JavaScript is disabled in your browser. Please enable JavaScript to view this website.
AB111346

Anti-Aquaporin 2 (phospho S256) antibody

4

(2 Reviews)

|

(10 Publications)

Rabbit Polyclonal Aquaporin 2 phospho S256 antibody. Suitable for IHC-P and reacts with Human samples. Cited in 10 publications. Immunogen corresponding to Synthetic Peptide within Human Aquaporin-2 phospho S256.

View Alternative Names

Aquaporin-2, AQP-2, ADH water channel, Aquaporin-CD, Collecting duct water channel protein, WCH-CD, Water channel protein for renal collecting duct, AQP-CD, AQP2

1 Images
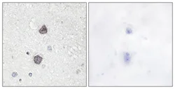
Immunohistochemistry (Formalin/PFA-fixed paraffin-embedded sections) - Anti-Aquaporin 2 (phospho S256) antibody (AB111346)
  • IHC-P

Unknown

Immunohistochemistry (Formalin/PFA-fixed paraffin-embedded sections) - Anti-Aquaporin 2 (phospho S256) antibody (AB111346)

ab111346 at 1/50 dilution staining Aquaporin 2 in Paraffin-embedded Human Brain tissue by Immunohistochemistry. The image on the right is treated with the synthesized phosphopeptide.

Key facts

Host species

Rabbit

Clonality

Polyclonal

Isotype

IgG

Carrier free

No

Reacts with

Human

Applications

IHC-P

applications

Immunogen

Synthetic Peptide within Human Aquaporin-2 phospho S256. The exact immunogen used to generate this antibody is proprietary information.

P41181

Reactivity data

{ "title": "Reactivity Data", "filters": { "stats": ["", "Species", "Dilution Info", "Notes"], "tabs": { "all-applications": {"fullname" : "All Applications", "shortname": "All Applications"}, "IHCP" : {"fullname" : "Immunohistochemistry (Formalin/PFA-fixed paraffin-embedded sections)", "shortname":"IHC-P"} }, "product-promise": { "all": "all", "testedAndGuaranteed": "tested", "guaranteed": "expected", "predicted": "predicted", "notRecommended": "not-recommended" } }, "values": { "Human": { "IHCP-species-checked": "testedAndGuaranteed", "IHCP-species-dilution-info": "1/50 - 1/100", "IHCP-species-notes": "<p></p> Perform heat-mediated antigen retrieval with citrate buffer pH 6 before commencing with IHC staining protocol." }, "Mouse": { "IHCP-species-checked": "predicted", "IHCP-species-dilution-info": "", "IHCP-species-notes": "" }, "Rat": { "IHCP-species-checked": "predicted", "IHCP-species-dilution-info": "", "IHCP-species-notes": "" } } }

Properties and storage information

Form
Liquid
Purification technique
Affinity purification Immunogen
Purification notes
ab111346 was affinity-purified from Rabbit antiserum by affinity-chromatography using epitope-specific phosphopeptide. The antibody against non-phosphopeptide was removed by chromatography using non-phosphopeptide corresponding to the phosphorylation.
Storage buffer
pH: 7 Preservative: 0.02% Sodium azide Constituents: PBS, 50% Glycerol (glycerin, glycerine), 0.88% Sodium chloride
Shipped at conditions
Blue Ice
Appropriate short-term storage conditions
+4°C
Appropriate long-term storage conditions
-20°C
Storage information
Stable for 12 months at -20°C

Supplementary information

This supplementary information is collated from multiple sources and compiled automatically.

Aquaporin 2 often referred to as AQP2 or aquaporin-2 channels is a water channel protein facilitating water transport across cell membranes. This protein belongs to the larger family of aquaporins which includes variants such as aquaporine often referred to interchangeably. Aquaporin 2 is a glycosylated integral membrane protein with an estimated mass of about 29 kDa. It expresses mainly in the kidney specifically in the collecting duct cells where it plays a pivotal role in water reabsorption.
Biological function summary

Aquaporin 2 serves a critical function in maintaining body water balance homeostasis. AQP2 responds to vasopressin a hormone that triggers its translocation to the apical membrane of collecting duct cells enabling water permeability. It is not part of a broader protein complex but operates independently within the cell membrane. This activity regulates urine concentration contributing to the maintenance of body fluids under variable hydration conditions.

Pathways

Aquaporin 2 contributes prominently to the vasopressin-regulated water reabsorption pathway and relates to the renal water reabsorption pathway. These pathways are important for interpreting how water homeostasis is managed by the body. Proteins such as the vasopressin receptor (also known as AVPR2) interact directly with AQP2 enabling its regulation and function. The interaction with cAMP signaling pathways facilitates the relocation of aquaporin 2 to its active site on the cell membrane ensuring efficient water reabsorption.

Mutations or dysregulation in aquaporin 2 can cause conditions like nephrogenic diabetes insipidus characterized by an inability to concentrate urine leading to excessive urination and thirst. Another disorder associated with AQP2 is syndrome of inappropriate antidiuretic hormone secretion (SIADH). These conditions highlight the importance of aquaporin 2 in fluid homeostasis and they connect it to regulatory proteins such as vasopressin itself emphasizing the interconnected nature of cellular proteins in disease mechanisms.

