JavaScript is disabled in your browser. Please enable JavaScript to view this website.
AB250150

Anti-APPL antibody [EPR13569] - BSA and Azide free

Be the first to review this product! Submit a review

|

(2 Publications)

Rabbit Recombinant Monoclonal APPL antibody. Carrier free. Suitable for ICC/IF, WB, IHC-P and reacts with Human samples. Cited in 2 publications.

View Alternative Names

APPL, DIP13A, KIAA1428, APPL1, DCC-interacting protein 13-alpha, Dip13-alpha

5 Images
Immunohistochemistry (Formalin/PFA-fixed paraffin-embedded sections) - Anti-APPL antibody [EPR13569] - BSA and Azide free (AB250150)
  • IHC-P

Supplier Data

Immunohistochemistry (Formalin/PFA-fixed paraffin-embedded sections) - Anti-APPL antibody [EPR13569] - BSA and Azide free (AB250150)

This data was developed using ab180140, the same antibody clone in a different buffer formulation.

Immunohistochemical analysis of paraffin-embedded Human colon carcinoma tissue labeling APPL with ab180140 at 1/100 dilution. Secondary antibody Goat anti rabbit IgG(HRP) prediluted. Counter stain Hematoxylin.

Perform heat mediated antigen retrieval with EDTA buffer pH 9 before commencing with IHC staining protocol.

Immunocytochemistry/ Immunofluorescence - Anti-APPL antibody [EPR13569] - BSA and Azide free (AB250150)
  • ICC/IF

Supplier Data

Immunocytochemistry/ Immunofluorescence - Anti-APPL antibody [EPR13569] - BSA and Azide free (AB250150)

This data was developed using ab180140, the same antibody clone in a different buffer formulation.

Immunofluorescent analysis of 4% paraformaldehyde fixed MCF7 cells labeling APPL with ab180140 at 1/500 dilution. Secondary antibody Goat anti rabbit IgG(Dylight 555) Conterstained with Dapi blue.

Immunohistochemistry (Formalin/PFA-fixed paraffin-embedded sections) - Anti-APPL antibody [EPR13569] - BSA and Azide free (AB250150)
  • IHC-P

Supplier Data

Immunohistochemistry (Formalin/PFA-fixed paraffin-embedded sections) - Anti-APPL antibody [EPR13569] - BSA and Azide free (AB250150)

This data was developed using ab180140, the same antibody clone in a different buffer formulation.

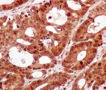
Immunohistochemical analysis of paraffin-embedded Human pancreas carcinoma tissue labeling APPL with ab180140 at 1/100 dilution. Secondary antibody Goat anti rabbit IgG(HRP) prediluted. Counter stain Hematoxylin.

Perform heat mediated antigen retrieval with EDTA buffer pH 9 before commencing with IHC staining protocol.

Western blot - Anti-APPL antibody [EPR13569] - BSA and Azide free (AB250150)
  • WB

Supplier Data

Western blot - Anti-APPL antibody [EPR13569] - BSA and Azide free (AB250150)

This data was developed using ab180140, the same antibody clone in a different buffer formulation.

All lanes:

Western blot - Anti-APPL antibody [EPR13569] (<a href='/en-us/products/primary-antibodies/appl-antibody-epr13569-ab180140'>ab180140</a>) at 1/10000 dilution

Lane 1:

HeLa cell lysate at 20 µg

Lane 2:

MCF7 cell lysate at 20 µg

Lane 3:

293 cell lysate at 20 µg

Secondary

All lanes:

Goat Anti-Rabbit IgG, (H+L), Peroxidase conjugated at 1/1000 dilution

Predicted band size: 80 kDa

Observed band size: 90 kDa

false

Western blot - Anti-APPL antibody [EPR13569] - BSA and Azide free (AB250150)
  • WB

Lab

Western blot - Anti-APPL antibody [EPR13569] - BSA and Azide free (AB250150)

This data was developed using the same antibody clone in a different buffer formulation containing PBS, BSA, glycerol, and sodium azide (ab180140).

Lanes 1- 4 : Merged signal (red and green). Green - ab180140 observed at 90 kDa. Red - Anti-GAPDH antibody [6C5] - Loading Control (ab8245) observed at 37 kDa.

ab180140 was shown to react with Anti-APPL in wild-type HeLa cells in western blot. The band observed in CRISPR/Cas9 edited cell line ab265187 (CRISPR/Cas9 edited cell lysate ab257836) lane below 90kDa may represent truncated forms and cleaved fragments. This has not been investigated further. Wild-type HeLa and APPL1 CRISPR/Cas9 edited HeLa cell lysates were subjected to SDS-PAGE. Membrane was blocked for 1 hour at room temperature in 0.1% TBST with 3% non-fat dried milk. ab180140 and Anti-GAPDH antibody [6C5] - Loading Control (ab8245) were incubated overnight at 4°C at a 1 in 10000 dilution and a 1 in 20000 dilution respectively. Blots were developed with Goat anti-Rabbit IgG H&L (IRDye®800CW) preadsorbed (ab216773) and Goat anti-Mouse IgG H&L (IRDye®680RD) preadsorbed (ab216776) secondary antibodies at 1 in 20000 dilution for 1 hour at room temperature before imaging.

