JavaScript is disabled in your browser. Please enable JavaScript to view this website.
AB322396

Anti-ARF1+ARF3+ARF4+ARF6 antibody [RM1272]

Be the first to review this product! Submit a review

|

(0 Publication)

Rabbit Recombinant Multiclonal ARF1 antibody. Suitable for WB and reacts with Transfected cell lysate - Human, Human samples.

View Alternative Names

ADP-ribosylation factor 1, ARF1

3 Images
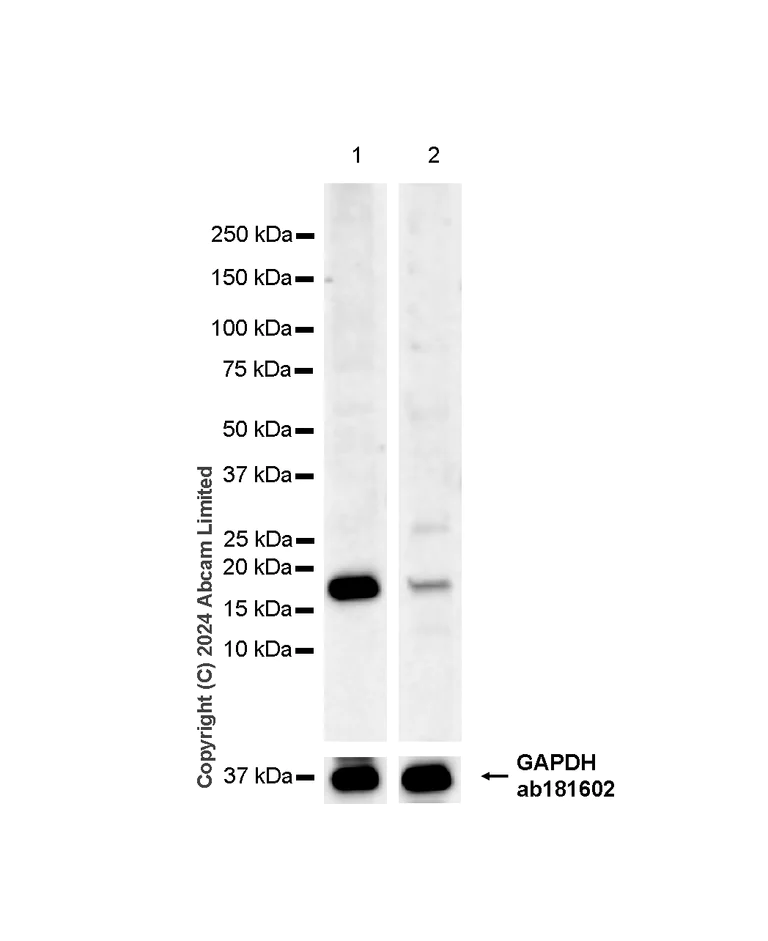
Western blot - Anti-ARF1+ARF3+ARF4+ARF6 antibody [RM1272] (AB322396)
  • WB

Supplier Data

Western blot - Anti-ARF1+ARF3+ARF4+ARF6 antibody [RM1272] (AB322396)

Blocking and diluting buffer and concentration : 5% NFDM/TBST.

Low expression : heart (PMID : 8702973).

In Western blot, Anti-GAPDH antibody [EPR16891] - Loading Control (ab181602) staining at 1/200000 dilution.

All lanes:

Western blot - Anti-ARF1+ARF3+ARF4+ARF6 antibody [RM1272] (ab322396) at 1/1000 dilution

Lane 1:

Human kidney tissue lysate at 20 µg

Lane 2:

Human heart tissue lysate at 20 µg

Secondary

All lanes:

Western blot - Goat Anti-Rabbit IgG H&L (HRP) (<a href='/en-us/products/secondary-antibodies/goat-rabbit-igg-h-l-hrp-ab97051'>ab97051</a>) at 1/100000 dilution

Observed band size: 18 kDa,36 kDa

false

Exposure time: 180s

Western blot - Anti-ARF1+ARF3+ARF4+ARF6 antibody [RM1272] (AB322396)
  • WB

Supplier Data

Western blot - Anti-ARF1+ARF3+ARF4+ARF6 antibody [RM1272] (AB322396)

Blocking and diluting buffer and concentration : 5% NFDM/TBST.