Product protocols

For this product, it's our understanding that no specific protocols are required. You can visit:

Target data

Forms a water-specific channel that provides the plasma membranes of renal collecting duct with high permeability to water, thereby permitting water to move in the direction of an osmotic gradient (PubMed : 15509592, PubMed : 7510718, PubMed : 7524315, PubMed : 8140421, PubMed : 8584435). Plays an essential role in renal water homeostasis (PubMed : 15509592, PubMed : 7524315, PubMed : 8140421). Could also be permeable to glycerol (PubMed : 8584435).
See full target information Aquaporin-2 phospho S256

Publications (10)

Recent publications for all applications. Explore the full list and refine your search

American journal of physiology. Renal physiology 328:F517-F529 PubMed40062363

2025

Lysine acetylation of aquaporin-3 promotes water permeability but is not essential for urine concentrating ability.

Applications

Unspecified application

Species

Unspecified reactive species

Nha V Huynh,Luciano D Mendoza,Hung Nguyen,Cassidy Rehage,Elizabeth B Saurage,Parker Davis,Kelly A Hyndman

Life (Basel, Switzerland) 14: PubMed39202754

2024

Duloxetine-Induced Antidiuresis in Rats with Lithium-Induced Nephrogenic Diabetes Insipidus.

Applications

Unspecified application

Species

Unspecified reactive species

Sua Kim,Chor Ho Jo,Gheun-Ho Kim

Journal of cellular and molecular medicine 28:e18301 PubMed38652212

2024

The β3-AR agonist BRL37344 ameliorates the main symptoms of X-linked nephrogenic diabetes insipidus in the mouse model of the disease.

Applications

Unspecified application

Species

Unspecified reactive species

Serena Milano,Ilenia Saponara,Andrea Gerbino,Monica Carmosino,Maria Svelto,Giuseppe Procino

International journal of molecular sciences 24: PubMed36675199

2023

Genome-Engineered mpkCCDc14 Cells as a New Resource for Studying AQP2.

Applications

Unspecified application

Species

Unspecified reactive species

Hyo-Ju Jang,Hye-Jeong Park,Hong Seok Choi,Hyun Jun Jung,Tae-Hwan Kwon

American journal of physiology. Renal physiology 324:F152-F167 PubMed36454701

2022

Intracellular sites of AQP2 S256 phosphorylation identified using inhibitors of the AQP2 recycling itinerary.

Applications

Unspecified application

Species

Unspecified reactive species

Pui W Cheung,Mey Boukenna,Richard S E Babicz,Shimontini Mitra,Anna Kay,Theodor C Paunescu,Noah Baylor,Chen-Chung Steven Liu,Anil V Nair,Richard Bouley,Dennis Brown

Frontiers in cardiovascular medicine 9:897244 PubMed35722114

2022

Evidence for a Prehypertensive Water Dysregulation Affecting the Development of Hypertension: Results of Very Early Treatment of Vasopressin V1 and V2 Antagonism in Spontaneously Hypertensive Rats.

Applications

Unspecified application

Species

Unspecified reactive species

Ignazio Verzicco,Stefano Tedeschi,Gallia Graiani,Alice Bongrani,Maria Luisa Carnevali,Simona Dancelli,Jessica Zappa,Silvia Mattei,Achiropita Bovino,Stefania Cavazzini,Rossana Rocco,Anna Calvi,Barbara Palladini,Riccardo Volpi,Valentina Cannone,Pietro Coghi,Alberico Borghetti,Aderville Cabassi

JCI insight 6: PubMed34156031

2021

Pdcd10-Stk24/25 complex controls kidney water reabsorption by regulating Aqp2 membrane targeting.

Applications

Unspecified application

Species

Unspecified reactive species

Rui Wang,Shi-Ting Wu,Xi Yang,Yude Qian,Jaesung P Choi,Rui Gao,Siliang Song,Yixuan Wang,Tao Zhuang,Justin Jl Wong,Yuzhen Zhang,Zhiming Han,Hua A Lu,Stephen I Alexander,Renjing Liu,Yin Xia,Xiangjian Zheng

American journal of physiology. Renal physiology 320:F963-F971 PubMed33843270

2021

Psychotropic drugs upregulate aquaporin-2 via vasopressin-2 receptor/cAMP/protein kinase A signaling in inner medullary collecting duct cells.

Applications

Unspecified application

Species

Unspecified reactive species

Sua Kim,Chor Ho Jo,Gheun-Ho Kim

Theranostics 10:10415-10433 PubMed32929357

2020

Statins ameliorate cholesterol-induced inflammation and improve AQP2 expression by inhibiting NLRP3 activation in the kidney.

Applications

Unspecified application

Species

Unspecified reactive species

Yonglun Kong,Weijing Feng,Xiaoduo Zhao,Puhua Zhang,Suchun Li,Zhijian Li,Yu Lin,Boen Liang,Chunling Li,Weidong Wang,Hui Huang

FASEB journal : official publication of the Federa 32:5520-5531 PubMed29718707

2018

Arginase-II negatively regulates renal aquaporin-2 and water reabsorption.

Applications

Unspecified application

Species

Unspecified reactive species

Ji Huang,Jean-Pierre Montani,François Verrey,Eric Feraille,Xiu-Fen Ming,Zhihong Yang
View all publications

Product promise

We are committed to supporting your work with high-quality reagents, and we're here for you every step of the way. In the unlikely event that one of our products does not perform as expected, you're protected by our Product Promise.
For full details, please see our Terms & Conditions

Please note: All products are 'FOR RESEARCH USE ONLY. NOT FOR USE IN DIAGNOSTIC OR THERAPEUTIC PROCEDURES'.

For licensing inquiries, please contact partnerships@abcam.com