JavaScript is disabled in your browser. Please enable JavaScript to view this website.
AB189263

Anti-APRIL/TNFSF13 antibody

Be the first to review this product! Submit a review

|

(3 Publications)

Rabbit Polyclonal APRIL/TNFSF13 antibody. Suitable for IHC-P, WB, ICC/IF and reacts with Human samples. Cited in 3 publications. Immunogen corresponding to Synthetic Peptide within Human TNFSF13 aa 150-200.

View Alternative Names

CD256, APRIL, TALL2, ZTNF2, UNQ383/PRO715, TNFSF13, Tumor necrosis factor ligand superfamily member 13, A proliferation-inducing ligand, TNF- and APOL-related leukocyte expressed ligand 2, TNF-related death ligand 1, TALL-2, TRDL-1

3 Images
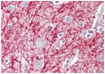
Immunohistochemistry (Formalin/PFA-fixed paraffin-embedded sections) - Anti-APRIL/TNFSF13 antibody (AB189263)
  • IHC-P

Supplier Data

Immunohistochemistry (Formalin/PFA-fixed paraffin-embedded sections) - Anti-APRIL/TNFSF13 antibody (AB189263)

Immunohistochemical analysis of paraffin embedded formalin fixed human brain cortex tissue labeling APRIL/TNFSF13 using ab189263 at 10 μg/ml.

Immunocytochemistry/ Immunofluorescence - Anti-APRIL/TNFSF13 antibody (AB189263)
  • ICC/IF

Supplier Data

Immunocytochemistry/ Immunofluorescence - Anti-APRIL/TNFSF13 antibody (AB189263)

Immunofluorescence of HeLa cells labeling APRIL/TNFSF13 using ab189263 at 1/100 dilution. The picture on the right is treated with the synthesized peptide.

Western blot - Anti-APRIL/TNFSF13 antibody (AB189263)
  • WB

Supplier Data

Western blot - Anti-APRIL/TNFSF13 antibody (AB189263)

All lanes:

Western blot - Anti-APRIL/TNFSF13 antibody (ab189263) at 1/500 dilution

Lane 1:

HeLa cell lysate

Lane 2:

COLO205 cell lysate

Lane 3:

COLO205 cell lysate with immunizing peptide

Predicted band size: 27 kDa

false

Key facts

Host species

Rabbit

Clonality

Polyclonal

Isotype

IgG

Carrier free

No

Reacts with

Human

Applications

IHC-P, ICC/IF, WB

applications

Immunogen

Synthetic Peptide within Human TNFSF13 aa 150-200. The exact immunogen used to generate this antibody is proprietary information.

O75888

Reactivity data

{ "title": "Reactivity Data", "filters": { "stats": ["", "Species", "Dilution Info", "Notes"], "tabs": { "all-applications": {"fullname" : "All Applications", "shortname": "All Applications"}, "IHCP" : {"fullname" : "Immunohistochemistry (Formalin/PFA-fixed paraffin-embedded sections)", "shortname":"IHC-P"}, "WB" : {"fullname" : "Western blot", "shortname":"WB"}, "ICCIF" : {"fullname" : "Immunocytochemistry/ Immunofluorescence", "shortname":"ICC/IF"} }, "product-promise": { "all": "all", "testedAndGuaranteed": "tested", "guaranteed": "expected", "predicted": "predicted", "notRecommended": "not-recommended" } }, "values": { "Human": { "IHCP-species-checked": "testedAndGuaranteed", "IHCP-species-dilution-info": "10 µg/mL", "IHCP-species-notes": "<p></p> Perform heat-mediated antigen retrieval before commencing with IHC staining protocol.", "WB-species-checked": "testedAndGuaranteed", "WB-species-dilution-info": "1/500 - 1/1000", "WB-species-notes": "<p></p>", "ICCIF-species-checked": "testedAndGuaranteed", "ICCIF-species-dilution-info": "1/100 - 1/500", "ICCIF-species-notes": "<p></p>" }, "Mouse": { "IHCP-species-checked": "predicted", "IHCP-species-dilution-info": "", "IHCP-species-notes": "", "WB-species-checked": "predicted", "WB-species-dilution-info": "", "WB-species-notes": "", "ICCIF-species-checked": "predicted", "ICCIF-species-dilution-info": "", "ICCIF-species-notes": "" }, "Rat": { "IHCP-species-checked": "predicted", "IHCP-species-dilution-info": "", "IHCP-species-notes": "", "WB-species-checked": "predicted", "WB-species-dilution-info": "", "WB-species-notes": "", "ICCIF-species-checked": "predicted", "ICCIF-species-dilution-info": "", "ICCIF-species-notes": "" } } }

