JavaScript is disabled in your browser. Please enable JavaScript to view this website.
AB84828

Anti-Aquaporin 9/AQP-9 antibody

Be the first to review this product! Submit a review

|

(9 Publications)

Rabbit Polyclonal Aquaporin 9/AQP-9 antibody. Suitable for IHC-P and reacts with Human samples. Cited in 9 publications.

View Alternative Names

SSC1, AQP9, Aquaporin-9, AQP-9, Aquaglyceroporin-9, Small solute channel 1

1 Images
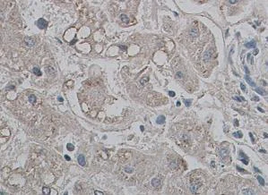
Immunohistochemistry (Formalin/PFA-fixed paraffin-embedded sections) - Anti-Aquaporin 9/AQP-9 antibody (AB84828)
  • IHC-P

Unknown

Immunohistochemistry (Formalin/PFA-fixed paraffin-embedded sections) - Anti-Aquaporin 9/AQP-9 antibody (AB84828)

ab84828, at 1/100 dilution, staining Aquaporin 9/AQP-9 in formalin-fixed, paraffin-embedded Human liver tissue by immunohistochemistry. Membrane staining is observed.

Key facts

Host species

Rabbit

Clonality

Polyclonal

Isotype

IgG

Carrier free

No

Reacts with

Human

Applications

IHC-P

applications

Immunogen

The exact immunogen used to generate this antibody is proprietary information.

Reactivity data

{ "title": "Reactivity Data", "filters": { "stats": ["", "Species", "Dilution Info", "Notes"], "tabs": { "all-applications": {"fullname" : "All Applications", "shortname": "All Applications"}, "IHCP" : {"fullname" : "Immunohistochemistry (Formalin/PFA-fixed paraffin-embedded sections)", "shortname":"IHC-P"} }, "product-promise": { "all": "all", "testedAndGuaranteed": "tested", "guaranteed": "expected", "predicted": "predicted", "notRecommended": "not-recommended" } }, "values": { "Human": { "IHCP-species-checked": "testedAndGuaranteed", "IHCP-species-dilution-info": "1/50 - 1/200", "IHCP-species-notes": "<p></p>" } } }

Properties and storage information

Form
Lyophilized
Reconstitution
reconstitute with water at 200µL
Purification technique
Affinity purification Immunogen
Storage buffer
pH: 7.2 Preservative: 0.02% Sodium azide Constituents: 1% BSA, 0.184% Tris glycine
Shipped at conditions
Blue Ice
Appropriate short-term storage conditions
+4°C
Appropriate long-term storage conditions
-20°C
Aliquoting information
Upon delivery aliquot
Storage information
Avoid freeze / thaw cycle

Supplementary information

This supplementary information is collated from multiple sources and compiled automatically.

Aquaporin 9 (AQP-9) also known as AQP9 or AQP is a member of the aquaporin family which functions as a water channel protein. The mass of AQP-9 is approximately 33 kDa. Expressed in the liver leukocytes and the male reproductive tract it facilitates the transport of water and some small solutes such as glycerol and urea across cellular membranes. This channel activity is essential for various physiological processes that require efficient fluid balance and solute exchange.
Biological function summary

This protein is integral to maintaining cellular and tissue homeostasis. AQP-9 does not operate alone but rather integrates within a broader network influencing metabolism and osmoregulation. It plays a critical role in hepatic glycerol uptake impacting both gluconeogenesis and lipogenesis processes. Its presence in immune cells like leukocytes suggests a role in immune responses potentially affecting the movement of immune cells and response to inflammation.

Pathways

Aquaporin 9 participates actively in both glycerol and water transport processes important for metabolic and osmoregulatory pathways. It is closely linked to the glycerol kinase pathway in the liver which affects energy balance and metabolic homeostasis. Within these pathways AQP-9 interrelates with other proteins such as aquaglyceroporins. Specifically it works alongside glycerol transport-related proteins to facilitate the balance of energy substrates contributing to different metabolic states in the body.

Aquaporin 9 is associated with insulin resistance and inflammation. Its altered expression or function may contribute to metabolic disorders like type 2 diabetes where dysregulated glycerol metabolism is observed. In the context of immune-related disorders changes in AQP-9 function can influence immune cell behavior and cytokine production linking it indirectly to pro-inflammatory states. Protein interplays during these conditions can include cytokines and other metabolic signaling proteins which further influence disease progression.

