JavaScript is disabled in your browser. Please enable JavaScript to view this website.
AB65837

Anti-Aquaporin 1 antibody

4

(1 Review)

|

(15 Publications)

Rabbit Polyclonal Aquaporin 1 antibody. Suitable for WB, IHC-P, IHC-Fr, Flow Cyt and reacts with Mouse, Rat, Human samples. Cited in 15 publications. Immunogen corresponding to Synthetic Peptide within Human AQP1.

View Alternative Names

CHIP28, AQP1, Aquaporin-1, AQP-1, Aquaporin-CHIP, Channel-like integral membrane protein of 28 kDa, Urine water channel

5 Images
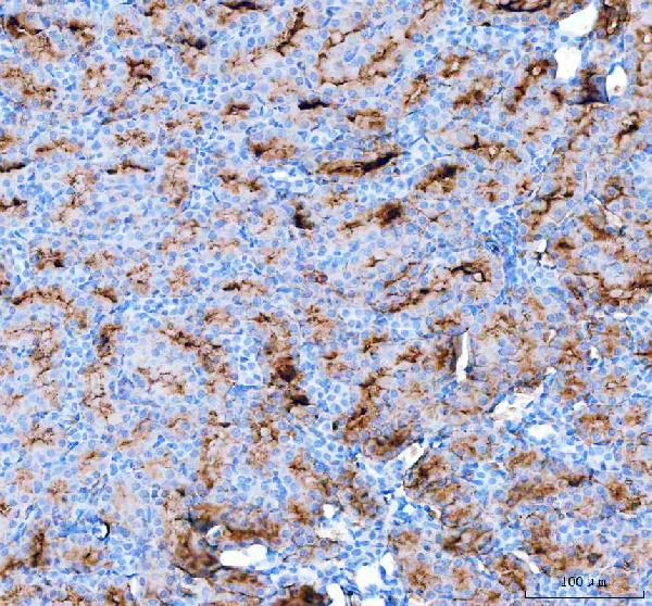
Immunohistochemistry (Formalin/PFA-fixed paraffin-embedded sections) - Anti-Aquaporin 1 antibody (AB65837)
  • IHC-P

Supplier Data

Immunohistochemistry (Formalin/PFA-fixed paraffin-embedded sections) - Anti-Aquaporin 1 antibody (AB65837)

AQP1 was detected in a paraffin-embedded section of human liver cancer tissue. Heat mediated antigen retrieval was performed in EDTA buffer (pH 8.0, epitope retrieval solution). The tissue section was blocked with 10% goat serum. The tissue section was then incubated with 2 µg/ml ab65837 overnight at 4°C. Peroxidase Conjugated Goat Anti-rabbit IgG was used as secondary antibody and incubated for 30 minutes at 37°C. The tissue section was developed using HRP Conjugated Rabbit IgG Super Vision Assay Kit with DAB as the chromogen.

Flow Cytometry - Anti-Aquaporin 1 antibody (AB65837)
  • Flow Cyt

Supplier Data

Flow Cytometry - Anti-Aquaporin 1 antibody (AB65837)

Overlay histogram showing Hela cells stained with ab65837 (Blue). The cells were fixed with 4% paraformaldehyde and blocked with 10% normal goat serum. And then incubated with ab65837 at 1 µg/1x10^6 cells) for 30 min at 20°C. DyLight®488 conjugated goat anti-rabbit IgG at 5-10 µg/1x10^6 cells was used as secondary antibody for 30 minutes at 20°C. Isotype control antibody (Green) was rabbit IgG (1 µg/1x10^6) used under the same conditions. Unlabelled sample (Red) was also used as a control.

Immunohistochemistry (Formalin/PFA-fixed paraffin-embedded sections) - Anti-Aquaporin 1 antibody (AB65837)
  • IHC-P

Supplier Data

Immunohistochemistry (Formalin/PFA-fixed paraffin-embedded sections) - Anti-Aquaporin 1 antibody (AB65837)

AQP1 was detected in a paraffin-embedded section of rat kidney tissue. Heat mediated antigen retrieval was performed in EDTA buffer (pH 8.0, epitope retrieval solution). The tissue section was blocked with 10% goat serum. The tissue section was then incubated with 2 µg/ml ab65837 overnight at 4°C. Peroxidase Conjugated Goat Anti-rabbit IgG was used as secondary antibody and incubated for 30 minutes at 37°C. The tissue section was developed using HRP Conjugated Rabbit IgG Super Vision Assay Kit with DAB as the chromogen.

