JavaScript is disabled in your browser. Please enable JavaScript to view this website.
AB171746

Anti-ARF4 antibody [EPR12133(B)]

Be the first to review this product! Submit a review

|

(7 Publications)

Rabbit Recombinant Monoclonal ARF4 antibody. Suitable for IHC-P, IP, WB, ICC/IF, Flow Cyt (Intra) and reacts with Human samples. Cited in 7 publications.

View Alternative Names

ARF2, ARF4, ADP-ribosylation factor 4

6 Images
Immunocytochemistry/ Immunofluorescence - Anti-ARF4 antibody [EPR12133(B)] (AB171746)
  • ICC/IF

Supplier Data

Immunocytochemistry/ Immunofluorescence - Anti-ARF4 antibody [EPR12133(B)] (AB171746)

Immunofluorescence analysis of HepG2 cells labeling ARF4 using ab171746 at 1/100 dilution (green). DAPI nuclear staining (blue).

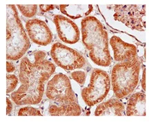
Immunohistochemistry (Formalin/PFA-fixed paraffin-embedded sections) - Anti-ARF4 antibody [EPR12133(B)] (AB171746)
  • IHC-P

Supplier Data

Immunohistochemistry (Formalin/PFA-fixed paraffin-embedded sections) - Anti-ARF4 antibody [EPR12133(B)] (AB171746)

Immunohistochemistry of paraffin-embedded Human kidney tissue labeling ARF4 using ab171746 at 1/100 dilution.

Perform heat mediated antigen retrieval with citrate buffer pH 6 before commencing with IHC staining protocol.

Flow Cytometry (Intracellular) - Anti-ARF4 antibody [EPR12133(B)] (AB171746)
  • Flow Cyt (Intra)

Supplier Data

Flow Cytometry (Intracellular) - Anti-ARF4 antibody [EPR12133(B)] (AB171746)

Intracellular flow cytometric analysis of permeabilized K562 cells labeling ARF4 using ab171746 (red)at 1/10 dilution,or a rabbit IgG (negative) (green).

Immunohistochemistry (Formalin/PFA-fixed paraffin-embedded sections) - Anti-ARF4 antibody [EPR12133(B)] (AB171746)
  • IHC-P

Supplier Data

Immunohistochemistry (Formalin/PFA-fixed paraffin-embedded sections) - Anti-ARF4 antibody [EPR12133(B)] (AB171746)

Immunohistochemistry of paraffin-embedded Human testis tissue labeling ARF4 using ab171746 at 1/100 dilution.

Perform heat mediated antigen retrieval with citrate buffer pH 6 before commencing with IHC staining protocol.

Immunoprecipitation - Anti-ARF4 antibody [EPR12133(B)] (AB171746)
  • IP

Supplier Data

Immunoprecipitation - Anti-ARF4 antibody [EPR12133(B)] (AB171746)

Western blot analysis on immunoprecipitation pellet from (Lane 1) HepG2 cell lysate or (Lane 2) 1X PBS (negative control) using ab171746 at 1/10 dilution, and HRP-conjugated anti-rabbit IgG preferentially detecting the non-reduced form of rabbit IgG.

All lanes:

Immunoprecipitation - Anti-ARF4 antibody [EPR12133(B)] (ab171746)

Predicted band size: 21 kDa

false

Western blot - Anti-ARF4 antibody [EPR12133(B)] (AB171746)
  • WB

Supplier Data

Western blot - Anti-ARF4 antibody [EPR12133(B)] (AB171746)

All lanes:

Western blot - Anti-ARF4 antibody [EPR12133(B)] (ab171746) at 1/10000 dilution

Lane 1:

HT-29 cell lysate at 10 µg

Lane 2:

HepG2 cell lysate at 10 µg

Lane 3:

K562 cell lysate at 10 µg

Lane 4:

HeLa cell lysate at 10 µg

Predicted band size: 21 kDa

false

Key facts

Host species

Rabbit

Clonality

Monoclonal

Clone number

EPR12133(B)

Isotype

IgG

Carrier free

No

Reacts with

Human

Applications

IHC-P, IP, Flow Cyt (Intra), ICC/IF, WB

applications

Immunogen

The exact immunogen used to generate this antibody is proprietary information.

