JavaScript is disabled in your browser. Please enable JavaScript to view this website.
AB227993

Anti-Apolipoprotein E antibody [EPR19392] - Low endotoxin, Azide free

Be the first to review this product! Submit a review

|

(3 Publications)

Rabbit Recombinant Monoclonal Apolipoprotein E antibody. Carrier free. Suitable for IP, WB, ICC/IF, Flow Cyt (Intra), IHC-P and reacts with Mouse, Human, Rat samples. Cited in 3 publications.

View Alternative Names

Apolipoprotein E, Apo-E, APOE

11 Images
Flow Cytometry (Intracellular) - Anti-Apolipoprotein E antibody [EPR19392] - Low endotoxin, Azide free (AB227993)
  • Flow Cyt (Intra)

Supplier Data

Flow Cytometry (Intracellular) - Anti-Apolipoprotein E antibody [EPR19392] - Low endotoxin, Azide free (AB227993)

Intracellular flow cytometric analysis of 4% paraformaldehyde-fixed HepG2 (Human liver hepatocellular carcinoma cell line) cells labeling Apolipoprotein E with ab183597 at 1/70 dilution (red) compared with a Rabbit IgG, monoclonal - Isotype control (ab172730) (black) and an unlabelled control (cells without incubation with primary antibody and secondary antibody) (blue). Goat anti Rabbit IgG (Alexa Fluor® 488) at 1/500 dilution was used as the secondary antibody.

This data was developed using the same antibody clone in a different buffer formulation containing PBS, BSA, glycerol, and sodium azide (ab183597).

Immunocytochemistry/ Immunofluorescence - Anti-Apolipoprotein E antibody [EPR19392] - Low endotoxin, Azide free (AB227993)
  • ICC/IF

Supplier Data

Immunocytochemistry/ Immunofluorescence - Anti-Apolipoprotein E antibody [EPR19392] - Low endotoxin, Azide free (AB227993)

Immunofluorescent analysis of 100% methanol-fixed HepG2 (Human liver hepatocellular carcinoma cell line) cells labeling Apolipoprotein E with ab183597 at 1/500 dilution followed by Goat anti-rabbit IgG (Alexa Fluor® 488) (ab150077) secondary antibody at 1/1000 dilution (green). Confocal image showing cytoplasmic staining on HepG2 cell line. The nuclear counter stain is DAPI (blue). Tubulin is detected with Anti-alpha Tubulin antibody - Loading Control (ab7291) at 1/1000 dilution and Goat Anti-Mouse IgG (AlexaFluor®594) preadsorbed (ab150120) at 1/1000 dilution (red).

The negative controls are as follows :
-ve control 1 : ab183597 at 1/500 dilution followed by ab150120 at 1/1000 dilution.
-ve control 2 : ab7291 at 1/1000 dilution followed by ab150077 at 1/1000 dilution.

This data was developed using the same antibody clone in a different buffer formulation containing PBS BSA glycerol and sodium azide (ab183597).

Immunohistochemistry (Formalin/PFA-fixed paraffin-embedded sections) - Anti-Apolipoprotein E antibody [EPR19392] - Low endotoxin, Azide free (AB227993)
  • IHC-P

Supplier Data

Immunohistochemistry (Formalin/PFA-fixed paraffin-embedded sections) - Anti-Apolipoprotein E antibody [EPR19392] - Low endotoxin, Azide free (AB227993)

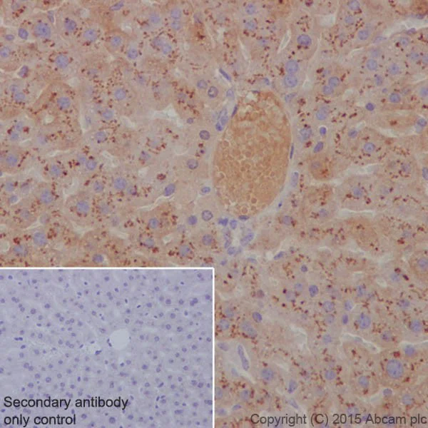
Immunohistochemical analysis of paraffin-embedded Human liver tissue labeling Apolipoprotein E with ab183597 at 1/2000 dilution followed by Goat Anti-Rabbit IgG H&L (HRP) (ab97051) at 1/500 dilution. Cytoplasm staining on hepatocytes of Human liver is observed. Counter stained with Hematoxylin.

