JavaScript is disabled in your browser. Please enable JavaScript to view this website.
AB259318

Anti-Aquaporin 4 antibody [EPR24281-65]

  • BOND RX™ Validated
  • KO Validated
  • 20ul selling size
  • RabMAb
  • Recombinant
  • What is this?

Be the first to review this product! Submit a review

|

(18 Publications)

Anti-Aquaporin 4 antibody [EPR24281-65] (ab259318) is a rabbit monoclonal antibody detecting Aquaporin 4 in Western Blot, Flow Cytometry (Intra), Flow Cytometry, IHC-P, IHC-Fr, ICC/IF. Suitable for Human, Mouse, Rat.

- KO validated for confirmed specificity
- Biophysical QC for unrivalled batch-batch consistency

View Alternative Names

Aquaporin-4, AQP-4, Mercurial-insensitive water channel, WCH4, MIWC, AQP4

24 Images
Immunohistochemistry (Formalin/PFA-fixed paraffin-embedded sections) - Anti-Aquaporin 4 antibody [EPR24281-65] (AB259318)
  • IHC-P

Supplier Data

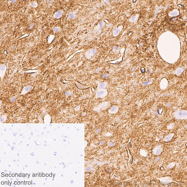
Immunohistochemistry (Formalin/PFA-fixed paraffin-embedded sections) - Anti-Aquaporin 4 antibody [EPR24281-65] (AB259318)

Immunohistochemical analysis of paraffin-embedded Human cerebrum tissue labelling Aquaporin-4 with ab259318 at 1/2000 (0.299 ug/ml) followed by a ready to use LeicaDS9800 (Bond™ Polymer Refine Detection). Strong membrane and cytoplasm staining on human cerebrum. (PMID : 7559426, 19170255) The section was incubated with ab259318 for 30 mins at room temperature. The immunostaining was performed on a Leica Biosystems BOND® RX instrument Counterstained with Hematoxylin.

Secondary antibody only control : Secondary antibody is a ready to use LeicaDS9800 (Bond™ Polymer Refine Detection).

Heat mediated antigen retrieval with Tris-EDTA buffer (pH 9.0, epitope retrieval solution2) for 20 mins

Immunohistochemistry (Formalin/PFA-fixed paraffin-embedded sections) - Anti-Aquaporin 4 antibody [EPR24281-65] (AB259318)
  • IHC-P

Supplier Data

Immunohistochemistry (Formalin/PFA-fixed paraffin-embedded sections) - Anti-Aquaporin 4 antibody [EPR24281-65] (AB259318)

Immunohistochemical analysis of paraffin-embedded Human skeletal muscle tissue labelling Aquaporin-4 with ab259318 at 1/2000 (0.299 ug/ml) followed by a ready to use LeicaDS9800 (Bond™ Polymer Refine Detection). Positive staining on human skeletal muscle. The section was incubated with ab259318 for 30 mins at room temperature. The immunostaining was performed on a Leica Biosystems BOND® RX instrument Counterstained with Hematoxylin.

Secondary antibody only control : Secondary antibody is a ready to use LeicaDS9800 (Bond™ Polymer Refine Detection).

Heat mediated antigen retrieval with Tris-EDTA buffer (pH 9.0, epitope retrieval solution2) for 20 mins

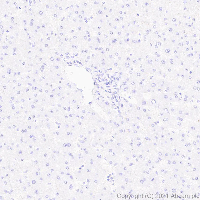
Immunohistochemistry (Formalin/PFA-fixed paraffin-embedded sections) - Anti-Aquaporin 4 antibody [EPR24281-65] (AB259318)
  • IHC-P

Supplier Data

Immunohistochemistry (Formalin/PFA-fixed paraffin-embedded sections) - Anti-Aquaporin 4 antibody [EPR24281-65] (AB259318)

Immunohistochemical analysis of paraffin-embedded Human liver tissue labelling Aquaporin-4 with ab259318 at 1/2000 (0.299 ug/ml) followed by a ready to use LeicaDS9800 (Bond™ Polymer Refine Detection). Negative control : no staining on human liver. (PMID : 19170255) The section was incubated with ab259318 for 30 mins at room temperature. The immunostaining was performed on a Leica Biosystems BOND® RX instrument Counterstained with Hematoxylin.

Secondary antibody only control : Secondary antibody is a ready to use LeicaDS9800 (Bond™ Polymer Refine Detection).

Heat mediated antigen retrieval with Tris-EDTA buffer (pH 9.0, epitope retrieval solution2) for 20 mins

Immunohistochemistry (Formalin/PFA-fixed paraffin-embedded sections) - Anti-Aquaporin 4 antibody [EPR24281-65] (AB259318)
  • IHC-P

Supplier Data

Immunohistochemistry (Formalin/PFA-fixed paraffin-embedded sections) - Anti-Aquaporin 4 antibody [EPR24281-65] (AB259318)

Immunohistochemical analysis of paraffin-embedded Human kidney tissue labelling Aquaporin-4 with ab259318 at 1/2000 (0.299 ug/ml) followed by a ready to use LeicaDS9800 (Bond™ Polymer Refine Detection). Positive staining on human kidney. (PMID : 19170255) The section was incubated with ab259318 for 30 mins at room temperature. The immunostaining was performed on a Leica Biosystems BOND® RX instrument Counterstained with Hematoxylin.

Secondary antibody only control : Secondary antibody is a ready to use LeicaDS9800 (Bond™ Polymer Refine Detection).

