JavaScript is disabled in your browser. Please enable JavaScript to view this website.
AB108205

Anti-Apolipoprotein CIII antibody [EPR1371(2)]

Be the first to review this product! Submit a review

|

(4 Publications)

Rabbit Recombinant Monoclonal Apolipoprotein CIII antibody. Suitable for IHC-P, WB and reacts with Human samples. Cited in 4 publications.

View Alternative Names

Apolipoprotein C-III, Apo-CIII, ApoC-III, Apolipoprotein C3, APOC3

2 Images
Western blot - Anti-Apolipoprotein CIII antibody [EPR1371(2)] (AB108205)
  • WB

Unknown

Western blot - Anti-Apolipoprotein CIII antibody [EPR1371(2)] (AB108205)

All lanes:

Western blot - Anti-Apolipoprotein CIII antibody [EPR1371(2)] (ab108205) at 1/1000 dilution

Lane 1:

Human plasma at 10 µg

Lane 2:

HDL recombinant protein at 10 µg

Predicted band size: 11 kDa

false

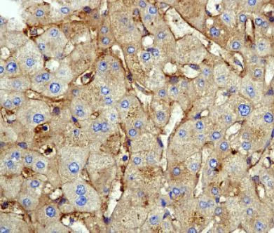
Immunohistochemistry (Formalin/PFA-fixed paraffin-embedded sections) - Anti-Apolipoprotein CIII antibody [EPR1371(2)] (AB108205)
  • IHC-P

Unknown

Immunohistochemistry (Formalin/PFA-fixed paraffin-embedded sections) - Anti-Apolipoprotein CIII antibody [EPR1371(2)] (AB108205)

ab108205 at 1/250 dilution staining Apolipoprotein CIII in paraffin-embedded Human liver tissue by immunohistochemistry.

Perform heat mediated antigen retrieval before commencing with IHC staining protocol.

  • Carrier free

    Anti-Apolipoprotein CIII antibody [EPR1371(2)] - BSA and Azide free

Key facts

Host species

Rabbit

Clonality

Monoclonal

Clone number

EPR1371(2)

Isotype

IgG

Carrier free

No

Reacts with

Human

Applications

WB, IHC-P

applications

Immunogen

The exact immunogen used to generate this antibody is proprietary information.

Reactivity data

{ "title": "Reactivity Data", "filters": { "stats": ["", "Species", "Dilution Info", "Notes"], "tabs": { "all-applications": {"fullname" : "All Applications", "shortname": "All Applications"}, "IHCP" : {"fullname" : "Immunohistochemistry (Formalin/PFA-fixed paraffin-embedded sections)", "shortname":"IHC-P"}, "ICCIF" : {"fullname" : "Immunocytochemistry/ Immunofluorescence", "shortname":"ICC/IF"}, "IP" : {"fullname" : "Immunoprecipitation", "shortname":"IP"}, "FlowCyt" : {"fullname" : "Flow Cytometry", "shortname":"Flow Cyt"}, "WB" : {"fullname" : "Western blot", "shortname":"WB"} }, "product-promise": { "all": "all", "testedAndGuaranteed": "tested", "guaranteed": "expected", "predicted": "predicted", "notRecommended": "not-recommended" } }, "values": { "Human": { "IHCP-species-checked": "testedAndGuaranteed", "IHCP-species-dilution-info": "1/250 - 1/500", "IHCP-species-notes": "<p>Heat up to 98 degrees C, below boiling, and then let cool for 10-20 min.</p>", "ICCIF-species-checked": "notRecommended", "ICCIF-species-dilution-info": "", "ICCIF-species-notes": "<p></p>", "IP-species-checked": "notRecommended", "IP-species-dilution-info": "", "IP-species-notes": "<p></p>", "FlowCyt-species-checked": "notRecommended", "FlowCyt-species-dilution-info": "", "FlowCyt-species-notes": "<p></p>", "WB-species-checked": "testedAndGuaranteed", "WB-species-dilution-info": "1/1000 - 1/10000", "WB-species-notes": "<p></p>" } } }

Product details

Species reactivity
Mouse, Rat: We have preliminary internal testing data to indicate this antibody may not react with these species.
Please contact us for more information.

Patented technology
Our RabMAb® technology is a patented hybridoma-based technology for making rabbit monoclonal antibodies. For details on our patents, please refer to RabMAb® patents.

What are the advantages of a recombinant monoclonal antibody?
This product is a recombinant monoclonal antibody, which offers several advantages including:

  • - High batch-to-batch consistency and reproducibility
  • - Improved sensitivity and specificity
  • - Long-term security of supply
  • - Animal-free batch production

For more information, read more on recombinant antibodies.

Properties and storage information

Form
Liquid
Purity
Tissue culture supernatant
Purification technique
Affinity purification Protein A
Storage buffer
pH: 7.2 - 7.4 Preservative: 0.01% Sodium azide Constituents: 50% Tissue culture supernatant, 40% Glycerol (glycerin, glycerine), 9% PBS, 0.05% BSA
Shipped at conditions
Blue Ice
Appropriate short-term storage conditions
+4°C
Appropriate long-term storage conditions
-20°C
Storage information
Stable for 12 months at -20°C

Supplementary information

This supplementary information is collated from multiple sources and compiled automatically.

