JavaScript is disabled in your browser. Please enable JavaScript to view this website.
AB300464

Anti-Aquaporin 1 antibody [EPR26554-46] (BSA and Azide free)

Be the first to review this product! Submit a review

|

(0 Publication)

Rabbit Recombinant Monoclonal Aquaporin 1 antibody. Carrier free. Suitable for WB, IHC-P, IHC-Fr, IP and reacts with Human, Mouse, Rat samples.

View Alternative Names

CHIP28, AQP1, Aquaporin-1, AQP-1, Aquaporin-CHIP, Channel-like integral membrane protein of 28 kDa, Urine water channel

10 Images
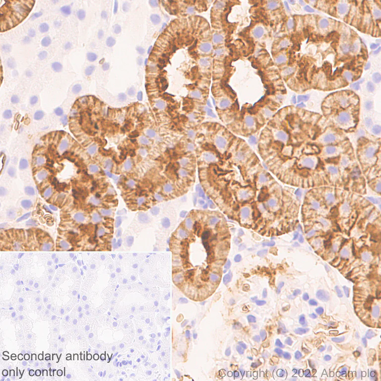
Immunohistochemistry (Formalin/PFA-fixed paraffin-embedded sections) - Anti-Aquaporin 1 antibody [EPR26554-46] (BSA and Azide free) (AB300464)
  • IHC-P

Supplier Data

Immunohistochemistry (Formalin/PFA-fixed paraffin-embedded sections) - Anti-Aquaporin 1 antibody [EPR26554-46] (BSA and Azide free) (AB300464)

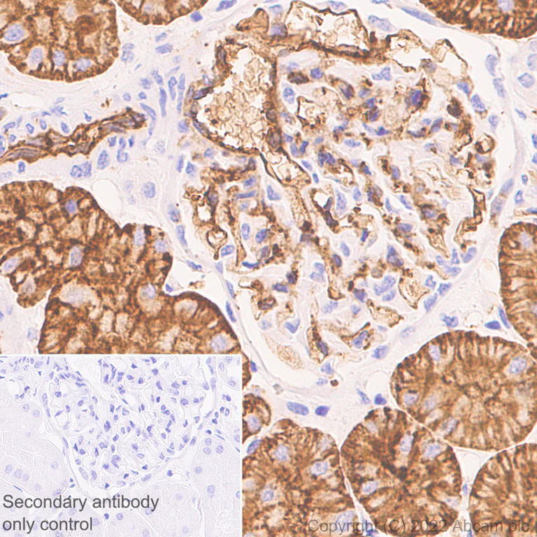
This data was developed using ab300463, the same antibody clone in a different buffer formulation.Immunohistochemical analysis of paraffin-embedded Human kidney tissue labeling Aquaporin-1 with ab300463 at 1/5000 (0.091 ug/ml) followed by a ready to use LeicaDS9800 (Bond™ Polymer Refine Detection) was used. Positive staining on human kidney (PMID : 14514735).The section was incubated with ab300463 for 30 mins at room temperature.The immunostaining was performed on a Leica Biosystems BOND® RX instrument Counterstained with Hematoxylin. Secondary antibody only control : Secondary antibody is a ready to use LeicaDS9800 (Bond™ Polymer Refine Detection) was used.Heat mediated antigen retrieval with Tris-EDTA buffer (pH 9.0, epitope retrieval solution2) for 20 mins

Immunohistochemistry (Formalin/PFA-fixed paraffin-embedded sections) - Anti-Aquaporin 1 antibody [EPR26554-46] (BSA and Azide free) (AB300464)
  • IHC-P

Supplier Data

Immunohistochemistry (Formalin/PFA-fixed paraffin-embedded sections) - Anti-Aquaporin 1 antibody [EPR26554-46] (BSA and Azide free) (AB300464)

