JavaScript is disabled in your browser. Please enable JavaScript to view this website.
AB230170

Anti-Aquaporin 2 antibody [EPR21080] - BSA and Azide free

  • BOND RX™ Validated
  • RabMAb
  • Advanced Validation
  • Recombinant
  • What is this?

Be the first to review this product! Submit a review

|

(5 Publications)

Rabbit Recombinant Monoclonal Aquaporin 2 antibody. Carrier free. Suitable for mIHC, IP, WB, IHC-P, IHC-Fr and reacts with Human, Mouse, Rat samples. Cited in 5 publications.

View Alternative Names

Aquaporin-2, AQP-2, ADH water channel, Aquaporin-CD, Collecting duct water channel protein, WCH-CD, Water channel protein for renal collecting duct, AQP-CD, AQP2

11 Images
Multiplex immunohistochemistry - Anti-Aquaporin 2 antibody [EPR21080] - BSA and Azide free (AB230170)
  • mIHC

Lab

Multiplex immunohistochemistry - Anti-Aquaporin 2 antibody [EPR21080] - BSA and Azide free (AB230170)

This data was developed using ab322047, the same antibody clone in a different buffer formulation.

Multiplex immunohistochemistry analysis of formalin/PFA-fixed paraffin-embedded Human kidney tissue staining GLEPP1/PTPRO with ab322047 at a 1/2000 dilution, ab199975 anti-Aquaporin 2 used at 1/4000 dilution and ab212197 anti-Renin used at a 1/4000 dilution.

Panel A : merged staining of anti-GLEPP1/PTPRO (green; Opal™520), anti-Aquaporin 2 (magenta; Opal™690) and anti-Renin (gray; Opal™570) on human kidney.

Panel B : anti-GLEPP1/PTPRO staining glomerulus in human kidney.

Panel C : anti-Aquaporin 2 staining collecting tubules in human kidney.

Panel D : anti-Renin staining juxtaglomerular cells in human kidney.

Nuclear DNA was labeled with DAPI (shown in blue).

The section was incubated in three rounds of staining : in the order of ab322047, ab199975 and ab212197 for 30 mins at room temperature. Each round was followed by a separate fluorescent tyramide signal amplification system.

The immunostaining was performed on a Leica Biosystems BOND® RX instrument with an Opal™ 4-color kit. Image acquisition was performed with Leica SP8 confocal microscope.

Heat mediated antigen retrieval with Tris-EDTA buffer (pH 9.0, epitope retrieval solution2) for 20 mins.

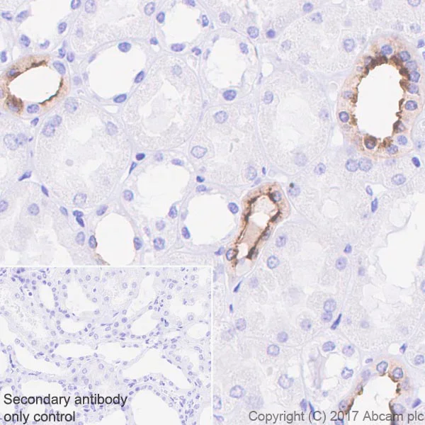
Immunohistochemistry (Formalin/PFA-fixed paraffin-embedded sections) - Anti-Aquaporin 2 antibody [EPR21080] - BSA and Azide free (AB230170)
  • IHC-P

Unknown

Immunohistochemistry (Formalin/PFA-fixed paraffin-embedded sections) - Anti-Aquaporin 2 antibody [EPR21080] - BSA and Azide free (AB230170)

Immunohistochemical analysis of paraffin-embedded human kidney tissue labeling Aquaporin 2 with ab199975 at 1/4000 dilution, followed by a ready to use Goat Anti-Rabbit IgG H&L (HRP). Luminal surface and tubular cytoplasmic staining on collecting duct of human kidney is observed (PMID : 15703994, PMID : 19546380). Counter stained with hematoxylin.

Secondary antibody only control : Used PBS instead of primary antibody, secondary antibody is a ready to use Goat Anti-Rabbit IgG H&L (HRP).

