JavaScript is disabled in your browser. Please enable JavaScript to view this website.
AB315855

Anti-Aquaporin 5 antibody [RM1099]

  • 20ul selling size
  • BOND RX™ Validated
  • RabMAb
  • Recombinant
  • What is this?

Be the first to review this product! Submit a review

|

(1 Publication)

Anti-Aquaporin 5 antibody [RM1099] (ab315855) is a rabbit recombinant multiclonal antibody detecting Aquaporin 5 in Western Blot, IP, IHC-P, IHC-Fr, ICC/IF. Suitable for Human, Mouse, Rat.

- Biophysical QC for unrivalled batch-batch consistency

View Alternative Names

Aquaporin-5, AQP-5, AQP5

20 Images
Immunohistochemistry (Formalin/PFA-fixed paraffin-embedded sections) - Anti-Aquaporin 5 antibody [RM1099] (AB315855)
  • IHC-P

Supplier Data

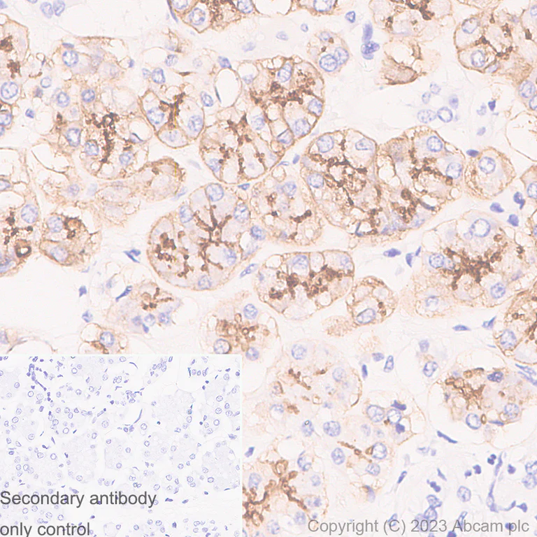
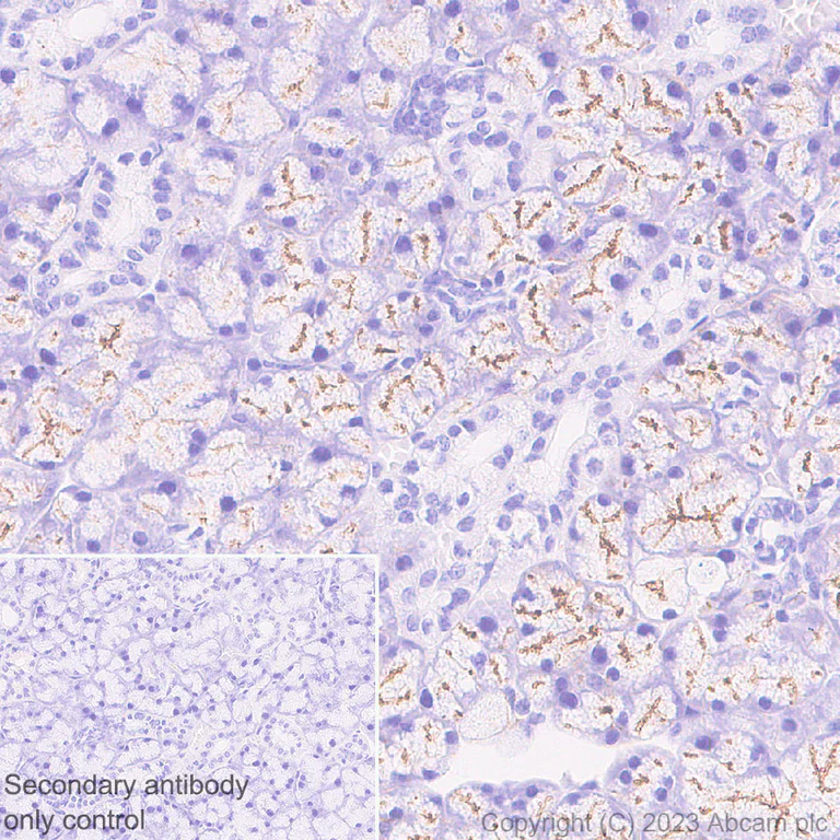
Immunohistochemistry (Formalin/PFA-fixed paraffin-embedded sections) - Anti-Aquaporin 5 antibody [RM1099] (AB315855)

Immunohistochemical analysis of paraffin-embedded Human salivary gland tissue labeling Aquaporin 5 with ab315855 at 1/8000 (0.062 ug/ml) dilution, followed by a ready to use LeicaDS9800 (Bond™ Polymer Refine Detection).

Positive staining on human salivary gland. The section was incubated with ab315855 for 30 mins at room temperature.
The immunostaining was performed on a Leica Biosystems BOND® RX instrument

Counterstained with Hematoxylin.

