JavaScript is disabled in your browser. Please enable JavaScript to view this website.
AB241616

Anti-APP-1 antibody

Be the first to review this product! Submit a review

|

(2 Publications)

Rabbit Polyclonal APP-1 antibody. Suitable for IHC-P, IP, WB and reacts with Human, Mouse samples. Cited in 2 publications. Immunogen corresponding to Synthetic Peptide within Human PABPC4 aa 500-600.

View Alternative Names

APP1, PABP4, PABPC4, Polyadenylate-binding protein 4, PABP-4, Poly(A)-binding protein 4, Activated-platelet protein 1, Inducible poly(A)-binding protein, APP-1, iPABP

3 Images
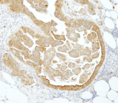
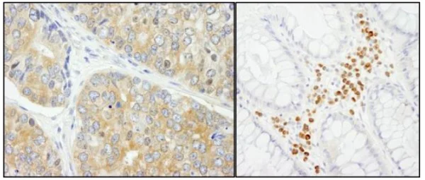
Immunohistochemistry (Formalin/PFA-fixed paraffin-embedded sections) - Anti-APP-1 antibody (AB241616)
  • IHC-P

Supplier Data

Immunohistochemistry (Formalin/PFA-fixed paraffin-embedded sections) - Anti-APP-1 antibody (AB241616)

Formalin-fixed, paraffin-embedded human prostate carcinoma (left) and colon carcinoma (right) tissue stained for APP-1 using ab241616 at 1/200 dilution in immunohistochemical analysis. DAB staining.

Immunoprecipitation - Anti-APP-1 antibody (AB241616)
  • IP

Supplier Data

Immunoprecipitation - Anti-APP-1 antibody (AB241616)

APP-1 was immunoprecipitated from HeLa (human epithelial cell line from cervix adenocarcinoma) whole cell lysate (1 mg for IP, 20% of IP loaded) with ab241616 at 3 μg/mg lysate. Western blot was performed from the immunoprecipitate using ab241616 at 1 μg/ml.

Lane 1 : ab241616 IP in HeLa whole cell lysate.
Lane 2 : Control IgG IP in HeLa whole cell lysate.

Detection : Chemiluminescence with exposure time of 3 seconds.

All lanes:

Immunoprecipitation - Anti-APP-1 antibody (ab241616)

Predicted band size: 71 kDa

false

Western blot - Anti-APP-1 antibody (AB241616)
  • WB

Supplier Data

Western blot - Anti-APP-1 antibody (AB241616)

All lanes:

Western blot - Anti-APP-1 antibody (ab241616) at 0.04 µg/mL

Lane 1:

HeLa (human epithelial cell line from cervix adenocarcinoma) cell lysate at 50 µg

Lane 2:

HeLa cell lysate at 15 µg

Lane 3:

HeLa cell lysate at 5 µg

Lane 4:

HEK-293T (human epithelial cell line from embryonic kidney transformed with large T antigen) cell lysate at 50 µg

Lane 5:

NIH/3T3 (mouse embryo fibroblast cell line) cell lysate at 50 µg

Predicted band size: 71 kDa

true

Exposure time: 10s

Key facts

Host species

Rabbit

Clonality

Polyclonal

Isotype

IgG

Carrier free

No

Reacts with

Human, Mouse

Applications

IP, WB, IHC-P

applications

Immunogen

Synthetic Peptide within Human PABPC4 aa 500-600. The exact immunogen used to generate this antibody is proprietary information.

Q13310

Reactivity data

{ "title": "Reactivity Data", "filters": { "stats": ["", "Species", "Dilution Info", "Notes"], "tabs": { "all-applications": {"fullname" : "All Applications", "shortname": "All Applications"}, "IHCP" : {"fullname" : "Immunohistochemistry (Formalin/PFA-fixed paraffin-embedded sections)", "shortname":"IHC-P"}, "IP" : {"fullname" : "Immunoprecipitation", "shortname":"IP"}, "WB" : {"fullname" : "Western blot", "shortname":"WB"} }, "product-promise": { "all": "all", "testedAndGuaranteed": "tested", "guaranteed": "expected", "predicted": "predicted", "notRecommended": "not-recommended" } }, "values": { "Human": { "IHCP-species-checked": "testedAndGuaranteed", "IHCP-species-dilution-info": "1/100 - 1/500", "IHCP-species-notes": "<p></p> Perform heat-mediated antigen retrieval with citrate buffer pH 6 before commencing with IHC staining protocol.", "IP-species-checked": "testedAndGuaranteed", "IP-species-dilution-info": "2-5 µg/mg of lysate", "IP-species-notes": "<p></p>", "WB-species-checked": "testedAndGuaranteed", "WB-species-dilution-info": "1/2000 - 1/10000", "WB-species-notes": "<p></p>" }, "Mouse": { "IHCP-species-checked": "guaranteed", "IHCP-species-dilution-info": "", "IHCP-species-notes": "", "IP-species-checked": "guaranteed", "IP-species-dilution-info": "", "IP-species-notes": "", "WB-species-checked": "testedAndGuaranteed", "WB-species-dilution-info": "1/2000 - 1/10000", "WB-species-notes": "<p></p>" } } }