Product protocols

For this product, it's our understanding that no specific protocols are required. You can visit:

Target data

Aquaglyceroporins form homotetrameric transmembrane channels, with each monomer independently mediating glycerol and water transport across the plasma membrane along their osmotic gradient (PubMed : 10564231, PubMed : 30420639, PubMed : 35054513, PubMed : 9514918). AQP9 is the primary route for glycerol uptake in hepatocytes, supporting hepatic gluconeogenesis (By similarity). It exhibits broad specificity and may transport various small, non-charged solutes, including carbamides, polyols, purines, and pyrimidines (PubMed : 10564231). AQP9 may also facilitate hepatic urea extrusion (PubMed : 10564231, PubMed : 9514918). Due to its permeability to lactate, AQP9 might participate in the astrocyte-to-neuron lactate shuttle, supplying neurons with energy (PubMed : 10564231, PubMed : 35054513). Additionally, AQP9 is permeable to arsenite, contributing to arsenic excretion by the liver and providing partial protection against arsenic toxicity (PubMed : 10564231). It is also permeable to H2O2 in vivo (PubMed : 26837049). Could also be permeable to ammonium (By similarity).
See full target information AQP9

Publications (9)

Recent publications for all applications. Explore the full list and refine your search

Cells 12: PubMed37508521

2023

Neutrophil Extracellular Traps Drive Dacryolithiasis.

Applications

Unspecified application

Species

Unspecified reactive species

Leticija Zlatar,Thomas Timm,Günter Lochnit,Rostyslav Bilyy,Tobias Bäuerle,Marco Munoz-Becerra,Georg Schett,Jasmin Knopf,Jens Heichel,Mohammad Javed Ali,Mirco Schapher,Friedrich Paulsen,Martin Herrmann

Molecular & cellular proteomics : MCP 22:100526 PubMed36889440

2023

Integrated MicroRNA and Secretome Analysis of Human Endometrial Organoids Reveal the miR-3194-5p/Aquaporin/S100A9 Module in Regulating Trophoblast Functions.

Applications

Unspecified application

Species

Unspecified reactive species

Yang Dong,Jianlin Li,Dandan Cao,Jiangming Zhong,Xiaofeng Liu,Yong-Gang Duan,Kai-Fai Lee,William S B Yeung,Cheuk-Lun Lee,Philip C N Chiu

Journal of inflammation research 15:3305-3321 PubMed35692951

2022

Identification of Immune-Related Genes in Patients with Acute Myocardial Infarction Using Machine Learning Methods.

Applications

Unspecified application

Species

Unspecified reactive species

Xu Zhu,Ting Yin,Ting Zhang,Qingqing Zhu,Xinyi Lu,Luyang Wang,Shengen Liao,Wenming Yao,Yanli Zhou,Haifeng Zhang,Xinli Li

Molecular neurobiology 57:4530-4548 PubMed32748371

2020

Aqp9 Gene Deletion Enhances Retinal Ganglion Cell (RGC) Death and Dysfunction Induced by Optic Nerve Crush: Evidence that Aquaporin 9 Acts as an Astrocyte-to-Neuron Lactate Shuttle in Concert with Monocarboxylate Transporters To Support RGC Function and Survival.

Applications

Unspecified application

Species

Unspecified reactive species

Sotaro Mori,Takuji Kurimoto,Akiko Miki,Hidetaka Maeda,Sentaro Kusuhara,Makoto Nakamura

Journal of translational medicine 17:363 PubMed31703694

2019

Prognostic implications of Aquaporin 9 expression in clear cell renal cell carcinoma.

Applications

Unspecified application

Species

Unspecified reactive species

Wen-Hao Xu,Shen-Nan Shi,Yue Xu,Jun Wang,Hong-Kai Wang,Da-Long Cao,Guo-Hai Shi,Yuan-Yuan Qu,Hai-Liang Zhang,Ding-Wei Ye

Reproduction in domestic animals = Zuchthygiene 51:515-23 PubMed27260501

2016

Seasonal and Ageing-Depending Changes of Aquaporins 1 and 9 Expression in the Genital Tract of Buffalo Bulls (Bubalus bubalis).

Applications

Unspecified application

Species

Unspecified reactive species

S Arrighi,G Bosi,G Accogli,S Desantis

APMIS : acta pathologica, microbiologica, et immunologica Scandinavica 122:772-80 PubMed24479869

2014

Altered aquaporin expression in glaucoma eyes.

Applications

Unspecified application

Species

Unspecified reactive species

Thuy Linh Tran,Toke Bek,Morten la Cour,Søren Nielsen,Jan Ulrik Prause,Steffen Hamann,Steffen Heegaard

Acta ophthalmologica 91:557-63 PubMed22974000

2012

Aquaporins 6-12 in the human eye.

Applications

Unspecified application

Species

Unspecified reactive species

Thuy Linh Tran,Toke Bek,Lars Holm,Morten la Cour,Søren Nielsen,Jan Ulrik Prause,Aleksandra Rojek,Steffen Hamann,Steffen Heegaard

Frontiers in neurology 2:48 PubMed21886636

2011

Identification of new signaling components in the sensory epithelium of human saccule.

Applications

IHC-Fr

Species

Human

Eva Degerman,Uwe Rauch,Olga Göransson,Sven Lindberg,Anna Hultgårdh,Måns Magnusson
View all publications

Product promise

We are committed to supporting your work with high-quality reagents, and we're here for you every step of the way. In the unlikely event that one of our products does not perform as expected, you're protected by our Product Promise.
For full details, please see our Terms & Conditions

Please note: All products are 'FOR RESEARCH USE ONLY. NOT FOR USE IN DIAGNOSTIC OR THERAPEUTIC PROCEDURES'.

For licensing inquiries, please contact partnerships@abcam.com