JavaScript is disabled in your browser. Please enable JavaScript to view this website.
AB125219

Anti-Aquaporin 3 antibody

5

(6 Reviews)

|

(78 Publications)

Anti-Aquaporin 3 antibody (ab125219) is a rabbit polyclonal antibody detecting Aquaporin 3 in Western Blot, Flow Cytometry, IHC-P, ICC/IF. Suitable for Human, Mouse, Rat.

- Over 60 publications

View Alternative Names

Aquaporin-3, AQP-3, Aquaglyceroporin-3, AQP3

7 Images
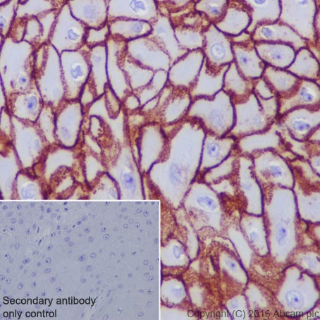
Immunohistochemistry (Formalin/PFA-fixed paraffin-embedded sections) - Anti-Aquaporin 3 antibody (AB125219)
  • IHC-P

Supplier Data

Immunohistochemistry (Formalin/PFA-fixed paraffin-embedded sections) - Anti-Aquaporin 3 antibody (AB125219)

Immunohistochemical analysis of paraffin-embedded rat kidney tissue labeling Aquaporin 3 with ab125219 at 2 ug/ml. Peroxidase Conjugated Goat Anti-rabbit IgG was used as secondary antibody and incubated for 30 minutes at 37°C.

The section was blocked with 10% goat serum then incubated with ab125219 overnight at 4°C.

The tissue section was developed using HRP Conjugated Rabbit IgG Super Vision Assay Kit with DAB as the chromogen.

Heat mediated antigen retrieval was performed in EDTA buffer (pH 8.0, epitope retrieval solution).

Immunocytochemistry/ Immunofluorescence - Anti-Aquaporin 3 antibody (AB125219)
  • ICC/IF

Supplier Data

Immunocytochemistry/ Immunofluorescence - Anti-Aquaporin 3 antibody (AB125219)

Immunocytochemistry/ Immunofluorescence analysis of A431 (human epidermoid carcinoma cell line) cells labeling Aquaporin 3 with ab125219 at 5 μg/mL. Enzyme antigen retrieval was performed using IHC enzyme antigen retrieval reagent for 15 mins. The cells were blocked with 10% goat serum. And then incubated with 5μg/mL rabbit anti- AQP3 Antibody, ab125219, overnight at 4°C. Cy3 Conjugated Goat Anti-Rabbit IgG was used as secondary antibody at 1 : 500 dilution and incubated for 30 minutes at 37°C. The section was counterstained with DAPI. Visualize using a fluorescence microscope and filter sets appropriate for the label used.

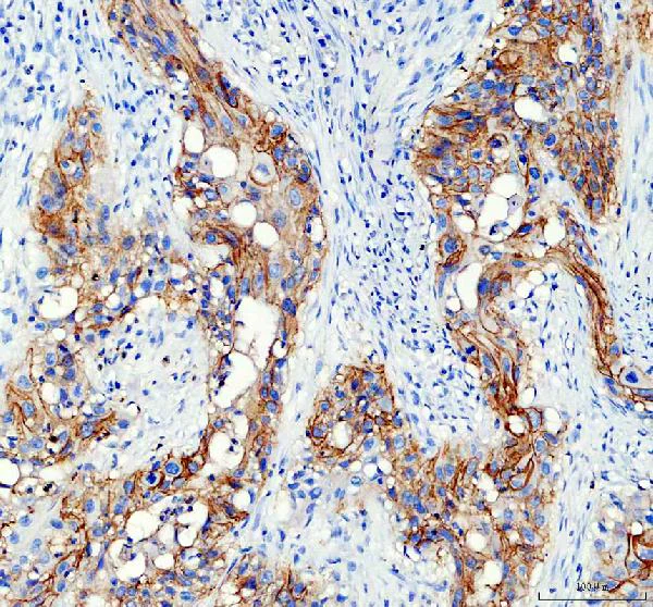
Immunohistochemistry (Formalin/PFA-fixed paraffin-embedded sections) - Anti-Aquaporin 3 antibody (AB125219)
  • IHC-P

Supplier Data

Immunohistochemistry (Formalin/PFA-fixed paraffin-embedded sections) - Anti-Aquaporin 3 antibody (AB125219)

Immunohistochemical analysis of paraffin-embedded human bladder cancer tissue labeling Aquaporin 3 with ab125219 at 2 ug/ml. Peroxidase Conjugated Goat Anti-rabbit IgG was used as secondary antibody and incubated for 30 minutes at 37°C.

