JavaScript is disabled in your browser. Please enable JavaScript to view this website.
AB279719

Anti-Apolipoprotein E4 antibody [EPR24181-64] - BSA and Azide free

Be the first to review this product! Submit a review

|

(0 Publication)

Rabbit Recombinant Monoclonal Apolipoprotein E antibody. Carrier free. Suitable for ICC/IF, IP, WB, IHC-Fr, Flow Cyt (Intra), IHC-P and reacts with Human samples.

View Alternative Names

Apolipoprotein E, Apo-E, APOE

13 Images
Western blot - Anti-Apolipoprotein E4 antibody [EPR24181-64] - BSA and Azide free (AB279719)
  • WB

Supplier Data

Western blot - Anti-Apolipoprotein E4 antibody [EPR24181-64] - BSA and Azide free (AB279719)

This data was developed using ab279714, the same antibody clone in a different buffer formulation.

Blocking and diluting buffer and concentration : 5% NFDM/TBST

Exposure time : 3 minutes

All lanes:

Western blot - Anti-Apolipoprotein E4 antibody [EPR24181-64] (<a href='/en-us/products/primary-antibodies/apolipoprotein-e4-antibody-epr24181-64-ab279714'>ab279714</a>) at 1/1000 dilution

All lanes:

Human plasma at 5 µL

Secondary

All lanes:

Goat Anti-Rabbit IgG (HRP) with minimal cross-reactivity with human IgG at 1/2000 dilution

Predicted band size: 36 kDa

Observed band size: 36 kDa

false

Immunohistochemistry (Frozen sections) - Anti-Apolipoprotein E4 antibody [EPR24181-64] - BSA and Azide free (AB279719)
  • IHC-Fr

Lab

Immunohistochemistry (Frozen sections) - Anti-Apolipoprotein E4 antibody [EPR24181-64] - BSA and Azide free (AB279719)

This data was developed using ab279714, the same antibody clone in a different buffer formulation.

IHC image of Apolipoprotein E4 staining in a section of frozen normal human kidney* performed on a Leica BOND™ system using the standard protocol. The section was fixed in 10% paraformaldehyde (10 min) prior to staining. The section was incubated with ab279714, 0.05 μg/ml, for 15 mins at room temperature and detected using an HRP conjugated compact polymer system. DAB was used as the chromogen. The section was then counterstained with haematoxylin and mounted with DPX. The inset secondary-only control image is taken from an identical assay without primary antibody.

Flow Cytometry (Intracellular) - Anti-Apolipoprotein E4 antibody [EPR24181-64] - BSA and Azide free (AB279719)
  • Flow Cyt (Intra)

Supplier Data

Flow Cytometry (Intracellular) - Anti-Apolipoprotein E4 antibody [EPR24181-64] - BSA and Azide free (AB279719)

This data was developed using ab279714, the same antibody clone in a different buffer formulation.

Intracellular flow cytometric analysis of 4% paraformaldehyde fixed90% methanolpermeabilized 293T (Human embryonic kidney epithelial cell) transfected with myc-tagged Apolipoprotein E2 construct (Left)/ 293T transfected with myc tagged Apolipoprotein E3 construct (Right) labeling Apolipoprotein E4 with ab279714 at 1/500 dilution. Goat anti rabbit IgG (Alexa Fluor® 488, ab150077)at 1/2000 dilution was used as the secondary antibody.

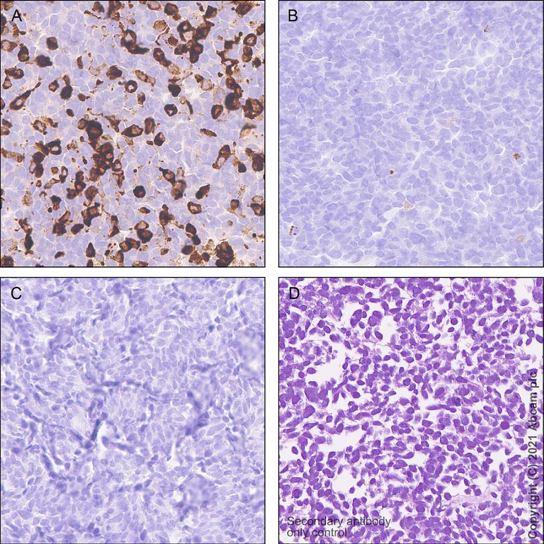
Immunohistochemistry (Formalin/PFA-fixed paraffin-embedded sections) - Anti-Apolipoprotein E4 antibody [EPR24181-64] - BSA and Azide free (AB279719)
  • IHC-P

