JavaScript is disabled in your browser. Please enable JavaScript to view this website.
AB241592

Anti-APP-1 antibody

Be the first to review this product! Submit a review

|

(11 Publications)

Rabbit Polyclonal APP-1 antibody. Suitable for IP, WB, IHC-P and reacts with Human, Mouse samples. Cited in 11 publications. Immunogen corresponding to Synthetic Peptide within Human PABPC4 aa 550 to C-terminus.

View Alternative Names

APP1, PABP4, PABPC4, Polyadenylate-binding protein 4, PABP-4, Poly(A)-binding protein 4, Activated-platelet protein 1, Inducible poly(A)-binding protein, APP-1, iPABP

3 Images
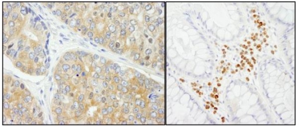
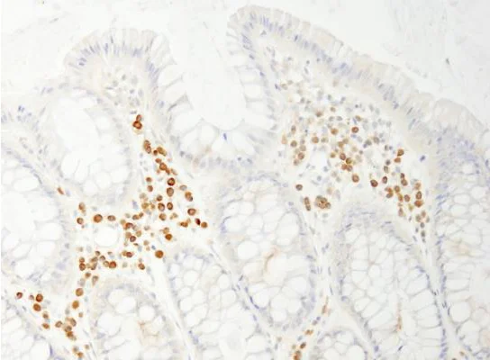
Immunohistochemistry (Formalin/PFA-fixed paraffin-embedded sections) - Anti-APP-1 antibody (AB241592)
  • IHC-P

Supplier Data

Immunohistochemistry (Formalin/PFA-fixed paraffin-embedded sections) - Anti-APP-1 antibody (AB241592)

Formalin-fixed, paraffin-embedded human colon carcinoma tissue stained for APP-1 using ab241592 at 1/200 dilution in immunohistochemical analysis.

Detection : DAB.

Immunoprecipitation - Anti-APP-1 antibody (AB241592)
  • IP

Supplier Data

Immunoprecipitation - Anti-APP-1 antibody (AB241592)

APP-1 was immunoprecipitated from HeLa (human epithelial cell line from cervix adenocarcinoma) whole cell lysate (mg for IP, 20% of IP loaded) using ab241592 at 3 μg/mg lysate. Western blot was performed on the immunoprecipitate using ab241592 at 1 μg/mL.

Lane 1 : ab241592 IP in HeLa whole cell lysate.
Lane 2 : Control IgG IP in HeLa whole cell lysate.

Detection : Chemiluminescence with an exposure time of 1 second.

All lanes:

Immunoprecipitation - Anti-APP-1 antibody (ab241592)

Predicted band size: 71 kDa

false

Western blot - Anti-APP-1 antibody (AB241592)
  • WB

Supplier Data

Western blot - Anti-APP-1 antibody (AB241592)

All lanes:

Western blot - Anti-APP-1 antibody (ab241592) at 0.04 µg/mL

Lane 1:

HeLa (human epithelial cell line from cervix adenocarcinoma) whole cell lysate at 50 µg

Lane 2:

HeLa (human epithelial cell line from cervix adenocarcinoma) whole cell lysate at 15 µg

Lane 3:

HeLa (human epithelial cell line from cervix adenocarcinoma) whole cell lysate at 5 µg

Lane 4:

HEK-293T (human epithelial cell line from embryonic kidney transformed with large T antigen at 50 µg

Lane 5:

NIH/3T3 (mouse embryo fibroblast cell line) whole cell lysate at 50 µg

Predicted band size: 71 kDa

true

Exposure time: 3s

Key facts

Host species

Rabbit

Clonality

Polyclonal

Isotype

IgG

Carrier free

No

Reacts with

Mouse, Human

Applications

IP, WB, IHC-P

applications

Immunogen

Synthetic Peptide within Human PABPC4 aa 550 to C-terminus. The exact immunogen used to generate this antibody is proprietary information.

