JavaScript is disabled in your browser. Please enable JavaScript to view this website.
AB183183

Anti-Arc antibody [EPR18950]

  • RabMAb
  • Recombinant
  • KO Validated
  • 20ul selling size
  • What is this?

0

(1 Review)

|

(13 Publications)

Anti-Arc antibody [EPR18950] (ab183183) is a rabbit monoclonal antibody detecting Arc in Western Blot, IP, IHC-P. Suitable for Human, Mouse, Rat.

- KO validated for confirmed specificity
- Biophysical QC for unrivalled batch-batch consistency

View Alternative Names

KIAA0278, ARC, Activity-regulated cytoskeleton-associated protein, hArc, Activity-regulated gene 3.1 protein homolog, ARC/ARG3.1, Arg3.1

6 Images
Immunohistochemistry (Formalin/PFA-fixed paraffin-embedded sections) - Anti-Arc antibody [EPR18950] (AB183183)
  • IHC-P

Supplier Data

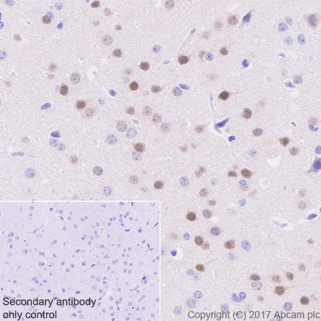
Immunohistochemistry (Formalin/PFA-fixed paraffin-embedded sections) - Anti-Arc antibody [EPR18950] (AB183183)

Immunohistochemical analysis of paraffin-embedded mouse cerebral cortex tissue labeling Arc with ab183183 at 1/100 dilution, followed by Goat Anti-Rabbit IgG H&L (HRP) ready to use. Nuclear staining on neurons of mouse cerebral cortex. Counter stained with Hematoxylin.

Secondary antibody only control : Used PBS instead of primary antibody, secondary antibody is Goat Anti-Rabbit IgG H&L (HRP) ready to use.

Perform heat mediated antigen retrieval with citrate buffer pH 6 before commencing with IHC staining protocol.

Immunohistochemistry (Formalin/PFA-fixed paraffin-embedded sections) - Anti-Arc antibody [EPR18950] (AB183183)
  • IHC-P

Supplier Data

Immunohistochemistry (Formalin/PFA-fixed paraffin-embedded sections) - Anti-Arc antibody [EPR18950] (AB183183)

Immunohistochemical analysis of paraffin-embedded mouse hippocampus tissue labeling Arc with ab183183 at 1/100 dilution, followed by Goat Anti-Rabbit IgG H&L (HRP) ready to use. Sparse nuclear staining (arrows) in the dentate gyrus of mouse hippocampus (PMID : 19750198, PMID : 19628007). Counter stained with Hematoxylin.

Secondary antibody only control : Used PBS instead of primary antibody, secondary antibody is Goat Anti-Rabbit IgG H&L (HRP) ready to use.

Perform heat mediated antigen retrieval with citrate buffer pH 6 before commencing with IHC staining protocol.

Immunoprecipitation - Anti-Arc antibody [EPR18950] (AB183183)
  • IP

Supplier Data

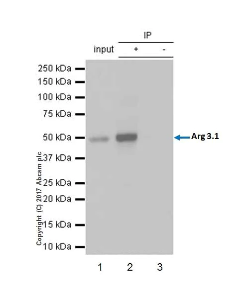
Immunoprecipitation - Anti-Arc antibody [EPR18950] (AB183183)

Arc was immunoprecipitated from 0.35 mg of mouse brain lysate with ab183183 at 1/30 dilution. Western blot was performed from the immunoprecipitate using ab183183 at 1/500 dilution. VeriBlot for IP Detection Reagent (HRP) (ab131366), was used for detection at 1/1000 dilution.

Lane 1 : Mouse brain lysate 10 μg (Input).

Lane 2 : ab183183 IP in mouse brain lysate.

Lane 3 : Rabbit monoclonal IgG (ab172730) instead of ab183183 in mouse brain lysate.

Exposure time : 1 second

Blocking/dilution buffer : 5% NFDM/TBST.

All lanes:

Immunoprecipitation - Anti-Arc antibody [EPR18950] (ab183183)

Predicted band size: 42 kDa,45 kDa,75 kDa

Observed band size: 42 kDa,45 kDa,75 kDa

false

Western blot - Anti-Arc antibody [EPR18950] (AB183183)
  • WB

Supplier Data

Western blot - Anti-Arc antibody [EPR18950] (AB183183)

Blocking/Dilution buffer : 5% NFDM/TBST.

