JavaScript is disabled in your browser. Please enable JavaScript to view this website.
AB248213

Anti-Aquaporin 4 antibody [EPR7040] - BSA and Azide free

Be the first to review this product! Submit a review

|

(0 Publication)

Rabbit Recombinant Monoclonal Aquaporin 4 antibody. Carrier free. Suitable for IHC-P, WB, IHC-Fr and reacts with Human, Mouse, Rat samples.

View Alternative Names

Aquaporin-4, AQP-4, Mercurial-insensitive water channel, WCH4, MIWC, AQP4

15 Images
Immunohistochemistry (Formalin/PFA-fixed paraffin-embedded sections) - Anti-Aquaporin 4 antibody [EPR7040] - BSA and Azide free (AB248213)
  • IHC-P

Supplier Data

Immunohistochemistry (Formalin/PFA-fixed paraffin-embedded sections) - Anti-Aquaporin 4 antibody [EPR7040] - BSA and Azide free (AB248213)

This data was developed using ab128906, the same antibody clone in a different buffer formμlation.

Immunohistochemical analysis of paraffin-embedded Human cerebrum tissue labeling Aquaporin 4 with ab128906 at 1/2000 dilution followed by a ready to use LeicaDS9800 (Bond™ Polymer Refine Detection). Cytoplasmic staining on human cerebrum.The section was incubated with ab128906 for 30 mins at room temperature.The immunostaining was performed on a Leica Biosystems BOND® RX instrument Counterstained with Hematoxylin.

Secondary antibody only control : Secondary antibody is a ready to use LeicaDS9800 (Bond™ Polymer Refine Detection).

Heat mediated antigen retrieval with Tris-EDTA buffer (pH 9.0, epitope retrieval solution) for 20 mins

Immunohistochemistry (Formalin/PFA-fixed paraffin-embedded sections) - Anti-Aquaporin 4 antibody [EPR7040] - BSA and Azide free (AB248213)
  • IHC-P

Supplier Data

Immunohistochemistry (Formalin/PFA-fixed paraffin-embedded sections) - Anti-Aquaporin 4 antibody [EPR7040] - BSA and Azide free (AB248213)

This data was developed using ab128906, the same antibody clone in a different buffer formμlation.

Immunohistochemical analysis of paraffin-embedded Human stomach tissue labeling Aquaporin 4 with ab128906 at 1/2000 dilution followed by a ready to use LeicaDS9800 (Bond™ Polymer Refine Detection). Positive staining on human stomach.The section was incubated with ab128906 for 30 mins at room temperature.The immunostaining was performed on a Leica Biosystems BOND® RX instrument Counterstained with Hematoxylin.

Secondary antibody only control : Secondary antibody is a ready to use LeicaDS9800 (Bond™ Polymer Refine Detection).

Heat mediated antigen retrieval with Tris-EDTA buffer (pH 9.0, epitope retrieval solution) for 20 mins

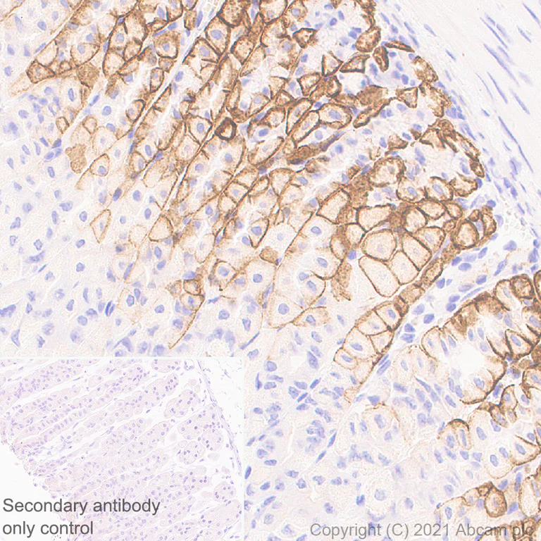
Immunohistochemistry (Formalin/PFA-fixed paraffin-embedded sections) - Anti-Aquaporin 4 antibody [EPR7040] - BSA and Azide free (AB248213)
  • IHC-P

Unknown

Immunohistochemistry (Formalin/PFA-fixed paraffin-embedded sections) - Anti-Aquaporin 4 antibody [EPR7040] - BSA and Azide free (AB248213)

This data was developed using ab128906, the same antibody clone in a different buffer formulation.

ab128906 at 1/100 dilution, staining Aquaporin 4 in paraffin-embedded Human brain tissue by Immunohistochemistry.