Perform heat-mediated antigen retrieval using ab93684 (Tris/EDTA buffer, pH 9.0).

This data was developed using the same antibody clone in a different buffer formulation containing PBS, BSA, glycerol, and sodium azide (ab199975).

Multiplex immunohistochemistry - Anti-Aquaporin 2 antibody [EPR21080] - BSA and Azide free (AB230170)
  • mIHC

Lab

Multiplex immunohistochemistry - Anti-Aquaporin 2 antibody [EPR21080] - BSA and Azide free (AB230170)

This data was developed using ab199975, the same antibody clone in a different buffer formulation.

Multiplex immunohistochemistry analysis of formalin/PFA-fixed paraffin-embedded human kidney tissue staining CD34 with ab317588 at a 1/2000 dilution, ab199975 anti-Aquaporin 2 used at 1/4000 dilution and ab212197 anti-Renin used at a 1/4000 dilution.

Panel A : merged staining of anti-CD34 (green; Opal™520), anti-Aquaporin 2 (magenta; Opal™690) and anti-Renin (gray; Opal™570) on human kidney.

Panel B : anti-CD34 staining endothelium in human kidney.

Panel C : anti-Aquaporin 2 staining collecting tubules in human kidney.

Panel D : anti-Renin staining juxtaglomerular cells in human kidney.

Nuclear DNA was labeled with DAPI (shown in blue).

The section was incubated in three rounds of staining : in the order of ab317588, ab199975 and ab212197 for 30 mins at room temperature. Each round was followed by a separate fluorescent tyramide signal amplification system.

The immunostaining was performed on a Leica Biosystems BOND® RX instrument with an Opal™ 4-color kit. Image acquisition was performed with Leica SP8 confocal microscope.

Heat mediated antigen retrieval with Tris-EDTA buffer (pH 9.0, epitope retrieval solution2) for 20 mins.

Multiplex immunohistochemistry - Anti-Aquaporin 2 antibody [EPR21080] - BSA and Azide free (AB230170)
  • mIHC

Lab

Multiplex immunohistochemistry - Anti-Aquaporin 2 antibody [EPR21080] - BSA and Azide free (AB230170)

Fluorescence multiplex immunohistochemical analysis of the human kidney (Formalin/PFA-fixed paraffin-embedded sections). Panel A : merged staining of anti-Hexokinase 1 (ab150423, green; Opal™690), anti-Angiotensin Converting Enzyme 1 (ab254222, gray; Opal™520) and anti-Aquaporin 2 (ab199975, red; Opal™570) on human kidney. Panel B : anti-Aquaporin 2 stained on collecting tubules. Panel C : anti-Angiotensin Converting Enzyme 1 stained on proximal tubules. Panel D : anti-Hexokinase 1 stained on distal tubules and collecting tubules. Opal Polymer HRP Ms + Rb was used as a secondary antibody. The section was incubated in three rounds of staining : in the order of ab150423 at 1/250 dilution (4.224 μg/ml), ab254222 at 1/4000 dilution (0.141 μg/ml) and ab199975 at 1/4000 dilution (0.152 μg/ml) for 30 mins at room temperature. Each round was followed by a separate fluorescent tyramide signal amplification system. The immunostaining was performed on a Leica Biosystems BOND® RX instrument with an Opal™ 4-color kit. Image acquisition was performed with Leica SP8 confocal microscope. Heat mediated antigen retrieval with Tris-EDTA buffer (pH 9.0, epitope retrieval solution2) for 20 mins. DAPI (blue) was used as a nuclear counter stain. This data was developed using the same antibody clone in a different buffer formulation containing PBS, BSA, glycerol, and sodium azide (ab199975).

Multiplex immunohistochemistry - Anti-Aquaporin 2 antibody [EPR21080] - BSA and Azide free (AB230170)
  • mIHC

Lab

Multiplex immunohistochemistry - Anti-Aquaporin 2 antibody [EPR21080] - BSA and Azide free (AB230170)

This data was developed using ab322047, the same antibody clone in a different buffer formulation.

