JavaScript is disabled in your browser. Please enable JavaScript to view this website.
AB168387

Anti-Aquaporin 1 antibody [EPR11588(B)]

5

(4 Reviews)

|

(63 Publications)

Anti-Aquaporin 1 antibody [EPR11588(B)] (ab168387) is a rabbit monoclonal antibody detecting Aquaporin 1 in Western Blot, Flow Cytometry (Intra), Flow Cytometry, IHC-P, ICC/IF. Suitable for Human, Mouse, Rat.

- Biophysical QC for unrivalled batch-batch consistency
- Over 30 publications

View Alternative Names

CHIP28, AQP1, Aquaporin-1, AQP-1, Aquaporin-CHIP, Channel-like integral membrane protein of 28 kDa, Urine water channel

7 Images
Flow Cytometry (Intracellular) - Anti-Aquaporin 1 antibody [EPR11588(B)] (AB168387)
  • Flow Cyt (Intra)

Lab

Flow Cytometry (Intracellular) - Anti-Aquaporin 1 antibody [EPR11588(B)] (AB168387)

Flow Cytometry (Intracellular) analysis of 293T (Human embryonic kidney epithelial cell) transfected with EGFP tagged AQP1 construct cells labelling Aquaporin 1 with purified ab168387 at 1/2000 dilution (0.1 μg/mL, Right) (Red). Cells were fixed with 4% Paraformaldehyde and permeabilised with 90% Methanol. A Goat anti rabbit IgG (Alexa Fluor® 647, ab150079) secondary antibody was used at 1/2000. Isotype control - Rabbit monoclonal IgG (Left). Unlabelled control - /.

Immunocytochemistry/ Immunofluorescence - Anti-Aquaporin 1 antibody [EPR11588(B)] (AB168387)
  • ICC/IF

Supplier Data

Immunocytochemistry/ Immunofluorescence - Anti-Aquaporin 1 antibody [EPR11588(B)] (AB168387)

Immunocytochemistry analysis of 293T (Human embryonic kidney epithelial cell) transfected with EGFP tagged AQP1 construct cells labeling Aquaporin 1 with purified ab168387 at 1/50 dilution (3.9 μg/mL). Cells were fixed in 4% Paraformaldehyde and permeabilized with 0.1% tritonX-100. Cells were counterstained with N/A. Goat anti rabbit IgG (Alexa Fluor® 488, ab150077) was used as the secondary antibody at 1/1000 (2 μg/mL) dilution. DAPI (blue) was used as nuclear counterstain. PBS instead of the primary antibody was used as the secondary antibody only control.

Immunohistochemistry (Formalin/PFA-fixed paraffin-embedded sections) - Anti-Aquaporin 1 antibody [EPR11588(B)] (AB168387)
  • IHC-P

Lab

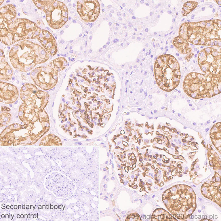
Immunohistochemistry (Formalin/PFA-fixed paraffin-embedded sections) - Anti-Aquaporin 1 antibody [EPR11588(B)] (AB168387)

Immunohistochemistry (Formalin/PFA-fixed paraffin-embedded sections) analysis of human kidney tissue sections labeling Aquaporin 1 with purified ab168387 at 1/8000 dilution (0.02 μg/mL). Heat mediated antigen retrieval was performed using Heat mediated antigen retrieval using Bond™ Epitope Retrieval Solution 2 (pH 9.0). Tissue was counterstained with Hematoxylin. Rabbit specific IHC polymer detection kit HRP/DAB (ab209101) secondary antibody was used. PBS instead of the primary antibody was used as the negative control.

The immunostaining was performed on a Leica Biosystems BOND® RX instrument.