Specificity

May cross react with family members, immunogen has 86% homology with ARF5

Reactivity data

{ "title": "Reactivity Data", "filters": { "stats": ["", "Species", "Dilution Info", "Notes"], "tabs": { "all-applications": {"fullname" : "All Applications", "shortname": "All Applications"}, "IHCP" : {"fullname" : "Immunohistochemistry (Formalin/PFA-fixed paraffin-embedded sections)", "shortname":"IHC-P"}, "IP" : {"fullname" : "Immunoprecipitation", "shortname":"IP"}, "WB" : {"fullname" : "Western blot", "shortname":"WB"}, "ICCIF" : {"fullname" : "Immunocytochemistry/ Immunofluorescence", "shortname":"ICC/IF"}, "FlowCytIntra" : {"fullname" : "Flow Cytometry (Intracellular)", "shortname":"Flow Cyt (Intra)"} }, "product-promise": { "all": "all", "testedAndGuaranteed": "tested", "guaranteed": "expected", "predicted": "predicted", "notRecommended": "not-recommended" } }, "values": { "Human": { "IHCP-species-checked": "testedAndGuaranteed", "IHCP-species-dilution-info": "1/100 - 1/250", "IHCP-species-notes": "<p></p>", "IP-species-checked": "testedAndGuaranteed", "IP-species-dilution-info": "1/10 - 1/100", "IP-species-notes": "<p></p>", "WB-species-checked": "testedAndGuaranteed", "WB-species-dilution-info": "1/10000 - 1/50000", "WB-species-notes": "<p></p>", "ICCIF-species-checked": "testedAndGuaranteed", "ICCIF-species-dilution-info": "1/100 - 1/250", "ICCIF-species-notes": "<p></p>", "FlowCytIntra-species-checked": "testedAndGuaranteed", "FlowCytIntra-species-dilution-info": "1/10 - 1/100", "FlowCytIntra-species-notes": "<p><a href='/en-us/products/primary-antibodies/rabbit-igg-monoclonal-epr25a-isotype-control-ab172730'>ab172730</a> - Rabbit monoclonal IgG, is suitable for use as an isotype control with this antibody.</p>" }, "Mouse": { "IHCP-species-checked": "notRecommended", "IHCP-species-dilution-info": "1/100 - 1/250", "IHCP-species-notes": "<p></p>", "IP-species-checked": "notRecommended", "IP-species-dilution-info": "1/10 - 1/100", "IP-species-notes": "<p></p>", "WB-species-checked": "notRecommended", "WB-species-dilution-info": "1/10000 - 1/50000", "WB-species-notes": "<p></p>", "ICCIF-species-checked": "notRecommended", "ICCIF-species-dilution-info": "1/100 - 1/250", "ICCIF-species-notes": "<p></p>", "FlowCytIntra-species-checked": "notRecommended", "FlowCytIntra-species-dilution-info": "1/10 - 1/100", "FlowCytIntra-species-notes": "<p><a href='/en-us/products/primary-antibodies/rabbit-igg-monoclonal-epr25a-isotype-control-ab172730'>ab172730</a> - Rabbit monoclonal IgG, is suitable for use as an isotype control with this antibody.</p>" }, "Rat": { "IHCP-species-checked": "notRecommended", "IHCP-species-dilution-info": "1/100 - 1/250", "IHCP-species-notes": "<p></p>", "IP-species-checked": "notRecommended", "IP-species-dilution-info": "1/10 - 1/100", "IP-species-notes": "<p></p>", "WB-species-checked": "notRecommended", "WB-species-dilution-info": "1/10000 - 1/50000", "WB-species-notes": "<p></p>", "ICCIF-species-checked": "notRecommended", "ICCIF-species-dilution-info": "1/100 - 1/250", "ICCIF-species-notes": "<p></p>", "FlowCytIntra-species-checked": "notRecommended", "FlowCytIntra-species-dilution-info": "1/10 - 1/100", "FlowCytIntra-species-notes": "<p><a href='/en-us/products/primary-antibodies/rabbit-igg-monoclonal-epr25a-isotype-control-ab172730'>ab172730</a> - Rabbit monoclonal IgG, is suitable for use as an isotype control with this antibody.</p>" } } }

Product details

Patented technology
Our RabMAb® technology is a patented hybridoma-based technology for making rabbit monoclonal antibodies. For details on our patents, please refer to RabMAb® patents.

What are the advantages of a recombinant monoclonal antibody?
This product is a recombinant monoclonal antibody, which offers several advantages including:

  • - High batch-to-batch consistency and reproducibility
  • - Improved sensitivity and specificity
  • - Long-term security of supply
  • - Animal-free batch production

For more information, read more on recombinant antibodies.

Properties and storage information

Form
Liquid
Purity
Tissue culture supernatant
Storage buffer
pH: 7.2 - 7.4 Preservative: 0.01% Sodium azide Constituents: PBS, 50% Tissue culture supernatant, 40% Glycerol (glycerin, glycerine), 0.05% BSA
Shipped at conditions
Blue Ice
Appropriate short-term storage duration
1-2 weeks
Appropriate short-term storage conditions
+4°C
Appropriate long-term storage conditions
-20°C
Aliquoting information
Upon delivery aliquot
Storage information
Avoid freeze / thaw cycle

Supplementary information

This supplementary information is collated from multiple sources and compiled automatically.

ADP-ribosylation factor 4 (ARF4) is a member of the ARF family of GTP-binding proteins also known as small GTPases. It has an approximate molecular mass of 21 kDa. ARF4 is expressed in various tissues including the liver kidney and pancreas. Mechanically ARF4 cycles between an active GTP-bound state and an inactive GDP-bound state. This cycling is important for regulating vesicle trafficking and membrane dynamics within cells.
Biological function summary

This protein plays a significant role in vesicular transport processes particularly in the Golgi apparatus. ARF4 forms part of protein complexes involved in trafficking between different organelles. It interacts with coat protein complex I (COPI) and clathrin-coated vesicles which help in cargo selection and budding process of vesicles. These interactions facilitate the movement of proteins and lipids within cells.

