JavaScript is disabled in your browser. Please enable JavaScript to view this website.
AB252217

Anti-Apolipoprotein L1/APOL1 antibody [EPRBOB-2-F1-1]

Be the first to review this product! Submit a review

|

(1 Publication)

Rabbit Recombinant Monoclonal Apolipoprotein L1/APOL1 antibody. Suitable for IP, WB, IHC-P and reacts with Human samples. Cited in 1 publication.

View Alternative Names

APOL, APOL1, Apolipoprotein L1, Apolipoprotein L, Apolipoprotein L-I, Apo-L, ApoL, ApoL-I

4 Images
Immunohistochemistry (Formalin/PFA-fixed paraffin-embedded sections) - Anti-Apolipoprotein L1/APOL1 antibody [EPRBOB-2-F1-1] (AB252217)
  • IHC-P

Unknown

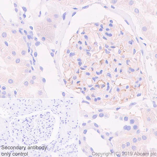
Immunohistochemistry (Formalin/PFA-fixed paraffin-embedded sections) - Anti-Apolipoprotein L1/APOL1 antibody [EPRBOB-2-F1-1] (AB252217)

Immunohistochemical analysis of paraffin-embedded human kidney tissue labeling Apolipoprotein L 1/APOL1 with ab252217 at 1/2000 dilution, followed by Goat Anti-Rabbit IgG H&L (HRP) ready to use. Positive staining on glomerulus and weak cytoplasmic staining on renal tubules (PMID : 21997392, PMID : 28724794, PMID : 27138898) is observed. Counter stained with hematoxylin.

Secondary antibody only control : Used PBS instead of primary antibody, secondary antibody is Goat Anti-Rabbit IgG H&L (HRP) ready to use.

Heat mediated antigen retrieval using ab93684 (Tris/EDTA buffer, pH 9.0).

Immunohistochemistry (Formalin/PFA-fixed paraffin-embedded sections) - Anti-Apolipoprotein L1/APOL1 antibody [EPRBOB-2-F1-1] (AB252217)
  • IHC-P

Unknown

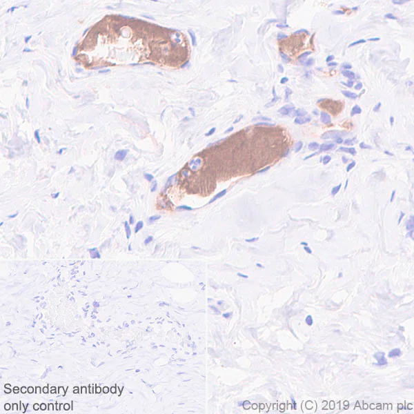
Immunohistochemistry (Formalin/PFA-fixed paraffin-embedded sections) - Anti-Apolipoprotein L1/APOL1 antibody [EPRBOB-2-F1-1] (AB252217)

Immunohistochemical analysis of paraffin-embedded human breast tissue labeling Apolipoprotein L 1/APOL1 with ab252217 at 1/2000 dilution, followed by Goat Anti-Rabbit IgG H&L (HRP) ready to use. Positive staining in plasma in blood vessels is observed. Counter stained with hematoxylin.

Secondary antibody only control : Used PBS instead of primary antibody, secondary antibody is Goat Anti-Rabbit IgG H&L (HRP) ready to use.

Heat mediated antigen retrieval using ab93684 (Tris/EDTA buffer, pH 9.0).

Immunoprecipitation - Anti-Apolipoprotein L1/APOL1 antibody [EPRBOB-2-F1-1] (AB252217)
  • IP

Unknown

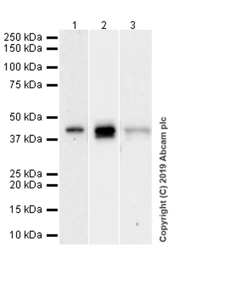
Immunoprecipitation - Anti-Apolipoprotein L1/APOL1 antibody [EPRBOB-2-F1-1] (AB252217)

Apolipoprotein L 1/APOL1 was immunoprecipitated from 0.35 mg of HepG2 (human liver hepatocellular carcinoma cell line) whole cell lysate with ab252217 at 1/30 dilution. Western blot was performed from the immunoprecipitate using ab252217 at 1/1000 dilution. VeriBlot for IP Detection Reagent (HRP) (ab131366), was used for detection at 1/5000 dilution.