Heat mediated antigen retrieval with Tris-EDTA buffer (pH 9.0, epitope retrieval solution2) for 20 mins

Immunohistochemistry (Frozen sections) - Anti-Aquaporin 4 antibody [EPR24281-65] (AB259318)
  • IHC-Fr

Supplier Data

Immunohistochemistry (Frozen sections) - Anti-Aquaporin 4 antibody [EPR24281-65] (AB259318)

Immunohistochemical analysis of 4% PFA-fixed, 0.2% Triton X-100 permeabilized frozen Rat kidney (fresh) tissue labeling Aquaporin-4 with ab259318 at 1/500 (1.196 ug/ml) dilution followed by ab150077 Goat Anti-Rabbit IgG H&L (Alexa Fluor® 488) at 1/1000 dilution (Green). Cytoplasmic and membranous staining on rat kidney (PMID : 17442782) is observed. The nuclear counterstain was DAPI (Blue).

Secondary antibody control : Secondary antibody is ab150077 Goat Anti-Rabbit IgG H&L (Alexa Fluor® 488)at 1/1000 dilution.

Immunohistochemistry (Frozen sections) - Anti-Aquaporin 4 antibody [EPR24281-65] (AB259318)
  • IHC-Fr

Supplier Data

Immunohistochemistry (Frozen sections) - Anti-Aquaporin 4 antibody [EPR24281-65] (AB259318)

Immunohistochemical analysis of 4% PFA-fixed, 0.2% Triton X-100 permeabilized frozen Mouse cerebrum (fresh) tissue labeling Aquaporin-4 with ab259318 at 1/500 (1.196 ug/ml) dilution followed by ab150077 Goat Anti-Rabbit IgG H&L (Alexa Fluor® 488) at 1/1000 dilution (Green). Positive staining on mouse cerebrum (PMID : 21990350) is observed. The nuclear counterstain was DAPI (Blue).

Secondary antibody control : Secondary antibody is ab150077 Goat Anti-Rabbit IgG H&L (Alexa Fluor® 488)at 1/1000 dilution.

Flow Cytometry (Intracellular) - Anti-Aquaporin 4 antibody [EPR24281-65] (AB259318)
  • Flow Cyt (Intra)

Lab

Flow Cytometry (Intracellular) - Anti-Aquaporin 4 antibody [EPR24281-65] (AB259318)

Flow cytometric analysis of 4% paraformaldehyde fixed 0.1% Tween-20 permeabilized Rat primary neural/glia cell cells labelling Aquaporin-4 with ab259318 at 1/500 dilution (0.1ug)/ Right (Red) compared with a Rabbit monoclonal IgG (ab172730) / Left isotype control. A Goat anti rabbit IgG (Alexa Fluor® 488, ab150077) at 1/2000 dilution was used as the secondary antibody.

Immunohistochemistry (Frozen sections) - Anti-Aquaporin 4 antibody [EPR24281-65] (AB259318)
  • IHC-Fr

Supplier Data

Immunohistochemistry (Frozen sections) - Anti-Aquaporin 4 antibody [EPR24281-65] (AB259318)

Immunohistochemical analysis of 4% PFA-fixed, 0.2% Triton X-100 permeabilized frozen Mouse testis (fresh) tissue labeling Aquaporin-4 with ab259318 at 1/500 (1.196 ug/ml) dilution followed by ab150077 Goat Anti-Rabbit IgG H&L (Alexa Fluor® 488) at 1/1000 dilution (Green). Negative control : No staining on mouse testis testis (PMID : 16840793) is observed. The nuclear counterstain was DAPI (Blue).

Secondary antibody control : Secondary antibody is ab150077 Goat Anti-Rabbit IgG H&L (Alexa Fluor® 488)at 1/1000 dilution.

Immunohistochemistry (Formalin/PFA-fixed paraffin-embedded sections) - Anti-Aquaporin 4 antibody [EPR24281-65] (AB259318)
  • IHC-P

Supplier Data

Immunohistochemistry (Formalin/PFA-fixed paraffin-embedded sections) - Anti-Aquaporin 4 antibody [EPR24281-65] (AB259318)

Immunohistochemical analysis of paraffin-embedded Rat cerebrum tissue labelling Aquaporin-4 with ab259318 at 1/5000 (0.299 ug/ml) followed by a ready to use LeicaDS9800 (Bond™ Polymer Refine Detection). Positive staining on rat cerebrum. The section was incubated with ab259318 for 30 mins at room temperature. The immunostaining was performed on a Leica Biosystems BOND® RX instrument Counterstained with Hematoxylin.

Secondary antibody only control : Secondary antibody is a ready to use LeicaDS9800 (Bond™ Polymer Refine Detection).

Heat mediated antigen retrieval with Tris-EDTA buffer (pH 9.0, epitope retrieval solution2) for 20 mins

Immunohistochemistry (Frozen sections) - Anti-Aquaporin 4 antibody [EPR24281-65] (AB259318)
  • IHC-Fr

Supplier Data

Immunohistochemistry (Frozen sections) - Anti-Aquaporin 4 antibody [EPR24281-65] (AB259318)

Immunohistochemical analysis of 4% PFA-fixed 0.2% Triton X-100 permeabilized frozen Rat cerebrum (fresh) tissue labeling Aquaporin-4 with ab259318 at 1/500 (1.196 ug/ml) dilution followed by ab150077 Goat Anti-Rabbit IgG H&L (Alexa Fluor® 488) at 1/1000 dilution (Green). Positive staining on rat cerebrum (PMID : 21990350) is observed. The nuclear counterstain was DAPI (Blue).

Secondary antibody control : Secondary antibody is ab150077 Goat Anti-Rabbit IgG H&L (Alexa Fluor® 488)at 1/1000 dilution.

Immunocytochemistry/ Immunofluorescence - Anti-Aquaporin 4 antibody [EPR24281-65] (AB259318)
  • ICC/IF

Supplier Data

Immunocytochemistry/ Immunofluorescence - Anti-Aquaporin 4 antibody [EPR24281-65] (AB259318)

Immunofluorescent analysis of 4% Paraformaldehyde-fixed, 0.1% TritonX-100 permeabilized rat primary neural/glia cell cells labelling Aquaporin-4 with ab259318 at 1/200 (2.99 ug/ml) dilution, followed by ab150081 Goat Anti-Rabbit IgG H&L (Alexa Fluor® 488) preadsorbed antibody at 1/1000 dilution (Green). Confocal image showing cytoplasmic staining in rat astrocyte cells. Confocal scanning Z step was set as 0.3 μm followed by image processing with maximum Z projection is observed. ab10062 Anti-GFAP mouse monoclonal antibody was used as counterstain at 1/50 dilution (Red). The Nuclear counterstain was DAPI (Blue).

