JavaScript is disabled in your browser. Please enable JavaScript to view this website.
AB312318

Anti-Apolipoprotein B antibody [EPR27473-49]

Be the first to review this product! Submit a review

|

(1 Publication)

Rabbit Recombinant Monoclonal Apolipoprotein B antibody. Suitable for WB and reacts with Human, Mouse, Rat samples. Cited in 1 publication.

View Alternative Names

Apolipoprotein B-100, Apo B-100, Apob, Apolipoprotein B100

5 Images
Western blot - Anti-Apolipoprotein B antibody [EPR27473-49] (AB312318)
  • WB

Supplier Data

Western blot - Anti-Apolipoprotein B antibody [EPR27473-49] (AB312318)

Blocking and diluting buffer and concentration : 5% NFDM/TBST

The expression profile/ molecular weight observed is consistent with what has been described in the literature (PMID : 9837916, 10225972).

Negative control : Hela (PMID : 2501159).

The identity of the lower MW bands at approximately 300 kDa and 150 kDa is unknown.

This blot was developed using a high sensitivity ECL substrate. The high-sensitivity ECL substrate used allows for the detection of proteins in the mid-femtogram range.

In Western blot, anti- Vinculin antibody (ab129002) loading control staining at 1/10000 dilution.

All lanes:

Western blot - Anti-Apolipoprotein B antibody [EPR27473-49] (ab312318) at 1/1000 dilution

Lane 1:

HepG2 (human hepatocellar carcinoma epithelial cell) whole cell lysate at 20 µg

Lane 2:

Hela (human cervix adenocarcinoma epithelial cell) whole cell lysate at 20 µg

Secondary

All lanes:

Western blot - Goat Anti-Rabbit IgG H&L (HRP) (<a href='/en-us/products/secondary-antibodies/goat-rabbit-igg-h-l-hrp-ab97051'>ab97051</a>) at 1/100000 dilution

Observed band size: 509 kDa

true

Exposure time: 180s

Western blot - Anti-Apolipoprotein B antibody [EPR27473-49] (AB312318)
  • WB

Supplier Data

Western blot - Anti-Apolipoprotein B antibody [EPR27473-49] (AB312318)

Blocking and diluting buffer and concentration : 5% NFDM/TBST

The expression profile/ molecular weight observed is consistent with what has been described in the literature (PMID : 9837916, 10225972).

Low expression : lung.

The identity of the lower MW band at approximately 150 kDa is unknown.

This blot was developed using a high sensitivity ECL substrate. The high-sensitivity ECL substrate used allows for the detection of proteins in the mid-femtogram range.

In Western blot, anti- Vinculin antibody (ab129002) loading control staining at 1/10000 dilution.

All lanes:

Western blot - Anti-Apolipoprotein B antibody [EPR27473-49] (ab312318) at 1/1000 dilution

Lane 1:

Human serum lysate at 20 µg

Lane 2:

Human plasma lysate at 20 µg

Lane 3:

Human lu lysate at 20 µg

Lane 4:

Mouse serum lysate at 20 µg

Lane 5:

Mouse plasma lysate at 20 µg

Lane 6:

Mouse lu lysate at 20 µg

Secondary

All lanes:

Western blot - Goat Anti-Rabbit IgG H&L (HRP) (<a href='/en-us/products/secondary-antibodies/goat-rabbit-igg-h-l-hrp-ab97051'>ab97051</a>) at 1/20000 dilution

Observed band size: 250 kDa,509 kDa

true

Exposure time: 180s

Western blot - Anti-Apolipoprotein B antibody [EPR27473-49] (AB312318)
  • WB

Lab

Western blot - Anti-Apolipoprotein B antibody [EPR27473-49] (AB312318)

Blocking and diluting buffer and concentration : 5% NFDM/TBST.

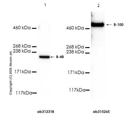
ab315265 is selective for Apolipoprotein B-100 over Apolipoprotein B-48. This data is displayed compared to ab312318 which detects both Apolipoprotein B-100 and Apolipoprotein B-48.

Exposure time : Lane 1 : 1 second, Lane 2 : 15 seconds.

Lane 1:

Western blot - Anti-Apolipoprotein B-100 antibody [EPR19946-175] (<a href='/en-us/products/primary-antibodies/apolipoprotein-b-100-antibody-epr19946-175-ab315265'>ab315265</a>) at 1/1000 dilution

Lane 2:

Western blot - Anti-Apolipoprotein B antibody [EPR27473-49] (ab312318) at 1/1000 dilution

All lanes:

Mouse serum lysate at 50 µg

Secondary

All lanes:

Western blot - VeriBlot for IP Detection Reagent (HRP) (<a href='/en-us/products/reagents/veriblot-for-ip-detection-reagent-hrp-ab131366'>ab131366</a>) at 1/1000 dilution

Predicted band size: 515 kDa

Observed band size: 509 kDa

false

Western blot - Anti-Apolipoprotein B antibody [EPR27473-49] (AB312318)
  • WB

Lab

Western blot - Anti-Apolipoprotein B antibody [EPR27473-49] (AB312318)

Blocking and diluting buffer and concentration : 5% NFDM/TBST.