Immunohistochemistry (Formalin/PFA-fixed paraffin-embedded sections) - Anti-Aquaporin 1 antibody [EPR11588(B)] (AB168387)
  • IHC-P

Lab

Immunohistochemistry (Formalin/PFA-fixed paraffin-embedded sections) - Anti-Aquaporin 1 antibody [EPR11588(B)] (AB168387)

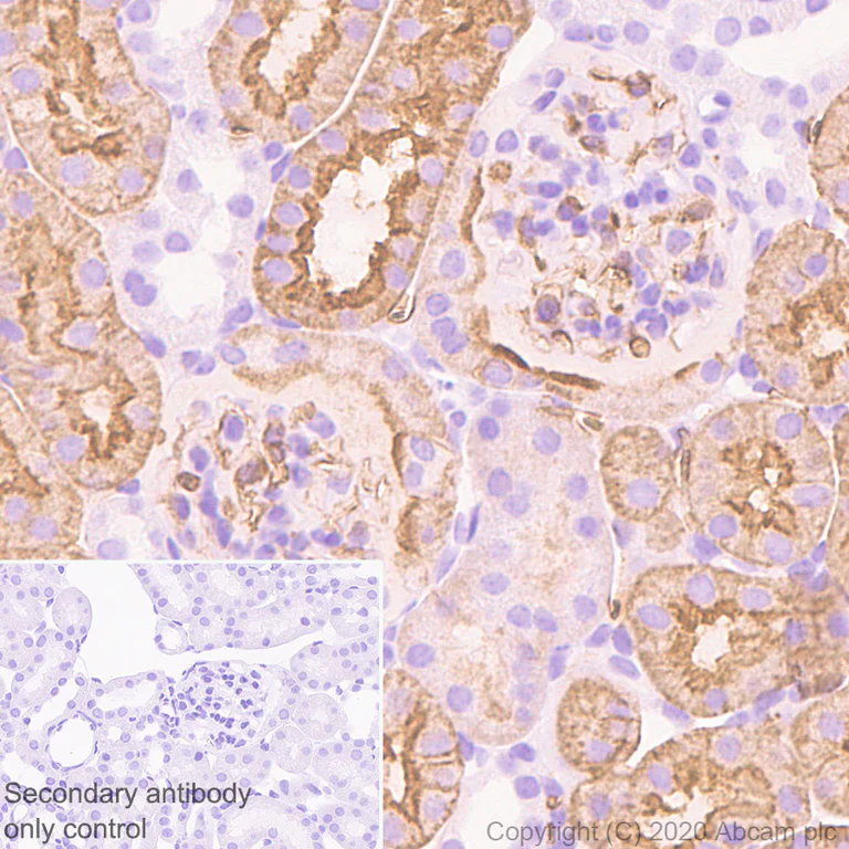
Immunohistochemistry (Formalin/PFA-fixed paraffin-embedded sections) analysis of rat kidney tissue sections labeling Aquaporin 1 with purified ab168387 at 1/8000 dilution (0.02 μg/mL). Heat mediated antigen retrieval was performed using Heat mediated antigen retrieval using Bond™ Epitope Retrieval Solution 2 (pH 9.0). Tissue was counterstained with Hematoxylin. Rabbit specific IHC polymer detection kit HRP/DAB (ab209101) secondary antibody was used. PBS instead of the primary antibody was used as the negative control.

The immunostaining was performed on a Leica Biosystems BOND® RX instrument.

Immunohistochemistry (Formalin/PFA-fixed paraffin-embedded sections) - Anti-Aquaporin 1 antibody [EPR11588(B)] (AB168387)
  • IHC-P

Lab

Immunohistochemistry (Formalin/PFA-fixed paraffin-embedded sections) - Anti-Aquaporin 1 antibody [EPR11588(B)] (AB168387)

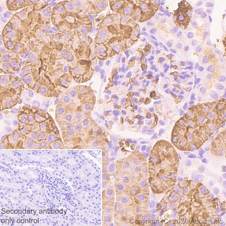
Immunohistochemistry (Formalin/PFA-fixed paraffin-embedded sections) analysis of mouse kidney tissue sections labeling Aquaporin 1 with purified ab168387 at 1/8000 dilution (0.02 μg/mL). Heat mediated antigen retrieval was performed using Heat mediated antigen retrieval using Bond™ Epitope Retrieval Solution 2 (pH 9.0). Tissue was counterstained with Hematoxylin. Rabbit specific IHC polymer detection kit HRP/DAB (ab209101) secondary antibody was used. PBS instead of the primary antibody was used as the negative control.

The immunostaining was performed on a Leica Biosystems BOND® RX instrument.