Secondary antibody only control : Secondary antibody is ab150081 Goat Anti-Rabbit IgG H&L (Alexa Fluor® 488) preadsorbed at 1/1000 dilution.

Immunocytochemistry/ Immunofluorescence - Anti-Aquaporin 4 antibody [EPR24281-65] (AB259318)
  • ICC/IF

Supplier Data

Immunocytochemistry/ Immunofluorescence - Anti-Aquaporin 4 antibody [EPR24281-65] (AB259318)

Immunofluorescent analysis of 4% Paraformaldehyde-fixed, 0.1% TritonX-100 permeabilized mouse primary neural/glia cell cells labelling Aquaporin-4 with ab259318 at 1/200 (2.99 ug/ml) dilution, followed by ab150081 Goat Anti-Rabbit IgG H&L (Alexa Fluor® 488) preadsorbed antibody at 1/1000 dilution (Green). Confocal image showing cytoplasmic staining in mouse astrocyte cells. Confocal scanning Z step was set as 0.3 μm followed by image processing with maximum Z projection is observed. ab10062 Anti-GFAP mouse monoclonal antibody was used as counterstain at 1/50 dilution (Red). The Nuclear counterstain was DAPI (Blue).

Secondary antibody only control : Secondary antibody is ab150081 Goat Anti-Rabbit IgG H&L (Alexa Fluor® 488) preadsorbed at 1/1000 dilution.

Immunohistochemistry (Formalin/PFA-fixed paraffin-embedded sections) - Anti-Aquaporin 4 antibody [EPR24281-65] (AB259318)
  • IHC-P

Lab

Immunohistochemistry (Formalin/PFA-fixed paraffin-embedded sections) - Anti-Aquaporin 4 antibody [EPR24281-65] (AB259318)

Immunohistochemical analysis of paraffin-embedded (A) Skeletal muscle tissue from wild-type C57BL/6JGpt mice (B) Skeletal muscle tissue from AQP4 knockout mice labelling Aquaporin-4 with ab259318 at 1/5000 followed by a ready to use LeicaDS9800 (Bond™ Polymer Refine Detection). Counterstained with Hematoxylin. Antigen retrieval was heat mediated with Citrate buffer (pH 6.0, Epitope Retrieval Solution 1) for 20 mins. Positive staining on (A) Skeletal muscle tissue from wild-type C57BL/6JGpt mice and no staining on (B) Skeletal muscle tissue from AQP4 knockout mice. The section was incubated with ab259318 for 30 mins at room temperature. The immunostaining was performed on a Leica Biosystems BOND® RX instrument. The tissue samples were kindly provided by GemPharmatech. C57BL/6JGpt wildtype mice and Aqp4-KO homozygous mice (Strain ID : T011901).

Immunohistochemistry (Formalin/PFA-fixed paraffin-embedded sections) - Anti-Aquaporin 4 antibody [EPR24281-65] (AB259318)
  • IHC-P

Supplier Data

Immunohistochemistry (Formalin/PFA-fixed paraffin-embedded sections) - Anti-Aquaporin 4 antibody [EPR24281-65] (AB259318)

Immunohistochemical analysis of paraffin-embedded Mouse testis tissue labelling Aquaporin-4 with ab259318 at 1/5000 (0.299 ug/ml) followed by a ready to use LeicaDS9800 (Bond™ Polymer Refine Detection). Negative control : no staining on mouse testis. The section was incubated with ab259318 for 30 mins at room temperature. The immunostaining was performed on a Leica Biosystems BOND® RX instrument Counterstained with Hematoxylin.

Secondary antibody only control : Secondary antibody is a ready to use LeicaDS9800 (Bond™ Polymer Refine Detection).

Heat mediated antigen retrieval with Tris-EDTA buffer (pH 9.0, epitope retrieval solution2) for 20 mins

Immunohistochemistry (Formalin/PFA-fixed paraffin-embedded sections) - Anti-Aquaporin 4 antibody [EPR24281-65] (AB259318)
  • IHC-P

Supplier Data

Immunohistochemistry (Formalin/PFA-fixed paraffin-embedded sections) - Anti-Aquaporin 4 antibody [EPR24281-65] (AB259318)

Immunohistochemical analysis of paraffin-embedded Mouse cerebrum tissue labelling Aquaporin-4 with ab259318 at 1/5000 (0.299 ug/ml) followed by a ready to use LeicaDS9800 (Bond™ Polymer Refine Detection). Positive staining on mouse cerebrum. The section was incubated with ab259318 for 30 mins at room temperature. The immunostaining was performed on a Leica Biosystems BOND® RX instrument Counterstained with Hematoxylin.

Secondary antibody only control : Secondary antibody is a ready to use LeicaDS9800 (Bond™ Polymer Refine Detection).

Heat mediated antigen retrieval with Tris-EDTA buffer (pH 9.0, epitope retrieval solution2) for 20 mins

Flow Cytometry (Intracellular) - Anti-Aquaporin 4 antibody [EPR24281-65] (AB259318)
  • Flow Cyt (Intra)

Lab

Flow Cytometry (Intracellular) - Anti-Aquaporin 4 antibody [EPR24281-65] (AB259318)

Flow cytometric analysis of 4% paraformaldehyde fixed 0.1% Tween-20 permeabilized Mouse primary neural/glia cell cells labelling Aquaporin-4 with ab259318 at 1/500 dilution (0.1ug)/ Right (Red) compared with a Rabbit monoclonal IgG (ab172730) / Left isotype control. A Goat anti rabbit IgG (Alexa Fluor® 488, ab150077) at 1/2000 dilution was used as the secondary antibody.

