JavaScript is disabled in your browser. Please enable JavaScript to view this website.
AB252218

Anti-Apolipoprotein L1/APOL1 antibody [EPRBOB-2-F1-17]

Be the first to review this product! Submit a review

|

(6 Publications)

Rabbit Recombinant Monoclonal Apolipoprotein L1/APOL1 antibody. Suitable for IP, WB, IHC-Fr, IHC-P and reacts with Human samples. Cited in 6 publications.

View Alternative Names

APOL, APOL1, Apolipoprotein L1, Apolipoprotein L, Apolipoprotein L-I, Apo-L, ApoL, ApoL-I

5 Images
Immunohistochemistry (Frozen sections) - Anti-Apolipoprotein L1/APOL1 antibody [EPRBOB-2-F1-17] (AB252218)
  • IHC-Fr

Lab

Immunohistochemistry (Frozen sections) - Anti-Apolipoprotein L1/APOL1 antibody [EPRBOB-2-F1-17] (AB252218)

IHC image of Apolipoprotein L1/APOL1 staining in a section of frozen normal human kidney performed on a Leica BONDTM system using the standard protocol. The section was fixed in 10% paraformaldehyde (10 min) prior to staining. The section was incubated with ab252218, 1/1000 dilution, for 15 mins at room temperature and detected using an HRP conjugated compact polymer system. DAB was used as the chromogen. The section was then counterstained with haematoxylin and mounted with DPX. The inset secondary-only control image is taken from an identical assay without primary antibody.

For other IHC staining systems (automated and non-automated) customers should optimize variable parameters such as antigen retrieval conditions, primary antibody concentration and antibody incubation times.

Immunohistochemistry (Formalin/PFA-fixed paraffin-embedded sections) - Anti-Apolipoprotein L1/APOL1 antibody [EPRBOB-2-F1-17] (AB252218)
  • IHC-P

Unknown

Immunohistochemistry (Formalin/PFA-fixed paraffin-embedded sections) - Anti-Apolipoprotein L1/APOL1 antibody [EPRBOB-2-F1-17] (AB252218)

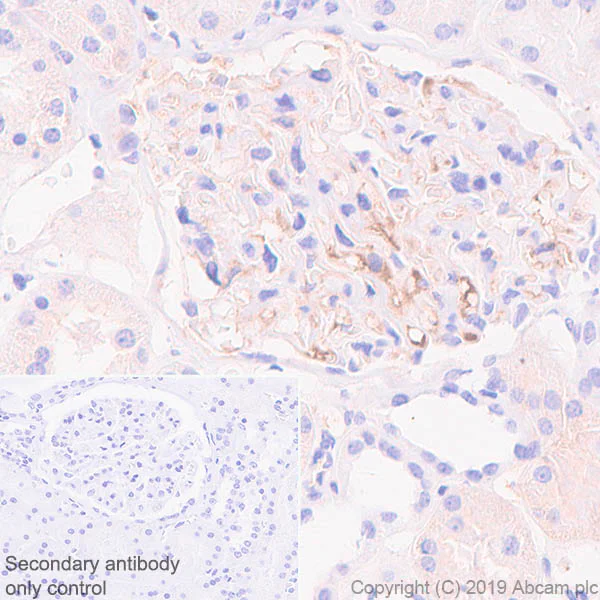
Immunohistochemical analysis of paraffin-embedded human kidney tissue labeling Apolipoprotein L 1/APOL1 with ab252218 at 1/500 dilution, followed by Goat Anti-Rabbit IgG H&L (HRP) ready to use. Positive staining on glomerulus and weak cytoplasmic staining on renal tubules (PMID : 21997392, PMID : 28724794, PMID : 27138898) is observed. Counter stained with hematoxylin.

Secondary antibody only control : Used PBS instead of primary antibody, secondary antibody is Goat Anti-Rabbit IgG H&L (HRP) ready to use.

Heat mediated antigen retrieval using ab93684 (Tris/EDTA buffer, pH 9.0).