Western blot - Anti-Aquaporin 1 antibody [EPR11588(B)] (AB168387)
  • WB

Supplier Data

Western blot - Anti-Aquaporin 1 antibody [EPR11588(B)] (AB168387)

Unglycosylated AQP-1 : 28kDa; Glycosylated AQP-1 : 35-50kDa

All lanes:

Western blot - Anti-Aquaporin 1 antibody [EPR11588(B)] (ab168387) at 1/10000 dilution

Lane 1:

Human heart lysate unboiled at 20 µg

Lane 2:

Human spleen lysate unboiled at 20 µg

Secondary

All lanes:

Goat Anti-Rabbit IgG (HRP) with minimal cross-reactivity with human IgG at 1/2000 dilution

Predicted band size: 28 kDa

false

Western blot - Anti-Aquaporin 1 antibody [EPR11588(B)] (AB168387)
  • WB

Unknown

Western blot - Anti-Aquaporin 1 antibody [EPR11588(B)] (AB168387)

Unglycosylated AQP-1 : 28kDa; Glycosylated AQP-1 : 35-50kDa

All lanes:

Western blot - Anti-Aquaporin 1 antibody [EPR11588(B)] (ab168387) at 1/10000 dilution

Lane 1:

Mouse kidney lysate boiled at 20 µg

Lane 2:

Mouse kidney lysate unboiled at 20 µg

Lane 3:

Rat kidney lysate boiled at 20 µg

Lane 4:

Rat kidney lysate unboiled at 20 µg

Secondary

All lanes:

Goat Anti-Rabbit IgG (HRP) with minimal cross-reactivity with human IgG at 1/2000 dilution

Predicted band size: 28 kDa

false

  • 665 Alexa Fluor® 647

    Alexa Fluor® 647 Anti-Aquaporin 1 antibody [EPR11588(B)]

  • Carrier free

    Anti-Aquaporin 1 antibody [EPR11588(B)] - BSA and Azide free

  • 578 PE

    PE Anti-Aquaporin 1 antibody [EPR11588(B)]

  • 660 APC

    APC Anti-Aquaporin 1 antibody [EPR11588(B)]

  • 617 Alexa Fluor® 594

    Alexa Fluor® 594 Anti-Aquaporin 1 antibody [EPR11588(B)]

  • 519 Alexa Fluor® 488

    Alexa Fluor® 488 Anti-Aquaporin 1 antibody [EPR11588(B)]

  • 565 Alexa Fluor® 555

    Alexa Fluor® 555 Anti-Aquaporin 1 antibody [EPR11588(B)]

  • HRP

    HRP Anti-Aquaporin 1 antibody [EPR11588(B)]

Key facts

Host species

Rabbit

Clonality

Monoclonal

Clone number

EPR11588(B)

Isotype

IgG

Carrier free

No

Reacts with

Mouse, Rat, Human

Applications

Flow Cyt (Intra), ICC/IF, WB, IHC-P

applications

Immunogen

The exact immunogen used to generate this antibody is proprietary information.

Reactivity data

{ "title": "Reactivity Data", "filters": { "stats": ["", "Species", "Dilution Info", "Notes"], "tabs": { "all-applications": {"fullname" : "All Applications", "shortname": "All Applications"}, "IHCP" : {"fullname" : "Immunohistochemistry (Formalin/PFA-fixed paraffin-embedded sections)", "shortname":"IHC-P"}, "ICCIF" : {"fullname" : "Immunocytochemistry/ Immunofluorescence", "shortname":"ICC/IF"}, "IP" : {"fullname" : "Immunoprecipitation", "shortname":"IP"}, "WB" : {"fullname" : "Western blot", "shortname":"WB"}, "FlowCytIntra" : {"fullname" : "Flow Cytometry (Intracellular)", "shortname":"Flow Cyt (Intra)"} }, "product-promise": { "all": "all", "testedAndGuaranteed": "tested", "guaranteed": "expected", "predicted": "predicted", "notRecommended": "not-recommended" } }, "values": { "Human": { "IHCP-species-checked": "testedAndGuaranteed", "IHCP-species-dilution-info": "1/8000", "IHCP-species-notes": "<p><strong>For unpurified use at 1/250 - 1/500.</strong></p> Perform heat-mediated antigen retrieval before commencing with IHC staining protocol.", "ICCIF-species-checked": "testedAndGuaranteed", "ICCIF-species-dilution-info": "1/50", "ICCIF-species-notes": "<p></p>", "IP-species-checked": "notRecommended", "IP-species-dilution-info": "", "IP-species-notes": "<p></p>", "WB-species-checked": "testedAndGuaranteed", "WB-species-dilution-info": "1/10000", "WB-species-notes": "<p><strong>For unpurified use at 1/1000 - 1/10000.</strong></p>", "FlowCytIntra-species-checked": "guaranteed", "FlowCytIntra-species-dilution-info": "", "FlowCytIntra-species-notes": "" }, "Mouse": { "IHCP-species-checked": "guaranteed", "IHCP-species-dilution-info": "", "IHCP-species-notes": "", "ICCIF-species-checked": "guaranteed", "ICCIF-species-dilution-info": "1/50", "ICCIF-species-notes": "<p></p>", "IP-species-checked": "notRecommended", "IP-species-dilution-info": "", "IP-species-notes": "<p></p>", "WB-species-checked": "guaranteed", "WB-species-dilution-info": "", "WB-species-notes": "", "FlowCytIntra-species-checked": "testedAndGuaranteed", "FlowCytIntra-species-dilution-info": "1/2000", "FlowCytIntra-species-notes": "<p></p>" }, "Rat": { "IHCP-species-checked": "guaranteed", "IHCP-species-dilution-info": "", "IHCP-species-notes": "", "ICCIF-species-checked": "guaranteed", "ICCIF-species-dilution-info": "1/50", "ICCIF-species-notes": "<p></p>", "IP-species-checked": "notRecommended", "IP-species-dilution-info": "", "IP-species-notes": "<p></p>", "WB-species-checked": "guaranteed", "WB-species-dilution-info": "", "WB-species-notes": "", "FlowCytIntra-species-checked": "testedAndGuaranteed", "FlowCytIntra-species-dilution-info": "1/2000", "FlowCytIntra-species-notes": "<p></p>" } } }

