JavaScript is disabled in your browser. Please enable JavaScript to view this website.
AB316294

Anti-Aquaporin 3 antibody [RM1081] - BSA and Azide free

Be the first to review this product! Submit a review

|

(0 Publication)

Rabbit Recombinant Multiclonal Aquaporin 3 antibody. Carrier free. Suitable for IHC-P, ICC/IF, IP and reacts with Human samples.

View Alternative Names

Aquaporin-3, AQP-3, Aquaglyceroporin-3, AQP3

6 Images
Immunohistochemistry (Formalin/PFA-fixed paraffin-embedded sections) - Anti-Aquaporin 3 antibody [RM1081] - BSA and Azide free (AB316294)
  • IHC-P

Supplier Data

Immunohistochemistry (Formalin/PFA-fixed paraffin-embedded sections) - Anti-Aquaporin 3 antibody [RM1081] - BSA and Azide free (AB316294)

This data was developed using ab316293, the same antibody clone in a different buffer formulation.

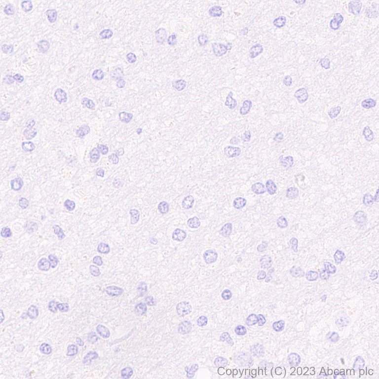
Immunohistochemical analysis of paraffin-embedded Human cerebrum tissue labeling Aquaporin 3 with ab316293 at 1/2000 (0.25 ug/ml) dilution, followed by a ready to use LeicaDS9800 (Bond™ Polymer Refine Detection).

Negative control : no staining on human cerebrum.
The section was incubated with ab316293 for 30 mins at room temperature.
The immunostaining was performed on a Leica Biosystems BOND® RX instrument.

Counterstained with Hematoxylin.

Secondary antibody only control : Secondary antibody is a ready to use LeicaDS9800 (Bond™ Polymer Refine Detection).

Heat mediated antigen retrieval was performed with Tris-EDTA buffer (pH 9.0, Epitope Retrieval Solution2) for 20 mins.

Immunohistochemistry (Formalin/PFA-fixed paraffin-embedded sections) - Anti-Aquaporin 3 antibody [RM1081] - BSA and Azide free (AB316294)
  • IHC-P

Supplier Data

Immunohistochemistry (Formalin/PFA-fixed paraffin-embedded sections) - Anti-Aquaporin 3 antibody [RM1081] - BSA and Azide free (AB316294)

This data was developed using ab316293, the same antibody clone in a different buffer formulation.

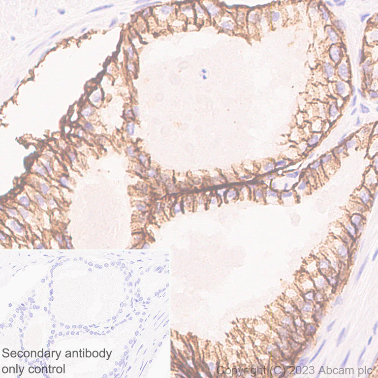
Immunohistochemical analysis of paraffin-embedded Human kidney tissue labeling Aquaporin 3 with ab316293 at 1/2000 (0.25 ug/ml) dilution, followed by a ready to use LeicaDS9800 (Bond™ Polymer Refine Detection).

Positive staining on human kidney.
The section was incubated with ab316293 for 30 mins at room temperature.
The immunostaining was performed on a Leica Biosystems BOND® RX instrument.

Counterstained with Hematoxylin.

Secondary antibody only control : Secondary antibody is a ready to use LeicaDS9800 (Bond™ Polymer Refine Detection).

Heat mediated antigen retrieval was performed with Tris-EDTA buffer (pH 9.0, Epitope Retrieval Solution2) for 20 mins.

Immunohistochemistry (Formalin/PFA-fixed paraffin-embedded sections) - Anti-Aquaporin 3 antibody [RM1081] - BSA and Azide free (AB316294)
  • IHC-P

Supplier Data

Immunohistochemistry (Formalin/PFA-fixed paraffin-embedded sections) - Anti-Aquaporin 3 antibody [RM1081] - BSA and Azide free (AB316294)

This data was developed using ab316293, the same antibody clone in a different buffer formulation.