Supplier Data

Immunohistochemistry (Formalin/PFA-fixed paraffin-embedded sections) - Anti-Apolipoprotein E4 antibody [EPR24181-64] - BSA and Azide free (AB279719)

This data was developed using ab279714, the same antibody clone in a different buffer formulation.

Immunohistochemical analysis of paraffin-embedded sections Panel A and D : HEK-293T (human epithelial cell line from embryonic kidney transformed with large T antigen) transfected with APOE4 expression vector containing a myc-His-tag®
Panel B : HEK-293T transfected with APOE2 expression vector containing a myc-His-tag®. Panel C : HEK-293T transfected with APOE3 expression vector containing a myc-His-tag® labeling Apolipoprotein E4 with ab279714 at 1/1000 dilution followed by a ready to use LeicaDS9800 (Bond™ Polymer Refine Detection). Positive staining on (A) HEK-293T transfected with an APOE4 expression vector is observed. Almost no staining on (B) HEK-293T transfected with an APOE2 expression vector and (C) HEK-293T transfected with APOE3 expression vector. (D) Secondary antibody only control for (A). The section was incubated with ab279714 for 30 mins at room temperature. The immunostaining was performed on a Leica Biosystems BOND® RX instrument. Counterstained with Hematoxylin.

Secondary antibody only control : Secondary antibody is a ready to use LeicaDS9800 (Bond™ Polymer Refine Detection) was used.

Heat mediated antigen retrieval with Tris-EDTA buffer (pH 9.0, epitope retrieval solution2) for 20 mins

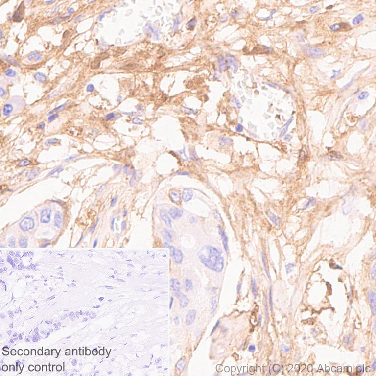
Immunohistochemistry (Formalin/PFA-fixed paraffin-embedded sections) - Anti-Apolipoprotein E4 antibody [EPR24181-64] - BSA and Azide free (AB279719)
  • IHC-P

Supplier Data

Immunohistochemistry (Formalin/PFA-fixed paraffin-embedded sections) - Anti-Apolipoprotein E4 antibody [EPR24181-64] - BSA and Azide free (AB279719)

This data was developed using ab279714, the same antibody clone in a different buffer formulation.

Immunohistochemical analysis of paraffin-embedded Human breast cancer tissue labeling Apolipoprotein E4 with ab279714 at 1/1000 dilution followed by a ready to use LeicaDS9800 (Bond™ Polymer Refine Detection). Positive staining on human breast cancer. The section was incubated with ab279714 for 30 mins at room temperature. The immunostaining was performed on a Leica Biosystems BOND® RX instrument. Counterstained with Hematoxylin.

Secondary antibody only control : Secondary antibody is a ready to use LeicaDS9800 (Bond™ Polymer Refine Detection) was used.

Heat mediated antigen retrieval with Tris-EDTA buffer (pH 9.0, epitope retrieval solution2) for 20 mins

Immunocytochemistry/ Immunofluorescence - Anti-Apolipoprotein E4 antibody [EPR24181-64] - BSA and Azide free (AB279719)
  • ICC/IF

Supplier Data

Immunocytochemistry/ Immunofluorescence - Anti-Apolipoprotein E4 antibody [EPR24181-64] - BSA and Azide free (AB279719)

This data was developed using ab279714, the same antibody clone in a different buffer formulation.