Immunohistochemistry (Formalin/PFA-fixed paraffin-embedded sections) - Anti-Apolipoprotein L1/APOL1 antibody [EPRBOB-2-F1-17] (AB252218)
  • IHC-P

Unknown

Immunohistochemistry (Formalin/PFA-fixed paraffin-embedded sections) - Anti-Apolipoprotein L1/APOL1 antibody [EPRBOB-2-F1-17] (AB252218)

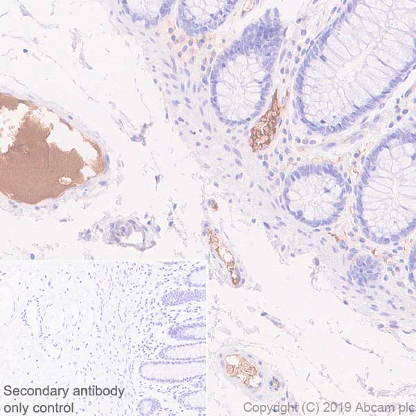
Immunohistochemical analysis of paraffin-embedded human colon tissue labeling Apolipoprotein L 1/APOL1 with ab252218 at 1/500 dilution, followed by Goat Anti-Rabbit IgG H&L (HRP) ready to use. Positive staining mainly in plasma of human colon blood vessels is observed. Counter stained with hematoxylin.

Secondary antibody only control : Used PBS instead of primary antibody, secondary antibody is Goat Anti-Rabbit IgG H&L (HRP) ready to use.

Heat mediated antigen retrieval using ab93684 (Tris/EDTA buffer, pH 9.0).

Immunoprecipitation - Anti-Apolipoprotein L1/APOL1 antibody [EPRBOB-2-F1-17] (AB252218)
  • IP

Unknown

Immunoprecipitation - Anti-Apolipoprotein L1/APOL1 antibody [EPRBOB-2-F1-17] (AB252218)

Apolipoprotein L 1/APOL1 was immunoprecipitated from 0.35 mg of HepG2 (human liver hepatocellular carcinoma cell line) whole cell lysate with ab252218 at 1/30 dilution. Western blot was performed from the immunoprecipitate using ab252218 at 1/1000 dilution. VeriBlot for IP Detection Reagent (HRP) (ab131366), was used for detection at 1/5000 dilution.

Lane 1 : HepG2 whole cell lysate 10 μg (Input).
Lane 2 : ab252218 IP in HepG2 whole cell lysate.
Lane 3 : Rabbit monoclonal IgG (ab172730) instead of ab252218 in HepG2 whole cell lysate.

Blocking and dilution buffer and concentration : 5% NFDM/TBST.
Exposure time : 30 seconds.

All lanes:

Immunoprecipitation - Anti-Apolipoprotein L1/APOL1 antibody [EPRBOB-2-F1-17] (ab252218)

Predicted band size: 44 kDa

Observed band size: 43 kDa

false

Western blot - Anti-Apolipoprotein L1/APOL1 antibody [EPRBOB-2-F1-17] (AB252218)
  • WB

Unknown

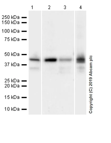
Western blot - Anti-Apolipoprotein L1/APOL1 antibody [EPRBOB-2-F1-17] (AB252218)

Blocking and dilution buffer : 5% NFDM/TBST.

Exposure times.

Lane 1 : 15 seconds.

Lanes 2 & 3 : 136 seconds.

Lane 4 : 3.25 seconds.

The expression profile/ molecular weight observed is consistent with what has been described in the literature and the doublet band lane 4 might be the different isoform of ApoL1 (PMID : 25012173, 23300552).

All lanes:

Western blot - Anti-Apolipoprotein L1/APOL1 antibody [EPRBOB-2-F1-17] (ab252218) at 1/1000 dilution

Lane 1:

HepG2 (human liver hepatocellular carcinoma cell line) whole cell lysate at 20 µg

Lane 2:

HDLM-2 (human Hodgkin lymphoma cell line) whole cell lysate at 20 µg

Lane 3:

Human liver lysate at 20 µg

Lane 4:

Human plasma at 20 µg

Secondary

All lanes:

Western blot - Goat Anti-Rabbit IgG H&L (HRP) (<a href='/en-us/products/secondary-antibodies/goat-rabbit-igg-h-l-hrp-ab97051'>ab97051</a>) at 1/100000 dilution

Predicted band size: 44 kDa

Observed band size: 43 kDa

false

  • Carrier free

    Anti-Apolipoprotein L1/APOL1 antibody [EPRBOB-2-F1-17] - BSA and Azide free

  • 665 Alexa Fluor® 647

    Alexa Fluor® 647 Anti-Apolipoprotein L1/APOL1 antibody [EPRBOB-2-F1-17]

Key facts

Host species

Rabbit

Clonality

Monoclonal

Clone number

EPRBOB-2-F1-17

Isotype

IgG

Carrier free

No

Reacts with

Human

Applications

WB, IHC-Fr, IP, IHC-P

applications

Immunogen

The exact immunogen used to generate this antibody is proprietary information.