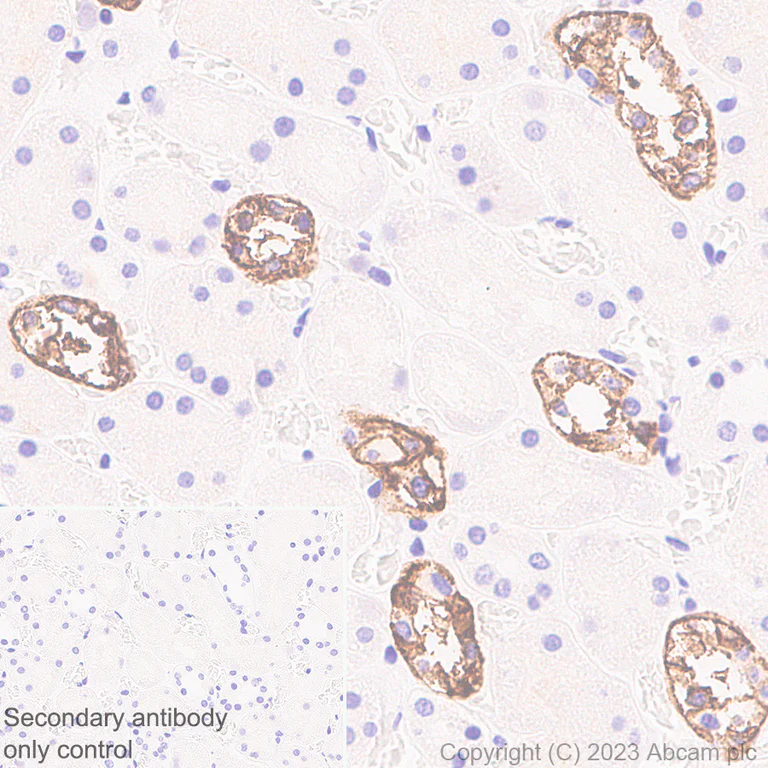
Immunohistochemical analysis of paraffin-embedded Human prostatic hyperplasia tissue labeling Aquaporin 3 with ab316293 at 1/2000 (0.25 ug/ml) dilution, followed by a ready to use LeicaDS9800 (Bond™ Polymer Refine Detection).

Positive staining on human prostatic hyperplasia.
The section was incubated with ab316293 for 30 mins at room temperature.
The immunostaining was performed on a Leica Biosystems BOND® RX instrument.

Counterstained with Hematoxylin.

Secondary antibody only control : Secondary antibody is a ready to use LeicaDS9800 (Bond™ Polymer Refine Detection).

Heat mediated antigen retrieval was performed with Tris-EDTA buffer (pH 9.0, Epitope Retrieval Solution2) for 20 mins.

Immunohistochemistry (Formalin/PFA-fixed paraffin-embedded sections) - Anti-Aquaporin 3 antibody [RM1081] - BSA and Azide free (AB316294)
  • IHC-P

Supplier Data

Immunohistochemistry (Formalin/PFA-fixed paraffin-embedded sections) - Anti-Aquaporin 3 antibody [RM1081] - BSA and Azide free (AB316294)

This data was developed using ab316293, the same antibody clone in a different buffer formulation.

Immunohistochemical analysis of paraffin-embedded Human skin tissue labeling Aquaporin 3 with ab316293 at 1/2000 (0.25 ug/ml) dilution, followed by a ready to use LeicaDS9800 (Bond™ Polymer Refine Detection).

Positive staining on human skin.
The image A is applied with Anti-Aquaporin 3 antibody [RM1081] (ab316293) at 1/2000 dilution and the image B is applied with Anti-Aquaporin 3 antibody (ab125219) at 1/2000 dilution.
The section was incubated with ab316293 or ab125219 for 30 mins at room temperature.
The immunostaining was performed on a Leica Biosystems BOND® RX instrument.

Counterstained with Hematoxylin.

Secondary antibody only control : Secondary antibody is a ready to use LeicaDS9800 (Bond™ Polymer Refine Detection).

Heat mediated antigen retrieval was performed with Tris-EDTA buffer (pH 9.0, Epitope Retrieval Solution2) for 20 mins.

Immunocytochemistry/ Immunofluorescence - Anti-Aquaporin 3 antibody [RM1081] - BSA and Azide free (AB316294)
  • ICC/IF

Supplier Data

Immunocytochemistry/ Immunofluorescence - Anti-Aquaporin 3 antibody [RM1081] - BSA and Azide free (AB316294)

This data was developed using ab316293, the same antibody clone in a different buffer formulation.

