JavaScript is disabled in your browser. Please enable JavaScript to view this website.
AB178352

Anti-Aquaporin 1 antibody [EPR11588(B)] - BSA and Azide free

Be the first to review this product! Submit a review

|

(2 Publications)

Anti-Aquaporin 1 antibody [EPR11588(B)] - BSA and Azide free (ab178352) is a rabbit recombinant monoclonal antibody provided in a PBS only buffer for easy conjugation. Suitable for Western Blot, Flow Cytometry, IHC-P, ICC/IF in Human, Mouse, Rat.

- BSA, sodium azide, and glycerol-free for easy conjugation
- Biophysical QC for unrivalled batch-batch consistency

View Alternative Names

CHIP28, AQP1, Aquaporin-1, AQP-1, Aquaporin-CHIP, Channel-like integral membrane protein of 28 kDa, Urine water channel

7 Images
Flow Cytometry (Intracellular) - Anti-Aquaporin 1 antibody [EPR11588(B)] - BSA and Azide free (AB178352)
  • Flow Cyt (Intra)

Lab

Flow Cytometry (Intracellular) - Anti-Aquaporin 1 antibody [EPR11588(B)] - BSA and Azide free (AB178352)

This data was developed using ab168387, the same antibody clone in a different buffer formulation.
Flow Cytometry (Intracellular) analysis of 293T (Human embryonic kidney epithelial cell) transfected with EGFP tagged AQP1 construct cells labelling Aquaporin 1 with purified ab168387 at 1/2000 dilution (0.1 μg/mL, Right) (Red). Cells were fixed with 4% Paraformaldehyde and permeabilised with 90% Methanol. A Goat anti rabbit IgG (Alexa Fluor® 647, ab150079) secondary antibody was used at 1/2000. Isotype control - Rabbit monoclonal IgG (Left). Unlabelled control - /.

Immunocytochemistry/ Immunofluorescence - Anti-Aquaporin 1 antibody [EPR11588(B)] - BSA and Azide free (AB178352)
  • ICC/IF

Supplier Data

Immunocytochemistry/ Immunofluorescence - Anti-Aquaporin 1 antibody [EPR11588(B)] - BSA and Azide free (AB178352)

This data was developed using ab168387, the same antibody clone in a different buffer formulation.
Immunocytochemistry analysis of 293T (Human embryonic kidney epithelial cell) transfected with EGFP tagged AQP1 construct cells labeling Aquaporin 1 with purified ab168387 at 1/50 dilution (3.9 μg/mL). Cells were fixed in 4% Paraformaldehyde and permeabilized with 0.1% tritonX-100. Cells were counterstained with N/A. Goat anti rabbit IgG (Alexa Fluor® 488, ab150077) was used as the secondary antibody at 1/1000 (2 μg/mL) dilution. DAPI (blue) was used as nuclear counterstain. PBS instead of the primary antibody was used as the secondary antibody only control.

Immunohistochemistry (Formalin/PFA-fixed paraffin-embedded sections) - Anti-Aquaporin 1 antibody [EPR11588(B)] - BSA and Azide free (AB178352)
  • IHC-P

Lab

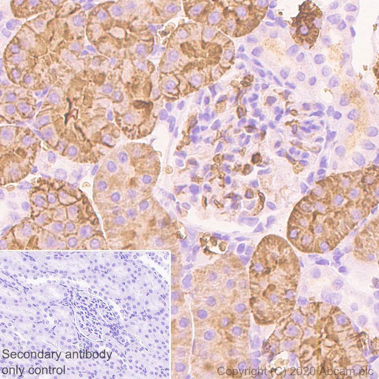
Immunohistochemistry (Formalin/PFA-fixed paraffin-embedded sections) - Anti-Aquaporin 1 antibody [EPR11588(B)] - BSA and Azide free (AB178352)

This data was developed using ab168387, the same antibody clone in a different buffer formulation.