All lanes:

Western blot - Anti-APPL antibody [EPR13569] (<a href='/en-us/products/primary-antibodies/appl-antibody-epr13569-ab180140'>ab180140</a>) at 1/10000 dilution

Lane 1:

Wild-type HeLa cell lysate at 20 µg

Lane 2:

APPL CRISPR/Cas9 edited HeLa cell lysate at 20 µg

Lane 2:

Western blot - Human APPL1 (APPL) knockout HeLa cell line (<a href='/en-us/products/cell-lines/human-appl1-appl-knockout-hela-cell-line-ab265187'>ab265187</a>)

Lane 3:

MCF7 cell lysate at 20 µg

Lane 4:

HEK-293T cell lysate at 20 µg

Predicted band size: 80 kDa

Observed band size: 90 kDa

false

Key facts

Host species

Rabbit

Clonality

Monoclonal

Clone number

EPR13569

Isotype

IgG

Carrier free

Yes

Reacts with

Human

Applications

WB, ICC/IF, IHC-P

applications

Immunogen

The exact immunogen used to generate this antibody is proprietary information.

Reactivity data

{ "title": "Reactivity Data", "filters": { "stats": ["", "Species", "Dilution Info", "Notes"], "tabs": { "all-applications": {"fullname" : "All Applications", "shortname": "All Applications"}, "ICCIF" : {"fullname" : "Immunocytochemistry/ Immunofluorescence", "shortname":"ICC/IF"}, "WB" : {"fullname" : "Western blot", "shortname":"WB"}, "IHCP" : {"fullname" : "Immunohistochemistry (Formalin/PFA-fixed paraffin-embedded sections)", "shortname":"IHC-P"} }, "product-promise": { "all": "all", "testedAndGuaranteed": "tested", "guaranteed": "expected", "predicted": "predicted", "notRecommended": "not-recommended" } }, "values": { "Human": { "ICCIF-species-checked": "testedAndGuaranteed", "ICCIF-species-dilution-info": "", "ICCIF-species-notes": "<p></p>", "WB-species-checked": "testedAndGuaranteed", "WB-species-dilution-info": "", "WB-species-notes": "<p></p>", "IHCP-species-checked": "testedAndGuaranteed", "IHCP-species-dilution-info": "", "IHCP-species-notes": "<p></p>" }, "Mouse": { "ICCIF-species-checked": "predicted", "ICCIF-species-dilution-info": "", "ICCIF-species-notes": "", "WB-species-checked": "predicted", "WB-species-dilution-info": "", "WB-species-notes": "", "IHCP-species-checked": "predicted", "IHCP-species-dilution-info": "", "IHCP-species-notes": "" }, "Rat": { "ICCIF-species-checked": "predicted", "ICCIF-species-dilution-info": "", "ICCIF-species-notes": "", "WB-species-checked": "predicted", "WB-species-dilution-info": "", "WB-species-notes": "", "IHCP-species-checked": "predicted", "IHCP-species-dilution-info": "", "IHCP-species-notes": "" } } }

Product details

ab250150 is the carrier-free version of ab180140.

Patented technology
Our RabMAb® technology is a patented hybridoma-based technology for making rabbit monoclonal antibodies. For details on our patents, please refer to RabMAb® patents.

What are the advantages of a recombinant monoclonal antibody?
This product is a recombinant monoclonal antibody, which offers several advantages including:

  • - High batch-to-batch consistency and reproducibility
  • - Improved sensitivity and specificity
  • - Long-term security of supply
  • - Animal-free batch production

For more information, read more on recombinant antibodies.

Conjugation ready
Our carrier-free antibodies are typically supplied in a PBS-only formulation, purified and free of BSA, sodium azide and glycerol. This conjugation-ready format is designed for use with fluorochromes, metal isotopes, oligonucleotides, and enzymes, which makes them ideal for antibody labelling, functional and cell-based assays, flow-based assays (e.g. mass cytometry) and Multiplex Imaging applications.

Use our conjugation kits for antibody conjugates that are ready-to-use in as little as 20 minutes with 1 minute hands-on-time and 100% antibody recovery: available for fluorescent dyes, HRP, biotin and gold.

Compatibility
This product is compatible with the Maxpar® Antibody Labeling Kit from Fluidigm, without the need for antibody preparation. Maxpar® is a trademark of Fluidigm Canada Inc.