Immunohistochemistry (Frozen sections) - Anti-Aquaporin 4 antibody [EPR24281-65] (AB259318)
  • IHC-Fr

Supplier Data

Immunohistochemistry (Frozen sections) - Anti-Aquaporin 4 antibody [EPR24281-65] (AB259318)

Immunohistochemical analysis of 4% PFA-fixed, 0.2% Triton X-100 permeabilized frozen Mouse kidney (fresh) tissue labeling Aquaporin-4 with ab259318 at 1/500 (1.196 ug/ml) dilution followed by ab150077 Goat Anti-Rabbit IgG H&L (Alexa Fluor® 488) at 1/1000 dilution (Green). Cytoplasmic and membranous staining on mouse kidney (PMID : 17442782) is observed. The nuclear counterstain was DAPI (Blue).

Secondary antibody control : Secondary antibody is ab150077 Goat Anti-Rabbit IgG H&L (Alexa Fluor® 488)at 1/1000 dilution.

Immunohistochemistry (Frozen sections) - Anti-Aquaporin 4 antibody [EPR24281-65] (AB259318)
  • IHC-Fr

Supplier Data

Immunohistochemistry (Frozen sections) - Anti-Aquaporin 4 antibody [EPR24281-65] (AB259318)

Immunohistochemical analysis of 4% PFA-fixed, 0.2% Triton X-100 permeabilized frozen Rat testis (fresh) tissue labeling Aquaporin-4 with ab259318 at 1/500 (1.196 ug/ml) dilution followed by ab150077 Goat Anti-Rabbit IgG H&L (Alexa Fluor® 488) at 1/1000 dilution (Green). Negative control : No staining on rat testis testis (PMID : 16840793) is observed. The nuclear counterstain was DAPI (Blue).

Secondary antibody control : Secondary antibody is ab150077 Goat Anti-Rabbit IgG H&L (Alexa Fluor® 488)at 1/1000 dilution.

Immunohistochemistry (Formalin/PFA-fixed paraffin-embedded sections) - Anti-Aquaporin 4 antibody [EPR24281-65] (AB259318)
  • IHC-P

Supplier Data

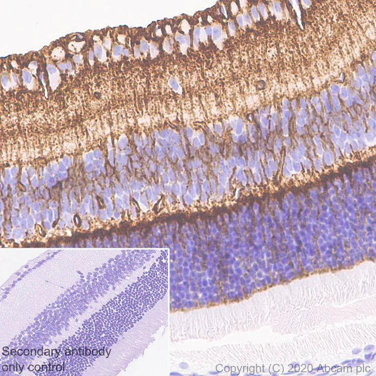
Immunohistochemistry (Formalin/PFA-fixed paraffin-embedded sections) - Anti-Aquaporin 4 antibody [EPR24281-65] (AB259318)

Immunohistochemical analysis of paraffin-embedded Mouse retina tissue labelling Aquaporin-4 with ab259318 at 1/5000 (0.299 ug/ml) followed by a ready to use LeicaDS9800 (Bond™ Polymer Refine Detection). Positive staining on mouse retina. (PMID : 17525153) The section was incubated with ab259318 for 30 mins at room temperature. The immunostaining was performed on a Leica Biosystems BOND® RX instrument Counterstained with Hematoxylin.

Secondary antibody only control : Secondary antibody is a ready to use LeicaDS9800 (Bond™ Polymer Refine Detection).

Heat mediated antigen retrieval with Tris-EDTA buffer (pH 9.0, epitope retrieval solution2) for 20 mins

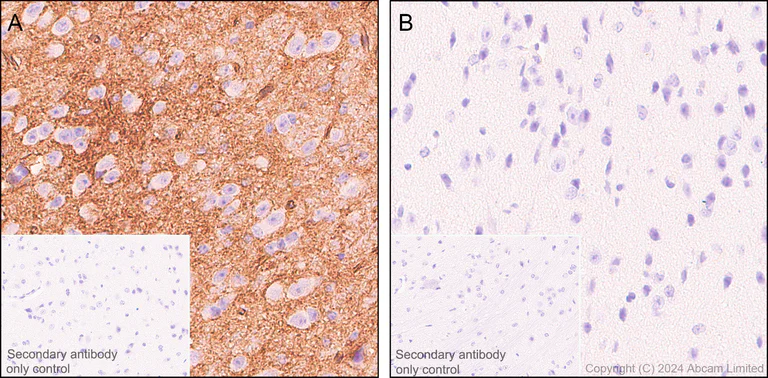
Immunohistochemistry (Formalin/PFA-fixed paraffin-embedded sections) - Anti-Aquaporin 4 antibody [EPR24281-65] (AB259318)
  • IHC-P

Lab

Immunohistochemistry (Formalin/PFA-fixed paraffin-embedded sections) - Anti-Aquaporin 4 antibody [EPR24281-65] (AB259318)

Immunohistochemical analysis of paraffin-embedded (A) Brain tissue from wild-type C57BL/6JGpt mice (B) Brain tissue from AQP4 knockout mice labelling Aquaporin-4 with ab259318 at 1/5000 followed by a ready to use LeicaDS9800 (Bond™ Polymer Refine Detection). Counterstained with Hematoxylin.  Antigen retrieval was heat mediated with Citrate buffer (pH 6.0, Epitope Retrieval Solution 1) for 20 mins Positive staining on (A) Brain tissue from wild-type C57BL/6JGpt mice and no staining on (B) Brain tissue from AQP4 knockout mice. The section was incubated with ab259318 for 30 mins at room temperature. The immunostaining was performed on a Leica Biosystems BOND® RX instrument. The tissue samples were kindly provided by GemPharmatech. C57BL/6JGpt wildtype mice and Aqp4-KO homozygous mice (Strain ID : T011901).