Immunohistochemistry (Formalin/PFA-fixed paraffin-embedded sections) analysis of human kidney tissue sections labeling Aquaporin 1 with purified ab168387 at 1/8000 dilution (0.02 μg/mL). Heat mediated antigen retrieval was performed using Heat mediated antigen retrieval using Bond™ Epitope Retrieval Solution 2 (pH 9.0). Tissue was counterstained with Hematoxylin. Rabbit specific IHC polymer detection kit HRP/DAB (ab209101) secondary antibody was used. PBS instead of the primary antibody was used as the negative control.
The immunostaining was performed on a Leica Biosystems BOND® RX instrument.

Immunohistochemistry (Formalin/PFA-fixed paraffin-embedded sections) - Anti-Aquaporin 1 antibody [EPR11588(B)] - BSA and Azide free (AB178352)
  • IHC-P

Lab

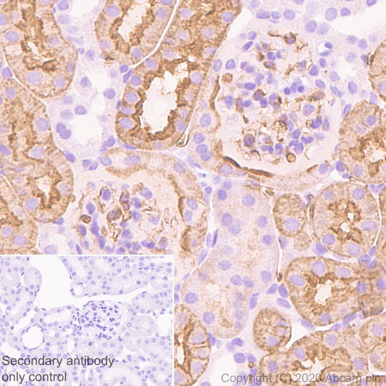
Immunohistochemistry (Formalin/PFA-fixed paraffin-embedded sections) - Anti-Aquaporin 1 antibody [EPR11588(B)] - BSA and Azide free (AB178352)

This data was developed using ab168387, the same antibody clone in a different buffer formulation.

Immunohistochemistry (Formalin/PFA-fixed paraffin-embedded sections) analysis of rat kidney tissue sections labeling Aquaporin 1 with purified ab168387 at 1/8000 dilution (0.02 μg/mL). Heat mediated antigen retrieval was performed using Heat mediated antigen retrieval using Bond™ Epitope Retrieval Solution 2 (pH 9.0). Tissue was counterstained with Hematoxylin. Rabbit specific IHC polymer detection kit HRP/DAB (ab209101) secondary antibody was used. PBS instead of the primary antibody was used as the negative control.
The immunostaining was performed on a Leica Biosystems BOND® RX instrument.

Immunohistochemistry (Formalin/PFA-fixed paraffin-embedded sections) - Anti-Aquaporin 1 antibody [EPR11588(B)] - BSA and Azide free (AB178352)
  • IHC-P

Lab

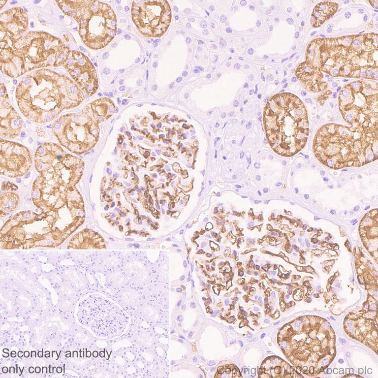
Immunohistochemistry (Formalin/PFA-fixed paraffin-embedded sections) - Anti-Aquaporin 1 antibody [EPR11588(B)] - BSA and Azide free (AB178352)

This data was developed using ab168387, the same antibody clone in a different buffer formulation.

Immunohistochemistry (Formalin/PFA-fixed paraffin-embedded sections) analysis of mouse kidney tissue sections labeling Aquaporin 1 with purified ab168387 at 1/8000 dilution (0.02 μg/mL). Heat mediated antigen retrieval was performed using Heat mediated antigen retrieval using Bond™ Epitope Retrieval Solution 2 (pH 9.0). Tissue was counterstained with Hematoxylin. Rabbit specific IHC polymer detection kit HRP/DAB (ab209101) secondary antibody was used. PBS instead of the primary antibody was used as the negative control.
The immunostaining was performed on a Leica Biosystems BOND® RX instrument.

Western blot - Anti-Aquaporin 1 antibody [EPR11588(B)] - BSA and Azide free (AB178352)
  • WB

Supplier Data

Western blot - Anti-Aquaporin 1 antibody [EPR11588(B)] - BSA and Azide free (AB178352)

Unglycosylated AQP-1 : 28kDa; Glycosylated AQP-1 : 35-50kDa.

This data was developed using ab168387, the same antibody clone in a different buffer formulation.