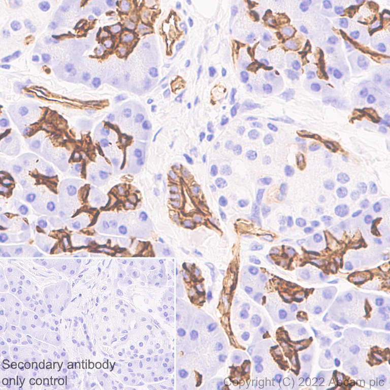
This data was developed using ab300463, the same antibody clone in a different buffer formulation.Immunohistochemical analysis of paraffin-embedded Human pancreas tissue labeling Aquaporin-1 with ab300463 at 1/5000 (0.091 ug/ml) followed by a ready to use LeicaDS9800 (Bond™ Polymer Refine Detection) was used. Membraneous staining on human pancreas (PMID : 12801959).The section was incubated with ab300463 for 30 mins at room temperature.The immunostaining was performed on a Leica Biosystems BOND® RX instrument Counterstained with Hematoxylin. Secondary antibody only control : Secondary antibody is a ready to use LeicaDS9800 (Bond™ Polymer Refine Detection) was used.Heat mediated antigen retrieval with Tris-EDTA buffer (pH 9.0, epitope retrieval solution2) for 20 mins

Immunohistochemistry (Formalin/PFA-fixed paraffin-embedded sections) - Anti-Aquaporin 1 antibody [EPR26554-46] (BSA and Azide free) (AB300464)
  • IHC-P

Supplier Data

Immunohistochemistry (Formalin/PFA-fixed paraffin-embedded sections) - Anti-Aquaporin 1 antibody [EPR26554-46] (BSA and Azide free) (AB300464)

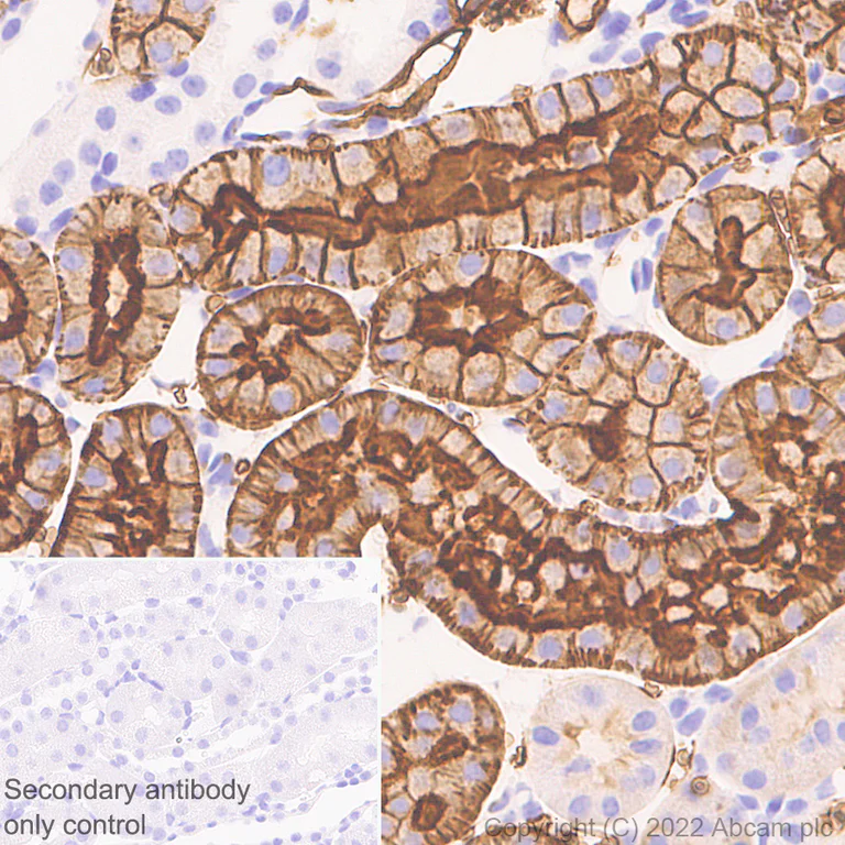
This data was developed using ab300463, the same antibody clone in a different buffer formulation.Immunohistochemical analysis of paraffin-embedded Mouse kidney tissue labeling Aquaporin-1 with ab300463 at 1/5000 (0.091 ug/ml) followed by a ready to use LeicaDS9800 (Bond™ Polymer Refine Detection) was used. Positive staining on mouse kidney (PMID : 21712517).The section was incubated with ab300463 for 30 mins at room temperature.The immunostaining was performed on a Leica Biosystems BOND® RX instrument Counterstained with Hematoxylin. Secondary antibody only control : Secondary antibody is a ready to use LeicaDS9800 (Bond™ Polymer Refine Detection) was used.Heat mediated antigen retrieval with Tris-EDTA buffer (pH 9.0, epitope retrieval solution2) for 20 mins