Secondary antibody only control : Secondary antibody is a ready to use LeicaDS9800 (Bond™ Polymer Refine Detection).

Heat mediated antigen retrieval was performed with Citrate buffer (pH 6.0, Epitope Retrieval Solution 1) for 20 mins

Immunocytochemistry/ Immunofluorescence - Anti-Aquaporin 5 antibody [RM1099] (AB315855)
  • ICC/IF

Supplier Data

Immunocytochemistry/ Immunofluorescence - Anti-Aquaporin 5 antibody [RM1099] (AB315855)

Immunofluorescent analysis of 4% Paraformaldehyde-fixed, 0.1% TritonX-100 permeabilized KATO III (human stomach spherical cell) cells labelling Aquaporin 5 with ab315855 at 1/100 (4.92 ug/ml) dilution, followed by ab150081 Goat Anti-Rabbit IgG H&L (Alexa Fluor® 488) preadsorbed antibody at 1/1000 2ug/ml dilution (Green).

Confocal image showing membranous and cytoplasmic staining in KATO III cell line.
Negative control : K-562.
Image was taken with a confocal microscope(Leica-Microsystems, TCS SP8).

ab195889 Anti-alpha Tubulin mouse monoclonal antibody - Microtubule Marker (Alexa Fluor® 594) was used to counterstain tubulin at 1/500 1ug/ml dilution (Red). The Nuclear counterstain was DAPI (Blue).

Secondary antibody only control : Secondary antibody is ab150081 Goat Anti-Rabbit IgG H&L (Alexa Fluor® 488) preadsorbed at 1/1000 2ug/ml dilution.

Immunohistochemistry (Formalin/PFA-fixed paraffin-embedded sections) - Anti-Aquaporin 5 antibody [RM1099] (AB315855)
  • IHC-P

Supplier Data

Immunohistochemistry (Formalin/PFA-fixed paraffin-embedded sections) - Anti-Aquaporin 5 antibody [RM1099] (AB315855)

Immunohistochemical analysis of paraffin-embedded Human skeletal muscle tissue labeling Aquaporin 5 with ab315855 at 1/8000 (0.062 ug/ml) dilution, followed by a ready to use LeicaDS9800 (Bond™ Polymer Refine Detection).

Negative control : no staining on human skeletal muscle. The section was incubated with ab315855 for 30 mins at room temperature.
The immunostaining was performed on a Leica Biosystems BOND® RX instrument

Counterstained with Hematoxylin.

Secondary antibody only control : Secondary antibody is a ready to use LeicaDS9800 (Bond™ Polymer Refine Detection).

Heat mediated antigen retrieval was performed with Citrate buffer (pH 6.0, Epitope Retrieval Solution 1) for 20 mins

Immunoprecipitation - Anti-Aquaporin 5 antibody [RM1099] (AB315855)
  • IP

Supplier Data

Immunoprecipitation - Anti-Aquaporin 5 antibody [RM1099] (AB315855)

Blocking and diluting buffer and concentration : 5% NFDM/TBST.

Aquaporin 5 was immunoprecipitated from 0.35 mg KATO III (human stomach spherical) whole cell lysate with ab315855 at 1/30 dilution (2ug in 0.35mg lysates). Western blot was performed on the immunoprecipitate using ab315855 at 1/1000 dilution. VeriBlot for IP secondary antibody(HRP)(ab131366) was used at 1/5000 dilution.

Lane 1 : KATO III (human stomach spherical) whole cell lysate
Lane 2 : ab315855 IP in KATO III (human stomach spherical) whole cell lysate
Lane 3 : Rabbit monoclonal IgG (ab172730) instead of ab315855 in KATO III whole cell lysate lysate

All lanes:

Immunoprecipitation - Anti-Aquaporin 5 antibody [RM1099] (ab315855) at 1/30 dilution

All lanes:

KATO III (human stomach spherical) whole cell lysate

Secondary

All lanes:

Immunoprecipitation - VeriBlot for IP Detection Reagent (HRP) (<a href='/en-us/products/reagents/veriblot-for-ip-detection-reagent-hrp-ab131366'>ab131366</a>) at 1/1000 dilution

false

Exposure time: 24s

Immunohistochemistry (Formalin/PFA-fixed paraffin-embedded sections) - Anti-Aquaporin 5 antibody [RM1099] (AB315855)
  • IHC-P

Supplier Data

Immunohistochemistry (Formalin/PFA-fixed paraffin-embedded sections) - Anti-Aquaporin 5 antibody [RM1099] (AB315855)

Immunohistochemical analysis of paraffin-embedded Rat cardiac muscle tissue labeling Aquaporin 5 with ab315855 at 1/8000 (0.062 ug/ml) dilution, followed by a ready to use LeicaDS9800 (Bond™ Polymer Refine Detection).