All lanes:

Western blot - Anti-Aquaporin 1 antibody [EPR11588(B)] (<a href='/en-us/products/primary-antibodies/aquaporin-1-antibody-epr11588b-ab168387'>ab168387</a>) at 1/10000 dilution

Lane 1:

Human heart lysate unboiled at 20 µg

Lane 2:

Human spleen lysate unboiled at 20 µg

Secondary

All lanes:

Goat Anti-Rabbit IgG (HRP) with minimal cross-reactivity with human IgG at 1/2000 dilution

Predicted band size: 28 kDa

false

Western blot - Anti-Aquaporin 1 antibody [EPR11588(B)] - BSA and Azide free (AB178352)
  • WB

Unknown

Western blot - Anti-Aquaporin 1 antibody [EPR11588(B)] - BSA and Azide free (AB178352)

Unglycosylated AQP-1 : 28kDa; Glycosylated AQP-1 : 35-50kDa. This data was developed using ab168387, the same antibody clone in a different buffer formulation.

All lanes:

Western blot - Anti-Aquaporin 1 antibody [EPR11588(B)] (<a href='/en-us/products/primary-antibodies/aquaporin-1-antibody-epr11588b-ab168387'>ab168387</a>) at 1/10000 dilution

Lane 1:

Mouse kidney lysate boiled at 20 µg

Lane 2:

Mouse kidney lysate unboiled at 20 µg

Lane 3:

Rat kidney lysate boiled at 20 µg

Lane 4:

Rat kidney lysate unboiled at 20 µg

Secondary

All lanes:

Goat Anti-Rabbit IgG (HRP) with minimal cross-reactivity with human IgG at 1/2000 dilution

Predicted band size: 28 kDa

false

  • Unconjugated

    Anti-Aquaporin 1 antibody [EPR11588(B)]

  • 665 Alexa Fluor® 647

    Alexa Fluor® 647 Anti-Aquaporin 1 antibody [EPR11588(B)]

  • 578 PE

    PE Anti-Aquaporin 1 antibody [EPR11588(B)]

  • 660 APC

    APC Anti-Aquaporin 1 antibody [EPR11588(B)]

  • HRP

    HRP Anti-Aquaporin 1 antibody [EPR11588(B)]

  • 519 Alexa Fluor® 488

    Alexa Fluor® 488 Anti-Aquaporin 1 antibody [EPR11588(B)]

  • 617 Alexa Fluor® 594

    Alexa Fluor® 594 Anti-Aquaporin 1 antibody [EPR11588(B)]

  • 565 Alexa Fluor® 555

    Alexa Fluor® 555 Anti-Aquaporin 1 antibody [EPR11588(B)]

Key facts

Host species

Rabbit

Clonality

Monoclonal

Clone number

EPR11588(B)

Isotype

IgG

Carrier free

Yes

Reacts with

Mouse, Rat, Human

Applications

WB, IHC-P, ICC/IF, Flow Cyt (Intra)

applications

Immunogen

The exact immunogen used to generate this antibody is proprietary information.