Lanes 1 - 4:

Western blot - Anti-Arc antibody [EPR18950] (ab183183) at 1/1000 dilution

Lane 5:

Western blot - Anti-Arc antibody [EPR18950] (ab183183) at 1/5000 dilution

Lane 1:

Mouse hippocampus lysate at 20 µg

Lane 2:

Rat hippocampus lysate at 20 µg

Lane 3:

Neuro-2a (mouse neuroblastoma cell line) whole cell lysate at 20 µg

Lane 4:

SH-SY5Y (human neuroblastoma cell line from bone marrow) whole cell lysate at 10 µg

Lane 5:

Human hippocampus lysate at 10 µg

Secondary

Lanes 1 - 4:

Western blot - Goat Anti-Rabbit IgG H&L (HRP) (<a href='/en-us/products/secondary-antibodies/goat-rabbit-igg-h-l-hrp-ab97051'>ab97051</a>) at 1/100000 dilution

Lane 5:

Western blot - VeriBlot for IP Detection Reagent (HRP) (<a href='/en-us/products/reagents/veriblot-for-ip-detection-reagent-hrp-ab131366'>ab131366</a>) at 1/4000 dilution

Predicted band size: 45 kDa

Observed band size: 45 kDa

true

Exposure time: 3min

Western blot - Anti-Arc antibody [EPR18950] (AB183183)
  • WB

Lab

Western blot - Anti-Arc antibody [EPR18950] (AB183183)

False colour image of Western blot : Anti-Arc antibody [EPR18950] staining at 1/500 dilution, shown in green; Mouse anti-GAPDH antibody [6C5] (ab8245) loading control staining at 1/20000 dilution, shown in red. In Western blot, ab183183 was shown to bind specifically to Arc. A band was observed at 45 kDa in wild-type Neuro-2a cell lysates with no signal observed at this size in arc knockout cell line ab280071 (knockout cell lysate ab280130). To generate this image, wild-type and arc knockout Neuro-2a cell lysates were analysed. First, samples were run on an SDS-PAGE gel then transferred onto a nitrocellulose membrane. Membranes were blocked in fluorescent western blot (TBS-based) blocking solution before incubation with primary antibodies overnight at 4°C. Blots were washed four times in TBS-T, incubated with secondary antibodies for 1 h at room temperature, washed again four times then imaged. Secondary antibodies used were Goat anti-Rabbit IgG H&L (IRDye® 800CW) preabsorbed (ab216773) and Goat anti-Mouse IgG H&L (IRDye® 680RD) preabsorbed (ab216776) at 1/20000 dilution.

All lanes:

Western blot - Anti-Arc antibody [EPR18950] (ab183183) at 1/500 dilution

Lane 1:

Wild-type Neuro-2a cell lysate at 20 µg

Lane 2:

ARC knockout Neuro-2a cell lysate at 20 µg

Lane 2:

Western blot - Mouse ARC knockout Neuro-2a cell line (<a href='/en-us/products/cell-lines/mouse-arc-knockout-neuro-2a-cell-line-ab280071'>ab280071</a>)

Lane 3:

SH-SY5Y cell lysate at 20 µg

Lane 4:

K562 cell lysate at 20 µg

Lane 5:

Mouse Brain cell lysate at 20 µg

Predicted band size: 45 kDa

Observed band size: 45 kDa

false

Western blot - Anti-Arc antibody [EPR18950] (AB183183)
  • WB

Supplier Data

Western blot - Anti-Arc antibody [EPR18950] (AB183183)

Blocking/Dilution buffer : 5% NFDM/TBST.