Perform heat mediated antigen retrieval before commencing with IHC staining protocol.

Immunohistochemistry (Formalin/PFA-fixed paraffin-embedded sections) - Anti-Aquaporin 4 antibody [EPR7040] - BSA and Azide free (AB248213)
  • IHC-P

Supplier Data

Immunohistochemistry (Formalin/PFA-fixed paraffin-embedded sections) - Anti-Aquaporin 4 antibody [EPR7040] - BSA and Azide free (AB248213)

This data was developed using ab128906, the same antibody clone in a different buffer formμlation.

Immunohistochemical analysis of paraffin-embedded Rat stomach tissue labeling Aquaporin 4 with ab128906 at 1/2000 dilution followed by a ready to use LeicaDS9800 (Bond™ Polymer Refine Detection). Positive staining on rat stomach.The section was incubated with ab128906 for 30 mins at room temperature.The immunostaining was performed on a Leica Biosystems BOND® RX instrument Counterstained with Hematoxylin.

Secondary antibody only control : Secondary antibody is a ready to use LeicaDS9800 (Bond™ Polymer Refine Detection).

Heat mediated antigen retrieval with Tris-EDTA buffer (pH 9.0, epitope retrieval solution) for 20 mins

Immunohistochemistry (Frozen sections) - Anti-Aquaporin 4 antibody [EPR7040] - BSA and Azide free (AB248213)
  • IHC-Fr

Supplier Data

Immunohistochemistry (Frozen sections) - Anti-Aquaporin 4 antibody [EPR7040] - BSA and Azide free (AB248213)

This data was developed using ab128906, the same antibody clone in a different buffer formμlation.

Immunohistochemical analysis of 4% PFA-fixed, 0.2% Triton X-100 permeabilized frozen Rat stomach (fresh) tissue labeling Aquaporin 4 with ab128906 at 1/100 dilution followed by ab150077 Goat Anti-Rabbit IgG H&L (Alexa Fluor® 488) at 1/1000 (2 μg/ml) dilution (Green). Positive staining on rat stomach. is observed. The nuclear counterstain was DAPI (Blue).

Secondary antibody control : Secondary antibody is ab150077 Goat Anti-Rabbit IgG H&L (Alexa Fluor® 488) at 1000 (2 μg/ml) dilution.

Heat mediated antigen retrieval using sodium citrate buffer (10mM citrate pH 6.0 + 0.05% Tween-20).

Immunohistochemistry (Formalin/PFA-fixed paraffin-embedded sections) - Anti-Aquaporin 4 antibody [EPR7040] - BSA and Azide free (AB248213)
  • IHC-P

Supplier Data

Immunohistochemistry (Formalin/PFA-fixed paraffin-embedded sections) - Anti-Aquaporin 4 antibody [EPR7040] - BSA and Azide free (AB248213)

This data was developed using ab128906, the same antibody clone in a different buffer formμlation.

Immunohistochemical analysis of paraffin-embedded Mouse cerebrum tissue labeling Aquaporin 4 with ab128906 at 1/2000 dilution followed by a ready to use LeicaDS9800 (Bond™ Polymer Refine Detection). Cytoplasmic staining on mouse cerebrum.The section was incubated with ab128906 for 30 mins at room temperature.The immunostaining was performed on a Leica Biosystems BOND® RX instrument Counterstained with Hematoxylin.

Secondary antibody only control : Secondary antibody is a ready to use LeicaDS9800 (Bond™ Polymer Refine Detection).

Heat mediated antigen retrieval with Tris-EDTA buffer (pH 9.0, epitope retrieval solution) for 20 mins

Immunohistochemistry (Formalin/PFA-fixed paraffin-embedded sections) - Anti-Aquaporin 4 antibody [EPR7040] - BSA and Azide free (AB248213)
  • IHC-P

Supplier Data

Immunohistochemistry (Formalin/PFA-fixed paraffin-embedded sections) - Anti-Aquaporin 4 antibody [EPR7040] - BSA and Azide free (AB248213)

This data was developed using ab128906, the same antibody clone in a different buffer formμlation.

Immunohistochemical analysis of paraffin-embedded Rat cerebrum tissue labeling Aquaporin 4 with ab128906 at 1/2000 dilution followed by a ready to use LeicaDS9800 (Bond™ Polymer Refine Detection). Cytoplasmic staining on rat cerebrum.The section was incubated with ab128906 for 30 mins at room temperature.The immunostaining was performed on a Leica Biosystems BOND® RX instrument Counterstained with Hematoxylin.