Lane 1 : HepG2 whole cell lysate 10 μg (Input).
Lane 2 : ab252217 IP in HepG2 whole cell lysate.
Lane 3 : Rabbit monoclonal IgG (ab172730) instead of ab252217 in HepG2 whole cell lysate.

Blocking and dilution buffer and concentration : 5% NFDM/TBST.
Exposure time : 3 minutes.

All lanes:

Immunoprecipitation - Anti-Apolipoprotein L1/APOL1 antibody [EPRBOB-2-F1-1] (ab252217)

Predicted band size: 44 kDa

Observed band size: 43 kDa

false

Western blot - Anti-Apolipoprotein L1/APOL1 antibody [EPRBOB-2-F1-1] (AB252217)
  • WB

Unknown

Western blot - Anti-Apolipoprotein L1/APOL1 antibody [EPRBOB-2-F1-1] (AB252217)

Blocking and dilution buffer : 5% NFDM/TBST.

Exposure times.

Lanes 1 & 3 : 3 minutes.

Lane 2 : 15 seconds.

The expression profile/ molecular weight observed is consistent with what has been described in the literature and the doublet band in lane 2 might be the different isoform of ApoL1 (PMID : 25012173,,23300552).

All lanes:

Western blot - Anti-Apolipoprotein L1/APOL1 antibody [EPRBOB-2-F1-1] (ab252217) at 1/1000 dilution

Lane 1:

HepG2 (human liver hepatocellular carcinoma cell line) whole cell lysate at 20 µg

Lane 2:

Human plasma at 20 µg

Lane 3:

HDML-2 (human Hodgkin lymphoma cell line) whole cell lysate at 20 µg

Secondary

All lanes:

Western blot - Goat Anti-Rabbit IgG H&L (HRP) (<a href='/en-us/products/secondary-antibodies/goat-rabbit-igg-h-l-hrp-ab97051'>ab97051</a>) at 1/100000 dilution

Predicted band size: 44 kDa

false

  • Carrier free

    Anti-Apolipoprotein L1/APOL1 antibody [EPRBOB-2-F1-1] - BSA and Azide free

Key facts

Host species

Rabbit

Clonality

Monoclonal

Clone number

EPRBOB-2-F1-1

Isotype

IgG

Carrier free

No

Reacts with

Human

Applications

WB, IP, IHC-P

applications

Immunogen

The exact immunogen used to generate this antibody is proprietary information.

Reactivity data

{ "title": "Reactivity Data", "filters": { "stats": ["", "Species", "Dilution Info", "Notes"], "tabs": { "all-applications": {"fullname" : "All Applications", "shortname": "All Applications"}, "IP" : {"fullname" : "Immunoprecipitation", "shortname":"IP"}, "FlowCyt" : {"fullname" : "Flow Cytometry", "shortname":"Flow Cyt"}, "WB" : {"fullname" : "Western blot", "shortname":"WB"}, "ICCIF" : {"fullname" : "Immunocytochemistry/ Immunofluorescence", "shortname":"ICC/IF"}, "IHCP" : {"fullname" : "Immunohistochemistry (Formalin/PFA-fixed paraffin-embedded sections)", "shortname":"IHC-P"} }, "product-promise": { "all": "all", "testedAndGuaranteed": "tested", "guaranteed": "expected", "predicted": "predicted", "notRecommended": "not-recommended" } }, "values": { "Human": { "IP-species-checked": "testedAndGuaranteed", "IP-species-dilution-info": "1/30", "IP-species-notes": "<p></p>", "FlowCyt-species-checked": "notRecommended", "FlowCyt-species-dilution-info": "", "FlowCyt-species-notes": "<p></p>", "WB-species-checked": "testedAndGuaranteed", "WB-species-dilution-info": "1/1000", "WB-species-notes": "<p></p>", "ICCIF-species-checked": "notRecommended", "ICCIF-species-dilution-info": "", "ICCIF-species-notes": "<p></p>", "IHCP-species-checked": "testedAndGuaranteed", "IHCP-species-dilution-info": "1/2000", "IHCP-species-notes": "<p></p> Perform heat-mediated antigen retrieval with Tris/EDTA buffer pH 9.0 before commencing with IHC staining protocol." } } }

Product details

Patented technology
Our RabMAb® technology is a patented hybridoma-based technology for making rabbit monoclonal antibodies. For details on our patents, please refer to RabMAb® patents.

