JavaScript is disabled in your browser. Please enable JavaScript to view this website.
AB271849

Anti-Apolipoprotein A I antibody [EP1368Y] - BSA and Azide free

Be the first to review this product! Submit a review

|

(0 Publication)

Rabbit Recombinant Monoclonal Apolipoprotein A I antibody. Carrier free. Suitable for IP, ELISA, WB, IHC-P, ICC/IF, Flow Cyt (Intra) and reacts with Human, Synthetic peptide - Human, Recombinant fragment samples.

View Alternative Names

Apolipoprotein A-I, Apo-AI, ApoA-I, Apolipoprotein A1, APOA1

7 Images
Immunohistochemistry (Formalin/PFA-fixed paraffin-embedded sections) - Anti-Apolipoprotein A I antibody [EP1368Y] - BSA and Azide free (AB271849)
  • IHC-P

Unknown

Immunohistochemistry (Formalin/PFA-fixed paraffin-embedded sections) - Anti-Apolipoprotein A I antibody [EP1368Y] - BSA and Azide free (AB271849)

ab52945 (unpurified) at 1/100 dilution staining Apolipoprotein A I in human liver by Immunohistochemistry, Paraffin embedded tissue.

This data was developed using the same antibody clone in a different buffer formulation containing PBS, BSA, glycerol, and sodium azide (ab52945).

Flow Cytometry (Intracellular) - Anti-Apolipoprotein A I antibody [EP1368Y] - BSA and Azide free (AB271849)
  • Flow Cyt (Intra)

Unknown

Flow Cytometry (Intracellular) - Anti-Apolipoprotein A I antibody [EP1368Y] - BSA and Azide free (AB271849)

Intracellular Flow Cytometry analysis of HepG2 (Human hepatocellular carcinoma epithelial cell) cells labeling Apolipoprotein A I with purified ab52945 at 1/20 dilution (10 μg/ml) (red). Cells were fixed with 4% Paraformaldehyde and permeabilised with 90% Methanol. A Goat anti rabbit IgG (Alexa Fluor® 488, ab150077) secondary antibody was used at 1/2000. Isotype control - Rabbit monoclonal IgG (Black). Unlabeled control - Cell without incubation with primary antibody and secondary antibody (Blue).

This data was developed using the same antibody clone in a different buffer formulation containing PBS, BSA, glycerol, and sodium azide (ab52945).

Immunocytochemistry/ Immunofluorescence - Anti-Apolipoprotein A I antibody [EP1368Y] - BSA and Azide free (AB271849)
  • ICC/IF

Unknown

Immunocytochemistry/ Immunofluorescence - Anti-Apolipoprotein A I antibody [EP1368Y] - BSA and Azide free (AB271849)

Immunocytochemistry/ Immunofluorescence analysis of HepG2 (Human hepatocellular carcinoma epithelial cell) cells labeling Apolipoprotein A I with purified ab52945 at 1/250 dilution (0.8 μg/ml). Cells were fixed in 4% Paraformaldehyde and permeabilized with 0.1% tritonX-100. Cells were counterstained with ab195889 Anti-alpha Tubulin antibody [DM1A] - Microtubule Marker (Alexa Fluor® 594) at 1/200 (2.5 μg/ml) dilution. Goat anti rabbit IgG (Alexa Fluor® 488, ab150077) was used as the secondary antibody at 1/1000 (2 μg/ml) dilution. DAPI (blue) was used as nuclear counterstain. PBS instead of the primary antibody was used as the secondary antibody only control.

This data was developed using the same antibody clone in a different buffer formulation containing PBS, BSA, glycerol, and sodium azide (ab52945).

Immunocytochemistry/ Immunofluorescence - Anti-Apolipoprotein A I antibody [EP1368Y] - BSA and Azide free (AB271849)
  • ICC/IF

Unknown

Immunocytochemistry/ Immunofluorescence - Anti-Apolipoprotein A I antibody [EP1368Y] - BSA and Azide free (AB271849)

ab52945 (unpurified) at 1/100 dilution staining Apolipoprotein A I in HEPG2 cells by Immunofluorescence.

This data was developed using the same antibody clone in a different buffer formulation containing PBS, BSA, glycerol, and sodium azide (ab52945).