Secondary antibody only control : Secondary antibody is a ready to use LeicaDS9800 (Bond™Polymer Refine Detection).

Heat mediated antigen retrieval with Tris-EDTA buffer (pH 9.0, epitope retrieval solution) for 20 mins

Immunohistochemistry (Formalin/PFA-fixed paraffin-embedded sections) - Anti-Aquaporin 4 antibody [EPR7040] - BSA and Azide free (AB248213)
  • IHC-P

Supplier Data

Immunohistochemistry (Formalin/PFA-fixed paraffin-embedded sections) - Anti-Aquaporin 4 antibody [EPR7040] - BSA and Azide free (AB248213)

This data was developed using ab128906, the same antibody clone in a different buffer formμlation.

Immunohistochemical analysis of paraffin-embedded Mouse stomach tissue labeling Aquaporin 4 with ab128906 at 1/2000 dilution followed by a ready to use LeicaDS9800 (Bond™ Polymer Refine Detection). Positive staining on mouse stomach.The section was incubated with ab128906 for 30 mins at room temperature.The immunostaining was performed on a Leica Biosystems BOND® RX instrument Counterstained with Hematoxylin.

Secondary antibody only control : Secondary antibody is a ready to use LeicaDS9800 (Bond™ Polymer Refine Detection).

Heat mediated antigen retrieval with Tris-EDTA buffer (pH 9.0, epitope retrieval solution) for 20 mins

Immunohistochemistry (Formalin/PFA-fixed paraffin-embedded sections) - Anti-Aquaporin 4 antibody [EPR7040] - BSA and Azide free (AB248213)
  • IHC-P

Supplier Data

Immunohistochemistry (Formalin/PFA-fixed paraffin-embedded sections) - Anti-Aquaporin 4 antibody [EPR7040] - BSA and Azide free (AB248213)

This data was developed using ab128906, the same antibody clone in a different buffer formμlation.

Immunohistochemical analysis of paraffin-embedded Mouse cerebellum tissue labeling Aquaporin 4 with ab128906 at 1/2000 dilution followed by a ready to use LeicaDS9800 (Bond™ Polymer Refine Detection). Cytoplasmic staining on mouse cerebellum.The section was incubated with ab128906 for 30 mins at room temperature.The immunostaining was performed on a Leica Biosystems BOND® RX instrument Counterstained with Hematoxylin.

Secondary antibody only control : Secondary antibody is a ready to use LeicaDS9800 (Bond™ Polymer Refine Detection).

Heat mediated antigen retrieval with Tris-EDTA buffer (pH 9.0, epitope retrieval solution) for 20 mins

Immunohistochemistry (Formalin/PFA-fixed paraffin-embedded sections) - Anti-Aquaporin 4 antibody [EPR7040] - BSA and Azide free (AB248213)
  • IHC-P

Supplier Data

Immunohistochemistry (Formalin/PFA-fixed paraffin-embedded sections) - Anti-Aquaporin 4 antibody [EPR7040] - BSA and Azide free (AB248213)

This data was developed using ab128906, the same antibody clone in a different buffer formμlation.

Immunohistochemical analysis of paraffin-embedded Mouse kidney tissue labeling Aquaporin 4 with ab128906 at 1/2000 dilution followed by a ready to use LeicaDS9800 (Bond™ Polymer Refine Detection). Positive staining on mouse kidney.The section was incubated with ab128906 for 30 mins at room temperature.The immunostaining was performed on a Leica Biosystems BOND® RX instrument Counterstained with Hematoxylin.

Secondary antibody only control : Secondary antibody is a ready to use LeicaDS9800 (Bond™Polymer Refine Detection).

Heat mediated antigen retrieval with Tris-EDTA buffer (pH 9.0, epitope retrieval solution) for 20 mins

Immunohistochemistry (Frozen sections) - Anti-Aquaporin 4 antibody [EPR7040] - BSA and Azide free (AB248213)
  • IHC-Fr

Supplier Data

Immunohistochemistry (Frozen sections) - Anti-Aquaporin 4 antibody [EPR7040] - BSA and Azide free (AB248213)

This data was developed using ab128906, the same antibody clone in a different buffer formulation.

Immunohistochemical analysis of 4% PFA-fixed, 0.2% Triton X-100 permeabilized frozen Mouse stomach (fresh) tissue labeling Aquaporin 4 with ab128906 at 1/100 dilution followed by ab150077 Goat Anti-Rabbit IgG H&L (Alexa Fluor® 488) at 1/1000 (2 μg/ml) dilution (Green). Positive staining on mouse stomach. is observed. The nuclear counterstain was DAPI (Blue).