Negative control : no staining on rat cardiac muscle. The section was incubated with ab315855 for 30 mins at room temperature.
The immunostaining was performed on a Leica Biosystems BOND® RX instrument

Counterstained with Hematoxylin.

Secondary antibody only control : Secondary antibody is a ready to use LeicaDS9800 (Bond™ Polymer Refine Detection).

Heat mediated antigen retrieval was performed with Citrate buffer (pH 6.0, Epitope Retrieval Solution 1) for 20 mins

Immunohistochemistry (Formalin/PFA-fixed paraffin-embedded sections) - Anti-Aquaporin 5 antibody [RM1099] (AB315855)
  • IHC-P

Supplier Data

Immunohistochemistry (Formalin/PFA-fixed paraffin-embedded sections) - Anti-Aquaporin 5 antibody [RM1099] (AB315855)

Immunohistochemical analysis of paraffin-embedded Rat salivary gland tissue labeling Aquaporin 5 with ab315855 at 1/8000 (0.062 ug/ml) dilution, followed by a ready to use LeicaDS9800 (Bond™ Polymer Refine Detection).

Positive staining on rat salivary gland. The section was incubated with ab315855 for 30 mins at room temperature.
The immunostaining was performed on a Leica Biosystems BOND® RX instrument

Counterstained with Hematoxylin.

Secondary antibody only control : Secondary antibody is a ready to use LeicaDS9800 (Bond™ Polymer Refine Detection).

Heat mediated antigen retrieval was performed with Citrate buffer (pH 6.0, Epitope Retrieval Solution 1) for 20 mins

Immunohistochemistry (Formalin/PFA-fixed paraffin-embedded sections) - Anti-Aquaporin 5 antibody [RM1099] (AB315855)
  • IHC-P

Supplier Data

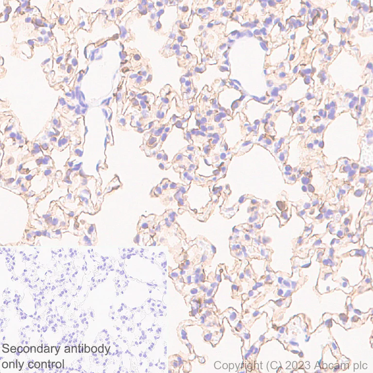
Immunohistochemistry (Formalin/PFA-fixed paraffin-embedded sections) - Anti-Aquaporin 5 antibody [RM1099] (AB315855)

Immunohistochemical analysis of paraffin-embedded Mouse lung tissue labeling Aquaporin 5 with ab315855 at 1/8000 (0.062 ug/ml) dilution, followed by a ready to use LeicaDS9800 (Bond™ Polymer Refine Detection).

Positive staining on mouse lung. The section was incubated with ab315855 for 30 mins at room temperature.
The immunostaining was performed on a Leica Biosystems BOND® RX instrument

Counterstained with Hematoxylin.

Secondary antibody only control : Secondary antibody is a ready to use LeicaDS9800 (Bond™ Polymer Refine Detection).

Heat mediated antigen retrieval was performed with Citrate buffer (pH 6.0, Epitope Retrieval Solution 1) for 20 mins

Immunohistochemistry (Formalin/PFA-fixed paraffin-embedded sections) - Anti-Aquaporin 5 antibody [RM1099] (AB315855)
  • IHC-P

Supplier Data

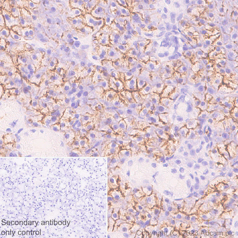
Immunohistochemistry (Formalin/PFA-fixed paraffin-embedded sections) - Anti-Aquaporin 5 antibody [RM1099] (AB315855)

Immunohistochemical analysis of paraffin-embedded Mouse salivary gland tissue labeling Aquaporin 5 with ab315855 at 1/8000 (0.062 ug/ml) dilution, followed by a ready to use LeicaDS9800 (Bond™ Polymer Refine Detection).

Positive staining on mouse salivary gland. The section was incubated with ab315855 for 30 mins at room temperature.
The immunostaining was performed on a Leica Biosystems BOND® RX instrument

Counterstained with Hematoxylin.

Secondary antibody only control : Secondary antibody is a ready to use LeicaDS9800 (Bond™ Polymer Refine Detection).

Heat mediated antigen retrieval was performed with Citrate buffer (pH 6.0, Epitope Retrieval Solution 1) for 20 mins

Immunohistochemistry (Formalin/PFA-fixed paraffin-embedded sections) - Anti-Aquaporin 5 antibody [RM1099] (AB315855)
  • IHC-P

Supplier Data

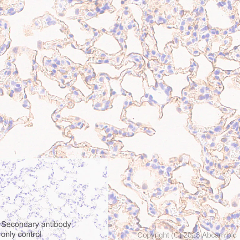
Immunohistochemistry (Formalin/PFA-fixed paraffin-embedded sections) - Anti-Aquaporin 5 antibody [RM1099] (AB315855)

Immunohistochemical analysis of paraffin-embedded Rat lung tissue labeling Aquaporin 5 with ab315855 at 1/8000 (0.062 ug/ml) dilution, followed by a ready to use LeicaDS9800 (Bond™ Polymer Refine Detection).