What are the advantages of a recombinant monoclonal antibody?
This product is a recombinant monoclonal antibody, which offers several advantages including:

  • - High batch-to-batch consistency and reproducibility
  • - Improved sensitivity and specificity
  • - Long-term security of supply
  • - Animal-free batch production

For more information, read more on recombinant antibodies.

Properties and storage information

Form
Liquid
Purification technique
Affinity purification Protein A
Storage buffer
pH: 7.2 - 7.4 Preservative: 0.01% Sodium azide Constituents: PBS, 40% Glycerol (glycerin, glycerine), 0.05% BSA
Shipped at conditions
Blue Ice
Appropriate short-term storage duration
1-2 weeks
Appropriate short-term storage conditions
+4°C
Appropriate long-term storage conditions
-20°C
Aliquoting information
Upon delivery aliquot
Storage information
Avoid freeze / thaw cycle

Supplementary information

This supplementary information is collated from multiple sources and compiled automatically.

Apolipoprotein L1 also known as APOL1 is a protein with a mass of approximately 42 kDa. It is primarily expressed in the liver but can also be found in various tissues including the placenta pancreas and kidney. As a part of the apolipoprotein family APOL1 contributes to lipid binding and transport processes. The protein is involved in innate immunity due to its ability to bind and kill certain trypanosomes which are parasites that can cause disease in humans.
Biological function summary

APOL1 functions as a component in lipid transport and immune response. It plays an important role in the lytic pathway against trypanosomes by forming a pore in their lysosomal membranes leading to cell death. While it does not form part of a larger complex its activity is important when interacting with other factors and lipids. APOL1's actions demonstrate an integral aspect of the body's defense system particularly with its influence on cellular structures through lipid interactions.

Pathways

APOL1 is involved in the regulation of lipid metabolism and immune response pathways. It plays a role in the high-density lipoprotein (HDL) particle remodeling pathway. Another significant pathway involving APOL1 is the APOL family protein pathway which includes related proteins like APOL2 and APOL3. These proteins collaboratively contribute to intracellular lipid transport and immune defense establishing an interconnected network among them.

There is a significant connection between APOL1 variants and chronic kidney disease (CKD) and non-diabetic forms of End-Stage Renal Disease (ESRD). The risk alleles of the APOL1 gene are associated with increased incidence of CKD especially in individuals of African descent. These associations highlight the interaction between APOL1 and renal pathology as well as its linkage to other proteins like MYH9 which also relate to kidney diseases. Understanding APOL1's role in these conditions may aid in developing targeted medical interventions.

Product protocols

For this product, it's our understanding that no specific protocols are required. You can visit:

Target data

May play a role in lipid exchange and transport throughout the body. May participate in reverse cholesterol transport from peripheral cells to the liver.
See full target information APOL1

Publications (1)

Recent publications for all applications. Explore the full list and refine your search

Cell biology and toxicology 41:125 PubMed40794120

2025

NAT10 Mediates Cardiac Fibrosis Induced by Myocardial Infarction Through ac4C Modification of TGFBR1 mRNA.

Applications

Unspecified application

Species

Unspecified reactive species

Jiamin Zhou,Yu Chen,Jinfa Chen,Guojin Xia,Junyi Zeng,Liang Wang
View all publications

Product promise

We are committed to supporting your work with high-quality reagents, and we're here for you every step of the way. In the unlikely event that one of our products does not perform as expected, you're protected by our Product Promise.
For full details, please see our Terms & Conditions

Please note: All products are 'FOR RESEARCH USE ONLY. NOT FOR USE IN DIAGNOSTIC OR THERAPEUTIC PROCEDURES'.

For licensing inquiries, please contact partnerships@abcam.com