Multiplex immunohistochemistry analysis of formalin/PFA-fixed paraffin-embedded Human kidney tissue staining GLEPP1/PTPRO with ab322047 at a 1/2000 dilution, ab199975 anti-Aquaporin 2 used at 1/4000 dilution and ab212197 anti-Renin used at a 1/4000 dilution.

Panel A : merged staining of anti-GLEPP1/PTPRO (green; Opal™520), anti-Aquaporin 2 (magenta; Opal™690) and anti-Renin (gray; Opal™570) on human kidney.

Panel B : anti-GLEPP1/PTPRO staining glomerulus in human kidney.

Panel C : anti-Aquaporin 2 staining collecting tubules in human kidney.

Panel D : anti-Renin staining juxtaglomerular cells in human kidney.

Nuclear DNA was labeled with DAPI (shown in blue).

The section was incubated in three rounds of staining : in the order of ab322047, ab199975 and ab212197 for 30 mins at room temperature. Each round was followed by a separate fluorescent tyramide signal amplification system.

The immunostaining was performed on a Leica Biosystems BOND® RX instrument with an Opal™ 4-color kit. Image acquisition was performed with Leica SP8 confocal microscope.

Heat mediated antigen retrieval with Tris-EDTA buffer (pH 9.0, epitope retrieval solution2) for 20 mins.

Multiplex immunohistochemistry - Anti-Aquaporin 2 antibody [EPR21080] - BSA and Azide free (AB230170)
  • mIHC

Lab

Multiplex immunohistochemistry - Anti-Aquaporin 2 antibody [EPR21080] - BSA and Azide free (AB230170)

This data was developed using ab199975, the same antibody clone in a different buffer formulation.

Multiplex immunohistochemistry analysis of formalin/PFA-fixed paraffin-embedded mouse kidney tissue staining CD34 with ab317588 at a 1/5000 dilution, ab199975 anti-Aquaporin 2 used at 1/4000 dilution and ab212197 anti-Renin used at a 1/4000 dilution.

Panel A : merged staining of anti-CD34 (green; Opal™520), anti-Aquaporin 2 (magenta; Opal™690) and anti-Renin (gray; Opal™570) on mouse kidney.

Panel B : anti-CD34 staining endothelium in mouse kidney.

Panel C : anti-Aquaporin 2 staining collecting tubules in mouse kidney.

Panel D : anti-Renin staining juxtaglomerular cells in mouse kidney.

Nuclear DNA was labeled with DAPI (shown in blue).

The section was incubated in three rounds of staining : in the order of ab317588, ab199975 and ab212197 for 30 mins at room temperature. Each round was followed by a separate fluorescent tyramide signal amplification system.

The immunostaining was performed on a Leica Biosystems BOND® RX instrument with an Opal™ 4-color kit. Image acquisition was performed with Leica SP8 confocal microscope.

Heat mediated antigen retrieval with Tris-EDTA buffer (pH 9.0, epitope retrieval solution2) for 20 mins.

Immunohistochemistry (Frozen sections) - Anti-Aquaporin 2 antibody [EPR21080] - BSA and Azide free (AB230170)
  • IHC-Fr

Unknown

Immunohistochemistry (Frozen sections) - Anti-Aquaporin 2 antibody [EPR21080] - BSA and Azide free (AB230170)

Immunohistochemical analysis of 4% paraformaldehyde-fixed rat kidney tissue labeling Aquaporin 2 (green) with ab199975 at 1/3000 dilution followed by AlexaFluor®488 Goat anti-Rabbit secondary (ab150077) at 1/1000 dilution. Positive luminal membrane staining and tubular cytoplasmic staining on rat kidney is observed (PMID : 9688853; 15703994; 19546380). Heat-mediated antigen retrieval was performed using sodium citrate buffer (10 mM citrate pH 6.0 + 0.05% Tween-20).

Nuclear counterstain : DAPI (blue).
Permeabilization : 0.2% Triton X-100

Secondary antibody only control : Used PBS instead of primary antibody, secondary antibody is AlexaFluor®488 Goat anti-Rabbit secondary ab150077 at 1/1000 dilution.