Pathways

The protein ARF4 integrates into the vesicular transport and Golgi transport pathways. It interacts with coatomer proteins which are responsible for retrograde transport from Golgi to ER maintaining normal cellular function. ARF4 also shows connection with proteins like ARF1 and ARF5 through these pathways. This involvement underlines its role in normal cellular homeostasis and protein sorting.

Improper functioning of ARF4 links to neurodegenerative diseases and some forms of cancer. Alterations in ARF4 disrupt essential cellular trafficking contributing to diseases like Alzheimer's disease. In cancer abnormal ARF4 activity links with proteins like ARF1 where dysregulation affects cell growth and migration. Understanding these associations is critical to developing targeted therapies.

Product protocols

For this product, it's our understanding that no specific protocols are required. You can visit:

Target data

GTP-binding protein that functions as an allosteric activator of the cholera toxin catalytic subunit, an ADP-ribosyltransferase. Involved in protein trafficking; may modulate vesicle budding and uncoating within the Golgi apparatus. Part of the ciliary targeting complex containing Rab11, ASAP1, Rabin8/RAB3IP, RAB11FIP3 and ARF4, which direct preciliary vesicle trafficking to mother centriole and ciliogenesis initiation (PubMed : 25673879).
See full target information ARF4

Publications (7)

Recent publications for all applications. Explore the full list and refine your search

Annals of hematology 104:2449-2459 PubMed40204935

2025

Role of IRF4 in mediating plasmablast differentiation in diffuse large B-cell lymphomas via mTORC1 pathway.

Applications

Unspecified application

Species

Unspecified reactive species

Jingjing Gao,Chuntuan Li,Xingzhi Lin,Yanling Zhuang,Mingquan Wang,Hongjun Lin,Xiongpeng Zhu

Advanced science (Weinheim, Baden-Wurttemberg, Germany) 11:e2309642 PubMed38816950

2024

Cholesterol 25-Hydroxylase Protects Against Diabetic Kidney Disease by Regulating ADP Ribosylation Factor 4.

Applications

Unspecified application

Species

Unspecified reactive species

Lu Zhang,Zhengying Fang,Qingqing Zhu,Shumin Yang,Jia Fu,Zeguo Sun,Geming Lu,Chengguo Wei,Zhi Zhang,Kyung Lee,Yifei Zhong,Ruijie Liu,John Cijiang He

mSphere 9:e0077023 PubMed38349168

2024

and associate with host Arfs during infection.

Applications

Unspecified application

Species

Unspecified reactive species

Erin A Schroeder,Maria Toro-Moreno,Rene Raphemot,Kayla Sylvester,Isabel C Colón,Emily R Derbyshire

Cancer cell international 21:508 PubMed34556124

2021

USP7 inhibition induces apoptosis in glioblastoma by enhancing ubiquitination of ARF4.

Applications

Unspecified application

Species

Unspecified reactive species

Tingzheng Pan,Xuetao Li,Yanyan Li,Zhennan Tao,Hui Yao,Yue Wu,Guangliang Chen,Kai Zhang,Youxin Zhou,Yulun Huang

The Journal of biological chemistry 296:100680 PubMed33872598

2021

Nonredundant roles of DIAPHs in primary ciliogenesis.

Applications

Unspecified application

Species

Unspecified reactive species

Oliva Palander,Adam Lam,Richard F Collins,Theo J Moraes,William S Trimble

Molecular & cellular proteomics : MCP 20:100007 PubMed33561610

2020

Quantitative Proteomics Reveals Association of Neuron Projection Development Genes ARF4, KIF5B, and RAB8A With Hirschsprung Disease.

Applications

Unspecified application

Species

Unspecified reactive species

Qin Zhang,Lihua Wu,Baoling Bai,Dan Li,Ping Xiao,Qi Li,Zhen Zhang,Hui Wang,Long Li,Qian Jiang

Cellular microbiology 18:1121-33 PubMed26814617

2016

Identification of class II ADP-ribosylation factors as cellular factors required for hepatitis C virus replication.

Applications

Unspecified application

Species

Unspecified reactive species

Rayan Farhat,Karin Séron,Juliette Ferlin,Lucie Fénéant,Sandrine Belouzard,Lucie Goueslain,Catherine L Jackson,Jean Dubuisson,Yves Rouillé
View all publications

Product promise

We are committed to supporting your work with high-quality reagents, and we're here for you every step of the way. In the unlikely event that one of our products does not perform as expected, you're protected by our Product Promise.
For full details, please see our Terms & Conditions

Please note: All products are 'FOR RESEARCH USE ONLY. NOT FOR USE IN DIAGNOSTIC OR THERAPEUTIC PROCEDURES'.

For licensing inquiries, please contact partnerships@abcam.com