Apolipoprotein CIII also known as Apo C-III or ApoC3 is an apolipoprotein with a molecular mass of approximately 8.8 kDa. It is synthesized in the liver and intestine and circulates in the bloodstream primarily as part of very low-density lipoproteins (VLDL) and high-density lipoproteins (HDL). Its main role involves the regulation of lipid metabolism particularly in relation to triglyceride-rich particles. Apo C-III serves as an inhibitor of lipoprotein lipase an enzyme essential for the hydrolysis of triglycerides into free fatty acids.
Biological function summary

Apolipoprotein CIII plays a pivotal role in lipid and lipoprotein metabolism. It is not part of a large protein complex but interacts with lipoproteins as a modulatory protein. Apo C-III affects triglyceride metabolism by delaying the clearance of VLDL and enhancing hepatic triglyceride secretion. Additionally it modulates the uptake of lipoprotein remnants by liver receptors thereby influencing the plasma levels of triglycerides and cholesterol.

Pathways

Apolipoprotein CIII is involved in the regulation of lipid metabolic pathways. It plays a role in the lipoprotein assembly pathway and the triglyceride biosynthetic process. This protein impacts the interaction between lipoprotein lipase and its substrates hindering enzyme activity which leads to elevated plasma triglyceride levels. It relates closely to other apolipoproteins such as apolipoprotein E which also participates in lipid transport and metabolism although with distinct functions and regulatory mechanisms.

Apolipoprotein CIII is implicated in conditions like hypertriglyceridemia and cardiovascular disease. Elevated levels of Apo C-III contribute to high triglyceride levels promoting atherosclerosis development due to the retention of triglyceride-rich lipoproteins in the bloodstream. This association links it to cardiovascular disease risk where its role contrasts with proteins like apolipoprotein AI which is mainly involved in protective effects via HDL metabolism. Understanding the modulation of Apo C-III levels offers potential therapeutic avenues for managing these lipid-related disorders.

Product protocols

For this product, it's our understanding that no specific protocols are required. You can visit:

Target data

Component of triglyceride-rich very low density lipoproteins (VLDL) and high density lipoproteins (HDL) in plasma (PubMed : 18201179, PubMed : 22510806). Plays a multifaceted role in triglyceride homeostasis (PubMed : 18201179, PubMed : 22510806). Intracellularly, promotes hepatic very low density lipoprotein 1 (VLDL1) assembly and secretion; extracellularly, attenuates hydrolysis and clearance of triglyceride-rich lipoproteins (TRLs) (PubMed : 18201179, PubMed : 22510806). Impairs the lipolysis of TRLs by inhibiting lipoprotein lipase and the hepatic uptake of TRLs by remnant receptors (PubMed : 18201179, PubMed : 22510806). Formed of several curved helices connected via semiflexible hinges, so that it can wrap tightly around the curved micelle surface and easily adapt to the different diameters of its natural binding partners (PubMed : 18408013).
See full target information Apolipoprotein C-III

Publications (4)

Recent publications for all applications. Explore the full list and refine your search

Scientific reports 15:32986 PubMed41006587

2025

Overexpression of alcohol dehydrogenase 1 A inhibits the progress of triple negative breast cancer via Wnt/β-catenin signaling.

Applications

Unspecified application

Species

Unspecified reactive species

Lihong Su,Chunlin Qiao,Jin Luo,Bianling Zhu,Yunxiao Liu

Life science alliance 8: PubMed39578076

2024

SPHK1/S1PR1/PPAR-α axis restores TJs between uroepithelium providing new ideas for IC/BPS treatment.

Applications

Unspecified application

Species

Unspecified reactive species

Junjie Zhang,Qingyu Ge,Tianpeng Du,Yuhao Kuang,Zongyao Fan,Xinyi Jia,Wenjin Gu,Zhengsen Chen,Zhongqing Wei,Baixin Shen

Heliyon 9:e22084 PubMed38058614

2023

KIAA1429 facilitates progression of hepatocellular carcinoma by modulating m6A levels in HPN.

Applications

Unspecified application

Species

Unspecified reactive species

Yu Meng,Wenwen Yang,Jinchao Li,Wei Chai

Proteomics. Clinical applications 14:e1900062 PubMed31532894

2019

Serum Small Extracellular Vesicles Proteome of Tuberculosis Patients Demonstrated Deregulated Immune Response.

Applications

Unspecified application

Species

Unspecified reactive species

Rakesh Arya,Deepti Dabral,Hossain Md Faruquee,Himangshu Mazumdar,Saurav Jyoti Patgiri,Trinayan Deka,Rumi Basumatary,Rukuwe-U Kupa,Chayale Semy,Wetetsho Kapfo,Kevideme Liegise,Inderjeet Kaur,Tenzin Choedon,Purnima Kumar,Rajendra Kumar Behera,Pranjal Deori,Reema Nath,Kerekha Khalo,Lahari Saikia,Vinotsole Khamo,Ranjan Kumar Nanda
View all publications

Product promise

We are committed to supporting your work with high-quality reagents, and we're here for you every step of the way. In the unlikely event that one of our products does not perform as expected, you're protected by our Product Promise.
For full details, please see our Terms & Conditions

Please note: All products are 'FOR RESEARCH USE ONLY. NOT FOR USE IN DIAGNOSTIC OR THERAPEUTIC PROCEDURES'.

For licensing inquiries, please contact partnerships@abcam.com