This data was developed using the same antibody clone in a different buffer formulation containing PBS, BSA, glycerol, and sodium azide (ab199975).

Immunohistochemistry (Frozen sections) - Anti-Aquaporin 2 antibody [EPR21080] - BSA and Azide free (AB230170)
  • IHC-Fr

Unknown

Immunohistochemistry (Frozen sections) - Anti-Aquaporin 2 antibody [EPR21080] - BSA and Azide free (AB230170)

Immunohistochemical analysis of 4% paraformaldehyde-fixed mouse kidney tissue labeling Aquaporin 2 (green) with ab199975 at 1/3000 dilution followed by AlexaFluor®488 Goat anti-Rabbit secondary (ab150077) at 1/1000 dilution. Positive luminal membrane staining and tubular cytoplasmic staining on mouse kidney is observed (PMID : 9688853; 15703994; 19546380). Heat-mediated antigen retrieval was performed using sodium citrate buffer (10 mM citrate pH 6.0 + 0.05% Tween-20).

Nuclear counterstain : DAPI (blue).
Permeabilization : 0.2% Triton X-100

Secondary antibody only control : Used PBS instead of primary antibody, secondary antibody is AlexaFluor®488 Goat anti-Rabbit secondary ab150077 at 1/1000 dilution.

This data was developed using the same antibody clone in a different buffer formulation containing PBS, BSA, glycerol, and sodium azide (ab199975).

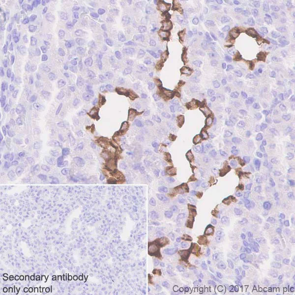
Immunohistochemistry (Formalin/PFA-fixed paraffin-embedded sections) - Anti-Aquaporin 2 antibody [EPR21080] - BSA and Azide free (AB230170)
  • IHC-P

Unknown

Immunohistochemistry (Formalin/PFA-fixed paraffin-embedded sections) - Anti-Aquaporin 2 antibody [EPR21080] - BSA and Azide free (AB230170)

Immunohistochemical analysis of paraffin-embedded rat kidney tissue labeling Aquaporin 2 with ab199975 at 1/4000 dilution, followed by a ready to use Goat Anti-Rabbit IgG H&L (HRP). Luminal surface and tubular cytoplasmic staining on collecting duct of rat kidney is observed (PMID : 15703994, PMID : 19546380). Counter stained with hematoxylin.

Secondary antibody only control : Used PBS instead of primary antibody, secondary antibody is a ready to use Goat Anti-Rabbit IgG H&L (HRP).

Perform heat-mediated antigen retrieval using ab93684 (Tris/EDTA buffer, pH 9.0).

This data was developed using the same antibody clone in a different buffer formulation containing PBS, BSA, glycerol, and sodium azide (ab199975).

Immunohistochemistry (Formalin/PFA-fixed paraffin-embedded sections) - Anti-Aquaporin 2 antibody [EPR21080] - BSA and Azide free (AB230170)
  • IHC-P

Unknown

Immunohistochemistry (Formalin/PFA-fixed paraffin-embedded sections) - Anti-Aquaporin 2 antibody [EPR21080] - BSA and Azide free (AB230170)

Immunohistochemical analysis of paraffin-embedded mouse kidney tissue labeling Aquaporin 2 with ab199975 at 1/4000 dilution, followed by a ready to use Goat Anti-Rabbit IgG H&L (HRP). Luminal surface and tubular cytoplasmic staining on collecting duct of mouse kidney is observed (PMID : 15703994, PMID : 19546380). Counter stained with hematoxylin.

Secondary antibody only control : Used PBS instead of primary antibody, secondary antibody is a ready to use Goat Anti-Rabbit IgG H&L (HRP).

Perform heat-mediated antigen retrieval using ab93684 (Tris/EDTA buffer, pH 9.0).

This data was developed using the same antibody clone in a different buffer formulation containing PBS, BSA, glycerol, and sodium azide (ab199975).

