JavaScript is disabled in your browser. Please enable JavaScript to view this website.
AB224717

Anti-Arc antibody [EPR18950] - BSA and Azide free

Be the first to review this product! Submit a review

|

(2 Publications)

Rabbit Recombinant Monoclonal ARC antibody. Carrier free. Suitable for IHC-P, IP, WB and reacts with Mouse, Rat, Human samples. Cited in 2 publications.

View Alternative Names

KIAA0278, ARC, Activity-regulated cytoskeleton-associated protein, hArc, Activity-regulated gene 3.1 protein homolog, ARC/ARG3.1, Arg3.1

4 Images
Immunohistochemistry (Formalin/PFA-fixed paraffin-embedded sections) - Anti-Arc antibody [EPR18950] - BSA and Azide free (AB224717)
  • IHC-P

Supplier Data

Immunohistochemistry (Formalin/PFA-fixed paraffin-embedded sections) - Anti-Arc antibody [EPR18950] - BSA and Azide free (AB224717)

Immunohistochemical analysis of paraffin-embedded mouse cerebral cortex tissue labeling Arc with ab183183 at 1/100 dilution, followed by Goat Anti-Rabbit IgG H&L (HRP) ready to use. Nuclear staining on neurons of mouse cerebral cortex. Counter stained with Hematoxylin.

Secondary antibody only control : Used PBS instead of primary antibody, secondary antibody is Goat Anti-Rabbit IgG H&L (HRP) ready to use.

This data was developed using the same antibody clone in a different buffer formulation containing PBS, BSA, glycerol, and sodium azide (ab183183).

Perform heat mediated antigen retrieval with citrate buffer pH 6 before commencing with IHC staining protocol.

Immunohistochemistry (Formalin/PFA-fixed paraffin-embedded sections) - Anti-Arc antibody [EPR18950] - BSA and Azide free (AB224717)
  • IHC-P

Supplier Data

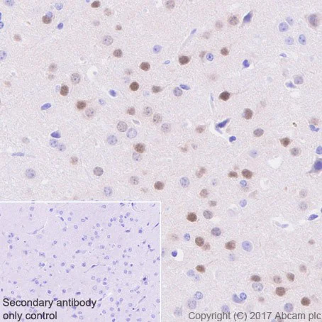
Immunohistochemistry (Formalin/PFA-fixed paraffin-embedded sections) - Anti-Arc antibody [EPR18950] - BSA and Azide free (AB224717)

Immunohistochemical analysis of paraffin-embedded mouse hippocampus tissue labeling Arc with ab183183 at 1/100 dilution, followed by Goat Anti-Rabbit IgG H&L (HRP) ready to use. Sparse nuclear staining (arrows) in the dentate gyrus of mouse hippocampus (PMID : 19750198, PMID : 19628007). Counter stained with Hematoxylin.

Secondary antibody only control : Used PBS instead of primary antibody, secondary antibody is Goat Anti-Rabbit IgG H&L (HRP) ready to use.

This data was developed using the same antibody clone in a different buffer formulation containing PBS, BSA, glycerol, and sodium azide (ab183183).

Perform heat mediated antigen retrieval with citrate buffer pH 6 before commencing with IHC staining protocol.

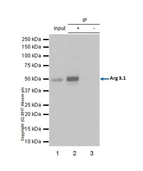
Immunoprecipitation - Anti-Arc antibody [EPR18950] - BSA and Azide free (AB224717)
  • IP

Supplier Data

Immunoprecipitation - Anti-Arc antibody [EPR18950] - BSA and Azide free (AB224717)

Arc was immunoprecipitated from 0.35 mg of mouse brain lysate with ab183183 at 1/30 dilution. Western blot was performed from the immunoprecipitate using ab183183 at 1/500 dilution. VeriBlot for IP Detection Reagent (HRP) (ab131366), was used for detection at 1/1000 dilution.

Lane 1 : Mouse brain lysate 10 μg (Input).

Lane 2 : ab183183 IP in mouse brain lysate.

Lane 3 : Rabbit monoclonal IgG (ab172730) instead of ab183183 in mouse brain lysate.

Exposure time : 1 second

Blocking/dilution buffer : 5% NFDM/TBST.

This data was developed using the same antibody clone in a different buffer formulation containing PBS, BSA, glycerol, and sodium azide (ab183183).

All lanes:

Immunoprecipitation - Anti-Arc antibody [EPR18950] (<a href='/en-us/products/primary-antibodies/arc-antibody-epr18950-ab183183'>ab183183</a>)

Predicted band size: 42 kDa,45 kDa,75 kDa

Observed band size: 42 kDa,45 kDa,75 kDa

false

Western blot - Anti-Arc antibody [EPR18950] - BSA and Azide free (AB224717)
  • WB

Lab

Western blot - Anti-Arc antibody [EPR18950] - BSA and Azide free (AB224717)