Secondary antibody only control : Used PBS instead of primary antibody secondary antibody is Goat Anti-Rabbit IgG H&L (HRP) (ab97051) at 1/500 dilution.

This data was developed using the same antibody clone in a different buffer formulation containing PBS BSA glycerol and sodium azide (ab183597).

Perform heat mediated antigen retrieval with Tris/EDTA buffer pH 9.0 before commencing with IHC staining protocol.

Immunohistochemistry (Formalin/PFA-fixed paraffin-embedded sections) - Anti-Apolipoprotein E antibody [EPR19392] - Low endotoxin, Azide free (AB227993)
  • IHC-P

Supplier Data

Immunohistochemistry (Formalin/PFA-fixed paraffin-embedded sections) - Anti-Apolipoprotein E antibody [EPR19392] - Low endotoxin, Azide free (AB227993)

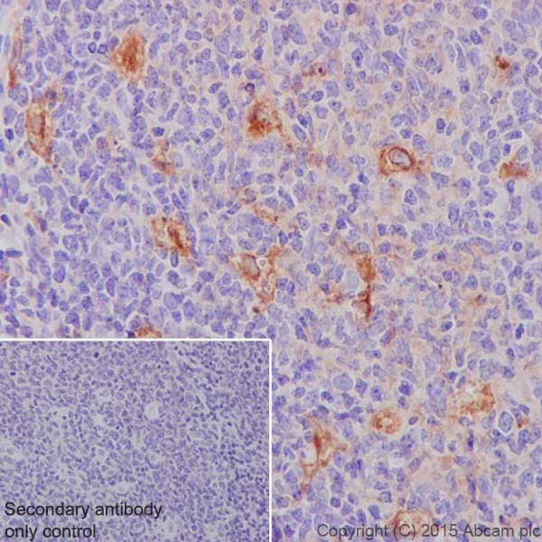
Immunohistochemical analysis of paraffin-embedded Human tonsil tissue labeling Apolipoprotein E with ab183597 at 1/2000 dilution followed by Goat Anti-Rabbit IgG H&L (HRP) (ab97051) at 1/500 dilution. Cytoplasm staining on macrophages of Human tonsil is observed. Counter stained with Hematoxylin.

Secondary antibody only control : Used PBS instead of primary antibody secondary antibody is Goat Anti-Rabbit IgG H&L (HRP) (ab97051) at 1/500 dilution.

This data was developed using the same antibody clone in a different buffer formulation containing PBS BSA glycerol and sodium azide (ab183597).

Perform heat mediated antigen retrieval with Tris/EDTA buffer pH 9.0 before commencing with IHC staining protocol.

Immunohistochemistry (Formalin/PFA-fixed paraffin-embedded sections) - Anti-Apolipoprotein E antibody [EPR19392] - Low endotoxin, Azide free (AB227993)
  • IHC-P

Lab

Immunohistochemistry (Formalin/PFA-fixed paraffin-embedded sections) - Anti-Apolipoprotein E antibody [EPR19392] - Low endotoxin, Azide free (AB227993)

This data was developed using the same antibody clone in a different buffer formulation containing PBS, BSA, glycerol, and sodium azide (ab183597).