This product is unable to detect B-100 in liver samples due to sensitivity limitations.

The doublet observed in rat shows consistency with findings reported in PMID : 7670964 and PMID : 9837916

Lanes 1 - 3:

Western blot - Anti-Apolipoprotein B antibody [EPR27473-49] (ab312318) at 1/1000 dilution

Lanes 1 - 3:

Western blot - Anti-Apolipoprotein B antibody [EPR27473-49] - BSA and Azide free (<a href='/en-us/products/primary-antibodies/apolipoprotein-b-antibody-epr27473-49-bsa-and-azide-free-ab312319'>ab312319</a>) at 1/1000 dilution

Lane 1:

Rat serum lysate at 20 µg

Lane 2:

Rat plasma lysate at 20 µg

Lane 3:

Rat liver tissue lysate at 20 µg

Secondary

All lanes:

Western blot - Goat Anti-Rabbit IgG H&L (HRP) (<a href='/en-us/products/secondary-antibodies/goat-rabbit-igg-h-l-hrp-ab97051'>ab97051</a>) at 1/20000 dilution

Observed band size: 509 kDa,250 kDa

false

Exposure time: 40s

Western blot - Anti-Apolipoprotein B antibody [EPR27473-49] (AB312318)
  • WB

Lab

Western blot - Anti-Apolipoprotein B antibody [EPR27473-49] (AB312318)

Blocking and diluting buffer and concentration : 5% NFDM/TBST.

This product is unable to detect B-100 in liver samples due to sensitivity limitations.

Antibody ab315265, which specifically targets ApoB-100, serves as an effective alternative for ApoB-100 detection.

Lane 1:

Western blot - Anti-Apolipoprotein B antibody [EPR27473-49] (ab312318) at 1/1000 dilution

Lane 2:

Western blot - Anti-Apolipoprotein B-100 antibody [EPR19946-175] (<a href='/en-us/products/primary-antibodies/apolipoprotein-b-100-antibody-epr19946-175-ab315265'>ab315265</a>) at 1/1000 dilution

All lanes:

Mouse liver tissue lysate at 20 µg

Secondary

All lanes:

Western blot - Goat Anti-Rabbit IgG H&L (HRP) (<a href='/en-us/products/secondary-antibodies/goat-rabbit-igg-h-l-hrp-ab97051'>ab97051</a>) at 1/20000 dilution

Observed band size: 250 kDa,509 kDa

false

Exposure time: 10s

Key facts

Host species

Rabbit

Clonality

Monoclonal

Clone number

EPR27473-49

Isotype

IgG

Carrier free

No

Reacts with

Human, Mouse, Rat

Applications

WB

applications

Immunogen

The exact immunogen used to generate this antibody is proprietary information.

Reactivity data

{ "title": "Reactivity Data", "filters": { "stats": ["", "Species", "Dilution Info", "Notes"], "tabs": { "all-applications": {"fullname" : "All Applications", "shortname": "All Applications"}, "WB" : {"fullname" : "Western blot", "shortname":"WB"}, "IHCP" : {"fullname" : "Immunohistochemistry (Formalin/PFA-fixed paraffin-embedded sections)", "shortname":"IHC-P"}, "ICCIF" : {"fullname" : "Immunocytochemistry/ Immunofluorescence", "shortname":"ICC/IF"}, "FlowCytIntra" : {"fullname" : "Flow Cytometry (Intracellular)", "shortname":"Flow Cyt (Intra)"}, "IP" : {"fullname" : "Immunoprecipitation", "shortname":"IP"} }, "product-promise": { "all": "all", "testedAndGuaranteed": "tested", "guaranteed": "expected", "predicted": "predicted", "notRecommended": "not-recommended" } }, "values": { "Human": { "WB-species-checked": "testedAndGuaranteed", "WB-species-dilution-info": "1/1000", "WB-species-notes": "<p>0.513 ug/ml</p>", "IHCP-species-checked": "notRecommended", "IHCP-species-dilution-info": "", "IHCP-species-notes": "<p></p>", "ICCIF-species-checked": "notRecommended", "ICCIF-species-dilution-info": "", "ICCIF-species-notes": "<p></p>", "FlowCytIntra-species-checked": "notRecommended", "FlowCytIntra-species-dilution-info": "", "FlowCytIntra-species-notes": "<p></p>", "IP-species-checked": "notRecommended", "IP-species-dilution-info": "", "IP-species-notes": "" }, "Mouse": { "WB-species-checked": "testedAndGuaranteed", "WB-species-dilution-info": "1/1000", "WB-species-notes": "<p>0.513 ug/ml</p><p>This product is unable to detect ApoB-100 in liver samples due to sensitivity limitations. Antibody <a href='/en-us/products/primary-antibodies/apolipoprotein-b-100-antibody-epr19946-175-ab315265'>ab315265</a>, which specifically targets ApoB-100, serves as an effective alternative for ApoB-100 detection.</p>", "IHCP-species-checked": "notRecommended", "IHCP-species-dilution-info": "", "IHCP-species-notes": "<p></p>", "ICCIF-species-checked": "notRecommended", "ICCIF-species-dilution-info": "", "ICCIF-species-notes": "<p></p>", "FlowCytIntra-species-checked": "notRecommended", "FlowCytIntra-species-dilution-info": "", "FlowCytIntra-species-notes": "<p></p>", "IP-species-checked": "notRecommended", "IP-species-dilution-info": "", "IP-species-notes": "<p></p>" }, "Rat": { "WB-species-checked": "testedAndGuaranteed", "WB-species-dilution-info": "1/1000", "WB-species-notes": "<p>0.513 ug/ml</p>", "IHCP-species-checked": "notRecommended", "IHCP-species-dilution-info": "", "IHCP-species-notes": "<p></p>", "ICCIF-species-checked": "notRecommended", "ICCIF-species-dilution-info": "", "ICCIF-species-notes": "", "FlowCytIntra-species-checked": "notRecommended", "FlowCytIntra-species-dilution-info": "", "FlowCytIntra-species-notes": "", "IP-species-checked": "notRecommended", "IP-species-dilution-info": "", "IP-species-notes": "" } } }

