JavaScript is disabled in your browser. Please enable JavaScript to view this website.
AB240393

Anti-Aquaporin 3 antibody [EPR19932] - BSA and Azide free

5

(1 Review)

|

(1 Publication)

Rabbit Recombinant Monoclonal Aquaporin 3 antibody. Carrier free. Suitable for IHC-P, ICC/IF and reacts with Human samples. Cited in 1 publication.

View Alternative Names

Aquaporin-3, AQP-3, Aquaglyceroporin-3, AQP3

6 Images
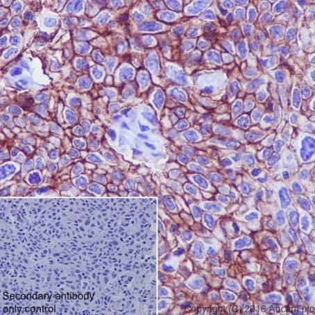
Immunohistochemistry (Formalin/PFA-fixed paraffin-embedded sections) - Anti-Aquaporin 3 antibody [EPR19932] - BSA and Azide free (AB240393)
  • IHC-P

Supplier Data

Immunohistochemistry (Formalin/PFA-fixed paraffin-embedded sections) - Anti-Aquaporin 3 antibody [EPR19932] - BSA and Azide free (AB240393)

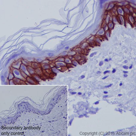
Immunohistochemical analysis of paraffin-embedded human skin squamous cell cancer tissue labeling Aquaporin 3 with ab215853 at 1/500 dilution, followed by Goat Anti-Rabbit IgG H&L (HRP) (ab97051) at 1/500 dilution.

Membranous staining on human skin squamous cell cancer is observed.

Counter stained with Hematoxylin.

Secondary antibody only control : Used PBS instead of primary antibody, secondary antibody is Goat Anti-Rabbit IgG H&L (HRP) (ab97051) at 1/500 dilution.

This data was developed using the same antibody clone in a different buffer formulation containing PBS, BSA, glycerol, and sodium azide (ab215853).

Perform heat mediated antigen retrieval with Tris/EDTA buffer pH 9.0 before commencing with IHC staining protocol.

Immunohistochemistry (Formalin/PFA-fixed paraffin-embedded sections) - Anti-Aquaporin 3 antibody [EPR19932] - BSA and Azide free (AB240393)
  • IHC-P

Supplier Data

Immunohistochemistry (Formalin/PFA-fixed paraffin-embedded sections) - Anti-Aquaporin 3 antibody [EPR19932] - BSA and Azide free (AB240393)

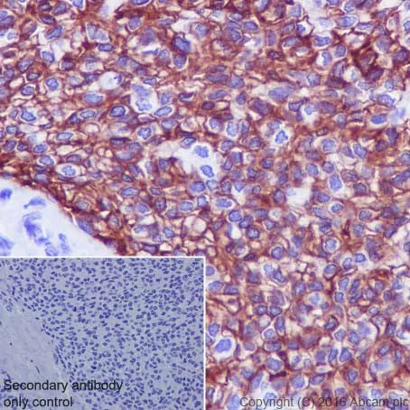
Immunohistochemical analysis of paraffin-embedded human cervix cancer tissue labeling Aquaporin 3 with ab215853 at 1/500 dilution, followed by Goat Anti-Rabbit IgG H&L (HRP) (ab97051) at 1/500 dilution.

Membranous staining on cervix cancer is observed.

Counter stained with Hematoxylin.

Secondary antibody only control : Used PBS instead of primary antibody, secondary antibody is Goat Anti-Rabbit IgG H&L (HRP) (ab97051) at 1/500 dilution.

This data was developed using the same antibody clone in a different buffer formulation containing PBS, BSA, glycerol, and sodium azide (ab215853).

Perform heat mediated antigen retrieval with Tris/EDTA buffer pH 9.0 before commencing with IHC staining protocol.