Reactivity data

{ "title": "Reactivity Data", "filters": { "stats": ["", "Species", "Dilution Info", "Notes"], "tabs": { "all-applications": {"fullname" : "All Applications", "shortname": "All Applications"}, "IP" : {"fullname" : "Immunoprecipitation", "shortname":"IP"}, "FlowCyt" : {"fullname" : "Flow Cytometry", "shortname":"Flow Cyt"}, "WB" : {"fullname" : "Western blot", "shortname":"WB"}, "ICCIF" : {"fullname" : "Immunocytochemistry/ Immunofluorescence", "shortname":"ICC/IF"}, "IHCFr" : {"fullname" : "Immunohistochemistry (Frozen sections)", "shortname":"IHC-Fr"}, "IHCP" : {"fullname" : "Immunohistochemistry (Formalin/PFA-fixed paraffin-embedded sections)", "shortname":"IHC-P"} }, "product-promise": { "all": "all", "testedAndGuaranteed": "tested", "guaranteed": "expected", "predicted": "predicted", "notRecommended": "not-recommended" } }, "values": { "Human": { "IP-species-checked": "testedAndGuaranteed", "IP-species-dilution-info": "1/30", "IP-species-notes": "<p></p>", "FlowCyt-species-checked": "notRecommended", "FlowCyt-species-dilution-info": "", "FlowCyt-species-notes": "<p></p>", "WB-species-checked": "testedAndGuaranteed", "WB-species-dilution-info": "1/1000", "WB-species-notes": "<p></p>", "ICCIF-species-checked": "notRecommended", "ICCIF-species-dilution-info": "", "ICCIF-species-notes": "<p></p>", "IHCFr-species-checked": "testedAndGuaranteed", "IHCFr-species-dilution-info": "", "IHCFr-species-notes": "<p></p>", "IHCP-species-checked": "testedAndGuaranteed", "IHCP-species-dilution-info": "1/500", "IHCP-species-notes": "<p></p>" } } }

Product details

Patented technology
Our RabMAb® technology is a patented hybridoma-based technology for making rabbit monoclonal antibodies. For details on our patents, please refer to RabMAb® patents.

What are the advantages of a recombinant monoclonal antibody?
This product is a recombinant monoclonal antibody, which offers several advantages including:

  • - High batch-to-batch consistency and reproducibility
  • - Improved sensitivity and specificity
  • - Long-term security of supply
  • - Animal-free batch production

For more information, read more on recombinant antibodies.

Properties and storage information

Form
Liquid
Purification technique
Affinity purification Protein A
Storage buffer
pH: 7.2 - 7.4 Preservative: 0.01% Sodium azide Constituents: PBS, 40% Glycerol (glycerin, glycerine), 0.05% BSA
Shipped at conditions
Blue Ice
Appropriate short-term storage duration
1-2 weeks
Appropriate short-term storage conditions
+4°C
Appropriate long-term storage conditions
-20°C
Aliquoting information
Upon delivery aliquot
Storage information
Avoid freeze / thaw cycle

Supplementary information

This supplementary information is collated from multiple sources and compiled automatically.

Apolipoprotein L1 also known as APOL1 is a protein with a mass of approximately 42 kDa. It is primarily expressed in the liver but can also be found in various tissues including the placenta pancreas and kidney. As a part of the apolipoprotein family APOL1 contributes to lipid binding and transport processes. The protein is involved in innate immunity due to its ability to bind and kill certain trypanosomes which are parasites that can cause disease in humans.
Biological function summary

APOL1 functions as a component in lipid transport and immune response. It plays an important role in the lytic pathway against trypanosomes by forming a pore in their lysosomal membranes leading to cell death. While it does not form part of a larger complex its activity is important when interacting with other factors and lipids. APOL1's actions demonstrate an integral aspect of the body's defense system particularly with its influence on cellular structures through lipid interactions.

Pathways

APOL1 is involved in the regulation of lipid metabolism and immune response pathways. It plays a role in the high-density lipoprotein (HDL) particle remodeling pathway. Another significant pathway involving APOL1 is the APOL family protein pathway which includes related proteins like APOL2 and APOL3. These proteins collaboratively contribute to intracellular lipid transport and immune defense establishing an interconnected network among them.