Reactivity data

{ "title": "Reactivity Data", "filters": { "stats": ["", "Species", "Dilution Info", "Notes"], "tabs": { "all-applications": {"fullname" : "All Applications", "shortname": "All Applications"}, "IHCP" : {"fullname" : "Immunohistochemistry (Formalin/PFA-fixed paraffin-embedded sections)", "shortname":"IHC-P"}, "ICCIF" : {"fullname" : "Immunocytochemistry/ Immunofluorescence", "shortname":"ICC/IF"}, "IP" : {"fullname" : "Immunoprecipitation", "shortname":"IP"}, "WB" : {"fullname" : "Western blot", "shortname":"WB"}, "FlowCytIntra" : {"fullname" : "Flow Cytometry (Intracellular)", "shortname":"Flow Cyt (Intra)"} }, "product-promise": { "all": "all", "testedAndGuaranteed": "tested", "guaranteed": "expected", "predicted": "predicted", "notRecommended": "not-recommended" } }, "values": { "Human": { "IHCP-species-checked": "testedAndGuaranteed", "IHCP-species-dilution-info": "", "IHCP-species-notes": "<p></p>", "ICCIF-species-checked": "guaranteed", "ICCIF-species-dilution-info": "", "ICCIF-species-notes": "", "IP-species-checked": "notRecommended", "IP-species-dilution-info": "", "IP-species-notes": "<p></p>", "WB-species-checked": "testedAndGuaranteed", "WB-species-dilution-info": "", "WB-species-notes": "<p></p>", "FlowCytIntra-species-checked": "guaranteed", "FlowCytIntra-species-dilution-info": "", "FlowCytIntra-species-notes": "" }, "Mouse": { "IHCP-species-checked": "guaranteed", "IHCP-species-dilution-info": "", "IHCP-species-notes": "", "ICCIF-species-checked": "testedAndGuaranteed", "ICCIF-species-dilution-info": "", "ICCIF-species-notes": "<p></p>", "IP-species-checked": "notRecommended", "IP-species-dilution-info": "", "IP-species-notes": "<p></p>", "WB-species-checked": "testedAndGuaranteed", "WB-species-dilution-info": "", "WB-species-notes": "<p></p>", "FlowCytIntra-species-checked": "testedAndGuaranteed", "FlowCytIntra-species-dilution-info": "", "FlowCytIntra-species-notes": "<p></p>" }, "Rat": { "IHCP-species-checked": "guaranteed", "IHCP-species-dilution-info": "", "IHCP-species-notes": "", "ICCIF-species-checked": "testedAndGuaranteed", "ICCIF-species-dilution-info": "", "ICCIF-species-notes": "<p></p>", "IP-species-checked": "notRecommended", "IP-species-dilution-info": "", "IP-species-notes": "<p></p>", "WB-species-checked": "testedAndGuaranteed", "WB-species-dilution-info": "", "WB-species-notes": "<p></p>", "FlowCytIntra-species-checked": "testedAndGuaranteed", "FlowCytIntra-species-dilution-info": "", "FlowCytIntra-species-notes": "<p></p>" } } }

Product details

What is this antibody validated in?
Anti-Aquaporin 1 antibody [EPR11588(B)] - BSA and Azide free (ab178352) is a rabbit recombinant monoclonal antibody and is validated for use in Western Blot (WB), Flow Cytometry (Intra), Flow Cytometry (Flow Cyt), Immunohistochemistry (IHC-P), Immunocytochemistry/immunofluorescence (ICC/IF) in Human, Mouse, Rat samples.

What is the molecular weight of Aquaporin 1?
Anti-Aquaporin 1 [EPR11588(B)] - BSA and Azide free (ab178352) specifically detects a band for Aquaporin 1 (UniProt: P29972) at a molecular weight of 28kDa.

Other related products
We have a range of other formats of antibody clone [EPR11588(B)] also available for your convenience: ab168387, Carrier free - ab178352, Alexa Fluor® 647 - ab225225, PE - ab303074, APC - ab303075, HRP - ab303076, Alkaline Phosphatase - ab308672, Alexa Fluor® 488 - ab309643, Alexa Fluor® 594 - ab310374, Alexa Fluor® 555 - ab314335

Patented technology
Our RabMAb® technology is a patented hybridoma-based technology for making rabbit monoclonal antibodies. For details on our patents, please refer to RabMAb® patents.

Conjugation ready
Our carrier-free antibodies are typically supplied in a PBS-only formulation, purified and free of BSA, sodium azide and glycerol. This conjugation-ready format is designed for use with fluorochromes, metal isotopes, oligonucleotides, and enzymes, which makes them ideal for antibody labelling, functional and cell-based assays, flow-based assays (e.g. mass cytometry) and Multiplex Imaging applications.

Use our conjugation kits for antibody conjugates that are ready-to-use in as little as 20 minutes with 1 minute hands-on-time and 100% antibody recovery: available for fluorescent dyes, HRP, biotin and gold.

Compatibility
This product is compatible with the Maxpar® Antibody Labeling Kit from Fluidigm, without the need for antibody preparation. Maxpar® is a trademark of Fluidigm Canada Inc.

Properties and storage information

Form
Liquid
Purification technique
Affinity purification Protein A
Storage buffer
Constituents: PBS
Shipped at conditions
Blue Ice
Appropriate short-term storage conditions
+4°C
Appropriate long-term storage conditions
+4°C
Storage information
Do Not Freeze

Supplementary information

This supplementary information is collated from multiple sources and compiled automatically.