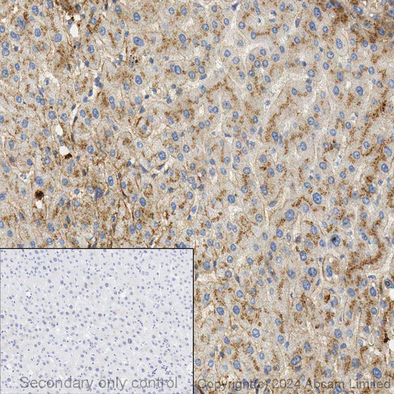
Immunohistochemical analysis of formalin fixed paraffin embedded human liver labelling Apolipoprotein E with ab183597 at a concentration of 0.1 µg/ml. The immunostaining was performed on a Ventana DISCOVERY ULTRA (Roche Tissue Diagnostics) instrument with a OptiView DAB IHC Detection Kit. Heat mediated antigen retrieval was performed with DISCOVERY cell conditioning solution (CC1) 100°C, pH 8.5 for 32mins.

ab183597 anti- Apolipoprotein E [EPR19392] was incubated for 16mins at 37°C. Sections were counterstained with Hematoxylin II. Image inset shows absence of staining in secondary antibody only control.

Customers are encouraged to optimise antigen retrieval conditions, antibody concentration, incubation times and temperature for best results in their own IHC assay workflow (automated and manual).

Immunohistochemistry (Formalin/PFA-fixed paraffin-embedded sections) - Anti-Apolipoprotein E antibody [EPR19392] - Low endotoxin, Azide free (AB227993)
  • IHC-P

Supplier Data

Immunohistochemistry (Formalin/PFA-fixed paraffin-embedded sections) - Anti-Apolipoprotein E antibody [EPR19392] - Low endotoxin, Azide free (AB227993)

Immunohistochemical analysis of paraffin-embedded Rat cerebral cortex tissue labeling Apolipoprotein E with ab183597 at 1/4000 dilution followed by Goat Anti-Rabbit IgG H&L (HRP) (ab97051) at 1/500 dilution. Cytoplasm staining on astrocytes of rat cerebral cortex is observed. Counter stained with Hematoxylin.

Secondary antibody only control : Used PBS instead of primary antibody secondary antibody is Goat Anti-Rabbit IgG H&L (HRP) (ab97051) at 1/500 dilution.

This data was developed using the same antibody clone in a different buffer formulation containing PBS BSA glycerol and sodium azide (ab183597).

Perform heat mediated antigen retrieval with Tris/EDTA buffer pH 9.0 before commencing with IHC staining protocol.

Immunohistochemistry (Formalin/PFA-fixed paraffin-embedded sections) - Anti-Apolipoprotein E antibody [EPR19392] - Low endotoxin, Azide free (AB227993)
  • IHC-P

Supplier Data

Immunohistochemistry (Formalin/PFA-fixed paraffin-embedded sections) - Anti-Apolipoprotein E antibody [EPR19392] - Low endotoxin, Azide free (AB227993)

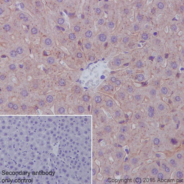
Immunohistochemical analysis of paraffin-embedded Rat liver tissue labeling Apolipoprotein E with ab183597 at 1/4000 dilution followed by Goat Anti-Rabbit IgG H&L (HRP) (ab97051) at 1/500 dilution. Cytoplasm staining on hepatocytes of rat liver is observed. Counter stained with Hematoxylin.

Secondary antibody only control : Used PBS instead of primary antibody secondary antibody is Goat Anti-Rabbit IgG H&L (HRP) (ab97051) at 1/500 dilution.

This data was developed using the same antibody clone in a different buffer formulation containing PBS BSA glycerol and sodium azide (ab183597).

Perform heat mediated antigen retrieval with Tris/EDTA buffer pH 9.0 before commencing with IHC staining protocol.

Immunohistochemistry (Formalin/PFA-fixed paraffin-embedded sections) - Anti-Apolipoprotein E antibody [EPR19392] - Low endotoxin, Azide free (AB227993)
  • IHC-P

Supplier Data

Immunohistochemistry (Formalin/PFA-fixed paraffin-embedded sections) - Anti-Apolipoprotein E antibody [EPR19392] - Low endotoxin, Azide free (AB227993)

Immunohistochemical analysis of paraffin-embedded Mouse thalamus tissue labeling Apolipoprotein E with ab183597 at 1/4000 dilution followed by Goat Anti-Rabbit IgG H&L (HRP) (ab97051) at 1/500 dilution. Cytoplasm staining on astrocytes of mouse thalamus is observed. Counter stained with Hematoxylin.