Immunohistochemistry (Formalin/PFA-fixed paraffin-embedded sections) - Anti-Aquaporin 1 antibody (AB65837)
  • IHC-P

Supplier Data

Immunohistochemistry (Formalin/PFA-fixed paraffin-embedded sections) - Anti-Aquaporin 1 antibody (AB65837)

AQP1 was detected in a paraffin-embedded section of mouse kidney tissue. Heat mediated antigen retrieval was performed in EDTA buffer (pH 8.0, epitope retrieval solution). The tissue section was blocked with 10% goat serum. The tissue section was then incubated with 2 µg/ml ab65837 overnight at 4°C. Peroxidase Conjugated Goat Anti-rabbit IgG was used as secondary antibody and incubated for 30 minutes at 37°C. The tissue section was developed using HRP Conjugated Rabbit IgG Super Vision Assay Kit with DAB as the chromogen.

Western blot - Anti-Aquaporin 1 antibody (AB65837)
  • WB

Supplier Data

Western blot - Anti-Aquaporin 1 antibody (AB65837)

Electrophoresis was performed on a 5-20% SDS-PAGE gel at 70V (Stacking gel) / 90V (Resolving gel) for 2-3 hours. After electrophoresis, proteins were transferred to a nitrocellulose membrane at 150 mA for 50-90 minutes. Blocked the membrane with 5% non-fat milk/TBS for 1.5 hour at RT. The membrane was incubated with ab65837 at 0.5 µg/mL overnight at 4°C, then washed with TBS-0.1% Tween 3 times with 5 minutes each and probed with a goat anti-rabbit IgG-HRP secondary antibody at a dilution of 1/5000 for 1.5 hour at RT. The signal is developed using an Enhanced Chemiluminescent detection (ECL) kit with Tanon 5200 system. A specific band was detected for AQP1 at approximately 29 kDa. The expected band size for Aquaporin 1 is at 29 kDa.

All lanes:

Western blot - Anti-Aquaporin 1 antibody (ab65837) at 0.5 µg/mL

Lane 1:

rat kidney tissue lysates at 30 µg

Lane 2:

mouse kidney tissue lysates at 30 µg

Secondary

All lanes:

goat anti-rabbit IgG-HRP at 1/5000 dilution

true

Key facts

Host species

Rabbit

Clonality

Polyclonal

Isotype

IgG

Carrier free

No

Reacts with

Rat, Human, Mouse

Applications

Flow Cyt, IHC-P, WB, IHC-Fr

applications

Immunogen

Synthetic Peptide within Human AQP1. The exact immunogen used to generate this antibody is proprietary information.

P29972

Reactivity data

{ "title": "Reactivity Data", "filters": { "stats": ["", "Species", "Dilution Info", "Notes"], "tabs": { "all-applications": {"fullname" : "All Applications", "shortname": "All Applications"}, "WB" : {"fullname" : "Western blot", "shortname":"WB"}, "IHCP" : {"fullname" : "Immunohistochemistry (Formalin/PFA-fixed paraffin-embedded sections)", "shortname":"IHC-P"}, "IHCFr" : {"fullname" : "Immunohistochemistry (Frozen sections)", "shortname":"IHC-Fr"}, "FlowCyt" : {"fullname" : "Flow Cytometry", "shortname":"Flow Cyt"} }, "product-promise": { "all": "all", "testedAndGuaranteed": "tested", "guaranteed": "expected", "predicted": "predicted", "notRecommended": "not-recommended" } }, "values": { "Human": { "WB-species-checked": "guaranteed", "WB-species-dilution-info": "", "WB-species-notes": "", "IHCP-species-checked": "testedAndGuaranteed", "IHCP-species-dilution-info": "2-5 µg/mL", "IHCP-species-notes": "<p></p>", "IHCFr-species-checked": "guaranteed", "IHCFr-species-dilution-info": "", "IHCFr-species-notes": "", "FlowCyt-species-checked": "testedAndGuaranteed", "FlowCyt-species-dilution-info": "1-3 µg/cells for 6 µg/cells", "FlowCyt-species-notes": "<p></p>" }, "Mouse": { "WB-species-checked": "testedAndGuaranteed", "WB-species-dilution-info": "0.1-0.5 µg/mL", "WB-species-notes": "<p></p>", "IHCP-species-checked": "guaranteed", "IHCP-species-dilution-info": "", "IHCP-species-notes": "", "IHCFr-species-checked": "guaranteed", "IHCFr-species-dilution-info": "", "IHCFr-species-notes": "", "FlowCyt-species-checked": "guaranteed", "FlowCyt-species-dilution-info": "", "FlowCyt-species-notes": "" }, "Rat": { "WB-species-checked": "testedAndGuaranteed", "WB-species-dilution-info": "0.1-0.5 µg/mL", "WB-species-notes": "<p></p>", "IHCP-species-checked": "testedAndGuaranteed", "IHCP-species-dilution-info": "2-5 µg/mL", "IHCP-species-notes": "<p></p>", "IHCFr-species-checked": "testedAndGuaranteed", "IHCFr-species-dilution-info": "2-5 µg/mL", "IHCFr-species-notes": "<p></p>", "FlowCyt-species-checked": "guaranteed", "FlowCyt-species-dilution-info": "", "FlowCyt-species-notes": "" } } }

