

APOL3 also known as Apolipoprotein L3 is a protein with a mass of approximately 40 kDa. It belongs to the apolipoprotein family which plays a role in lipid metabolism. APOL3 is expressed mainly in vascular tissues and immune system cells. Its primary mechanical function involves lipid transportation and regulation within cellular compartments contributing to maintaining cellular lipid homeostasis.
Biological function summary

APOL3 operates as part of a complex involved in cellular lipid transport processes. This protein participates in trafficking lipids within cellular membranes and organelles impacting cell membrane dynamics. APOL3 gene expression varies in different tissues influencing how cells manage and utilize lipid molecules. It associates with cellular stress responses especially during pathogen invasions aiding immune system efficiency.

Pathways

APOL3 plays a role in lipid metabolism pathways and immune regulatory pathways. The protein interacts with components of these pathways such as apolipoprotein L family members and enzymes involved in lipid processing. Its activity in these pathways modulates lipid transport and immune responses interacting with components like cholesterol transport proteins and immune receptors. APOL3 contributes to maintaining lipid balance and promoting cellular defense mechanisms.

APOL3 shows a connection to cardiovascular diseases and autoimmune disorders. Abnormalities in its expression can contribute to the lipid dysfunctions associated with atherosclerosis. It also relates to the immune dysregulation observed in certain autoimmune conditions. APOL3 interacts with other apolipoproteins and immune regulatory proteins influencing disease progression and severity. Understanding its role in these contexts can guide therapeutic strategies targeting lipid and immune system abnormalities.

Product protocols

For this product, it's our understanding that no specific protocols are required. You can visit:

Target data

May affect the movement of lipids in the cytoplasm or allow the binding of lipids to organelles.
See full target information Apolipoprotein L3

Product promise

We are committed to supporting your work with high-quality reagents, and we're here for you every step of the way. In the unlikely event that one of our products does not perform as expected, you're protected by our Product Promise.
For full details, please see our Terms & Conditions

Please note: All products are 'FOR RESEARCH USE ONLY. NOT FOR USE IN DIAGNOSTIC OR THERAPEUTIC PROCEDURES'.

For licensing inquiries, please contact partnerships@abcam.com