Immunofluorescent analysis of 100% methanol-fixed, 0.1% Tween-20 permeabilized A431 (human epidermoid carcinoma epithelial cell) cells labelling Aquaporin 3 with ab316293 at 1/100 (5.0 ug/ml) dilution, followed by ab150081 Goat Anti-Rabbit IgG H&L (Alexa Fluor® 488) preadsorbed antibody at 1/1000 (2 ug/ml) dilution (Green).

Confocal image showing mainly membranous staining in A431 cell line.
Negative control : U-87 MG.
Image was taken with a confocal microscope(Leica-Microsystems, TCS SP8).

ab195889 Anti-alpha Tubulin mouse monoclonal antibody - Microtubule Marker (Alexa Fluor® 594) was used to counterstain tubulin at 1/200 (2.5ug/ml) dilution (Magenta). The Nuclear counterstain was DAPI (Blue).

Secondary antibody only control : Secondary antibody is ab150081 Goat Anti-Rabbit IgG H&L (Alexa Fluor® 488) preadsorbed at 1/1000 (2 ug/ml) dilution.

Immunoprecipitation - Anti-Aquaporin 3 antibody [RM1081] - BSA and Azide free (AB316294)
  • IP

Supplier Data

Immunoprecipitation - Anti-Aquaporin 3 antibody [RM1081] - BSA and Azide free (AB316294)

This data was developed using ab316293, the same antibody clone in a different buffer formulation.

Aquaporin 3 was immunoprecipitated from 0.35 mg A431 (human epidermoid carcinoma epithelial cell) whole cell lysate with ab316293 at 1/30 dilution (2ug in 0.35mg lysates). Western blot was performed on the immunoprecipitate using ab316293 at 1/1000 dilution. VeriBlot for IP secondary antibody(HRP)(ab131366) was used at 1/5000 dilution.

Lane 1 : A431 (human epidermoid carcinoma epithelial cell) whole cell lysate
Lane 2 : ab316293 IP in A431 (human epidermoid carcinoma epithelial cell) whole cell lysate
Lane 3 : Rabbit monoclonal IgG (ab172730) instead of ab316293 in A431 whole cell lysate

All lanes:

Immunoprecipitation - Anti-Aquaporin 3 antibody [RM1081] (<a href='/en-us/products/primary-antibodies/aquaporin-3-antibody-rm1081-ab316293'>ab316293</a>) at 1/30 dilution

All lanes:

A431 (human epidermoid carcinoma epithelial cell) whole cell lysate

Secondary

All lanes:

Immunoprecipitation - VeriBlot for IP Detection Reagent (HRP) (<a href='/en-us/products/reagents/veriblot-for-ip-detection-reagent-hrp-ab131366'>ab131366</a>) at 1/5000 dilution

false

Exposure time: 15s

Key facts

Host species

Rabbit

Clonality

Multiclonal

Clone number

RM1081

Isotype

IgG

Carrier free

Yes

Reacts with

Human

Applications

IHC-P, IP, ICC/IF

applications

Immunogen

The exact immunogen used to generate this antibody is proprietary information.

Reactivity data

{ "title": "Reactivity Data", "filters": { "stats": ["", "Species", "Dilution Info", "Notes"], "tabs": { "all-applications": {"fullname" : "All Applications", "shortname": "All Applications"}, "IHCP" : {"fullname" : "Immunohistochemistry (Formalin/PFA-fixed paraffin-embedded sections)", "shortname":"IHC-P"}, "ICCIF" : {"fullname" : "Immunocytochemistry/ Immunofluorescence", "shortname":"ICC/IF"}, "IP" : {"fullname" : "Immunoprecipitation", "shortname":"IP"}, "WB" : {"fullname" : "Western blot", "shortname":"WB"}, "FlowCyt" : {"fullname" : "Flow Cytometry", "shortname":"Flow Cyt"} }, "product-promise": { "all": "all", "testedAndGuaranteed": "tested", "guaranteed": "expected", "predicted": "predicted", "notRecommended": "not-recommended" } }, "values": { "Human": { "IHCP-species-checked": "testedAndGuaranteed", "IHCP-species-dilution-info": "", "IHCP-species-notes": "<p></p>", "ICCIF-species-checked": "testedAndGuaranteed", "ICCIF-species-dilution-info": "", "ICCIF-species-notes": "<p></p>", "IP-species-checked": "testedAndGuaranteed", "IP-species-dilution-info": "", "IP-species-notes": "<p></p>", "WB-species-checked": "notRecommended", "WB-species-dilution-info": "", "WB-species-notes": "<p></p>", "FlowCyt-species-checked": "notRecommended", "FlowCyt-species-dilution-info": "", "FlowCyt-species-notes": "<p></p>" } } }

Product details

ab316294 is the carrirer-free version of ab316293.