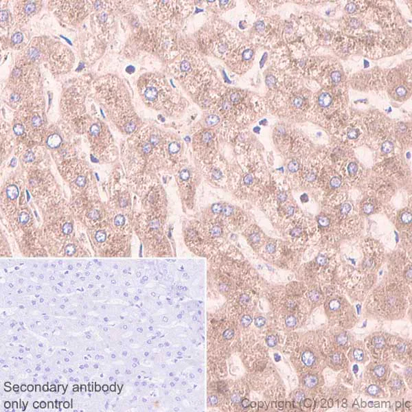
Immunohistochemistry (Formalin/PFA-fixed paraffin-embedded sections) - Anti-Apolipoprotein A I antibody [EP1368Y] - BSA and Azide free (AB271849)
  • IHC-P

Unknown

Immunohistochemistry (Formalin/PFA-fixed paraffin-embedded sections) - Anti-Apolipoprotein A I antibody [EP1368Y] - BSA and Azide free (AB271849)

Immunohistochemistry (Formalin/PFA-fixed paraffin-embedded sections) analysis of Human liver tissue sections labeling Apolipoprotein A I with purified ab52945 at 1/100 dilution (1.95 μg/ml). Perform heat mediated antigen retrieval using ab93684 (Tris/EDTA buffer, pH 9.0). ImmunoHistoProbe one step HRP Polymer (ready to use) was used as the secondary antibody. Negative control : PBS instead of the primary antibody. Hematoxylin was used as a counterstain.

This data was developed using the same antibody clone in a different buffer formulation containing PBS, BSA, glycerol, and sodium azide (ab52945).

Immunoprecipitation - Anti-Apolipoprotein A I antibody [EP1368Y] - BSA and Azide free (AB271849)
  • IP

Unknown

Immunoprecipitation - Anti-Apolipoprotein A I antibody [EP1368Y] - BSA and Azide free (AB271849)

ab52945 (purified) at 1/20 dilution (1ug) immunoprecipitating Apolipoprotein A I in Human fetal liver lysates.
Lane 1 : Human fetal liver lysates 10ug
Lane 2 (+) : ab52945 & Human fetal liver lysates
Lane 3 (-) : Rabbit monoclonal IgG (ab172730) instead of ab52945 in Human fetal liver lysates
For western blotting, VeriBlot for IP Detection Reagent (HRP) (ab131366) was used at 1/1000 dilution.
Blocking and diluting buffer : 5% NFDM/TBST.

This data was developed using the same antibody clone in a different buffer formulation containing PBS, BSA, glycerol, and sodium azide (ab52945).

All lanes:

Immunoprecipitation - Anti-Apolipoprotein A I antibody [EP1368Y] (<a href='/en-us/products/primary-antibodies/apolipoprotein-a-i-antibody-ep1368y-ab52945'>ab52945</a>)

Predicted band size: 30 kDa

false

Indirect ELISA - Anti-Apolipoprotein A I antibody [EP1368Y] - BSA and Azide free (AB271849)
  • I-ELISA

Lab

Indirect ELISA - Anti-Apolipoprotein A I antibody [EP1368Y] - BSA and Azide free (AB271849)

ELISA analysis of Apolipoprotein A I recombinant protein at 1000 ng/mL with ab52945 at 1000~0ng/mL. An Alkaline Phosphatase-conjugated AffiniPure Goat Anti-Rabbit IgG (H+L) at 1/2500 dilution was used as the secondary antibody.

This data was developed using the same antibody clone in a different buffer formulation containing PBS, BSA, glycerol, and sodium azide (ab52945).

  • Unconjugated

    Anti-Apolipoprotein A I antibody [EP1368Y]

  • 578 PE

    PE Anti-Apolipoprotein A I antibody [EP1368Y]

  • Carrier free

    Anti-Apolipoprotein A I antibody [EP1368Y] - Low endotoxin, Azide free

  • 519 Alexa Fluor® 488

    Alexa Fluor® 488 Anti-Apolipoprotein A I antibody [EP1368Y]

  • 665 Alexa Fluor® 647

    Alexa Fluor® 647 Anti-Apolipoprotein A I antibody [EP1368Y]

Key facts

Host species

Rabbit

Clonality

Monoclonal

Clone number

EP1368Y

Isotype

IgG

Carrier free

Yes

Reacts with

Human

Applications

WB, Flow Cyt (Intra), IHC-P, ELISA, IP, ICC/IF

applications

Immunogen

The exact immunogen used to generate this antibody is proprietary information.