Secondary antibody control : Secondary antibody is ab150077 Goat Anti-Rabbit IgG H&L (Alexa Fluor® 488) at 1000 (2 μg/ml) dilution.

Heat mediated antigen retrieval using sodium citrate buffer (10mM citrate pH 6.0 + 0.05% Tween-20).

Western blot - Anti-Aquaporin 4 antibody [EPR7040] - BSA and Azide free (AB248213)
  • WB

Lab

Western blot - Anti-Aquaporin 4 antibody [EPR7040] - BSA and Azide free (AB248213)

This data was developed using ab128906, the same antibody clone in a different buffer formulation.

Blocking and diluting buffer and concentration : 5% NFDM/TBST.

'Unboil method' will optimize WB result.

The molecular weight is consistent with what has been described in the literature. (PMID : 22590566, 17897643).

All lanes:

Western blot - Anti-Aquaporin 4 antibody [EPR7040] (<a href='/en-us/products/primary-antibodies/aquaporin-4-antibody-epr7040-ab128906'>ab128906</a>) at 1/1000 dilution

All lanes:

Human stomach lysate unboiled at 15 µg

Secondary

All lanes:

Goat Anti-Rabbit IgG (HRP) with minimal cross-reactivity with human IgG at 1/2000 dilution

Predicted band size: 35 kDa

Observed band size: 30 kDa,28 kDa

false

Exposure time: 120s

Western blot - Anti-Aquaporin 4 antibody [EPR7040] - BSA and Azide free (AB248213)
  • WB

Lab

Western blot - Anti-Aquaporin 4 antibody [EPR7040] - BSA and Azide free (AB248213)

This data was developed using ab128906, the same antibody clone in a different buffer formulation. Blocking and diluting buffer and concentration : 5% NFDM/TBST. 'Unboil method' will  optimize WB result. Exposure : Lane1 & Lane2 : 20 seconds. Lane3 & Lane4 & Lane5 : 120 seconds.The molecular weight is consistent with what has been described in the literature. Bands observed at 100kDa relate to a tetramer of AQP4 (PMID : 18334967, 11742978, 17897643).

All lanes:

Western blot - Anti-Aquaporin 4 antibody [EPR7040] (<a href='/en-us/products/primary-antibodies/aquaporin-4-antibody-epr7040-ab128906'>ab128906</a>) at 1/1000 dilution

Lane 1:

Mouse kidneyMouse kidney lysate unboiled lysate boiled at 20 µg

Lane 2:

Mouse brain lysate unboiled at 20 µg

Lane 3:

Rat stomach lysate unboiled at 20 µg

Lane 4:

Rat kidney lysate unboiled at 20 µg

Lane 5:

Human stomach lysate at 20 µg

Secondary

All lanes:

Western blot - Goat Anti-Rabbit IgG H&L (HRP) (<a href='/en-us/products/secondary-antibodies/goat-rabbit-igg-h-l-hrp-ab97051'>ab97051</a>) at 1/100000 dilution

Predicted band size: 35 kDa

Observed band size: 100 kDa,28 kDa

false

Western blot - Anti-Aquaporin 4 antibody [EPR7040] - BSA and Azide free (AB248213)
  • WB

Lab

Western blot - Anti-Aquaporin 4 antibody [EPR7040] - BSA and Azide free (AB248213)

This data was developed using ab128906, the same antibody clone in a different buffer formulation. Blocking and diluting buffer and concentration : 5% NFDM/TBST. We recommend not to boil the samples after lysis to get desired WB results. The molecular weight is consistent with what has been described in the literature. Bands observed at 100kDa relate to a tetramer of AQP4 (PMID : 18334967, 11742978, 17897643).