Positive staining on rat lung. The section was incubated with ab315855 for 30 mins at room temperature.
The immunostaining was performed on a Leica Biosystems BOND® RX instrument

Counterstained with Hematoxylin.

Secondary antibody only control : Secondary antibody is a ready to use LeicaDS9800 (Bond™ Polymer Refine Detection).

Heat mediated antigen retrieval was performed with Citrate buffer (pH 6.0, Epitope Retrieval Solution 1) for 20 mins

Immunohistochemistry (Frozen sections) - Anti-Aquaporin 5 antibody [RM1099] (AB315855)
  • IHC-Fr

Supplier Data

Immunohistochemistry (Frozen sections) - Anti-Aquaporin 5 antibody [RM1099] (AB315855)

Immunohistochemical analysis of 4% PFA-fixed, 0.2% Triton X-100 permeabilized frozen Mouse lung (fresh frozen) tissue labeling Aquaporin 5 with ab315855 at 1/500 (0.984 ug/ml) dilution followed by ab150081 Goat Anti-Rabbit IgG H&L (Alexa Fluor® 488) preadsorbed at 1/1000 2 ug/mL dilution (Green).

Confocal image showing positive staining on mouse lung. The nuclear counterstain was DAPI (Blue). The section was incubated with ab315855 for 60 mins at room temperature. The section was then mounted using Fluoromount®.The immunostaining was performed on a Leica Biosystems BOND® RX instrument. Image was taken with a confocal microscope (Leica-Microsystems, TCS SP8).

Secondary antibody control : Secondary antibody is ab150081 Goat Anti-Rabbit IgG H&L (Alexa Fluor® 488) preadsorbedat 1/1000 2 ug/mL dilution.

Immunohistochemistry (Frozen sections) - Anti-Aquaporin 5 antibody [RM1099] (AB315855)
  • IHC-Fr

Supplier Data

Immunohistochemistry (Frozen sections) - Anti-Aquaporin 5 antibody [RM1099] (AB315855)

Immunohistochemical analysis of 4% PFA-fixed, 0.2% Triton X-100 permeabilized frozen Rat lung (fresh frozen) tissue labeling Aquaporin 5 with ab315855 at 1/500 (0.984 ug/ml) dilution followed by ab150081 Goat Anti-Rabbit IgG H&L (Alexa Fluor® 488) preadsorbed at 1/1000 2 ug/mL dilution (Green).

Confocal image showing positive staining on rat lung. The nuclear counterstain was DAPI (Blue). The section was incubated with ab315855 for 60 mins at room temperature. The section was then mounted using Fluoromount®.The immunostaining was performed on a Leica Biosystems BOND® RX instrument. Image was taken with a confocal microscope (Leica-Microsystems, TCS SP8).

Secondary antibody control : Secondary antibody is ab150081 Goat Anti-Rabbit IgG H&L (Alexa Fluor® 488) preadsorbedat 1/1000 2 ug/mL dilution.

Immunohistochemistry (Frozen sections) - Anti-Aquaporin 5 antibody [RM1099] (AB315855)
  • IHC-Fr

Supplier Data

Immunohistochemistry (Frozen sections) - Anti-Aquaporin 5 antibody [RM1099] (AB315855)

Immunohistochemical analysis of 4% PFA-fixed, 0.2% Triton X-100 permeabilized frozen Mouse kidney (fresh frozen) tissue labeling Aquaporin 5 with ab315855 at 1/500 (0.984 ug/ml) dilution followed by ab150081 Goat Anti-Rabbit IgG H&L (Alexa Fluor® 488) preadsorbed at 1/1000 2 ug/mL dilution (Green).

Low expression : confocal image showing no staining on mouse kidney (PMID : 9767520). The nuclear counterstain was DAPI (Blue). The section was incubated with ab315855 for 60 mins at room temperature. The section was then mounted using Fluoromount®.The immunostaining was performed on a Leica Biosystems BOND® RX instrument. Image was taken with a confocal microscope (Leica-Microsystems, TCS SP8).

Secondary antibody control : Secondary antibody is ab150081 Goat Anti-Rabbit IgG H&L (Alexa Fluor® 488) preadsorbedat 1/1000 2 ug/mL dilution.