Immunohistochemistry (Formalin/PFA-fixed paraffin-embedded sections) - Anti-Aquaporin 1 antibody [EPR26554-46] (BSA and Azide free) (AB300464)
  • IHC-P

Supplier Data

Immunohistochemistry (Formalin/PFA-fixed paraffin-embedded sections) - Anti-Aquaporin 1 antibody [EPR26554-46] (BSA and Azide free) (AB300464)

This data was developed using ab300463, the same antibody clone in a different buffer formulation.Immunohistochemical analysis of paraffin-embedded Rat kidney tissue labeling Aquaporin-1 with ab300463 at 1/5000 (0.091 ug/ml) followed by a ready to use LeicaDS9800 (Bond™ Polymer Refine Detection) was used. Positive staining on rat kidney (PMID : 11316845).The section was incubated with ab300463 for 30 mins at room temperature.The immunostaining was performed on a Leica Biosystems BOND® RX instrument Counterstained with Hematoxylin. Secondary antibody only control : Secondary antibody is a ready to use LeicaDS9800 (Bond™ Polymer Refine Detection) was used.Heat mediated antigen retrieval with Tris-EDTA buffer (pH 9.0, epitope retrieval solution2) for 20 mins

Immunohistochemistry (Frozen sections) - Anti-Aquaporin 1 antibody [EPR26554-46] (BSA and Azide free) (AB300464)
  • IHC-Fr

Supplier Data

Immunohistochemistry (Frozen sections) - Anti-Aquaporin 1 antibody [EPR26554-46] (BSA and Azide free) (AB300464)

This data was developed using ab300463, the same antibody clone in a different buffer formulation. Immunohistochemical analysis of 4% PFA-fixed, 0.2% Triton X-100 permeabilized frozen Rat kidney (fresh) tissue labeling Aquaporin-1 with ab300463 at 1/500 (0.912 ug/ml) dilution followed by ab150081 Goat Anti-Rabbit IgG H&L (Alexa Fluor® 488) preadsorbed at 1/1000 2 ug/mL dilution (Green). Positive staining on rat kidney is observed. The nuclear counterstain was DAPI (Blue). Secondary antibody control : Secondary antibody is ab150081 Goat Anti-Rabbit IgG H&L (Alexa Fluor® 488) preadsorbed at 1/1000 2 ug/mL dilution.

Immunohistochemistry (Frozen sections) - Anti-Aquaporin 1 antibody [EPR26554-46] (BSA and Azide free) (AB300464)
  • IHC-Fr

Supplier Data

Immunohistochemistry (Frozen sections) - Anti-Aquaporin 1 antibody [EPR26554-46] (BSA and Azide free) (AB300464)

This data was developed using ab300463, the same antibody clone in a different buffer formulation. Immunohistochemical analysis of 4% PFA-fixed, 0.2% Triton X-100 permeabilized frozen Mouse kidney (fresh) tissue labeling Aquaporin-1 with ab300463 at 1/500 (0.912 ug/ml) dilution followed by ab150081 Goat Anti-Rabbit IgG H&L (Alexa Fluor® 488) preadsorbed at 1/1000 2 ug/mL dilution (Green). Positive staining on mouse kidney is observed. The nuclear counterstain was DAPI (Blue). Secondary antibody control : Secondary antibody is ab150081 Goat Anti-Rabbit IgG H&L (Alexa Fluor® 488) preadsorbed at 1/1000 2 ug/mL dilution.

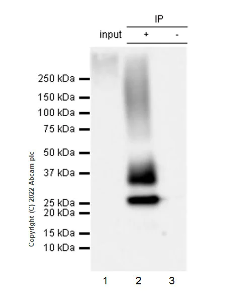
Immunoprecipitation - Anti-Aquaporin 1 antibody [EPR26554-46] (BSA and Azide free) (AB300464)
  • IP

Supplier Data

Immunoprecipitation - Anti-Aquaporin 1 antibody [EPR26554-46] (BSA and Azide free) (AB300464)