Secondary antibody only control : Used PBS instead of primary antibody secondary antibody is Goat Anti-Rabbit IgG H&L (HRP) (ab97051) at 1/500 dilution.

This data was developed using the same antibody clone in a different buffer formulation containing PBS BSA glycerol and sodium azide (ab183597).

Perform heat mediated antigen retrieval with Tris/EDTA buffer pH 9.0 before commencing with IHC staining protocol.

Immunohistochemistry (Formalin/PFA-fixed paraffin-embedded sections) - Anti-Apolipoprotein E antibody [EPR19392] - Low endotoxin, Azide free (AB227993)
  • IHC-P

Supplier Data

Immunohistochemistry (Formalin/PFA-fixed paraffin-embedded sections) - Anti-Apolipoprotein E antibody [EPR19392] - Low endotoxin, Azide free (AB227993)

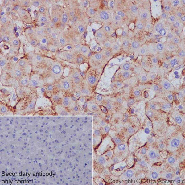
This IHC data was generated using the same anti-Apolipoprotein E antibody clone EPR19392 in a different buffer formulation (cat# ab183597).

Immunohistochemical analysis of paraffin-embedded Mouse liver tissue labeling Apolipoprotein E with ab183597 at 1/4000 dilution followed by Goat Anti-Rabbit IgG H&L (HRP) (ab97051) at 1/500 dilution. Cytoplasm staining on hepatocytes of mouse liver and plasma was also stained. Counter stained with Hematoxylin.

Secondary antibody only control : Used PBS instead of primary antibody secondary antibody is Goat Anti-Rabbit IgG H&L (HRP) (ab97051) at 1/500 dilution.

Perform heat mediated antigen retrieval with Tris/EDTA buffer pH 9.0 before commencing with IHC staining protocol.

Immunoprecipitation - Anti-Apolipoprotein E antibody [EPR19392] - Low endotoxin, Azide free (AB227993)
  • IP

Supplier Data

Immunoprecipitation - Anti-Apolipoprotein E antibody [EPR19392] - Low endotoxin, Azide free (AB227993)

Apolipoprotein E was immunoprecipitated from 1mg of Mouse plasma with ab183597 at 1/40 dilution. Western blot was performed from the immunoprecipitate using ab183597 at 1/2000 dilution. VeriBlot for IP Detection Reagent (HRP) (ab131366), was used for detection at 1/10000 dilution.

Lane 1 : Mouse plasma, 10μg (Input).

Lane 2 : ab183597 IP in Mouse plasma.

Lane 3 : Rabbit IgG,monoclonal[EPR25A] - Isotype Control (ab172730) instead of ab183597 in Mouse plasma.

Blocking and dilution buffer and concentration : 5% NFDM/TBST.

Exposure time : 10 seconds.

This data was developed using the same antibody clone in a different buffer formulation containing PBS, BSA, glycerol, and sodium azide (ab183597).

All lanes:

Immunoprecipitation - Anti-Apolipoprotein E antibody [EPR19392] (<a href='/en-us/products/primary-antibodies/apolipoprotein-e-antibody-epr19392-ab183597'>ab183597</a>)

Predicted band size: 36 kDa

false

Western blot - Anti-Apolipoprotein E antibody [EPR19392] - Low endotoxin, Azide free (AB227993)
  • WB

Lab

Western blot - Anti-Apolipoprotein E antibody [EPR19392] - Low endotoxin, Azide free (AB227993)