Product details

What is this antibody validated in?
Anti-Aquaporin 1 antibody [EPR11588(B)] (ab168387) is a rabbit recombinant monoclonal antibody and is validated for use in Western Blot (WB), Flow Cytometry (Intra), Flow Cytometry (Flow Cyt), Immunohistochemistry (IHC-P), Immunocytochemistry/immunofluorescence (ICC/IF) in Human, Mouse, Rat samples.

What is the molecular weight of Aquaporin 1?
Anti-Aquaporin 1 [EPR11588(B)] (ab168387) specifically detects a band for Aquaporin 1 (UniProt: P29972) at a molecular weight of 28kDa.

Trusted by the scientific community
Anti-Aquaporin 1 [EPR11588(B)] (ab168387) was first used in a scientific publication in 2013 and has been cited over 30 times in peer-reviewed journals.

Trial sizes available!
Test your antibody or perform pre-screening before committing to a larger quantity. Sold in 10µl. Discover our selection of trial-size antibodies.

Other related products
We have a range of other formats of antibody clone [EPR11588(B)] also available for your convenience: ab168387, Carrier free - ab178352, Alexa Fluor® 647 - ab225225, PE - ab303074, APC - ab303075, HRP - ab303076, Alkaline Phosphatase - ab308672, Alexa Fluor® 488 - ab309643, Alexa Fluor® 594 - ab310374, Alexa Fluor® 555 - ab314335

Patented technology
Our RabMAb® technology is a patented hybridoma-based technology for making rabbit monoclonal antibodies. For details on our patents, please refer to RabMAb® patents.

What are the advantages of a recombinant monoclonal antibody?
This product is a recombinant monoclonal antibody, which offers several advantages including:

  • - High batch-to-batch consistency and reproducibility
  • - Improved sensitivity and specificity
  • - Long-term security of supply
  • - Animal-free batch production

For more information, read more on recombinant antibodies.

Shipping conditions update: ambient shipping

This product will be delivered at ambient temperature instead of chilled – this is by design. Extensive stability testing confirmed that our products are suitable for shipment under ambient conditions and maintain expected quality.

Why the change?

It’s part of our commitment to more sustainable packaging solutions, with ambient deliveries using eco-friendly materials such as recyclable cardboard instead of polystyrene.

What you need to know

  • Ambient shipments come clearly marked on the delivery note.
  • No ice will be included in ambient shipments, but mixed orders (ambient and cold-chain items) will still arrive with ice packs to protect temperature-sensitive products.
  • Warranty coverage remains fully valid, aligned with our validated shipping method.
  • Please store the product as per the datasheet instructions upon receipt.