False colour image of Western blot : Anti-Arc antibody [EPR18950] staining at 1/500 dilution, shown in green; Mouse anti-GAPDH antibody [6C5] (ab8245) loading control staining at 1/20000 dilution, shown in red. In Western blot, ab183183 was shown to bind specifically to Arc. A band was observed at 45 kDa in wild-type Neuro-2a cell lysates with no signal observed at this size in arc knockout cell line ab280071 (knockout cell lysate ab280130). To generate this image, wild-type and arc knockout Neuro-2a cell lysates were analysed. First, samples were run on an SDS-PAGE gel then transferred onto a nitrocellulose membrane. Membranes were blocked in fluorescent western blot (TBS-based) blocking solution before incubation with primary antibodies overnight at 4 °C. Blots were washed four times in TBS-T, incubated with secondary antibodies for 1 h at room temperature, washed again four times then imaged. Secondary antibodies used were Goat anti-Rabbit IgG H&L (IRDye® 800CW) preabsorbed (ab216773) and Goat anti-Mouse IgG H&L (IRDye® 680RD) preabsorbed (ab216776) at 1/20000 dilution.

This data was developed using the same antibody clone in a different buffer formulation containing PBS, BSA, glycerol, and sodium azide (ab183183).

All lanes:

Western blot - Anti-Arc antibody [EPR18950] (<a href='/en-us/products/primary-antibodies/arc-antibody-epr18950-ab183183'>ab183183</a>) at 1/500 dilution

Lane 1:

Wild-type Neuro-2a cell lysate at 20 µg

Lane 2:

ARC knockout Neuro-2a cell lysate at 20 µg

Lane 2:

Western blot - Mouse ARC knockout Neuro-2a cell line (<a href='/en-us/products/cell-lines/mouse-arc-knockout-neuro-2a-cell-line-ab280071'>ab280071</a>)

Lane 3:

SH-SY5Y cell lysate at 20 µg

Lane 4:

K562 cell lysate at 20 µg

Lane 5:

Mouse Brain cell lysate at 20 µg

Predicted band size: 45 kDa

Observed band size: 45 kDa

false

Key facts

Host species

Rabbit

Clonality

Monoclonal

Clone number

EPR18950

Isotype

IgG

Carrier free

Yes

Reacts with

Mouse, Rat, Human

Applications

IHC-P, WB, IP

applications

Immunogen

The exact immunogen used to generate this antibody is proprietary information.

Reactivity data

{ "title": "Reactivity Data", "filters": { "stats": ["", "Species", "Dilution Info", "Notes"], "tabs": { "all-applications": {"fullname" : "All Applications", "shortname": "All Applications"}, "IHCP" : {"fullname" : "Immunohistochemistry (Formalin/PFA-fixed paraffin-embedded sections)", "shortname":"IHC-P"}, "IP" : {"fullname" : "Immunoprecipitation", "shortname":"IP"}, "WB" : {"fullname" : "Western blot", "shortname":"WB"} }, "product-promise": { "all": "all", "testedAndGuaranteed": "tested", "guaranteed": "expected", "predicted": "predicted", "notRecommended": "not-recommended" } }, "values": { "Human": { "IHCP-species-checked": "guaranteed", "IHCP-species-dilution-info": "", "IHCP-species-notes": "", "IP-species-checked": "guaranteed", "IP-species-dilution-info": "", "IP-species-notes": "", "WB-species-checked": "testedAndGuaranteed", "WB-species-dilution-info": "", "WB-species-notes": "<p></p>" }, "Mouse": { "IHCP-species-checked": "testedAndGuaranteed", "IHCP-species-dilution-info": "", "IHCP-species-notes": "<p></p>", "IP-species-checked": "testedAndGuaranteed", "IP-species-dilution-info": "", "IP-species-notes": "<p></p>", "WB-species-checked": "testedAndGuaranteed", "WB-species-dilution-info": "", "WB-species-notes": "<p></p>" }, "Rat": { "IHCP-species-checked": "guaranteed", "IHCP-species-dilution-info": "", "IHCP-species-notes": "", "IP-species-checked": "guaranteed", "IP-species-dilution-info": "", "IP-species-notes": "", "WB-species-checked": "testedAndGuaranteed", "WB-species-dilution-info": "1/1000", "WB-species-notes": "<p></p>" } } }

Product details

ab224717 is the carrier-free version of ab183183.

Patented technology
Our RabMAb® technology is a patented hybridoma-based technology for making rabbit monoclonal antibodies. For details on our patents, please refer to RabMAb® patents.

Conjugation ready
Our carrier-free antibodies are typically supplied in a PBS-only formulation, purified and free of BSA, sodium azide and glycerol. This conjugation-ready format is designed for use with fluorochromes, metal isotopes, oligonucleotides, and enzymes, which makes them ideal for antibody labelling, functional and cell-based assays, flow-based assays (e.g. mass cytometry) and Multiplex Imaging applications.

Use our conjugation kits for antibody conjugates that are ready-to-use in as little as 20 minutes with 1 minute hands-on-time and 100% antibody recovery: available for fluorescent dyes, HRP, biotin and gold.

Compatibility
This product is compatible with the Maxpar® Antibody Labeling Kit from Fluidigm, without the need for antibody preparation. Maxpar® is a trademark of Fluidigm Canada Inc.