False colour image of Western blot : Anti-Apolipoprotein E antibody [EPR19392] staining at 1/2000 dilution, shown in green; Mouse anti-Alpha Tubulin [DM1A] (ab7291) loading control staining at 1/20000 dilution, shown in red. In Western blot, ab183597 was shown to bind specifically to Apolipoprotein E. A band was observed at 34 kDa in wild-type HepG2 cell lysates with no signal observed at this size in APOE knockout cell line. To generate this image, wild-type and APOE knockout HepG2 cell lysates were analysed. First, samples were run on an SDS-PAGE gel then transferred onto a nitrocellulose membrane. Membranes were blocked in 5 % milk in TBS-0.1 % Tween® 20 (TBS-T) before incubation with primary antibodies overnight at 4 °C. Blots were washed four times in TBS-T, incubated with secondary antibodies for 1 h at room temperature, washed again four times then imaged. Secondary antibodies used were Goat anti-Rabbit IgG H&L (IRDye® 800CW) preabsorbed (ab216773) and Goat anti-Mouse IgG H&L (IRDye® 680RD) preabsorbed (ab216776) at 1/20000 dilution.

This data was developed using the same antibody clone in a different buffer formulation containing PBS, BSA, glycerol, and sodium azide (ab183597).

All lanes:

Western blot - Anti-Apolipoprotein E antibody [EPR19392] (<a href='/en-us/products/primary-antibodies/apolipoprotein-e-antibody-epr19392-ab183597'>ab183597</a>) at 1/2000 dilution

Lane 1:

Wild-type HepG2 cell lysate at 20 µg

Lane 2:

APOE knockout HepG2 cell lysate at 20 µg

Lane 2:

Western blot - Human APOE knockout Hep G2 cell line (<a href='/en-us/products/cell-lines/human-apoe-knockout-hep-g2-cell-line-ab280875'>ab280875</a>)

Lane 3:

Human Liver cell lysate at 20 µg

Lane 4:

Human Kidney cell lysate at 20 µg

Predicted band size: 36 kDa

Observed band size: 34 kDa

false

  • Unconjugated

    Anti-Apolipoprotein E antibody [EPR19392]

  • Carrier free

    Anti-Apolipoprotein E antibody [EPR19392] - BSA and Azide free

  • 665 Alexa Fluor® 647

    Alexa Fluor® 647 Anti-Apolipoprotein E antibody [EPR19392]

  • 565 Alexa Fluor® 555

    Alexa Fluor® 555 Anti-Apolipoprotein E antibody [EPR19392]

  • 519 Alexa Fluor® 488

    Alexa Fluor® 488 Anti-Apolipoprotein E antibody [EPR19392]

  • 578 PE

    PE Anti-Apolipoprotein E antibody [EPR19392]

  • 660 APC

    APC Anti-Apolipoprotein E antibody [EPR19392]

  • HRP

    HRP Anti-Apolipoprotein E antibody [EPR19392]

  • Alkaline Phosphatase

    Alkaline Phosphatase Anti-Apolipoprotein E antibody [EPR19392]

  • 617 Alexa Fluor® 594

    Alexa Fluor® 594 Anti-Apolipoprotein E antibody [EPR19392]

  • 775 Alexa Fluor® 750

    Alexa Fluor® 750 Anti-Apolipoprotein E antibody [EPR19392]

Key facts

Host species

Rabbit

Clonality

Monoclonal

Clone number

EPR19392

Isotype

IgG

Carrier free

Yes

Reacts with

Mouse, Rat, Human

Applications

Flow Cyt (Intra), IHC-P, WB, IP, ICC/IF

applications

Immunogen

The exact immunogen used to generate this antibody is proprietary information.