Product details

Patented technology
Our RabMAb® technology is a patented hybridoma-based technology for making rabbit monoclonal antibodies. For details on our patents, please refer to RabMAb® patents.

What are the advantages of a recombinant monoclonal antibody?
This product is a recombinant monoclonal antibody, which offers several advantages including:

  • - High batch-to-batch consistency and reproducibility
  • - Improved sensitivity and specificity
  • - Long-term security of supply
  • - Animal-free batch production

For more information, read more on recombinant antibodies.

Properties and storage information

Form
Liquid
Purification technique
Affinity purification Protein A
Storage buffer
pH: 7.2 - 7.4 Preservative: 0.01% Sodium azide Constituents: PBS, 40% Glycerol (glycerin, glycerine), 0.05% BSA
Shipped at conditions
Blue Ice
Appropriate short-term storage duration
1-2 weeks
Appropriate short-term storage conditions
+4°C
Appropriate long-term storage conditions
-20°C
Aliquoting information
Upon delivery aliquot
Storage information
Avoid freeze / thaw cycle

Supplementary information

This supplementary information is collated from multiple sources and compiled automatically.

Apolipoprotein B often referred to as ApoB is a core protein component of low-density lipoproteins (LDL) and is essential for their assembly and secretion. ApoB is also known as apolipoproteine B and apolipoprotein B protein. This protein has a large molecular weight approximately 550 kDa. ApoB is primarily expressed in the liver and to some extent in the intestine. Its large size allows it to provide structural integrity to lipoprotein particles playing a role in lipid metabolism.
Biological function summary

ApoB plays a significant role in lipid transport and metabolism. It is a critical component of the lipoprotein particle complex which is responsible for the transport of lipids such as cholesterol and triglycerides through the bloodstream. ApoB helps in the binding of lipoproteins to cell receptors facilitating the uptake of lipids by tissues. Its presence on the surface of lipoproteins makes it important for normal cholesterol homeostasis in the human body.

Pathways

ApoB is integrated within the lipid metabolism pathway. It interacts with proteins such as microsomal triglyceride transfer protein (MTP) during the assembly and secretion of lipoproteins. This pathway is essential for the normal transport of lipids throughout the body and influences processes like absorption of dietary fats. ApoB also plays a role in the pathways related to atherosclerosis where it influences the deposition of cholesterol in arterial walls.

ApoB is well-associated with cardiovascular diseases notably atherosclerosis and familial hypercholesterolemia. In these conditions elevated levels of ApoB correlate to an increased risk of plaque formation in blood vessels. ApoB in conjunction with LDL receptor and other related proteins influences lipid homeostasis and disorders where lipid oxidation or accumulation is present. Monitoring ApoB and its concentration can be vital for assessing cardiovascular disease risk.

Product protocols

For this product, it's our understanding that no specific protocols are required. You can visit:

Target data

Apolipoprotein B is a major protein constituent of chylomicrons (apo B-48), LDL (apo B-100) and VLDL (apo B-100). Apo B-100 functions as a recognition signal for the cellular binding and internalization of LDL particles by the apoB/E receptor.
See full target information Apob

Publications (1)

Recent publications for all applications. Explore the full list and refine your search

Scientific reports 14:29813 PubMed39616226

2024

Plasma exosomes from patients with coronary artery disease promote atherosclerosis via impairing vascular endothelial junctions.

Applications

Unspecified application

Species

Unspecified reactive species

Jian Han,Xiaoyan Kang,Yazhen Su,Jing Wang,Xiaogang Cui,Yunfei Bian,Changxin Wu
View all publications

Product promise

We are committed to supporting your work with high-quality reagents, and we're here for you every step of the way. In the unlikely event that one of our products does not perform as expected, you're protected by our Product Promise.
For full details, please see our Terms & Conditions

Please note: All products are 'FOR RESEARCH USE ONLY. NOT FOR USE IN DIAGNOSTIC OR THERAPEUTIC PROCEDURES'.

For licensing inquiries, please contact partnerships@abcam.com