All lanes:

Western blot - Anti-Aquaporin 4 antibody [EPR7040] (<a href='/en-us/products/primary-antibodies/aquaporin-4-antibody-epr7040-ab128906'>ab128906</a>) at 1/1000 dilution

Lane 1:

Mouse brain lysate boiled at 15 µg

Lane 2:

Mouse brain lysate unboiled at 15 µg

Secondary

All lanes:

Western blot - Goat Anti-Rabbit IgG H&L (HRP) (<a href='/en-us/products/secondary-antibodies/goat-rabbit-igg-h-l-hrp-ab97051'>ab97051</a>) at 1/100000 dilution

Predicted band size: 35 kDa

Observed band size: 100 kDa,28 kDa

false

Exposure time: 60s

OI-RD Scanning - Anti-Aquaporin 4 antibody [EPR7040] - BSA and Azide free (AB248213)
  • OI-RD Scanning

Unknown

OI-RD Scanning - Anti-Aquaporin 4 antibody [EPR7040] - BSA and Azide free (AB248213)

We have systematically measured KD (the equilibrium dissociation constant between the antibody and its antigen), of more than 840 recombinant antibodies to assess not only their individual KD values but also to see the average affinity of antibody. Based on the comparison with published literature values for mouse monoclonal antibodies, Recombinant antibodies appear to be on average 1-2 order of magnitude higher affinity.

  • Unconjugated

    Anti-Aquaporin 4 antibody [EPR7040]

  • 519 Alexa Fluor® 488

    Alexa Fluor® 488 Anti-Aquaporin 4 antibody [EPR7040]

  • 665 Alexa Fluor® 647

    Alexa Fluor® 647 Anti-Aquaporin 4 antibody [EPR7040]

  • 578 PE

    PE Anti-Aquaporin 4 antibody [EPR7040]

  • 660 APC

    APC Anti-Aquaporin 4 antibody [EPR7040]

  • 617 Alexa Fluor® 594

    Alexa Fluor® 594 Anti-Aquaporin 4 antibody [EPR7040]

  • 565 Alexa Fluor® 555

    Alexa Fluor® 555 Anti-Aquaporin 4 antibody [EPR7040]

  • 775 Alexa Fluor® 750

    Alexa Fluor® 750 Anti-Aquaporin 4 antibody [EPR7040]

Key facts

Host species

Rabbit

Clonality

Monoclonal

Clone number

EPR7040

Isotype

IgG

Carrier free

Yes

Reacts with

Human, Mouse, Rat

Applications

IHC-Fr, IHC-P, WB

applications

Immunogen

The exact immunogen used to generate this antibody is proprietary information.

Reactivity data

{ "title": "Reactivity Data", "filters": { "stats": ["", "Species", "Dilution Info", "Notes"], "tabs": { "all-applications": {"fullname" : "All Applications", "shortname": "All Applications"}, "IHCP" : {"fullname" : "Immunohistochemistry (Formalin/PFA-fixed paraffin-embedded sections)", "shortname":"IHC-P"}, "WB" : {"fullname" : "Western blot", "shortname":"WB"}, "IHCFr" : {"fullname" : "Immunohistochemistry (Frozen sections)", "shortname":"IHC-Fr"} }, "product-promise": { "all": "all", "testedAndGuaranteed": "tested", "guaranteed": "expected", "predicted": "predicted", "notRecommended": "not-recommended" } }, "values": { "Human": { "IHCP-species-checked": "testedAndGuaranteed", "IHCP-species-dilution-info": "", "IHCP-species-notes": "<p></p>", "WB-species-checked": "testedAndGuaranteed", "WB-species-dilution-info": "", "WB-species-notes": "<p></p>", "IHCFr-species-checked": "guaranteed", "IHCFr-species-dilution-info": "", "IHCFr-species-notes": "" }, "Mouse": { "IHCP-species-checked": "testedAndGuaranteed", "IHCP-species-dilution-info": "", "IHCP-species-notes": "<p></p>", "WB-species-checked": "testedAndGuaranteed", "WB-species-dilution-info": "", "WB-species-notes": "<p></p>", "IHCFr-species-checked": "testedAndGuaranteed", "IHCFr-species-dilution-info": "", "IHCFr-species-notes": "<p></p>" }, "Rat": { "IHCP-species-checked": "testedAndGuaranteed", "IHCP-species-dilution-info": "", "IHCP-species-notes": "<p></p>", "WB-species-checked": "testedAndGuaranteed", "WB-species-dilution-info": "", "WB-species-notes": "<p></p>", "IHCFr-species-checked": "testedAndGuaranteed", "IHCFr-species-dilution-info": "", "IHCFr-species-notes": "<p></p>" } } }

Product details

ab248213 is the carrier-free version of ab128906.

Species reactivity
Mouse: We have preliminary internal testing data to indicate this antibody may not react with this species.
Please contact us for more information.

Patented technology
Our RabMAb® technology is a patented hybridoma-based technology for making rabbit monoclonal antibodies. For details on our patents, please refer to RabMAb® patents.