There is a significant connection between APOL1 variants and chronic kidney disease (CKD) and non-diabetic forms of End-Stage Renal Disease (ESRD). The risk alleles of the APOL1 gene are associated with increased incidence of CKD especially in individuals of African descent. These associations highlight the interaction between APOL1 and renal pathology as well as its linkage to other proteins like MYH9 which also relate to kidney diseases. Understanding APOL1's role in these conditions may aid in developing targeted medical interventions.

Product protocols

For this product, it's our understanding that no specific protocols are required. You can visit:

Target data

May play a role in lipid exchange and transport throughout the body. May participate in reverse cholesterol transport from peripheral cells to the liver.
See full target information APOL1

Publications (6)

Recent publications for all applications. Explore the full list and refine your search

Renal failure 47:2553384 PubMed40948471

2025

A novel membrane-addressing domain mutation () in Chinese twins with FSGS: implications for podocyte injury and ion channel disruption.

Applications

Unspecified application

Species

Unspecified reactive species

Ting Peng,Dan Chang,Tingyu Chen,Sipei Chen,Li Wang,Guisen Li

Cell biology and toxicology 41:125 PubMed40794120

2025

NAT10 Mediates Cardiac Fibrosis Induced by Myocardial Infarction Through ac4C Modification of TGFBR1 mRNA.

Applications

Unspecified application

Species

Unspecified reactive species

Jiamin Zhou,Yu Chen,Jinfa Chen,Guojin Xia,Junyi Zeng,Liang Wang

Nature communications 16:167 PubMed39747090

2025

Small molecule APOL1 inhibitors as a precision medicine approach for APOL1-mediated kidney disease.

Applications

Unspecified application

Species

Unspecified reactive species

Brandon Zimmerman,Leslie A Dakin,Anne Fortier,Evanthia Nanou,Angelo Blasio,James Mann,Howard Miller,Marissa Fletcher,Tiansheng Wang,Suganthini Nanthakumar,Gizelle McCarthy,Caline Matar,Prachi Matsye,Guanyu Wang,Phillip Snyder,Kevin Daniel,Harsha Swamy,Kelly Sullivan,Franklin Bright,Audrey Powers,Kevin J Gagnon,Fan Lu,Steven Paula,Suvarna Khare-Pandit,Larry Henry,Martine Hamel,Francois Denis,Olivier Nicolas,Niresh Hariparsad,Shyamesh Kumar,Jennifer Proctor,Timothy Senter,Brinley Furey,Mark E Bunnage

Journal of gastrointestinal oncology 15:974-986 PubMed38989412

2024

The roles and mechanisms of APOL1 in the development of colorectal cancer.

Applications

Unspecified application

Species

Unspecified reactive species

Feipeng Xu,Weiwei Wang,Qidong Li,Lirui Zou,Huilai Miao

Journal of the American Society of Nephrology : JASN 33:889-907 PubMed35232775

2022

DGAT2 Inhibition Potentiates Lipid Droplet Formation To Reduce Cytotoxicity in APOL1 Kidney Risk Variants.

Applications

Unspecified application

Species

Unspecified reactive species

Justin Chun,Cristian V Riella,Hyunjae Chung,Shrijal S Shah,Minxian Wang,Jose M Magraner,Guilherme T Ribas,Hennrique T Ribas,Jia-Yue Zhang,Seth L Alper,David J Friedman,Martin R Pollak

Disease models & mechanisms 14: PubMed34350953

2021

Recessive, gain-of-function toxicity in an APOL1 BAC transgenic mouse model mirrors human APOL1 kidney disease.

Applications

Unspecified application

Species

Unspecified reactive species

Gizelle M McCarthy,Angelo Blasio,Olivia G Donovan,Lena B Schaller,Althea Bock-Hughes,Jose M Magraner,Jung Hee Suh,Calum F Tattersfield,Isaac E Stillman,Shrijal S Shah,Zsuzsanna K Zsengeller,Balajikarthick Subramanian,David J Friedman,Martin R Pollak
View all publications

Product promise

We are committed to supporting your work with high-quality reagents, and we're here for you every step of the way. In the unlikely event that one of our products does not perform as expected, you're protected by our Product Promise.
For full details, please see our Terms & Conditions

Please note: All products are 'FOR RESEARCH USE ONLY. NOT FOR USE IN DIAGNOSTIC OR THERAPEUTIC PROCEDURES'.

For licensing inquiries, please contact partnerships@abcam.com