Western blot - Anti-Aquaporin 4 antibody [EPR24281-65] (AB259318)
  • WB

Lab

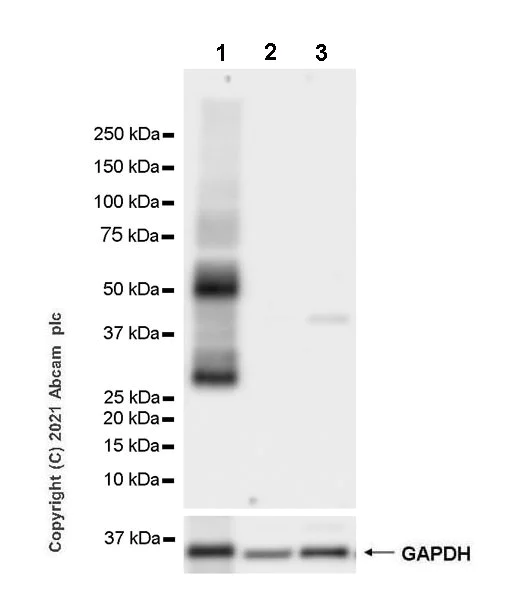
Western blot - Anti-Aquaporin 4 antibody [EPR24281-65] (AB259318)

Blocking and diluting buffer and concentration : 5% NFDM/TBST

The molecular weight is consistent with what has been described in the literature. Bands observed at 52 kDa may represent the glycosylated form of AQP4 and the lower band may be the nonglycosylated form (PMID : 26786101, 8594871).

The expression profile observed in the human liver is consistent with the literature (PMID : 19170255).

Lysate were made unboil. We recommend not to boil the samples after lysis to get desired WB results.

All lanes:

Western blot - Anti-Aquaporin 4 antibody [EPR24281-65] (ab259318) at 1/1000 dilution

Lane 1:

Human skeletal muscle tissue lysate at 20 µg

Lane 2:

Human liver tissue lysate at 20 µg

Lane 3:

Human testis tissue lysate at 20 µg

Secondary

All lanes:

Western blot - Goat Anti-Rabbit IgG H&L (HRP) (<a href='/en-us/products/secondary-antibodies/goat-rabbit-igg-h-l-hrp-ab97051'>ab97051</a>) at 1/100000 dilution

Predicted band size: 35 kDa

Observed band size: 28 kDa,52 kDa

false

Exposure time: 3min

Western blot - Anti-Aquaporin 4 antibody [EPR24281-65] (AB259318)
  • WB

Lab

Western blot - Anti-Aquaporin 4 antibody [EPR24281-65] (AB259318)

Blocking and diluting buffer and concentration : 5% NFDM/TBST

The molecular weight is consistent with what has been described in the literature. Bands observed at 100 kDa relate to a tetramer of AQP4 (PMID : 18334967, 11742978)

The expression profile observed in mouse testis is consistent with the literature (PMID : 16840793, 23712968).

Lysate were made unboil. We recommend not to boil the samples after lysis to get desired WB results.

All lanes:

Western blot - Anti-Aquaporin 4 antibody [EPR24281-65] (ab259318) at 1/1000 dilution

Lane 1:

Mouse brain tissue lysate at 20 µg

Lane 2:

Mouse skeletal muscle tissue lysate at 20 µg

Lane 3:

Mouse stomach tissue lysate at 20 µg

Lane 4:

Mouse testis tissue lysate at 20 µg

Secondary

All lanes:

Western blot - Goat Anti-Rabbit IgG H&L (HRP) (<a href='/en-us/products/secondary-antibodies/goat-rabbit-igg-h-l-hrp-ab97051'>ab97051</a>) at 1/100000 dilution

Predicted band size: 35 kDa

Observed band size: 100 kDa,28 kDa

false

Exposure time: 3min

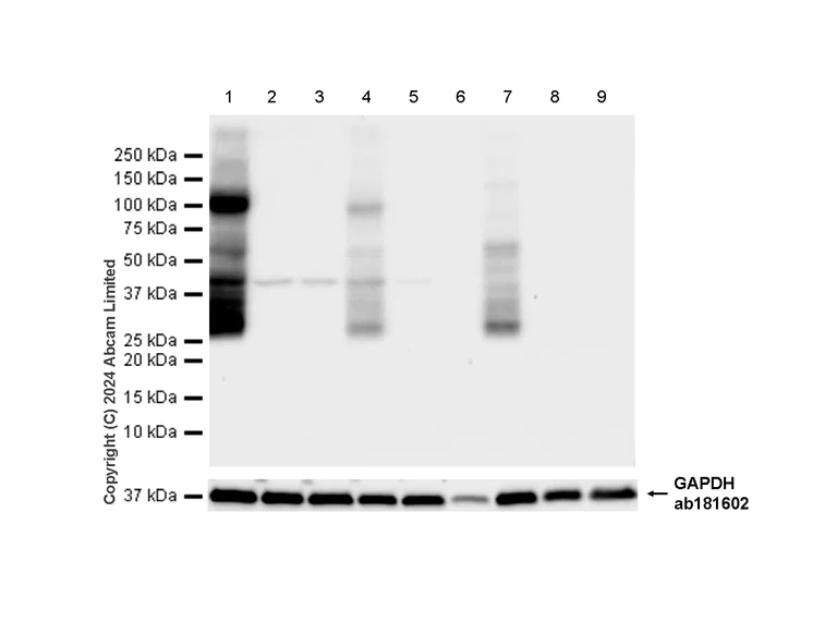
Western blot - Anti-Aquaporin 4 antibody [EPR24281-65] (AB259318)
  • WB

Lab

Western blot - Anti-Aquaporin 4 antibody [EPR24281-65] (AB259318)

In Western Blot, Anti-GAPDH antibody [EPR16891] - Loading Control (ab181602) used at 1/200000 dilution.