Reactivity data

{ "title": "Reactivity Data", "filters": { "stats": ["", "Species", "Dilution Info", "Notes"], "tabs": { "all-applications": {"fullname" : "All Applications", "shortname": "All Applications"}, "IP" : {"fullname" : "Immunoprecipitation", "shortname":"IP"}, "WB" : {"fullname" : "Western blot", "shortname":"WB"}, "ICCIF" : {"fullname" : "Immunocytochemistry/ Immunofluorescence", "shortname":"ICC/IF"}, "FlowCytIntra" : {"fullname" : "Flow Cytometry (Intracellular)", "shortname":"Flow Cyt (Intra)"}, "IHCP" : {"fullname" : "Immunohistochemistry (Formalin/PFA-fixed paraffin-embedded sections)", "shortname":"IHC-P"} }, "product-promise": { "all": "all", "testedAndGuaranteed": "tested", "guaranteed": "expected", "predicted": "predicted", "notRecommended": "not-recommended" } }, "values": { "Human": { "IP-species-checked": "guaranteed", "IP-species-dilution-info": "", "IP-species-notes": "", "WB-species-checked": "testedAndGuaranteed", "WB-species-dilution-info": "", "WB-species-notes": "<p></p>", "ICCIF-species-checked": "testedAndGuaranteed", "ICCIF-species-dilution-info": "", "ICCIF-species-notes": "<p></p>", "FlowCytIntra-species-checked": "testedAndGuaranteed", "FlowCytIntra-species-dilution-info": "", "FlowCytIntra-species-notes": "<p><a href='/en-us/products/primary-antibodies/rabbit-igg-monoclonal-epr25a-isotype-control-low-endotoxin-azide-free-ab199376'>ab199376</a> - Rabbit monoclonal IgG (Low endotoxin, Azide free), is suitable for use as an isotype control with this antibody.</p>", "IHCP-species-checked": "testedAndGuaranteed", "IHCP-species-dilution-info": "", "IHCP-species-notes": "<p></p>" }, "Mouse": { "IP-species-checked": "testedAndGuaranteed", "IP-species-dilution-info": "", "IP-species-notes": "<p></p>", "WB-species-checked": "guaranteed", "WB-species-dilution-info": "", "WB-species-notes": "", "ICCIF-species-checked": "guaranteed", "ICCIF-species-dilution-info": "", "ICCIF-species-notes": "", "FlowCytIntra-species-checked": "guaranteed", "FlowCytIntra-species-dilution-info": "", "FlowCytIntra-species-notes": "", "IHCP-species-checked": "testedAndGuaranteed", "IHCP-species-dilution-info": "", "IHCP-species-notes": "<p></p>" }, "Rat": { "IP-species-checked": "guaranteed", "IP-species-dilution-info": "", "IP-species-notes": "", "WB-species-checked": "guaranteed", "WB-species-dilution-info": "", "WB-species-notes": "", "ICCIF-species-checked": "guaranteed", "ICCIF-species-dilution-info": "", "ICCIF-species-notes": "", "FlowCytIntra-species-checked": "guaranteed", "FlowCytIntra-species-dilution-info": "", "FlowCytIntra-species-notes": "", "IHCP-species-checked": "testedAndGuaranteed", "IHCP-species-dilution-info": "", "IHCP-species-notes": "<p></p>" } } }

Product details

ab227993 is the carrier-free version of ab183597.

Conjugation ready
Our carrier-free antibodies are typically supplied in a PBS-only formulation, purified and free of BSA, sodium azide and glycerol. This conjugation-ready format is designed for use with fluorochromes, metal isotopes, oligonucleotides, and enzymes, which makes them ideal for antibody labelling, functional and cell-based assays, flow-based assays (e.g. mass cytometry) and Multiplex Imaging applications.

Use our conjugation kits for antibody conjugates that are ready-to-use in as little as 20 minutes with 1 minute hands-on-time and 100% antibody recovery: available for fluorescent dyes, HRP, biotin and gold.

Compatibility
This product is compatible with the Maxpar® Antibody Labeling Kit from Fluidigm, without the need for antibody preparation. Maxpar® is a trademark of Fluidigm Canada Inc.

What does low endotoxin mean?
Our low endotoxin, azide-free formats have low endotoxin level (1 EU/mg, determined by the TAL assay) and are free from azide, to achieve consistent experimental results in functional assays.

Properties and storage information

Form
Liquid
Purification technique
Affinity purification Protein A
Storage buffer
pH: 7.2 - 7.4 Constituents: PBS
Shipped at conditions
Blue Ice
Appropriate short-term storage conditions
+4°C
Appropriate long-term storage conditions
+4°C
Storage information
Do Not Freeze

Supplementary information

This supplementary information is collated from multiple sources and compiled automatically.