What are recombinant multiclonals?
Recombinant multiclonals are a mixture of recombinant antibodies co-expressed from a library of heavy and light chains. They offer several advantages including:

  • - The sensitivity of polyclonal antibodies by recognising multiple epitopes
  • - High batch-to-batch consistency and reproducibility
  • - Improved sensitivity and specificity
  • - Long-term security of supply
  • - Animal-free batch production

View our range of recombinant multiclonal antibodies.

Patented technology
Our RabMAb® technology is a patented hybridoma-based technology for making rabbit monoclonal antibodies. For details on our patents, please refer to RabMAb® patents.

Conjugation ready
Our carrier-free antibodies are typically supplied in a PBS-only formulation, purified and free of BSA, sodium azide and glycerol. This conjugation-ready format is designed for use with fluorochromes, metal isotopes, oligonucleotides, and enzymes, which makes them ideal for antibody labelling, functional and cell-based assays, flow-based assays (e.g. mass cytometry) and Multiplex Imaging applications.

Use our conjugation kits for antibody conjugates that are ready-to-use in as little as 20 minutes with 1 minute hands-on-time and 100% antibody recovery: available for fluorescent dyes, HRP, biotin and gold.

Compatibility
This product is compatible with the Maxpar® Antibody Labeling Kit from Fluidigm, without the need for antibody preparation. Maxpar® is a trademark of Fluidigm Canada Inc.

Properties and storage information

Form
Liquid
Purification technique
Affinity purification Protein A
Storage buffer
pH: 7.2 - 7.4 Constituents: PBS
Shipped at conditions
Blue Ice
Appropriate short-term storage conditions
+4°C
Appropriate long-term storage conditions
+4°C

Supplementary information

This supplementary information is collated from multiple sources and compiled automatically.

Aquaporin 3 (AQP3) also known as AQP-3 is a water and glycerol channel protein with a molecular weight of approximately 31 kDa. It facilitates the transport of water glycerol and other small solutes across cell membranes. AQP3 is expressed in a variety of tissues including the epidermis kidney respiratory tract and gastrointestinal tract. The protein's ability to transport glycerol is especially important in maintaining skin hydration and elasticity.
Biological function summary

Aquaporin channels such as AQP3 aid in the osmotic balance and are part of the cell membrane's permeability machinery. AQP3 forms functional homotetrameric structures that integrate into the plasma membrane. Each monomer of AQP3 contains a pore for the passage of water and other small molecules. This structural arrangement allows cells to regulate fluid movement and maintain homeostasis particularly in epithelial tissues.

Pathways

AQP3 engages in the regulation of transepithelial water movement and is involved in glycerol metabolism pathways. It interacts with proteins such as AQP1 and AQP4 supporting fluid transport across various organs. In epidermal cells AQP3 plays a role in the glycerol transport pathway important for skin barrier function and wound healing processes. Its role in these pathways highlights its contribution to cellular hydration and metabolic functions.

AQP3 has links to conditions like psoriasis and kidney dysfunction. Aberrant expression of AQP3 can contribute to skin disorders by disrupting hydration balance and affecting glycerol transport. In the kidney altered AQP3 expression impacts water reabsorption and can exacerbate renal pathologies. The interaction of AQP3 with other aquaporins like AQP1 suggests a collaborative role in disease progression through shared pathways involving fluid balance anomalies.

Product protocols

For this product, it's our understanding that no specific protocols are required. You can visit:

Target data

Aquaglyceroporins form homotetrameric transmembrane channels, with each monomer independently mediating glycerol and water transport across the plasma membrane along their osmotic gradient (PubMed : 12239222, PubMed : 30420639). Could also be permeable to urea (By similarity). Also participates in cell permeability to H2O2 and H2O2-mediated signaling (PubMed : 20724658). In skin, transports glycerol to the epidermis and stratum corneum, where it maintains hydration, elasticity, and supports lipid biosynthesis for barrier repair (By similarity). In kidney, contributes to the reabsorption of water, helping the body maintain proper fluid balance (By similarity).
See full target information AQP3

Product promise

We are committed to supporting your work with high-quality reagents, and we're here for you every step of the way. In the unlikely event that one of our products does not perform as expected, you're protected by our Product Promise.
For full details, please see our Terms & Conditions

Please note: All products are 'FOR RESEARCH USE ONLY. NOT FOR USE IN DIAGNOSTIC OR THERAPEUTIC PROCEDURES'.

For licensing inquiries, please contact partnerships@abcam.com