Q13310

Reactivity data

{ "title": "Reactivity Data", "filters": { "stats": ["", "Species", "Dilution Info", "Notes"], "tabs": { "all-applications": {"fullname" : "All Applications", "shortname": "All Applications"}, "IP" : {"fullname" : "Immunoprecipitation", "shortname":"IP"}, "WB" : {"fullname" : "Western blot", "shortname":"WB"}, "IHCP" : {"fullname" : "Immunohistochemistry (Formalin/PFA-fixed paraffin-embedded sections)", "shortname":"IHC-P"} }, "product-promise": { "all": "all", "testedAndGuaranteed": "tested", "guaranteed": "expected", "predicted": "predicted", "notRecommended": "not-recommended" } }, "values": { "Human": { "IP-species-checked": "testedAndGuaranteed", "IP-species-dilution-info": "2-5 µg/mg of lysate", "IP-species-notes": "<p></p>", "WB-species-checked": "testedAndGuaranteed", "WB-species-dilution-info": "1/2000 - 1/10000", "WB-species-notes": "<p></p>", "IHCP-species-checked": "testedAndGuaranteed", "IHCP-species-dilution-info": "1/100 - 1/500", "IHCP-species-notes": "<p>Epitope retrieval with citrate buffer pH 6.0 is recommended for FFPE tissue sections</p>" }, "Mouse": { "IP-species-checked": "guaranteed", "IP-species-dilution-info": "", "IP-species-notes": "", "WB-species-checked": "testedAndGuaranteed", "WB-species-dilution-info": "1/2000 - 1/10000", "WB-species-notes": "<p></p>", "IHCP-species-checked": "guaranteed", "IHCP-species-dilution-info": "", "IHCP-species-notes": "" } } }

Properties and storage information

Form
Liquid
Purification technique
Affinity purification Immunogen
Purification notes
Antibody was affinity purified using an epitope specific to APP-1 immobilized on solid support.
Storage buffer
pH: 6.8 - 7.4 Preservative: 0.09% Sodium azide Constituents: Tris buffered saline, 0.1% BSA
Shipped at conditions
Blue Ice
Appropriate short-term storage duration
1-2 weeks
Appropriate short-term storage conditions
+4°C
Appropriate long-term storage conditions
+4°C
Aliquoting information
Upon delivery aliquot
Storage information
Avoid freeze / thaw cycle

Supplementary information

This supplementary information is collated from multiple sources and compiled automatically.

APP-1 also known as Amyloid precursor protein 1 plays a significant mechanical role in cellular processes. It is a type I transmembrane glycoprotein with a molecular weight of around 110-130 kDa. APP-1 is widely expressed in various tissues but its highest levels are found in the central nervous system particularly within neurons. The processing of APP-1 occurs through cleavage by multiple secretases leading to the production of several fragments with different physiological roles.
Biological function summary

The alternative name Amyloid precursor protein reflects its pivotal involvement in neuronal growth and repair. APP-1 contributes to synaptic formation and plasticity being a part of a larger protein complex on the cell surface. Beyond its neuronal functions it plays roles in neural adhesion by interacting with extracellular matrix proteins. APP-1's fragments like amyloid-beta become relevant in cellular signaling and synaptic maintenance further influencing neuronal health.

Pathways

Research indicates that APP-1 is integral to the amyloidogenic and non-amyloidogenic pathways. It is connected to enzymes such as alpha beta and gamma secretases which modulate its cleavage and influence its downstream pathways. Interaction with proteins like presenilin is critical for processing APP-1 within the amyloidogenic pathway. These pathways collectively impact neurite outgrowth and neural development essential for maintaining cognitive functions.

Scientific studies have linked APP-1 to Alzheimer's disease due to the accumulation of its cleavage fragment amyloid-beta. This component aggregates to form plaques contributing to neurodegeneration and cognitive decline. Besides Alzheimer's variations in the APP-1 gene relate to cerebral amyloid angiopathy where deposition in blood vessels impairs circulation. Its interaction with Tau protein another key player in neurodegenerative diseases further associates APP-1 with the pathophysiology of these conditions.

Product protocols

For this product, it's our understanding that no specific protocols are required. You can visit:

Target data

Binds the poly(A) tail of mRNA (PubMed : 8524242). Binds to SMIM26 mRNA and plays a role in its post-transcriptional regulation (PubMed : 37009826). May be involved in cytoplasmic regulatory processes of mRNA metabolism. Can probably bind to cytoplasmic RNA sequences other than poly(A) in vivo (By similarity).
See full target information PABPC4

Publications (11)

Recent publications for all applications. Explore the full list and refine your search

Molecular psychiatry 30:5777-5789 PubMed40913114

2025

Hyperactivity of subicular parvalbumin interneurons drives early amyloid pathology and cognitive deficits in Alzheimer's disease.

Applications

Unspecified application

Species

Unspecified reactive species

Yan-Bing Chen,Bo Jiang,Kai Zhuang,He Wang,Hui-Min Peng,Bo-Wen Zhong,Wen-Ting Xie,Kai-Wei Chen,Ting-Ting Zou,Ya Wang,Hui-Li Yang,Qingwei Yang,Jiechao Zhou,Li Zhong,Li-Hua Zhang,Jie Zhang

Cell discovery 10:96 PubMed39285160

2024

Targeting SNRNP200-induced splicing dysregulation offers an immunotherapy opportunity for glycolytic triple-negative breast cancer.