The section was blocked with 10% goat serum then incubated with ab125219 overnight at 4°C.

The tissue section was developed using HRP Conjugated Rabbit IgG Super Vision Assay Kit with DAB as the chromogen.

Heat mediated antigen retrieval was performed in EDTA buffer (pH 8.0, epitope retrieval solution).

Flow Cytometry (Intracellular) - Anti-Aquaporin 3 antibody (AB125219)
  • Flow Cyt (Intra)

Supplier Data

Flow Cytometry (Intracellular) - Anti-Aquaporin 3 antibody (AB125219)

Overlay histogram showing RT4 cells stained with ab125219 (Blue line). The cells were fixed with 4% paraformaldehyde and blocked with 10% normal goat serum. And then incubated with ab125219 (1µg/1x106 cells) for 30 min at 20°C. DyLight®488 conjugated goat anti-rabbit IgG (5-10 µg/1x106 cells) was used as secondary antibody for 30 minutes at 20°C. Isotype control antibody (Green line) was rabbit IgG (1 µg/1x106) used under the same conditions. Unlabelled sample without incubation with primary antibody and secondary antibody (Red line) was used as a blank control.

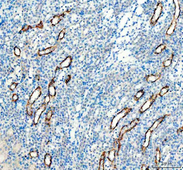
Immunohistochemistry (Formalin/PFA-fixed paraffin-embedded sections) - Anti-Aquaporin 3 antibody (AB125219)
  • IHC-P

Supplier Data

Immunohistochemistry (Formalin/PFA-fixed paraffin-embedded sections) - Anti-Aquaporin 3 antibody (AB125219)

Immunohistochemical analysis of paraffin-embedded rat kidney tissue labeling Aquaporin 3 with ab125219 at 2 ug/ml. Peroxidase Conjugated Goat Anti-rabbit IgG was used as secondary antibody and incubated for 30 minutes at 37°C.

The section was blocked with 10% goat serum then incubated with ab125219 overnight at 4°C.

The tissue section was developed using HRP Conjugated Rabbit IgG Super Vision Assay Kit with DAB as the chromogen.

Heat mediated antigen retrieval was performed in EDTA buffer (pH 8.0, epitope retrieval solution).

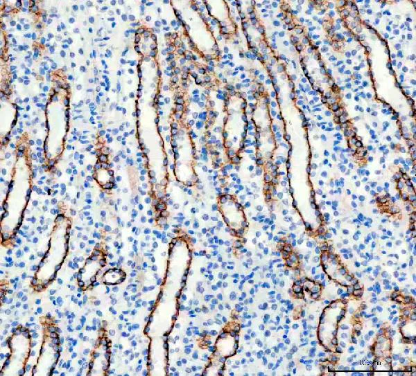
Immunohistochemistry (Formalin/PFA-fixed paraffin-embedded sections) - Anti-Aquaporin 3 antibody (AB125219)
  • IHC-P

Supplier Data

Immunohistochemistry (Formalin/PFA-fixed paraffin-embedded sections) - Anti-Aquaporin 3 antibody (AB125219)

Immunohistochemical analysis of paraffin-embedded mouse kidney tissue labeling Aquaporin 3 with ab125219 at 2 ug/ml. Peroxidase Conjugated Goat Anti-rabbit IgG was used as secondary antibody and incubated for 30 minutes at 37°C.

The section was blocked with 10% goat serum then incubated with ab125219 overnight at 4°C.

The tissue section was developed using HRP Conjugated Rabbit IgG Super Vision Assay Kit with DAB as the chromogen.

Heat mediated antigen retrieval was performed in EDTA buffer (pH 8.0, epitope retrieval solution).

Western blot - Anti-Aquaporin 3 antibody (AB125219)
  • WB

Supplier Data

Western blot - Anti-Aquaporin 3 antibody (AB125219)

Electrophoresis was performed on a 10% SDS-PAGE gel at 80V (Stacking gel) / 120V (Resolving gel) for 2 hours.