Reactivity data

{ "title": "Reactivity Data", "filters": { "stats": ["", "Species", "Dilution Info", "Notes"], "tabs": { "all-applications": {"fullname" : "All Applications", "shortname": "All Applications"}, "IP" : {"fullname" : "Immunoprecipitation", "shortname":"IP"}, "ELISA" : {"fullname" : "ELISA", "shortname":"ELISA"}, "WB" : {"fullname" : "Western blot", "shortname":"WB"}, "IHCP" : {"fullname" : "Immunohistochemistry (Formalin/PFA-fixed paraffin-embedded sections)", "shortname":"IHC-P"}, "ICCIF" : {"fullname" : "Immunocytochemistry/ Immunofluorescence", "shortname":"ICC/IF"}, "FlowCytIntra" : {"fullname" : "Flow Cytometry (Intracellular)", "shortname":"Flow Cyt (Intra)"} }, "product-promise": { "all": "all", "testedAndGuaranteed": "tested", "guaranteed": "expected", "predicted": "predicted", "notRecommended": "not-recommended" } }, "values": { "Human": { "IP-species-checked": "testedAndGuaranteed", "IP-species-dilution-info": "", "IP-species-notes": "<p></p>", "ELISA-species-checked": "guaranteed", "ELISA-species-dilution-info": "", "ELISA-species-notes": "", "WB-species-checked": "guaranteed", "WB-species-dilution-info": "", "WB-species-notes": "<p></p>", "IHCP-species-checked": "testedAndGuaranteed", "IHCP-species-dilution-info": "", "IHCP-species-notes": "<p></p>", "ICCIF-species-checked": "testedAndGuaranteed", "ICCIF-species-dilution-info": "", "ICCIF-species-notes": "<p></p>", "FlowCytIntra-species-checked": "testedAndGuaranteed", "FlowCytIntra-species-dilution-info": "", "FlowCytIntra-species-notes": "<p></p>" }, "Recombinant fragment": { "IP-species-checked": "notRecommended", "IP-species-dilution-info": "", "IP-species-notes": "", "ELISA-species-checked": "notRecommended", "ELISA-species-dilution-info": "", "ELISA-species-notes": "", "WB-species-checked": "guaranteed", "WB-species-dilution-info": "", "WB-species-notes": "<p></p>", "IHCP-species-checked": "notRecommended", "IHCP-species-dilution-info": "", "IHCP-species-notes": "", "ICCIF-species-checked": "notRecommended", "ICCIF-species-dilution-info": "", "ICCIF-species-notes": "", "FlowCytIntra-species-checked": "notRecommended", "FlowCytIntra-species-dilution-info": "", "FlowCytIntra-species-notes": "" }, "Synthetic peptide - Human": { "IP-species-checked": "notRecommended", "IP-species-dilution-info": "", "IP-species-notes": "", "ELISA-species-checked": "testedAndGuaranteed", "ELISA-species-dilution-info": "", "ELISA-species-notes": "<p></p>", "WB-species-checked": "notRecommended", "WB-species-dilution-info": "", "WB-species-notes": "", "IHCP-species-checked": "notRecommended", "IHCP-species-dilution-info": "", "IHCP-species-notes": "", "ICCIF-species-checked": "notRecommended", "ICCIF-species-dilution-info": "", "ICCIF-species-notes": "", "FlowCytIntra-species-checked": "notRecommended", "FlowCytIntra-species-dilution-info": "", "FlowCytIntra-species-notes": "" } } }

Product details

ab271849 is the carrier-free version of ab52945.

Species reactivity
Mouse, Rat: We have preliminary internal testing data to indicate this antibody may not react with these species.
Please contact us for more information.

Patented technology
Our RabMAb® technology is a patented hybridoma-based technology for making rabbit monoclonal antibodies. For details on our patents, please refer to RabMAb® patents.