Properties and storage information

Form
Liquid
Purification technique
Affinity purification
Storage buffer
pH: 7.2 - 7.4 Constituents: PBS
Shipped at conditions
Blue Ice
Appropriate short-term storage conditions
+4°C
Appropriate long-term storage conditions
+4°C
Storage information
Do Not Freeze

Supplementary information

This supplementary information is collated from multiple sources and compiled automatically.

APPL also known as Adaptor Protein Phosphotyrosine Interaction PH Domain and Leucine Zipper Containing 1 (APPL1) is an adaptor protein that plays an important role in cellular signal transduction. APPL1 has a molecular mass of approximately 80 kDa. It is widely expressed in various tissues including the brain liver and skeletal muscle. APPL1 binds to many other proteins via its pleckstrin homology (PH) domain and a leucine zipper domain playing a role in diverse signaling pathways.
Biological function summary

APPL1 influences cellular processes such as endocytosis and cell proliferation. APPL1 interacts with rab5 forming a component of endosomal signaling complexes. This interaction drives the early endocytic process influencing cell surface receptor trafficking. APPL1 also modulates insulin signaling by binding to proteins like the insulin receptor substrate affecting glucose metabolism and cellular energy balance.

Pathways

APPL1 acts in the AKT signaling pathway and the adiponectin signaling pathway. In the AKT pathway APPL1 operates with proteins like AKT itself and GSK3β contributing to cell survival and growth. It assists the adiponectin pathway by facilitating interactions between adiponectin receptors and downstream effectors impacting lipid metabolism and insulin sensitivity. APPL1's involvement in these pathways highlights its multifaceted regulatory roles in cellular metabolism and response to stimuli.

APPL1 exhibits associations with type 2 diabetes and certain cancers. APPL1 influences insulin sensitivity a critical factor in type 2 diabetes pathogenesis. It interacts with proteins like adiponectin and the insulin receptor substrate playing a part in glucose homeostasis. In cancer APPL1's role in AKT signaling can influence tumor growth and survival linking it to dysregulation in cancers such as breast cancer. The ability of APPL1 to modulate key signaling pathways highlights its importance in understanding these diseases.

Product protocols

For this product, it's our understanding that no specific protocols are required. You can visit:

Target data

Multifunctional adapter protein that binds to various membrane receptors, nuclear factors and signaling proteins to regulate many processes, such as cell proliferation, immune response, endosomal trafficking and cell metabolism (PubMed : 10490823, PubMed : 15016378, PubMed : 19661063, PubMed : 26073777, PubMed : 26583432). Regulates signaling pathway leading to cell proliferation through interaction with RAB5A and subunits of the NuRD/MeCP1 complex (PubMed : 15016378). Functions as a positive regulator of innate immune response via activation of AKT1 signaling pathway by forming a complex with APPL1 and PIK3R1 (By similarity). Inhibits Fc-gamma receptor-mediated phagocytosis through PI3K/Akt signaling in macrophages (By similarity). Regulates TLR4 signaling in activated macrophages (By similarity). Involved in trafficking of the TGFBR1 from the endosomes to the nucleus via microtubules in a TRAF6-dependent manner (PubMed : 26583432). Plays a role in cell metabolism by regulating adiponecting and insulin signaling pathways (PubMed : 19661063, PubMed : 24879834, PubMed : 26073777). Required for fibroblast migration through HGF cell signaling (By similarity). Positive regulator of beta-catenin/TCF-dependent transcription through direct interaction with RUVBL2/reptin resulting in the relief of RUVBL2-mediated repression of beta-catenin/TCF target genes by modulating the interactions within the beta-catenin-reptin-HDAC complex (PubMed : 19433865).
See full target information APPL1

Publications (2)

Recent publications for all applications. Explore the full list and refine your search

Experimental and therapeutic medicine 23:157 PubMed35069838

2022

APPL1 ameliorates myocardial ischemia-reperfusion injury by regulating the AMPK signaling pathway.

Applications

Unspecified application

Species

Unspecified reactive species

Yunguang Cen,Wei Liao,Taihao Wang,Daimin Zhang

The Journal of biological chemistry 295:12868-12884 PubMed32580945

2020

Adipose mesenchymal stem cell-derived extracellular vesicles containing microRNA-26a-5p target TLR4 and protect against diabetic nephropathy.

Applications

Unspecified application

Species

Unspecified reactive species

Yurui Duan,Qingyang Luo,Yun Wang,Yali Ma,Fang Chen,Xiaoguang Zhu,Jun Shi
View all publications

Product promise

We are committed to supporting your work with high-quality reagents, and we're here for you every step of the way. In the unlikely event that one of our products does not perform as expected, you're protected by our Product Promise.
For full details, please see our Terms & Conditions

Please note: All products are 'FOR RESEARCH USE ONLY. NOT FOR USE IN DIAGNOSTIC OR THERAPEUTIC PROCEDURES'.

For licensing inquiries, please contact partnerships@abcam.com