Blocking and diluting buffer and concentration : 5% NFDM/TBST.

Boiling leads to the formation of aggregates of membrane proteins, leading to unsuccessful migration in the gel. We recommend to to run unboiled lysate samples when testing for Aqp4 expression by western blot.

The tissue samples were kindly provided by GemPharmatech. C57BL/6JGpt wildtype mice and Aqp4-KO homozygous mice (Strain ID : T011901).

All lanes:

Western blot - Anti-Aquaporin 4 antibody [EPR24281-65] (ab259318) at 1/1000 dilution

Lane 1:

Wild-type mouse brain tissue lysate (female)

Lanes 2 - 3:

AQP4 knockout brain tissue lysate (female)

Lane 4:

Wild-type mouse kidney tissue lysate (female)

Lanes 5 - 6:

AQP4 knockout kidney tissue lysate (female)

Lane 7:

Wild-type mouse skeletal muscle tissue lysate (female)

Lanes 8 - 9:

AQP4 knockout skeletal muscle tissue lysate (female)

Secondary

All lanes:

Western blot - Goat Anti-Rabbit IgG H&L (HRP) (<a href='/en-us/products/secondary-antibodies/goat-rabbit-igg-h-l-hrp-ab97051'>ab97051</a>) at 1/20000 dilution

Observed band size: 28 kDa,52 kDa

false

Exposure time: 4s

Western blot - Anti-Aquaporin 4 antibody [EPR24281-65] (AB259318)
  • WB

Lab

Western blot - Anti-Aquaporin 4 antibody [EPR24281-65] (AB259318)

Blocking and diluting buffer and concentration : 5% NFDM/TBST

The molecular weight is consistent with what has been described in the literature (PMID : 18334967, 11742978).

The expression profile observed in rat testis is consistent with the literature (PMID : 16840793, 23712968).

Lysate were made unboil. We recommend not to boil the samples after lysis to get desired WB results.

All lanes:

Western blot - Anti-Aquaporin 4 antibody [EPR24281-65] (ab259318) at 1/1000 dilution

Lane 1:

Rat brain tissue lysate at 20 µg

Lane 2:

Rat skeletal muscle tissue lysate at 20 µg

Lane 3:

Rat stomach tissue lysate at 20 µg

Lane 4:

Rat testis tissue lysate at 20 µg

Secondary

All lanes:

Western blot - Goat Anti-Rabbit IgG H&L (HRP) (<a href='/en-us/products/secondary-antibodies/goat-rabbit-igg-h-l-hrp-ab97051'>ab97051</a>) at 1/100000 dilution

Predicted band size: 35 kDa

Observed band size: 28 kDa

false

Exposure time: 3min

  • Carrier free

    Anti-Aquaporin 4 antibody [EPR24281-65] - BSA and Azide free

  • 519 Alexa Fluor® 488

    Alexa Fluor® 488 Anti-Aquaporin 4 antibody [EPR24281-65]

  • 665 Alexa Fluor® 647

    Alexa Fluor® 647 Anti-Aquaporin 4 antibody [EPR24281-65]

  • Carrier free

    Anti-Aquaporin 4 antibody [EPR24281-85] - BSA and Azide free (Detector)

Key facts

Host species

Rabbit

Clonality

Monoclonal

Clone number

EPR24281-65

Isotype

IgG

Carrier free

No

Reacts with

Mouse, Rat, Human

Applications

IHC-Fr, Flow Cyt (Intra), IHC-P, ICC/IF, WB

applications

Immunogen

The exact immunogen used to generate this antibody is proprietary information.

Reactivity data

{ "title": "Reactivity Data", "filters": { "stats": ["", "Species", "Dilution Info", "Notes"], "tabs": { "all-applications": {"fullname" : "All Applications", "shortname": "All Applications"}, "ICCIF" : {"fullname" : "Immunocytochemistry/ Immunofluorescence", "shortname":"ICC/IF"}, "IP" : {"fullname" : "Immunoprecipitation", "shortname":"IP"}, "WB" : {"fullname" : "Western blot", "shortname":"WB"}, "IHCFr" : {"fullname" : "Immunohistochemistry (Frozen sections)", "shortname":"IHC-Fr"}, "FlowCytIntra" : {"fullname" : "Flow Cytometry (Intracellular)", "shortname":"Flow Cyt (Intra)"}, "IHCP" : {"fullname" : "Immunohistochemistry (Formalin/PFA-fixed paraffin-embedded sections)", "shortname":"IHC-P"} }, "product-promise": { "all": "all", "testedAndGuaranteed": "tested", "guaranteed": "expected", "predicted": "predicted", "notRecommended": "not-recommended" } }, "values": { "Human": { "ICCIF-species-checked": "guaranteed", "ICCIF-species-dilution-info": "", "ICCIF-species-notes": "", "IP-species-checked": "notRecommended", "IP-species-dilution-info": "", "IP-species-notes": "<p></p>", "WB-species-checked": "testedAndGuaranteed", "WB-species-dilution-info": "1/1000", "WB-species-notes": "<p></p>", "IHCFr-species-checked": "guaranteed", "IHCFr-species-dilution-info": "", "IHCFr-species-notes": "", "FlowCytIntra-species-checked": "guaranteed", "FlowCytIntra-species-dilution-info": "", "FlowCytIntra-species-notes": "", "IHCP-species-checked": "testedAndGuaranteed", "IHCP-species-dilution-info": "1/2000", "IHCP-species-notes": "<p></p>" }, "Mouse": { "ICCIF-species-checked": "testedAndGuaranteed", "ICCIF-species-dilution-info": "1/200", "ICCIF-species-notes": "<p></p>", "IP-species-checked": "notRecommended", "IP-species-dilution-info": "", "IP-species-notes": "", "WB-species-checked": "testedAndGuaranteed", "WB-species-dilution-info": "1/1000", "WB-species-notes": "<p></p>", "IHCFr-species-checked": "testedAndGuaranteed", "IHCFr-species-dilution-info": "1/500", "IHCFr-species-notes": "<p></p>", "FlowCytIntra-species-checked": "testedAndGuaranteed", "FlowCytIntra-species-dilution-info": "1/500", "FlowCytIntra-species-notes": "<p></p>", "IHCP-species-checked": "testedAndGuaranteed", "IHCP-species-dilution-info": "1/2000", "IHCP-species-notes": "<p></p>" }, "Rat": { "ICCIF-species-checked": "testedAndGuaranteed", "ICCIF-species-dilution-info": "1/200", "ICCIF-species-notes": "<p></p>", "IP-species-checked": "notRecommended", "IP-species-dilution-info": "", "IP-species-notes": "", "WB-species-checked": "testedAndGuaranteed", "WB-species-dilution-info": "1/1000", "WB-species-notes": "<p></p>", "IHCFr-species-checked": "testedAndGuaranteed", "IHCFr-species-dilution-info": "1/500", "IHCFr-species-notes": "<p></p>", "FlowCytIntra-species-checked": "testedAndGuaranteed", "FlowCytIntra-species-dilution-info": "1/500", "FlowCytIntra-species-notes": "<p></p>", "IHCP-species-checked": "testedAndGuaranteed", "IHCP-species-dilution-info": "1/2000", "IHCP-species-notes": "<p></p>" } } }