Immunofluorescent analysis of 4% Paraformaldehyde-fixed, 0.1% TritonX-100 permeabilized 293T cells labelling Apolipoprotein E4 with ab279714 at 1/500 dilution, followed by ab150077 Goat Anti-Rabbit IgG H&L (Alexa Fluor® 488) antibody at 1/1000 dilution. Negative control : Confocal image showing no staining in 293T cells transfected with APOE2-Myc or APOE3-Myc plasmid.. Myc-Tag Mouse mAb (Alexa Fluor® 647) antibody was used to counterstain transfected proteins at 1/200 dilution (Red). The Nuclear counterstain was DAPI (Blue).

Secondary antibody only control : Secondary antibody is ab150077 Goat Anti-Rabbit IgG H&L (Alexa Fluor® 488) at 1/1000 dilution.

Flow Cytometry (Intracellular) - Anti-Apolipoprotein E4 antibody [EPR24181-64] - BSA and Azide free (AB279719)
  • Flow Cyt (Intra)

Supplier Data

Flow Cytometry (Intracellular) - Anti-Apolipoprotein E4 antibody [EPR24181-64] - BSA and Azide free (AB279719)

This data was developed using ab279714, the same antibody clone in a different buffer formulation.

Intracellular flow cytometric analysis of 4% paraformaldehyde fixed 90% methanol permeabilized 293T (Human embryonic kidney epithelial cell) transfected with myc-tagged Apolipoprotein E4 construct cells labeling Apolipoprotein E4 with ab279714 at 1/500 dilution (Right panel) compared with Rabbit monoclonal IgG Isotype Control (ab172730) (Left panel). Goat anti rabbit IgG (Alexa Fluor® 488, ab150077)at 1/2000 dilution was used as the secondary antibody.

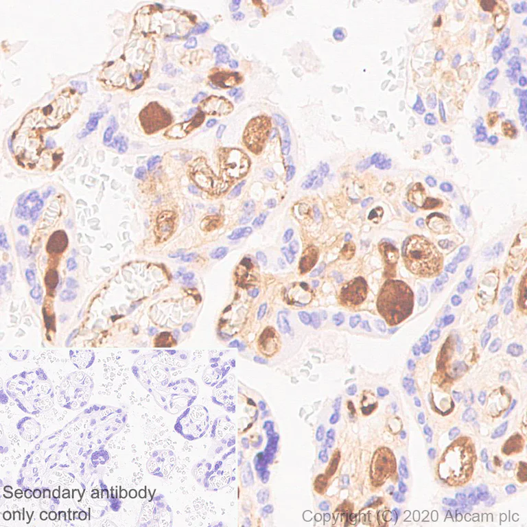
Immunohistochemistry (Formalin/PFA-fixed paraffin-embedded sections) - Anti-Apolipoprotein E4 antibody [EPR24181-64] - BSA and Azide free (AB279719)
  • IHC-P

Supplier Data

Immunohistochemistry (Formalin/PFA-fixed paraffin-embedded sections) - Anti-Apolipoprotein E4 antibody [EPR24181-64] - BSA and Azide free (AB279719)

This data was developed using ab279714, the same antibody clone in a different buffer formulation.

Immunohistochemical analysis of paraffin-embedded Human placenta (plasma) tissue labeling Apolipoprotein E4 with ab279714 at 1/1000 dilution followed by a ready to use LeicaDS9800 (Bond™ Polymer Refine Detection). Positive staining on the plasma in human placenta. (PMID : 26828652) The section was incubated with ab279714 for 30 mins at room temperature. The immunostaining was performed on a Leica Biosystems BOND® RX instrument. Counterstained with Hematoxylin.

Secondary antibody only control : Secondary antibody is a ready to use LeicaDS9800 (Bond™ Polymer Refine Detection) was used.