What are the advantages of a recombinant monoclonal antibody?
This product is a recombinant monoclonal antibody, which offers several advantages including:

  • - High batch-to-batch consistency and reproducibility
  • - Improved sensitivity and specificity
  • - Long-term security of supply
  • - Animal-free batch production

For more information, read more on recombinant antibodies.

Conjugation ready
Our carrier-free antibodies are typically supplied in a PBS-only formulation, purified and free of BSA, sodium azide and glycerol. This conjugation-ready format is designed for use with fluorochromes, metal isotopes, oligonucleotides, and enzymes, which makes them ideal for antibody labelling, functional and cell-based assays, flow-based assays (e.g. mass cytometry) and Multiplex Imaging applications.

Use our conjugation kits for antibody conjugates that are ready-to-use in as little as 20 minutes with 1 minute hands-on-time and 100% antibody recovery: available for fluorescent dyes, HRP, biotin and gold.

Compatibility
This product is compatible with the Maxpar® Antibody Labeling Kit from Fluidigm, without the need for antibody preparation. Maxpar® is a trademark of Fluidigm Canada Inc.

Properties and storage information

Form
Liquid
Purification technique
Affinity purification Protein A
Storage buffer
pH: 7.2 - 7.4 Constituents: PBS
Shipped at conditions
Blue Ice
Appropriate short-term storage conditions
+4°C
Appropriate long-term storage conditions
+4°C
Storage information
Do Not Freeze

Supplementary information

This supplementary information is collated from multiple sources and compiled automatically.

Apolipoprotein A-I (ApoA-I) is a major component of high-density lipoprotein (HDL) particles often referred to as 'good cholesterol'. It has a molecular mass of approximately 28 kDa. ApoA-I is mainly expressed in the liver and intestine. It plays a mechanical role in the reverse transport of cholesterol acting to facilitate the efflux of cholesterol from tissues to the liver for excretion. Its alternative names include ApoAI ApoA1 and a component of the AI kits used for measuring this protein.
Biological function summary

ApoA-I functions in cholesterol homeostasis and inflammation. It is a structural component of the HDL complex that mobilizes cholesterol. ApoA-I acts as an activator of the enzyme lecithin-cholesterol acyltransferase (LCAT) which is essential for the maturation of HDL particles. This maturation is necessary for effective cholesterol transport and clearance. ApoA-I's ability to stabilize HDL particles and enhance their functionality makes it significant for maintaining lipid balance and cellular homeostasis.

Pathways

The interaction of ApoA-I with HDL formation and function marks its role in lipid metabolism pathways. Its participation in the reverse cholesterol transport pathway highlights its influence on cardiovascular health. ApoA-I also interacts with other proteins like ApoA-II and paraoxonase-1 which further influence lipid metabolism and antioxidant activities. Understanding these relationships helps elucidate the dynamics of cholesterol removal from the bloodstream.

Disturbances in ApoA-I levels correlate with cardiovascular disease and atherosclerosis. Deficiency or dysfunction in ApoA-I can impair HDL function leading to poor cholesterol removal and buildup within arteries. It is also connected to amyloidosis where misfolded ApoA-I forms deposits in tissues. Understanding these pathological conditions helps researchers target ApoA-I in therapeutic strategies to mitigate disease progression often studying it alongside proteins like ApoB which is associated with low-density lipoprotein (LDL) particles.

Product protocols

For this product, it's our understanding that no specific protocols are required. You can visit:

Target data

Participates in the reverse transport of cholesterol from tissues to the liver for excretion by promoting cholesterol efflux from tissues and by acting as a cofactor for the lecithin cholesterol acyltransferase (LCAT). As part of the SPAP complex, activates spermatozoa motility.
See full target information APOA1

Product promise

We are committed to supporting your work with high-quality reagents, and we're here for you every step of the way. In the unlikely event that one of our products does not perform as expected, you're protected by our Product Promise.
For full details, please see our Terms & Conditions

Please note: All products are 'FOR RESEARCH USE ONLY. NOT FOR USE IN DIAGNOSTIC OR THERAPEUTIC PROCEDURES'.

For licensing inquiries, please contact partnerships@abcam.com