Immunoprecipitation - Anti-Aquaporin 2 antibody [EPR21080] - BSA and Azide free (AB230170)
  • IP

Supplier Data

Immunoprecipitation - Anti-Aquaporin 2 antibody [EPR21080] - BSA and Azide free (AB230170)

Aquaporin 2 was immunoprecipitated from 0.35 mg mouse kidney lysate with ab199975 at 1/500 dilution. VeriBlot for IP Detection Reagent (HRP) (ab131366), was used for detection at 1/10,000 dilution.

Lane 1 : Mouse kidney lysate 10 μg (input).
Lane 2 : ab199975 IP in mouse kidney lysate (+).
Lane 3 : Rabbit monoclonal IgG (ab172730) instead of ab199975 in mouse kidney lysate (-).

Blocking/dilution buffer and concentration : 5% NFDM/TBST

Exposure time : 10 seconds

We recommend customers optimize their lysis buffer and sample preparation for IP. This protein might aggregate during heating of samples.

The molecular mass is consistent with the literature (PMID 27405971; PMID 26109089).

This data was developed using the same antibody clone in a different buffer formulation containing PBS, BSA, glycerol, and sodium azide (ab199975).

All lanes:

Immunoprecipitation - Anti-Aquaporin 2 antibody [EPR21080] (<a href='/en-us/products/primary-antibodies/aquaporin-2-antibody-epr21080-ab199975'>ab199975</a>)

Predicted band size: 28 kDa

false

Key facts

Host species

Rabbit

Clonality

Monoclonal

Clone number

EPR21080

Isotype

IgG

Carrier free

Yes

Reacts with

Mouse, Rat, Human

Applications

mIHC, IHC-P, WB, IP, IHC-Fr

applications

Immunogen

The exact immunogen used to generate this antibody is proprietary information.

Reactivity data

{ "title": "Reactivity Data", "filters": { "stats": ["", "Species", "Dilution Info", "Notes"], "tabs": { "all-applications": {"fullname" : "All Applications", "shortname": "All Applications"}, "mIHC" : {"fullname" : "Multiplex immunohistochemistry", "shortname":"mIHC"}, "IP" : {"fullname" : "Immunoprecipitation", "shortname":"IP"}, "WB" : {"fullname" : "Western blot", "shortname":"WB"}, "IHCP" : {"fullname" : "Immunohistochemistry (Formalin/PFA-fixed paraffin-embedded sections)", "shortname":"IHC-P"}, "IHCFr" : {"fullname" : "Immunohistochemistry (Frozen sections)", "shortname":"IHC-Fr"} }, "product-promise": { "all": "all", "testedAndGuaranteed": "tested", "guaranteed": "expected", "predicted": "predicted", "notRecommended": "not-recommended" } }, "values": { "Human": { "mIHC-species-checked": "testedAndGuaranteed", "mIHC-species-dilution-info": "", "mIHC-species-notes": "<p></p>", "IP-species-checked": "guaranteed", "IP-species-dilution-info": "", "IP-species-notes": "", "WB-species-checked": "guaranteed", "WB-species-dilution-info": "", "WB-species-notes": "<p></p>", "IHCP-species-checked": "testedAndGuaranteed", "IHCP-species-dilution-info": "", "IHCP-species-notes": "<p></p> Perform heat-mediated antigen retrieval with Tris/EDTA buffer pH 9.0 before commencing with IHC staining protocol.", "IHCFr-species-checked": "guaranteed", "IHCFr-species-dilution-info": "", "IHCFr-species-notes": "" }, "Mouse": { "mIHC-species-checked": "testedAndGuaranteed", "mIHC-species-dilution-info": "", "mIHC-species-notes": "<p></p> Perform heat-mediated antigen retrieval with Tris/EDTA buffer pH 9.0 before commencing with IHC staining protocol.", "IP-species-checked": "testedAndGuaranteed", "IP-species-dilution-info": "", "IP-species-notes": "<p></p>", "WB-species-checked": "guaranteed", "WB-species-dilution-info": "", "WB-species-notes": "<p></p>", "IHCP-species-checked": "testedAndGuaranteed", "IHCP-species-dilution-info": "", "IHCP-species-notes": "<p></p> Perform heat-mediated antigen retrieval with Tris/EDTA buffer pH 9.0 before commencing with IHC staining protocol.", "IHCFr-species-checked": "guaranteed", "IHCFr-species-dilution-info": "", "IHCFr-species-notes": "" }, "Rat": { "mIHC-species-checked": "guaranteed", "mIHC-species-dilution-info": "", "mIHC-species-notes": "", "IP-species-checked": "guaranteed", "IP-species-dilution-info": "", "IP-species-notes": "", "WB-species-checked": "guaranteed", "WB-species-dilution-info": "", "WB-species-notes": "<p></p>", "IHCP-species-checked": "testedAndGuaranteed", "IHCP-species-dilution-info": "", "IHCP-species-notes": "<p></p> Perform heat-mediated antigen retrieval with Tris/EDTA buffer pH 9.0 before commencing with IHC staining protocol.", "IHCFr-species-checked": "testedAndGuaranteed", "IHCFr-species-dilution-info": "", "IHCFr-species-notes": "<p></p>" } } }