Product details

What is this antibody validated in?
Anti-Aquaporin 4 antibody [EPR24281-65] (ab259318) is a rabbit recombinant monoclonal antibody and is validated for use in Western Blot (WB), Flow Cytometry (Intra), Flow Cytometry (Flow Cyt), Immunohistochemistry (IHC-P), Immunohistochemistry (IHC-Fr), Immunocytochemistry/immunofluorescence (ICC/IF) in Human, Mouse, Rat samples.

What is the molecular weight of Aquaporin 4?
Anti-Aquaporin 4 [EPR24281-65] (ab259318) specifically detects a band for Aquaporin 4 (UniProt: P55087) at a molecular weight of 34kDa.

Trial sizes available!
Test your antibody or perform pre-screening before committing to a larger quantity. Sold in 10µl. Discover our selection of trial-size antibodies.

Specificity confirmed
The specificity of Anti-Aquaporin 4 antibody [EPR24281-65] (ab259318) has been confirmed by Western blot testing in AQP4 Knockout Mouse brain, kidney, skeletal muscle samples.

Other related products
We have a range of other formats of antibody clone [EPR24281-65] also available for your convenience: ab259318, Carrier free - ab282586, Alexa Fluor® 488 - ab284135, Carrier free - ab290689, Alexa Fluor® 647 - ab290986

Patented technology
Our RabMAb® technology is a patented hybridoma-based technology for making rabbit monoclonal antibodies. For details on our patents, please refer to RabMAb® patents.

What are the advantages of a recombinant monoclonal antibody?
This product is a recombinant monoclonal antibody, which offers several advantages including:

  • - High batch-to-batch consistency and reproducibility
  • - Improved sensitivity and specificity
  • - Long-term security of supply
  • - Animal-free batch production

For more information, read more on recombinant antibodies.

Properties and storage information

Form
Liquid
Purification technique
Affinity purification Protein A
Storage buffer
pH: 7.2 - 7.4 Preservative: 0.01% Sodium azide Constituents: PBS, 40% Glycerol (glycerin, glycerine), 0.05% BSA
Shipped at conditions
Blue Ice
Appropriate short-term storage duration
1-2 weeks
Appropriate short-term storage conditions
+4°C
Appropriate long-term storage conditions
-20°C
Aliquoting information
Upon delivery aliquot
Storage information
Avoid freeze / thaw cycle

Supplementary information

This supplementary information is collated from multiple sources and compiled automatically.

Aquaporin 4 also known as AQP4 functions as a water channel protein that facilitates the transport of water across cell membranes. It is composed of approximately 323 amino acids resulting in a molecular mass of around 34-38 kDa. This target expresses most in the central nervous system especially in the astrocytes of the brain and spinal cord. Other expression sites include skeletal muscle kidneys and lungs. AQP4 is often studied using various tools including anti-aquaporin 4 antibodies and specific reagents like AQP4 Ab and anti-AQP4.
Biological function summary

Water balance and neural activity regulation are significantly influenced by aquaporin 4. This protein forms a part of the orthogonal array of particles (OAPs) in the plasma membrane which enhances its water permeability function. Through its concentration at the blood-brain barrier AQP4 contributes to maintaining brain homeostasis by regulating osmotic gradients and extracellular space ion concentrations. Its expression and activity may affect critical processes like neuroexcitation and neuroprotection.

Pathways

Aquaporin 4 actively engages in critical water transport and blood-brain barrier integrity pathways. The passive yet selective water transport facilitated by AQP4 impacts pathways including the transcellular pathway that helps in maintaining the homeostatic and osmotic balance important for brain function. Furthermore AQP4 acts in relation to other proteins such as aquaporin 1 and connexin 43 indicating its role in gap junction communication within the brain.

Aquaporin 4 is intricately linked to conditions like neuromyelitis optica (NMO) and cerebral edema. In NMO autoantibodies such as anti-AQP4 target the protein causing demyelination and inflammation of the optic nerve and spinal cord. In cases of cerebral edema an imbalance in AQP4 expression can disrupt water homeostasis leading to exacerbated swelling. AQP4's interaction with proteins like myelin basic protein in these diseases underlines its significance in neurodegeneration and inflammatory processes.