Low expression : skeletal muscle (PMID : 8702973).

In Western blot, Anti-GAPDH antibody [EPR16891] - Loading Control (ab181602) staining at 1/200000 dilution.

All lanes:

Western blot - Anti-ARF1+ARF3+ARF4+ARF6 antibody [RM1272] (ab322396) at 1/1000 dilution

Lane 1:

MCF7 (human breast adenocarcinoma epithelial cell) whole cell lysate at 20 µg

Lane 2:

SiHa (human cervical epithelial cell) whole cell lysate at 20 µg

Lane 3:

T-47D (human ductal breast epithelial tumor epithelial cell) whole cell lysate at 20 µg

Lane 4:

HT-29 (human colorectal adenocarcinoma epithelial cell) whole cell lysate at 20 µg

Lane 5:

HepG2 (human hepatocellular carcinoma epithelial cell) whole cell lysate at 20 µg

Lane 6:

K-562 (human chronic myelogenous leukemia lymphoblast) whole cell lysate at 20 µg

Lane 7:

HeLa (human cervical adenocarcinoma epithelial cell) whole cell lysate at 20 µg

Lane 8:

Human skeletal muscle tissue lysate at 20 µg

Lane 9:

Human liver tissue lysate at 20 µg

Secondary

All lanes:

Western blot - Goat Anti-Rabbit IgG H&L (HRP) (<a href='/en-us/products/secondary-antibodies/goat-rabbit-igg-h-l-hrp-ab97051'>ab97051</a>) at 1/100000 dilution

Observed band size: 18 kDa,36 kDa

false

Exposure time: 59s

Western blot - Anti-ARF1+ARF3+ARF4+ARF6 antibody [RM1272] (AB322396)
  • WB

Supplier Data

Western blot - Anti-ARF1+ARF3+ARF4+ARF6 antibody [RM1272] (AB322396)

Blocking and diluting buffer and concentration : 5% NFDM/TBST.

ab322396 reacts with human ARF1/3/4/6.

In Western blot, Anti-GAPDH antibody [EPR16891] - Loading Control (ab181602) staining at 1/200000 dilution.

In Western blot, Anti-6X His tag® antibody [EPR20547] - ChIP Grade (ab213204) staining at 1/5000 dilution.

All lanes:

Western blot - Anti-ARF1+ARF3+ARF4+ARF6 antibody [RM1272] (ab322396) at 1/5000 dilution

Lane 1:

NIH/3T3 (mouse embryonic fibroblast) transfected with an empty vector containing a His tag, whole cell lysate at 20 µg

Lane 2:

NIH/3T3 transfected with a human ARF4 expression vector containing a His tag, whole cell lysate at 20 µg

Lane 3:

NIH/3T3 transfected with a human ARF6 expression vector containing a His tag, whole cell lysate at 20 µg

Lane 4:

NIH/3T3 transfected with a human ARF3 expression vector containing a His tag, whole cell lysate at 20 µg

Lane 5:

NIH/3T3 transfected with a human ARF1 expression vector containing a His tag, whole cell lysate at 20 µg

Secondary

All lanes:

Western blot - Goat Anti-Rabbit IgG H&L (HRP) (<a href='/en-us/products/secondary-antibodies/goat-rabbit-igg-h-l-hrp-ab97051'>ab97051</a>) at 1/100000 dilution

Observed band size: 20 kDa,36 kDa

false

Exposure time: 37s

Key facts

Host species

Rabbit

Clonality

Multiclonal

Clone number

RM1272

Isotype

IgG

Carrier free

No

Reacts with

Human

Applications

WB

applications

Immunogen

This product was produced with the following immunogens:

The exact immunogen used to generate this antibody is proprietary information.

The exact immunogen used to generate this antibody is proprietary information.