Immunohistochemistry (Formalin/PFA-fixed paraffin-embedded sections) - Anti-Aquaporin 3 antibody [EPR19932] - BSA and Azide free (AB240393)
  • IHC-P

Supplier Data

Immunohistochemistry (Formalin/PFA-fixed paraffin-embedded sections) - Anti-Aquaporin 3 antibody [EPR19932] - BSA and Azide free (AB240393)

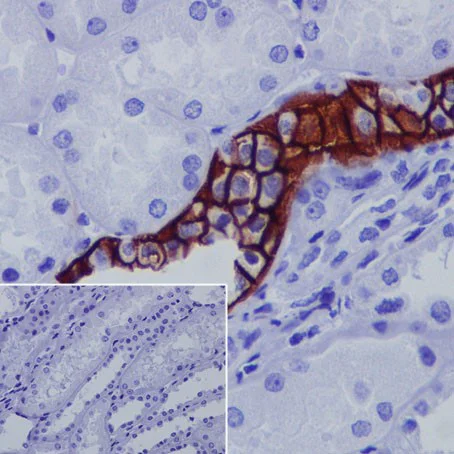
Immunohistochemical analysis of paraffin-embedded human kidney tissue labeling Aquaporin 3 with ab215853 at 1/500 dilution, followed by Goat Anti-Rabbit IgG H&L (HRP) (ab97051) at 1/500 dilution.

Membranous staining on kidney collecting ducts is observed.

Counter stained with Hematoxylin.

Secondary antibody only control : Used PBS instead of primary antibody, secondary antibody is Goat Anti-Rabbit IgG H&L (HRP) (ab97051) at 1/500 dilution.

This data was developed using the same antibody clone in a different buffer formulation containing PBS, BSA, glycerol, and sodium azide (ab215853).

Perform heat mediated antigen retrieval with Tris/EDTA buffer pH 9.0 before commencing with IHC staining protocol.

Immunohistochemistry (Formalin/PFA-fixed paraffin-embedded sections) - Anti-Aquaporin 3 antibody [EPR19932] - BSA and Azide free (AB240393)
  • IHC-P

Supplier Data

Immunohistochemistry (Formalin/PFA-fixed paraffin-embedded sections) - Anti-Aquaporin 3 antibody [EPR19932] - BSA and Azide free (AB240393)

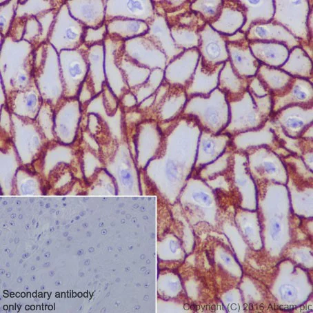
Immunohistochemical analysis of paraffin-embedded human bladder cancer tissue labeling Aquaporin 3 with ab215853 at 1/500 dilution, followed by Goat Anti-Rabbit IgG H&L (HRP) (ab97051) at 1/500 dilution.

Membranous staining on bladder cancer is observed.

Counter stained with Hematoxylin.

Secondary antibody only control : Used PBS instead of primary antibody, secondary antibody is Goat Anti-Rabbit IgG H&L (HRP) (ab97051) at 1/500 dilution.

This data was developed using the same antibody clone in a different buffer formulation containing PBS, BSA, glycerol, and sodium azide (ab215853).

Perform heat mediated antigen retrieval with Tris/EDTA buffer pH 9.0 before commencing with IHC staining protocol.

Immunohistochemistry (Formalin/PFA-fixed paraffin-embedded sections) - Anti-Aquaporin 3 antibody [EPR19932] - BSA and Azide free (AB240393)
  • IHC-P

Supplier Data

Immunohistochemistry (Formalin/PFA-fixed paraffin-embedded sections) - Anti-Aquaporin 3 antibody [EPR19932] - BSA and Azide free (AB240393)

Immunohistochemical analysis of paraffin-embedded human skin tissue labeling Aquaporin 3 with ab215853 at 1/500 dilution, followed by Goat Anti-Rabbit IgG H&L (HRP) (ab97051) at 1/500 dilution.

Membranous staining on skin squamous cell is observed.

Counter stained with Hematoxylin.

Secondary antibody only control : Used PBS instead of primary antibody, secondary antibody is Goat Anti-Rabbit IgG H&L (HRP) (ab97051) at 1/500 dilution.

This data was developed using the same antibody clone in a different buffer formulation containing PBS, BSA, glycerol, and sodium azide (ab215853).

Perform heat mediated antigen retrieval with Tris/EDTA buffer pH 9.0 before commencing with IHC staining protocol.

Immunocytochemistry/ Immunofluorescence - Anti-Aquaporin 3 antibody [EPR19932] - BSA and Azide free (AB240393)
  • ICC/IF

Supplier Data

Immunocytochemistry/ Immunofluorescence - Anti-Aquaporin 3 antibody [EPR19932] - BSA and Azide free (AB240393)

This data was developed using the same antibody clone in a different buffer formulation containing PBS, BSA, glycerol, and sodium azide (ab215853).