Properties and storage information

Form
Liquid
Purification technique
Affinity purification Protein A
Storage buffer
pH: 7.2 - 7.4 Constituents: PBS
Shipped at conditions
Blue Ice
Appropriate short-term storage conditions
+4°C
Appropriate long-term storage conditions
+4°C
Storage information
Do Not Freeze

Supplementary information

This supplementary information is collated from multiple sources and compiled automatically.

The Arc protein also known as Activity-regulated cytoskeleton-associated protein weighs approximately 45 kDa. This protein expresses mainly in the brain specifically in the neurons. It is particularly active in the synaptic regions where it plays a role in synaptic plasticity. The Arc protein belongs to an emerging class of proteins that show similarities with viral proteins. Its structural and functional properties help facilitate the dynamic regulation of synapses and neuronal activity.
Biological function summary

The Arc protein influences synaptic plasticity and memory formation. It does not operate alone; instead it interacts within complexes that regulate synaptic strength. These complexes contain other proteins critical for actin cytoskeleton remodeling which impacts synaptic efficacy. Through these interactions Arc supports the internalization of AMPA receptors playing a role in long-term depression (LTD) and long-term potentiation (LTP) of synapses essential mechanisms for learning and memory.

Pathways

The Arc protein forms integral parts of the synaptic signaling pathways. It connects with the BDNF-TrkB signaling pathway which is important for neuronal development and synaptic modulation. Arc also relates to the mTOR signaling pathway which governs cellular growth and protein synthesis. Through these pathways Arc interacts with proteins like Neuro2a and SynGAP highlighting its comprehensive role in synaptic regulation and plasticity.

Arc protein has a connection to neurological disorders such as Alzheimer's disease and schizophrenia. Researchers found altered Arc expression and function in the brains of affected individuals. These disorders show a link to disrupted synaptic plasticity where Arc plays a significant role. Arc connects to other proteins like Neuro-2a and Caspase-3 in the pathology of these conditions indicating potential targets for therapeutic intervention.

Product protocols

For this product, it's our understanding that no specific protocols are required. You can visit:

Target data

Master regulator of synaptic plasticity that self-assembles into virion-like capsids that encapsulate RNAs and mediate intercellular RNA transfer in the nervous system. ARC protein is released from neurons in extracellular vesicles that mediate the transfer of ARC mRNA into new target cells, where ARC mRNA can undergo activity-dependent translation. ARC capsids are endocytosed and are able to transfer ARC mRNA into the cytoplasm of neurons. Acts as a key regulator of synaptic plasticity : required for protein synthesis-dependent forms of long-term potentiation (LTP) and depression (LTD) and for the formation of long-term memory. Regulates synaptic plasticity by promoting endocytosis of AMPA receptors (AMPARs) in response to synaptic activity : this endocytic pathway maintains levels of surface AMPARs in response to chronic changes in neuronal activity through synaptic scaling, thereby contributing to neuronal homeostasis. Acts as a postsynaptic mediator of activity-dependent synapse elimination in the developing cerebellum by mediating elimination of surplus climbing fiber synapses. Accumulates at weaker synapses, probably to prevent their undesired enhancement. This suggests that ARC-containing virion-like capsids may be required to eliminate synaptic material. Required to transduce experience into long-lasting changes in visual cortex plasticity and for long-term memory (By similarity). Involved in postsynaptic trafficking and processing of amyloid-beta A4 (APP) via interaction with PSEN1 (By similarity). In addition to its role in synapses, also involved in the regulation of the immune system : specifically expressed in skin-migratory dendritic cells and regulates fast dendritic cell migration, thereby regulating T-cell activation (By similarity).
See full target information ARC

Publications (2)

Recent publications for all applications. Explore the full list and refine your search

Nephrology, dialysis, transplantation : official publication of the European Dialysis and Transplant Association - European Renal Association 39:1624-1641 PubMed38402460

2024

IgA nephropathy: gut microbiome regulates the production of hypoglycosilated IgA1 via the TLR4 signaling pathway.

Applications

Unspecified application

Species

Unspecified reactive species

Yifan Zhu,Haidong He,Weiqian Sun,Jiajun Wu,Yong Xiao,Yinshun Peng,Ping Hu,Meiping Jin,Ping Liu,DongLiang Zhang,Ting Xie,Lusheng Huang,Weiming He,Minggang Wei,Lishun Wang,Xudong Xu,Yuyan Tang

Journal of pain research 13:345-354 PubMed32104056

2020

Neuropathic Pain Causes Memory Deficits and Dendrite Tree Morphology Changes in Mouse Hippocampus.

Applications

Unspecified application

Species

Unspecified reactive species

Anna Tyrtyshnaia,Igor Manzhulo
View all publications

Product promise

We are committed to supporting your work with high-quality reagents, and we're here for you every step of the way. In the unlikely event that one of our products does not perform as expected, you're protected by our Product Promise.
For full details, please see our Terms & Conditions

Please note: All products are 'FOR RESEARCH USE ONLY. NOT FOR USE IN DIAGNOSTIC OR THERAPEUTIC PROCEDURES'.

For licensing inquiries, please contact partnerships@abcam.com