Apolipoprotein E (ApoE) also known as apolipoprotein e or apoE is a major protein involved in lipid metabolism. It has an approximate molecular weight of 34 kDa. This protein is mainly produced in the liver and brain where it plays a critical role in transporting lipoproteins fat-soluble vitamins and cholesterol. ApoE exists in three common isoforms: ApoE2 ApoE3 and ApoE4 each having different impacts on lipid binding and metabolic processes. Scientists often use an ApoE ELISA kit to quantify this protein in various samples providing insights into its expression in health and disease.
Biological function summary

ApoE mediates the binding internalization and catabolism of these lipoprotein particles facilitating their interaction with specific cell-surface receptors such as the LDL receptor. This protein operates as part of a complex that includes various other apolipoproteins and lipid molecules. The study of mouse apoe using tools like a mouse apoe ELISA provides valuable data due to its similar physiological functions in lipid transport and metabolism.

Pathways

In the lipid metabolism pathway ApoE interacts with proteins such as the LDL receptor influencing the clearance of chylomicron remnants and VLDL from the bloodstream. In the cardiovascular disease pathway this protein impacts cholesterol levels and promotes plaques stabilization. ApoE's role in these pathways offers insights into its interaction with related proteins like apolipoprotein B and LDL receptor which are critical for maintaining lipid equilibrium.

In Alzheimer’s disease ApoE4 isoform has a higher risk factor compared to ApoE3 and ApoE2 contributing to amyloid plaque formation through interactions with amyloid precursor protein. In cardiovascular diseases ApoE abnormalities influence atherosclerosis development with ApoE-deficient models showing increased susceptibility. ApoE's links to these diseases also connect it to other key proteins such as presenilin-1 in Alzheimer's disease and apolipoprotein B in cardiovascular disorders highlighting its extensive biological impact.

Product protocols

For this product, it's our understanding that no specific protocols are required. You can visit:

Target data

APOE is an apolipoprotein, a protein associating with lipid particles, that mainly functions in lipoprotein-mediated lipid transport between organs via the plasma and interstitial fluids (PubMed : 14754908, PubMed : 1911868, PubMed : 6860692). APOE is a core component of plasma lipoproteins and is involved in their production, conversion and clearance (PubMed : 14754908, PubMed : 1911868, PubMed : 1917954, PubMed : 23620513, PubMed : 2762297, PubMed : 6860692, PubMed : 9395455). Apolipoproteins are amphipathic molecules that interact both with lipids of the lipoprotein particle core and the aqueous environment of the plasma (PubMed : 2762297, PubMed : 6860692, PubMed : 9395455). As such, APOE associates with chylomicrons, chylomicron remnants, very low density lipoproteins (VLDL) and intermediate density lipoproteins (IDL) but shows a preferential binding to high-density lipoproteins (HDL) (PubMed : 1911868, PubMed : 6860692). It also binds a wide range of cellular receptors including the LDL receptor/LDLR, the LDL receptor-related proteins LRP1, LRP2 and LRP8 and the very low-density lipoprotein receptor/VLDLR that mediate the cellular uptake of the APOE-containing lipoprotein particles (PubMed : 12950167, PubMed : 1530612, PubMed : 1917954, PubMed : 20030366, PubMed : 20303980, PubMed : 2063194, PubMed : 2762297, PubMed : 7635945, PubMed : 7768901, PubMed : 8756331, PubMed : 8939961). Finally, APOE has also a heparin-binding activity and binds heparan-sulfate proteoglycans on the surface of cells, a property that supports the capture and the receptor-mediated uptake of APOE-containing lipoproteins by cells (PubMed : 23676495, PubMed : 7635945, PubMed : 9395455, PubMed : 9488694). A main function of APOE is to mediate lipoprotein clearance through the uptake of chylomicrons, VLDLs, and HDLs by hepatocytes (PubMed : 1911868, PubMed : 1917954, PubMed : 23676495, PubMed : 29516132, PubMed : 9395455). APOE is also involved in the biosynthesis by the liver of VLDLs as well as their uptake by peripheral tissues ensuring the delivery of triglycerides and energy storage in muscle, heart and adipose tissues (PubMed : 2762297, PubMed : 29516132). By participating in the lipoprotein-mediated distribution of lipids among tissues, APOE plays a critical role in plasma and tissues lipid homeostasis (PubMed : 1917954, PubMed : 2762297, PubMed : 29516132). APOE is also involved in two steps of reverse cholesterol transport, the HDLs-mediated transport of cholesterol from peripheral tissues to the liver, and thereby plays an important role in cholesterol homeostasis (PubMed : 14754908, PubMed : 23620513, PubMed : 9395455). First, it is functionally associated with ABCA1 in the biogenesis of HDLs in tissues (PubMed : 14754908, PubMed : 23620513). Second, it is enriched in circulating HDLs and mediates their uptake by hepatocytes (PubMed : 9395455). APOE also plays an important role in lipid transport in the central nervous system, regulating neuron survival and sprouting (PubMed : 25173806, PubMed : 8939961). APOE is also involved in innate and adaptive immune responses, controlling for instance the survival of myeloid-derived suppressor cells (By similarity). Binds to the immune cell receptor LILRB4 (PubMed : 30333625). APOE may also play a role in transcription regulation through a receptor-dependent and cholesterol-independent mechanism, that activates MAP3K12 and a non-canonical MAPK signal transduction pathway that results in enhanced AP-1-mediated transcription of APP (PubMed : 28111074).. (Microbial infection) Through its interaction with HCV envelope glycoprotein E2, participates in the attachment of HCV to HSPGs and other receptors (LDLr, VLDLr, and SR-B1) on the cell surface and to the assembly, maturation and infectivity of HCV viral particles (PubMed : 25122793, PubMed : 29695434). This interaction is probably promoted via the up-regulation of cellular autophagy by the virus (PubMed : 29695434).
See full target information APOE