All lanes:

Western blot - Anti-Arc antibody [EPR18950] (ab183183) at 1/1000 dilution

Lane 1:

Mouse brain lysate at 10 µg

Lane 2:

Mouse heart lysate at 10 µg

Lane 3:

Mouse kidney lysate at 10 µg

Lane 4:

Mouse spleen lysate at 10 µg

Lane 5:

Rat brain lysate at 10 µg

Lane 6:

Rat heart lysate at 10 µg

Lane 7:

Rat liver lysate at 10 µg

Lane 8:

Rat spleen lysate at 10 µg

Secondary

All lanes:

Western blot - Goat Anti-Rabbit IgG H&L (HRP) (<a href='/en-us/products/secondary-antibodies/goat-rabbit-igg-h-l-hrp-ab97051'>ab97051</a>) at 1/100000 dilution

Predicted band size: 45 kDa

Observed band size: 45 kDa

true

Exposure time: 3min

  • Carrier free

    Anti-Arc antibody [EPR18950] - BSA and Azide free

Key facts

Host species

Rabbit

Clonality

Monoclonal

Clone number

EPR18950

Isotype

IgG

Carrier free

No

Reacts with

Mouse, Rat, Human

Applications

WB, IHC-P, IP

applications

Immunogen

The exact immunogen used to generate this antibody is proprietary information.

Reactivity data

{ "title": "Reactivity Data", "filters": { "stats": ["", "Species", "Dilution Info", "Notes"], "tabs": { "all-applications": {"fullname" : "All Applications", "shortname": "All Applications"}, "IHCP" : {"fullname" : "Immunohistochemistry (Formalin/PFA-fixed paraffin-embedded sections)", "shortname":"IHC-P"}, "IP" : {"fullname" : "Immunoprecipitation", "shortname":"IP"}, "WB" : {"fullname" : "Western blot", "shortname":"WB"} }, "product-promise": { "all": "all", "testedAndGuaranteed": "tested", "guaranteed": "expected", "predicted": "predicted", "notRecommended": "not-recommended" } }, "values": { "Human": { "IHCP-species-checked": "guaranteed", "IHCP-species-dilution-info": "", "IHCP-species-notes": "", "IP-species-checked": "guaranteed", "IP-species-dilution-info": "", "IP-species-notes": "", "WB-species-checked": "testedAndGuaranteed", "WB-species-dilution-info": "1/1000", "WB-species-notes": "<p></p>" }, "Mouse": { "IHCP-species-checked": "testedAndGuaranteed", "IHCP-species-dilution-info": "1/100", "IHCP-species-notes": "<p></p> Perform heat-mediated antigen retrieval with citrate buffer pH 6 before commencing with IHC staining protocol.", "IP-species-checked": "testedAndGuaranteed", "IP-species-dilution-info": "1/30", "IP-species-notes": "<p></p>", "WB-species-checked": "testedAndGuaranteed", "WB-species-dilution-info": "1/1000", "WB-species-notes": "<p></p>" }, "Rat": { "IHCP-species-checked": "guaranteed", "IHCP-species-dilution-info": "", "IHCP-species-notes": "", "IP-species-checked": "guaranteed", "IP-species-dilution-info": "", "IP-species-notes": "", "WB-species-checked": "testedAndGuaranteed", "WB-species-dilution-info": "1/1000", "WB-species-notes": "<p></p>" } } }

Product details

What is this antibody validated in?
Anti-Arc antibody [EPR18950] (ab183183) is a rabbit recombinant monoclonal antibody and is validated for use in Western Blot (WB), Immunoprecipitation (IP), Immunohistochemistry (IHC-P) in Human, Mouse, Rat samples.

What is the molecular weight of Arc?
Anti-Arc [EPR18950] (ab183183) specifically detects a band for Arc (UniProt: Q9WV31) at a molecular weight of 45kDa.

Trusted by the scientific community
Anti-Arc [EPR18950] (ab183183) was first used in a scientific publication in 2017 and has been cited over 10 times in peer-reviewed journals.

Trial sizes available!
Test your antibody or perform pre-screening before committing to a larger quantity. Sold in 10µl. Discover our selection of trial-size antibodies.

Specificity confirmed
The specificity of Anti-Arc antibody [EPR18950] (ab183183) has been confirmed by Western blot testing in ARC Knockout Neuro-2a cell line, ab280071.

Other related products
We have a range of other formats of antibody clone [EPR18950] also available for your convenience: ab183183, Carrier free - ab224717

Patented technology
Our RabMAb® technology is a patented hybridoma-based technology for making rabbit monoclonal antibodies. For details on our patents, please refer to RabMAb® patents.

What are the advantages of a recombinant monoclonal antibody?
This product is a recombinant monoclonal antibody, which offers several advantages including:

  • - High batch-to-batch consistency and reproducibility
  • - Improved sensitivity and specificity
  • - Long-term security of supply
  • - Animal-free batch production

For more information, read more on recombinant antibodies.