What are the advantages of a recombinant monoclonal antibody?
This product is a recombinant monoclonal antibody, which offers several advantages including:

  • - High batch-to-batch consistency and reproducibility
  • - Improved sensitivity and specificity
  • - Long-term security of supply
  • - Animal-free batch production

For more information, read more on recombinant antibodies.

Conjugation ready
Our carrier-free antibodies are typically supplied in a PBS-only formulation, purified and free of BSA, sodium azide and glycerol. This conjugation-ready format is designed for use with fluorochromes, metal isotopes, oligonucleotides, and enzymes, which makes them ideal for antibody labelling, functional and cell-based assays, flow-based assays (e.g. mass cytometry) and Multiplex Imaging applications.

Use our conjugation kits for antibody conjugates that are ready-to-use in as little as 20 minutes with 1 minute hands-on-time and 100% antibody recovery: available for fluorescent dyes, HRP, biotin and gold.

Compatibility
This product is compatible with the Maxpar® Antibody Labeling Kit from Fluidigm, without the need for antibody preparation. Maxpar® is a trademark of Fluidigm Canada Inc.

Properties and storage information

Form
Liquid
Purification technique
Affinity purification Protein A
Storage buffer
pH: 7.2 - 7.4 Constituents: PBS
Shipped at conditions
Blue Ice
Appropriate short-term storage conditions
+4°C
Appropriate long-term storage conditions
+4°C
Storage information
Do Not Freeze

Supplementary information

This supplementary information is collated from multiple sources and compiled automatically.

Aquaporin 4 also known as AQP4 functions as a water channel protein that facilitates the transport of water across cell membranes. It is composed of approximately 323 amino acids resulting in a molecular mass of around 34-38 kDa. This target expresses most in the central nervous system especially in the astrocytes of the brain and spinal cord. Other expression sites include skeletal muscle kidneys and lungs. AQP4 is often studied using various tools including anti-aquaporin 4 antibodies and specific reagents like AQP4 Ab and anti-AQP4.
Biological function summary

Water balance and neural activity regulation are significantly influenced by aquaporin 4. This protein forms a part of the orthogonal array of particles (OAPs) in the plasma membrane which enhances its water permeability function. Through its concentration at the blood-brain barrier AQP4 contributes to maintaining brain homeostasis by regulating osmotic gradients and extracellular space ion concentrations. Its expression and activity may affect critical processes like neuroexcitation and neuroprotection.

Pathways

Aquaporin 4 actively engages in critical water transport and blood-brain barrier integrity pathways. The passive yet selective water transport facilitated by AQP4 impacts pathways including the transcellular pathway that helps in maintaining the homeostatic and osmotic balance important for brain function. Furthermore AQP4 acts in relation to other proteins such as aquaporin 1 and connexin 43 indicating its role in gap junction communication within the brain.

Aquaporin 4 is intricately linked to conditions like neuromyelitis optica (NMO) and cerebral edema. In NMO autoantibodies such as anti-AQP4 target the protein causing demyelination and inflammation of the optic nerve and spinal cord. In cases of cerebral edema an imbalance in AQP4 expression can disrupt water homeostasis leading to exacerbated swelling. AQP4's interaction with proteins like myelin basic protein in these diseases underlines its significance in neurodegeneration and inflammatory processes.

Product protocols

For this product, it's our understanding that no specific protocols are required. You can visit:

Target data

Forms a water-specific channel (PubMed : 19383790, PubMed : 7559426, PubMed : 8601457). Plays an important role in brain water homeostasis (PubMed : 37143309). It is involved in glymphatic solute transport and is required for a normal rate of water exchange across the blood brain interface. Required for normal levels of cerebrospinal fluid influx into the brain cortex and parenchyma along paravascular spaces that surround penetrating arteries, and for normal drainage of interstitial fluid along paravenous drainage pathways. Thereby, it is required for normal clearance of solutes from the brain interstitial fluid, including soluble beta-amyloid peptides derived from APP. Plays a redundant role in urinary water homeostasis and urinary concentrating ability (By similarity).
See full target information AQP4

Product promise

We are committed to supporting your work with high-quality reagents, and we're here for you every step of the way. In the unlikely event that one of our products does not perform as expected, you're protected by our Product Promise.
For full details, please see our Terms & Conditions

Please note: All products are 'FOR RESEARCH USE ONLY. NOT FOR USE IN DIAGNOSTIC OR THERAPEUTIC PROCEDURES'.

For licensing inquiries, please contact partnerships@abcam.com