After electrophoresis, proteins were transferred to a nitrocellulose membrane at 150 mA for 50-90 minutes. The membrane was then blocked with 5% non-fat milk/TBS for 1.5 hour at RT. The membrane was incubated with rabbit anti-Aquaporin 3 antigen affinity purified polyclonal antibody at 0.5 μg/mL overnight at 4°C, then washed with TBS-0.1%Tween 3 times with 5 minutes each and probed with a goat anti-rabbit IgG-HRP secondary antibody at a dilution of 1 : 5000 for 1.5 hour at room temperature.

All lanes:

Western blot - Anti-Aquaporin 3 antibody (ab125219) at 0.5 µg/mL

Lane 1:

HeLa whole cell lysates at 30 µg

Lane 2:

Rat kidney tissue lysate at 30 µg

Lane 3:

Mouse kidney tissue lysate at 30 µg

Secondary

All lanes:

Goat anti-rabbit IgG-HRP at 1/5000 dilution

Observed band size: 61 kDa

true

Key facts

Host species

Rabbit

Clonality

Polyclonal

Isotype

IgG

Carrier free

No

Reacts with

Mouse, Rat, Human

Applications

WB, Flow Cyt (Intra), IHC-P, ICC/IF

applications

Immunogen

Synthetic Peptide within Human AQP3 aa 250 to C-terminus. The exact immunogen used to generate this antibody is proprietary information.

Q92482

Reactivity data

{ "title": "Reactivity Data", "filters": { "stats": ["", "Species", "Dilution Info", "Notes"], "tabs": { "all-applications": {"fullname" : "All Applications", "shortname": "All Applications"}, "IHCP" : {"fullname" : "Immunohistochemistry (Formalin/PFA-fixed paraffin-embedded sections)", "shortname":"IHC-P"}, "ICCIF" : {"fullname" : "Immunocytochemistry/ Immunofluorescence", "shortname":"ICC/IF"}, "WB" : {"fullname" : "Western blot", "shortname":"WB"}, "FlowCytIntra" : {"fullname" : "Flow Cytometry (Intracellular)", "shortname":"Flow Cyt (Intra)"} }, "product-promise": { "all": "all", "testedAndGuaranteed": "tested", "guaranteed": "expected", "predicted": "predicted", "notRecommended": "not-recommended" } }, "values": { "Human": { "IHCP-species-checked": "testedAndGuaranteed", "IHCP-species-dilution-info": "2-5 µg/mL", "IHCP-species-notes": "<p></p> Perform heat-mediated antigen retrieval before commencing with IHC staining protocol.", "ICCIF-species-checked": "testedAndGuaranteed", "ICCIF-species-dilution-info": "5 µg/mL", "ICCIF-species-notes": "<p></p>", "WB-species-checked": "testedAndGuaranteed", "WB-species-dilution-info": "0.1-0.5 µg/mL", "WB-species-notes": "<p></p>", "FlowCytIntra-species-checked": "testedAndGuaranteed", "FlowCytIntra-species-dilution-info": "1-3 µg/cells", "FlowCytIntra-species-notes": "<p><a href='/en-us/products/primary-antibodies/rabbit-igg-polyclonal-isotype-control-chip-grade-ab171870'>ab171870</a> - Rabbit polyclonal IgG, is suitable for use as an isotype control with this antibody.</p>" }, "Mouse": { "IHCP-species-checked": "testedAndGuaranteed", "IHCP-species-dilution-info": "2-5 µg/mL", "IHCP-species-notes": "<p></p> Perform heat-mediated antigen retrieval before commencing with IHC staining protocol.", "ICCIF-species-checked": "guaranteed", "ICCIF-species-dilution-info": "", "ICCIF-species-notes": "", "WB-species-checked": "testedAndGuaranteed", "WB-species-dilution-info": "0.1-0.5 µg/mL", "WB-species-notes": "<p></p>", "FlowCytIntra-species-checked": "guaranteed", "FlowCytIntra-species-dilution-info": "", "FlowCytIntra-species-notes": "" }, "Rat": { "IHCP-species-checked": "testedAndGuaranteed", "IHCP-species-dilution-info": "2-5 µg/mL", "IHCP-species-notes": "<p></p> Perform heat-mediated antigen retrieval before commencing with IHC staining protocol.", "ICCIF-species-checked": "guaranteed", "ICCIF-species-dilution-info": "", "ICCIF-species-notes": "", "WB-species-checked": "testedAndGuaranteed", "WB-species-dilution-info": "0.1-0.5 µg/mL", "WB-species-notes": "<p></p>", "FlowCytIntra-species-checked": "guaranteed", "FlowCytIntra-species-dilution-info": "", "FlowCytIntra-species-notes": "" } } }

Product details

What is this antibody validated in?
Anti-Aquaporin 3 antibody (ab125219) is a rabbit polyclonal antibody and is validated for use in Western Blot (WB), Flow Cytometry (Flow Cyt), Immunohistochemistry (IHC-P), Immunocytochemistry/immunofluorescence (ICC/IF) in Human, Mouse, Rat samples.