Properties and storage information

Form
Liquid
Purification technique
Affinity purification Protein A
Storage buffer
pH: 7.2 Preservative: 0.01% Sodium azide Constituents: PBS, 40% Glycerol (glycerin, glycerine), 0.05% BSA
Shipped at conditions
Blue Ice
Appropriate short-term storage duration
1-2 weeks
Appropriate short-term storage conditions
+4°C
Appropriate long-term storage conditions
-20°C
Aliquoting information
Upon delivery aliquot
Storage information
Avoid freeze / thaw cycle

Supplementary information

This supplementary information is collated from multiple sources and compiled automatically.

The Arc protein also known as Activity-regulated cytoskeleton-associated protein weighs approximately 45 kDa. This protein expresses mainly in the brain specifically in the neurons. It is particularly active in the synaptic regions where it plays a role in synaptic plasticity. The Arc protein belongs to an emerging class of proteins that show similarities with viral proteins. Its structural and functional properties help facilitate the dynamic regulation of synapses and neuronal activity.
Biological function summary

The Arc protein influences synaptic plasticity and memory formation. It does not operate alone; instead it interacts within complexes that regulate synaptic strength. These complexes contain other proteins critical for actin cytoskeleton remodeling which impacts synaptic efficacy. Through these interactions Arc supports the internalization of AMPA receptors playing a role in long-term depression (LTD) and long-term potentiation (LTP) of synapses essential mechanisms for learning and memory.

Pathways

The Arc protein forms integral parts of the synaptic signaling pathways. It connects with the BDNF-TrkB signaling pathway which is important for neuronal development and synaptic modulation. Arc also relates to the mTOR signaling pathway which governs cellular growth and protein synthesis. Through these pathways Arc interacts with proteins like Neuro2a and SynGAP highlighting its comprehensive role in synaptic regulation and plasticity.

Arc protein has a connection to neurological disorders such as Alzheimer's disease and schizophrenia. Researchers found altered Arc expression and function in the brains of affected individuals. These disorders show a link to disrupted synaptic plasticity where Arc plays a significant role. Arc connects to other proteins like Neuro-2a and Caspase-3 in the pathology of these conditions indicating potential targets for therapeutic intervention.

Product protocols

For this product, it's our understanding that no specific protocols are required. You can visit:

Target data

Master regulator of synaptic plasticity that self-assembles into virion-like capsids that encapsulate RNAs and mediate intercellular RNA transfer in the nervous system. ARC protein is released from neurons in extracellular vesicles that mediate the transfer of ARC mRNA into new target cells, where ARC mRNA can undergo activity-dependent translation. ARC capsids are endocytosed and are able to transfer ARC mRNA into the cytoplasm of neurons. Acts as a key regulator of synaptic plasticity : required for protein synthesis-dependent forms of long-term potentiation (LTP) and depression (LTD) and for the formation of long-term memory. Regulates synaptic plasticity by promoting endocytosis of AMPA receptors (AMPARs) in response to synaptic activity : this endocytic pathway maintains levels of surface AMPARs in response to chronic changes in neuronal activity through synaptic scaling, thereby contributing to neuronal homeostasis. Acts as a postsynaptic mediator of activity-dependent synapse elimination in the developing cerebellum by mediating elimination of surplus climbing fiber synapses. Accumulates at weaker synapses, probably to prevent their undesired enhancement. This suggests that ARC-containing virion-like capsids may be required to eliminate synaptic material. Required to transduce experience into long-lasting changes in visual cortex plasticity and for long-term memory (By similarity). Involved in postsynaptic trafficking and processing of amyloid-beta A4 (APP) via interaction with PSEN1 (By similarity). In addition to its role in synapses, also involved in the regulation of the immune system : specifically expressed in skin-migratory dendritic cells and regulates fast dendritic cell migration, thereby regulating T-cell activation (By similarity).
See full target information ARC

Publications (13)

Recent publications for all applications. Explore the full list and refine your search

iScience 28:113085 PubMed40777047

2025

Conditional deletion of TRPC1 channel modulates synaptic plasticity, long term depression, and memory extinction in Fragile X syndrome mice.