Heat mediated antigen retrieval with Tris-EDTA buffer (pH 9.0, epitope retrieval solution2) for 20 mins

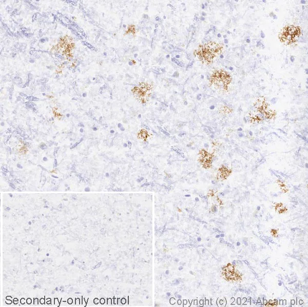
Immunohistochemistry (Frozen sections) - Anti-Apolipoprotein E4 antibody [EPR24181-64] - BSA and Azide free (AB279719)
  • IHC-Fr

Lab

Immunohistochemistry (Frozen sections) - Anti-Apolipoprotein E4 antibody [EPR24181-64] - BSA and Azide free (AB279719)

This data was developed using ab279714, the same antibody clone in a different buffer formulation.

IHC image of Apolipoprotein E4 staining in a section of frozen human Alzheimer's disease brain* performed on a Leica BOND™ system using the standard protocol. The section was fixed in 10% paraformaldehyde (10 min) prior to staining. The section was incubated with ab279714, 0.05 μg/ml, for 15 mins at room temperature and detected using an HRP conjugated compact polymer system. DAB was used as the chromogen. The section was then counterstained with haematoxylin and mounted with DPX. The inset secondary-only control image is taken from an identical assay without primary antibody.

Immunohistochemistry (Formalin/PFA-fixed paraffin-embedded sections) - Anti-Apolipoprotein E4 antibody [EPR24181-64] - BSA and Azide free (AB279719)
  • IHC-P

Supplier Data

Immunohistochemistry (Formalin/PFA-fixed paraffin-embedded sections) - Anti-Apolipoprotein E4 antibody [EPR24181-64] - BSA and Azide free (AB279719)

This data was developed using ab279714, the same antibody clone in a different buffer formulation.

Immunohistochemical analysis of paraffin-embedded Human kidney tissue labeling Apolipoprotein E4 with ab279714 at 1/1000 dilution followed by a ready to use LeicaDS9800 (Bond™ Polymer Refine Detection). Positive staining on human kidney. (PMID : 29692990 ) The section was incubated with ab279714 for 30 mins at room temperature. The immunostaining was performed on a Leica Biosystems BOND® RX instrument. Counterstained with Hematoxylin.

Secondary antibody only control : Secondary antibody is a ready to use LeicaDS9800 (Bond™ Polymer Refine Detection) was used.

Heat mediated antigen retrieval with Tris-EDTA buffer (pH 9.0, epitope retrieval solution2) for 20 mins

Immunocytochemistry/ Immunofluorescence - Anti-Apolipoprotein E4 antibody [EPR24181-64] - BSA and Azide free (AB279719)
  • ICC/IF

Supplier Data

Immunocytochemistry/ Immunofluorescence - Anti-Apolipoprotein E4 antibody [EPR24181-64] - BSA and Azide free (AB279719)

This data was developed using ab279714, the same antibody clone in a different buffer formulation.

Immunofluorescent analysis of 4% Paraformaldehyde-fixed, 0.1% TritonX-100 permeabilized 293T cells labelling Apolipoprotein E4 with ab279714 at 1/1000 dilution, followed by ab150077 Goat Anti-Rabbit IgG H&L (Alexa Fluor® 488) antibody at 1/1000 dilution (Green). Confocal image showing strong cytoplasmic staining in 293T cells transfected with APOE4-Myc plasmid is observed. Myc-Tag Mouse mAb (Alexa Fluor® 647) antibody was used to counterstain transfected proteins at 1/200 dilution (Red). The Nuclear counterstain was DAPI (Blue).

Secondary antibody only control : Secondary antibody is ab150077 Goat Anti-Rabbit IgG H&L (Alexa Fluor® 488) at 1/1000 dilution.

Immunoprecipitation - Anti-Apolipoprotein E4 antibody [EPR24181-64] - BSA and Azide free (AB279719)
  • IP

Supplier Data

Immunoprecipitation - Anti-Apolipoprotein E4 antibody [EPR24181-64] - BSA and Azide free (AB279719)

This data was developed using ab279714, the same antibody clone in a different buffer formulation.