Applications

Unspecified application

Species

Unspecified reactive species

Wenxiao Yang,Luo Hong,Linwei Guo,Yunjin Wang,Xiangchen Han,Boyue Han,Zheng Xing,Guoliang Zhang,Hongxia Zhou,Chao Chen,Hong Ling,Zhimin Shao,Xin Hu

International journal of geriatric psychiatry 39:e6076 PubMed38488826

2024

The Tao Hong Si Wu Decoction ameliorates diabetes-associated cognitive dysfunction by inhibiting the formation of amyloid plaques.

Applications

Unspecified application

Species

Unspecified reactive species

Ming Cai,Zhen Chen,Mengling Zhang,Wenwen Xia,Wentao Dai,Mengdie Zhao,Ruonan Xie,Zhaojie Ji,Lan Han,Daiyin Peng

Molecular nutrition & food research 67:e2200799 PubMed37194410

2023

Pantethine Ameliorates Recognition Impairment in a Mouse Model of Alzheimer's Disease by Modulating Cholesterol Content and Intestinal Flora Species.

Applications

Unspecified application

Species

Unspecified reactive species

Jianfeng Chen,Yongsui Li,Minyu Chen,Xinwei Liu,Jinghong Chen,Xinlu Li,Chao Wang,Guohui Wan,Jing Tian

Neural plasticity 2022:3995227 PubMed36406589

2022

Reduced Expression of Voltage-Gated Sodium Channel Beta 2 Restores Neuronal Injury and Improves Cognitive Dysfunction Induced by A1-42.

Applications

Unspecified application

Species

Unspecified reactive species

Shan Li,Guo-Ji Yan,Ya-Xin Tan,Lu-Lu Xue,Ting-Hua Wang,Hao-Ran Zhao,Min-Nan Lu,Hui-Xiang Zhang,Rong Mei,Xiao-Han Dong,Li-Na Liu,Dan Wang,Yan-Bin Xiyang

Frontiers in pharmacology 13:850175 PubMed35586051

2022

NeuroProtect, a Candidate Formula From Traditional Chinese Medicine, Attenuates Amyloid- and Restores Synaptic Structures in APP/PS1 Transgenic Mice.

Applications

Unspecified application

Species

Unspecified reactive species

Yan Tan,Xu Wang,Jiani Zhang,Huawei Zhang,Haiyan Li,Tiantian Peng,Weihang Chen,Peng Wei,Zhaoheng Liu,Fang He,Jiao Li,Haimin Ding,Na Li,Zhaoyang Wang,Zhenqiang Zhang,Qian Hua

Science advances 8:eabi7711 PubMed35089788

2022

Modulating environmental signals to reveal mechanisms and vulnerabilities of cancer persisters.

Applications

Unspecified application

Species

Unspecified reactive species

Xiaoxiao Sun,Jake M Bieber,Heinz Hammerlindl,Robert J Chalkley,Kathy H Li,Alma L Burlingame,Matthew P Jacobson,Lani F Wu,Steven J Altschuler

American journal of translational research 13:8885-8896 PubMed34540002

2021

LncRNA NEAT1 promotes Alzheimer's disease by down regulating micro-27a-3p.

Applications

Unspecified application

Species

Unspecified reactive species

Li-Xia Dong,Yan-Yun Zhang,Hai-Lan Bao,Yu Liu,Guo-Wei Zhang,Feng-Mao An

Neural regeneration research 16:2078-2085 PubMed33642397

2021

Combined treatment with valproic acid and estrogen has neuroprotective effects in ovariectomized mice with Alzheimer's disease.

Applications

Unspecified application

Species

Unspecified reactive species

Yan-Zhen Li,Yuan-Jie Liu,Wei Zhang,Shi-Fang Luo,Xin Zhou,Gui-Qiong He

Frontiers in molecular neuroscience 13:613421 PubMed33519376

2021

The Molecular Mechanism of Chronic High-Dose Corticosterone-Induced Aggravation of Cognitive Impairment in APP/PS1 Transgenic Mice.

Applications

Unspecified application

Species

Unspecified reactive species

Shen-Qing Zhang,Long-Long Cao,Yun-Yue Liang,Pu Wang
View all publications

Product promise

We are committed to supporting your work with high-quality reagents, and we're here for you every step of the way. In the unlikely event that one of our products does not perform as expected, you're protected by our Product Promise.
For full details, please see our Terms & Conditions

Please note: All products are 'FOR RESEARCH USE ONLY. NOT FOR USE IN DIAGNOSTIC OR THERAPEUTIC PROCEDURES'.

For licensing inquiries, please contact partnerships@abcam.com