Product protocols

For this product, it's our understanding that no specific protocols are required. You can visit:

Target data

Forms a water-specific channel (PubMed : 19383790, PubMed : 7559426, PubMed : 8601457). Plays an important role in brain water homeostasis (PubMed : 37143309). It is involved in glymphatic solute transport and is required for a normal rate of water exchange across the blood brain interface. Required for normal levels of cerebrospinal fluid influx into the brain cortex and parenchyma along paravascular spaces that surround penetrating arteries, and for normal drainage of interstitial fluid along paravenous drainage pathways. Thereby, it is required for normal clearance of solutes from the brain interstitial fluid, including soluble beta-amyloid peptides derived from APP. Plays a redundant role in urinary water homeostasis and urinary concentrating ability (By similarity).
See full target information AQP4

Publications (18)

Recent publications for all applications. Explore the full list and refine your search

Translational neuroscience 16:20250381 PubMed40919222

2025

DIA-based proteomics reveals anti-inflammatory role of DL-3--butylphthalide in cerebral small vessel disease-induced brain injury in hypertensive rat.

Applications

Unspecified application

Species

Unspecified reactive species

Juan Sun,Zhe Su,Yingxiao Ji,Fangming Wang,Jingru Zhao,Jian Zhang,Litao Li

Molecular neurodegeneration 20:84 PubMed40702549

2025

Endothelium-specific endoglin triggers astrocyte reactivity via extracellular vesicles in a mouse model of Alzheimer's disease.

Applications

Unspecified application

Species

Unspecified reactive species

Pingao Zhang,Chenghuan Song,Jiyun Shi,Zijie Wei,Jing Wang,Wanying Huang,Rui Zhang,Jintao Wang,Xiaoli Yang,Gang Wang,Xiaoling Gao,Yongfang Zhang,Hongzhuan Chen,Hao Wang

Journal of cerebral blood flow and metabolism : official journal of the International Society of Cerebral Blood Flow and Metabolism 45:2189-2202 PubMed40569616

2025

Assessing the effects of aging on the Koizumi's and Zea Longa's methods and their suitability as mouse models for evaluating neurodegeneration post-ischemic stroke: A comparative study.

Applications

Unspecified application

Species

Unspecified reactive species

Chiyeon Lim,Hongrae Kim,Sehyun Lim,Hyo-Eun Kim,So-Jung Moon,Hyung-Hwan Kim,Suin Cho

Frontiers in cell and developmental biology 13:1611226 PubMed40530334

2025

Induced neural stem cells ameliorate blood-brain barrier injury by modulating the calcium signaling pathway of astrocyte in cerebral ischemia-reperfusion rats.

Applications

Unspecified application

Species

Unspecified reactive species

Xueyun Liang,Chuanshang Cao,Ningmei Liu,Dongmei Chen,Ting Liu,Haibin Ma,Jiaxin Liu,Taojuan Wu,Jianguo Niu

Scientific reports 15:18912 PubMed40442166

2025

Uncovering the molecular mechanisms of tonifying kidney and activating blood Decoction against myocardial fibrosis using network Pharmacology and experimental validation.

Applications

Unspecified application

Species

Unspecified reactive species

Rui Xu,Yanping Bi,Yetao Ju,Wenhao Yin,Shujun Zhao,Yan Zhang,Xin Zhao

Theranostics 15:2487-2509 PubMed39990222

2025

The sentinel against brain injury post-subarachnoid hemorrhage: efferocytosis of erythrocytes by leptomeningeal lymphatic endothelial cells.

Applications

Unspecified application

Species

Unspecified reactive species

Hong-Ji Deng,Yun-Huo Xu,Kun Wu,Yun-Cong Li,Yong-Jin Zhang,Han-Fu Yu,Chong Li,Dan Xu,Fei Wang

IBRO neuroscience reports 17:372-381 PubMed39534317

2024

Fasudil attenuates lipopolysaccharide-induced cognitive impairment in C57BL/6 mice through anti-oxidative and anti-inflammatory effects: Possible role of aquaporin-4.

Applications

Unspecified application

Species

Unspecified reactive species

Sahra Jalalkamali,Mohsen Ghahremani,Vida Jashn,Negin Sadat Lajevardi,Sevda Mahdipoor Koloor,Seyede Zohreh Jazaeri,Javad Fahanik-Babaei

Heliyon 10:e33705 PubMed39040398

2024

Ameliorative effects of the mixed aqueous extract of Aurantii Fructus Immaturus and Magnoliae Officinalis Cortex on loperamide-induced STC mice.

Applications

Unspecified application

Species

Unspecified reactive species

Ting Cai,Yun Dong,Zeyu Feng,Bin Cai

Scientific reports 14:14535 PubMed38914585

2024

Assessment of cerebrovascular alterations induced by inflammatory response and oxidative-nitrative stress after traumatic intracranial hypertension and a potential mitigation strategy.

Applications

Unspecified application

Species

Unspecified reactive species

Shangming Zhang,Yehuang Chen,Qizuan Chen,Hongjie Chen,Liangfeng Wei,Shousen Wang

Brain sciences 14: PubMed38391735

2024

Norepinephrine-Activated p38 MAPK Pathway Mediates Stress-Induced Cytotoxic Edema of Basolateral Amygdala Astrocytes.

Applications

Unspecified application

Species

Unspecified reactive species

Zhaoling Sun,Xiaojing Zhang,Yiming Dong,Yichang Liu,Chuan Wang,Yingmin Li,Chunling Ma,Guangming Xu,Songjun Wang,Chenteng Yang,Guozhong Zhang,Bin Cong
View all publications

Product promise

We are committed to supporting your work with high-quality reagents, and we're here for you every step of the way. In the unlikely event that one of our products does not perform as expected, you're protected by our Product Promise.
For full details, please see our Terms & Conditions

Please note: All products are 'FOR RESEARCH USE ONLY. NOT FOR USE IN DIAGNOSTIC OR THERAPEUTIC PROCEDURES'.

For licensing inquiries, please contact partnerships@abcam.com