Properties and storage information

Form
Liquid
Purification technique
Affinity purification Immunogen
Storage buffer
Constituents: 2% Trehalose, 0.45% Sodium chloride, 0.1% Disodium hydrogenorthophosphate
Shipped at conditions
Blue Ice
Appropriate short-term storage conditions
+4°C
Appropriate long-term storage conditions
-20°C
Aliquoting information
Upon delivery aliquot
Storage information
Avoid freeze / thaw cycle

Supplementary information

This supplementary information is collated from multiple sources and compiled automatically.

Aquaporin 1 also known as Aquaporin-1 AQP-1 or AQP1 is a protein that functions as a water channel facilitating the transport of water across cell membranes. This protein plays an important role in maintaining water homeostasis within cells. Aquaporin 1 has a mass of approximately 28 kDa and is encoded by the AQP1 gene. It is expressed in various tissues and organs including the kidneys lungs and red blood cells indicating its importance in diverse physiological processes.
Biological function summary

Aquaporin 1 is not part of a complex but independently contributes to maintaining osmotic balance and fluid movement across epithelial and endothelial tissues. The protein's selective permeability for water without allowing ions or other solutes highlights its specificity in controlling water transport which is essential for maintaining cellular environment stability.

Pathways

The aquaporin protein is involved in key biological pathways such as the osmoregulatory pathway and the fluid secretion pathway. It maintains efficient water transport in processes like urine concentration in the kidneys and fluid regulation in the pulmonary system. Aquaporins in general are related to similar transport proteins like sodium channels which together play an important role in maintaining osmotic balance across various tissues.

Aquaporin 1's dysfunction has been associated with conditions such as nephrogenic diabetes insipidus and pulmonary edema. These are linked to its role in water reabsorption in the kidneys and fluid balance in the lungs. The disorder's connection ties Aquaporin-1 with other regulatory proteins such as vasopressin receptors which work in conjunction to control renal water reabsorption and response to fluid imbalance.

Product protocols

For this product, it's our understanding that no specific protocols are required. You can visit:

Target data

Forms a water channel that facilitates the transport of water across cell membranes, playing a crucial role in water homeostasis in various tissues (PubMed : 1373524, PubMed : 23219802). Could also be permeable to small solutes including hydrogen peroxide, glycerol and gases such as amonnia (NH3), nitric oxide (NO) and carbon dioxide (CO2) (PubMed : 16682607, PubMed : 17012249, PubMed : 19273840, PubMed : 33028705, PubMed : 8584435). Recruited to the ankyrin-1 complex, a multiprotein complex of the erythrocyte membrane, it could be part of a CO2 metabolon, linking facilitated diffusion of CO2 across the membrane, anion exchange of Cl(-)/HCO3(-) and interconversion of dissolved CO2 and carbonic acid in the cytosol (PubMed : 17012249, PubMed : 35835865). In vitro, it shows non-selective gated cation channel activity and may be permeable to cations like K(+) and Na(+) in vivo (PubMed : 36949749, PubMed : 8703053).
See full target information AQP1

Publications (15)

Recent publications for all applications. Explore the full list and refine your search

Reports of biochemistry & molecular biology 12:59-73 PubMed37724148

2023

Role of Cannabinoid Type 2 Receptor Activation in Renal Fibrosis Induced by Unilateral Ureteric Obstruction in Rats.

Applications

Unspecified application

Species

Unspecified reactive species

Mahmoud El Tohamy,Mohamed Adel,Fayza Rashad El-Menabawy,Gad El Mawla Gad,Randa El-Gamal,Hanaa El Serougy

Open life sciences 18:20220560 PubMed36820212

2023

Soy isoflavone reduces LPS-induced acute lung injury via increasing aquaporin 1 and aquaporin 5 in rats.