What is the molecular weight of Aquaporin 3?
Anti-Aquaporin 3 (ab125219) specifically detects a band for Aquaporin 3 (UniProt: Q92482) at a molecular weight of 32kDa.

Trusted by the scientific community
Anti-Aquaporin 3 (ab125219) was first used in a scientific publication in 2012 and has been cited over 60 times in peer-reviewed journals.

Reviewed by scientists
Anti-Aquaporin 3 (ab125219) has over 5 independent reviews from customers.

Properties and storage information

Form
Liquid
Purification technique
Affinity purification Immunogen
Storage buffer
Preservative: 0.025% Sodium azide, 0.025% Thimerosal (merthiolate) Constituents: 2.5% BSA, 0.45% Sodium chloride, 0.1% Disodium hydrogenorthophosphate
Shipped at conditions
Blue Ice
Appropriate short-term storage duration
1-2 weeks
Appropriate short-term storage conditions
+4°C
Appropriate long-term storage conditions
-20°C
Aliquoting information
Upon delivery aliquot
Storage information
Avoid freeze / thaw cycle

Supplementary information

This supplementary information is collated from multiple sources and compiled automatically.

Aquaporin 3 (AQP3) also known as AQP-3 is a water and glycerol channel protein with a molecular weight of approximately 31 kDa. It facilitates the transport of water glycerol and other small solutes across cell membranes. AQP3 is expressed in a variety of tissues including the epidermis kidney respiratory tract and gastrointestinal tract. The protein's ability to transport glycerol is especially important in maintaining skin hydration and elasticity.
Biological function summary

Aquaporin channels such as AQP3 aid in the osmotic balance and are part of the cell membrane's permeability machinery. AQP3 forms functional homotetrameric structures that integrate into the plasma membrane. Each monomer of AQP3 contains a pore for the passage of water and other small molecules. This structural arrangement allows cells to regulate fluid movement and maintain homeostasis particularly in epithelial tissues.

Pathways

AQP3 engages in the regulation of transepithelial water movement and is involved in glycerol metabolism pathways. It interacts with proteins such as AQP1 and AQP4 supporting fluid transport across various organs. In epidermal cells AQP3 plays a role in the glycerol transport pathway important for skin barrier function and wound healing processes. Its role in these pathways highlights its contribution to cellular hydration and metabolic functions.

AQP3 has links to conditions like psoriasis and kidney dysfunction. Aberrant expression of AQP3 can contribute to skin disorders by disrupting hydration balance and affecting glycerol transport. In the kidney altered AQP3 expression impacts water reabsorption and can exacerbate renal pathologies. The interaction of AQP3 with other aquaporins like AQP1 suggests a collaborative role in disease progression through shared pathways involving fluid balance anomalies.

Product protocols

For this product, it's our understanding that no specific protocols are required. You can visit:

Target data

Aquaglyceroporins form homotetrameric transmembrane channels, with each monomer independently mediating glycerol and water transport across the plasma membrane along their osmotic gradient (PubMed : 12239222, PubMed : 30420639). Could also be permeable to urea (By similarity). Also participates in cell permeability to H2O2 and H2O2-mediated signaling (PubMed : 20724658). In skin, transports glycerol to the epidermis and stratum corneum, where it maintains hydration, elasticity, and supports lipid biosynthesis for barrier repair (By similarity). In kidney, contributes to the reabsorption of water, helping the body maintain proper fluid balance (By similarity).
See full target information AQP3

Publications (78)

Recent publications for all applications. Explore the full list and refine your search

Journal of nanobiotechnology 23:506 PubMed40660260

2025

Human adipose-derived mesenchymal stem cell-derived exosomes induce epithelial remodeling and anti-scar healing revealed by single-cell RNA sequencing.

Applications

Unspecified application

Species

Unspecified reactive species

Yu Fu,Jun-Ling Xie,Xing-Liao Zhang,Guang-Ming Xie,Xin-Min Zhang,Yao-Ting Han,Meng-Meng Xu,Jing Zhang,Jun Zhang

Clinical, cosmetic and investigational dermatology 18:1151-1162 PubMed40356846

2025

-Derived Exosomes Enhance Skin Barrier Integrity by Upregulating Key Barrier-Related Proteins.