Publications (3)

Recent publications for all applications. Explore the full list and refine your search

Communications biology 8:514 PubMed40155473

2025

Defining gastric cancer ecology: the crucial roles of TREM2 macrophages and fibroblasts in tumor microenvironments.

Applications

Unspecified application

Species

Unspecified reactive species

Qianqian Cao,Dianshui Sun,Can Tu,Jihua Wang,Runjia Fu,Rumei Gong,Yueying Xiao,Qin Liu,Xiaomei Li

Nature communications 15:4695 PubMed38824138

2024

Co-aggregation with Apolipoprotein E modulates the function of Amyloid-β in Alzheimer's disease.

Applications

Unspecified application

Species

Unspecified reactive species

Zengjie Xia,Emily E Prescott,Agnieszka Urbanek,Hollie E Wareing,Marianne C King,Anna Olerinyova,Helen Dakin,Tom Leah,Katy A Barnes,Martyna M Matuszyk,Eleni Dimou,Eric Hidari,Yu P Zhang,Jeff Y L Lam,John S H Danial,Michael R Strickland,Hong Jiang,Peter Thornton,Damian C Crowther,Sohvi Ohtonen,Mireia Gómez-Budia,Simon M Bell,Laura Ferraiuolo,Heather Mortiboys,Adrian Higginbottom,Stephen B Wharton,David M Holtzman,Tarja Malm,Rohan T Ranasinghe,David Klenerman,Suman De

Scientific reports 6:36949 PubMed27833128

2016

Qishen granules inhibit myocardial inflammation injury through regulating arachidonic acid metabolism.

Applications

Unspecified application

Species

Unspecified reactive species

Chun Li,Jing Wang,Qiyan Wang,Yi Zhang,Na Zhang,Linghui Lu,Yan Wu,Qian Zhang,Wei Wang,Yong Wang,Pengfei Tu
View all publications

Product promise

We are committed to supporting your work with high-quality reagents, and we're here for you every step of the way. In the unlikely event that one of our products does not perform as expected, you're protected by our Product Promise.
For full details, please see our Terms & Conditions

Please note: All products are 'FOR RESEARCH USE ONLY. NOT FOR USE IN DIAGNOSTIC OR THERAPEUTIC PROCEDURES'.

For licensing inquiries, please contact partnerships@abcam.com