Apolipoprotein E4 was immunoprecipitated from 0.35 mg HEK-293T (human embryonic kidney) transfected with Apolipoprotein E4 expression vector containing a myc-His-tag® whole cell lysate 10 μg with ab279714 at 1/30 dilution (2ug in 0.35mg lysates). Western blot was performed on the immunoprecipitate using ab279714 at 1/1000 dilution. VeriBlot for IP Detection Reagent (HRP)(ab131366) was used at 1/5000 dilution.

Lane 1 : HEK-293T (human embryonic kidney) transfected with Apolipoprotein E4 expression vector containing a myc-His-tag® whole cell lysate 10 μg

Lane 2 : ab279746 IP in HEK-293T (human embryonic kidney) transfected with Apolipoprotein E4 expression vector containing a myc-His-tag® whole cell lysate

Lane 3 : Rabbit monoclonal IgG (ab172730) instead of ab279714 in HEK-293T transfected with Apolipoprotein E4 expression vector containing a myc-His-tag® whole cell lysate

Blocking and dilution buffer and concentration : 5% NFDM/TBST.

Exposure time : 41 seconds

All lanes:

Immunoprecipitation - Anti-Apolipoprotein E4 antibody [EPR24181-64] (<a href='/en-us/products/primary-antibodies/apolipoprotein-e4-antibody-epr24181-64-ab279714'>ab279714</a>)

Predicted band size: 36 kDa

Observed band size: 40 kDa

false

Western blot - Anti-Apolipoprotein E4 antibody [EPR24181-64] - BSA and Azide free (AB279719)
  • WB

Supplier Data

Western blot - Anti-Apolipoprotein E4 antibody [EPR24181-64] - BSA and Azide free (AB279719)

This data was developed using ab279714, the same antibody clone in a different buffer formulation.

Blocking and diluting buffer and concentration : 5% NFDM/TBST

All lanes:

Western blot - Anti-Apolipoprotein E4 antibody [EPR24181-64] (<a href='/en-us/products/primary-antibodies/apolipoprotein-e4-antibody-epr24181-64-ab279714'>ab279714</a>) at 1/1000 dilution

Lane 1:

HEK-293T (human embryonic kidney) transfected with an empty vector (vector control), containing a myc-His-tag®, whole cell lysate at 20 µg

Lane 2:

HEK-293T transfected with Apolipoprotein E2 expression vector containing a myc-His-tag®, whole cell lysate at 20 µg

Lane 3:

HEK-293T transfected with Apolipoprotein E3 expression vector containing a myc-His-tag®, whole cell lysate at 20 µg

Lane 4:

HEK-293T transfected with Apolipoprotein E4 expression vector containing a myc-His-tag®, whole cell lysate at 20 µg

Secondary

All lanes:

Western blot - Goat Anti-Rabbit IgG H&L (HRP) (<a href='/en-us/products/secondary-antibodies/goat-rabbit-igg-h-l-hrp-ab97051'>ab97051</a>) at 1/50000 dilution

Predicted band size: 36 kDa

Observed band size: 40 kDa

false

Exposure time: 3min

  • Unconjugated

    Anti-Apolipoprotein E4 antibody [EPR24181-64]

  • 565 Alexa Fluor® 555

    Alexa Fluor® 555 Anti-Apolipoprotein E4 antibody [EPR24181-64]

  • 578 PE

    PE Anti-Apolipoprotein E4 antibody [EPR24181-64]

  • 519 Alexa Fluor® 488

    Alexa Fluor® 488 Anti-Apolipoprotein E4 antibody [EPR24181-64]

  • 617 Alexa Fluor® 594

    Alexa Fluor® 594 Anti-Apolipoprotein E4 antibody [EPR24181-64]

  • 665 Alexa Fluor® 647

    Alexa Fluor® 647 Anti-Apolipoprotein E4 antibody [EPR24181-64]

  • 660 APC

    APC Anti-Apolipoprotein E4 antibody [EPR24181-64]

  • 775 Alexa Fluor® 750

    Alexa Fluor® 750 Anti-Apolipoprotein E4 antibody [EPR24181-64]

Key facts

Host species

Rabbit

Clonality

Monoclonal

Clone number

EPR24181-64

Isotype

IgG

Carrier free

Yes

Reacts with

Human

Applications

IP, IHC-Fr, IHC-P, WB, Flow Cyt (Intra), ICC/IF

applications

Immunogen

The exact immunogen used to generate this antibody is proprietary information.