Reactivity data

{ "title": "Reactivity Data", "filters": { "stats": ["", "Species", "Dilution Info", "Notes"], "tabs": { "all-applications": {"fullname" : "All Applications", "shortname": "All Applications"}, "WB" : {"fullname" : "Western blot", "shortname":"WB"}, "ICCIF" : {"fullname" : "Immunocytochemistry/ Immunofluorescence", "shortname":"ICC/IF"}, "IHCP" : {"fullname" : "Immunohistochemistry (Formalin/PFA-fixed paraffin-embedded sections)", "shortname":"IHC-P"} }, "product-promise": { "all": "all", "testedAndGuaranteed": "tested", "guaranteed": "expected", "predicted": "predicted", "notRecommended": "not-recommended" } }, "values": { "Human": { "WB-species-checked": "testedAndGuaranteed", "WB-species-dilution-info": "1/1000", "WB-species-notes": "<p></p>", "ICCIF-species-checked": "notRecommended", "ICCIF-species-dilution-info": "", "ICCIF-species-notes": "<p></p>", "IHCP-species-checked": "notRecommended", "IHCP-species-dilution-info": "", "IHCP-species-notes": "<p></p>" }, "Transfected cell lysate - Human": { "WB-species-checked": "testedAndGuaranteed", "WB-species-dilution-info": "1/5000", "WB-species-notes": "<p></p>", "ICCIF-species-checked": "notRecommended", "ICCIF-species-dilution-info": "", "ICCIF-species-notes": "", "IHCP-species-checked": "notRecommended", "IHCP-species-dilution-info": "", "IHCP-species-notes": "" } } }

Product details

What are recombinant multiclonals?
Recombinant multiclonals are a mixture of recombinant antibodies co-expressed from a library of heavy and light chains. They offer several advantages including:

  • - The sensitivity of polyclonal antibodies by recognising multiple epitopes
  • - High batch-to-batch consistency and reproducibility
  • - Improved sensitivity and specificity
  • - Long-term security of supply
  • - Animal-free batch production

View our range of recombinant multiclonal antibodies.

Patented technology
Our RabMAb® technology is a patented hybridoma-based technology for making rabbit monoclonal antibodies. For details on our patents, please refer to RabMAb® patents.

Properties and storage information

Form
Liquid
Purification technique
Affinity purification Protein A
Storage buffer
pH: 7.2 - 7.4 Preservative: 0.01% Sodium azide Constituents: PBS, 40% Glycerol (glycerin, glycerine), 0.05% BSA
Shipped at conditions
Blue Ice
Appropriate short-term storage duration
1-2 weeks
Appropriate short-term storage conditions
+4°C
Appropriate long-term storage conditions
-20°C
Aliquoting information
Upon delivery aliquot
Storage information
Avoid freeze / thaw cycle

Product protocols

For this product, it's our understanding that no specific protocols are required. You can visit:

Target data

Small GTPase involved in protein trafficking between different compartments (PubMed : 8253837). Modulates vesicle budding and uncoating within the Golgi complex (PubMed : 8253837). In its GTP-bound form, triggers the recruitment of coatomer proteins to the Golgi membrane (PubMed : 8253837). The hydrolysis of ARF1-bound GTP, which is mediated by ARFGAPs proteins, is required for dissociation of coat proteins from Golgi membranes and vesicles (PubMed : 8253837). The GTP-bound form interacts with PICK1 to limit PICK1-mediated inhibition of Arp2/3 complex activity; the function is linked to AMPA receptor (AMPAR) trafficking, regulation of synaptic plasticity of excitatory synapses and spine shrinkage during long-term depression (LTD) (By similarity). Plays a key role in the regulation of intestinal stem cells and gut microbiota, and is essential for maintaining intestinal homeostasis (By similarity). Plays also a critical role in mast cell expansion but not in mast cell maturation by facilitating optimal mTORC1 activation (By similarity).. (Microbial infection) Functions as an allosteric activator of the cholera toxin catalytic subunit, an ADP-ribosyltransferase.
See full target information ARF1

Additional targets

ADP-ribosylation factor 3,ARF4,ADP-ribosylation factor 6

Product promise

We are committed to supporting your work with high-quality reagents, and we're here for you every step of the way. In the unlikely event that one of our products does not perform as expected, you're protected by our Product Promise.
For full details, please see our Terms & Conditions

Please note: All products are 'FOR RESEARCH USE ONLY. NOT FOR USE IN DIAGNOSTIC OR THERAPEUTIC PROCEDURES'.

For licensing inquiries, please contact partnerships@abcam.com