Immunofluorescent analysis of 4% Paraformaldehyde-fixed, 0.1% TritonX-100 permeabilized A431 (human epidermoid carcinoma epithelial cell) labelling Aquaporin 3 with ab215853 at 1/100 (5.03 μg/ml) dilution (Green). Confocal image showing mainly membranous staining in A431 cell line.

Negative control : U-87 MG

Nuclear DNA was labelled with DAPI (shown in blue). Secondary used was ab150081 Goat Anti-Rabbit IgG H&L (Alexa Fluor® 488) preadsorbed at 1/1000 (2 μg/ml). ab195889 Anti-alpha Tubulin mouse monoclonal antibody - Microtubule Marker (Alexa Fluor® 594) was used to counterstain tubulin at 1/200 (2.5μg/ml) dilution (Magenta).

Negative control : U-87 MG

Image was taken with a confocal microscope (Leica-Microsystems, TCS SP8).

  • Unconjugated

    Anti-Aquaporin 3 antibody [EPR19932]

  • 565 Alexa Fluor® 555

    Alexa Fluor® 555 Anti-Aquaporin 3 antibody [EPR19932]

  • 660 APC

    APC Anti-Aquaporin 3 antibody [EPR19932]

  • 665 Alexa Fluor® 647

    Alexa Fluor® 647 Anti-Aquaporin 3 antibody [EPR19932]

  • 578 PE

    PE Anti-Aquaporin 3 antibody [EPR19932]

  • 519 Alexa Fluor® 488

    Alexa Fluor® 488 Anti-Aquaporin 3 antibody [EPR19932]

  • 617 Alexa Fluor® 594

    Alexa Fluor® 594 Anti-Aquaporin 3 antibody [EPR19932]

  • 775 Alexa Fluor® 750

    Alexa Fluor® 750 Anti-Aquaporin 3 antibody [EPR19932]

Key facts

Host species

Rabbit

Clonality

Monoclonal

Clone number

EPR19932

Isotype

IgG

Carrier free

Yes

Reacts with

Human

Applications

IHC-P, ICC/IF

applications

Immunogen

The exact immunogen used to generate this antibody is proprietary information.

Reactivity data

{ "title": "Reactivity Data", "filters": { "stats": ["", "Species", "Dilution Info", "Notes"], "tabs": { "all-applications": {"fullname" : "All Applications", "shortname": "All Applications"}, "IHCP" : {"fullname" : "Immunohistochemistry (Formalin/PFA-fixed paraffin-embedded sections)", "shortname":"IHC-P"}, "ICCIF" : {"fullname" : "Immunocytochemistry/ Immunofluorescence", "shortname":"ICC/IF"} }, "product-promise": { "all": "all", "testedAndGuaranteed": "tested", "guaranteed": "expected", "predicted": "predicted", "notRecommended": "not-recommended" } }, "values": { "Human": { "IHCP-species-checked": "testedAndGuaranteed", "IHCP-species-dilution-info": "", "IHCP-species-notes": "<p></p> Perform heat-mediated antigen retrieval with Tris/EDTA buffer pH 9.0 before commencing with IHC staining protocol.", "ICCIF-species-checked": "testedAndGuaranteed", "ICCIF-species-dilution-info": "", "ICCIF-species-notes": "<p></p>" } } }

Product details

ab240393 is the carrier-free version of ab215853.

Patented technology
Our RabMAb® technology is a patented hybridoma-based technology for making rabbit monoclonal antibodies. For details on our patents, please refer to RabMAb® patents.

What are the advantages of a recombinant monoclonal antibody?
This product is a recombinant monoclonal antibody, which offers several advantages including:

  • - High batch-to-batch consistency and reproducibility
  • - Improved sensitivity and specificity
  • - Long-term security of supply
  • - Animal-free batch production

For more information, read more on recombinant antibodies.

Conjugation ready
Our carrier-free antibodies are typically supplied in a PBS-only formulation, purified and free of BSA, sodium azide and glycerol. This conjugation-ready format is designed for use with fluorochromes, metal isotopes, oligonucleotides, and enzymes, which makes them ideal for antibody labelling, functional and cell-based assays, flow-based assays (e.g. mass cytometry) and Multiplex Imaging applications.