Applications

Unspecified application

Species

Unspecified reactive species

Farah Issa,Xavier Yerna,Thibaud Parpaite,Caren Jabbour,Olivier Schakman,Nicolas Tajeddine,Roberta Gualdani,Philippe Gailly

Environmental toxicology 40:1015-1033 PubMed39967322

2025

Maternal Exposure of SD Rats to Benzo[a]Pyrene Impairs Neurobehavior and Hippocampal Synaptic Ultrastructure in Offspring via Downregulating Synaptic-Associated Factors.

Applications

Unspecified application

Species

Unspecified reactive species

Yu Zhang,Yuting Guo,Linhu Du,Junxiu Zhao,Xiaorui Ci,Jinzhu Yin,Qiao Niu,Yiqun Mo,Qunwei Zhang,Jisheng Nie

Zoological research 45:398-414 PubMed38485508

2024

Changes in structural plasticity of hippocampal neurons in an animal model of multiple sclerosis.

Applications

Unspecified application

Species

Unspecified reactive species

Poornima D E Weerasinghe-Mudiyanselage,Sohi Kang,Joong-Sun Kim,Sung-Ho Kim,Hongbing Wang,Taekyun Shin,Changjong Moon

International journal of molecular sciences 24: PubMed37373162

2023

Synaptamide Ameliorates Hippocampal Neurodegeneration and Glial Activation in Mice with Traumatic Brain Injury.

Applications

Unspecified application

Species

Unspecified reactive species

Anna Tyrtyshnaia,Olga Manzhulo,Igor Manzhulo

International journal of molecular sciences 23: PubMed35682760

2022

Deletion of the Autism-Associated Protein SHANK3 Abolishes Structural Synaptic Plasticity after Brain Trauma.

Applications

Unspecified application

Species

Unspecified reactive species

Carolina Urrutia-Ruiz,Daniel Rombach,Silvia Cursano,Susanne Gerlach-Arbeiter,Michael Schoen,Juergen Bockmann,Maria Demestre,Tobias M Boeckers

Cellular and molecular life sciences : CMLS 79:57 PubMed34921637

2021

Synergy of epidermal growth factor (EGFR) and angiotensin II (AT1R) receptor determines composition and temporal pattern of transcriptome variation.

Applications

Unspecified application

Species

Unspecified reactive species

Barbara Schreier,Virginie Dubourg,Stefanie Hübschmann,Sindy Rabe,Sigrid Mildenberger,Michael Gekle

Bioscience reports 41: PubMed33969375

2021

Validation of the functions and prognostic values of synapse-associated proteins in lower-grade glioma.

Applications

Unspecified application

Species

Unspecified reactive species

Han Lin,Yong Yang,Chongxian Hou,Yuqing Huang,Liting Zhou,Jiantao Zheng,Guangzhao Lv,Rui Mao,Shanwei Chen,Peihong Xu,Yujun Zhou,Peng Wang,Dong Zhou

International journal of molecular sciences 21: PubMed33352646

2020

-Docosahexanoylethanolamine Reduces Microglial Activation and Improves Hippocampal Plasticity in a Murine Model of Neuroinflammation.

Applications

Unspecified application

Species

Unspecified reactive species

Anna Tyrtyshnaia,Anatoly Bondar,Sophia Konovalova,Ruslan Sultanov,Igor Manzhulo

Molecular medicine (Cambridge, Mass.) 26:107 PubMed33183243

2020

Electroacupuncture reduces scopolamine-induced amnesia via mediating the miR-210/SIN3A and miR-183/SIN3A signaling pathway.

Applications

Unspecified application

Species

Unspecified reactive species

Fan Ye,Shiming Tian,Huimin Hu,Zhengwen Yu

Brain research bulletin 165:272-280 PubMed33075417

2020

Effects of chronic ethanol consumption on the expression of GLT-1 and neuroplasticity-related proteins in the nucleus accumbens of alcohol-preferring rats.

Applications

Unspecified application

Species

Unspecified reactive species

Hasan Alhaddad,Fawaz Alasmari,Balsam Alhamadani,Woonyen Wong,Richard L Bell,Youssef Sari
View all publications

Product promise

We are committed to supporting your work with high-quality reagents, and we're here for you every step of the way. In the unlikely event that one of our products does not perform as expected, you're protected by our Product Promise.
For full details, please see our Terms & Conditions

Please note: All products are 'FOR RESEARCH USE ONLY. NOT FOR USE IN DIAGNOSTIC OR THERAPEUTIC PROCEDURES'.

For licensing inquiries, please contact partnerships@abcam.com