Reactivity data

{ "title": "Reactivity Data", "filters": { "stats": ["", "Species", "Dilution Info", "Notes"], "tabs": { "all-applications": {"fullname" : "All Applications", "shortname": "All Applications"}, "ICCIF" : {"fullname" : "Immunocytochemistry/ Immunofluorescence", "shortname":"ICC/IF"}, "IP" : {"fullname" : "Immunoprecipitation", "shortname":"IP"}, "WB" : {"fullname" : "Western blot", "shortname":"WB"}, "IHCFr" : {"fullname" : "Immunohistochemistry (Frozen sections)", "shortname":"IHC-Fr"}, "FlowCytIntra" : {"fullname" : "Flow Cytometry (Intracellular)", "shortname":"Flow Cyt (Intra)"}, "IHCP" : {"fullname" : "Immunohistochemistry (Formalin/PFA-fixed paraffin-embedded sections)", "shortname":"IHC-P"} }, "product-promise": { "all": "all", "testedAndGuaranteed": "tested", "guaranteed": "expected", "predicted": "predicted", "notRecommended": "not-recommended" } }, "values": { "Human": { "ICCIF-species-checked": "testedAndGuaranteed", "ICCIF-species-dilution-info": "", "ICCIF-species-notes": "<p></p>", "IP-species-checked": "testedAndGuaranteed", "IP-species-dilution-info": "", "IP-species-notes": "<p></p>", "WB-species-checked": "testedAndGuaranteed", "WB-species-dilution-info": "", "WB-species-notes": "<p></p>", "IHCFr-species-checked": "testedAndGuaranteed", "IHCFr-species-dilution-info": "", "IHCFr-species-notes": "<p></p>", "FlowCytIntra-species-checked": "testedAndGuaranteed", "FlowCytIntra-species-dilution-info": "", "FlowCytIntra-species-notes": "<p></p>", "IHCP-species-checked": "testedAndGuaranteed", "IHCP-species-dilution-info": "", "IHCP-species-notes": "<p></p>" }, "Mouse": { "ICCIF-species-checked": "notRecommended", "ICCIF-species-dilution-info": "", "ICCIF-species-notes": "", "IP-species-checked": "notRecommended", "IP-species-dilution-info": "", "IP-species-notes": "", "WB-species-checked": "notRecommended", "WB-species-dilution-info": "", "WB-species-notes": "<p></p>", "IHCFr-species-checked": "notRecommended", "IHCFr-species-dilution-info": "", "IHCFr-species-notes": "<p></p>", "FlowCytIntra-species-checked": "notRecommended", "FlowCytIntra-species-dilution-info": "", "FlowCytIntra-species-notes": "", "IHCP-species-checked": "notRecommended", "IHCP-species-dilution-info": "", "IHCP-species-notes": "<p></p>" }, "Rat": { "ICCIF-species-checked": "notRecommended", "ICCIF-species-dilution-info": "", "ICCIF-species-notes": "", "IP-species-checked": "notRecommended", "IP-species-dilution-info": "", "IP-species-notes": "", "WB-species-checked": "notRecommended", "WB-species-dilution-info": "", "WB-species-notes": "<p></p>", "IHCFr-species-checked": "notRecommended", "IHCFr-species-dilution-info": "", "IHCFr-species-notes": "<p></p>", "FlowCytIntra-species-checked": "notRecommended", "FlowCytIntra-species-dilution-info": "", "FlowCytIntra-species-notes": "", "IHCP-species-checked": "notRecommended", "IHCP-species-dilution-info": "", "IHCP-species-notes": "<p></p>" } } }

You may be interested in:

AB65390

Cholesterol Assay Kit - HDL and LDL/VLDL

4

10 Reviews

View product

We recommend this product because it’s often used in the same experiment or related research.

We advise that you always check the datasheet to ensure it fits your experiments, or contact ourtechnical teamfor help.