Product details

ab230170 is the carrier-free version of ab199975.

Conjugation ready
Our carrier-free antibodies are typically supplied in a PBS-only formulation, purified and free of BSA, sodium azide and glycerol. This conjugation-ready format is designed for use with fluorochromes, metal isotopes, oligonucleotides, and enzymes, which makes them ideal for antibody labelling, functional and cell-based assays, flow-based assays (e.g. mass cytometry) and Multiplex Imaging applications.

Use our conjugation kits for antibody conjugates that are ready-to-use in as little as 20 minutes with 1 minute hands-on-time and 100% antibody recovery: available for fluorescent dyes, HRP, biotin and gold.

Compatibility
This product is compatible with the Maxpar® Antibody Labeling Kit from Fluidigm, without the need for antibody preparation. Maxpar® is a trademark of Fluidigm Canada Inc.

Properties and storage information

Form
Liquid
Purification technique
Affinity purification Protein A
Storage buffer
pH: 7.2 - 7.4 Constituents: PBS
Shipped at conditions
Blue Ice
Appropriate short-term storage conditions
+4°C
Appropriate long-term storage conditions
+4°C
Storage information
Do Not Freeze

Supplementary information

This supplementary information is collated from multiple sources and compiled automatically.

Aquaporin 2 often referred to as AQP2 or aquaporin-2 channels is a water channel protein facilitating water transport across cell membranes. This protein belongs to the larger family of aquaporins which includes variants such as aquaporine often referred to interchangeably. Aquaporin 2 is a glycosylated integral membrane protein with an estimated mass of about 29 kDa. It expresses mainly in the kidney specifically in the collecting duct cells where it plays a pivotal role in water reabsorption.
Biological function summary

Aquaporin 2 serves a critical function in maintaining body water balance homeostasis. AQP2 responds to vasopressin a hormone that triggers its translocation to the apical membrane of collecting duct cells enabling water permeability. It is not part of a broader protein complex but operates independently within the cell membrane. This activity regulates urine concentration contributing to the maintenance of body fluids under variable hydration conditions.

Pathways

Aquaporin 2 contributes prominently to the vasopressin-regulated water reabsorption pathway and relates to the renal water reabsorption pathway. These pathways are important for interpreting how water homeostasis is managed by the body. Proteins such as the vasopressin receptor (also known as AVPR2) interact directly with AQP2 enabling its regulation and function. The interaction with cAMP signaling pathways facilitates the relocation of aquaporin 2 to its active site on the cell membrane ensuring efficient water reabsorption.

Mutations or dysregulation in aquaporin 2 can cause conditions like nephrogenic diabetes insipidus characterized by an inability to concentrate urine leading to excessive urination and thirst. Another disorder associated with AQP2 is syndrome of inappropriate antidiuretic hormone secretion (SIADH). These conditions highlight the importance of aquaporin 2 in fluid homeostasis and they connect it to regulatory proteins such as vasopressin itself emphasizing the interconnected nature of cellular proteins in disease mechanisms.