Properties and storage information

Form
Liquid
Purification technique
Affinity purification Immunogen
Storage buffer
pH: 7.4 Preservative: 0.02% Sodium azide Constituents: PBS, 50% Glycerol (glycerin, glycerine), 0.87% Sodium chloride
Shipped at conditions
Blue Ice
Appropriate short-term storage duration
1-2 weeks
Appropriate short-term storage conditions
+4°C
Appropriate long-term storage conditions
-20°C
Aliquoting information
Upon delivery aliquot
Storage information
Avoid freeze / thaw cycle

Supplementary information

This supplementary information is collated from multiple sources and compiled automatically.

APRIL also known as TNFSF13 is a member of the tumor necrosis factor (TNF) ligand superfamily. This protein has a mass of approximately 31 kDa and undergoes incorporation into different cellular processes. APRIL is mainly expressed in cells of the immune system such as T cells B cells and myeloid cells. The protein plays a critical role in modulating various biological activities including cell survival proliferation and apoptosis.
Biological function summary

APRIL functions as a cytokine involved in immune regulation. The molecule acts independently or as part of a ligand-receptor interaction binding specifically to receptors like BCMA and TACI. This interaction influences B-cell maturation and differentiation driving immune responses. APRIL helps maintain homeostasis within the immune system ensuring appropriate immune activation and preventing overactive immune responses.

Pathways

APRIL coordinates with several immune-related pathways notably the B-cell signaling pathway and the NF-kB signaling pathway. These pathways are essential in immune system modulation influencing how the body responds to pathogens. APRIL interacts with proteins such as BAFF (B-cell activating factor) which share common receptors shaping the immune response through these pathways and ensuring proper immune cell function.

APRIL has connections with conditions like autoimmune diseases and certain lymphomas. Elevated levels of APRIL often occur in diseases like lupus contributing to abnormal B-cell activity and autoantibody production. Additionally its involvement in lymphomas links to excessive proliferation of B cells. Proteins such as BAFF and their receptors play a significant role in these conditions highlighting APRIL's impact on disease mechanisms and potential as a therapeutic target.

Product protocols

For this product, it's our understanding that no specific protocols are required. You can visit:

Target data

Cytokine that binds to TNFRSF13B/TACI and to TNFRSF17/BCMA. Plays a role in the regulation of tumor cell growth. May be involved in monocyte/macrophage-mediated immunological processes.
See full target information TNFSF13

Publications (3)

Recent publications for all applications. Explore the full list and refine your search

International journal of nanomedicine 18:7047-7063 PubMed38046235

2023

Exosome Derived from Mesenchymal Stem Cells Alleviates Hypertrophic Scar by Inhibiting the Fibroblasts via TNFSF-13/HSPG2 Signaling Pathway.

Applications

Unspecified application

Species

Unspecified reactive species

Huimin Zhang,Chengyu Zang,Wen Zhao,Linfeng Zhang,Rui Liu,Zhang Feng,Jie Wu,Rongtao Cui

Journal of clinical medicine 12: PubMed36614872

2022

Renal Tissue Expression of BAFF and BAFF Receptors Is Associated with Proliferative Lupus Nephritis.

Applications

Unspecified application

Species

Unspecified reactive species

Miguel Marín-Rosales,Claudia Azucena Palafox-Sánchez,Ramón Antonio Franco-Topete,Francisco Josué Carrillo-Ballesteros,Alvaro Cruz,Diana Celeste Salazar-Camarena,José Francisco Muñoz-Valle,Francisco Ramos-Solano

Biomedicine & pharmacotherapy = Biomedecine & phar 103:1312-1318 PubMed29864913

2018

miR-129 inhibits tumor growth and potentiates chemosensitivity of neuroblastoma by targeting MYO10.

Applications

Unspecified application

Species

Unspecified reactive species

Xiqian Wang,Jing Li,Xiao Xu,Jiachun Zheng,Qingbo Li
View all publications

Product promise

We are committed to supporting your work with high-quality reagents, and we're here for you every step of the way. In the unlikely event that one of our products does not perform as expected, you're protected by our Product Promise.
For full details, please see our Terms & Conditions

Please note: All products are 'FOR RESEARCH USE ONLY. NOT FOR USE IN DIAGNOSTIC OR THERAPEUTIC PROCEDURES'.

For licensing inquiries, please contact partnerships@abcam.com