JavaScript is disabled in your browser. Please enable JavaScript to view this website.
AB248649

Anti-ARF GAP 2 antibody [EPR8497] - BSA and Azide free

Be the first to review this product! Submit a review

|

(1 Publication)

Rabbit Recombinant Monoclonal ARF GAP 2 antibody. Carrier free. Suitable for IHC-P, WB and reacts with Human samples. Cited in 1 publication.

View Alternative Names

ZNF289, Nbla10535, ARFGAP2, ADP-ribosylation factor GTPase-activating protein 2, ARF GAP 2, GTPase-activating protein ZNF289, Zinc finger protein 289

4 Images
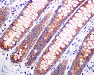
Immunohistochemistry (Formalin/PFA-fixed paraffin-embedded sections) - Anti-ARF GAP 2 antibody [EPR8497] - BSA and Azide free (AB248649)
  • IHC-P

Unknown

Immunohistochemistry (Formalin/PFA-fixed paraffin-embedded sections) - Anti-ARF GAP 2 antibody [EPR8497] - BSA and Azide free (AB248649)

This data was developed using ab133768, the same antibody clone in a different buffer formulation.

Immunohistochemical analysis of paraffin-embedded Human colon tissue labelling ARF GAP 2 with ab133768 at 1/50 dilution.

Perform heat mediated antigen retrieval with citrate buffer pH 6 before commencing with IHC staining protocol.

Western blot - Anti-ARF GAP 2 antibody [EPR8497] - BSA and Azide free (AB248649)
  • WB

Unknown

Western blot - Anti-ARF GAP 2 antibody [EPR8497] - BSA and Azide free (AB248649)

This data was developed using ab133768, the same antibody clone in a different buffer formulation.

All lanes:

Western blot - Anti-ARF GAP 2 antibody [EPR8497] (<a href='/en-us/products/primary-antibodies/arf-gap-2-antibody-epr8497-ab133768'>ab133768</a>) at 1/1000 dilution

Lane 1:

Human fetal liver tissue lysate at 10 µg

Lane 2:

Human skeletal muscle tissue lysate at 10 µg

Lane 3:

HepG2 cell lysate at 10 µg

Lane 4:

Human fetal heart tissue lysate at 10 µg

Lane 5:

HeLa cell lysate at 10 µg

Secondary

All lanes:

HRP labelled Goat anti Rabbit IgG at 1/2000 dilution

Predicted band size: 56 kDa

false

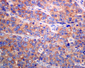
Immunohistochemistry (Formalin/PFA-fixed paraffin-embedded sections) - Anti-ARF GAP 2 antibody [EPR8497] - BSA and Azide free (AB248649)
  • IHC-P

Unknown

Immunohistochemistry (Formalin/PFA-fixed paraffin-embedded sections) - Anti-ARF GAP 2 antibody [EPR8497] - BSA and Azide free (AB248649)

This data was developed using ab133768, the same antibody clone in a different buffer formulation.

Immunohistochemical analysis of paraffin-embedded Human breast carcinoma tissue labelling ARF GAP 2 with ab133768 at 1/50 dilution.

Perform heat mediated antigen retrieval with citrate buffer pH 6 before commencing with IHC staining protocol.

OI-RD Scanning - Anti-ARF GAP 2 antibody [EPR8497] - BSA and Azide free (AB248649)
  • OI-RD Scanning

Unknown

OI-RD Scanning - Anti-ARF GAP 2 antibody [EPR8497] - BSA and Azide free (AB248649)

We have systematically measured KD (the equilibrium dissociation constant between the antibody and its antigen), of more than 840 recombinant antibodies to assess not only their individual KD values but also to see the average affinity of antibody. Based on the comparison with published literature values for mouse monoclonal antibodies, Recombinant antibodies appear to be on average 1-2 order of magnitude higher affinity.

Key facts

Host species

Rabbit

Clonality

Monoclonal

Clone number

EPR8497

Isotype

IgG

Carrier free

Yes

Reacts with

Human

Applications

IHC-P, WB

applications

Immunogen

The exact immunogen used to generate this antibody is proprietary information.

Reactivity data

{ "title": "Reactivity Data", "filters": { "stats": ["", "Species", "Dilution Info", "Notes"], "tabs": { "all-applications": {"fullname" : "All Applications", "shortname": "All Applications"}, "IHCP" : {"fullname" : "Immunohistochemistry (Formalin/PFA-fixed paraffin-embedded sections)", "shortname":"IHC-P"}, "IP" : {"fullname" : "Immunoprecipitation", "shortname":"IP"}, "WB" : {"fullname" : "Western blot", "shortname":"WB"} }, "product-promise": { "all": "all", "testedAndGuaranteed": "tested", "guaranteed": "expected", "predicted": "predicted", "notRecommended": "not-recommended" } }, "values": { "Human": { "IHCP-species-checked": "testedAndGuaranteed", "IHCP-species-dilution-info": "", "IHCP-species-notes": "<p></p>", "IP-species-checked": "notRecommended", "IP-species-dilution-info": "", "IP-species-notes": "<p></p>", "WB-species-checked": "testedAndGuaranteed", "WB-species-dilution-info": "", "WB-species-notes": "<p></p>" }, "Mouse": { "IHCP-species-checked": "predicted", "IHCP-species-dilution-info": "", "IHCP-species-notes": "", "IP-species-checked": "notRecommended", "IP-species-dilution-info": "", "IP-species-notes": "", "WB-species-checked": "predicted", "WB-species-dilution-info": "", "WB-species-notes": "" }, "Rat": { "IHCP-species-checked": "predicted", "IHCP-species-dilution-info": "", "IHCP-species-notes": "", "IP-species-checked": "notRecommended", "IP-species-dilution-info": "", "IP-species-notes": "", "WB-species-checked": "predicted", "WB-species-dilution-info": "", "WB-species-notes": "" } } }

Product details

ab248649 is the carrier-free version of ab133768.

