JavaScript is disabled in your browser. Please enable JavaScript to view this website.
AB307090

Anti-Apolipoprotein A I antibody [EPR25446-111] - BSA and Azide free

Be the first to review this product! Submit a review

|

(0 Publication)

Rabbit Recombinant Monoclonal Apolipoprotein A I antibody. Carrier free. Suitable for IHC-P and reacts with Mouse, Transfected cell line samples.

View Alternative Names

Apolipoprotein A-I, Apo-AI, ApoA-I, Apolipoprotein A1, Apoa1

4 Images
Immunohistochemistry - Anti-Apolipoprotein A I antibody [EPR25446-111] - BSA and Azide free (AB307090)
  • IHC

Supplier Data

Immunohistochemistry - Anti-Apolipoprotein A I antibody [EPR25446-111] - BSA and Azide free (AB307090)

This data was developed using ab307089, the same antibody clone in a different buffer formulation. Immunohistochemical analysis of paraffin-embedded transfected HEK-293T cells labeling Apolipoprotein A I with ab307089 at 1/100 (4.63 ug/ml) followed by ready to use LeicaDS9800 (Bond® Polymer Refine Detection). Positive staining on (A) HEK-293T transfected with a Apoa1 expression vector, no staining on (B) HEK-293T transfected with empty vector. The section was incubated with ab307089 for 30 mins at room temperature. The immunostaining was performed on a Leica Biosystems BOND® RX instrument. Counterstained with Hematoxylin. Secondary antibody only control : Secondary antibody is ready to use LeicaDS9800 (Bond® Polymer Refine Detection). Heat mediated antigen retrieval was performed with Tris-EDTA buffer (pH 9.0, Epitope Retrieval Solution2) for 20 mins.

Immunohistochemistry - Anti-Apolipoprotein A I antibody [EPR25446-111] - BSA and Azide free (AB307090)
  • IHC

Supplier Data

Immunohistochemistry - Anti-Apolipoprotein A I antibody [EPR25446-111] - BSA and Azide free (AB307090)

This data was developed using ab307089, the same antibody clone in a different buffer formulation. Immunohistochemical analysis of paraffin-embedded mouse cardiac muscle tissue labeling Apolipoprotein A I with ab307089 at 1/100 (4.63 ug/ml) followed by ready to use LeicaDS9800 (Bond® Polymer Refine Detection). Positive staining on plasma of mouse cardiac muscle. The section was incubated with ab307089 for 30 mins at room temperature. The immunostaining was performed on a Leica Biosystems BOND® RX instrument. Counterstained with Hematoxylin. Secondary antibody only control : Secondary antibody is ready to use LeicaDS9800 (Bond® Polymer Refine Detection). Heat mediated antigen retrieval was performed with Tris-EDTA buffer (pH 9.0, Epitope Retrieval Solution2) for 20 mins.

Immunohistochemistry - Anti-Apolipoprotein A I antibody [EPR25446-111] - BSA and Azide free (AB307090)
  • IHC

Supplier Data

Immunohistochemistry - Anti-Apolipoprotein A I antibody [EPR25446-111] - BSA and Azide free (AB307090)

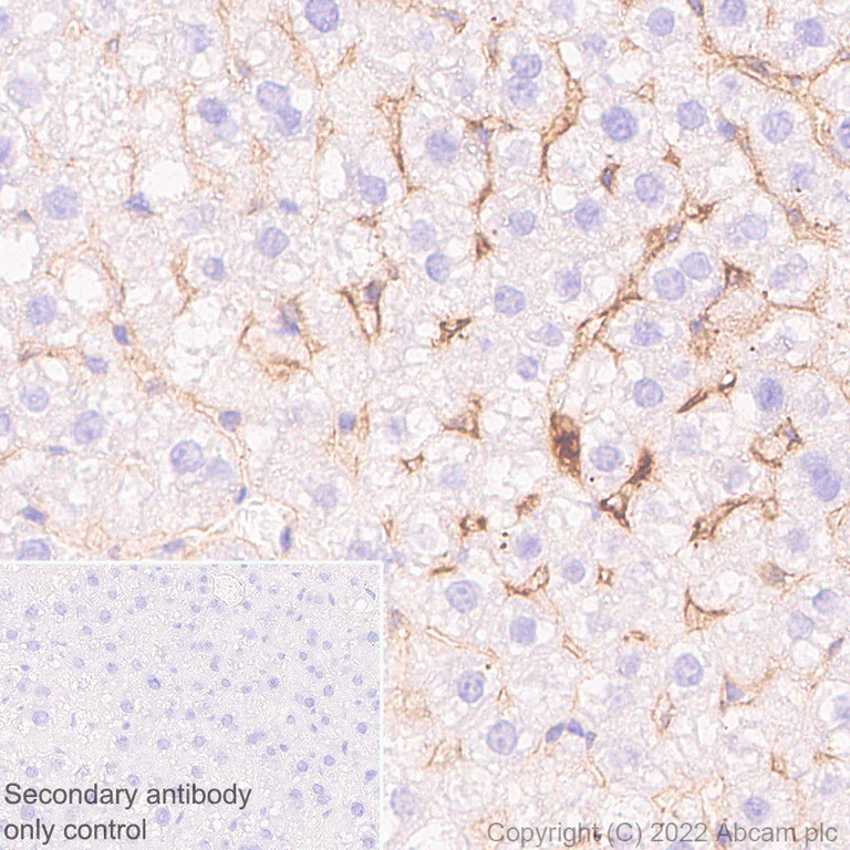
This data was developed using ab307089, the same antibody clone in a different buffer formulation. Immunohistochemical analysis of paraffin-embedded mouse liver tissue labeling Apolipoprotein A I with ab307089 at 1/100 (4.63 ug/ml) followed by ready to use LeicaDS9800 (Bond® Polymer Refine Detection). Positive staining on plasma of mouse liver. The section was incubated with ab307089 for 30 mins at room temperature. The immunostaining was performed on a Leica Biosystems BOND® RX instrument. Counterstained with Hematoxylin. Secondary antibody only control : Secondary antibody is ready to use LeicaDS9800 (Bond® Polymer Refine Detection). Heat mediated antigen retrieval was performed with Tris-EDTA buffer (pH 9.0, Epitope Retrieval Solution2) for 20 mins.