Applications

Unspecified application

Species

Unspecified reactive species

Xiaobo Wang,Yili Zhang,Xiuyun Zhou,Xiumei Xia,Weijun Teng,Lin Sheng,Jing Ding

International journal of molecular sciences 24: PubMed36613677

2022

Sulfatide Deficiency, an Early Alzheimer's Lipidomic Signature, Causes Brain Ventricular Enlargement in the Absence of Classical Neuropathological Hallmarks.

Applications

Unspecified application

Species

Unspecified reactive species

Juan Pablo Palavicini,Lin Ding,Meixia Pan,Shulan Qiu,Hu Wang,Qiang Shen,Jeffrey L Dupree,Xianlin Han

JCI insight 7: PubMed34941574

2022

DDR1 contributes to kidney inflammation and fibrosis by promoting the phosphorylation of BCR and STAT3.

Applications

Unspecified application

Species

Unspecified reactive species

Corina M Borza,Gema Bolas,Fabian Bock,Xiuqi Zhang,Favour C Akabogu,Ming-Zhi Zhang,Mark de Caestecker,Min Yang,Haichun Yang,Ethan Lee,Leslie Gewin,Agnes B Fogo,W Hayes McDonald,Roy Zent,Ambra Pozzi

Cell death & disease 12:398 PubMed33854040

2021

The ubiquitin ligase NEDD4-2/NEDD4L regulates both sodium homeostasis and fibrotic signaling to prevent end-stage renal disease.

Applications

Unspecified application

Species

Unspecified reactive species

Jantina A Manning,Sonia S Shah,Andrej Nikolic,Tanya L Henshall,Yeesim Khew-Goodall,Sharad Kumar

Aging 13:8628-8642 PubMed33714955

2021

Activation of ATF4 triggers trabecular meshwork cell dysfunction and apoptosis in POAG.

Applications

Unspecified application

Species

Unspecified reactive species

Ying Ying,Ran Xue,Yangfan Yang,Sarah X Zhang,Hui Xiao,Huazhang Zhu,Jingming Li,Guo Chen,Yiming Ye,Minbin Yu,Xing Liu,Yimin Zhong

PLoS neglected tropical diseases 15:e0009211 PubMed33667230

2021

Zika virus disrupts the barrier structure and Absorption/Secretion functions of the epididymis in mice.

Applications

Unspecified application

Species

Unspecified reactive species

Ziyang Sheng,Na Gao,Dongying Fan,Na Wu,Yingying Zhang,Daishu Han,Yun Zhang,Weilong Tan,Peigang Wang,Jing An

EMBO reports 21:e49680 PubMed32815283

2020

Lamin A-mediated nuclear lamina integrity is required for proper ciliogenesis.

Applications

Unspecified application

Species

Unspecified reactive species

Jia-Rong Fan,Li-Ru You,Won-Jing Wang,Wei-Syun Huang,Ching-Tung Chu,Ya-Hui Chi,Hong-Chen Chen

Cell cycle (Georgetown, Tex.) 18:2026-2039 PubMed31251110

2019

Inhibitory effect of AQP1 silencing on adhesion and angiogenesis in ectopic endometrial cells of mice with endometriosis through activating the Wnt signaling pathway.

Applications

Unspecified application

Species

Unspecified reactive species

Chang Shu,Yang Shu,Yongmei Gao,Hui Chi,Jun Han

BMC nephrology 19:63 PubMed29540150

2018

Expression of brain-derived neurotrophic factor in kidneys from normal and cyclosporine-treated rats.

Applications

Unspecified application

Species

Unspecified reactive species

Yuan Sheng Tao,Shang Guo Piao,Ying Shun Jin,Ji Zhe Jin,Hai Lan Zheng,Hai Yan Zhao,Sun Woo Lim,Chul Woo Yang,Can Li
View all publications

Product promise

We are committed to supporting your work with high-quality reagents, and we're here for you every step of the way. In the unlikely event that one of our products does not perform as expected, you're protected by our Product Promise.
For full details, please see our Terms & Conditions

Please note: All products are 'FOR RESEARCH USE ONLY. NOT FOR USE IN DIAGNOSTIC OR THERAPEUTIC PROCEDURES'.

For licensing inquiries, please contact partnerships@abcam.com