Product details

ab279719 is the carrier-free version of ab279714.

Patented technology
Our RabMAb® technology is a patented hybridoma-based technology for making rabbit monoclonal antibodies. For details on our patents, please refer to RabMAb® patents.

What are the advantages of a recombinant monoclonal antibody?
This product is a recombinant monoclonal antibody, which offers several advantages including:

  • - High batch-to-batch consistency and reproducibility
  • - Improved sensitivity and specificity
  • - Long-term security of supply
  • - Animal-free batch production

For more information, read more on recombinant antibodies.

Conjugation ready
Our carrier-free antibodies are typically supplied in a PBS-only formulation, purified and free of BSA, sodium azide and glycerol. This conjugation-ready format is designed for use with fluorochromes, metal isotopes, oligonucleotides, and enzymes, which makes them ideal for antibody labelling, functional and cell-based assays, flow-based assays (e.g. mass cytometry) and Multiplex Imaging applications.

Use our conjugation kits for antibody conjugates that are ready-to-use in as little as 20 minutes with 1 minute hands-on-time and 100% antibody recovery: available for fluorescent dyes, HRP, biotin and gold.

Compatibility
This product is compatible with the Maxpar® Antibody Labeling Kit from Fluidigm, without the need for antibody preparation. Maxpar® is a trademark of Fluidigm Canada Inc.

Properties and storage information

Form
Liquid
Purification technique
Affinity purification Protein A
Storage buffer
Constituents: 100% PBS
Shipped at conditions
Blue Ice
Appropriate short-term storage conditions
+4°C
Appropriate long-term storage conditions
+4°C

Supplementary information

This supplementary information is collated from multiple sources and compiled automatically.

Apolipoprotein E4 often called ApoE4 is a member of the apolipoprotein family and plays an important role in lipid metabolism. As a 34-kDa protein it associates with lipoprotein particles and mediates receptor binding and clearance of these complexes. ApoE4 expresses mainly in the liver and the brain where it facilitates cholesterol and lipid transport and homeostasis. Other important alternative names for this protein include apo E4 and E4 peptide which identify specific functions related to its diverse roles in the body.
Biological function summary

ApoE4 is an important player in lipid transport and uptake facilitating the redistribution of lipids among cells. It forms part of a critical complex involved in binding to low-density lipoprotein receptors (LDLR) and the related protein family enabling efficient lipid delivery to peripheral tissues. The interaction of ApoE4 with these receptors directly influences cellular lipid balance impacting important cellular functions. Additionally its polymorphic nature allows the isoforms E2 E3 and E4 to differ in their impacts on lipid transport and disease risk.

Pathways

ApoE4 engages in the lipid and cholesterol transport pathways prominently impacting the reverse cholesterol transport process and the regulation of plasma lipoprotein metabolism. It interacts with proteins such as LDLR and LRP1 influencing the removal of triglyceride-rich lipoproteins and modulating lipid levels in the circulation. ApoE4's involvement in these pathways highlights its role as a central regulator of lipid homeostasis.

ApoE4 is closely associated with Alzheimer’s disease and cardiovascular disease highlighting its significance beyond lipid transport. ApoE4's isoform uniquely elevates the risk for Alzheimer's disease by potentially altering amyloid-beta metabolism and interfering with tau-associated pathologies making it a target of interest in neurodegenerative research. Additionally individuals bearing the ApoE4 allele exhibit an increased susceptibility to cardiovascular disorders due to its impact on cholesterol transport and clearance often linking it with elevated blood cholesterol levels. Through these diseases ApoE4 connects with other proteins like amyloid precursor protein (APP) and tau in Alzheimer's disease illustrating the broader implications of its biological functions.