Immunohistochemistry (Formalin/PFA-fixed paraffin-embedded sections) - Anti-Aquaporin 5 antibody [RM1099] (AB315855)
  • IHC-P

Supplier Data

Immunohistochemistry (Formalin/PFA-fixed paraffin-embedded sections) - Anti-Aquaporin 5 antibody [RM1099] (AB315855)

Immunohistochemical analysis of paraffin-embedded Mouse skeletal muscle tissue labeling Aquaporin 5 with ab315855 at 1/8000 (0.062 ug/ml) dilution, followed by a ready to use LeicaDS9800 (Bond™ Polymer Refine Detection).

Negative control : no staining on mouse skeletal muscle. The section was incubated with ab315855 for 30 mins at room temperature.
The immunostaining was performed on a Leica Biosystems BOND® RX instrument

Counterstained with Hematoxylin.

Secondary antibody only control : Secondary antibody is a ready to use LeicaDS9800 (Bond™ Polymer Refine Detection).

Heat mediated antigen retrieval was performed with Citrate buffer (pH 6.0, Epitope Retrieval Solution 1) for 20 mins

Immunohistochemistry (Frozen sections) - Anti-Aquaporin 5 antibody [RM1099] (AB315855)
  • IHC-Fr

Supplier Data

Immunohistochemistry (Frozen sections) - Anti-Aquaporin 5 antibody [RM1099] (AB315855)

Immunohistochemical analysis of 4% PFA-fixed, 0.2% Triton X-100 permeabilized frozen Rat kidney (fresh frozen) tissue labeling Aquaporin 5 with ab315855 at 1/500 (0.984 ug/ml) dilution followed by ab150081 Goat Anti-Rabbit IgG H&L (Alexa Fluor® 488) preadsorbed at 1/1000 2 ug/mL dilution (Green).

Low expression : confocal image showing no staining on rat kidney (PMID : 9767520). The nuclear counterstain was DAPI (Blue). The section was incubated with ab315855 for 60 mins at room temperature. The section was then mounted using Fluoromount®.The immunostaining was performed on a Leica Biosystems BOND® RX instrument. Image was taken with a confocal microscope (Leica-Microsystems, TCS SP8).

Secondary antibody control : Secondary antibody is ab150081 Goat Anti-Rabbit IgG H&L (Alexa Fluor® 488) preadsorbedat 1/1000 2 ug/mL dilution.

Immunohistochemistry (Formalin/PFA-fixed paraffin-embedded sections) - Anti-Aquaporin 5 antibody [RM1099] (AB315855)
  • IHC-P

Supplier Data

Immunohistochemistry (Formalin/PFA-fixed paraffin-embedded sections) - Anti-Aquaporin 5 antibody [RM1099] (AB315855)

Immunohistochemical analysis of paraffin-embedded Mouse cardiac muscle tissue labeling Aquaporin 5 with ab315855 at 1/8000 (0.062 ug/ml) dilution, followed by a ready to use LeicaDS9800 (Bond™ Polymer Refine Detection).

Negative control : no staining on mouse cardiac muscle. The section was incubated with ab315855 for 30 mins at room temperature.
The immunostaining was performed on a Leica Biosystems BOND® RX instrument

Counterstained with Hematoxylin.

Secondary antibody only control : Secondary antibody is a ready to use LeicaDS9800 (Bond™ Polymer Refine Detection).

Heat mediated antigen retrieval was performed with Citrate buffer (pH 6.0, Epitope Retrieval Solution 1) for 20 mins

Immunoprecipitation - Anti-Aquaporin 5 antibody [RM1099] (AB315855)
  • IP

Supplier Data

Immunoprecipitation - Anti-Aquaporin 5 antibody [RM1099] (AB315855)

Blocking and diluting buffer and concentration : 5% NFDM/TBST.

Aquaporin 5 was immunoprecipitated from 0.35 mg Rat lung tissue lysate with ab315855 at 1/30 dilution (2ug in 0.35mg lysates). Western blot was performed on the immunoprecipitate using ab315855 at 1/1000 dilution. VeriBlot for IP secondary antibody(HRP)(ab131366) was used at 1/5000 dilution.

Lane 1 : Rat lung tissue lysate
Lane 2 : ab315855 IP in Rat lung tissue lysate
Lane 3 : Rabbit monoclonal IgG (ab172730) instead of ab315855 in rat lung tissue lysate

All lanes:

Immunoprecipitation - Anti-Aquaporin 5 antibody [RM1099] (ab315855) at 1/30 dilution

All lanes:

Rat lung tissue lysate

Secondary

All lanes:

Immunoprecipitation - VeriBlot for IP Detection Reagent (HRP) (<a href='/en-us/products/reagents/veriblot-for-ip-detection-reagent-hrp-ab131366'>ab131366</a>) at 1/1000 dilution

false

Immunoprecipitation - Anti-Aquaporin 5 antibody [RM1099] (AB315855)
  • IP

Supplier Data

Immunoprecipitation - Anti-Aquaporin 5 antibody [RM1099] (AB315855)

Blocking and diluting buffer and concentration : 5% NFDM/TBST.