Immunohistochemistry - Anti-Apolipoprotein A I antibody [EPR25446-111] - BSA and Azide free (AB307090)
  • IHC

Supplier Data

Immunohistochemistry - Anti-Apolipoprotein A I antibody [EPR25446-111] - BSA and Azide free (AB307090)

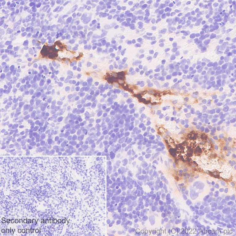
This data was developed using ab307089, the same antibody clone in a different buffer formulation. Immunohistochemical analysis of paraffin-embedded mouse spleen tissue labeling Apolipoprotein A I with ab307089 at 1/100 (4.63 ug/ml) followed by ready to use LeicaDS9800 (Bond® Polymer Refine Detection). Positive staining on plasma of mouse spleen. The section was incubated with ab307089 for 30 mins at room temperature. The immunostaining was performed on a Leica Biosystems BOND® RX instrument. Counterstained with Hematoxylin. Secondary antibody only control : Secondary antibody is ready to use LeicaDS9800 (Bond® Polymer Refine Detection). Heat mediated antigen retrieval was performed with Tris-EDTA buffer (pH 9.0, Epitope Retrieval Solution2) for 20 mins.

  • Unconjugated

    Anti-Apolipoprotein A I antibody [EPR25446-111]

Key facts

Host species

Rabbit

Clonality

Monoclonal

Clone number

EPR25446-111

Isotype

IgG

Carrier free

Yes

Reacts with

Mouse

Applications

IHC-P

applications

Immunogen

The exact immunogen used to generate this antibody is proprietary information.

Reactivity data

{ "title": "Reactivity Data", "filters": { "stats": ["", "Species", "Dilution Info", "Notes"], "tabs": { "all-applications": {"fullname" : "All Applications", "shortname": "All Applications"}, "IP" : {"fullname" : "Immunoprecipitation", "shortname":"IP"}, "IHCP" : {"fullname" : "Immunohistochemistry (Formalin/PFA-fixed paraffin-embedded sections)", "shortname":"IHC-P"}, "WB" : {"fullname" : "Western blot", "shortname":"WB"} }, "product-promise": { "all": "all", "testedAndGuaranteed": "tested", "guaranteed": "expected", "predicted": "predicted", "notRecommended": "not-recommended" } }, "values": { "Human": { "IP-species-checked": "notRecommended", "IP-species-dilution-info": "", "IP-species-notes": "", "IHCP-species-checked": "notRecommended", "IHCP-species-dilution-info": "", "IHCP-species-notes": "<p></p>", "WB-species-checked": "notRecommended", "WB-species-dilution-info": "", "WB-species-notes": "<p></p>" }, "Mouse": { "IP-species-checked": "notRecommended", "IP-species-dilution-info": "", "IP-species-notes": "<p></p>", "IHCP-species-checked": "testedAndGuaranteed", "IHCP-species-dilution-info": "", "IHCP-species-notes": "<p></p>", "WB-species-checked": "notRecommended", "WB-species-dilution-info": "", "WB-species-notes": "<p></p>" }, "Rat": { "IP-species-checked": "notRecommended", "IP-species-dilution-info": "", "IP-species-notes": "", "IHCP-species-checked": "notRecommended", "IHCP-species-dilution-info": "", "IHCP-species-notes": "<p></p>", "WB-species-checked": "notRecommended", "WB-species-dilution-info": "", "WB-species-notes": "<p></p>" }, "Transfected cell line": { "IP-species-checked": "notRecommended", "IP-species-dilution-info": "", "IP-species-notes": "", "IHCP-species-checked": "testedAndGuaranteed", "IHCP-species-dilution-info": "", "IHCP-species-notes": "<p></p>", "WB-species-checked": "notRecommended", "WB-species-dilution-info": "", "WB-species-notes": "" } } }