Aquaporin-1 was immunoprecipitated from 0.35 mg Mouse kidney tissue lysate 10 ug with ab300463 at 1/30 dilution (2ug in 0.35mg lysates). Western blot was performed on the immunoprecipitate using ab300463 at 1/1000 dilution. VeriBlot for IP secondary antibody(HRP)(ab131366) was used at 1/5000 dilution. Lane 1 : Mouse kidney tissue lysate 10 µg Lane 2 : ab300463 IP in Mouse kidney tissue lysate Lane 3 : Rabbit monoclonal IgG (ab172730) instead of ab300463 in Mouse kidney tissue lysate Blocking and dilution buffer and concentration : 5% NFDM/TBST. Exposure time : 5.5 seconds

All lanes:

Immunoprecipitation - Anti-Aquaporin 1 antibody [EPR26554-46] (<a href='/en-us/products/primary-antibodies/aquaporin-1-antibody-epr26554-46-ab300463'>ab300463</a>) at 1/1000 dilution

All lanes:

Mouse kidney tissue lysate at 10 µg

Secondary

All lanes:

Immunoprecipitation - VeriBlot for IP Detection Reagent (HRP) (<a href='/en-us/products/reagents/veriblot-for-ip-detection-reagent-hrp-ab131366'>ab131366</a>) at 1/5000 dilution

false

Exposure time: 5.5s

Western blot - Anti-Aquaporin 1 antibody [EPR26554-46] (BSA and Azide free) (AB300464)
  • WB

Supplier Data

Western blot - Anti-Aquaporin 1 antibody [EPR26554-46] (BSA and Azide free) (AB300464)

This data was developed using ab300463, the same antibody clone in a different buffer formulation. Blocking Buffer and concentration : 5% NFDM/TBST

All lanes:

Western blot - Anti-Aquaporin 1 antibody [EPR26554-46] (<a href='/en-us/products/primary-antibodies/aquaporin-1-antibody-epr26554-46-ab300463'>ab300463</a>) at 1/1000 dilution

Lane 1:

Human kidney tissue lysate

Lane 2:

Human lu tissue lysate 20

Lane 3:

Mouse kidney tissue lysate

Lane 4:

Mouse lu tissue lysate 20

Lane 5:

Mouse brain tissue lysate

Secondary

All lanes:

Goat Anti-Rabbit IgG (HRP) with minimal cross-reactivity with human IgG at 1/5000 dilution

Observed band size: 28 kDa,35 kDa

false

Exposure time: 7.75s

Western blot - Anti-Aquaporin 1 antibody [EPR26554-46] (BSA and Azide free) (AB300464)
  • WB

Supplier Data

Western blot - Anti-Aquaporin 1 antibody [EPR26554-46] (BSA and Azide free) (AB300464)

This data was developed using ab300463, the same antibody clone in a different buffer formulation. Blocking Buffer and concentration : 5% NFDM/TBST

All lanes:

Western blot - Anti-Aquaporin 1 antibody [EPR26554-46] (<a href='/en-us/products/primary-antibodies/aquaporin-1-antibody-epr26554-46-ab300463'>ab300463</a>) at 1/1000 dilution

Lane 1:

Rat kidney tissue lysate

Lane 2:

Rat brain tissue lysate

Secondary

All lanes:

Goat Anti-Rabbit IgG (HRP) with minimal cross-reactivity with human IgG at 1/5000 dilution

Observed band size: 28 kDa,35 kDa

false

Exposure time: 3.25s

Western blot - Anti-Aquaporin 1 antibody [EPR26554-46] (BSA and Azide free) (AB300464)
  • WB

Supplier Data

Western blot - Anti-Aquaporin 1 antibody [EPR26554-46] (BSA and Azide free) (AB300464)

This data was developed using ab300463, the same antibody clone in a different buffer formulation. Blocking Buffer and concentration : 5% NFDM/TBST

All lanes:

Western blot - Anti-Aquaporin 1 antibody [EPR26554-46] (<a href='/en-us/products/primary-antibodies/aquaporin-1-antibody-epr26554-46-ab300463'>ab300463</a>) at 1/1000 dilution

Lane 1:

Untreated Mouse kidney tissue lysate

Lane 2:

Mouse kidney tissue lysate treated with Protein Deglycosylation MIX II

Lane 3:

Untreated Rat kidney tissue lysate

Lane 4:

Rat kidney tissue lysate treated with Protein Deglycosylation MIX II

Secondary

All lanes:

Goat Anti-Rabbit IgG (HRP) with minimal cross-reactivity with human IgG at 1/2000 dilution

Observed band size: 28 kDa,35 kDa

false

Exposure time: 1s

Key facts

Host species

Rabbit

Clonality

Monoclonal

Clone number

EPR26554-46

Isotype

IgG

Carrier free

Yes

Reacts with

Human, Mouse, Rat

Applications

WB, IHC-P, IHC-Fr, IP

applications

Immunogen

The exact immunogen used to generate this antibody is proprietary information.