Aquaporin 5 was immunoprecipitated from 0.35 mg Mouse lung tissue lysate with ab315855 at 1/30 dilution (2ug in 0.35mg lysates). Western blot was performed on the immunoprecipitate using ab315855 at 1/1000 dilution. VeriBlot for IP secondary antibody(HRP)(ab131366) was used at 1/5000 dilution.

Lane 1 : Mouse lung tissue lysate
Lane 2 : ab315855 IP in Mouse lung tissue lysate
Lane 3 : Rabbit monoclonal IgG (ab172730) instead of ab315855 in mouse lung tissue lysate

All lanes:

Immunoprecipitation - Anti-Aquaporin 5 antibody [RM1099] (ab315855) at 1/30 dilution

All lanes:

Mouse lung tissue lysate

Secondary

All lanes:

Immunoprecipitation - VeriBlot for IP Detection Reagent (HRP) (<a href='/en-us/products/reagents/veriblot-for-ip-detection-reagent-hrp-ab131366'>ab131366</a>) at 1/1000 dilution

false

Exposure time: 24s

Western blot - Anti-Aquaporin 5 antibody [RM1099] (AB315855)
  • WB

Supplier Data

Western blot - Anti-Aquaporin 5 antibody [RM1099] (AB315855)

Blocking and diluting buffer and concentration : 5% NFDM/TBST.

Samples are non-boiled as boiling may cause protein aggregation.

In Western blot, Anti-GAPDH antibody [EPR16891] - Loading Control (ab181602) staining at 1/200000 dilution.

All lanes:

Western blot - Anti-Aquaporin 5 antibody [RM1099] (ab315855) at 1/5000 dilution

Lane 1:

KATO III (human stomach spherical) whole cell lysate at 10 µg

Lane 2:

K-562 (human chronic myelogenous leukemia lymphoblast) whole cell lysate at 20 µg

Secondary

All lanes:

Western blot - Goat Anti-Rabbit IgG H&L (HRP) (<a href='/en-us/products/secondary-antibodies/goat-rabbit-igg-h-l-hrp-ab97051'>ab97051</a>) at 1/100000 dilution

Observed band size: 24 kDa,36 kDa

false

Exposure time: 10s

Western blot - Anti-Aquaporin 5 antibody [RM1099] (AB315855)
  • WB

Supplier Data

Western blot - Anti-Aquaporin 5 antibody [RM1099] (AB315855)

Blocking and diluting buffer and concentration : 5% NFDM/TBST.

Samples are non-boiled as boiling may cause protein aggregation.

In Western blot, Anti-GAPDH antibody [EPR16891] - Loading Control (ab181602) staining at 1/200000 dilution.

All lanes:

Western blot - Anti-Aquaporin 5 antibody [RM1099] (ab315855) at 1/1000 dilution

Lane 1:

Human salivary grand tissue lysate at 20 µg

Lane 2:

Human liver tissue lysate at 20 µg

Lane 3:

Human skeletal muscle tissue lysate at 20 µg

Secondary

All lanes:

Western blot - Goat Anti-Rabbit IgG H&L (HRP) (<a href='/en-us/products/secondary-antibodies/goat-rabbit-igg-h-l-hrp-ab97051'>ab97051</a>) at 1/100000 dilution

Observed band size: 24 kDa,36 kDa

false

Exposure time: 15s

Western blot - Anti-Aquaporin 5 antibody [RM1099] (AB315855)
  • WB

Supplier Data

Western blot - Anti-Aquaporin 5 antibody [RM1099] (AB315855)

Blocking and diluting buffer and concentration : 5% NFDM/TBST.

Samples are non-boiled as boiling may cause protein aggregation.

In Western blot, Anti-Vinculin antibody [EPR8185] (ab129002) staining at 1/10000 dilution.

All lanes:

Western blot - Anti-Aquaporin 5 antibody [RM1099] (ab315855) at 1/1000 dilution

Lane 1:

Mouse lung tissue lysate at 20 µg

Lane 2:

Mouse kidney tissue lysate at 20 µg

Lane 3:

Mouse heart tissue lysate at 20 µg

Lane 4:

Rat lung tissue lysate at 20 µg

Lane 5:

Rat kidney tissue lysate at 20 µg

Lane 6:

Rat salivary tissue lysate at 20 µg

Lane 7:

Rat heart tissue lysate at 20 µg

Secondary

All lanes:

Western blot - Goat Anti-Rabbit IgG H&L (HRP) (<a href='/en-us/products/secondary-antibodies/goat-rabbit-igg-h-l-hrp-ab97051'>ab97051</a>) at 1/100000 dilution

Observed band size: 24 kDa,124 kDa

false

Exposure time: 15s

Key facts

Host species

Rabbit

Clonality

Multiclonal

Clone number

RM1099

Isotype

IgG

Carrier free

No

Reacts with

Human, Mouse, Rat

Applications

IHC-P, ICC/IF, WB, IP, IHC-Fr

applications

Immunogen

The exact immunogen used to generate this antibody is proprietary information.