Applications

Unspecified application

Species

Unspecified reactive species

Yong-Han Cho,Ji-Woo Kim,Nari Kim,Hee-Sik Kim,Jun-Hwan Jang,Jun-Tae Bae,Wanil Kim

Journal of orthopaedic surgery and research 20:310 PubMed40128722

2025

Electroacupuncture attenuates intervertebral disc degeneration by upregulating aquaporins via the cAMP/PKA pathway.

Applications

Unspecified application

Species

Unspecified reactive species

Min Wang,Jia-Bao Huang,Jing Zou,Guo-Fu Huang

Cellular & molecular immunology 22:300-315 PubMed39939818

2025

The AhR-Ovol1-Id1 regulatory axis in keratinocytes promotes epidermal and immune homeostasis in atopic dermatitis-like skin inflammation.

Applications

Unspecified application

Species

Unspecified reactive species

Zeyu Chen,Morgan Dragan,Peng Sun,Daniel Haensel,Remy Vu,Lian Cui,Peiyao Zhu,Nan Yang,Yuling Shi,Xing Dai

International journal of molecular sciences 25: PubMed39684522

2024

A Potential Use of Vidarabine: Alleviation of Functional Constipation Through Modulation of the Adenosine A2A Receptor-MLC Signaling Pathway and the Gut Microbiota.

Applications

Unspecified application

Species

Unspecified reactive species

Xiaoyu Gao,Kaifeng Guo,Shuangfeng Liu,Weixing Yang,Jun Sheng,Yang Tian,Lei Peng,Yan Zhao

Frontiers in pharmacology 15:1487402 PubMed39640480

2024

Effects of Huang-Lian-Jie-Du decoction on improving skin barrier function and modulating T helper cell differentiation in 1-chloro-2,4-dinitrobenzene-induced atopic dermatitis mice.

Applications

Unspecified application

Species

Unspecified reactive species

Huiyuan Zhang,Quanbin Li,Yaxing Li,Jianhua Guan,Kaidi Li,Yunlong Chen

PloS one 19:e0310653 PubMed39637010

2024

TRPML1 acts as a predisposing factor in lymphedema development by regulating the subcellular localization of aquaporin-3, -5.

Applications

Unspecified application

Species

Unspecified reactive species

Lijie Yang,Guanzheng Wang,Yuan Ma,Qiancheng Zhao,He Zhao,Qi Wang,Chonghua Zhong,Chunmei Zhang,Yiming Yang

International journal of molecular sciences 25: PubMed39596043

2024

Detection of Androgen Receptors in Spermatozoa of Small Ruminants: A Putative Modulation Pathway for Cryoresistance Through AQP3.

Applications

Unspecified application

Species

Unspecified reactive species

Esther Alba,Cristina Castaño,Adolfo Toledano-Díaz,Rosario Velázquez,Belén Martínez-Madrid,Alberto Gómez-Crespo,Manuel Álvarez-Rodríguez,Heriberto Rodriguez-Martinez,Julián Santiago-Moreno

Cell death & disease 15:532 PubMed39060229

2024

PPAR-γ/NF-kB/AQP3 axis in M2 macrophage orchestrates lung adenocarcinoma progression by upregulating IL-6.

Applications

Unspecified application

Species

Unspecified reactive species

Guofu Lin,Lanlan Lin,Xiaohui Chen,Luyang Chen,Jiansheng Yang,Yanling Chen,Danwen Qian,Yiming Zeng,Yuan Xu

The Journal of clinical investigation 134: PubMed39052353

2024

A correctable immune niche for epithelial stem cell reprogramming and post-viral lung diseases.

Applications

Unspecified application

Species

Unspecified reactive species

Kangyun Wu,Yong Zhang,Huiqing Yin-DeClue,Kelly Sun,Dailing Mao,Kuangying Yang,Stephen R Austin,Erika C Crouch,Steven L Brody,Derek E Byers,Christy M Hoffmann,Michael E Hughes,Michael J Holtzman
View all publications

Product promise

We are committed to supporting your work with high-quality reagents, and we're here for you every step of the way. In the unlikely event that one of our products does not perform as expected, you're protected by our Product Promise.
For full details, please see our Terms & Conditions

Please note: All products are 'FOR RESEARCH USE ONLY. NOT FOR USE IN DIAGNOSTIC OR THERAPEUTIC PROCEDURES'.

For licensing inquiries, please contact partnerships@abcam.com