Find out more - https://www.abcam.com/en-us/support/shipping-storage-support/ambient-shipping

Properties and storage information

Form
Liquid
Purification technique
Affinity purification Protein A
Storage buffer
pH: 7.2 - 7.4 Preservative: 0.01% Sodium azide Constituents: PBS, 40% Glycerol (glycerin, glycerine), 0.05% BSA
Shipped at conditions
Conditional Ambient
Appropriate short-term storage duration
1-2 weeks
Appropriate short-term storage conditions
+4°C
Appropriate long-term storage conditions
-20°C
Aliquoting information
Upon delivery aliquot
Storage information
Avoid freeze / thaw cycle

Supplementary information

This supplementary information is collated from multiple sources and compiled automatically.

Aquaporin 1 also known as Aquaporin-1 AQP-1 or AQP1 is a protein that functions as a water channel facilitating the transport of water across cell membranes. This protein plays an important role in maintaining water homeostasis within cells. Aquaporin 1 has a mass of approximately 28 kDa and is encoded by the AQP1 gene. It is expressed in various tissues and organs including the kidneys lungs and red blood cells indicating its importance in diverse physiological processes.
Biological function summary

Aquaporin 1 is not part of a complex but independently contributes to maintaining osmotic balance and fluid movement across epithelial and endothelial tissues. The protein's selective permeability for water without allowing ions or other solutes highlights its specificity in controlling water transport which is essential for maintaining cellular environment stability.

Pathways

The aquaporin protein is involved in key biological pathways such as the osmoregulatory pathway and the fluid secretion pathway. It maintains efficient water transport in processes like urine concentration in the kidneys and fluid regulation in the pulmonary system. Aquaporins in general are related to similar transport proteins like sodium channels which together play an important role in maintaining osmotic balance across various tissues.

Aquaporin 1's dysfunction has been associated with conditions such as nephrogenic diabetes insipidus and pulmonary edema. These are linked to its role in water reabsorption in the kidneys and fluid balance in the lungs. The disorder's connection ties Aquaporin-1 with other regulatory proteins such as vasopressin receptors which work in conjunction to control renal water reabsorption and response to fluid imbalance.

Product protocols

For this product, it's our understanding that no specific protocols are required. You can visit:

Target data

Forms a water channel that facilitates the transport of water across cell membranes, playing a crucial role in water homeostasis in various tissues (PubMed : 1373524, PubMed : 23219802). Could also be permeable to small solutes including hydrogen peroxide, glycerol and gases such as amonnia (NH3), nitric oxide (NO) and carbon dioxide (CO2) (PubMed : 16682607, PubMed : 17012249, PubMed : 19273840, PubMed : 33028705, PubMed : 8584435). Recruited to the ankyrin-1 complex, a multiprotein complex of the erythrocyte membrane, it could be part of a CO2 metabolon, linking facilitated diffusion of CO2 across the membrane, anion exchange of Cl(-)/HCO3(-) and interconversion of dissolved CO2 and carbonic acid in the cytosol (PubMed : 17012249, PubMed : 35835865). In vitro, it shows non-selective gated cation channel activity and may be permeable to cations like K(+) and Na(+) in vivo (PubMed : 36949749, PubMed : 8703053).
See full target information AQP1

Publications (63)

Recent publications for all applications. Explore the full list and refine your search

Drug design, development and therapy 19:6991-7004 PubMed40827228

2025

Xian Huang Fang Inhibits the PKCδ/MAPK Signaling Pathway to Attenuate Renal Tubular Epithelial Cell Senescence and Thereby Delay Renal Interstitial Fibrosis.

Applications

Unspecified application

Species

Unspecified reactive species

Yanru Wang,Minghai Shao,Tingting Li,Xiu Du,Kanjun Chen,Lin Xu

Nucleic acids research 53: PubMed40598893

2025

Elucidating brain transport pathways and cell type-dependent gene silencing of a durable lipid-siRNA conjugate administered into cerebrospinal fluid.

Applications

Unspecified application

Species

Unspecified reactive species

Alexander G Sorets,Katrina R Schwensen,Nora Francini,Andrew Kjar,Adam M Abdulrahman,Alena Shostak,Ketaki A Katdare,Kathleen M Schoch,Rebecca P Cowell,Joshua C Park,Alexander P Ligocki,William T Ford,Lissa Ventura-Antunes,Ella N Hoogenboezem,Alex Prusky,Mark Castleberry,Danielle L Michell,Emma Fritsch,Sarah M Lyons,Timothy M Miller,Kasey C Vickers,Matthew S Schrag,Craig L Duvall,Ethan S Lippmann

Cell death discovery 11:270 PubMed40490444

2025

Inhibition of epigenetic regulator UHRF1 attenuates renal fibrosis and retains transcription factor Krüppel-like factor 15 expression.