Properties and storage information

Form
Liquid
Purification technique
Affinity purification Immunogen
Purification notes
Antibody was affinity purified using an epitope specific to APP-1 immobilized on solid support.
Storage buffer
pH: 6.8 - 7.4 Preservative: 0.09% Sodium azide Constituents: Tris buffered saline, 0.1% BSA
Shipped at conditions
Blue Ice
Appropriate short-term storage duration
1-2 weeks
Appropriate short-term storage conditions
+4°C
Appropriate long-term storage conditions
+4°C
Aliquoting information
Upon delivery aliquot
Storage information
Avoid freeze / thaw cycle

Supplementary information

This supplementary information is collated from multiple sources and compiled automatically.

APP-1 also known as Amyloid precursor protein 1 plays a significant mechanical role in cellular processes. It is a type I transmembrane glycoprotein with a molecular weight of around 110-130 kDa. APP-1 is widely expressed in various tissues but its highest levels are found in the central nervous system particularly within neurons. The processing of APP-1 occurs through cleavage by multiple secretases leading to the production of several fragments with different physiological roles.
Biological function summary

The alternative name Amyloid precursor protein reflects its pivotal involvement in neuronal growth and repair. APP-1 contributes to synaptic formation and plasticity being a part of a larger protein complex on the cell surface. Beyond its neuronal functions it plays roles in neural adhesion by interacting with extracellular matrix proteins. APP-1's fragments like amyloid-beta become relevant in cellular signaling and synaptic maintenance further influencing neuronal health.

Pathways

Research indicates that APP-1 is integral to the amyloidogenic and non-amyloidogenic pathways. It is connected to enzymes such as alpha beta and gamma secretases which modulate its cleavage and influence its downstream pathways. Interaction with proteins like presenilin is critical for processing APP-1 within the amyloidogenic pathway. These pathways collectively impact neurite outgrowth and neural development essential for maintaining cognitive functions.

Scientific studies have linked APP-1 to Alzheimer's disease due to the accumulation of its cleavage fragment amyloid-beta. This component aggregates to form plaques contributing to neurodegeneration and cognitive decline. Besides Alzheimer's variations in the APP-1 gene relate to cerebral amyloid angiopathy where deposition in blood vessels impairs circulation. Its interaction with Tau protein another key player in neurodegenerative diseases further associates APP-1 with the pathophysiology of these conditions.

Product protocols

For this product, it's our understanding that no specific protocols are required. You can visit:

Target data

Binds the poly(A) tail of mRNA (PubMed : 8524242). Binds to SMIM26 mRNA and plays a role in its post-transcriptional regulation (PubMed : 37009826). May be involved in cytoplasmic regulatory processes of mRNA metabolism. Can probably bind to cytoplasmic RNA sequences other than poly(A) in vivo (By similarity).
See full target information PABPC4

Publications (2)

Recent publications for all applications. Explore the full list and refine your search

Nature communications 15:7872 PubMed39251607

2024

Systematic identification of post-transcriptional regulatory modules.

Applications

Unspecified application

Species

Unspecified reactive species

Matvei Khoroshkin,Andrey Buyan,Martin Dodel,Albertas Navickas,Johnny Yu,Fathima Trejo,Anthony Doty,Rithvik Baratam,Shaopu Zhou,Sean B Lee,Tanvi Joshi,Kristle Garcia,Benedict Choi,Sohit Miglani,Vishvak Subramanyam,Hailey Modi,Christopher Carpenter,Daniel Markett,M Ryan Corces,Faraz K Mardakheh,Ivan V Kulakovskiy,Hani Goodarzi

Cell cycle (Georgetown, Tex.) 22:1900-1920 PubMed37603831

2023

is a key factor regulating reticulophagy-mediated ferroptosis in hepatocellular carcinoma.

Applications

Unspecified application

Species

Unspecified reactive species

Tao Bi,Qianqian Lu,Xiaohong Pan,Fenglin Dong,Yejia Hu,Zongzhen Xu,Peng Xiu,Zhiqian Liu,Jie Li
View all publications

Product promise

We are committed to supporting your work with high-quality reagents, and we're here for you every step of the way. In the unlikely event that one of our products does not perform as expected, you're protected by our Product Promise.
For full details, please see our Terms & Conditions

Please note: All products are 'FOR RESEARCH USE ONLY. NOT FOR USE IN DIAGNOSTIC OR THERAPEUTIC PROCEDURES'.

For licensing inquiries, please contact partnerships@abcam.com