Reactivity data

{ "title": "Reactivity Data", "filters": { "stats": ["", "Species", "Dilution Info", "Notes"], "tabs": { "all-applications": {"fullname" : "All Applications", "shortname": "All Applications"}, "WB" : {"fullname" : "Western blot", "shortname":"WB"}, "IHCP" : {"fullname" : "Immunohistochemistry (Formalin/PFA-fixed paraffin-embedded sections)", "shortname":"IHC-P"}, "IHCFr" : {"fullname" : "Immunohistochemistry (Frozen sections)", "shortname":"IHC-Fr"}, "ICCIF" : {"fullname" : "Immunocytochemistry/ Immunofluorescence", "shortname":"ICC/IF"}, "IP" : {"fullname" : "Immunoprecipitation", "shortname":"IP"}, "FlowCyt" : {"fullname" : "Flow Cytometry", "shortname":"Flow Cyt"} }, "product-promise": { "all": "all", "testedAndGuaranteed": "tested", "guaranteed": "expected", "predicted": "predicted", "notRecommended": "not-recommended" } }, "values": { "Human": { "WB-species-checked": "testedAndGuaranteed", "WB-species-dilution-info": "", "WB-species-notes": "<p></p>", "IHCP-species-checked": "testedAndGuaranteed", "IHCP-species-dilution-info": "", "IHCP-species-notes": "<p></p>", "IHCFr-species-checked": "guaranteed", "IHCFr-species-dilution-info": "", "IHCFr-species-notes": "", "ICCIF-species-checked": "notRecommended", "ICCIF-species-dilution-info": "", "ICCIF-species-notes": "<p></p>", "IP-species-checked": "guaranteed", "IP-species-dilution-info": "", "IP-species-notes": "", "FlowCyt-species-checked": "notRecommended", "FlowCyt-species-dilution-info": "", "FlowCyt-species-notes": "" }, "Mouse": { "WB-species-checked": "testedAndGuaranteed", "WB-species-dilution-info": "", "WB-species-notes": "<p></p>", "IHCP-species-checked": "testedAndGuaranteed", "IHCP-species-dilution-info": "", "IHCP-species-notes": "<p></p>", "IHCFr-species-checked": "testedAndGuaranteed", "IHCFr-species-dilution-info": "", "IHCFr-species-notes": "<p></p>", "ICCIF-species-checked": "notRecommended", "ICCIF-species-dilution-info": "", "ICCIF-species-notes": "<p></p>", "IP-species-checked": "testedAndGuaranteed", "IP-species-dilution-info": "", "IP-species-notes": "<p></p>", "FlowCyt-species-checked": "notRecommended", "FlowCyt-species-dilution-info": "", "FlowCyt-species-notes": "<p></p>" }, "Rat": { "WB-species-checked": "testedAndGuaranteed", "WB-species-dilution-info": "", "WB-species-notes": "<p></p>", "IHCP-species-checked": "testedAndGuaranteed", "IHCP-species-dilution-info": "", "IHCP-species-notes": "<p></p>", "IHCFr-species-checked": "testedAndGuaranteed", "IHCFr-species-dilution-info": "", "IHCFr-species-notes": "<p></p>", "ICCIF-species-checked": "notRecommended", "ICCIF-species-dilution-info": "", "ICCIF-species-notes": "", "IP-species-checked": "guaranteed", "IP-species-dilution-info": "", "IP-species-notes": "", "FlowCyt-species-checked": "notRecommended", "FlowCyt-species-dilution-info": "", "FlowCyt-species-notes": "" } } }

Product details

Patented technology
Our RabMAb® technology is a patented hybridoma-based technology for making rabbit monoclonal antibodies. For details on our patents, please refer to RabMAb® patents.