Applications

Unspecified application

Species

Unspecified reactive species

Yulu Gu,Shiqi Lv,Xinhui Huang,Jialin Wang,Yulin Wang,Han Zhang,Ziyan Shen,Jing Chen,Cheng Zhu,Di Zhang,Xiaoqiang Ding,Xiaoyan Zhang

International journal of medical sciences 22:2470-2487 PubMed40386053

2025

Exploring Renin-angiotensin System Genes as Novel Prognostic Biomarkers for Oral Squamous Cell Carcinoma.

Applications

Unspecified application

Species

Unspecified reactive species

Zhengzheng Wu,Can Wang,Jiusong Han,Xiaobing Chen,Jie Wu,Bin Cheng,Juan Wang

Communications biology 7:1679 PubMed39702678

2024

Chemerin attenuates acute kidney injury by inhibiting ferroptosis via the AMPK/NRF2/SLC7A11 axis.

Applications

Unspecified application

Species

Unspecified reactive species

Yidan Ma,Shengnan Fei,Xu Chen,Yuanyuan Gui,Bing Zhou,Tianya Xiang,Jianhang Liu,Kun Yue,Qingxin Li,Wei Jiang,Cheng Sun,Xinzhong Huang

Experimental & molecular medicine 56:2673-2689 PubMed39623092

2024

EPRS1-mediated fibroblast activation and mitochondrial dysfunction promote kidney fibrosis.

Applications

Unspecified application

Species

Unspecified reactive species

Seung Seob Son,Hee Seul Jeong,Seong-Woo Lee,Eun Soo Lee,Jeong Geon Lee,Ji-Hye Lee,Jawoon Yi,Mi Ju Park,Min Sun Choi,Donghyeong Lee,Sin Young Choi,Jiheon Ha,Jeong Suk Kang,Nam-Jun Cho,Samel Park,Hyo-Wook Gil,Choon Hee Chung,Joon Seok Park,Myung Hee Kim,Jihwan Park,Eun Young Lee

Investigative ophthalmology & visual science 65:27 PubMed39287589

2024

Altered Cell Clusters and Upregulated Aqp1 in Connexin 50 Knockout Lens Epithelium.

Applications

Unspecified application

Species

Unspecified reactive species

Chun-Hong Xia,William Lin,Rachel Li,Xinfang Xing,Guangdu Jack Shang,Haiwei Zhang,Xiaohua Gong

Redox biology 76:103317 PubMed39180980

2024

AQP1 differentially orchestrates endothelial cell senescence.

Applications

Unspecified application

Species

Unspecified reactive species

Khatereh Shabanian,Taraneh Shabanian,Gergely Karsai,Luca Pontiggia,Francesco Paneni,Frank Ruschitzka,Jürg H Beer,Seyed Soheil Saeedi Saravi

Clinical kidney journal 17:sfae221 PubMed39145145

2024

Urine metabolite changes after cardiac surgery predict acute kidney injury.

Applications

Unspecified application

Species

Unspecified reactive species

Qi Zeng,Jinghan Feng,Xinni Zhang,Fangyuan Peng,Ting Ren,Zhouping Zou,Chao Tang,Qian Sun,Xiaoqiang Ding,Ping Jia

Blood transfusion = Trasfusione del sangue 22:316-327 PubMed38814883

2024

Ultraviolet light and riboflavin accelerates red blood cell dysfunction in vitro and in a guinea pig transfusion model.

Applications

Unspecified application

Species

Unspecified reactive species

Jin Hyen Baek,Hye Kyung H Shin,Fei Xu,Xiaoyuan Zhang,Matthew C Williams,Yamei Gao,Jaroslav G Vostal,Paul W Buehler,Carlos Villa,Felice D'Agnillo
View all publications

Product promise

We are committed to supporting your work with high-quality reagents, and we're here for you every step of the way. In the unlikely event that one of our products does not perform as expected, you're protected by our Product Promise.
For full details, please see our Terms & Conditions

Please note: All products are 'FOR RESEARCH USE ONLY. NOT FOR USE IN DIAGNOSTIC OR THERAPEUTIC PROCEDURES'.

For licensing inquiries, please contact partnerships@abcam.com