Specificity

Unsuitable for mouse and rat ICC.

Reactivity data

{ "title": "Reactivity Data", "filters": { "stats": ["", "Species", "Dilution Info", "Notes"], "tabs": { "all-applications": {"fullname" : "All Applications", "shortname": "All Applications"}, "WB" : {"fullname" : "Western blot", "shortname":"WB"}, "IP" : {"fullname" : "Immunoprecipitation", "shortname":"IP"}, "ICCIF" : {"fullname" : "Immunocytochemistry/ Immunofluorescence", "shortname":"ICC/IF"}, "IHCFr" : {"fullname" : "Immunohistochemistry (Frozen sections)", "shortname":"IHC-Fr"}, "FlowCyt" : {"fullname" : "Flow Cytometry", "shortname":"Flow Cyt"}, "IHCP" : {"fullname" : "Immunohistochemistry (Formalin/PFA-fixed paraffin-embedded sections)", "shortname":"IHC-P"} }, "product-promise": { "all": "all", "testedAndGuaranteed": "tested", "guaranteed": "expected", "predicted": "predicted", "notRecommended": "not-recommended" } }, "values": { "Human": { "WB-species-checked": "testedAndGuaranteed", "WB-species-dilution-info": "1/1000 - 1/5000", "WB-species-notes": "<p></p>", "IP-species-checked": "testedAndGuaranteed", "IP-species-dilution-info": "1/30", "IP-species-notes": "<p></p>", "ICCIF-species-checked": "testedAndGuaranteed", "ICCIF-species-dilution-info": "1/100", "ICCIF-species-notes": "<p></p>", "IHCFr-species-checked": "guaranteed", "IHCFr-species-dilution-info": "", "IHCFr-species-notes": "", "FlowCyt-species-checked": "notRecommended", "FlowCyt-species-dilution-info": "", "FlowCyt-species-notes": "<p></p>", "IHCP-species-checked": "testedAndGuaranteed", "IHCP-species-dilution-info": "1/8000", "IHCP-species-notes": "<p></p> Perform heat-mediated antigen retrieval with citrate buffer pH 6 before commencing with IHC staining protocol." }, "Mouse": { "WB-species-checked": "testedAndGuaranteed", "WB-species-dilution-info": "1/1000 - 1/5000", "WB-species-notes": "<p></p>", "IP-species-checked": "testedAndGuaranteed", "IP-species-dilution-info": "1/30", "IP-species-notes": "<p></p>", "ICCIF-species-checked": "notRecommended", "ICCIF-species-dilution-info": "", "ICCIF-species-notes": "<p></p>", "IHCFr-species-checked": "testedAndGuaranteed", "IHCFr-species-dilution-info": "1/500", "IHCFr-species-notes": "<p></p>", "FlowCyt-species-checked": "notRecommended", "FlowCyt-species-dilution-info": "", "FlowCyt-species-notes": "", "IHCP-species-checked": "testedAndGuaranteed", "IHCP-species-dilution-info": "1/8000", "IHCP-species-notes": "<p></p> Perform heat-mediated antigen retrieval with citrate buffer pH 6 before commencing with IHC staining protocol." }, "Rat": { "WB-species-checked": "testedAndGuaranteed", "WB-species-dilution-info": "1/1000 - 1/5000", "WB-species-notes": "<p></p>", "IP-species-checked": "testedAndGuaranteed", "IP-species-dilution-info": "1/30", "IP-species-notes": "<p></p>", "ICCIF-species-checked": "notRecommended", "ICCIF-species-dilution-info": "", "ICCIF-species-notes": "<p></p>", "IHCFr-species-checked": "testedAndGuaranteed", "IHCFr-species-dilution-info": "1/500", "IHCFr-species-notes": "<p></p>", "FlowCyt-species-checked": "notRecommended", "FlowCyt-species-dilution-info": "", "FlowCyt-species-notes": "", "IHCP-species-checked": "testedAndGuaranteed", "IHCP-species-dilution-info": "1/8000", "IHCP-species-notes": "<p></p> Perform heat-mediated antigen retrieval with citrate buffer pH 6 before commencing with IHC staining protocol." } } }

Product details

What is this antibody validated in?
Anti-Aquaporin 5 antibody [RM1099] (ab315855) is a rabbit recombinant recombinant multiclonal antibody and is validated for use in Western Blot (WB), Immunoprecipitation (IP), Immunohistochemistry (IHC-P), Immunohistochemistry (IHC-Fr), Immunocytochemistry/immunofluorescence (ICC/IF) in Human, Mouse, Rat samples.

Trial sizes available!
Test your antibody or perform pre-screening before committing to a larger quantity. Sold in 10µl. Discover our selection of trial-size antibodies.