Product protocols

For this product, it's our understanding that no specific protocols are required. You can visit:

Target data

Forms a water-specific channel that provides the plasma membranes of renal collecting duct with high permeability to water, thereby permitting water to move in the direction of an osmotic gradient (PubMed : 15509592, PubMed : 7510718, PubMed : 7524315, PubMed : 8140421, PubMed : 8584435). Plays an essential role in renal water homeostasis (PubMed : 15509592, PubMed : 7524315, PubMed : 8140421). Could also be permeable to glycerol (PubMed : 8584435).
See full target information AQP2

Publications (5)

Recent publications for all applications. Explore the full list and refine your search

Nature genetics 57:1213-1227 PubMed40259083

2025

Multi-omic and spatial analysis of mouse kidneys highlights sex-specific differences in gene regulation across the lifespan.

Applications

Unspecified application

Species

Unspecified reactive species

Siqi Chen,Ruiyang Liu,Chia-Kuei Mo,Michael C Wendl,Andrew Houston,Preet Lal,Yanyan Zhao,Wagma Caravan,Andrew T Shinkle,Atieh Abedin-Do,Nataly Naser Al Deen,Kazuhito Sato,Xiang Li,André Luiz N Targino da Costa,Yize Li,Alla Karpova,John M Herndon,Maxim N Artyomov,Joshua B Rubin,Sanjay Jain,Xue Li,Sheila A Stewart,Li Ding,Feng Chen

Science advances 11:eads3718 PubMed39908379

2025

Chemical genetics reveals cross-regulation of plant developmental signaling by the immune peptide-receptor pathway.

Applications

Unspecified application

Species

Unspecified reactive species

Arvid Herrmann,Krishna Mohan Sepuru,Pengfei Bai,Hitoshi Endo,Ayami Nakagawa,Shuhei Kusano,Asraa Ziadi,Hiroe Kato,Ayato Sato,Jun Liu,Libo Shan,Seisuke Kimura,Kenichiro Itami,Naoyuki Uchida,Shinya Hagihara,Keiko U Torii

Biomolecules 13: PubMed36671451

2022

Human Alpha-1 Antitrypsin Attenuates ENaC and MARCKS and Lowers Blood Pressure in Hypertensive Diabetic db/db Mice.

Applications

Unspecified application

Species

Unspecified reactive species

Carlos I Lugo,Lauren P Liu,Niharika Bala,Angelica G Morales,Mohammed F Gholam,Julia C Abchee,Nasseem Elmoujahid,Ahmed Samir Elshikha,Rigena Avdiaj,Louis A Searcy,Nancy D Denslow,Sihong Song,Abdel A Alli

Kidney international 101:137-143 PubMed34619231

2021

Highly multiplexed immunofluorescence of the human kidney using co-detection by indexing.

Applications

mIHC

Species

Human

Elizabeth K Neumann,Nathan Heath Patterson,Emilio S Rivera,Jamie L Allen,Maya Brewer,Mark P deCaestecker,Richard M Caprioli,Agnes B Fogo,Jeffrey M Spraggins

STAR protocols 2:100747 PubMed34430920

2021

Protocol for multimodal analysis of human kidney tissue by imaging mass spectrometry and CODEX multiplexed immunofluorescence.

Applications

Unspecified application

Species

Unspecified reactive species

Elizabeth K Neumann,Nathan Heath Patterson,Jamie L Allen,Lukasz G Migas,Haichun Yang,Maya Brewer,David M Anderson,Jennifer Harvey,Danielle B Gutierrez,Raymond C Harris,Mark P deCaestecker,Agnes B Fogo,Raf Van de Plas,Richard M Caprioli,Jeffrey M Spraggins
View all publications

Product promise

We are committed to supporting your work with high-quality reagents, and we're here for you every step of the way. In the unlikely event that one of our products does not perform as expected, you're protected by our Product Promise.
For full details, please see our Terms & Conditions

Please note: All products are 'FOR RESEARCH USE ONLY. NOT FOR USE IN DIAGNOSTIC OR THERAPEUTIC PROCEDURES'.

For licensing inquiries, please contact partnerships@abcam.com