Product protocols

For this product, it's our understanding that no specific protocols are required. You can visit:

Target data

APOE is an apolipoprotein, a protein associating with lipid particles, that mainly functions in lipoprotein-mediated lipid transport between organs via the plasma and interstitial fluids (PubMed : 14754908, PubMed : 1911868, PubMed : 6860692). APOE is a core component of plasma lipoproteins and is involved in their production, conversion and clearance (PubMed : 14754908, PubMed : 1911868, PubMed : 1917954, PubMed : 23620513, PubMed : 2762297, PubMed : 6860692, PubMed : 9395455). Apolipoproteins are amphipathic molecules that interact both with lipids of the lipoprotein particle core and the aqueous environment of the plasma (PubMed : 2762297, PubMed : 6860692, PubMed : 9395455). As such, APOE associates with chylomicrons, chylomicron remnants, very low density lipoproteins (VLDL) and intermediate density lipoproteins (IDL) but shows a preferential binding to high-density lipoproteins (HDL) (PubMed : 1911868, PubMed : 6860692). It also binds a wide range of cellular receptors including the LDL receptor/LDLR, the LDL receptor-related proteins LRP1, LRP2 and LRP8 and the very low-density lipoprotein receptor/VLDLR that mediate the cellular uptake of the APOE-containing lipoprotein particles (PubMed : 12950167, PubMed : 1530612, PubMed : 1917954, PubMed : 20030366, PubMed : 20303980, PubMed : 2063194, PubMed : 2762297, PubMed : 7635945, PubMed : 7768901, PubMed : 8756331, PubMed : 8939961). Finally, APOE has also a heparin-binding activity and binds heparan-sulfate proteoglycans on the surface of cells, a property that supports the capture and the receptor-mediated uptake of APOE-containing lipoproteins by cells (PubMed : 23676495, PubMed : 7635945, PubMed : 9395455, PubMed : 9488694). A main function of APOE is to mediate lipoprotein clearance through the uptake of chylomicrons, VLDLs, and HDLs by hepatocytes (PubMed : 1911868, PubMed : 1917954, PubMed : 23676495, PubMed : 29516132, PubMed : 9395455). APOE is also involved in the biosynthesis by the liver of VLDLs as well as their uptake by peripheral tissues ensuring the delivery of triglycerides and energy storage in muscle, heart and adipose tissues (PubMed : 2762297, PubMed : 29516132). By participating in the lipoprotein-mediated distribution of lipids among tissues, APOE plays a critical role in plasma and tissues lipid homeostasis (PubMed : 1917954, PubMed : 2762297, PubMed : 29516132). APOE is also involved in two steps of reverse cholesterol transport, the HDLs-mediated transport of cholesterol from peripheral tissues to the liver, and thereby plays an important role in cholesterol homeostasis (PubMed : 14754908, PubMed : 23620513, PubMed : 9395455). First, it is functionally associated with ABCA1 in the biogenesis of HDLs in tissues (PubMed : 14754908, PubMed : 23620513). Second, it is enriched in circulating HDLs and mediates their uptake by hepatocytes (PubMed : 9395455). APOE also plays an important role in lipid transport in the central nervous system, regulating neuron survival and sprouting (PubMed : 25173806, PubMed : 8939961). APOE is also involved in innate and adaptive immune responses, controlling for instance the survival of myeloid-derived suppressor cells (By similarity). Binds to the immune cell receptor LILRB4 (PubMed : 30333625). APOE may also play a role in transcription regulation through a receptor-dependent and cholesterol-independent mechanism, that activates MAP3K12 and a non-canonical MAPK signal transduction pathway that results in enhanced AP-1-mediated transcription of APP (PubMed : 28111074).. (Microbial infection) Through its interaction with HCV envelope glycoprotein E2, participates in the attachment of HCV to HSPGs and other receptors (LDLr, VLDLr, and SR-B1) on the cell surface and to the assembly, maturation and infectivity of HCV viral particles (PubMed : 25122793, PubMed : 29695434). This interaction is probably promoted via the up-regulation of cellular autophagy by the virus (PubMed : 29695434).
See full target information APOE

Product promise

We are committed to supporting your work with high-quality reagents, and we're here for you every step of the way. In the unlikely event that one of our products does not perform as expected, you're protected by our Product Promise.
For full details, please see our Terms & Conditions

Please note: All products are 'FOR RESEARCH USE ONLY. NOT FOR USE IN DIAGNOSTIC OR THERAPEUTIC PROCEDURES'.

For licensing inquiries, please contact partnerships@abcam.com