Patented technology
Our RabMAb® technology is a patented hybridoma-based technology for making rabbit monoclonal antibodies. For details on our patents, please refer to RabMAb® patents.

What are the advantages of a recombinant monoclonal antibody?
This product is a recombinant monoclonal antibody, which offers several advantages including:

  • - High batch-to-batch consistency and reproducibility
  • - Improved sensitivity and specificity
  • - Long-term security of supply
  • - Animal-free batch production

For more information, read more on recombinant antibodies.

Conjugation ready
Our carrier-free antibodies are typically supplied in a PBS-only formulation, purified and free of BSA, sodium azide and glycerol. This conjugation-ready format is designed for use with fluorochromes, metal isotopes, oligonucleotides, and enzymes, which makes them ideal for antibody labelling, functional and cell-based assays, flow-based assays (e.g. mass cytometry) and Multiplex Imaging applications.

Use our conjugation kits for antibody conjugates that are ready-to-use in as little as 20 minutes with 1 minute hands-on-time and 100% antibody recovery: available for fluorescent dyes, HRP, biotin and gold.

Compatibility
This product is compatible with the Maxpar® Antibody Labeling Kit from Fluidigm, without the need for antibody preparation. Maxpar® is a trademark of Fluidigm Canada Inc.

Properties and storage information

Form
Liquid
Purification technique
Affinity purification Protein A
Storage buffer
pH: 7.2 - 7.4 Constituents: PBS
Shipped at conditions
Blue Ice
Appropriate short-term storage conditions
+4°C
Appropriate long-term storage conditions
+4°C
Storage information
Do Not Freeze

Supplementary information

This supplementary information is collated from multiple sources and compiled automatically.

ARF GAP 2 also known as ADP-ribosylation factor GTPase-activating protein 2 acts as a GAP protein that enhances the intrinsic GTPase activity of ARF proteins. This action helps modulate the ARF proteins' ability to switch between active and inactive forms which plays a role in their regulatory functions. ARF GAP 2 possesses a molecular weight of approximately 48 kDa and shows expression in various tissues particularly in brain heart and skeletal muscle tissues.
Biological function summary

ARF GAP 2 participates in the processes controlling vesicular trafficking and cytoskeletal dynamics. It interacts within a complex that manages the assembly and disassembly of actin structures which are important for cellular movement and shape changes. By influencing the ARF proteins it contributes to membrane trafficking and protein sorting essential for maintaining cellular organization and function.

Pathways

ARF GAP 2 integrates into the Arf-related signaling route and the endocytic pathway. Its regulatory role ties closely with the ARF6 protein another small GTPase that influences endocytosis and actin reorganization. Through its interaction in these pathways ARF GAP 2 assists in the coordination of membrane compartmentalization and dynamic changes.

ARF GAP 2 has associations with neurological and cardiovascular conditions. Its role in regulating actin structures and vesicular trafficking implicates it in disease pathways connected to protein mistrafficking and cellular dysfunction. In Alzheimer’s disease interactions with Tau protein point to a possible contribution in neurodegeneration. Similarly in cardiovascular disease its relationship with ARF6 suggests involvement in endothelial dysfunction and aortic aneurysm formation.

Product protocols

For this product, it's our understanding that no specific protocols are required. You can visit:

Target data

GTPase-activating protein (GAP) for ADP ribosylation factor 1 (ARF1). Implicated in coatomer-mediated protein transport between the Golgi complex and the endoplasmic reticulum. Hydrolysis of ARF1-bound GTP may lead to dissociation of coatomer from Golgi-derived membranes to allow fusion with target membranes.
See full target information ARFGAP2

Publications (1)

Recent publications for all applications. Explore the full list and refine your search

Immunity, inflammation and disease 10:e727 PubMed36301031

2022

Forkhead box M1 recruits FoxP3 Treg cells to induce immune escape in hilar cholangiocarcinoma.

Applications

Unspecified application

Species

Unspecified reactive species

Kai Ma,Zhaowei Sun,Xueliang Li,Jingyun Guo,Qinlei Wang,Mujian Teng
View all publications

Product promise

We are committed to supporting your work with high-quality reagents, and we're here for you every step of the way. In the unlikely event that one of our products does not perform as expected, you're protected by our Product Promise.
For full details, please see our Terms & Conditions

Please note: All products are 'FOR RESEARCH USE ONLY. NOT FOR USE IN DIAGNOSTIC OR THERAPEUTIC PROCEDURES'.

For licensing inquiries, please contact partnerships@abcam.com