Other related products
We have a range of other formats of antibody clone [RM1099] also available for your convenience: ab315855, Carrier free - ab315856

What are recombinant multiclonals?
Recombinant multiclonals are a mixture of recombinant antibodies co-expressed from a library of heavy and light chains. They offer several advantages including:

  • - The sensitivity of polyclonal antibodies by recognising multiple epitopes
  • - High batch-to-batch consistency and reproducibility
  • - Improved sensitivity and specificity
  • - Long-term security of supply
  • - Animal-free batch production

View our range of recombinant multiclonal antibodies.

Patented technology
Our RabMAb® technology is a patented hybridoma-based technology for making rabbit monoclonal antibodies. For details on our patents, please refer to RabMAb® patents.

Properties and storage information

Form
Liquid
Purification technique
Affinity purification Protein A
Storage buffer
pH: 7.2 - 7.4 Preservative: 0.01% Sodium azide Constituents: PBS, 40% Glycerol (glycerin, glycerine), 0.05% BSA
Shipped at conditions
Blue Ice
Appropriate short-term storage duration
1-2 weeks
Appropriate short-term storage conditions
+4°C
Appropriate long-term storage conditions
-20°C
Aliquoting information
Upon delivery aliquot
Storage information
Avoid freeze / thaw cycle

Supplementary information

This supplementary information is collated from multiple sources and compiled automatically.

The protein known as Aquaporin 5 often abbreviated as AQP5 is a member of the aquaporin family which are integral membrane proteins that function as channels for water. This particular protein facilitates water transport across cell membranes an action critical in maintaining fluid balance. Aquaporin 5 has a molecular mass of approximately 29 kDa. It is largely expressed in epithelial cells in various tissues including the salivary glands lacrimal glands and respiratory tissues. It is recognized by different names such as Aquaporin-5 and sometimes referenced in studies as Aquazol 5.
Biological function summary

Water transport and secretion processes heavily rely on the presence of Aquaporin 5. It is integral in the formation of tight junctions in epithelial cells enhancing cell permeability to water. Unlike some other aquaporins Aquaporin 5 operates independently and is not known to be part of a larger protein complex. Its presence influences the efficiency of fluid secretion affecting activities such as salivation and tear secretion. The capacity of AQP5 to control water movement tightly connects it to cellular hydration homeostasis.

Pathways

Aquaporin 5 is significantly involved in the regulation of water balance and osmotic equilibrium in epithelial tissues. Its role in fluid secretion pathways is interconnected with other proteins like Aquaporin 4 which share similar duties in the osmotic control of water. In the water transport pathways AQP5 coordinates with proteins like CFTR (Cystic Fibrosis Transmembrane Conductance Regulator) to manage fluid movement particularly in the respiratory passages and glands. The precise regulation of water flow by these pathways ensures that overall tissue hydration remains constant.

Aquaporin 5 is directly associated with conditions such as Sjögren's syndrome and xerostomia (dry mouth syndrome). During Sjögren's syndrome malfunction of AQP5 can lead to impaired salivary and tear secretion contributing to the symptoms of dryness. Furthermore defects or polymorphisms in AQP5 have implications in respiratory diseases potentially affecting proteins like Aquaporin 3 which shares functional similarities. Understanding the role of AQP5 in these conditions enables further exploration into therapeutic targets and treatment methods.

Product protocols

For this product, it's our understanding that no specific protocols are required. You can visit:

Target data

Aquaporins form homotetrameric transmembrane channels, with each monomer independently mediating water transport across the plasma membrane along its osmotic gradient (PubMed : 18768791, PubMed : 8621489). Plays an important role in fluid secretion in salivary glands (By similarity). Required for TRPV4 activation by hypotonicity. Together with TRPV4, controls regulatory volume decrease in salivary epithelial cells (PubMed : 16571723). Seems to play a redundant role in water transport in the eye, lung and in sweat glands (By similarity).
See full target information AQP5

Publications (1)

Recent publications for all applications. Explore the full list and refine your search

Frontiers in pharmacology 16:1589143 PubMed40880648

2025

Polydatin ameliorates hyperhidrosis by targeting Aqp5 in a mouse model.

Applications

Unspecified application

Species

Unspecified reactive species

Jian-Feng Chen,Zhi Feng,Feng-Qiang Yu,Rui-Qin Qiu,Xu Li,Jian-Bo Lin
View all publications

Product promise

We are committed to supporting your work with high-quality reagents, and we're here for you every step of the way. In the unlikely event that one of our products does not perform as expected, you're protected by our Product Promise.
For full details, please see our Terms & Conditions

Please note: All products are 'FOR RESEARCH USE ONLY. NOT FOR USE IN DIAGNOSTIC OR THERAPEUTIC PROCEDURES'.

For licensing inquiries, please contact partnerships@abcam.com