What are the advantages of a recombinant monoclonal antibody?
This product is a recombinant monoclonal antibody, which offers several advantages including:

  • - High batch-to-batch consistency and reproducibility
  • - Improved sensitivity and specificity
  • - Long-term security of supply
  • - Animal-free batch production

For more information, read more on recombinant antibodies.

Conjugation ready
Our carrier-free antibodies are typically supplied in a PBS-only formulation, purified and free of BSA, sodium azide and glycerol. This conjugation-ready format is designed for use with fluorochromes, metal isotopes, oligonucleotides, and enzymes, which makes them ideal for antibody labelling, functional and cell-based assays, flow-based assays (e.g. mass cytometry) and Multiplex Imaging applications.

Use our conjugation kits for antibody conjugates that are ready-to-use in as little as 20 minutes with 1 minute hands-on-time and 100% antibody recovery: available for fluorescent dyes, HRP, biotin and gold.

Compatibility
This product is compatible with the Maxpar® Antibody Labeling Kit from Fluidigm, without the need for antibody preparation. Maxpar® is a trademark of Fluidigm Canada Inc.

Properties and storage information

Form
Liquid
Purification technique
Affinity purification Protein A
Storage buffer
pH: 7.2 - 7.4 Constituents: PBS
Shipped at conditions
Blue Ice
Appropriate short-term storage conditions
+4°C
Appropriate long-term storage conditions
+4°C

Supplementary information

This supplementary information is collated from multiple sources and compiled automatically.

Aquaporin 1 also known as Aquaporin-1 AQP-1 or AQP1 is a protein that functions as a water channel facilitating the transport of water across cell membranes. This protein plays an important role in maintaining water homeostasis within cells. Aquaporin 1 has a mass of approximately 28 kDa and is encoded by the AQP1 gene. It is expressed in various tissues and organs including the kidneys lungs and red blood cells indicating its importance in diverse physiological processes.
Biological function summary

Aquaporin 1 is not part of a complex but independently contributes to maintaining osmotic balance and fluid movement across epithelial and endothelial tissues. The protein's selective permeability for water without allowing ions or other solutes highlights its specificity in controlling water transport which is essential for maintaining cellular environment stability.

Pathways

The aquaporin protein is involved in key biological pathways such as the osmoregulatory pathway and the fluid secretion pathway. It maintains efficient water transport in processes like urine concentration in the kidneys and fluid regulation in the pulmonary system. Aquaporins in general are related to similar transport proteins like sodium channels which together play an important role in maintaining osmotic balance across various tissues.

Aquaporin 1's dysfunction has been associated with conditions such as nephrogenic diabetes insipidus and pulmonary edema. These are linked to its role in water reabsorption in the kidneys and fluid balance in the lungs. The disorder's connection ties Aquaporin-1 with other regulatory proteins such as vasopressin receptors which work in conjunction to control renal water reabsorption and response to fluid imbalance.

Product protocols

For this product, it's our understanding that no specific protocols are required. You can visit:

Target data

Forms a water channel that facilitates the transport of water across cell membranes, playing a crucial role in water homeostasis in various tissues (PubMed : 1373524, PubMed : 23219802). Could also be permeable to small solutes including hydrogen peroxide, glycerol and gases such as amonnia (NH3), nitric oxide (NO) and carbon dioxide (CO2) (PubMed : 16682607, PubMed : 17012249, PubMed : 19273840, PubMed : 33028705, PubMed : 8584435). Recruited to the ankyrin-1 complex, a multiprotein complex of the erythrocyte membrane, it could be part of a CO2 metabolon, linking facilitated diffusion of CO2 across the membrane, anion exchange of Cl(-)/HCO3(-) and interconversion of dissolved CO2 and carbonic acid in the cytosol (PubMed : 17012249, PubMed : 35835865). In vitro, it shows non-selective gated cation channel activity and may be permeable to cations like K(+) and Na(+) in vivo (PubMed : 36949749, PubMed : 8703053).
See full target information AQP1

Product promise

We are committed to supporting your work with high-quality reagents, and we're here for you every step of the way. In the unlikely event that one of our products does not perform as expected, you're protected by our Product Promise.
For full details, please see our Terms & Conditions

Please note: All products are 'FOR RESEARCH USE ONLY. NOT FOR USE IN DIAGNOSTIC OR THERAPEUTIC PROCEDURES'.

For licensing inquiries, please contact partnerships@abcam.com