Product details

Patented technology
Our RabMAb® technology is a patented hybridoma-based technology for making rabbit monoclonal antibodies. For details on our patents, please refer to RabMAb® patents.

What are the advantages of a recombinant monoclonal antibody?
This product is a recombinant monoclonal antibody, which offers several advantages including:

  • - High batch-to-batch consistency and reproducibility
  • - Improved sensitivity and specificity
  • - Long-term security of supply
  • - Animal-free batch production

For more information, read more on recombinant antibodies.

Conjugation ready
Our carrier-free antibodies are typically supplied in a PBS-only formulation, purified and free of BSA, sodium azide and glycerol. This conjugation-ready format is designed for use with fluorochromes, metal isotopes, oligonucleotides, and enzymes, which makes them ideal for antibody labelling, functional and cell-based assays, flow-based assays (e.g. mass cytometry) and Multiplex Imaging applications.

Use our conjugation kits for antibody conjugates that are ready-to-use in as little as 20 minutes with 1 minute hands-on-time and 100% antibody recovery: available for fluorescent dyes, HRP, biotin and gold.

Compatibility
This product is compatible with the Maxpar® Antibody Labeling Kit from Fluidigm, without the need for antibody preparation. Maxpar® is a trademark of Fluidigm Canada Inc.

Properties and storage information

Form
Liquid
Purification technique
Affinity purification Protein A
Storage buffer
pH: 7.2 - 7.4 Constituents: PBS
Shipped at conditions
Blue Ice
Appropriate short-term storage conditions
+4°C
Appropriate long-term storage conditions
+4°C

Supplementary information

This supplementary information is collated from multiple sources and compiled automatically.

Apolipoprotein A-I (ApoA-I) is a major component of high-density lipoprotein (HDL) particles often referred to as 'good cholesterol'. It has a molecular mass of approximately 28 kDa. ApoA-I is mainly expressed in the liver and intestine. It plays a mechanical role in the reverse transport of cholesterol acting to facilitate the efflux of cholesterol from tissues to the liver for excretion. Its alternative names include ApoAI ApoA1 and a component of the AI kits used for measuring this protein.
Biological function summary

ApoA-I functions in cholesterol homeostasis and inflammation. It is a structural component of the HDL complex that mobilizes cholesterol. ApoA-I acts as an activator of the enzyme lecithin-cholesterol acyltransferase (LCAT) which is essential for the maturation of HDL particles. This maturation is necessary for effective cholesterol transport and clearance. ApoA-I's ability to stabilize HDL particles and enhance their functionality makes it significant for maintaining lipid balance and cellular homeostasis.

Pathways

The interaction of ApoA-I with HDL formation and function marks its role in lipid metabolism pathways. Its participation in the reverse cholesterol transport pathway highlights its influence on cardiovascular health. ApoA-I also interacts with other proteins like ApoA-II and paraoxonase-1 which further influence lipid metabolism and antioxidant activities. Understanding these relationships helps elucidate the dynamics of cholesterol removal from the bloodstream.

Disturbances in ApoA-I levels correlate with cardiovascular disease and atherosclerosis. Deficiency or dysfunction in ApoA-I can impair HDL function leading to poor cholesterol removal and buildup within arteries. It is also connected to amyloidosis where misfolded ApoA-I forms deposits in tissues. Understanding these pathological conditions helps researchers target ApoA-I in therapeutic strategies to mitigate disease progression often studying it alongside proteins like ApoB which is associated with low-density lipoprotein (LDL) particles.

Product protocols

For this product, it's our understanding that no specific protocols are required. You can visit:

Target data

Participates in the reverse transport of cholesterol from tissues to the liver for excretion by promoting cholesterol efflux from tissues and by acting as a cofactor for the lecithin cholesterol acyltransferase (LCAT). As part of the SPAP complex, activates spermatozoa motility.
See full target information Apoa1

Product promise

We are committed to supporting your work with high-quality reagents, and we're here for you every step of the way. In the unlikely event that one of our products does not perform as expected, you're protected by our Product Promise.
For full details, please see our Terms & Conditions

Please note: All products are 'FOR RESEARCH USE ONLY. NOT FOR USE IN DIAGNOSTIC OR THERAPEUTIC PROCEDURES'.

For licensing inquiries, please contact partnerships@abcam.com