Aquaporin 1 also known as Aquaporin-1 AQP-1 or AQP1 is a protein that functions as a water channel facilitating the transport of water across cell membranes. This protein plays an important role in maintaining water homeostasis within cells. Aquaporin 1 has a mass of approximately 28 kDa and is encoded by the AQP1 gene. It is expressed in various tissues and organs including the kidneys lungs and red blood cells indicating its importance in diverse physiological processes.
Biological function summary

Aquaporin 1 is not part of a complex but independently contributes to maintaining osmotic balance and fluid movement across epithelial and endothelial tissues. The protein's selective permeability for water without allowing ions or other solutes highlights its specificity in controlling water transport which is essential for maintaining cellular environment stability.

Pathways

The aquaporin protein is involved in key biological pathways such as the osmoregulatory pathway and the fluid secretion pathway. It maintains efficient water transport in processes like urine concentration in the kidneys and fluid regulation in the pulmonary system. Aquaporins in general are related to similar transport proteins like sodium channels which together play an important role in maintaining osmotic balance across various tissues.

Aquaporin 1's dysfunction has been associated with conditions such as nephrogenic diabetes insipidus and pulmonary edema. These are linked to its role in water reabsorption in the kidneys and fluid balance in the lungs. The disorder's connection ties Aquaporin-1 with other regulatory proteins such as vasopressin receptors which work in conjunction to control renal water reabsorption and response to fluid imbalance.

Product protocols

For this product, it's our understanding that no specific protocols are required. You can visit:

Target data

Forms a water channel that facilitates the transport of water across cell membranes, playing a crucial role in water homeostasis in various tissues (PubMed : 1373524, PubMed : 23219802). Could also be permeable to small solutes including hydrogen peroxide, glycerol and gases such as amonnia (NH3), nitric oxide (NO) and carbon dioxide (CO2) (PubMed : 16682607, PubMed : 17012249, PubMed : 19273840, PubMed : 33028705, PubMed : 8584435). Recruited to the ankyrin-1 complex, a multiprotein complex of the erythrocyte membrane, it could be part of a CO2 metabolon, linking facilitated diffusion of CO2 across the membrane, anion exchange of Cl(-)/HCO3(-) and interconversion of dissolved CO2 and carbonic acid in the cytosol (PubMed : 17012249, PubMed : 35835865). In vitro, it shows non-selective gated cation channel activity and may be permeable to cations like K(+) and Na(+) in vivo (PubMed : 36949749, PubMed : 8703053).
See full target information AQP1

Publications (2)

Recent publications for all applications. Explore the full list and refine your search

Nature genetics 57:1213-1227 PubMed40259083

2025

Multi-omic and spatial analysis of mouse kidneys highlights sex-specific differences in gene regulation across the lifespan.

Applications

Unspecified application

Species

Unspecified reactive species

Siqi Chen,Ruiyang Liu,Chia-Kuei Mo,Michael C Wendl,Andrew Houston,Preet Lal,Yanyan Zhao,Wagma Caravan,Andrew T Shinkle,Atieh Abedin-Do,Nataly Naser Al Deen,Kazuhito Sato,Xiang Li,André Luiz N Targino da Costa,Yize Li,Alla Karpova,John M Herndon,Maxim N Artyomov,Joshua B Rubin,Sanjay Jain,Xue Li,Sheila A Stewart,Li Ding,Feng Chen

The EMBO journal 39:e102731 PubMed32149416

2020

CLUH granules coordinate translation of mitochondrial proteins with mTORC1 signaling and mitophagy.

Applications

Unspecified application

Species

Unspecified reactive species

David Pla-Martín,Désirée Schatton,Janica L Wiederstein,Marie-Charlotte Marx,Salim Khiati,Marcus Krüger,Elena I Rugarli
View all publications

Product promise

We are committed to supporting your work with high-quality reagents, and we're here for you every step of the way. In the unlikely event that one of our products does not perform as expected, you're protected by our Product Promise.
For full details, please see our Terms & Conditions

Please note: All products are 'FOR RESEARCH USE ONLY. NOT FOR USE IN DIAGNOSTIC OR THERAPEUTIC PROCEDURES'.

For licensing inquiries, please contact partnerships@abcam.com