Use our conjugation kits for antibody conjugates that are ready-to-use in as little as 20 minutes with 1 minute hands-on-time and 100% antibody recovery: available for fluorescent dyes, HRP, biotin and gold.

Compatibility
This product is compatible with the Maxpar® Antibody Labeling Kit from Fluidigm, without the need for antibody preparation. Maxpar® is a trademark of Fluidigm Canada Inc.

Properties and storage information

Form
Liquid
Purification technique
Affinity purification Protein A
Storage buffer
pH: 7.2 - 7.4 Constituents: PBS
Shipped at conditions
Blue Ice
Appropriate short-term storage conditions
+4°C
Appropriate long-term storage conditions
+4°C
Storage information
Do Not Freeze

Supplementary information

This supplementary information is collated from multiple sources and compiled automatically.

Aquaporin 3 (AQP3) also known as AQP-3 is a water and glycerol channel protein with a molecular weight of approximately 31 kDa. It facilitates the transport of water glycerol and other small solutes across cell membranes. AQP3 is expressed in a variety of tissues including the epidermis kidney respiratory tract and gastrointestinal tract. The protein's ability to transport glycerol is especially important in maintaining skin hydration and elasticity.
Biological function summary

Aquaporin channels such as AQP3 aid in the osmotic balance and are part of the cell membrane's permeability machinery. AQP3 forms functional homotetrameric structures that integrate into the plasma membrane. Each monomer of AQP3 contains a pore for the passage of water and other small molecules. This structural arrangement allows cells to regulate fluid movement and maintain homeostasis particularly in epithelial tissues.

Pathways

AQP3 engages in the regulation of transepithelial water movement and is involved in glycerol metabolism pathways. It interacts with proteins such as AQP1 and AQP4 supporting fluid transport across various organs. In epidermal cells AQP3 plays a role in the glycerol transport pathway important for skin barrier function and wound healing processes. Its role in these pathways highlights its contribution to cellular hydration and metabolic functions.

AQP3 has links to conditions like psoriasis and kidney dysfunction. Aberrant expression of AQP3 can contribute to skin disorders by disrupting hydration balance and affecting glycerol transport. In the kidney altered AQP3 expression impacts water reabsorption and can exacerbate renal pathologies. The interaction of AQP3 with other aquaporins like AQP1 suggests a collaborative role in disease progression through shared pathways involving fluid balance anomalies.

Product protocols

For this product, it's our understanding that no specific protocols are required. You can visit:

Target data

Aquaglyceroporins form homotetrameric transmembrane channels, with each monomer independently mediating glycerol and water transport across the plasma membrane along their osmotic gradient (PubMed : 12239222, PubMed : 30420639). Could also be permeable to urea (By similarity). Also participates in cell permeability to H2O2 and H2O2-mediated signaling (PubMed : 20724658). In skin, transports glycerol to the epidermis and stratum corneum, where it maintains hydration, elasticity, and supports lipid biosynthesis for barrier repair (By similarity). In kidney, contributes to the reabsorption of water, helping the body maintain proper fluid balance (By similarity).
See full target information AQP3

Publications (1)

Recent publications for all applications. Explore the full list and refine your search

Cell reports. Medicine 2:100360 PubMed34467244

2021

Secreted retrovirus-like GAG-domain-containing protein PEG10 is regulated by UBE3A and is involved in Angelman syndrome pathophysiology.

Applications

Unspecified application

Species

Unspecified reactive species

Nikhil J Pandya,Congwei Wang,Veronica Costa,Paul Lopatta,Sonja Meier,F Isabella Zampeta,A Mattijs Punt,Edwin Mientjes,Philip Grossen,Tania Distler,Manuel Tzouros,Yasmina Martí,Balazs Banfai,Christoph Patsch,Soren Rasmussen,Marius Hoener,Marco Berrera,Thomas Kremer,Tom Dunkley,Martin Ebeling,Ben Distel,Ype Elgersma,Ravi Jagasia
View all publications

Product promise

We are committed to supporting your work with high-quality reagents, and we're here for you every step of the way. In the unlikely event that one of our products does not perform as expected, you're protected by our Product Promise.
For full details, please see our Terms & Conditions

Please note: All products are 'FOR RESEARCH USE ONLY. NOT FOR USE IN DIAGNOSTIC OR THERAPEUTIC PROCEDURES'.

For licensing inquiries, please contact partnerships@abcam.com